Influence of non-alcoholic fatty liver disease on reproductive function in an experiment
- Authors: Brus T.V.1, Kalinina A.A.1, Bannova A.A.2, Korablev R.V.1, Brus Y.S.1
-
Affiliations:
- Saint Petersburg State Pediatric Medical University
- S.I. Georgievsky Order of the Red Banner of Labor Medical Institute, V.I. Vernadsky Crimean Federal University
- Issue: Vol 15, No 1 (2024)
- Pages: 37-44
- Section: Original studies
- URL: https://journal-vniispk.ru/pediatr/article/view/263092
- DOI: https://doi.org/10.17816/PED15137-44
- ID: 263092
Cite item
Full Text
Abstract
BACKGROUND: Currently, the attention of specialists is drawn to the relationship between non-alcoholic fatty liver disease and the development of reproductive disorders in both men and women. To better understand the etiology of these conditions and the mechanisms of pathogenesis, experimental models are being developed. A model using a hypercaloric diet containing increased amounts of carbohydrates is presented in this study.
AIM: The aim of this study is to study the effect of non-alcoholic fatty liver disease on the reproductive function of female Wistar rats.
MATERIALS AND METHODS: The study was conducted on 30 female Wistar rats, which were divided into two groups. The rats in the control group received standard nutrition. The non-alcoholic fatty liver disease model was reproduced in rats of the experimental group. To verify the diagnosis in the groups, changes in animal body weight, total cholesterol, triglycerides and glucose were assessed. After the diagnosis of non-alcoholic fatty liver disease was established, males were placed with the females to assess the females’ fertility.
RESULTS: Keeping animals on a high-carbohydrate diet led to obesity in the females of the experimental group. In rats with non-alcoholic fatty liver disease, a significant increase in the blood levels of total cholesterol and triglycerides, as well as glucose, was found. A significant decrease in the number of pregnancies was recorded in the group with non-alcoholic fatty liver disease. A decrease in the number of individuals in the offspring was also revealed.
CONCLUSIONS: The results of the experiment indicate that the use of a hypercaloric diet in rats causes the development of non-alcoholic fatty liver disease. Non-alcoholic fatty liver disease significantly reduces the fertility of female laboratory rats and reduces the number of individuals in the litter. This model can be used to study the causes of the development of the disease, as well as to better understand the mechanisms underlying reproductive dysfunction in patients.
Full Text
АКТУАЛЬНОСТЬ
В настоящее время неалкогольная жировая болезнь печени (НАЖБП) занимает лидирующую позицию в структуре заболеваний печени и рассматривается как мультисистемное заболевание, ассоциированное с метаболическим синдромом [10, 12]. Как известно, МС включает такие патологические состояния, как ожирение, инсулинорезистентность (ИР), сахарный диабет 2-го типа, гиперлипидемию и артериальную гипертензию [24].
Общая распространенность НАЖБП в мире в среднем составляет 25,24 %. Наиболее высокая распространенность наблюдается на Ближнем Востоке и в Южной Америке, наиболее низкая — в Африке [25]. По данным Всероссийского эпидемиологического исследования DIREG 2 распространенность НАЖБП в России составляет 37,3 % [9], а в Санкт-Петербурге — 49,1 % [11].
Одна из острых проблем у пациенток с НАЖБП — нарушение репродуктивной функции, в том числе ановуляторный менструальный цикл, гиперандрогенемия, синдром поликистозных яичников, бесплодие [16]. Частота бесплодия в группе женщин с НАЖБП составляет 33,6 % по сравнению с 18,6 % среди женщин с нормальной массой тела [8].
