Сочетание туберкулеза внутригрудных лимфатических узлов и острого лимфобластного лейкоза у ребенка
- Авторы: Лозовская М.Э.1, Яровая Ю.А.1, Васильева Е.Б.1, Клочкова Л.В.1, Малышева Е.А.2, Носкова О.М.3
-
Учреждения:
- Санкт-Петербургский государственный педиатрический медицинский университет
- Противотуберкулезный диспансер № 14
- Детская инфекционная больница № 3
- Выпуск: Том 12, № 6 (2021)
- Страницы: 89-96
- Раздел: Клинический случай
- URL: https://journal-vniispk.ru/pediatr/article/view/77801
- DOI: https://doi.org/10.17816/PED12689-96
- ID: 77801
Цитировать
Полный текст
Аннотация
По данным научных исследований, злокачественные новообразования у детей относятся к медико-биологическим факторам риска развития туберкулеза. Напротив, возникновение онкологического заболевания у ребенка на фоне существующего туберкулезного процесса встречается крайне редко. Сочетание злокачественного новообразования и туберкулеза создает трудности в дифференциальной диагностике, лечении пациентов, профилактике обострений и рецидивов. В данной статье представлено клиническое наблюдение — развитие у ребенка 6 лет острого лимфобластного лейкоза на фоне туберкулеза внутригрудных лимфатических узлов в процессе лечения. Туберкулез протекал благоприятно, несмотря на множественный семейный контакт у ребенка и устойчивость микобактерий туберкулеза к противотуберкулезным препаратам у взрослых родственников пациента. При дебюте острого лимфобластного лейкоза наблюдалось появление двусторонних инфильтратов в легких и плеврального выпота, которые не были связаны с туберкулезом. Проведенная специфическая полихимиотерапия острого лимфобластного лейкоза и продолжение химиотерапии туберкулеза привели к излечению от обоих заболеваний. Поддерживающая цитостатическая и иммуносупрессивная терапия острого лимфобластного лейкоза потребовала периодических курсов противорецидивной противотуберкулезной терапии в течение 5 лет. Через 10 лет наблюдения ребенок здоров. Таким образом, возможность редкого в клинической практике сочетания туберкулеза и острого лимфобластного лейкоза у детей следует учитывать при диагностике и лечении этих заболеваний. При проведении курсов иммуносупрессивной терапии острого лимфобластного лейкоза возникает риск реактивации туберкулеза. Необходимо рекомендовать длительное наблюдение таких детей фтизиатром и онкологом для профилактики рецидивов обоих заболеваний.
Полный текст
ВВЕДЕНИЕ
Туберкулез (ТБ) и онкологическое заболевание — частая сочетанная патология у взрослых, у которых рак легкого обычно развивается в результате метаплазии эпителия слизистой оболочки бронхов или участков эпителизации стенок каверн, что считается предраковыми изменениями [6, 8, 11]. У детей самым частым онкологическим заболеванием является острый лейкоз, при этом в структуре детских лейкозов доминирует острый лимфобластный лейкоз (ОЛЛ), на долю которого приходится 75–80 % случаев [3, 4, 10]. Известно, что риск ребенка заболеть туберкулезом в большой степени определяется наличием сопутствующей патологии [2, 7]. Заболеваемость туберкулезом в группе детей с онкологическими заболеваниями в 11 раз выше, чем в общей популяции этой возрастной группы [15], у детей с острым лимфобластным лейкозом в 22 раза выше, чем у остальных детей [14]. При этом в 47 % случаев активный туберкулез развивался в течение первых пяти месяцев химиотерапии лейкоза, что свидетельствует о реактивации латентной инфекции на фоне иммуносупрессии [14]. Пациенты с гематологическими злокачественными новообразованиями подвергаются повышенному риску развития туберкулеза из-за Т-клеточного иммунодефицита, связанного с заболеванием и/или его лечением [13]. В этом случае туберкулез, как правило, присоединяется к ранее возникшему онкологическому процессу. Таким образом, онкологические заболевания у детей относятся к медико-биологическим факторам риска туберкулеза [9]. Для определения риска развития туберкулеза у детей с лейкозами используют тесты in vitro, основанные на выработке интерферона-гамма клетками крови под воздействием специфичных антигенов микобактерий туберкулеза (МБТ) — Interferon-Gamma Release Assays (IGRA) тесты [5, 12]. Напротив, возникновение онкогематологического заболевания у ребенка на фоне уже существующего туберкулезного процесса является крайне редкой ситуацией, мы не обнаружили описания таких случаев в научной литературе. В связи с этим демонстрация данного клинического наблюдения представляет интерес с точки зрения как течения двух заболеваний, так и тактики дальнейшего наблюдения.
