Receptive status of the endometrium in patients of reproductive age with serous and mucinous ovarian cystadenoma before and after unilateral adnexectomy
- Authors: Mikhaleva L.1,2,3, Solomatina A.A.2,4, Gashimova A.I.1,4, Biryukov A.E.1,2, Gracheva N.A.2, Mikhalev S.A.4, Tumasyan E.A.1,4, Ismaiilova P.J.4, Banin V.V.1,5
-
Affiliations:
- Avtsyn Research Institute of Human Morphology of Petrovsky National Research Centre of Surgery
- City Clinical Hospital N 31 of the Moscow Healthcare Department
- Russian Medical Academy of Continuous Professional Education of the Ministry of Healthcare of the Russian Federation
- N.I. Pirogov Russian National Research Medical University
- A.I. Yevdokimov Moscow State University of Medicine and Dentistry
- Issue: Vol 160, No 3 (2022)
- Pages: 177-188
- Section: Original Study Articles
- URL: https://journal-vniispk.ru/1026-3543/article/view/148285
- DOI: https://doi.org/10.17816/morph.430317
- ID: 148285
Cite item
Abstract
BACKGROUND: Currently, the incidence of benign ovarian tumors has increased, and numerous studies have reported its negative effect on women’s reproductive health. In modern literature, approximately 30% of patients with ovarian neoplasms have reproductive problems. In the presence of ovarian diseases, changes in the endometrium alter its receptivity, thereby reducing the chances of successful conception and gestation and gaining increasing attention. Patients seeking to preserve their reproductive function prefer organ-preserving surgical interventions; however, in clinical practice, adnexectomy is often necessary because of damaged ovarian tissue.
AIM: To analyze the morphofunctional state of the endometrium and its receptivity in patients with serous and mucinous ovarian cystadenomas before and after surgical treatment.
MATERIALS AND METHODS: The prospective study included patients of reproductive age with benign epithelial tumors (serous/mucinous cystadenomas) who had not received hormonal drugs for 6 months before surgical treatment. Group 1 included 32 patients with serous cystadenoma, and group 2 included 30 patients with mucinous cystadenoma. Before and 6–12 months after unilateral salpingo-oophorectomy, a pipelle biopsy of the endometrium was performed during the “implantation window.” The qualitative and quantitative parameters of pinopodes were examined, and the expression levels of estrogen (ER) and progesterone (PR) receptors in the glands and stroma of the endometrium were evaluated.
RESULTS: Preoperatively, the number of pinopodes decreased in patients with serous cystadenoma, and the expression level of ER in the stroma and those of PR in the stroma and glands was reduced. Postoperatively, the number of mature pinopodes increased, and the expression levels of ER in the stroma and PR in the stroma and glands was increasing. Preoperatively, in patients with mucinous cystadenomas, the expression levels of ER in the stroma and glands and PR in the stroma and glands decreased, and the number of pinopodes reduced. Postoperatively, compared with patients with serous cystadenomas in the glandular component of the endometrium, those with mucinous cystadenoma had lower expression levels of both ER and PR, lower PR expression level in the stromal component, and increased number of pinopodes.
CONCLUSIONS: The results of this study showed that benign ovarian tumors are accompanied by impaired morphofunctional state and receptivity of the endometrium, and timely surgical intervention positively affects these indicators and increases the reproductive potential of women.
Full Text
ОБОСНОВАНИЕ
В настоящее время наблюдается рост доброкачественных опухолей яичников (ДОЯ), которые негативно влияют на репродуктивное здоровье женщин [1, 2]. За последнее десятилетие отмечено увеличение частоты встречаемости ДОЯ: с 7–10 до 25% всех опухолей репродуктивной системы [3]. В России заболеваемость опухолями яичников составляет 16,5 на 100 тыс. женского населения [4, 5]. Важно отметить, что пациентки с ДОЯ репродуктивного возраста занимают до 60% общего числа заболевших, а 72% из них ещё не выполнили свою репродуктивную функцию [3]. Около 30% пациенток с новообразованиями яичников имеют проблемы с репродуктивной функцией [6]. Учитывая то, что ДОЯ выявляются чаще других заболеваний женской половой системы, вопрос репродуктивного здоровья женщин с такими новообразованиями первостепенен [7, 8]. С каждым годом всё больше внимания уделяется изучению изменений в эндометрии на фоне заболеваний яичников, приводящих к нарушению его рецептивности и, как следствие, к снижению вероятности успешного зачатия и вынашивания [9–12]. Пациентки, стремящиеся сохранить свою репродуктивную функцию, предпочитают органосохраняющие хирургические вмешательства, однако в клинической практике нередко необходима аднексэктомия [13]. Именно поэтому всё чаще поднимается вопрос влияния лапароскопической цистэктомии на эндометрий [14–16].
На сегодняшний день морфофункциональная состоятельность эндометрия — ключевой фактор успешной имплантации бластоцисты [17–19], поэтому для оценки фертильности женщины существует объективный метод, который основывается на определении уровня рецептивности эндометрия к половым гормонам. Проводится анализ количества эстрогеновых (ER) и прогестероновых рецепторов (PR) в стромальных и железистых клетках слизистой оболочки матки при помощи иммуногистохимической реакции [20]. Отмечена повышенная экспрессия ER в железах эндометрия в секреторную фазу цикла при наличии ДОЯ, а уровень PR снижается в течение всего менструального цикла [21, 22]. Важно отметить, что стероидные гормоны также оказывают влияние на формирование клеток на поверхности апикальной мембраны пиноподий, количество и степень зрелости которых служат прогностическими факторами успешной имплантации [23]. По процентному числу и степени зрелости пиноподии разделяют на три класса: обильные (более 50%), умеренные (20–50%) и немногочисленные (менее 20%), а также развивающиеся, зрелые и регрессирующие. При недостаточном количестве клеток поверхностного эпителия эндометрия, имеющих куполообразные выпячивания, вероятность имплантации бластоцисты снижается, а в ряде случаев является невозможной [24, 25]. Перечисленные морфофункциональные изменения слизистой оболочки матки приводят к снижению рецептивности к половым гормонам, нарушению секреторной трансформации эндометрия и имплантации эмбриона [26].
