Катионная пероксидаза сорго и ее участие в защите растения в условиях загрязнения
- Авторы: Щербакова Е.В.1,2, Дубровская Е.В.2, Позднякова Н.Н.2, Галицкая А.А.1,2, Турковская О.В.2
-
Учреждения:
- Саратовский национальный исследовательский государственный университет имени Н.Г. Чернышевского
- Федеральный исследовательский центр “Саратовский научный центр Российской академии наук”
- Выпуск: Том 71, № 1 (2024)
- Страницы: 81-90
- Раздел: ЭКСПЕРИМЕНТАЛЬНЫЕ СТАТЬИ
- URL: https://journal-vniispk.ru/0015-3303/article/view/262210
- DOI: https://doi.org/10.31857/S0015330324010145
- EDN: https://elibrary.ru/NVGIDC
- ID: 262210
Цитировать
Полный текст
Аннотация
Из проростков сорго веничного (Sorghum bicolor L. Moench) впервые выделили минорную катионную пероксидазу (МКП) с относительной электрофоретической подвижностью в ПААГ (Rf) равной 0.03. Ее молекулярная масса, определенная методом гель-фильтрации, была равна 155 кДа. В структуре фермента выявили три субъединицы с молекулярной массой в 35, 25 и 16 кДа. Пероксидазную и оксидазную активность МКП в диапазоне рН от 2.6 до 7.0 анализировали с использованием 2,6-диметоксифенола (ДМФ), 2,2’-азино-бис-(3-этилбензотиазолин-6-сульфоната) аммония (АБТС) и аскорбиновой кислоты (АСК). Максимальные показатели пероксидазной и оксидазной активности получили по отношению к АСК при рН 7.0 и 4.0 соответственно. При этом удельная активность пероксидазной реакции превышала таковую для оксидазной реакции в 68 раз. Значения КМ для АБТС составили 0.23 и 0.32 мкмоль при пероксидазном и оксидазном окислении соответственно. Исследовали влияние некоторых металлов и полициклических ароматических углеводородов (ПАУ) на активность МКП. В присутствии натрия ее активность увеличивалась примерно в 2.5 раза, а в присутствии антрацена – в 8 раз. Фермент эффективно окислял нативные ПАУ с АБТС в качестве медиатора: 90% антрацена, 80% фенантрена, 20% флуорантена и 15% пирена. Установлено, что наиболее активно трансформации подвергались трехкольцевые ПАУ, убыль которых была в 5 раз больше, чем убыль ПАУ с четырьмя кольцами. Таким образом, обнаруженная стимуляция активности МКП в присутствии загрязнителей неорганической и органической природы и способность окислять ряд нативных ПАУ могут свидетельствовать об ее активном участии в защите растения в условиях загрязнения.
Полный текст
Сокращения: АФА – активные формы азота; МКП – минорная катионная пероксидаза; о-ДАЗ – о-дианизидин; ПАУ – полициклические ароматические углеводороды; СОДС – супероксиддисмутазная система; АБТС – 2,2'-азино-бис-(3-этилбензотиазолин-6-сульфонат) аммония; АСК – аскорбиновая кислота; ДМФ – 2,6-диметоксифенол; Rf – относительная подвижность белка.
ВВЕДЕНИЕ
Сорго веничное (Sorghum bicolor L. Moench) является одной из пяти наиболее значимых сельскохозяйственных культур, возделываемых по всему миру [1]. Этот злак обладает высоким биоремедиационным потенциалом и в условиях лабораторного эксперимента он снижает концентрацию полициклических ароматических углеводородов (ПАУ) на 21–98% [2]. Также он устойчив к ряду тяжелых металлов и способен к их аккумуляции [3]. Устойчивость сорго во многом зависит от работы ферментов антиоксидантных систем организма. К основным системам относят: супероксиддисмутазную (СОДС), пероксидазную, аскорбатпероксидазную и каталазную системы. Не умаляя вклад в жизнедеятельность растений каждой из них, отдельно следует сказать о пероксидазной системе. Пероксидазы, помимо участия в нормальном функционировании организма, куда стоит включить метаболизм ауксинов [4], прорастание семян, рост и созревание плодов [5], дыхание [6] и сигналинг [7], задействованы также в предотвращении развития патологий, а именно в заживлении ран [8], пассивной и активной защите от патогенов [9], лигнификации и суберизации [10] и, что особенно важно, в метаболизме АФК и активных форм азота (АФА) [7]. Несмотря на то, что первой линией ферментативной защиты растения от окислительного стресса является СОДС, пероксидазы протопласта и клеточной стенки восстанавливают связанные с мембраной перекисные липиды, поддерживают окислительно-восстановительный гомеостаз клетки, участвуют в процессинге белка, регулируют нормальное функционирование эпигенетических процессов, а также катализируют преобразование перекиси водорода в менее реакционно активные кислород и воду [7, 11].