Гиперинсулинемия стимулирует синтез яичниковых андрогенов, а также ингибирует секрецию глобулинов, связывающих половые гормоны в печени, что приводит к увеличению циркуляции свободных андрогенов в кровотоке. Патологическая ИР при беременности может стать причиной развития гестационного сахарного диабета, артериальной гипертензии, привести к прерыванию беременности. Увеличивается риск осложнений и в неонатальном периоде, что связано с нарушениями развития плода, — гипертрофия и гипотрофия плода встречается у женщин с патологической ИР соответственно в 2 и в 3 раза чаще, чем у здоровых женщин [5]. Кроме того, накопление жировых отложений может привести к тканевой гипоксии, митохондриальной дисфункции и развитию окислительного стресса, приводит к активации процессов перекисного окисления липидов [2, 7].
Тем не менее влияние женских половых гормонов на развитие метаболических нарушений у пациенток с НАЖБП не до конца изучено. Для глубокого изучения механизмов взаимосвязи НАЖБП и репродуктивной дисфункции необходим поиск адекватных экспериментальных моделей. В ряде научных исследований была доказана эффективность высококалорийной диеты с повышенным содержанием углеводов («западная диета») [1]. Такая диета приближена к питанию современного человека и считается наиболее подходящей для моделирования НАЖБП. Было также обнаружено, что «диета кафетерия» отрицательно влияет на репродуктивную функцию самок, уменьшая количество ооцитов и толщину фолликулярного слоя [3, 22].
Цель исследования — изучить влияние неалкогольной жировой болезни печени на репродуктивную функцию самок крыс линии Wistar.
МАТЕРИАЛЫ И МЕТОДЫ
Исследование проведено на 30 самках крыс Wistar, массой тела на момент включения в исследование 220–240 г, на базе научно-исследовательской лаборатории кафедры патологической физиологии с курсом иммунопатологии ФГБОУ ВО «Санкт-Петербургский государственный педиатрический медицинский университет» Министерства здравоохранения Российской Федерации. Животные получены из ФГУП ПЛЖ «Рапполово» РАМН (Ленинградская область). Перед началом исследования его план и стандартные операционные процедуры были рассмотрены и утверждены Локальным этическим комитетом ФГБОУ ВО СПбГПМУ Минздрава России (№ 09/04 от 11.02.2022).
Животные были разделены на 2 группы:
- «Контроль» (n = 15) — здоровые, интактные крысы, у которых производили исследование параметров метаболизма для расчета фоновых, референсных значений («нормальные показатели»).
- «НАЖБП» (n = 15) — крысы, которые на протяжении всего эксперимента в течение 30 дней в качестве корма получали брикеты, содержащие пищевые компоненты в следующих соотношениях (по массе): 26 % белок, 10 % животный жир, 50 % фруктоза, 8 % целлюлоза, 5 % минеральные вещества, 1 % витамины.
Через 30 дней часть животных вывели из эксперимента (5 из контрольной группы, 5 из группы НАЖБП) для оценки параметров метаболизма.
В ходе исследования производили морфометрическую оценку изменения массы тела лабораторных животных, биохимический анализ основных метаболических показателей крови, гистологическое исследование печени. Общепринятыми методами in vitro определяли: уровень глюкозы, общего холестерина (ОХ), триглицеридов (ТГ).
Для оценки фертильности к оставшимся крысам (n = 10 из контрольной группы, n = 10 из группы НАЖБП) подсаживали интактных самцов (по 1 самцу и 1 самке в клетку). На следующий день производили мазок из влагалища самок и фиксировали наличие в нем живых сперматозоидов (этот день считали первым днем беременности). Через 21 день (срок нормальной беременности у крыс) регистрировали число родивших самок и оценивали количество особей в потомстве. Крысы каждой группы на протяжении беременности получали питание, соответствующее их диете.
Статистическую обработку данных проводили с помощью программного обеспечения SPSS for Windows 13.0. Сравнение средних данных независимых выборочных совокупностей выполняли с помощью t-критерия Стьюдента (при нормальном распределении вариант в выборке) и U-критерия Манна – Уитни (при распределении вариант, отличном от нормального). Статистически значимыми изменения принимали при р < 0,05.
РЕЗУЛЬТАТЫ
При воспроизведении НАЖБП у крыс экспериментальной группы были выявлены характерные признаки — висцеральное ожирение, гипергликемия, дислипидемия.