Цель исследования — анализ морфофункционального состояния эндометрия и его рецептивности у пациенток с серозной и муцинозной цистаденомами яичников до и после хирургического лечения.
МАТЕРИАЛЫ И МЕТОДЫ
В проспективное, одноцентровое, выборочное, контролируемое, нерандомизированное, клиническое исследование включены 62 пациентки репродуктивного возраста (от 19 до 45 лет). Критерии включения: нормальный менструальный цикл; состояние до или после односторонней аднексэктомии по поводу ДОЯ; отсутствие приёма гормональных препаратов в течение полугода до оперативного лечения; индекс массы тела в пределах нормативных значений (18,5–24,9 кг/м2).
Лечение проводили в гинекологическом отделении ГБУЗ «Городская клиническая больница № 31 Департамента здравоохранения Москвы». Всем обследуемым предоставлена информация о методах исследования, пациентки дали письменное информированное согласие на участие в нём, протокол одобрен этическим комитетом Научно-исследовательского института морфологии человека имени академика А.П. Авцына Российского научного центра хирургии имени академика Б.В. Петровского. Период наблюдения — с 2020 по 2022 г.
Женщины были разделены на две группы в зависимости от морфологического варианта новообразования: 1-ю группу составили 32 пациентки с серозной цистаденомой яичника, 2-ю — 30 наблюдаемых с муцинозной цистаденомой. Группа сравнения была представлена 30 соматически здоровыми женщинами репродуктивного возраста с регулярной менструальной функцией, без оперативных вмешательств на гонадах, имевшими спонтанную овуляцию и не принимавшими КОК в течение полутора лет. Пациенткам выполняли аспирационную биопсию эндометрия в середине секреторной фазы менструального цикла (на 6–8-й день после овуляции — «окно имплантации»). День овуляции определяли по уровню прогестерона в плазме крови, визуализации жёлтого тела в яичнике и свободной жидкости в малом тазу (по данным ультразвукового исследования органов малого таза).
Для изучения образцов тканей с использованием световой микроскопии препараты заготавливали в автоматическом гистопроцессоре Leica ASP300 S (Leica Microsystems, Германия) с последующей заливкой в парафин на станции Leica EG 1150 (Leica Microsystems, Германия). Окрашивание гистологических срезов толщиной 4 мкм гематоксилином и эозином проводили в автоматической станции Leica ST5010 (Leica Microsystems, Германия). Микроскопию выполняли на триокулярном микроскопе модели Leica DMLB (окуляры с увеличением в 10 раз) с использованием цифровой камеры Leica DFC 420 (Leica Microsystems, Германия). В микропрепаратах проводили патоморфологическую оценку эндометрия с учётом стадии и фазы менструального цикла. Морфофункциональные особенности поверхностного эпителия эндометрия (пиноподии) исследовали с применением морфометрического метода, определяя процентное количество клеток пиноподий путем подсчёта в 10 полях зрения с помощью светового микроскопа Leica DMLB при увеличении в 400 раз. В биоптатах дополнительно выполняли иммуногистохимическое исследование с изучением уровня экспрессии рецепторов к стероидным гормонам в железистом и стромальном компонентах эндометрия. Иммуногистохимическое окрашивание осуществляли в иммуностейнере BenchMark ULTRA IHC/ISH (Roche, Швейцария) с использованием кроличьих моноклональных первичных антител к CONFIRM антипрогестероновым рецепторам (PR)-(1E2) (Roche, Швейцария), связывающихся с PR A и PR B; и кроличьих моноклональных первичных антителх к CONFIRM антиэстрогеновым рецепторам (ER)-(SP1) (Roche, Швейцария), связывающихся с ER1. Иммуногистохимическую реакцию оценивали полуколичественным методом с использованием метода гистологического подсчёта HS (Histochemical Score): осуществляли подсчёт числа клеток с положительной ядерной экспрессией на 100 клеток в 10 полях зрения на увеличении ×200 по формуле: HS = Σ P(i)×i, где i — интенсивность окрашивания со значением 0, 1, 2 или 3; P(i) — процент окрашенных клеток для каждой интенсивности (негативная, слабая, умеренная, сильная). Степень выраженности экспрессии ER и PR оценивали в баллах: 0–10 — отсутствие экспрессии, 11–100 — слабая экспрессия, 101–200 — умеренная, 201–300 — выраженная. В качестве контрольных значений использовали данные литературы, полученные в фазе секреции у женщин репродуктивного возраста с регулярным менструальным циклом при отсутствии гормональной контрацепции в течение 6 мес до операции с овуляцией на 14±2-й день цикла, нормальным уровнем прогестерона и тестостерона в плазме крови.
Статистический анализ данных осуществляли с помощью программ Statistica 13.3 и Microsoft Excel 2019. Для выявления статистической значимости различий количественно измеренных показателей экспрессии ER и PR в стромальном и железистом компонентах эндометрия до и после операции использован непараметрический критерий Уилкоксона для сравнения связанных парных выборок. Различия между показателями считали значимыми при p <0,01. Для выявления статистической значимости различий медианных значений экспрессии ER и PR в стромальных и в железистых клетках между пациентами с серозной и муцинозной цистаденомами яичников применён непараметрический U-критерий Манна–Уитни для двух независимых выборок. Для анализа различий между пациентками разных возрастов также использован непараметрический критерий U-критерий Манна–Уитни в связи с тем, что данные по большинству шкал не соответствуют нормальному распределению. Различия считали статистически значимыми при p <0,05.
