Влияние липосом различного состава на кожу и ее производные после термического ожога II–IIIА степени
- Авторы: Пашкевич Н.И.1, Вильянен Д.В.2, Марцинкевич А.Ф.1, Борисова-Мубаракшина М.М.2, Осочук С.С.1
-
Учреждения:
- Витебский государственный ордена Дружбы народов медицинский университет
- Институт фундаментальных проблем биологии РАН – Обособленное подразделение Федерального государственного бюджетного учреждения науки «Федеральный исследовательский центр «Пущинский научный центр биологических исследований Российской академии наук»
- Выпуск: Том 16, № 1 (2024)
- Страницы: 67-76
- Раздел: Экспериментальные статьи
- URL: https://journal-vniispk.ru/2075-8251/article/view/263359
- DOI: https://doi.org/10.32607/actanaturae.27329
- ID: 263359
Цитировать
Аннотация
Раccмотpены патологичеcкие процессы и состояния, которые возникают при экспериментальном моделировании на лабораторных животных термических ожогов II–IIIА степени и характеризуются наpушением cтpуктуpы кожных покровов, снижением их функции, в частности барьерной, а также повреждением таких производных кожи, как волосяные фолликулы и сальные железы. Сравнили действие липосом, изготовленных из соевого лецитина, содержащего 90% фосфатидилхолина, и липосом из лецитина, содержащего 26% фосфатидилхолина, на состояние эпидермиса, дермы и ее капилляров, волосяных фолликулов и сальных желез у лабораторных животных через 24 ч после экспериментального моделирования термических ожогов кожи II–IIIА степени. Обcуждаютcя особенности влияния липосом на кожу и ее производные в зависимости от содержания жирных кислот в лецитине, который используется для приготовления липосом обоих составов, в частности, от содержания в нем фосфатидилинозита, фосфатидных кислот, олеиновой и линолевой кислот.
Ключевые слова
Полный текст
СОКРАЩЕНИЯ
ПНЖК – полиненасыщенные жирные кислоты.
ВВЕДЕНИЕ
Известно, что кожа является самым большим органом тела человека и животных, играющим важную роль в метаболизме. Повреждение кожных покровов способно повлечь за собой значительные нарушения в функционировании и состоянии всех слоев кожи и ее производных, приводя к существенным изменениям в метаболических процессах в клетках и тканях, вплоть до летального исхода.
В кожных покровах человека находится 3–4 млн потовых желез [1], вес которых суммарно составляет около 100 г [2], что практически равно среднему весу одной почки. Потовые железы участвуют в выведении ксенобиотиков, экзогенных и эндогенных токсических/биоактивных веществ, таких, как металлы [3], лекарственные средства [4, 5], цитокины [6], стероиды [7], липиды, в том числе и холестерин [3, 5, 8–10]. Кожные покровы располагают мощной антиоксидантной системой [2], а также являются эндокринным органом [11].
Клетки сальных желез кожи могут действовать как иммунокомпетентные, поскольку способны распознавать патогены, синтезировать и высвобождать про- и противовоспалительные цитокины и хемокины, а также противомикробные пептиды и липиды [12]. Известно, что изомер пальмитолеиновой кислоты (C16:1D6) – сапиеновая кислота кожного сала – проявляет антимикробную активность [13]. Сальные железы являются основными транспортерами жирорастворимых антиоксидантов [14]; кроме того, сальные железы могут реагировать на лептин, что говорит об их связи с механизмами регуляции чувства голода и механизмами развития ожирения [15], а также участвуют в высвобождении феромонов [16].
Таким образом, в настоящее время сальная железа считается «мозгом кожи» и важнейшей кожной эндокринной железой. Функциональная активность сальных желез тесно связана с функционированием волосяных фолликулов.
Волосяной фолликул действует как сенсор и иммунологический «стражник» кожи. Волосы обнаруживают раздражители над поверхностью кожи, при этом малейший изгиб волоса активирует нейрорецепторы в фолликуле, передавая сенсорную информацию в нервную систему. В свою очередь, клетки Лангерганса волосяных фолликулов, выполняющие роль макрофагов, обнаруживают поверхностные патогены и активируют иммунную систему [17]. Клетки волосяного фолликула, расположенные рядом с местом прикрепления мышцы, выпрямляющей ворсинки, обладают свойствами эпителиальных стволовых клеток и могут служить своего рода резервуаром для клеток эпидермиса и сальных желез [18]. Таким образом, повреждение или сохранность клеток волосяных фолликулов является важным показателем регенеративного потенциала кожи.
Одним из наиболее часто возникающих повреждений кожных покровов является ожоговая травма. По данным Федеральной службы государственной статистики Российской Федерации, количество пострадавших от ожогов в 2021 году превысило 220000 человек [19]. При этом в 70% случаев лечение ожогов целесообразно проводить в амбулаторных условиях [20]. В связи с этим особую актуальность приобретает разработка новых лекарственных средств для терапии ожогов.