Перекись водорода – не единственный субстрат растительных пероксидаз. В силу своей специфичности они способны окислять широкий спектр соединений неорганической и органической природы [11], однако сведений об их участии в трансформации различного рода загрязнителей недостаточно [12]. Детоксикационная функция растительных пероксидаз изучена в меньшей мере, а имеющиеся в настоящее время данные о пероксидазах сорго в большинстве случаев затрагивают влияние различных стрессоров на работу антиоксидантной системы в целом [13]. Так, X. Gou с соавт. [11] провели оценку смягчающего действия азотных и фосфорных удобрений на рост и устойчивость сорго, выращенного в условиях высокого содержания солей в почве. Повышение активности ферментов антиоксидантной системы, в том числе пероксидаз, стало доказательством благоприятного воздействия азота и фосфора на морфологические и биохимические показатели сорго, выращенного на засоленных почвах. Примером также может послужить исследование S.M. El-Ganainy с соавт. [14], в котором оценивали эффективность использования покрытых гуминовой кислотой железосодержащих наночастиц в борьбе с вызванным Acremonium striticum увяданием и в увеличении роста и урожайности сорго. В качестве показателя эффективности авторы выбрали активность пероксидаз и каталаз, которая значительно повышалась при определенных концентрациях наночастиц.
Недостаток данных об участии пероксидаз в системе защиты растения от различного рода загрязнений и о конкретных пероксидазах такого перспективного ремедианта как сорго указывает на актуальность нашего исследования. Проекционным направлением исследования пероксидаз сорго является их участие в ремедиации [13]. Из-за распространенности ПАУ в почве они могут быть одним из доступных субстратов растительных пероксидаз, что делает возможным применение растений в ремедиации почв и водоемов, пострадавших от действия токсических загрязнений [15]. Предметом представленного исследования является характеристика ранее неописанной минорной катионной пероксидазы (МКП) сорго и выявление ее протективного потенциала в условиях загрязнения. Была выдвинута рабочая гипотеза, согласно которой МКП в условиях поллютантного стресса не только сохраняет свою активность, но и непосредственно участвует в детоксикации загрязнителей. Для подтверждения или опровержения рабочей гипотезы сформулированы следующие задачи: определение молекулярной массы МКП, характеристика каталитической активности, способности к окислению спектра субстратов при различных показателях рН и в присутствии в среде металлов и ПАУ. При этом особый интерес представляет оценка эффективности трансформации этим ферментом нативных ПАУ, как одних из наиболее устойчивых поллютантов окружающей среды.
МАТЕРИАЛЫ И МЕТОДЫ
Культивирование растений
В качестве объекта исследования использовали 5-суточные проростки сорго веничного (Sorghum bicolor L. Moench) сорта Капитал, семена которого были предоставлены Федеральным государственным бюджетным научным учреждением “Российский научно-исследовательский и проектно-технологический институт сорго и кукурузы” (г. Саратов, Россия). Откалиброванные семена промывали водопроводной водой, а затем стерилизовали раствором гипохлорита натрия на протяжении 30 мин [17]. Далее семена промывали кипяченой водой и культивировали в чашках Петри на смоченных ею же фильтрах в течение пяти суток при постоянной температуре в 28°С в темноте.
Получение ферментных экстрактов растений и очистка пероксидаз
Этиолированные проростки гомогенизировали в охлажденной ступке с речным песком и 0.05 М фосфатным буфером с рН 6.0. Для удаления дебриса грубый ферментный препарат внутриклеточных пероксидаз центрифугировали 15 мин при 4°С и 2604 g. Белки осаждали на ледяной бане сульфатом аммония и оставляли на холоде в течение 12 ч [16–18]. В результате дробного высаливания было обнаружено, что около 65% белков с наибольшей пероксидазной активностью выпадало в осадок при 60% насыщении сульфатом аммония. Однако осаждение части белка с пероксидазной активностью проходило вплоть до 80%. В последующем эти белки отделяли от надосадочной жидкости центрифугированием на протяжении 15 мин при 4°С и 10414 g и диализировали в течение 12 ч против фосфатного буфера с рН 6.0 [1]. Полученный ферментный препарат концентрировали в 3–4 раза методом ультрафильтрации на ячейке Amicon PM-10 концентратора Stirred Ultrafiltration Cell (“Merck KGaA”, Германия). Пробы объемом менее 10 мл концентрировали с использованием мини концентратора Vivaspin 2 (“Sartorius AG”, Германия). Сконцентрированный образец наносили на колонку для гель-фильтрации Sephacryl S-200 HR (“Pharmacia”, Швеция), предварительно уравновешенную 0.05 М фосфатным буфером, содержащим 0.15 М хлорида натрия. Объем колонки составлял 120 мл, объем фракций – 2 мл, скорость потока – 1 мл/мин. [16]. Изоферментный состав определяли методом Орнстейна-Дэвиса [19] в неденатурирующих условиях на аппарате для вертикального гель-электрофореза Helikon Pouch Pack Basic (“Helicon”, Россия) с последующим окрашиванием о-дианизидином (о-ДАЗ) в присутствии перекиси водорода [16]. Активные фракции объединяли и использовали для характеристики МКП.
Определение молекулярной массы МКП
Молекулярную массу электрофоретически гомогенной МКП находили методом гель-фильтрации. В качестве маркерных белков использовали алкогольдегидрогеназу, кональбумин и пероксидазу хрена, молекулярная масса которых равна 150, 75 и 44 кДа соответственно. Субъединичный состав этого фермента определяли гель-электрофорезом в ПААГ по методу Laemmly [20] в денатурирующих условиях с последующим окрашиванием с использованием набора Pierce™ Color Silver (“Thermo Fisher Scientific”, США).