РEЗУЛЬТАТЫ
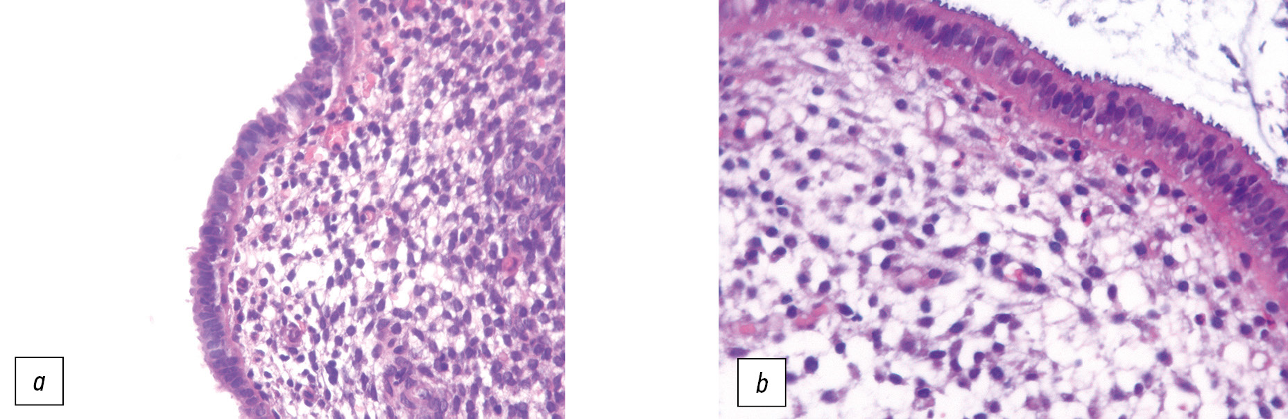
При анализе данных патоморфологического исследования до оперативного вмешательства в 1-й группе зафиксировано, что у 9 пациенток (28,3%) эндометрий соответствовал средней стадии фазы секреции, у 17 (55,5%) — поздней стадии фазы пролиферации, у 4 (16,2%) — ранней стадии фазы секреции. Морфометрия биоптатов слизистой матки свидетельствует о снижении способности поверхностного эпителия к формированию люминальных выростов. У 9 наблюдаемых (30,01%) обнаружены развивающиеся и зрелые пиноподии, занимающие 70% клеток апикальной мембраны, что согласуется с исследуемой фазой менструального цикла. У 2 исследуемых (6,66%) определялись развивающиеся пиноподии в 10–15% клеток, что указывает на задержку секреторной трансформации эндометрия и, как следствие, своевременного открытия окна имплантации (рис. 1, а). Люминальные выросты поверхностного эпителия эндометрия у 19 пациенток (63,33%) отсутствовали.
Рис. 1. Пиноподии эндометрия у пациенток с серозной цистаденомой яичников: a — на поверхности эпителия до операции наблюдаются развивающиеся пиноподии (10–15%); b — через 6–12 мес после операции на поверхности эпителия имеются зрелые пиноподии (70–90%).
Fig. 1. Pinopodiums of the endometrium in patients with serous ovarian cystadenoma: a — developing pinopodiums are observed on the surface of the epithelium before surgery (10–15%); b — 6–12 months after the operation, there are mature pinopodiums (70–90%) on the surface of the epithelium.
Выявлены значимые различия медианных значений показателей до и после операции. У пациенток с серозной цистаденомой значительно увеличились медианные значения экспрессии ER после односторонней аднексэктомии как в стромальном компоненте эндометрия (до операции — 82,5; после операции — 92,0; p=0,003), так и в железистом (до операции — 90,5; после операции — 156,0; p=0,003), а также увеличилось медианное значение экспрессии PR в железистых клетках эндометрия после операции (47) по сравнению со значениями до операции — 35 (p <0,001) (табл. 1, рис. 2).
Таблица 1. Анализ различий показателей экспрессии рецепторов к эстрогену и прогестерону в строме и железе до и после операции у пациенток с серозной цистаденомой яичников
Table 1. Analysis of differences in the expression of estrogen and progesterone receptors in the stroma and gland before and after surgery in patients with serous ovarian cystadenoma
Показатели | Медиана [Q1; Q3] (Xmax; Xmin) | |Z| | р | |
до операции (n=62) | после операции (n=62) | |||
Экспрессия эстрогеновых рецепторов: строма железа | 2,94* 2,94* | 0,003 0,003 | ||
Экспрессия прогестероновых рецепторов: строма железа | 239 [209; 265] (123; 298) 47 [25; 131] (7; 298) | 1,73 3,598* | 0,084 <0,001 | |
Примечание. |Z| — модуль значения критерия Уилкоксона; в табл. 1–7 Xmax — максимальное значение; Xmin — минимальное значение; * различия статистически значимы на уровне p <0,01.
Note: |Z|— the Wilcoxon criterion value modulus; in tables 1–7 Xmax — the maximum value; Xmin — minimum value; * differences are statistically significant at p <0.01.
Рис. 2. Иммуногистохимическое исследование с антителами к эстрогеновым (ER) и прогестероновым (PR) рецепторам у пациенток с серозной цистаденомой яичников: a — низкое содержание ER в железистом и стромальном компонентах эндометрия до операции; b — повышение экспрессии ER в железах и строме после операции; c — снижение уровня PR в железах и строме слизистой оболочки матки до операции; d — нормальная экспрессия PR в железистом и стромальном компонентах эндометрия после операции.
