Комбинированная тактика хирургического лечения пациентов с гигантской опухолью оболочек периферических нервов по типу «песочных часов» правого реберно-позвоночного угла
- Авторы: Городнина А.В.1, Кудзиев А.В.1, Назаров А.С.1, Малышок Д.Э.1, Орлов А.Ю.1
-
Учреждения:
- Российский научно-исследовательский нейрохирургический институт им. проф. А.Л. Поленова — филиал Национального медицинского исследовательского центра имени В.А. Алмазова
- Выпуск: Том 13, № 1 (2022)
- Страницы: 43-50
- Раздел: Клинический случай
- URL: https://journal-vniispk.ru/pediatr/article/view/108380
- DOI: https://doi.org/10.17816/PED13143-50
- ID: 108380
Цитировать
Полный текст
Аннотация
Паравертебральные опухоли медиастинальной локализации — обширная группа патологических процессов с различной гистологической картиной и биологическим поведением, хирургическим лечением при которой занимаются врачи разных специальностей, таких как нейрохирурги и хирурги-онкологи. В настоящее время наиболее предпочтительным методом хирургического лечения данных объемных образований принято считать торакоскопическое удаление, ввиду наименьшей травматичности, меньшего количества осложнений и сокращения времени послеоперационного восстановления пациентов. Представлен клинический случай хирургического лечения пациентки с гигантской паравертебральной опухолью, исходящей из IV грудного корешка. Опухоль стала случайной находкой при выполнении плановой флюорографии. Очаговой неврологической симптоматики не отмечалось. Учитывая топографо-анатомические особенности объемного образования, пациентке было проведено комбинированное двуэтапное оперативное вмешательство: сначала выполняли ламинэктомию и удаление фораминального компонента опухоли из заднего доступа, затем одно портовое видеоассистированное торакоскопическое удаление медиастинально расположенного фрагмента опухоли. Операция проходила в условиях коллабированного легкого на стороне вмешательства. В послеоперационном периоде неврологического дефицита не отмечено, по данным контрольной интроскопии опухоль удалена тотально. По результатам гистологического исследования — нейрофиброма (Grade I). Приведенный клинический пример показывает успешную коллаборацию спинальных и торакальных хирургов, а также иллюстрирует возможности современной минимально инвазивной хирургии.
Полный текст
Опухоли оболочек периферических нервов представляют собой гетерогенную группу с широким спектром морфологических признаков и биологическим потенциалом. Они варьируются от доброкачественных и излечимых, путем полного иссечения (шваннома, солитарная нейрофиброма, гибридная опухоль и периневриома) доброкачественных, но потенциально агрессивных на местном уровне (плексиформная нейрофиброма), до высоко злокачественных (злокачественные опухоли оболочек периферических нервов), которые имеют различное клиническое и биологическое поведение.
Излечение и устранение симптомов заболевания — это цели, которые преследует хирургия опухолей позвоночника. Показания к оперативному лечению пациентов с опухолями позвоночника должны быть тщательно продуманы, а лечение необходимо проводить с использованием мультидисциплинарного подхода. Традиционные показания к операции включают в себя:
- первичную злокачественную или локально-агрессивную опухоль;
- нестабильность позвоночника на фоне патологического перелома;
- прогрессирующий неврологический дефицит;
- радиорезистентную опухоль с активным ростом;
- необходимость открытой биопсии;
- болевой синдром, резистентный к другим видам лечения.
При определении показаний к операции могут быть поставлены другие специфические задачи, которые зависят от конкретной клинической картины. Прогноз продолжительности жизни таких пациентов важен. Пациенты с объемными образованиями позвоночника — это масса уникальных случаев, в которой затруднительно выделить общие признаки. Отсюда мы приходим к пониманию, что все сводится к оценке возможности пациента благополучно перенести операцию в необходимом объеме и возможностям хирургической бригады.
Паравертебральные новообразования с экстра-интра-вертебральным расположением и имеющие между собой перешеек в проекции межпозвонкового отверстия относятся к опухолям по типу «гантели» или «песочных часов». Они впервые были описаны G.J. Heuer в 1929 г. [4].
Среди спинальных новообразований частота встречаемости опухолей по типу «песочных часов» составляет 13 % [1, 10], при этом чаще всего опухоли наблюдаются в шейном отделе позвоночника (1 %). Частота выявления неврином грудного отдела позвоночника равна 35 % [3].