Определение активности МКП
Пероксидазную и оксидазную активность МКП характеризовали с использованием 2,6-диметоксифенола (ДМФ) [21], 2,2'-азино-бис-(3-этилбензотиазолин-6-сульфоната) аммония (АБТС) [22] и аскорбиновой кислоты (АСК), конечная концентрация которых составляла 0.5 × 10–2, 0.1 × 10–2 и 1.7 × 10–2 М соответственно. Для указанных субстратов использовали следующие буферы: для ДМФ – 0.05 М фосфатный буфер с рН 6.0, АБТС – 0.05 М тартратный буфер с рН 3.6, АСК – 0.05 М фосфатный буфер с рН 7.0. Активность МКП определяли на спектрофотометре Evolution 60 (“Thermo Fisher Scientific”, США) при длине оптического пути в 1 см [16]. Длина волны составляла 468 нм для ДМФ, 436 нм для АБТС и 290 нм для АСК. Влияние рН на скорость реакций анализировали с использованием буферных растворов по Макилвейну в диапазоне рН от 2.6 до 7.0. За единицу ферментативной активности принимали количество фермента, катализирующего образование 1 мкмоль продукта в течение 1 мин при комнатной температуре [23]. Удельную активность МКП выражали в мкмоль/мин/мг белка. Концентрацию белка определяли методом Бредфорда, в реакционную смесь объемом 1 мл вносили 0.95 мл реактива Бредфорда и 0.05 мл ферментного экстракта. Время протекания реакции составляло 30 мин, оптическую плотность измеряли при 595 нм [24]. Измерения проводили минимум в трех аналитических повторностях.
Характеристика каталитических свойств МКП
Для определения величин КМ для пероксидазной и оксидазной реакций МКП использовали АБТС [25]. В реакциях по пероксидазному пути его концентрация составляла 0.1–0.5 × 10–6 М, а в реакциях по оксидазному пути – 0.15–1.15 × 10–6 М. Оптическую плотность фиксировали при 436 нм. В качестве контроля использовали тартратный буфер с рН 3.6. Измерения проводили минимум в трех аналитических повторностях.
Определение влияния загрязнителей на активность МКП
Зависимость активности МКП от присутствия загрязнителей находили путем добавления в среду к прорастающим семенам хлоридов металлов и ПАУ. Использовали хлориды следующих металлов: натрия (2000 мг/л) [26], магния (500 мг/л), меди (10 мг/л), цинка (10 мг/л), железа (3 мг/л) [27] и марганца (1 мг/л). Для определения действия ПАУ на очищенный фермент выбрали антрацен и фенантрен, конечная концентрация которых составляла 0.2 × 10–3 М. Об окисляющей способности МКП судили спектрофотометрически по убыли АСК или образованию окрашенного продукта окисления ДМФ или АБТС. Измерения проводили минимум в трех аналитических повторностях, а статистическую обработку данных проводили при помощи программы Microsoft Excel, где средние значения и доверительные интервалы вычисляли при P ≤ 0.05.
Соокисление МКП нативных ПАУ
Способность МКП к соокислению нативных ПАУ анализировали по отношению к трех- (антрацен и фенантрен) и четырехкольцевым (флуорантен и пирен) представителям. Для ферментативного окисления антрацен, фенантрен [28], флуорантен [29] и пирен [30] предварительно растворяли в ацетонитриле до конечной концентрации 2.2 × 10–3 и 2.0 × 10–3 М соответственно для трех- и четырехкольцевых ПАУ. Реакцию окисления останавливали добавлением 2 мл хлороформа, в нем же трижды экстрагировали производные окисленных ПАУ в течение 5 мин. Экстракт выпаривали досуха, а сухой остаток перерастворяли в 0.5 мл ацетонитрила. Убыль ПАУ анализировали методом ВЭЖХ на колонке Zorbax Eclipse PAH Analytical (4.6 м × 250 мм × 5 мкм) (“Agilent”, США). Помимо смеси нативных ПАУ в реакционную смесь добавляли АБТС, который выступал в роли медиатора и способствовал более эффективному разложению субстратов [22]. Статистическую обработку данных проводили при помощи программы Microsoft Excel, где средние значения и доверительные интервалы вычисляли при P ≤ 0.05.