КЛИНИЧЕСКОЕ НАБЛЮДЕНИЕ
Пациент, 5 лет на момент выявления заболевания туберкулезом (2006 г. р.), житель Санкт-Петербурга. Из раннего анамнеза известно, что мальчик от первой беременности, протекавшей с угрозой прерывания на сроке 26–27 нед., преэклампсией 2-й половины. Роды на сроке 35 нед., вес 2280 г, длина 44 см, оценка по шкале Апгар 7/8 баллов.
Анамнез по туберкулезной инфекции
Привит БЦЖ в родильном доме на 5-е сутки жизни, рубчик 3 мм. Ребенок из неблагоприятных социальных и эпидемиологических условий. С возраста 1 год (2007) состоял на диспансерном наблюдении по поводу множественного семейного туберкулезного контакта. Всего в семье четверо больных туберкулезом (помимо данного ребенка): бабушка — выявлена в марте 2007 г. с диссеминированным туберкулезом легких, выделением МБТ, чувствительных только к этамбутолу и высоким дозам изониазида, умерла в апреле 2007 г.; дедушка болен с 2010 г. — инфильтративный туберкулез легких, МБТ (+), чувствительность только к парааминосалициловой кислоте (ПАСК) и капреомицину, дважды оперирован; в последующем переход в хроническую форму, с 2011 г. проживает в другом регионе; мама больна с 2010 г. — инфильтративный туберкулез легких, МБТ (–), клиническое излечение от 2011 г.; тетя больна с 2011 г. — очаговый туберкулез МБТ (–), клиническое излечение в том же году. Динамика пробы Манту с 2 ТЕ у ребенка: май 2007 г. — папула 6 мм, сентябрь 2007 г. — 17 мм, 2008 г. — 14 мм, 2010 г. — 12 мм, 2011 г. — папула 7 мм, что указывало на инфицированность МБТ с 2007 г. Проба с аллергеном туберкулезным рекомбинантным в 2011 г. — папула 10 мм. Мальчик получил курсы превентивного лечения туберкулезной инфекции: в санатории «Малютка» в 2007 и 2008 гг. препаратами изониазид и пиразинамид (170 дней). Далее амбулаторно превентивные курсы в 2009 и 2010 гг. по 2 мес.
Перенесенные и сопутствующие заболевания. С возраста 1 год часто болел острой респираторной вирусной инфекцией, обструктивным бронхитом. В возрасте двух лет была диагностирована бронхиальная астма, атопическая, бытовая сенсибилизация. Приступы 3–4 раза в год, купировались ипратропия бромидом + фенотеролом, будесонидом ингаляционно. Получал базисную терапию салметеролом + флутиказоном. В период наблюдения по туберкулезу приступов бронхиальной астмы не было. Из детских инфекций перенес ветряную оспу в 3 года.
Наследственность. У матери в детском возрасте было заболевание крови (документов нет).
Анамнез заболевания. В процессе диспансерного наблюдения по туберкулезному контакту, в связи с положительной пробой с аллергеном туберкулезным рекомбинантным, проведена впервые мультиспиральная компьютерная томография (МСКТ) органов грудной полости 22.08.2011 (рис. 1) с внутривенным контрастированием. Заключение: «В легких без очаговых и инфильтративных изменений. Выявляются лимфоузлы трахеобронхиальной группы справа (до 8 мм), трахеобронхиальной группы слева (до 7 мм), лимфатические узлы корней легких с двух сторон (до 6 мм), бифуркационной группы (до 7 мм). В структуре лимфатических узлов корней легких и вдоль промежуточного бронха множественные кальцинаты».