В процессе заживления поврежденных кожных покровов выделяют четыре основные стадии – гемостаз, воспаление, пролиферация и ремоделирование, каждая из которых управляется каскадом молекулярно-биологических процессов [21]. Стадия воспаления и ее разрешение считаются решающими для заживления ран. В этом отношении важны простагландины, лейкотриены, гидрокси- и кетоэйкозатетраеновые кислоты [22], для синтеза которых необходимы полиненасыщенные жирные кислоты (ПНЖК), преимущественно омега-3 и омега-6 жирные кислоты (ω-3 и ω-6). Именно ПНЖК являются предпочтительными мишенями для свободнорадикального окисления, усиление которого приводит к разрушительным последствиям ожоговой травмы [23]. Учитывая меньшее количество эссенциальных ПНЖК в фосфатидилхолине сальных желез по сравнению с фосфатидилхолином других органов [24], увеличение свободнорадикального окисления при ожогах кожных покровов может вызвать существенный дефицит эссенциальных ω-3 и ω-6 ПНЖК. В этих условиях возможен частичный или значительный переход на продукцию простаноидов из синтезируемых эндогенно ПНЖК ω-9-ряда, способных, однако, при дефиците эссенциальных жирных кислот ω-3- и ω-63-ряда усиливать продукцию провоспалительных цитокинов макрофагами [25]. Таким образом, целесообразным представляется использование в терапии ожоговых травм накожных препаратов, содержащих эссенциальные ω-3 и ω-6 ПНЖК, например, препаратов липосом, построенных из фосфатидилхолина.
История открытия и использования липосом началась в 60-е годы XX столетия с работ Алека Бенгхема и его коллег, которые экспериментировали с фосфолипидами в водных средах и обнаружили их способность образовывать мембраноподобные структуры [26]. В настоящее время липосомы широко используются в качестве биологических наноконтейнеров для транспорта лекарственных средств в онкологии [27, 28], офтальмологии [29], дерматологии [30], генной терапии [31] и других областях медицины. К неоспоримым достоинствам липосом относятся их способность к биодеградации, низкая иммуногенность, способность взаимодействовать с клеточной мембраной, обеспечивая внутриклеточную доставку их содержимого [32]. Однако, несмотря на очевидность высокой метаболической активности эссенциальных ПНЖК, включенных в состав фосфолипидов, используемых для производства липосом, недостаточное внимание уделяется метаболическим эффектам таких липосом в зависимости от спектра жирных кислот, входящих в их состав. В научной литературе представлены лишь несколько работ, имевших целью сравнение активности липосом с различным составом жирных кислот. Так, L.J. Jenski и соавт. [33, 34] указали на способность липосом с α-линоленовой и докозагексаеновой кислотами увеличивать выживаемость мышей с экспериментальным раком. Эффект объяснялся цитотоксичностью докозагексаеновой кислоты в отношении опухолевых клеток. Отмечена способность липосом, построенных на основе фосфатидилхолина, имеющего в своем составе линоленовую кислоту, угнетать рост Helicobacter pylori [35]. Однако системных работ, посвященных влиянию липосом с различным содержанием и спектром жирных кислот в их составе на производные кожи, не проводилось.
ЭКСПЕРИМЕНТАЛЬНАЯ ЧАСТЬ
Исследования проведены в рамках договора о сотрудничестве между учреждением образования «Витебский государственный ордена Дружбы народов медицинский университет» (ВГМУ) и Федеральным государственным бюджетным учреждением «Федеральный исследовательский центр «Пущинский научный центр биологических исследований Российской академии наук», на базе научно-исследовательской лаборатории ВГМУ.
Приготовление липосом
Липосомы двух составов готовили из соевого лецитина (фосфатидилхолина) и холестерина (Sigma, США) в соотношении 5 : 1 согласно методике, описанной в статье [36]. Лецитин (7.78%) и холестерин (1.5%) растворяли в 15 мл хлороформа и 5 мл метанола. Тонкий пленочный слой липосом формировали вакуумной сушкой раствора на роторном испарителе. Пленку медленно ресуспендировали в растворе 0.01 М фосфатного буфера (рН 6), встряхивали, конечный раствор липосом экструдировали через фильтр 400-нм на лабораторном мини-экструдере Avanty (Avanti Polar Lipids, США). Для изготовления липосом первого состава использовали аптечный «Лецитин» (Ricel and Foods, Inc., США), содержащий 26% фосфатидилхолина, 12–15% фосфатидилинозита, 4–8% фосфатидных кислот, 40–50% свободных жирных кислот, а также на 100 г продукта: P – 3000 мг, K+ – 1250 мг, Сa2+ – 150 мг, Fe – 4 мг, Mg2+ – 150 мг, Na+ – 30 мг, витамин E – 5 мг. Липосомы второго состава готовили на основе лецитина, содержащего 90% фосфатидилхолина (PanReac AppliChem, Испания).
Размер липосом определяли на приборе Zetasizer Nano ZS (Malvern Instruments Ltd, Великобритания) (рис. 1А, Б). Средний размер липосом на основе 26% фосфатидилхолина составляет 486.7 нм, липосом с 90% фосфатидилхолина – 523.2 нм.
Рис. 1. Распределение липосом по размеру. А – липосомы с 26% фосфатидилхолина. Б – липосомы с 90% фосфатидилхолина,
Метилирование жирных кислот лецитинов обоих составов проводили с использованием метилата натрия (Sigma-Aldrich). Спектр жирных кислот исследовали методом газожидкостной хроматографии на хроматографе Thermo Focus GC (США) c использованием капиллярной колонки SGEBPX70 (60 м × 0.25 мм) в программе: to испарителя 200°С, to пламенно-ионизационного детектора 280°С, to термостата колонок – начальная 120°С при скорости 3°С/мин до to 245°С, изотерма при 245°С – 5 мин (полное время анализа составило 46.66 мин). Скорость газа-носителя (He) – 1.3 мл/мин. Жирные кислоты идентифицировали по времени удерживания стандартных метиловых эфиров (Sigma-Aldrich). Количество оценивали в процентах от суммы площадей всех идентифицированных пиков.