РЕЗУЛЬТАТЫ
Изоформный состав пероксидаз сорго и влияние на него загрязнителей
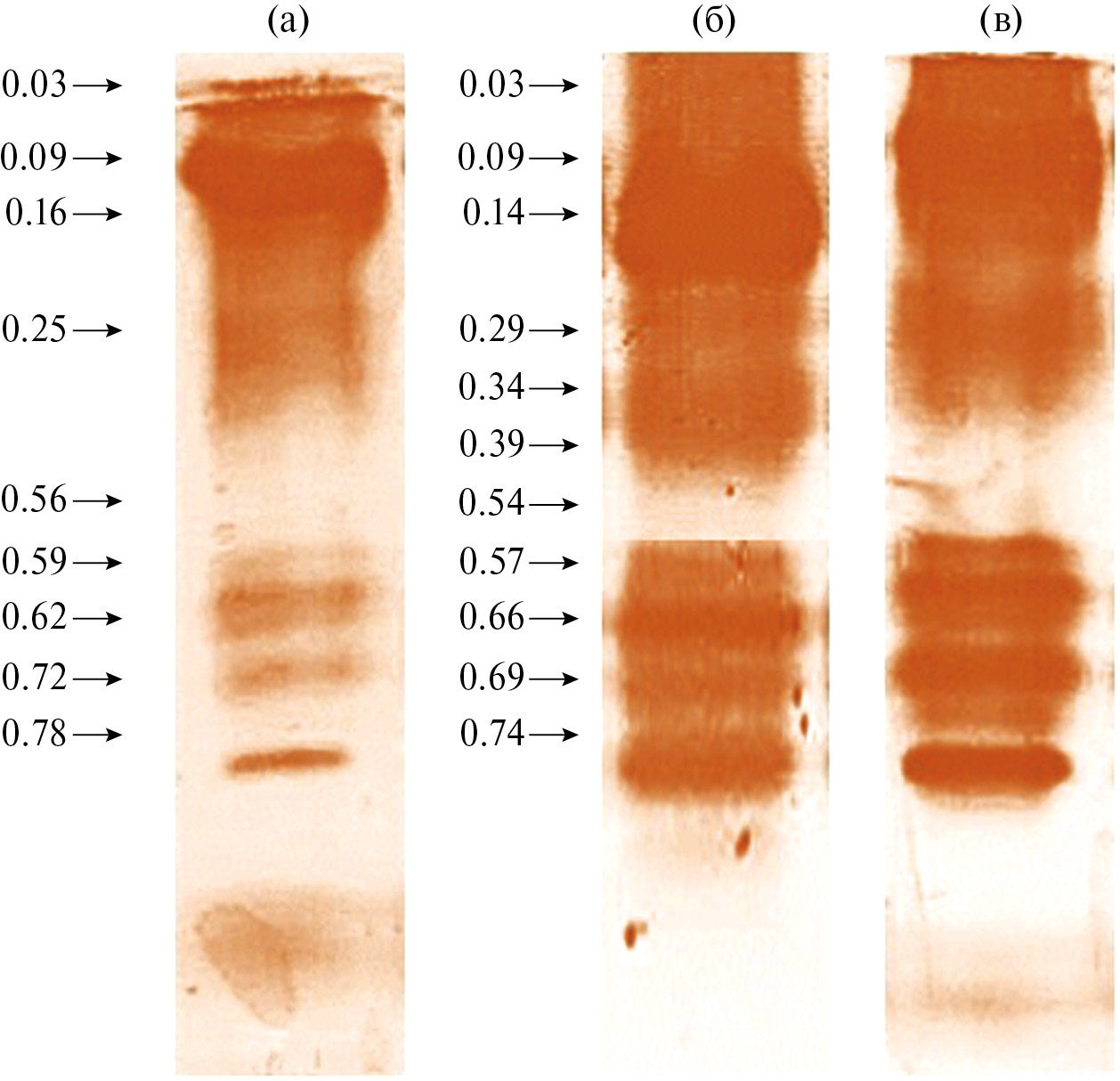
По окрашенному продукту окисления о-ДАЗ обнаружили изоформный состав пероксидаз в неочищенном ферментном препарате. Он был представлен девятью формами с относительной электрофоретической подвижностью в ПААГ (Rf) 0.03, 0.09, 0.16, 0.25, 0.56, 0.59, 0.62, 0.72 и 0.78 (рис. 1а). Доминировали пероксидазы со значениями Rf 0.09 и 0.16. Добавление в среду культивирования проростков хлоридов металлов приводило к увеличению интенсивности полосы с Rf 0.62 (рис. 1б). ПАУ оказывали схожий эффект: доминировали четыре изоформы пероксидаз с Rf 0.56, 0.59, 0.72 и 0.78 (рис. 1в).
Rf, молекулярная масса и субъединичный состав МКП
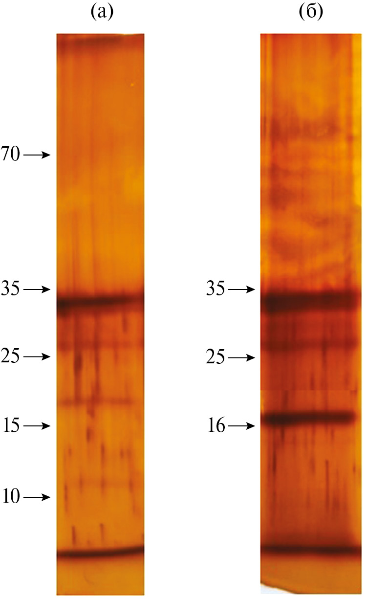
В результате ряда этапов очистки, включающей фракционирование сульфатом аммония, диализ и гель-фильтрацию (рис. 2а, б), в электрофоретически гомогенном виде была получена МКП, Rf которой составляла 0.03 (рис. 2в). Полоса активности этой пероксидазы присутствовала во всех образцах, и положение ее оставалось неизменным. Молекулярная масса МКП по данным гель-фильтрации составляла 155 кДа. На субъединичную структуру этой пероксидазы указывали данные денатурирующего гель-электрофореза с ДДС. Минимум три субъединицы входили в состав МКП, их молекулярная масса составляла 35, 25 и 16 кДа (рис. 3а, б).