Рис. 1. Пациент, 5 лет. Компьютерная томография грудной клетки (туберкулез внутригрудных лимфоузлов) от 22.08.2011
Fig. 1. Patient, 5 years old. Computed tomography of the chest (tuberculosis of the intrathoracic lymph nodes), 22.08.2011
Установлен диагноз: «Туберкулез внутригрудных лимфатических узлов бронхопульмональных, трахеобронхиальных групп с двух сторон, бифуркационной группы в фазе неполной кальцинации, МБТ (–)». Интенсивная фаза химиотерапии проведена в условиях стационара с 23.09.2011 по 21.03.2012. С учетом резистограммы источника, возраста, переносимости противотуберкулезных препаратов и характера процесса подобран индивидуальный режим химиотерапии: амикацин, изониазид, ПАСК, этамбутол. Заболевание туберкулезом протекало с умеренно выраженными симптомами интоксикации: бледность, периорбитальный цианоз, периферический микрополиаденит. Физическое развитие: 4-е центильные коридоры по массе тела и росту. Клинический анализ крови при поступлении в стационар: гемоглобин (Нb) — 121 г/л, эритроциты (Er) — 4,2 · 1012/л, лейкоциты (L) — 7,2 · 109/л, палочкоядерные нейтрофилы (п/я) — 2 %, сегментоядерные нейтрофилы (с/я) — 36 %, моноциты (мон.) — 4 %, эзинофилы (эоз.) — 15 %, лимфоциты (лимф.) — 42 %, базофилы (баз.) — 1 %, скорость оседания эритроцитов (СОЭ) — 4 мм/ч. Биохимические показатели в пределах нормы. Анализ мочи — в норме. Ультразвуковое исследование органов брюшной полости без патологии. Фибробронхоскопия: «Слизистая оболочка трахеи и бронхов без воспалительных изменений. Рубцовые изменения на стенке верхнедолевого бронха слева». Исследования мокроты, промывных вод бронхов на МБТ отрицательны. На фоне проводимого лечения получена положительная динамика: исчезновение интоксикационного синдрома, прибавка массы тела (2,6 кг). Контрольная МСКТ от 20.02.2012, заключение: «Положительная динамика в виде уменьшения внутригрудных лимфоузлов, нарастания кальцинации». Выписан 23 марта 2012 г. из стационара на амбулаторное лечение, от санаторного лечения отказался. Основной курс лечения к моменту выписки составил 6 мес. Клинический анализ крови при выписке, 20.03.2012: Нb — 137 г/л, L — 7,4 · 109/л, тромбоциты (Tr) — 214 · 109/л, п/я — 1 %, с/я — 49 %, мон. — 3 %, эоз. — 3 %, лимф. — 43 %, мон. — 4 %, СОЭ — 6 мм/ч. Фазу продолжения противотуберкулезной химиотерапии проводили двумя противотуберкулезными препаратами (изониазид + этамбутол) в противотуберкулезном диспансере. Переносимость лечения была хорошей. Последнее посещение диспансера перед ухудшением состояния 23.04.2012, был выполнен клинический анализ крови: Нb — 129 г/л, L — 5,5 · 109 /л, п/я — 0, с/я — 48 %, эоз. — 5 %, лимф. — 43 %, мон. — 4 %, СОЭ — 16 мм/ч. Ребенок жалоб не предъявлял, при осмотре патологии не выявлено.
Резкое ухудшение состояния с середины мая 2012 г., когда появились боли в животе, бледность кожных покровов, лихорадка до фебрильных цифр. Обратились в поликлинику 23.05.2012, состояние расценено как острая респираторная вирусная инфекция, от госпитализации отказался. Выполнена обзорная рентгенограмма органов грудной полости — без патологии. Мама пациента из-за болей в животе у ребенка самостоятельно приняла решение о прекращении им приема противотуберкулезных препаратов. 30.05.2012 в связи с дальнейшим ухудшением состояния мальчик госпитализирован в Детскую инфекционную больницу № 5 с диагнозом «Инфекционный мононуклеоз?», откуда переведен в отделение химиотерапии лейкозов Детской городской больницы № 1.