Fig. 2. Immunohistochemical study with antibodies to estrogen (ER) and progesterone (PR) receptors in patients with serous ovarian cystadenoma: a — low content of ER in the glandular and stromal components of the endometrium before surgery; b — increased expression of ER in the glands and stroma after surgery; c — decrease in the level of PR in the glands and stroma of the uterine mucosa before surgery; d — normal expression of PR in the glandular and stromal components of the endometrium after surgery.
Через 6–12 мес после оперативного вмешательства у 17 пациенток (56,66%) с серозной цистаденомой отмечено увеличение количества биоптатов, идентифицируемых как средняя стадия фазы секреции (p ≤0,05). Поздняя стадия фазы пролиферации эндометрия выявлена у 7 пациенток (23,33%) этой группы, ранняя стадия лютеиновой фазы — у 6 (20,01%). При определении процентного количества клеток, содержащих на своей апикальной поверхности люминальные выросты, установлено статистически незначимое увеличение их числа. Зрелые пиноподии зафиксированы у 16 пациенток (51,34%), клетки занимали 70–90% поверхностного эпителия (рис. 1, b), у 6 обследуемых (20,0%) отмечены регрессирующие пиноподии в 20% клеток апикальной мембраны, у 8 пациенток (26,66%) куполообразные выросты не визуализировались, что ассоциировано с нарушением имплантационных свойств эндометрия.
Патоморфологическая оценка эндометрия во 2-й группе (пациентки с муцинозной цистаденомой) до односторонней аднексэктомии установила, что полученные биоптаты соответствовали средней стадии фазы секреции у 7 обследуемых (23,33%), у 15 наблюдаемых (50,00%) — поздней стадии фазы пролиферации, у 8 пациенток (26,66%) — ранней стадии фазы секреции. Зрелые пиноподии, занимающие более 70% поверхностного эпителия, определены у 5 пациенток (16,66%). Отмечено, что у 11 женщин (36,66%) пиноподии находились на стадии развивающихся и занимали 50–60% поверхностного эпителия (рис. 3, а), люминальные выросты поверхностного эпителия отсутствовали у 14 наблюдаемых (46,66%).
Рис. 3. Пиноподии эндометрия у пациенток с муцинозной цистаденомой яичников: a — развивающиеся пиноподии (50–60%) на поверхности эпителия до операции; b — через 6–12 мес после операции на поверхности эпителия имеются развивающиеся пиноподии (30–40%).
Fig. 3. Endometrial pinopodium in patients with ovarian mucinous cystadenoma: a — developing pinopodium (50–60%) on the surface of the epithelium before surgery; b — 6–12 months after the operation, there are developing pinopodiums on the surface of the epithelium (30–40%).
При сравнении данных до операции у пациенток с серозной и муцинозной цистаденомами яичников значения экспрессии PR в стромальном компоненте были выше у пациенток с муцинозной цистаденомой (225), чем в 1-й группе — 220,5 (p=0,01) (табл. 2 и 3). При анализе данных у пациенток с муцинозной цистаденомой яичника после операции значимо снизились медианные показатели экспрессии PR в строме эндометрия (221) по сравнению с дооперационными значениями — 225 (p <0,001) (рис. 4).
Рис. 4. Иммуногистохимическое исследование с антителами к эстрогеновым (ER) и прогестероновым (PR) рецепторам у пациенток с муцинозной цистаденомой яичников: a — низкое содержание ER в железистом и стромальном компонентах эндометрия до операции; b — снижение уровня ER в железах и строме слизистой оболочки матки после операции; c — низкое содержание PR в строме слизистой оболочки матки до операции; d — снижение экспрессии PR в строме и железах после операции.
Fig. 4. Immunohistochemical study with antibodies to estrogen (ER) and progesterone (PR) receptors in patients with ovarian mucinous cystadenoma: a — low content of ER in the glandular and stromal components of the endometrium before surgery; b — decrease in the level of ER in the glands and stroma of the uterine mucosa after surgery; c — low content of PR in the stroma of the uterine mucosa before surgery; d — decrease in PR expression in the stroma and glands after surgery.
Таблица 2. Анализ различий показателей экспрессии рецепторов к эстрогену и прогестерону в строме и железе до и после операции у пациентов с муцинозной цистаденомой яичников
Table 2. Analysis of differences in the expression of estrogen and progesterone receptors in the stroma and gland before and after surgery in patients with ovarian mucinous cystadenoma
Показатели | Медиана [Q1; Q3] (Xmax; Xmin) | |Z| | р | |
до операции (n=60) | после операции (n=60) | |||
Экспрессия эстрогеновых рецептеров: строма железа | 87 [65; 114] (31; 147) 94 [65; 134] (34; 296) | 92 [89; 195] (23; 296) | 0,920 0,02 | 0,36 0,99 |
Экспрессия прогестероновых рецептеров: строма железа | 225 [218; 276] (125; 311) 38 [21; 87] (7; 189) | 3,67* 1,87 | <0,001 0,06 | |
Примечание: |Z| — модуль значения критерия Уилкоксона; * различия статистически значимы на уровне p <0,01.
Note: |Z| — the Wilcoxon criterion value modulus; * differences are statistically significant at p <0.01.
Таблица 3. Анализ различий экспрессии рецепторов к эстрогену и прогестерону в строме и железе между пациентами с серозной и муцинозной цистаденомами яичников до операции, U-критерий Манна–Уитни
Table 3. Analysis of differences in the expression of estrogen and progesterone receptors in the stroma and gland between patients with serous and mucinous ovarian cystadenomas before surgery, Mann–Whitney U-test
Показатели до операции | Медиана [Q1; Q3] (Xmax; Xmin) | U | р | |
серозная цистаденома яичников | муцинозная цистаденома яичников | |||
Экспрессия эстрогеновых рецепторов: строма железа | 87 [65; 114] (31; 147) 94 [65; 134] (34; 296) | 1688 1570 | 0,80 0,37 | |
Экспрессия прогестероновых рецепторов: строма железа | 225 [218; 276] (125; 311) 38 [21; 87] (7; 189) | 1274* 1610 | 0,01 0,50 | |
* различия статистически значимы на уровне p <0,01.