Каталитическая характеристика МКП
МКП проверяли на способность окислять ряд субстратов как в присутствии перекиси водорода, так и без нее в диапазоне рН от 2.6 до 7.0. Максимальные показатели пероксидазной активности получили при следующих значениях рН: для ДМФ – 4.6, АБТС – 2.6, АСК – 7.0 (рис. 4а, б), а оксидазной активности – при рН: для ДМФ – 7.0, АБТС – 5.6, АСК – 4.0 (рис. 4в, г). Максимальная удельная пероксидазная активность наблюдалась по отношению к АСК – 6.5 × 10–7 моль/мин/мг белка. Для ДМФ и АБТС показатели близки – 4.2 × 10–8 и 5.0 ×.10–8 моль/мин/мг белка. Удельная оксидазная активность увеличивалась в ряду АБТС, ДМФ и АСК, достигая при этом 2.8 × 10–11, 4.1 × 10–11 и 9.6 × 10–9 моль/мин/мг белка соответственно. Стоит отметить, что удельная оксидазная активность МКП к ДМФ превышала таковую для АБТС в 1.5 раза.
Рис. 1. Изоферментный состав пероксидаз в грубом ферментном препарате проростков сорго веничного (Sorghum bicolor) (а) и в нем же при наличии в среде культивирования марганца (б) и фенантрена (в).
Рис. 2. Минорная катионная пероксидаза (МКП) проростков сорго веничного (Sorghum bicolor) на хроматограмме в УФ-спектре (а), графике распределения пероксидазной активности по профилю хроматограммы (б) и зимограмме после гель-фильтрации (в). Е.о.п. – единицы оптической плотности.
Скорость пероксидазной реакции выходила на плато при концентрации АБТС 0.4 × 10–6 М, что позволило определить максимальную скорость реакции (Vmax) и KМ [25]. Установлено, что Vmax реакции по пероксидазному пути составляла 4.1 × 10–8 моль/мин/мг белка, а KМ – 0.23 × 10–6 М. Скорость оксидазной реакции МКП выходила на плато при концентрации субстрата 0.65 × 10–6 М, что позволило определить значения Vmax и KМ: 1.4 × 10–10 моль/мин/мг белка и 0.32 × 10–6 М соответственно.
Рис. 3. Расположение маркерных белков (а) и субъединиц МКПП (б) при ДДС-электрофорезе.
Характеристика устойчивости пероксидазной системы к действию загрязнителей
Влияние неорганических загрязнителей на активность пероксидазной системы сорго определяли путем добавления в среду культивирования проростков хлоридов различных металлов. В общем пуле пероксидаз было выявлено как положительное, так и отрицательное влияние хлоридов металлов на их активность. В сравнении с контролем пероксидазная активность увеличивалась по отношению к ДМФ и АБТС. Для ДМФ ее прирост составил: 10, 25, 30, 50, 145 и 160% в присутствии Fe, Zn, Cu, Mg, Na и Mn соответственно (рис. 5). В случае АБТС рост активности составил от 120 до 295%, она увеличивалась в ряду – Zn, Cu, Mn, Na, Fe и Mg. Спад активности относительно контроля по отношению к АСК составлял от 5 до 95%, она уменьшалась в ряду – Na, Mg, Mn, Cu, Fe и Zn. Стоит отметить, что активность общего пула пероксидаз в присутствии хлорида натрия в среде культивирования значительно повышалась по отношению к ДМФ и АБТС и незначительно понижалась по отношению к АСК. В частности, было установлено, что активность очищенной МКП из проростков, выращенных в среде с добавлением хлорида натрия, по отношению к АБТС более чем в 7 раз превышала контрольные значения.
Влияние органических загрязнителей на активность пероксидазной системы сорго определяли путем добавления в среду трехкольцевых ПАУ. На наличие количественных изменений указывали показатели удельной пероксидазной активности ферментных препаратов. В частности, было установлено, что активность очищенной МКП из проростков, выращенных в среде с добавлением фенантрена и антрацена, по отношению к АБТС превышала контрольные значения в 3 (рис. 6б) и 8 раз (рис. 6в) соответственно.
Рис. 5. Окисление пероксидазной системой проростков сорго веничного (Sorghum bicolor) субстратов в отсутствие (а) и в присутствии солей металлов: натрий (б), магний (в), медь (г), цинк (д), железо (е), марганец (ж): 1 – ДМФ, 2 – АБТС, 3 – АСК.
Рис. 6. Окисление АБТС МКП проростков сорго веничного (Sorghum bicolor) в отсутствие (а) и в присутствии ПАУ: фенантрен (б), антрацен (в).
Окислительная способность МКП по отношению к нативным ПАУ
Под влиянием очищенной МКП происходила убыль всех выбранных ПАУ, она составляла: 90, 80, 20, 15% соответственно для антрацена, фенантрена, флуорантена и пирена. Важно отметить, что наиболее активно трансформации подвергались трехкольцевые ПАУ, убыль которых была в 5 раз больше, что особенно значимо, учитывая их более легкое поступление внутрь растения с водой.
ОБСУЖДЕНИЕ
Растительные пероксидазы являются одними из самых распространенных ферментов, обеспечивающих нормальное функционирование клеток на всех этапах развития растения [12]. При изменении условий окружающей среды меняется и пероксидазный состав, что связано с активацией или ингибированием отдельных его изоформ. Подтверждением лабильности пероксидазной системы является изменение пероксидазного профиля проростков сорго под влиянием неорганических и органических эффекторов, затрагивающих состав доминирующих форм. При этом во всех вариантах присутствовала МКП, которая может играть важную роль в защите растения от действия различного рода загрязнения. Ранее нами были изучены доминирующие формы катионной и анионной пероксидаз сорго [17, 31], обладающие способностью к детоксификации ряда ароматических поллютантов. Присутствие в среде культивирования хлоридов металлов или ПАУ повышало активность МКП. Фермент способен эффективно окислять трехкольцевые ПАУ, что свидетельствует о его участии в реализации ремедиационного потенциала сорго. Характеристика выделенной нами пероксидазы расширяет знания о функционировании пероксидазной системы сорго в условиях загрязнения.