После 30-дневной гиперкалорийной, насыщенной углеводами диеты у животных группы НАЖБП наблюдалось увеличение массы тела на 19 % (300 ± 10 г) по сравнению с контрольной группой (260 ± 7 г) (p < 0,01).
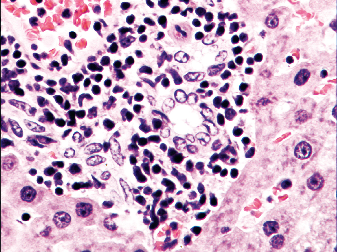
Рис. 1. Неалкогольная жировая болезнь печени (аутоптат печени, окраска гематоксилином и эозином, увел. ×40). Мононуклеарная инфильтрация
Fig. 1. Non-alcoholic fatty liver disease (liver autopsy, Hematoxylin-eosin staining, magnification ×40). Mononuclear cell infiltration
Основу патогенеза НАЖБП в используемой в исследовании модели поражения печени составляет глубокое нарушение липидного обмена с развитием гиперхолестеринемии и гипертриглицеридемии. Анализ основных биохимических параметров крови выявил статистически значимое повышение уровня ТГ у животных экспериментальной группы (1,13 ± 0,53 ммоль/л) на 24 % по сравнению с контролем (p < 0,01). Регистрировали также статистически значимое повышение уровня ОХ (2,52 ± 0,7 ммоль/л) на 45 % (p < 0,05) и уровня глюкозы (7,25 ± 1,1 ммоль/л) на 42 % (p < 0,05).
Гистологическое исследование также подтвердило различную степень выраженности морфологических изменений в экспериментальной и контрольной группах. У животных группы НАЖБП на гистологических препаратах печени регистрировали мононуклеарную инфильтрацию, гиперемию синусоидов, нарушение балочной структуры (рис. 1). В экспериментальной группе с НАЖБП наблюдалась крупнокапельная жировая дистрофия, которая характеризовалась наличием крупных липидных капель в цитоплазме гепатоцитов со смещением ядра к периферии клетки.
Рис. 2. Количество родивших самок крыс в экспериментальной и контрольной группах. *Отличия от группы «Контроль» достоверны на принятом уровне значимости (р < 0,05). НАЖБП — неалкогольная жировая болезнь печени
Fig. 2. The number of females rats who gave birth in the experimental and control groups. *Difference from the “Control” group at the established detection level (р < 0.05). NAFLD — non-alcoholic fatty liver disease
По прошествии 21 дня, после того как к оставшимся крысам были подсажены интактные самцы, было получено потомство. В результате развившихся тяжелых метаболических нарушений в группе животных НАЖБ способность к оплодотворению снизилась на 80 % по сравнению с контрольной группой. Все крысы (100 %) контрольной группы забеременели (n = 10), из группы НАЖБП (n = 10) — лишь 2 (20 %) (рис. 2).
У двух родивших крыс из группы НАЖБП родилось по 4 крысенка. В контрольной группе количество крысят в потомстве составило 9 ± 2 особи (рис. 3).
Рис. 3. Количественное сравнение родившихся особей в потомстве у экспериментальной и контрольной групп. *Отличия от группы «Контроль» достоверны на принятом уровне значимости (р < 0,05). НАЖБП — неалкогольная жировая болезнь печени
Fig. 3. Quantitative comparison of born individuals in offspring in experimental and control groups. *Difference from the “Control” group at the established detection level (р < 0.05). NAFLD — non-alcoholic fatty liver disease
ОБСУЖДЕНИЕ
Использование фруктозоиндуцированной модели НАЖБП приводило к развитию основных компонентов метаболическим синдромом: НАЖБП, ожирению, дислипидемии, инсулинорезистентности. Как известно, метаболизм фруктозы значительно влияет как на липидный гомеостаз, так и на обмен глюкозы [14, 19]. Прием фруктозы усиливает липогенез de novo в гепатоцитах, что приводит к накоплению свободных жирных кислот (СЖК) [4, 7].