При поступлении в гематологическое отделение: состояние тяжелое. Жалобы на боли в животе, слабость, отсутствие аппетита, костные боли. Температура субфебрильная. Периферические лимфоузлы шейной группы, подмышечные, паховые до 1,0 см плотные, безболезненные. Живот увеличен за счет выраженной гепатоспленомегалии: печень +16 см, селезенка +14 см из-под края реберной дуги, очень плотные. Тоны сердца ясные, ритмичные 110 в минуту. Одышки нет, частота дыхания 24 в минуту, дыхание жесткое, хрипов нет. В анализе крови от 31.05.2012: Er — 3,84 · 109/л, Hb — 103 г/л, Tr — 129 · 109/л, L — 7,2 · 109/л, бласты — 27 %, п/я — 5 %, с/я — 6 %, мон. — 3 %, лимф. — 59 %, СОЭ — 43 мм/ч.
Миелограмма от 04.06.2012. Ядерность костного мозга — 250 · 109/л, бласты — 98,4 %. Иммунофенотипирование мононуклеаров костного мозга методом проточной цитометрии: ОЛЛ. Биохимия крови 04.06.2012: белок — 46 г/л, аланинаминотрансфераза — 52 Е/л, аспартатаминотрансфераза — 51 Е/л, билирубин — 11,8 мкм/л, мочевина — 2,5 мм/л, креатинин — 0,04 мм/л, мочевая кислота — 0,13 мм/л, сахар — 4,7 мм/л, Na — 135 мм/л, K — 4,52 мм/л, Са — 1,19 мм/л, лактатдегидрогеназа — 1275 Е/л.
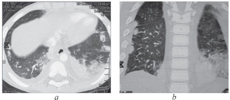
МСКТ грудной полости 04.06.2012 (рис. 2, а, b): «КТ-картина множественных двусторонних субплевральных инфильтратов легочной ткани, двусторонний гидроторакс. Выраженная гепатоспленомегалия. Лимфоузлы средостения и корней легких стабильны, по сравнению с МСКТ от 20.02.2012 с признаками кальцинации в прежнем объеме». Исследования на МБТ мокроты, промывных вод бронхов (микроскопия, полимеразная цепная реакция, посев) отрицательны».
Рис. 2. Пациент, 6 лет. Компьютерная томография грудной клетки от 04.06.2012: множественные двусторонние субплевральные инфильтраты в легких, двусторонний гидроторакс (а — аксиальная проекция, b — фронтальная проекция)
Fig. 2. Patient, 6 years old. Computed tomography of the chest, 04.06.2012: multiple bilateral subpleural infiltrates in the lungs, bilateral hydrothorax (а – axial projection, b – frontal projection)
После консультации фтизиатра специфический характер диссеминации в легких отвергнут. В связи с возможностью прогрессирования туберкулеза 07.06.2012 возобновлена противотуберкулезная терапия тремя противотуберкулезными препаратами — изониазидом, пиразинамидом, этамбутолом.
Клинический диагноз: «Острый лимфобластный лейкоз, Common-иммунологический вариант, 1-я активная фаза». Сопутствующий: «Туберкулез внутригрудных лимфоузлов в фазе кальцинации. Бронхиальная астма, ремиссия».
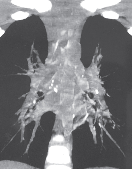
С 07.06.2012 начато лечение ОЛЛ по программе ALL–MB-2008. Ребенок получал дексаметазон, винкристин, рубомицин на фоне массивной антибактериальной терапии (меропенем, амикацин, флуконазол). Отмечались осложнения: нейтропения, токсическое поражение печени, почек, полинейропатия, язвенно-эрозивное поражение пищевода с положительной динамикой на фоне проводимой терапии. Ремиссия достигнута к 36-му дню терапии ОЛЛ (12.07.2012). Миелограмма на 36-й день терапии. 12.07.12: ядерность костного мозга 40,0 · 109/л, бласты — 0,4 %. Проведены курсы консолидации 1, 2, 3. Состояние ребенка улучшилось, контрольное МСКТ-исследование легких 27.06.2012 выявило положительную динамику рассасывания инфильтративных изменений в легочной ткани, плеврального выпота. Однако в связи с появлением хрипов в легких 19.07.2012 выполнена контрольная МСКТ грудной клетки, на которой обнаружено появление множественных двусторонних очагов в легких (рис. 3).