Молекулярная масса растительных пероксидаз широко варьирует и составляет от 17 до 240 кДа [15]. Описанные ранее пероксидазы сорго имели молекулярную массу от 35 [1, 32] до 50 кДа [1, 16, 33]. Молекулярная масса выделенной нами МКП (155 кДа) оказалась значительно выше, причиной чего может быть как выявленная мультидоменная структура, так и степень гликозилирования растительных пероксидаз, которая зависит от множества факторов, в том числе от условий и стадии роста растения [34]. Установление структуры МКП представляет несомненный интерес и является предметом дальнейших исследований.
Пероксидазы способны к пероксидазному и оксидазному окислению субстратов, что обеспечивает активное участие этих ферментов в контроле АФК, образующихся из-за действия на растение различных факторов окружающей среды [35]. В зависимости от характера фактора в ответ может активироваться та или иная функция фермента. В ходе исследования нами была обнаружена способность МКП окислять АБТС и АСК как в пероксидазной, так и в оксидазной реакциях. Эта способность особенно интересна для характеристики сорго как ремедианта, поскольку продукты оксидазного окисления этих соединений могут выступать в роли медиаторов и активировать реакции по пероксидазному пути более устойчивых соединений [22]. Для описанной нами ранее доминирующей катионной пероксидазы из корней сорго [16] оксидазная активность не установлена.
Металлы необходимы для существования всех живых организмов, небольшие их концентрации, называемые физиологическими, не опасны для организма и принимают участие в жизненно необходимых процессах. При превышении физиологических концентраций металлы представляют угрозу для организма [36]. В таком случае их воздействие вызывает окислительный стресс, в ответ на который активируются антиоксидантные ферменты, в том числе и пероксидазы [37]. Для выявления реакции пероксидазной системы сорго на присутствие в среде металлов мы использовали их в концентрациях, превышающих ПДК в 10 раз [32], что оказывало заметный эффект на их физиологическое состояние. P. Soudek с соавт. [3] отметили снижение пероксидазной и глутатионтрансферазной активности в корнях сорго в присутствии кадмия и цинка. В то же время из исследований Y. Lyubun с соавт. [31] известно, что окислительный потенциал пероксидаз сорго при развитии стрессовой реакции взрослого растения активировал кадмий. По нашим данным, пероксидазная активность в проростках значительно увеличивалась в присутствии натрия и марганца – в среднем в 2.5 раза. В частности, установлено, что окисление АБТС при наличии в среде натрия более чем в 7 раз превышало контрольные значения.
Энзиматическая трансформация, производимая растениями, зависит от характеристик загрязнителя [38]. В соответствии с количеством бензольных колец выделяют легкие и тяжелые ПАУ. Легкими называют ПАУ, содержащие до четырех бензольных колец, а тяжелыми – ПАУ более чем с четырьмя бензольными кольцами. Количество колец напрямую связано с липофильностью этих загрязнителей, которая способствует их сохранению в окружающей среде в течение длительного времени [39]. Ранее мы не обнаружили влияния фенантрена на окисляющую способность пероксидаз взрослых растений сорго [16]. Однако в случае проростков присутствие в среде трехкольцевых ПАУ стимулировало работу антиоксидантной системы организма, в разы увеличивая активность пероксидаз. Это можно объяснить тем, что ответная реакция растения на загрязнители зависит от множества различных факторов окружающей среды, начиная температурой и рН почвы и заканчивая типом и концентрацией загрязнителя, а также от физиологического или генетического статуса растения [40].
Поскольку АБТС является одним из возможных органических медиаторов окисления ПАУ, активность МКП анализировали по реакциям с этим субстратом. В присутствии АБТС МКП была способна к окислению ряда нативных ПАУ, при этом наиболее активно трансформация проходила у трехкольцевых представителей, убыль которых была примерно в 5 раз выше. Это связано, вероятно, с более низким потенциалом ионизации этих соединений. Подобная зависимость наблюдалась и при окислении ПАУ пероксидазой хрена [22].
Таким образом, из проростков сорго веничного впервые выделена и охарактеризована МКП, которая наряду с пероксидазной обладает также и оксидазной активностью, что делает возможным инициацию пероксидазного цикла реакций продуктами оксидазного окисления. Обнаруженная стимуляция активности МКП в присутствии неорганических и органических загрязнителей и способность окислять ряд ПАУ свидетельствуют об ее активном участии в защите растения в условиях загрязнения.
Работа выполнена в рамках государственного задания Министерства науки и высшего образования РФ для Федерального исследовательского центра “Саратовский научный центр РАН”, тема № 1022040700974-4.
Настоящая статья не содержит каких-либо исследований с участием людей и животных в качестве объектов.
В исследованиях использовалось оборудование Центра коллективного пользования (ЦКП) “Симбиоз” ИБФРМ РАН.
Авторы заявляют об отсутствии конфликта интересов.