Лабораторные животные
Эксперименты проводили в два этапа, на 92 белых неинбредных крысах – самцах массой 180–250 г, разделенных на четыре группы: 1 – интактные животные (n = 7 для первого состава липосом и n = 12 для второго); 2 – стресс-контроль, так называемый ложный стресс (n = 7 для первого состава липосом и n = 12 для второго) (манипуляции с животными без ожога и нанесения испытуемого состава); 3 – термический ожог (n = 15 для первого состава липосом и n = 12 для второго); 4 – термический ожог + липосомы первого состава (n = 15) и липосомы второго состава (n = 12).
Моделирование термических ожогов кожных покровов
Прибор для моделирования термических ожогов был изготовлен ОАО КБ «Дисплей» (Витебск, Республика Беларусь) в рамках договора о сотрудничестве с учреждением образования «Витебский государственный ордена Дружбы народов медицинский университет».
Для моделирования ожогов крыс наркотизировали кетамином в дозе 150 мкл/крыса [37–39], выбривали шерсть на спине и к коже на 4 мин прикладывали прибор, разогретый до 150°С. Нанесенные повреждения морфологически соответствовали ожогу II–IIIA степени (рис. 2). Площадь ожога составила 8–9% от площади тела. Для расчета площади ожога использовали формулу, предложенную Meeh: S = k × W2/3, где S – площадь поверхности тела, см2; W – масса тела животного, кг; k – константа Meeh, равная 9.46 [40]. Непосредственно после нанесения ожога животным четвертой экспериментальной группы на поврежденные кожные покровы наносили по 0.45 мл липосомного раствора состава 1 или состава 2.
Рис. 2. Микропрепарат кожи интактных животных. Окраска гематоксилином и эозином. Об. ×20. 1 – эпидермис, 2 – дерма, 3 – волосяные фолликулы, 4 – сальные железы
Гистологическое исследование кожных покровов
Животных декапитировали под эфирным наркозом через 24 ч после нанесения ожоговой травмы с последующим отбором кожных покровов для гистологического исследования. Образцы кожи до обработки фиксировали в 10% растворе нейтрального формалина. Гистологические срезы окрашивали гематоксилином-эозином и исследовали на микроскопе Leica DM 2500 (Германия, окуляр ×10, объективы ×20 и ×40), оснащенном цифровой камерой Leica DFC 320. Количество поврежденных элементов подсчитывали в 10-ти полях зрения и рассчитывали средний показатель исследуемых элементов кожи.
Статистический анализ данных выполнен при помощи пакета прикладных программ R version 4.0.5 (2021-03-31). Распределение исследуемых признаков оценивали согласно критерию Шапиро–Уилка, при условии наличия Гауссовского распределения для сравнения использовали методы параметрической статистики, в обратном случае – непараметрические методы. Парное сравнение осуществляли на основании критерия Стьюдента или критерия Вилкоксона–Манна–Уитни. Множественное сравнение выполняли при помощи ANOVA (в случае гетерогенности дисперсий исследуемых признаков применяли поправку Уэлча) или H-критерия Краскела–Уоллиса. Анализ post hoc выполняли согласно критерию Тьюки или H-критерия Краскела–Уоллиса в модификации Данна с поправкой на множественные сравнения по методу Бенджамини–Иекутиели. Отличия считали статистически значимыми при p < 0.05.
РЕЗУЛЬТАТЫ
В состав аптечного лецитина (26% фосфатидилхолина) входили жирные кислоты (от общего содержания жирных кислот, %): С16:0 – 18.87, С18:0 – 3.86, С18:1n9c – 8.8, С18:2n6c – 56.95, С18:3n3 – 6.81.
В состав лецитина, содержащего 90% фосфатидилхолина, входили жирные кислоты (от общего содержания жирных кислот, %): С16:0 – 13.63, С18:0 – 3.68, С18:1n9c – 11.36, С18:2n6c – 62.88, С18:3n3 – 6.12. Таким образом, в составе лецитина, содержащего 90% фосфатидилхолина, выявлено более высокое содержание линолевой кислоты (С18:2n6c – 62.88% по сравнению с 56.95% в аптечном лецитине) и олеиновой кислоты (С18:1n9с 11.36% по сравнению с 8.8% в аптечном лецитине).
Оценка влияния так называемого ложного стресса (см. «Экспериментальную часть») на исследуемые показатели не выявила статистически значимых отклонений исследуемых показателей от значений, характерных для интактных животных (табл. 1).
Эпидермис интактных животных и животных группы ложного стресса имеет послойное строение: роговой слой, базальный, шиповатый и зернистый слои сохранены (рис. 2). Просматривается волокнистое строение дермы, извитой характер коллагеновых волокон, ткань четко структурирована. Сохранена целостность волос и волосяных фолликулов, четко структурировано корневое наружное и внутреннее эпидермальное волосяное влагалище, мозговое вещество не расширено. Сохранена целостность сальных желез, везикулы с секретом плотно прилегают друг к другу, многослойный эпителий желез сохранен. Сосуды микроциркуляторного русла дермы и капилляры сосочкового слоя дермы не гиперемированы, поэтому плохо визуализируются.