* differences are statistically significant at p <0.01.
При динамическом наблюдении через 6–12 мес после односторонней аднексэктомии в биоптатах обнаружено отставание от стадии менструального цикла. У 11 пациенток (36,66%) эндометрий находился в ранней стадии фазы секреции, у 9 (30,0%) — в поздней стадии фазы пролиферации и лишь у 10 (33,33%) совпадал с серединой второй фазы цикла. У 11 наблюдаемых (36,66%) выросты апикальной мембраны определены как развивающиеся умеренные и немногочисленные (30–40%) (рис. 3, b), у 10 (33,33%) — как обильные, занимающие 60–70% поверхностного эпителия. Отсутствие пиноподий зафиксировано у 9 обследуемых (30,0%).
Однако при сравнении данных после операции у исследуемых с муцинозной цистаденомой яичников медианные значения показателей экспрессии ER были значительно ниже в железистых клетках эндометрия (92), чем у пациенток с серозной неоплазией — 156 (p=0,04), ниже были и значения показателей экспрессии PR в стромальных клетках (221), чем у пациенток с серозной цистаденомой — 239 (p=0,02). Нами также выявлено, что у исследуемых с муцинозной цистаденомой яичников значения показателей экспрессии PR в железах эндометрия были ниже (22,5), чем в группе с серозной цистаденомой, — 47 (p <0,001) (табл. 4).
Таблица 4. Анализ различий экспрессии рецепторов к эстрогену и прогестерону в строме и железе между пациентками с серозной и муцинозной цистаденомой яичников через 6–12 мес после операции, U-критерий Манна–Уитни
Table 4. Analysis of differences in the expression of estrogen and progesterone receptors in the stroma and gland between patients with serous and mucinous ovarian cystadenoma 6–12 months after surgery, Mann–Whitney U-test
Показатели после операции | Медиана [Q1; Q3] (Xmax; Xmin) | U | р | |
серозная цистаденома яичников | муцинозная цистаденома яичников | |||
Экспрессия эстрогеновых рецепторов: строма железа | 1598 1358* | 0,44 0,04 | ||
Экспрессия прогестероновых рецепторов: строма железа | 239 [209; 265] (123; 298) 47 [25; 131] (7; 298) | 1244* 1134** | 0,02 <0,001 | |
* различия статистически значимы на уровне p <0,01.
* differences are statistically significant at p <0.01.
В нашем исследовании проведена оценка гормонального статуса с учётом формирования возрастных групп (группа 1 — пациентки в возрасте 20–35 лет, группа 2 — пациентки в возрасте 36 лет и старше). При анализе данных пациенток с эпителиальными опухолями яичников двух возрастных групп до оперативного вмешательства уровень медианного значения экспрессии PR в железистом компоненте эндометрия у женщин старше 35 лет был значительно ниже (38,0), чем у исследуемых группы 1 — 48,0 (p=0,001). В то же время после операции у женщин старшей возрастной группы выявлены более низкие показатели экспрессии в стромальных клетках как ER — 92 (у женщин до 35 лет — 98; p=0,014), так и PR — 217 (у женщин до 36 лет — 245; p=0,001), а также более низкие значения экспрессии PR в железистых клетках эндометрия — 27 (у женщин до 35 лет — 47; p <0,001) (табл. 5).
Таблица 5. Анализ различий между пациентками с эпителиальными опухолями яичников в возрасте 20–35 лет и старше 36 лет до операции, U-критерий Манна–Уитни
Table 5. Analysis of differences between patients with epithelial ovarian tumors aged 20–35 years and older than 36 years before surgery, Mann–Whitney U-test
Результаты до операции | Медиана [Q1; Q3] (Xmax; Xmin) | U | р | |
средний фертильный период (20–35 лет) | поздний фертильный период (36 лет и старше) | |||
Экспрессия эстрогеновых рецепторов: строма железа | 2276 2444 | 0,25 0,64 | ||
Экспрессия прогестероновых рецепторов: строма железа | 2528 1772* | 0,897 0,001 | ||
* различия статистически значимы на уровне р <0,01.
* differences are statistically significant at p <0.01.
При анализе двух возрастных групп пациенток с муцинозной цистаденомой яичников до операции не выявлено значимых различий по показателям экспрессии ER и PR в стромальном и железистом компонентах эндометрия. Однако после операции у женщин с муцинозной цистаденомой в старшей возрастной группе наблюдались более низкие показатели экспрессии в строме эндометрия как ER — 90,5 (у женщин до 35 лет — 114; p <0,001), так и PR — 215,5 (у женщин до 35 лет — 239; p <0,001), а также экспрессии PR в железистом компоненте — 21 (у женщин до 35 лет — 172; p <0,001) (табл. 6).
Таблица 6. Анализ различий между пациентками с эпителиальными опухолями яичников в возрасте 20–35 лет и старше 36 лет после операции, U-критерий Манна–Уитни
Table 6. Analysis of differences between patients with epithelial ovarian tumors aged 20–35 years and older than 36 years after surgery, Mann–Whitney U-test
Результаты после операции | Медиана [Q1; Q3] (Xmax; Xmin) | U | р | |
средний фертильный период (20–35 лет) | поздний фертильный период (36 лет и старше) | |||
Экспрессия эстрогеновых рецепторов: строма железа | 98 [87; 130] (65; 235) 117 [89; 253] (74; 295) | 92 [73; 115] (29; 285) 115 [89; 260] (23–296) | 2024* 2448 | 0,014 0,423 |
Экспрессия эстрогеновых рецепторов: строма железа | 245 [225; 254] (129; 270) 47 [31; 260] (11; 298) | 217 [156; 234] (78; 298) 27 [17; 83] (7; 280) | 1800** 1676** | 0,001 <0,001 |
* различия статистически значимы на уровне р <0,05; ** на уровне значимости р <0,01.