Рис. 3. Пациент, 6 лет. Компьютерная томография грудной клетки 19.07.2012: появление множественных двусторонних очагов в верхних отделах легких
Fig. 3. Patient, 6 years old. Chest computed tomography 19.06.2012: the appearance of multiple bilateral foci in the upper lungs
20.07.12 проведена фибробронхоскопия со взятием бронхоальвеолярного лаважа (БАЛ). Исследование БАЛ на МБТ: полимеразная цепная реакция двукратно, микроскопия и посев отрицательны. Микроскопия и посев БАЛ на грибы выявили Aspergilla niger, диагностирован инвазивный аспергиллез. Проведен курс терапии противогрибковым препаратом вориконазолом с положительной динамикой клинической и лабораторной. МСКТ: контрольное обследование 21.08.2012 — без патологических изменений в легких. Всего на отделении гематологии ДГБ № 1 ребенок находился с 31.05.2012 по 06.02.2013 (с перерывами). Весь этот период мальчик наблюдался фтизиатром, получал противотуберкулезную терапию: изониазид (с 08.06.2012 по 25.10.2012), пиразинамид (с 08.06.2012 через день по 25.10.2012), этамбутол (08.06.2012–23.07.2012 через день), ПАСК (24.07.2012–28.10.2012). 25.10.2012 установлено клиническое излечение туберкулеза, перевод в группу III-Б диспансерного учета.
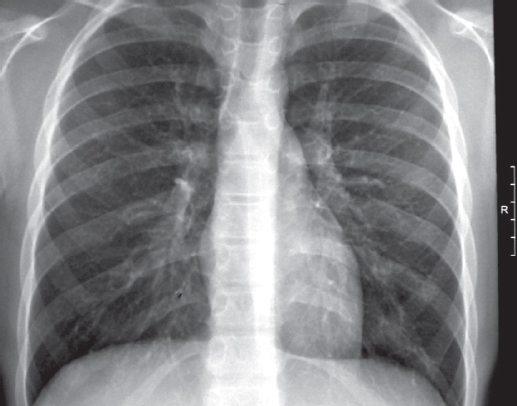
Поддерживающая терапия ОЛЛ проведена с 06.02.2013 по 19.08.2014 (назначены курсы метатрексата, дексаметазона), у ребенка констатирована стойкая ремиссия лейкоза. На фоне иммуносупрессивной терапии отмечались транзиторные изменения со стороны анализов крови (анемия, лейкопения, тромбоцитопения) от 12.03.2014: Er — 3,75 · 109/л, Hb — 105 г/л, Tr — 142 · 109/л, L — 2,9 · 109/л, п/я — 4 %, с/я — 41 %, мон. — 5 %, эоз. — 5 %, лимф. — 45 %, СОЭ — 16 мм/ч, с последующей нормализацией. В остальном состояние ребенка без патологических изменений. Курсы противотуберкулезной химиотерапии двумя препаратами (изониазид + пиразинамид и изониазид + ПАСК) проводили в периоды иммуносупрессивной терапии. Поддерживающая терапия ОЛЛ прекращена с 2015 г. Противорецидивное лечение туберкулеза продолжал в 2014 и 2015 гг. в летний период в санатории «Петродворец» (режим химиотерапии изониазид + пиразинамид). После 2016 г. курсов противотуберкулезной химиотерапии не получал, но контроль в противотуберкулезном диспансере был продолжен. Особенность контрольной иммунодиагностики туберкулеза состояла в следующем. В связи с медотводом гематолога с момента заболевания ОЛЛ в 2012–2014 гг. кожные иммунологические пробы не проводили. В 2013 и 2014 гг. проведен in vitro IGRA-тест — T-SPOT.TB, результат положительный. В 2015 г. проба Манту с 2 ТЕ: папула 17 мм, проба с аллергеном туберкулезным рекомбинантным — 20 мм. В связи с выраженной местной реакцией мать мальчика отказалась от дальнейшего проведения кожных проб. МСКТ органов грудной полости 2013, 2014, 2015 гг.: «Очаговых и инфильтративных изменений не выявлено. Изменения во всех группах внутригрудных лимфатических узлов стабильны, их размеры и степень кальцификации не нарастают». Последнее обследование в противотуберкулезном диспансере проведено в 2018 г. Ребенку было 12 лет, здоров. Туберкулезный контакт отсутствует (мать и тетя — клиническое излечение, дедушка переехал в другой регион). T-SPOT.TB — положительный. Обзорная рентгенограмма органов грудной полости — патологии не выявлено (рис. 4).