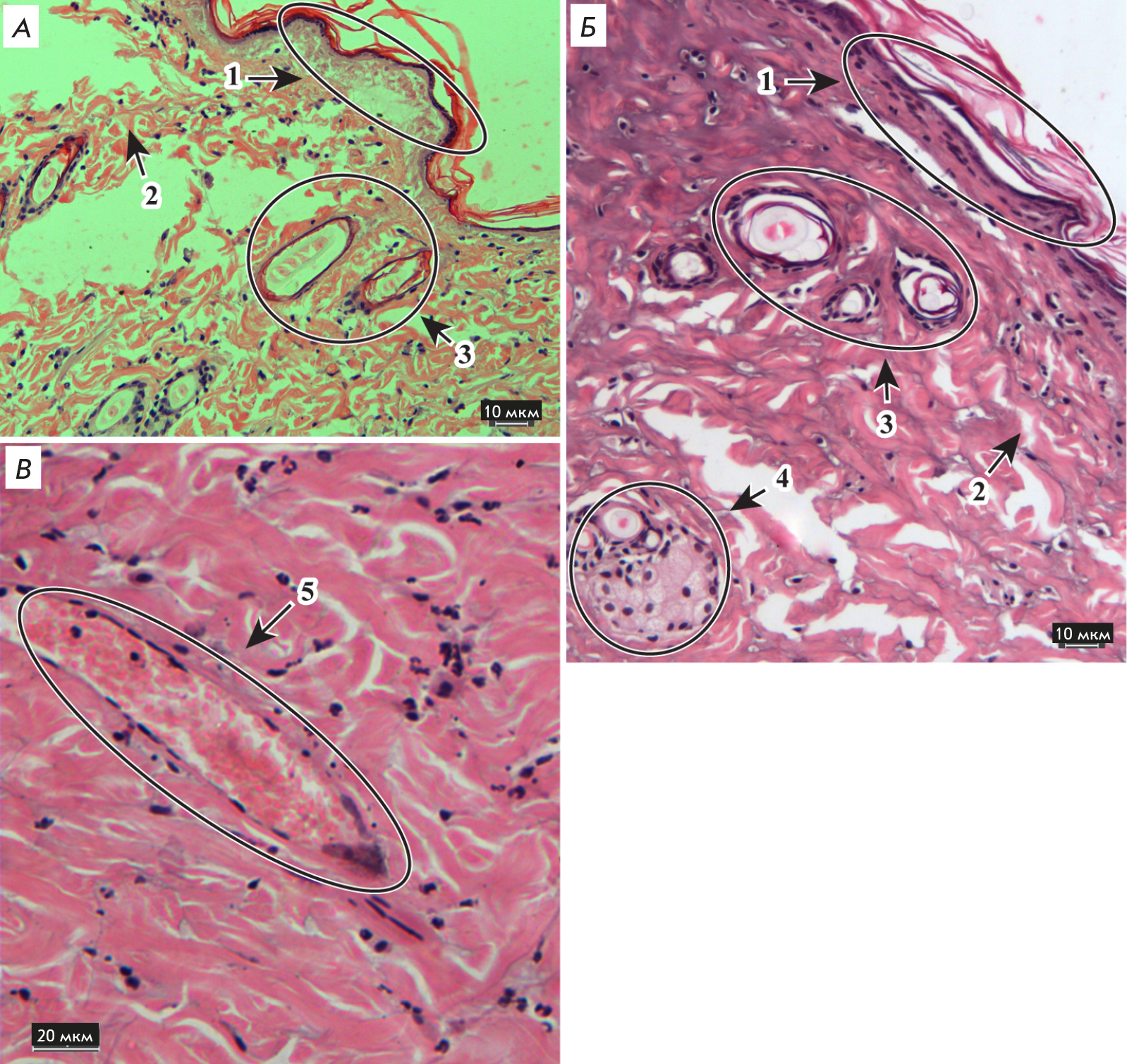
На рис. 3 представлены изменения кожи через 24 ч после термического ожога II–IIIA степени. Наблюдается изменение структуры всех слоев эпидермиса, что проявляется в виде разрушения рогового слоя, некроза высокопролиферирующих клеток шиповатого и базального слоев, зернистый слой сохранен лишь в отдельных участках, эпидермально-дермальная граница сглажена. Отсутствуют дермальные сосочки и пучково-волокнистое строение дермы, ткань представлена однородной бесструктурной массой в результате денатурации коллагена. Деструкция корня волоса, корневое влагалище и соединительнотканная дермальная сумка не визуализируются, мозговое вещество корня волоса значительно расширено, изменена форма корня волоса, вокруг корня – однослойный контур клеток. Сальные железы деформированы, секреторные везикулы разрушены, клетки эпителия повреждены. Сосуды гиподермы гиперемированы, стенка разрушена.
Рис. 3. Морфологические изменения кожи через 24 ч после термического ожога. Окраска гематоксилином и эозином. Об. ×20 (А, Б) и об. ×40 (В).1 – эпидермис,2 – дерма,3 – волосяные фолликулы,4 – сальные железы,5 – кровеносные сосуды
Математическая оценка влияния ожога на оцениваемые параметры показала статистически значимое снижение толщины эпидермиса, рогового слоя эпидермиса и толщины эпидермиса без учета рогового слоя как по сравнению с интактными животными, так и по сравнению с группой ложного стресса (табл. 1). Кроме того, количество гиперемированных сосудов, волосяных фолликулов и сальных желез увеличивалось в группе животных с ожогом по сравнению с интактными животными и по сравнению с группой животных ложного стресса; соответственно, ожог вызвал негативные статистически значимые изменения всех исследуемых показателей (табл. 1).