* differences are statistically significant at p <0.05; ** p <0.01.
При аналогичном рассмотрении двух возрастных групп пациенток с серозной цистаденомой ячников до операции у женщин старшей возрастной группы показатели экспрессии ER в железистых клетках эндометрия были выше — 94, чем у женщин младше 35 лет — 76 (p=0,049). А показатели экспрессии PR в железе у женщин старше 35 лет были ниже — 25, чем у женщин младше 35 лет — 47 (p=0,002) (табл. 7). В послеоперационном периоде значимых различий не выявлено.
Таблица 7. Анализ различий между пациентками с муцинозной цистаденомой яичников в возрасте 20–35 лет и старше 36 лет до операции, U-критерий Манна–Уитни
Table 7. Analysis of differences between patients with ovarian mucinous cystadenoma aged 20–35 years and older than 36 years before surgery, Mann–Whitney U-test
Результаты до операции | Медиана [Q1; Q3] (Xmax; Xmin) | U | р | |
средний фертильный период (20–35 лет) | поздний фертильный период (36 лет и старше) | |||
Экспрессия эстрогеновых рецепторов: строма железа | 78 [65; 134] (34; 147) 134 [94; 165] (59; 224) | 87,0 [70, 45; 106, 14] (31; 145) 94 [65; 128] (34; 296) | 568 436 | 0,81 0,07 |
Экспрессия прогестероновых рецепторов: строма железа | 220 [211; 276] (125; 287) 52 [7; 184] (7; 189) | 492 432 | 0,25 0,06 | |
ОБСУЖДЕНИЕ
В настоящем исследовании установлено, что у пациенток с серозной цистаденомой ячиников после односторонней аднексэктомии повысилась экспрессия как ER в стромальном и железистом компонентах эндометрия, так и PR в железистых клетках. Однако у исследуемых с муцинозной цистаденомой яичников в стромальных клетках после оперативного вмешательства экспрессия PR снизилась. Полученные нами данные коррелируют с результатами схожего исследования [12], в котором отмечено снижение экспрессии PR в стромальном компоненте у большинства пациенток после оперативного вмешательства.
При рассмотрении полученных результатов выявлено, что через 6–12 мес после хирургического лечения у пациенток с муцинозной цистаденомой яичников в сравнении с данными исследуемых с серозной цистаденомой в железистом компоненте эндометрия экспрессия как ER, так и PR была ниже, также ниже была и экспрессия PR в стромальном компоненте. Учитывая вышесказанное, можно говорить о более негативном влиянии муцинозной цистаденомы яичников на рецептивность эндометрия даже в послеоперационном периоде, в отличие от серозной цистаденомы.
Выявлено негативное влияние ДОЯ на формирование пиноподий, но в то же время постепенное восстановление способности поверхностного эпителия к их формированию после операции у пациенток более молодого возраста (преимущественно с серозной цистаденомой яичников), что подтверждает эффективность проведённого оперативного лечения. Напротив, отмечено снижение имплантационной способности эндометрия у наблюдаемых позднего фертильного периода с муцинозной цистаденомой.
В нашем исследовании показано, что у пациенток старшей возрастной группы с эпителиальными ДОЯ показатели экспрессии PR в железистых клетках как до хирургического лечения, так и после были ниже, чем в группе пациенток в возрасте 20–35 лет, а в послеоперационном периоде в стромальном компоненте показатели экспрессии как PR, так и ER также были ниже, чем у более молодых пациенток. Такие результаты, безусловно, связаны с тем, что расцвет репродуктивных возможностей женщины, именуемый как средний фертильный период, продолжается до момента достижения 35-летнего возраста, а потому в этом периоде вероятность зачатия и успешного вынашивания плода выше.
ЗАКЛЮЧЕНИЕ
Наличие доброкачественных опухолей яичников сопровождается нарушениями морфофункционального состояния и рецептивности эндометрия к половым гормонам, а своевременное оперативное вмешательство благоприятно влияет на данные показатели и повышает репродуктивный потенциал женщин.
ДОПОЛНИТЕЛЬНО
Источник финансирования. Авторы заявляют об отсутствии внешнего финансирования при проведении исследования.
Конфликт интересов. Авторы декларируют отсутствие явных и потенциальных конфликтов интересов, связанных с публикацией настоящей статьи.
Вклад авторов: Л.М. Михалёва — концепция, дизайн исследования, редактирование статьи; А.А. Соломатина — концепция, дизайн исследования, редактирование статьи; А.А. Гашимова — обзор литературы, сбор и анализ литературных источников, подготовка и написание текста статьи, статистическая обработка данных; А.Е. Бирюков — сбор и обработка материала, анализ литературных источников; Н.А. Грачева — сбор и обработка материала, анализ литературных источников; С.А. Михалев — сбор и обработка материала, анализ литературных источников; Е.А. Тумасян — сбор и обработка материала; П.Д. Исмайилова — сбор и обработка материала. Все авторы подтверждают соответствие своего авторства международным критериям ICMJE (все авторы внесли существенный вклад в разработку концепции, проведение исследования и подготовку статьи, прочли и одобрили финальную версию перед публикацией).
Благодарности. Авторы выражают признательность сотрудникам Научно-исследовательского института морфологии человека имени академика А.П. Авцына за помощь в проведении настоящего исследования и особую благодарность — научным руководителям Михалёвой Людмиле Михайловне, члену-корреспонденту РАН, доктору медицинских наук, профессору, и Соломатиной Антонине Андреевне, доктору медицинских наук, профессору, за значимые замечания и важнейшие советы при проведении исследования и оформлении данной статьи.