У животных экспериментальной группы развилась гипергликемия, вследствие развития инсулинорезистентности. Она может быть вызвана снижением как чувствительности клеток-мишеней к инсулину, так и рецепторов инсулина [13]. Гипертрофия жировой ткани сопровождается снижением продукции противовоспалительного адипонектина и увеличением продукции провоспалительных фактора некроза опухоли альфа, интерлейкина 6, лептина, резистина, которые снижают чувствительность тканей к инсулину. Предыдущие эксперименты также доказывают развитие инсулинорезистентности у животных с НАЖБП [1, 17]. Есть данные, подтверждающие увеличение числа апоптотических фолликулов у крыс с НАЖБП по сравнению с контрольной группой [6, 15].
Анализ полученных данных позволяет сделать заключение о снижении фертильности самок крыс с НАЖБП, о чем свидетельствует снижение количества родивших самок, а также уменьшение числа особей в потомстве.
Результаты настоящего эксперимента коррелируют с данными клинических исследований [7, 18, 20]. Механизмы зависимости снижения фертильности при НАЖБП сложны и многофакторны: гормональные изменения могут привести к ановуляции, снижению качества ооцитов и восприимчивости эндометрия. Одним из механизмов повреждения органелл ооцитов является липотоксичность. Избыток СЖК накапливается в виде ТГ в адипоцитах, где они оказывают повреждающее действие на клетки. При снижении способности адипоцитов аккумулировать ТГ, СЖК концентрируются в других тканях, в частности в ооцитах, оказывая токсическое действие [18, 23]. СЖК повышают количество активных форм кислорода, которые способны вызывать окислительный стресс митохондрий [7, 21].
Нередко у женщин с НАЖБП диагностируют синдром поликистозных яичников, недостаточность лютеиновой фазы менструального цикла, гирсутизм, вирилизацию, гиперпластические процессы эндометрия с повышенным риском развития рака эндометрия. Все эти состояния отрицательно влияют на фертильность [20].
ВЫВОДЫ
Результаты настоящего исследования подтверждают, что использование гиперкалорийной, насыщенной углеводами диеты у крыс приводит к развитию НАЖБП, основными проявлениями которой являются: висцеральное ожирение, дислипидемия, инсулинорезистентность, гипергликемия. Данная диета максимально приближена к современному питанию большинства людей.
Результаты эксперимента доказывают, что развитие НАЖБП оказывает негативное влияние на репродуктивную функцию самок лабораторных крыс, что выявляется в статистически значимом снижении числа беременностей в экспериментальной группе и уменьшении числа особей в потомстве родивших самок с НАЖБП.
Применяемая в исследовании модель НАЖБП может быть использована для дальнейшего изучения ее влияния на репродуктивную систему, а также для исследования потенциальных подходов к профилактике и лечению возникающих метаболических нарушений.
ДОПОЛНИТЕЛЬНАЯ ИНФОРМАЦИЯ
Вклад авторов. Все авторы внесли равный вклад в разработку концепции, проведение исследования и подготовку статьи и одобрили финальную версию перед публикацией.
Конфликт интересов. Авторы декларируют отсутствие явных и потенциальных конфликтов интересов, связанных с публикацией настоящей статьи.
Источник финансирования. Авторы заявляют об отсутствии внешнего финансирования при проведении исследования.
ADDITIONAL INFORMATION
Authors’ contribution. All authors made significant contributions to the development of the concept, research and preparation of the article and approved the final version before publication.
Competing interests. The authors declare the absence of obvious and potential conflicts of interest related to the publication of this article.
Funding source. The authors declare that there is no external funding for the study.
About the authors
Tatiana V. Brus
Saint Petersburg State Pediatric Medical University
Author for correspondence.