Рис. 4. Пациент, 12 лет. Обзорная рентгенограмма органов грудной клетки 16.08.2018 (6 лет наблюдения). Патологии не выявлено
Fig. 4. Patient, 12 years old. Plain X-ray of the chest organs 16.08.2018 (6 years of observation). No pathology was revealed
Клинический анализ крови — без патологии. Наблюдение в противотуберкулезном диспансере было завершено в 2018 г., в дальнейшем до настоящего времени наблюдается детской поликлиникой, здоров.
ОБСУЖДЕНИЕ И ЗАКЛЮЧЕНИЕ
Приведенный клинический случай представляет редкое наблюдение развития ОЛЛ у ребенка на фоне лечения ТБ внутригрудных лимфоузлов. Особенностью туберкулезного процесса стала тенденция к заживлению, несмотря на множественный туберкулезный контакт, лекарственную устойчивость МБТ у больных туберкулезом взрослых родственников, что свидетельствует о достаточно стойком противотуберкулезном иммунитете у ребенка. Причинно-следственной связи между ТБ и ОЛЛ в данном случае не просматривается, туберкулез хронологически был первым заболеванием. На этапе диагностики лейкоза возникла необходимость исключения обострения туберкулезного процесса, поскольку у ребенка появились множественные участки инфильтрации в легочной ткани и плевральный выпот. Наиболее вероятными причинами этих изменений были лейкозная инфильтрация легких, которая наблюдается у 60–90 % больных острым лейкозом [1], и неспецифическая (инфекционная) пневмония. На этапе терапии ОЛЛ вновь потребовалось исключение реактивации туберкулезного процесса в связи с появлением множественных двусторонних очагов в легких. Отсутствие МБТ в патологическом материале и обнаружение A. niger позволило трактовать процесс как инвазивный аспергиллез на фоне снижения иммунологической реактивности организма при остром лейкозе. Быстрое рассасывание изменений в легких на фоне цитостатической и антибактериальной терапии, а затем антимикотической терапии подтвердило отсутствие прогрессирования ТБ. В дальнейшем на всех этапах лечения ОЛЛ ребенок получал «фтизиатрическое сопровождение» в виде продолжения основного курса противотуберкулезной терапии и противорецидивных курсов. Общий срок наблюдения ребенка в настоящее время составляет 10 лет от момента выявления ТБ и 9 лет от дебюта ОЛЛ. Таким образом, совместное наблюдение и лечение ребенка онкологами и фтизиатрами позволило добиться стойкого излечения мальчика, несмотря на серьезный прогноз по обоим взаимно отягощающим заболеваниям. Данный пример свидетельствует о необходимости онкологической настороженности детских фтизиатров, а также детских онкологов в отношении туберкулеза, поскольку возможно сочетание двух заболеваний: туберкулеза и лейкоза.
ДОПОЛНИТЕЛЬНАЯ ИНФОРМАЦИЯ
Вклад авторов. Все авторы подтверждают соответствие своего авторства международным критериям ICMJE (все авторы внесли существенный вклад в разработку концепции, проведение исследования и подготовку статьи, прочли и одобрили финальную версию перед публикацией).
Конфликт интересов. Авторы декларируют отсутствие явных и потенциальных конфликтов интересов, связанных с публикацией настоящей статьи.
Источник финансирования. Авторы заявляют об отсутствии внешнего финансирования при проведении исследования.
Информированное согласие на публикацию. Авторы получили письменное согласие законных представителей пациента на публикацию медицинских данных и фотографий.
Об авторах
Марина Эдуардовна Лозовская
Санкт-Петербургский государственный педиатрический медицинский университет
Email: lozovskaja-marina@rambler.ru
д-р мед. наук, профессор, заведующая кафедрой фтизиатрии
Россия, Санкт-ПетербургЮлия Анатольевна Яровая
Санкт-Петербургский государственный педиатрический медицинский университет
Email: julia_yarovaya@mail.ru
канд. мед. наук, доцент кафедры фтизиатрии
Россия, Санкт-ПетербургЕлена Борисовна Васильева
Санкт-Петербургский государственный педиатрический медицинский университет
Email: helenchern27@mail.ru
канд. мед. наук, доцент кафедры фтизиатрии
Россия, Санкт-ПетербургЛюдмила Владимировна Клочкова
Санкт-Петербургский государственный педиатрический медицинский университет
Email: lklochkova@yahoo.com
канд. мед. наук, доцент кафедры фтизиатрии
Россия, Санкт-ПетербургЕлена Александровна Малышева
Противотуберкулезный диспансер № 14
Email: ptd14@zdrav.spb.ru
врач-фтизиатр детского отделения
Россия, Санкт-ПетербургОльга Михайловна Носкова
Детская инфекционная больница № 3
Автор, ответственный за переписку.