ADDITIONAL INFORMATION
Funding source. This study was not supported by any external sources of funding.
Competing interests. The authors declare that they have no competing interests.
Authors’ contribution: L.M. Mikhaleva — concept, research design, article editing; A.A. Solomatina — concept, research design, article editing; A.A. Gashimova — literature review, collection and analysis of literary sources, preparation and writing of the text of the article, statistical data processing; A.E. Biryukov — collection and processing of material, analysis of literary sources; N.A. Gracheva — collection and processing of material, analysis of literary sources; S.A. Mikhalev — collection and processing of material, analysis of literary sources; E.A. Tumasyan — collection and processing of material; P.D. Ismaiilova — collection and processing of material. All authors confirm that their authorship meets the international ICMJE criteria (all authors have made a significant contribution to the development of the concept, research and preparation of the article, read and approved the final version before publication).
Acknowledgments. The authors express their gratitude to the Academician Avtsyn Research Institute of Human Morphology of Petrovsky National Research Centre of Surgery for assistance in conducting this study. The authors expresse special gratitude to the scientific supervisors Lyudmila Mikhaleva, Corresponding member of the Russian Academy of Sciences, Doctor of Medical Sciences, Professor and Antonina Andreevna Solomatina, Doctor of Medical Sciences, Professor for significant comments and important advice during the research and design of this article.
About the authors
Lyudmila Mikhaleva
Avtsyn Research Institute of Human Morphology of Petrovsky National Research Centre of Surgery; City Clinical Hospital N 31 of the Moscow Healthcare Department; Russian Medical Academy of Continuous Professional Education of the Ministry of Healthcare of the Russian Federation
Author for correspondence.
Email: mikhalevalm@yandex.ru
ORCID iD: 0000-0003-2052-914X
SPIN-code: 2086-7513
MD, Dr. Sci. (Med.), Professor, Corresponding Member of the RAS
Russian Federation, Moscow; Moscow; MoscowAntonina A. Solomatina
City Clinical Hospital N 31 of the Moscow Healthcare Department; N.I. Pirogov Russian National Research Medical University
Email: 9200690@mail.ru
ORCID iD: 0000-0002-3802-7343
SPIN-code: 7681-9893
MD, Dr. Sci. (Med.), Professor
Russian Federation, Moscow; MoscowAisel I. Gashimova
Avtsyn Research Institute of Human Morphology of Petrovsky National Research Centre of Surgery; N.I. Pirogov Russian National Research Medical University
Email: agashimova94@mail.ru
ORCID iD: 0009-0008-6460-3755
SPIN-code: 9359-7583
MD
Russian Federation, Moscow; MoscowAndrey E. Biryukov
Avtsyn Research Institute of Human Morphology of Petrovsky National Research Centre of Surgery; City Clinical Hospital N 31 of the Moscow Healthcare Department
Email: bervost@rambler.ru
ORCID iD: 0000-0001-9700-3352
SPIN-code: 2472-2328
MD, Cand. Sci. (Med.)
Russian Federation, Moscow; MoscowNatalia A. Gracheva
City Clinical Hospital N 31 of the Moscow Healthcare Department
Email: gracheva_na67@mail.ru
ORCID iD: 0000-0001-7286-6629
MD, Cand. Sci. (Med.)
Russian Federation, MoscowSergey A. Mikhalev
N.I. Pirogov Russian National Research Medical University
Email: dr.mikhalev@mail.com
ORCID iD: 0000-0002-4822-0956
SPIN-code: 8105-7908
MD, Cand. Sci. (Med.)
Russian Federation, MoscowElizaveta A. Tumasyan
Avtsyn Research Institute of Human Morphology of Petrovsky National Research Centre of Surgery; N.I. Pirogov Russian National Research Medical University
Email: lizavetatumasyan@gmail.com
ORCID iD: 0000-0001-5493-1685
MD
Russian Federation, Moscow; MoscowParvana J. Ismaiilova
N.I. Pirogov Russian National Research Medical University
Email: velieva.95@mail.ru
ORCID iD: 0000-0001-8774-1095
MD
Russian Federation, MoscowVictor V. Banin
Avtsyn Research Institute of Human Morphology of Petrovsky National Research Centre of Surgery; A.I. Yevdokimov Moscow State University of Medicine and Dentistry
Email: v.banin@mail.ru
ORCID iD: 0000-0003-0374-0576
SPIN-code: 3604-6294
MD, Dr. Sci. (Med.), Professor, Corresponding Member of the RAS
Russian Federation, Moscow; MoscowReferences
- Mikhaleva LM, Solomatina AA, Kurtzer MA, et al. Immunohistochemical phenotype of recurrent ovarian endometriomas. Clinical and Experimental Morphology. 2017;(4):15–21. (In Russ).
- Mikhaleva LM, Solomatina AA, Boltovskaya MN, et al. Clinical and morphological aspects of ovarian endometriosis depending on the severity of the disease. Clinical and Experimental Morphology. 2016;(3):15–21. (In Russ).