Email: bant.90@mail.ru
ORCID iD: 0000-0001-7468-8563
SPIN-code: 9597-4953
MD, PhD, Associate Professor, Department of Pathological Physiology with the course of Immunopathology
Russian Federation, 2 Litivskaya st., Saint Petersburg, 194100Anna A. Kalinina
Saint Petersburg State Pediatric Medical University
Email: aa_kalinina@list.ru
4th year student of the pediatric faculty
Russian Federation, 2 Litivskaya st., Saint Petersburg, 194100Anastasia A. Bannova
S.I. Georgievsky Order of the Red Banner of Labor Medical Institute, V.I. Vernadsky Crimean Federal University
Email: bannova06@list.ru
ORCID iD: 0009-0007-6867-9477
1st year student of the 1st medical faculty
Russian Federation, SimferopolRodion V. Korablev
Saint Petersburg State Pediatric Medical University
Email: rodion.korablev@gmail.com
ORCID iD: 0009-0004-5754-8437
SPIN-code: 4969-6038
MD, PhD, Associate Professor, Department of Pathological Physiology with the course of Immunopathology
Russian Federation, 2 Litivskaya st., Saint Petersburg, 194100Yurii S. Brus
Saint Petersburg State Pediatric Medical University
Email: brusyury@gmail.com
ORCID iD: 0009-0004-8932-8076
SPIN-code: 4256-9672
Master's student at the Department of Public Health and Healthcare
Russian Federation, 2 Litivskaya st., Saint Petersburg, 194100References
- Birulina YuG, Ivanov VV, Buiko EE, et al. High-fat, high-carbohydrate diet-induced experimental model of metabolic syndrome in rats. Bulletin of Siberian Medicine. 2020;19(4):14–20. EDN: DIHLEB doi: 10.20538/1682-0363-2020-4-14-20
- Brus TV, Vasiliev AG. Up-to-date concept of non-alcoholic fatty liver disease. Russian Biomedical Research. 2020;5(1):18–25. EDN: YSAYYS
- Brus TV, Vasiliev AG, Kravcova AA, et al. Biomodeling of mixed origin fatty liver disease. Pediatrician (St. Petersburg). 2023;14(5): 25–31. EDN: BNSRIF doi: 10.17816/PED625940
- Patent RU No. 2757199 / 12.10.2021. Brus TV, Vasiliev AG, Trashkov AP, et al. Method of modeling fatty liver disease of mixed genesis in rats. Available from: https://yandex.ru/patents/doc/RU2757199C1_20211012 (In Russ.)
- Brus TV, Evgrafov VA. Pathophysiology of hepatic insufficiency. Pediatrician (St. Petersburg). 2022;13(3):55–64. EDN: CYDBYP doi: 10.17816/PED13355-64
- Brus TV, Pyurveev SS, Vasilieva AV, et al. Morphological liver changes in case of various ethiology fatty dystrophy. Russian Biomedical Research. 2021;6(3):21–26. EDN: MAGKAZ
- Brus TV, Pyurveev SS, Belyaeva IV, et al. Effect of the combined effect of prenatal metabolic syndrome and the use of different doses of glucocorticoids in pregnancy and offspring (experimental study). Children’s Medicine of the North-West. 2020;8(1):66–67. EDN: ADRKIV
- Brus TV, Khaytsev NV, Kravtsova AA. Liver dysfunction in pathogenesis of burn disease and its correction with succinate-containing drugs. Pediatrician (St. Petersburg). 2016;7(4):132–141. EDN: XRJTER doi: 10.17816/PED74132-141
- Ivashkin VT, Drapkina OM, Mayev IV, et al. Of non-alcoholic fatty liver disease in out-patients of the Russian Federation: DIREG 2 study results. Russian Journal of Gastroenterology, Hepatology, Coloproctology. 2015;25(6):31–41. EDN: VOXFQP