Email: dib_3@mail.ru
заведующая туберкулезным отделением № 5
Россия, Санкт-ПетербургСписок литературы
- Аряев Н.Л., Котова Н.В., Старец Е.А., и др. Детская пульмонология / учебное пособие. Киев: Здоров´я; 2005. 607 с.
- Васильева Е.Б., Клочкова Л.В., Король О.И., и др. Туберкулез у детей и подростков: Руководство. Санкт-Петербург: Питер, 2005. 424 c.
- Имянитов Е.Н., Хансон К.П. Молекулярная онкология: клинические аспекты. Санкт-Петербург: СПбМАПО, 2007. 213 c.
- Казначеев К.С. Сложные вопросы ранней диагностики острого лейкоза у детей // Вестник НГУ. Серия: Биология, клиническая медицина. 2011. Т. 9, № 2. С. 211–214.
- Лозовская М.Э., Белушков В.В., Гурина О.П., и др. Сравнительная оценка инновационных тестов в диагностике латентной и активной туберкулезной инфекции у детей // Педиатр. 2014. Т. 5, № 3. С. 46–50. doi: 10.17816/PED5346-50
- Лозовская М.Э., Захарова О.П., Удальцова Е.Н. Туберкулез у подростков в современных условиях // Медицина: теория и практика. 2019. Т. 4, № S. С. 319–320.
- Лозовская М.Э., Никифоренко Н.А., Клочкова, и др. Клинические и эпидемиологические особенности туберкулеза у детей раннего возраста в Санкт-Петербурге // Педиатр. 2018. Т. 9, № 5. С. 5–12. doi: 10.17816/PED955-12
- Малышева О.К., Шнигер Н.Ч., Молодык А.А. Выявление групп онкориска у больных инфильтративным туберкулезом легких // Пульмонология. 2000. № 1. С. 19–23.
- Панова Л.В., Овсянкина Е.С., Хитева А.Ю., и др. Онкологические заболевания как одна из проблем дифференциальной диагностики в туберкулезном стационаре для детей и подростков // Педиатрия. Журнал им. Г.Н. Сперанского. 2020. Т. 99, № 4. С. 275–278. doi: 10.24110/0031-403X-2020-99-4-275-278
- Ройтман Е.И., Сухов В.А., Мирошниченко О.М., Парфеева Е.А. Продолжительная ремиссия у ребенка с острым лимфобластным лейкозом // Вестник НГУ. 2016. Т. 97, № 6. С. 58–62.
- Садовников А.А., Панченко К.И. Рак легкого на почве остаточных явлений после перенесенного туберкулеза // Грудная и сердечно-сосудистая хирургия. 2001. № 1. С. 51–57.
- Carvalho A.C., Schumacher R.F., Bigoni S., Soncini E. Contact investigation based on serial interferon-gamma release assays (IGRA) in children from the hematology-oncology ward after exposure to a patient with pulmonary tuberculosis // Infection. 2013. Vol. 41, No. 4. P. 827–831. doi: 10.1007/s15010-013-0450-y
- Silva F.A., Matos J.O., de Q Mello F.C., Nucci M. Risk factors for and attributable mortality from tuberculosis in patients with hematologic malignances // Haematologica. 2005. Vol. 90, No. 8. P. 1110–1115.
- Stefan D.C., Kruis A.L., Schaaf H.S., Wessels G. Tuberculosis in oncology patients // Ann Trop Paediatr. 2008. Vol. 28, No. 2. P. 111–116. doi: 10.1179/146532808X302125
- Wessels G., Hesseling P.B., Gie R.P., Nel E. The increased risk of developing tuberculosis in children with malignancy // Ann Trop Paediatr. 1992. Vol. 12, No. 3. P. 277–281. doi: 10.1080/02724936.1992.11747585
Дополнительные файлы