Таблица 1. Влияние разного состава липосом на показатели кожи и ее производных через 24 ч после ожоговой травмы
Интактные | Ложный стресс | Ожог | Ожог+липосомы с 26% ФХ | Ожог+липосомы с 90% ФХ |
Толщина эпидермиса, мкм | ||||
28.89±3.63 | 25.95±5.97 | 13.00±3.87*,# | 11.93±2.69*,# | 12.25±4.03*,# |
Толщина рогового слоя эпидермиса, мкм | ||||
13.05±2.04 | 13.42±3.91 | 5.70±2.20* | 4.73±1.49*,# | 5.00±2.95*,# |
Толщина эпидермиса (без рогового слоя), мкм | ||||
15.84±2.73 | 12.53±2.46 | 7.30±2.32* | 7.20±2.14*,# | 7.25±1.71*,# |
Количество гиперемированных сосудов | ||||
0.00±0.00 | 0.00±0.00 | 14.48±4.73*,# | 12.00±3.74*,# | 7.75±1.22*,#,v |
Количество поврежденных волосяных фолликулов | ||||
0.00±0.00 | 0.00±0.00 | 2.93±3.47*,# | 0.00±0.00v | 3.42±0.90*,#,а |
Количество поврежденных сальных желез | ||||
0.00±0.00 | 0.00±0.00 | 6.78±1.19*,# | 6.13±1.13*,# | 0.00±0.00v,а |
Примечание. ФХ – фосфатидилхолин. Статистически значимо: * – по сравнению с интактными; # – по сравнению со стрессом; v – по сравнению с ожогом, a – по сравнению 26% ФХ.
Через 24 ч после ожога и нанесения на ожоговую поверхность кожи раствора липосом из лецитина, содержащего 26% фосфатидилхолина, отмечается частичное восстановление послойного строения эпидермиса (рис. 4). Наблюдается частичное формирование пучков дермы, извитая структура волокон, повышение количества микрососудов, а также по сравнению с кожей интактных животных большое количество аморфного вещества. Сохранена целостность волос и волосяных фолликулов, корневое эпидермальное волосяное влагалище структурировано, мозговое вещество не расширено. Секреторные везикулы сальных желез повреждены, клетки эпителия расположены рыхло, межклеточные контакты потеряны. Крупные сосуды гиподермы гиперемированы, стенка их частично разрушена.
Рис. 4. Морфологические изменения кожи при ожоговой травме через 24 ч после нанесения раствора липосом из 26% фосфатидилхолина. Окраска гематоксилином и эозином. Об. ×20 (А, Б) и об. ×40 (В). 1 – эпидермис,2 – дерма,3 – волосяные фолликулы,4 – сальные железы,5 – кровеносные сосуды
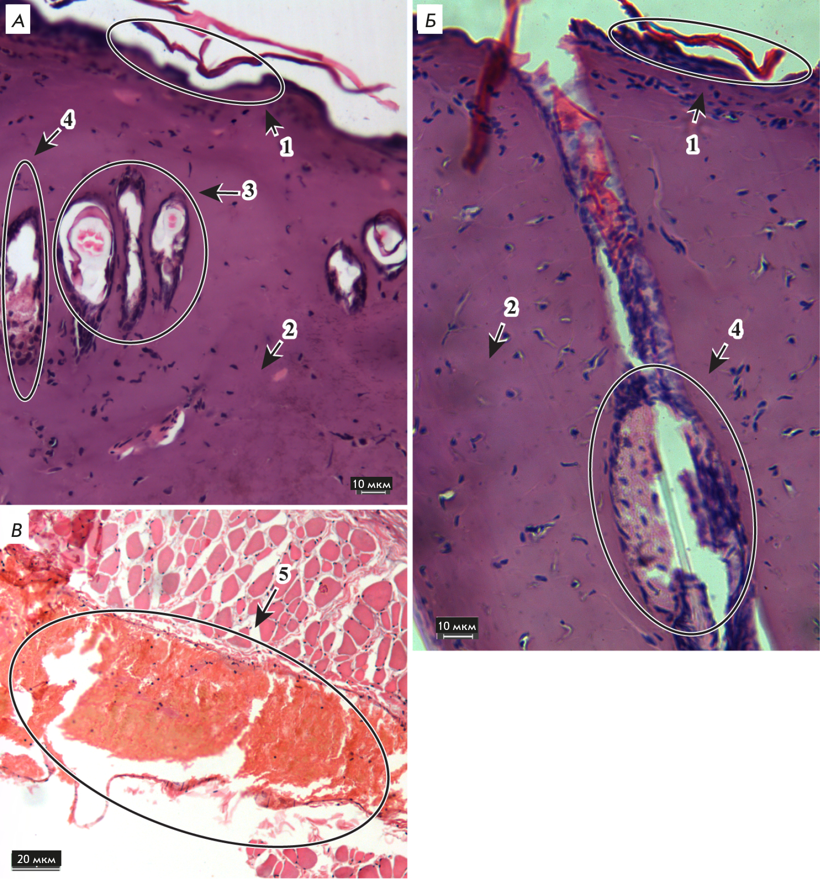
После нанесения раствора липосом из лецитина, содержащего 90% фосфатидилхолина, отмечается частичное восстановление послойного строения эпидермиса, повышение количества клеток базального слоя и снижение количества клеток шиповатого слоя, поврежден зернистый слой (рис. 5). Наблюдается частичное формирование пучков дермы, извитая структура волокон, повышение количества микрососудов, а также по сравнению с кожей интактных животных большое количество аморфного вещества. Отмечается разрушение корня волоса, деструкция наружного и внутреннего корневого влагалища, мозговое вещество корня волоса расширено, изменена форма корня волоса, вокруг корня однослойный контур клеток. Сохранена целостность сальных желез, везикулы с секретом плотно прилегают друг к другу, многослойный эпителий желез сохранен. Крупные сосуды гиподермы гиперемированы, стенка их частично истончена.