- Ivashkin VT, Mayevskaya MV, Pavlov CS, et al. Diagnostics and treatment of non-alcoholic fatty liver disease: clinical guidelines of the Russian Scientific Liver Society and the Russian gastroenterological association. Russian Journal of Gastroenterology, Hepatology, Coloproctology. 2016;26(2):24–42. EDN: YIYGHP doi: 10.22416/1382-4376-2016-26-2-24-42
- Palgova LK, Baranovsky AY, Ushakova TI, et al. Epidemiological features of non-alcoholic fatty liver disease in the North-West region of Russia (Results of an open multicenter prospective study DIREG 2). Vestnik of Saint Petersburg University. Medicine. 2017;12(2):118–135. EDN: ZDOTCB doi: 10.21638/11701/spbu11.2017.201
- Savchenko YaV, Sergievskaya ZA, Lopatieva SO. Non-alcoholic fatty liver degeneration in people of different age groups: a modern view of the problem. University Therapeutic Journal. 2022;4(1):11–21. EDN: OHBWEN doi: 10.56871/4338.2022.10.13.002
- Tkachuk VA, Vorotnikov AV. Molecular mechanisms of insulin resistance development. Diabetes Mellitus. 2014;17(2):29–40. EDN: SHBNYL doi: 10.14341/DM2014229-40
- Trashkov AP, Brus TV, Vasil’ev AG, et al. Red blood indicators’ dynamics in rats with non-alcoholic fatty liver disease and possibilities of its correction. Clinical Pathophysiology. 2017;23(3):66–72. EDN: YPKUDT
- Bazzano MV, Torelli C, Pustovrh MC, et al. Obesity induced by cafeteria diet disrupts fertility in the rat by affecting multiple ovarian targets. Reprod Biomed Online. 2015;31(5):655–667. doi: 10.1016/j.rbmo.2015.08.004
- Broughton DE, Moley KH. Obesity and female infertility: potential mediators of obesity’s impact. Fertil Steril. 2017;107(4):840–847. doi: 10.1016/j.fertnstert.2017.01.017
- Buyco DG, Martin J, Jeon S, et al. Experimental models of metabolic and alcoholic fatty liver disease. World J Gastroenterol. 2021;27(1):1–18. doi: 10.3748/wjg.v27.i1.1
- Guojun C, Zhang W, Sirpa M, et al. A role for the androgen receptor in follicular atresia of estrogen receptor beta knockout mouse ovary. Biol Reprod. 2022;66(1):77–84. doi: 10.1095/biolreprod66.1.77
- Herman MA, Birnbaum MJ. Molecular aspects of fructose metabolism and metabolic disease. Cell Metab. 2021;33(12):2329–2354. doi: 10.1016/j.cmet.2021.09.010
- Jalilian A, Kiani F, Sayehmiri F, et al. Prevalence of polycystic ovary syndrome and its associated complications in Iranian women: a metaanalysis. Iran J Reprod Med. 2015;13(10):591–604.
- Marei WFA, Smits A, Mohey-Elsaeed O, et al. Differential effects of high fat diet-induced obesity on oocyte mitochondrial functions in inbred and outbred mice. Sci Rep. 2020;10(1):9806. doi: 10.1038/s41598-020-66702-6
- Na W, Li-Li L, Jin-Jie X, et al. Obesity accelerates ovarian follicle development and follicle loss in rats. Metabolism. 2014;63(1):94–103, doi: 10.1016/j.metabol.2013.09.001
- Wu LL, Russell DL, Wong SL, et al. Mitochondrial dysfunction in oocytes of obese mothers: transmission to offspring and reversal by pharmacological endoplasmic reticulum stress inhibitors. Development. 2015;142(4):681–691. doi: 10.1242/dev.114850
- Younossi ZM. Non-alcoholic fatty liver disease — A global public health perspective. J Hepatol. 2019;70(3):531–544. doi: 10.1016/j.jhep.2018.10.033
- Younossi ZM, Koenig AB, Abdelatif D, et al. Global epidemiology of nonalcoholic fatty liver disease — Meta-analytic assessment of prevalence, incidence, and outcomes. Hepatology. 2016;64(1):73–84. doi: 10.1002/hep.28431
Supplementary files