Паравертебральные опухоли медиастинальной локализации — обширная группа патологических процессов, хирургическим лечением которой занимаются врачи разных специальностей, таких как нейрохирурги и хирурги-онкологи.
По данным литературы, опухолевые оболочки паравертебральных нервов составляют 30 % всех спинальных опухолей [6]. Существует классификация Eden, в которой опухоли систематизированы в зависимости от их топографо-анатомических взаимоотношений с нервными и костными структурами позвоночника, она позволяет в зависимости от характера распространения опухоли планировать оперативный доступ [3]. Однако она не дает ответа относительно размеров новообразования. В 2001 г. K. Sridhar и соавт. [6] предложили классификацию, которая учитывала не только локализацию опухоли, но также размеры и наличие инвазивного роста. Данная классификация выделяет пять типов неврином, при этом опухоль, занимающая более двух позвоночных сегментов и/или с размером экстравертебрального компонента более 2,5 см, считается гигантской.
Тип I — интра- или экстрадуральная интраспинальная опухоль, занимающая менее двух позвоночных сегментов в длину.
Тип II — интраспинальная опухоль, занимающая более двух позвоночных сегментов в длину.
Тип III — интраспинальная опухоль с распространением в фораминальное отверстие.
Тип IV — интраспинальная опухоль с экстравертебральным распространением: экстравертебральный компонент меньше или больше 2,5 см.
Тип V — опухоль более 2,5 см с остеолизом тела позвонка.
Все чаще встречаются работы, где авторы описывают использование видеоторакоскопической техники для удаления опухолей по типу «песочных часов», ввиду наименьшей травматичности, меньшего количества осложнений и сокращения времени послеоперационного восстановления пациентов [2, 10]. Для опухолей с большим экстрафораминальным компонентом более эффективно использование комбинированной гемиламинэктомии и торакоскопии вместо широкой торакотомии. Оперативные вмешательства, выполняемые комбинированными бригадами с участием хирургов разных специальностей, позволяют добиваться хороших онкологических и функциональных результатов.
Представляемый клинический случай описывает лечение пациентки с гигантской нейрофибромой по типу «песочных часов» правого реберно-позвоночного угла на уровне Th-Th5 мультидисциплинарной хирургической бригадой, включающей торакальных хирургов онкологов и нейрохирургов.
КЛИНИЧЕСКИЙ СЛУЧАЙ
Пациентка О., 32 года, поступила в нейрохирургическое отделение № 1 РНХИ им. проф. А.Л. Поленова — филиал НМИЦ им. В.А. Алмазова с диагнозом: «Опухоль правого реберно-позвоночного угла на уровне позвонков Th-Th5». Клиническая картина представлена периодически возникающим локальным болевым синдромом до 1–2 баллов по визуально-аналоговой шкале. Опухоль стала случайной находкой, обнаруженной при выполнении плановой флюорографии. В неврологическом статусе очаговая симптоматика отсутствовала.
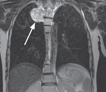
По данным магнитно-резонансной томографии грудного отдела позвоночника паравертебрально справа на уровне тел позвонков Th5 визуализируется образование гантелеобразной формы, размерами 9 × 39 × 35 мм, исходящее из правого корешка Th5; правое межпозвонковое отверстие расширено (рис. 1, 2).
Рис. 1. Магнитно-резонансная томограмма грудного отдела позвоночника, коронарная проекция, опухоль указана стрелкой
Fig. 1. MRI of the thoracic spine, coronal view, the tumor is indicated by an arrow
Рис. 2. Магнитно-резонансная томограмма грудного отдела позвоночника, сагиттальная (a) и коронарная (b) проекции, опухоль указана стрелками
Fig. 2. MRI of the thoracic spine, sagittal (a) and coronal (b) projections, the tumor is indicated by arrows
С целью оценки положения опухоли относительно окружающих костных структур была выполнена многослойная компьютерная томография грудного отдела позвоночника, по данным которой в проекции расширенного правого межпозвонкового отверстия Тh-Тh5 выявлено солидное объемное образование с четкими контурами, размерами 38,7 × 1,9 × 51,1 мм, распространяющееся паравертебрально вправо, правые отделы позвоночного канала деформированы, имеется экскавация заднеправых отделов тела позвонка Тh и правой дужки (рис. 3).