Об авторах
Е. В. Щербакова
Саратовский национальный исследовательский государственный университет имени Н.Г. Чернышевского; Федеральный исследовательский центр “Саратовский научный центр Российской академии наук”
Email: elizaveta-sch@mail.ru
Федеральный исследовательский центр “Саратовский научный центр Российской академии наук”
Россия, Саратов; СаратовЕ. В. Дубровская
Федеральный исследовательский центр “Саратовский научный центр Российской академии наук”
Email: elizaveta-sch@mail.ru
Институт биохимии и физиологии растений и микроорганизмов Российской академии наук
Россия, СаратовН. Н. Позднякова
Федеральный исследовательский центр “Саратовский научный центр Российской академии наук”
Email: elizaveta-sch@mail.ru
Институт биохимии и физиологии растений и микроорганизмов Российской академии наук
Россия, СаратовА. А. Галицкая
Саратовский национальный исследовательский государственный университет имени Н.Г. Чернышевского; Федеральный исследовательский центр “Саратовский научный центр Российской академии наук”
Email: elizaveta-sch@mail.ru
Институт биохимии и физиологии растений и микроорганизмов Российской академии наук
Россия, Саратов; СаратовО. В. Турковская
Федеральный исследовательский центр “Саратовский научный центр Российской академии наук”
Автор, ответственный за переписку.
Email: elizaveta-sch@mail.ru
Институт биохимии и физиологии растений и микроорганизмов Российской академии наук
Россия, СаратовСписок литературы
- Nnamchi C.I., Parkin G., Efimov I., Basran J., Kwon H., Svistunenko D.A., Agirre J., Okolo B.N., Moneke A., Nwanguma B.C., Moody P.C.E., Raven E.L. Structural and spectroscopic characterisation of a heme peroxidase from sorghum // J. Biol. Inorg. Chem. 2016. V. 21. P. 63.https://doi.org/10.1007/s00775-015-1313-z
- Турковская О.В., Муратова А.Ю., Дубровская Е.В., Бондаренкова А.Д., Любунь Е.В. Фиторемедиационный потенциал сорго веничного для очистки земель от углеводородов нефти и тяжелых металлов // Аграрный научный журнал. 2020. С. 50. https://doi.org/10.28983/asj.y2020i12pp50-54
- Soudek P., Petrova S.., Vankova R., Song J., Vanek T. Accumulation of heavy metals using Sorghum sp. // Chemosphere. 2014. V. 104. P. 15. https://doi.org/10.1016/j.chemosphere.2013.09.079
- Estrada B., Bernal M.A., Díaz J., Pomar F., Merino F. Fruit development in Capsicum annuum: changes in capsaicin, lignin, free phenolics, and peroxidase patterns // J. Agric. Food Chem. 2000. V. 48. P. 6234. https://doi.org/10.1021/jf000190x
- Khan A.A., Robinson D.S. Purification of anionic peroxidase isoenzyme from mango (Mangifera indica L. var. Chaunsa) // Food Chemistry. 1993. V. 46. P. 61.
- Kay E., Shannon L., Lew J.Y. Peroxidase isozymes from horseradish root. II. Catalytic properties // J. Biol. Chem. 1967. V. 242. P. 2470.
- Bela K., Riyazuddin R., Csiszar J. Plant glutathione peroxidases: Non-heme peroxidases with large functional flexibility as a Core Component of ROS-processing mechanisms and signalling // Antioxidants. 2022. V. 11. P. 1624. https://doi.org/10.3390/antiox11081624
- Allison S.D., Schultz J. Differential activity of peroxidase isozymes in response to wounding, gypsy moth and plant hormones in northern red oak (Quercus rubra L.) // Chem. Ecol. 2004. V. 30. P. 1363. https://doi.org/10.1023/b:joec.0000037745.66972.3e
- Bolwell G.P., Bindschedler L.V., Blee K.A., Butt V.S., Davies D.R., Gardner S.L., Gerrish C., Minibayeva F. The apoplastic oxidative burst in response to biotic stress in plants: a three-component system // J. Exp. Bot. 2002. V. 53. P. 1367. https://doi.org/10.1093/jexbot/53.372.1367
- Barcelo A.R., Pomer F. Oxidation of cinnamyl alcohols and aldehydes by a basic peroxidase from lignifying Zinnia elegans hypocotyls // Phytochem. 2001. V. 57. P. 1105. https://doi.org/10.1016/s0031-9422(01)00050-4
- Guo X., Wu Q., Zhang Z., Zhu G., Zhou G. Nitrogen and phosphorus counteracted the adverse effects of salt on Sorghum by Improving ROS scavenging and osmotic regulation // Agronomy. 2023. V. 13. P. 1020. https://doi.org/10.3390/agronomy13041020
- Газарян И.Г., Хушпульян Д.М., Тишков В.И. Особенности структуры и механизма действия пероксидаз растений // Успехи биол. химии. 2006. Т. 46. С. 303.