Рис. 5. Морфологические изменения кожи после нанесения раствора липосом из 90% фосфатидилхолина при ожоговой травме. Окраска гематоксилином и эозином. Об. ×20 (А, Б) и об. ×40 (В).1 – эпидермис,2 – дерма,3 – волосяные фолликулы,4 – сальные железы,5 – кровеносные сосуды
Согласно проведенной математической оценке, липосомы разного жирнокислотного состава не повлияли статистически значимо на толщину эпидермиса, толщину рогового слоя эпидермиса и толщину эпидермиса без рогового слоя, но наблюдалась тенденция к частичному восстановлению эпидермальных слоев при использовании лецитина, содержащего как 26%, так и 90% фосфатидилхолина (табл. 1). Однако после нанесения липосом, изготовленных из лецитина с 26% фосфатидилхолина, поврежденные волосяные фолликулы не определялись (табл. 1).
Использование липосом, изготовленных из лецитина с 90% фосфатидилхолина, не оказало влияния на количество поврежденных волосяных фолликулов, однако снизило количество гиперемированных сосудов на 47% по сравнению с группой животных с ожогом и нивелировало негативное действие ожога на сальные железы, снизив их количество до значений, регистрируемых у здоровых животных (табл. 1).
Таким образом, ожог вызывал негативные изменения всех исследуемых показателей. Липосомы, изготовленные из лецитина, содержащего 26% фосфатидилхолина, предотвращали появление поврежденных волосяных фолликулов, что может быть связано с дополнительными компонентами, входящими в состав аптечного лецитина.
Липосомы, изготовленные из лецитина, содержащего 90% фосфатидилхолина, снижали количество гиперемированных сосудов и предотвращали повреждение сальных желез. Кроме того, наблюдалось значимое восстановление структуры дермы при использовании для приготовления липосом лецитина, содержащего как 26, так и 90% фосфатидилхолина.
ОБСУЖДЕНИЕ
Известно, что барьерная функция является основной функцией кожных покровов. Эта функция обеспечивается: препятствием физическому проникновению чужеродных компонентов кератиноцитами за счет единства их монослоев; липидно-защитной частью за счет наличия в составе кожи церамидов, холестерина и свободных жирных кислот, содержащихся в межклеточном пространстве корнеоцитов; липолитическими, протеолитическими ферментами и противомикробными пептидами, синтезирующимися клетками кожи; обновлением липидных и ферментативных компонентов за счет их секреции клетками кожи [41, 42].
На основе полученных результатов можно заключить, что ожог значительно снижает барьерную функцию кожных покровов, в том числе за счет липидно-защитного компонента межклеточного пространства корнеоцитов. Логично предположить, что добавление липидных компонентов в состав противоожоговых средств может снижать активность термического повреждения кожных покровов. Вместе с тем, известно, что фосфатидилинозит-3-киназа/протеинкиназа В участвует в формировании постожогового септического процесса [43]. Учитывая присутствие в составе 26% лецитина 12–15% фосфатидилинозита (субстрата фосфатидилинозит-3-киназы/протеинкиназы В), можно предположить возможность потенцирования негативного действия ожоговой травмы. Однако в проведенном эксперименте не выявлено негативного действия липосом первого состава на исследуемые показатели, что свидетельствует об отсутствии негативного влияния фосфатидилинозита на течение ожогового процесса. Вместе с тем, выявленное нами позитивное действие липосом, изготовленных из 26% фосфатидилхолина, на предотвращение повреждения волосяных фолликулов может быть обусловлено фосфатидными кислотами, входящими в состав субстанции (4–8%), из которой они изготовлены. В связи с этим, описанное нами отсутствие положительного действия на волосяные фолликулы липосом, изготовленных из лецитина с 90% фосфатидилхолина, может быть обусловлено отсутствием в их составе фосфатидных кислот. Однако подтверждение данного предположения требует дополнительных исследований.
Выявленное в нашем исследовании уменьшение количества гиперемированных сосудов расценено как позитивное, поскольку интенсивность наполнения сосудов кожи клетками крови связана с активностью воспалительного процесса [44]. Таким образом, липосомы, изготовленные из лецитина с 90% фосфатидилхолина, вероятно, обладают способностью снижать активность воспалительного процесса. Данный эффект может определяться более высоким содержанием γ-линоленовой кислоты (С18:3n6c) в составе лецитина с 90% фосфатидилхолина, что согласуется с ее положительными эффектами, описанными при экспериментальном ожоге у крыс [45].
Известно, что сальные железы выделяют свой секрет в волосяные фолликулы [46, 47], синтезируют смесь липидов, создающих барьер проницаемости и обеспечивающих ряд антимикробных свойств кожных покровов [48, 49]. По этой причине выявленный эффект сохранения сальных желез под влиянием липосом из лецитина, содержащего 90% фосфатидилхолина, расценивается как положительный. Данный эффект, вероятнее всего, обусловлен более высоким, чем в аптечном лецитине, содержанием фосфатидилхолина, а также более высоким содержанием в его составе линолевой кислоты (С18:2n6c – 62.88% против 56.95%) и олеиновой кислоты (С18:1n9с 11.36% против 8.8%). Такое предположение представляется обоснованным, поскольку имеются сведения о способности олеиновой (С18:1n9) и линолевой (C18:2n6) кислот ускорять заживление ран кожных покровов и снижать активность воспалительного процесса в них за счет ингибирования продукции провоспалительных цитокинов [50, 51]. Регенерация вспомогательных органов кожных покровов, таких, как волосяные фолликулы и сальные железы, не только ускоряет заживление ран, но и улучшает функциональность регенерированной кожи. Более того, регенерация сальных желез косвенно свидетельствует о регенерации волосяного фолликула [52].