Рис. 3. Многослойная компьютерная томография грудного отдела позвоночника, сагиттальная (а) и аксиальная (b) проекции. Опухоль указана стрелками, визуализируется экскавация заднеправых отделов тела позвонка Тh и правой дуги
Fig. 3. MSCT of the thoracic spine, sagittal (a) and axial (b) projection. The tumor is indicated by arrows, the excavation of the posterior-right parts of the Th vertebral body and the right arch is visualized
По классификации Eden — тип IV, по классификации Sridhar — тип IVb [3, 9].
Учитывая данные клинической картины, интроскопии, топографо-анатомические особенности, решено выполнить одномоментное комбинированное удаление опухоли.
Первым этапом была проведена гемиляминэктомия на уровне Th-Th5, удаление фораминального компонента опухоли, резекция Th-корешка из заднего доступа. Вторым этапом — видеоассистированное торакоскопическое удаление паравертебрального фрагмента опухоли.
Операцию выполняли в условиях полного коллабирования легкого на стороне вмешательства.
Протокол операции. В положении пациентки лежа на животе, после предварительной разметки операционного поля с использованием электронно-оптического преобразователя выполнен линейный разрез кожи и мягких тканей в проекции остистых отростков Th-Th5, длиной 2 см (рис. 4). Скелетированы остистые отростки, дужки Th5 с правой стороны. Выполнена гемиляминэктомия, флавэктомия. Визуализирована опухоль грязно-розового цвета, плотноэластической консистенции, а также дуральный мешок, компримированный опухолевой тканью, не пульсирует. С применением операционного микроскопа и микрохирургической техники выполнено поэтапное удаление фораминального компонента опухоли. Визуализирован правый спинномозговой корешок, пересечен. После удаления фораминальной части опухоли дуральный мешок лежит свободно, пульсирует. Гемостаз, послойное ушивание раны.
Рис. 4. Этапы операции: а — положение на операционном столе во время проведения торакоскопического этапа операции; b — выполнение операции из одного порта (точки доступа)
Fig. 4. Operations steps: а – position on the operational table during the thoracoscopic stage of the operation; b – operation is performed from one port (access point)
В положении пациентки лежа на левом боку с отведением правой руки выполнен линейный разрез кожи по передней подмышечной линии, в области 4-го межреберья, длиной 3 см. С использованием двухпросветной интубационной трубки из правого легкого откачан воздух, создан ложный пневмоторакс. С использованием торакоскопического доступа осуществлен подход к правому реберно-позвоночному углу на уровне Th-Th5. Визуализирована опухоль округлой формы, розового цвета, плотноэластической консистенции, обильно васкуляризована. Выполняли диссекцию опухоли с поэтапным клипированием сосудов, питающих опухоль (рис. 5). Отмечается обильное кровотечение из питающих опухоль сосудов (межреберных артерии). Опухоль удалена единым блоком, извлечена из плевральной полости (рис. 6). Гемостаз. Установлен плевральный дренаж. Послойное ушивание раны.
Рис. 5. Интраоперационная фотография: выполнение торакоскопического этапа. Белой стрелкой указано коллабированное легкое, черной — опухоль
Fig. 5. Intraoperative photo: performing the thoracoscopic stage, the collapsed lung is indicated by the white arrow, the tumor is indicated by the black arrow
Рис. 6. Опухоль удалена единым блоком
Fig. 6. The tumor was removed en bloc
Длительность операции 215 мин, интраоперационная кровопотеря 500 мл.
В первые сутки после операции пациентка наблюдалась в отделении анестезиологии и реанимации, на вторые сутки переведена в профильное отделение.
Плевральный дренаж удален на вторые сутки после операции, после выполнения контрольной рентгенографии органов грудной клетки, по данным которой определялось полное расправление коллабированного легкого.
Пациентка активизирована на вторые сутки после операции, в неврологическом статусе сила мышц в верхних и нижних конечностях достаточная, чувствительных нарушений нет, очаговой неврологической симптоматики не выявлено. Проводилась симптоматическая, антибактериальная терапия.
На контрольной многослойной компьютерной томограмме грудного отдела позвоночника визуализируется костный дефект в области дужки Th5 справа, данных о наличии гематомы в области позвоночного канала не выявлено, признаков объемного образования нет; на уровне Th-Th5 справа визуализируются гемостатические клипсы (рис. 7).