- Ikromova ZM. Somatic and gynecological status of reproductive-age of women with benign tumors and tumor-like formations of the ovaries. Vestnik Avitsenny. 2017;19(1):7–11. (In Russ). doi: 10.25005/2074-0581-2017-19-1-7-11
- Mikhaleva LM, Milovanov AP, Khovanskaya TN, et al. Histomorphological and functional features of the eutopic endometrium in patients with ovarian endometriosis after surgery — a clinical study. Reproductive Sciences. 2021;28(8):2350–2358. doi: 10.1007/s43032-021-00508-3
- Solopova AE, Dudina AN, Bychenko VG, Rubtsova NA. Ovarian malignancy risk stratification. The integration of mri into O-RADS. Obstetrics and Gynecology. 2020;(9):28–37. (In Russ). doi: 10.18565/aig.2020.9.28-37
- Orazov MR, Khamoshina MB, Abitova MZ, et al. Ovarian endometriosis associated infertility: a modern view to the problem. Gynecology. 2020;22(5):44–49. (In Russ). doi: 10.26442/20795696.2020.5.200405
- Protasova AE, Tsypurdeeva AA, Tsypurdeeva ND, Solntseva IA. Principles of diagnosis of ovarian neoplasms — minimization of errors. Journal of Obstetrics and Womans Diseases. 2019;68(4):71–82. (In Russ). doi: 10.17816/JOWD68471-82
- Chen YN, Ma F, Zhang YD, et al. Ultrasound features improve diagnostic performance of ovarian cancer pre dictors in distinguishing benign and malignant ovarian tumors. Curr Med Sci. 2020;40(1):184–191. doi: 10.1007/s11596-020-2163-7
- Chistyakova GN, Grishkina AA, Remizova II, et al. Immunohistochemical and morphometric analysis of thin endometrium. Kursk Scientific and Practical Bulletin “Man and His Health”. 2020;(1):37–42. (In Russ). doi: 10.21626/vestnik/2020-1/05
- Szwarc MM, Hai L, Gibbons WE, et al. Early growth response 1 transcriptionally primes the human endometrial stromal cell for decidualization. J Steroid Biochem Mol Biol. 2019;189:283–290. doi: 10.1016/j.jsbmb.2019.01.021
- Aganezov SS, Ponomarenko KY, Morotskaya AV, Aganezova NV. Evaluation of expressiom of endometrial estrogens and progesterone receptors in women with a history of reproductive failures. East European Scientific Journal. 2018;2(30):65–69. (In Russ).
- Tumasyan EA, Biryukov AE, Gracheva NA, et al. Receptive status of the endometrium in patients with benign ovarian tumors before and after organ-preserving operations. Arkhiv patologii. 2022;84(4):29–37. (In Russ). doi: 10.17116/patol20228404129
- Solomatina AA, Breusenko LE, Khamzin IZ, et al. Three-dimensional ultrasound assessment of morphological and functional characteristics of the endometrium in patients after unilateral adnexectomy. Gynecology, Obstetrics and Perinatology. 2023;22(1):19–26. (In Russ). doi: 10.20953/1726-1678-2023-1-19-26
- Mikhaleva LM, Solomatina AA, Khovanskaya TN, et al. Morphological and functional state of the endometrium and its receptivity in patients with ovarian endometriosis. Russian Journal of Human Reproduction. 2020;26(3):68–75. (In Russ). doi: 10.17116/repro20202603168
- Rudenko YuA, Kulagina EV, Kravtsova OA, et al. The readiness of the endometrium for extracorporeal fertilization: prognosis by the data of ultrasound and morphological study. Genes & cells. 2019;14(3):142–146. (In Russ). doi: 10.23868/201906025
- Krasnopol’skaja KV, Ershova IJu, Fedorova AA. Tonkii jendometrii. Lechenie besplodija u zhenshhin s gipoplaziei jendometrija. Moscow: GJeOTARMedia; 2020. (In Russ).
- Kliman HJ, Frankfurter D. Clinical approach to recurrent im- plantation failure: evidence-based evaluation of the endometrium. Fertil Steril. 2019;111(4):618–628. doi: 10.1016/j.fertnstert.2019.02.011
- Makhmudova GM, Kibanov MV, Gokhberg YaA. In search for an ideal marker of endometrial receptivity from histology to comprehensive molecular genetics-based approaches. Almanac of Clinical Medicine. 2019;47(1):12–25. (In Russ). doi: 10.18786/2072-0505-2019-47-005
- Radzinsky VE, Mikhaleva LM, Orazov MR, et al. Endometrium receptivity in patients with repeated implant failures. Doctor.Ru. 2022;21(1):27–33. (In Russ). doi: 10.31550/1727-2378-2022-21-1-27-33
- Craciunas L, Gallos I, Chu J, et al. Conventional and modern markers of endometrial receptivity: a systematic review and meta-analysis. Hum Reprod Update. 2019;25(2):202–223. doi: 10.1093/humupd/dmy044
- Coughlan C, Ledger W, Wang Q, et al. Recurrent implantation failure: definition and management. Reprod Biomed Online. 2014; 28(1):14–38. doi: 10.1016/j. rbmo.2013.08.011
- Dorostghoal M, Ghaffari HO, Marmazi F, Keikhah N. Overexpression of endometrial estrogen receptor-alpha in the window of implantation in women with unexplained infertility. Int J Fertil Steril. 2018;12(1):37–42. doi: 10.22074/ijfs.2018.5118
- Kogan EA, Paramonova NB, Kolotovkina AV, Burmenskaya OV. The morphological and molecular biological signs of impaired endometrial receptivity in infertility in women suffering from external genital endometriosis. Arkhiv patologii. 2018;80(3):11–18. (In Russ). doi: 10.17116/patol201880311-18
- Karaoğlan Ö., Kuyucu Y., Ürünsak İ.F., et al. Morphological features of the secretory phase endometrium in women with unexplained infertility. Ultrastruct Pathol. 2021;45(3):243–256. doi: 10.1080/01913123.2021.1954117
- D’Ippolito S, Nicuolo F, Papi M, et al. Expression of pinopodes in the endometrium from recur- rent pregnancy loss women. Role of thrombomodulin and ezrin. J Clin Med. 2020;9(8):2634. doi: 10.3390/jcm9082634
- Tolibova GH, Tral’ TG, Kogan IJu, Olina AA. Jendometrij. Atlas. Moscow: Mediabjuro Status prezens; 2022. 184 p. (In Russ).
Supplementary files