ЗАКЛЮЧЕНИЕ
Исходя из представленного материала можно заключить, что липосомы, сделанные из лецитина, содержащего 90% фосфатидилхолина, с большей эффективностью снижают гиперемию сосудов поврежденной ожогом кожи и предотвращают повреждение сальных желез, чем липосомы, сделанные из лецитина, содержащего 26% фосфатидилхолина. Вместе с тем липосомы, сделанные из лецитина с 26% фосфатидилхолина, предотвращают повреждение волосяных фолликулов, что может быть связано с наличием в их составе фосфатидных кислот, а также, возможно, дополнительными компонентами, входящими в его состав. Для выяснения более детальных молекулярных механизмов действия липосом различного состава необходимо проведение дополнительных исследований.
Источники финансирования
Исследование поддержано Министерством науки и высшего образования Российской Федерации (государственная научная программа,тема № 122041100186-2)и Фондом содействия инновациям, грант УМНИК, договор 16398ГУ/2021.
Соблюдение этических стандартов
Все процедуры, выполненные в исследованиях с участием животных, соответствовали этическим стандартам учреждения, в котором проводились исследования, и утвержденным правовыми актами Республики Беларусь, Российской Федерации, принципам Базельской декларации и рекомендациям (Разрешение комиссии по биоэтике и гуманному обращению с лабораторными животными для проведения научно-исследовательских работ и педагогическом процессе Учреждения образования «Витебский государственный медицинский университет» от 15.01.2021).
Благодарности
Авторы выражают благодарность ОАО Конструкторскому бюро «Дисплей» (г. Витебск, Республика Беларусь) за создание прибора для экспериментального моделирования термических ожогов.
Об авторах
Н. И. Пашкевич
Витебский государственный ордена Дружбы народов медицинский университет
Автор, ответственный за переписку.
Email: orekhova.ni93@gmail.com
Белоруссия, Витебск, 210009
Д. В. Вильянен
Институт фундаментальных проблем биологии РАН – Обособленное подразделение Федерального государственного бюджетного учреждения науки «Федеральный исследовательский центр «Пущинский научный центр биологических исследований Российской академии наук»
Email: orekhova.ni93@gmail.com
Россия, Пущино, Московская обл., 142290
А. Ф. Марцинкевич
Витебский государственный ордена Дружбы народов медицинский университет
Email: orekhova.ni93@gmail.com
Белоруссия, Витебск, 210009
М. М. Борисова-Мубаракшина
Институт фундаментальных проблем биологии РАН – Обособленное подразделение Федерального государственного бюджетного учреждения науки «Федеральный исследовательский центр «Пущинский научный центр биологических исследований Российской академии наук»
Email: orekhova.ni93@gmail.com
Россия, Пущино, Московская обл., 142290
С. С. Осочук
Витебский государственный ордена Дружбы народов медицинский университет
Email: orekhova.ni93@gmail.com
Белоруссия, Витебск, 210009
Список литературы
- Kreyden O.P., Scheidegger E.P. // J. Invest. Dermatol. 2004. V. 22. P. 40–44.
- Zhou S.-S., Li D., Zhou Yi.-M., Cao J.-M. // Diabetol. Metab. Syndr. 2012. V. 4. P. 15.
- Smallridge R.C., Gamblin G.T., Eil C. // Metabolism. 1986. V. 35. P. 899–904.
- Johnson H.L., Maibach H.I. // J. Invest. Dermatol. 1971. V. 56. P. 182–188.
- Sato K. // Rev. Physiol. Biochem. Pharmacol. 1977. V. 79. P. 51–131.
- Cizza G., Marques A.H., Eskandari F., Christie I.C., Torvik S., Silverman M.N., Phillips T.M., Sternberg E.M. // Biol. Psychiatry. 2008. V. 64. P. 907–911.
- Takemura T., Wertz P.W., Sato K.Br. // J. Dermatol. 1989. V. 120. P. 43–47.
- Smith K.R., Thiboutot D.M. // J. Lipid Res. 2008. V. 49. P. 271–281.
- Arck P.C., Slominski A., Theoharides T.C., Peters E.M., Paus R. // J. Invest. Dermatol. 2006. V. 126. P. 1697–1704.
- Oesch F., Fabian E., Oesch-Bartlomowicz B., Werner C., Landsiedel R. // Drug Metab. Rev. 2007. V. 39. P. 659–698.
- Slominski A.T., Manna P.R., Tuckey R.C. // Steroids. 2015. V. 103. P. 72–88.
- Picardo M., Mastrofrancesco A., Tamas B. // Exp. Dermatol. 2015. V. 24. P. 485–486.
- Wille J.J., Kydonieus A. // Skin Pharmacol. Appl. Skin Physiol. 2003. V. 16. P. 176–187.
- Thiele J.J., Weber S.U., Packer L. // J. Invest. Dermatol. 1999. V. 113. P. 1006–1010.
- Zouboulis C.C., Picardo M., Ju Q., Kurokawa I., Torocsik D., Biro T., Schneider M.R. // Rev. Endocr. Metab. Disord. 2016. V. 17. P. 319–334.
- Paus R., Cotsarelis G. // N. Engl. J. Med. 1999. V. 341. P. 491–497.
- Cotsarelis G., Sun T.T., Lavker R.M. // Cell. 1990. V. 61. P. 1329–1337.