Рис. 7. Многослойная компьютерная томография грудного отдела позвоночника после операции. Визуализируется дефект дужки Th5 на 3D-реконструкции (а, стрелка), ложе удаленной опухоли, гемостатические клипсы (b, стрелка)
Fig. 7. MSCT of the thoracic spine after surgery. The Th5 arch defect is visualized on the 3D reconstruction (a, arrow), the space at the site of the removed tumor, hemostatic clips (b, arrow)
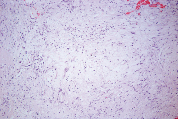
Рис. 8. Гистологическая картина нейрофибромы. На фотографии представлена опухоль периферического нерва из клеток с небольшими овальными ядрами и хорошо различимыми клеточными отростками, продемонстрированы структуры по типу «тертой моркови». Окрашивание гематоксилином и эозином, ×100
Fig. 8. Histological picture of neurofibroma. The photograph shows a tumor of the peripheral nerve from cells with small oval nuclei and well-defined cellular processes, structures like “grated carrots” are demonstrated. Staining with hematoxylin and eosin, ×100
Пациентка выписана на 5-е сутки после операции.
По данным гистологического исследования операционного материала опухоль представлена преимущественно веретеновидными клетками, формирующими разнонаправленные пучковые структуры. Выявляются участки, в которых ядра и сонаправленные им соединительнотканные волокна (позитивное окрашивание по методу Ван-Гизона) приобретают волнистое строение с небольшими фокусами по типу «тертой моркови». Отмечается тенденция к формированию псевдо-мейснеровских телец. По краю опухоли более выраженное формирование грубоволокнистой ткани. Митозы не обнаружены (рис. 9). Заключение — нейрофиброма (Grade I).
Опухоли оболочек периферических нервов с типом роста «песочные часы» в области грудного отдела позвоночника, как правило, имеют длительное бессимптомное клиническое течение, и только своевременная диагностика или минимальное проявление клинической симптоматики помогут заподозрить образование на ранних его стадиях. Данные опухоли нередко имеют большой паравертебральный компонент, по сравнению с интраканальной частью.
Видеоассистированная торакоскопия — эффективный альтернативный метод удаления опухолевых оболочек паравертебральных нервов с наличием паравертебрального компонента. Данная методика менее травматична по сравнению с торакотомическим удалением, снижает выраженность послеоперационного болевого синдрома, имеет меньшее количество осложнений, сокращает период восстановления пациента после операции и длительность госпитализации. Однако при хирургическом лечении крупных опухолей по типу «песочных часов», распространяющихся в позвоночный канал и широко проникающих в грудную полость, следует применять одномоментное поэтапное комбинированное удаление, вначале путем открытой резекции интраканальной части из заднего доступа, затем торакоскопически удалять оставшуюся внутригрудную часть. Данный способ обеспечивает наибольшую радикальность и предотвращает развитие рецидива.
Приведенный клинический пример показывает успешную коллаборацию спинальных и торакальных хирургов, а также иллюстрирует возможности современной минимально инвазивной хирургии.
ЗАКЛЮЧЕНИЕ
Хирургия опухолей позвоночника требует мультидисциплинарного подхода для оценки характера патологии и возможных вариантов лечения. Соблюдение онкологических принципов является основой лечения. Характер распространения опухоли в позвоночнике и в организме определяет вариант хирургического лечения. Лечение пациентов с гигантскими невриномами грудного отдела позвоночника представляется сложной задачей в связи с поражением опухолью нескольких анатомических зон. В связи с этим только комплексный мультидисциплинарный подход позволяет добиться хороших результатов в лечении. До настоящего времени дискутабельным остается вопрос обеспечения стабильности грудного отдела позвоночника после удаления образований типа «песочные часы» [5, 7, 8].
ДОПОЛНИТЕЛЬНАЯ ИНФОРМАЦИЯ
Вклад авторов. Все авторы внесли существенный вклад в разработку концепции, проведение исследования и подготовку статьи, прочли и одобрили финальную версию перед публикацией.
Конфликт интересов. Авторы декларируют отсутствие явных и потенциальных конфликтов интересов, связанных с публикацией настоящей статьи.
Источник финансирования. Работа выполнена в рамках государственного задания по теме: «Разработка малоинвазивной системы непрерывной оценки биомеханических свойств краниоспинальной системы ликворообращения и корковой перфузии».
Об авторах
Ангелина Викторовна Городнина
Российский научно-исследовательский нейрохирургический институт им. проф. А.Л. Поленова — филиал Национального медицинского исследовательского центра имени В.А. Алмазова
Автор, ответственный за переписку.
Email: angelinagorodnina@gmail.com
мл. науч. сотр. НИЛ нейрохирургии позвоночника и периферической нервной системы
Россия, Санкт-ПетербургАндрей Валерьевич Кудзиев
Российский научно-исследовательский нейрохирургический институт им. проф. А.Л. Поленова — филиал Национального медицинского исследовательского центра имени В.А. Алмазова
Email: andro_p@gmail.com
врач-нейрохирург
Россия, Санкт-ПетербургАлександр Сергеевич Назаров
Российский научно-исследовательский нейрохирургический институт им. проф. А.Л. Поленова — филиал Национального медицинского исследовательского центра имени В.А. Алмазова
Email: nazarow_alex@mail.ru
канд. мед. наук, старший научный сотрудник НИЛ нейрохирургии позвоночника и периферической нервной системы
Россия, Санкт-ПетербургДарья Эдуардовна Малышок
Российский научно-исследовательский нейрохирургический институт им. проф. А.Л. Поленова — филиал Национального медицинского исследовательского центра имени В.А. Алмазова
Email: dashadzhil@gmail.com
врач-невролог отделения клинической нейрофизиологии
Россия, Санкт-ПетербургАндрей Юрьевич Орлов
Российский научно-исследовательский нейрохирургический институт им. проф. А.Л. Поленова — филиал Национального медицинского исследовательского центра имени В.А. Алмазова
Email: andrei@mail.ru
д-р мед. наук, руководитель НИЛ нейрохирургии позвоночника и периферической нервной системы
Россия, Санкт-ПетербургСписок литературы
- Басанкин И.В., Нарыжный Н.В., Гюльзатян А.А., Малахов С.Б. Клинический случай гибридного удаления гигантской невриномы по типу «песочных часов» в грудном отделе позвоночника // Инновационная медицина Кубани. 2020. № 4(20). C. 43–47. doi: 10.35401/2500-0268-2020-20-4-43-47
- Chunbo Li., Yun Ye., Yutong Gu., Jian Dong. Minimally invasive resection of extradural dumbbell tumors of thoracic spine: surgical techniques and literature review // European Spine Journal. 2016. Vol. 25, No. 12. P. 4108–4115. doi: 10.1007/s00586-016-677-z
- Eden K. The dumb-bell tumours of the spine // British Journal of Surgery. 1941. Vol. 28, No. 112. P. 549–570. doi: 10.1002/bjs.18002811205
- Heuer G.J. So-called hour-glass tumors of the spine // Arch Surg. 1929. Vol. 18, No. 4. P. 935–981. doi: 10.1001/archsurg.1929.0110130023001
- Liebsch C., Graf N., Wilke H.J. EUROSPINE2016 FULL PAPER AWARD: Wire cerclage can restore the stability of the thoracic spine after median sternotomy: an in vitro study with entire rib cage specimens // Eur Spine J. 2017. Vol. 26, No. 5. P. 1401–1407. doi: 10.1007/s00586-016-768-x
- Himmiche M., Joulali Y., Benabdallah I.S., et al. Shwannomes rachidiens: étude de series // Pan Afr Med J. 2019. Vol. 33. P. 199. doi: 10.1160/pamj.2019.33.199.17921
- Pojskić M., Zbytek B., Mutrie C.J., Arnautović K.I. Spinal dumbbell epidural hemangioma: two stage/same sitting/same position posterior microsurgical and transthoracic endoscopic resection — case report and review of the literature // Acta Clin Croat. 2018. Vol. 57, No. 4. P. 797–808. doi: 10.2071/acc.2018.57.0.27
- Sis H.L., Mannen E.M., Wong B.M., et al. Effect of follower load on motion and stiffness of the human thoracic spine with intact rib cage // J Biomech. 2016. Vol. 49, No. 41. P. 3252–3259. doi: 10.1016/j.jbiomech.2016.08.003
- Sridhar K., Ramamurthi R., Vasudevan M.C., et al. Giant invasive spinal schwannomas: definition and surgical management // J Neurosurg. 2001. Vol. 94, No. 2. P. 210–215. doi: 10.3171/spi.2001.9.2.0210
- Chen X., Ma Q., Wang S., et al. Surgical treatment of thoracic dumbbell tumors // Eur J Surg Oncol. 2019. Vol. 45, No. 5. P. 851–856. doi: 10.1016/j.ejso.2018.10.536
Дополнительные файлы