- Rochat A., Kobayashi K., Barrandon Y. // Cell. 1994. V. 76. P. 1063–1073.
- Здравоохранение в России. Стат. сб. Росстат. М., 2021. 171 с.
- van Lieshout E.M., van Yperen D.T., van Baar M.E., Polinder S., Boersma D., Cardon A.Y., De Rijcke P.A., Guijt M., Klem T.M., Lansink K.W., et al. // BMJ Open. 2018. V. 8. № 11. P. e023709.
- Kotronoulas A., Karvelsson S.T., Heijink M. // Prostaglandins Leukot. Essent. Fatty Acids. 2021. V. 175. P. 102358.
- Silva J.R., Burger B., Kuhl C.M.C., Candreva T., Dos Anjos M.B.P., Rodrigues H.G. // Mediators Inflamm. 2018. V. 2018. P. 2503950.
- Ancuta E.P. // Acta Sci. Pol. Technol. Aliment. 2016. V. 15. P. 121–129.
- Stewart M.E., Downing D.T., Pochi P.E., Strauss J.S. // Biochim. Biophys. Acta. 1978. V. 529. P. 380–386.
- Okuno T., Gijon M.A., Zarini S., Martin S.A., Barkley R.M., Johnson C.A., Ohba M., Yokomizo T., Murphy R.C. // J. Lipid Res. 2018. V. 59. P. 542–549.
- Савельева М.И., Сычев Д.А. // Флебология. 2018. T. 12. C. 40–49.
- Марчио С., Буссолино Ф. // Вест. Рос. гос. мед. унив. 2018. T. 6. C. 4–14.
- Барышников А.Ю. // Вестник РАМН. 2012. T. 67. C. 23–31.
- Аляутдин Р.Н., Иежица И.Н., Агарвал Р. // Вест. офтальмологии. 2014. T. 130. C. 117–122.
- Молочков А.В., Хлебникова А.Н. // Альманах клинической медицины. 2014. T. 34. C. 85–90.
- Дениевa З.Г., Будановa У.А., Себякин Ю.Л. // Биол. мембраны. 2021. T. 15. C. 21–35.
- Тазина Е.В., Игнатьева Е.В., Полозкова А.П., Орлова О.Л., Оборотова Н.А. // Хим.-фарм. журн. 2008. T. 42. C. 30–35.
- Jenski L.J., Zerouga M., Stillwell W. // Proc. Soc. Exp. Biol. Med. 1995. V. 210. P. 227–233.
- Kafrawy O., Zerouga M., Stillwell W., Jenski L.J. // Cancer Lett. 1998. V. 132. P. 23–29.
- Li X.-X., Shi S., Rong L., Feng M.-Q., Zhong L. // Int. J. Nanomedicine. 2018. V. 13. P. 1399–1409.
- Khoshneviszadeh R.B., Bazzaz S.F., Housaindokht M.R., Ebrahim-Habibi A., Rajabi O. // Iranian J. Pharm. Res. 2015. V. 149. P. 473–478.
- Гиммельфарб Г.Н. Анестезия у экспериментальных животных. Ташкент: Изд-во «Фан» УзССР, 1984. 144 с.
- Бергхоф П.К. Мелкие домашние животные. Болезни и лечение: Пер. с нем. М.: Аквариум, 1999. 224 с.
- Бунатян А.А. Руководство по анестезиологии / под ред. А.А. Бунатяна. М.: Медицина, 1994. 665 с.
- Gilpin D.A. // Burns. 1996. V. 22. P. 607–611.
- Menon G.K., Cleary G.W., Lane M.E. // Int. J. Pharm. 2012. V. 435. P. 3–9.
- Fujiwara A., Morifuji M., Kitade M., Fujiwara A., Morifuji M., Kitade M., Kawahata K., Fukasawa T., Yamaji T., Itoh H. // Arch. Dermatol. Res. 2018. V. 310. P. 729–735.
- Luo K., Long H., Xu B., Luo Y. // Int. J. Surg. 2015. V. 21. P. 22–27.
- Choi S.H., Moon J.S., Jeon B.S., Jeon Y.J., Yoon B.I., Lim C.J. // Biomol. Ther. (Seoul). 2015. V. 23. P. 174–179.
- Allison F.Jr., Smith M.R., Wood Wb.Jr. // J. Exp. Med. 1955. V. 102. P. 655–668.
- Karlstad M.D., De Michele S.J., Leathem W.D., Peterson M.B. // Crit. Care Med. 1993. V. 21. P. 1740–1749.
- Valiveti S., Lu G.W. // Int. J. Pharm. 2007. V. 345. P. 88–94.
- Li X., Becker K.A., Zhang Y. // Cell Physiol. Biochem. 2010. V. 26. P. 41–48.
- Wertz Ph.W. // J. Lipids. 2018. V. 2018. P. 5954034.
- Guidoni M., de Christo Scherer M.M., Figueira M.M., Schmitt E.F.P., de Almeida L.C., Scherer R., Bogusz S., Fronza M. // Braz. J. Med. Biol. Res. 2019. V. 52. P. e8209.
- Barros Cardoso C.R., Souza M.A., Vieira Ferro E.A., Favoreto S.Jr., Pena J.D.O. // Wound Repair Regen. 2004. V. 12. P. 235–243.
- Xia Y., You X.-E., Hong C., Chen H., Yan Y.-J., He Y.-C., Ding S.-Z. // Int. J. Clin. Exp. Pathol. 2017. V. 10. P. 7390–7400.
Дополнительные файлы