- Kumari N., Sharma I., Alam A., Sharma V. Oxidative stress and role of antioxidant machinery in two cultivars of sorghum (Sorghum bicolor L.) to combat the damage induced by Macrophomina phaseolina // Eur. J. Biotechnol. Biosci. 2015. V. 3. P. 5. https://doi.org/10.1080/09583157.2018.1450491
- El-Ganainy S.M., El-Bakery A.M., Hafez H.M., Ismail A.M., El-Abdeen A.Z., Elgalel Ata A.A., Abd Elraheem O.A.Y., El Kady Y.M.Y., Hamouda A.F., El-Beltagi H.S., Shehata W.F., Shalaby T.A., Abbas A.O., Almaghsla M.I., Sattar M.N. et al. Humic acid-coated Fe3O4 nanoparticles confer resistance to Acremonium wilt disease and improve physiological and morphological attributes of grain Sorghum // Polymers. 2022. V. 14. P. 3099. https://doi.org/10.3390/polym14153099
- Pandey V.P., Awasthi M., Singh S., Tiwari S., Dwivedi U.N. A Comprehensive review on function and application of plant peroxidases // Anal. Biochem. 2017. V. 6. P. 1. https://doi.org/10.4172/2161-1009.1000308
- Dubrovskaya E.V.., Pozdnyakova N.N., Grinev V.S., Muratova A.Yu., Golubev S.N., Bondarenkova A.D., Turkovskaya O.V. Dominant form of cationic peroxidase from sorghum roots // Russ. J. Plant Physiol. 2016. V. 63. P. 338. https://doi.org/10.1134/S1021443716030055
- Nnamchi C.I., Okoloa B.N., Moneke A.N., Nwanguma B.C., Amadi O.C., Efimov I. Spectroscopic and kinetic properties of purified peroxidase from germinated Sorghum grains // J. Am. Soc. Brew. Chem. 2022. V. 80. P. 316. https://doi.org/10.1080/03610470.2021.1939639
- Pandey V.P., Singh S., Singh R., Dwivedi U.N. Purification and characterization of peroxidase from papaya (Carica papaya) fruit // Appl. Biochem. Biotechnol. 2012. V. 167. P. 367. https://doi.org/10.1007/s12010-012-9672-1
- Лебедев Л.Р., Чепрасова М.Ю., Волкова Н.В. Методы разделения и очистки биополимеров (учебное пособие). Барнаул: Типография Алтайского государственного университета, 2019. 51 с.
- Laemmli U.K. Cleavage of structural proteins during the assembly of the head of bacteriophage T4 // Nature. 1970. V. 227. P. 680. https://doi.org/10.1038/227680a0
- Thongkred P., Lotrakul P., Prasongsuk S., Imai T., Punnapayak P. Oxidation of polycyclic aromatic hydrocarbons by a tropical isolate of Pycnoporus coccineus and its laccase // Sci. Asia. 2011. V. 37. P. 225. https://doi.org/10.2306/scienceasia1513-1874.2011.37.225
- Chen Z., Li H., Peng A., Gao Y. Oxidation of polycyclic aromatic hydrocarbons by horseradish peroxidase in water containing an organic cosolvent // Environ. Sci. Pollut. Res. 2014. V. 21. P. 10696. https://doi.org/10.1007/s11356-014-3005-6
- Доис Э. Количественные проблемы биохимии (учебное пособие). Москва: Мир, 1983. 373 с.
- Bradford M.M. A rapid and sensitive method for the quantitation of microgram quantities of protein utilizing the principle of protein-dye binding // Anal. Biochem. 1976. V. 72. P. 248. https://doi.org/10.1006/abio.1976.9999
- Варфоломеев С.Д., Зайцев С.В. Кинетические методы в биохимических исследованиях. Москва: Издательство МГУ, 1982. 345 с.
- Pujari D.S., Chanda S.V. Effect of salinity stress on growth, peroxidase and IAA oxidase activities in vigna seedlings // Acta Physiol. Plant. 2002. V. 24. P. 435. https://doi.org/10.1007/s11738-002-0040-6
- Fang W.C., Kao C.N. Enhanced peroxidase activity in rice leaves in response to excess iron, copper and zinc // Plant Sci. 2000. V. 158. P. 71. https://doi.org/10.1016/s0168-9452(00)00307-1
- Dubrovskaya E.V., Pozdnyakova N.N., Golubev S.N., Grinev V.S., Turkovskaya O.V. Peroxidases from alfalfa roots: Catalytic properties and participation in degradation of polycyclic aromatic hydrocarbons // Russ. J. Plant Physiol. 2017. V. 64. С. 174. https://doi.org/10.1134/S1021443717010058
- Позднякова Н.Н., Никифорова С.В., Макаров О.Е., Турковская О.В. Влияние полициклических ароматических углеводородов на продукцию лакказы грибом белой гнили Pleurotus ostreatus D1 // Прикладная биохимия и микробиология. 2011. Т. 47. С. 595.
- Шобанова И.А., Кащенок О.Н. Растительные пероксидазы в системе биотрансформации полициклических ароматических углеводородов (ПАУ) // Ксенобиотики и живые системы / Под ред. В.М. Юрина и др. Минск: Электронная библиотека БГУ, 2008. С. 157.
- Lyubun Y., Muratova A., Dubrovskaya E., Sungurtseva I., Turkovskaya O. Combined effects of cadmium and oil sludge on sorghum: growth, physiology, and contaminant removal // Environ. Sci. Pollut. Res. 2020. V. 27. P. 22720. https://doi.org/10.1007/s11356-020-08789-y
- Красовский Г.Н., Жолдакова З.И., Зайцев Н.А., Харчевникова Н.В., Беляева Н.И., Одинцов Е.Е., Егорова Н.А., Курляндский Б.А., Первухина И.В., Кучеренко А.И. Предельно допустимые концентрации (ПДК) химических веществ в воде водных объектов хозяйственно-питьевого и культурно-бытового водопользования. ГН 2.1.5.1315-03. Москва: Минздрав России, 2003. 214 с.
- Дубровская Е.В., Шапошникова Т.С. Характеристика анионных внутриклеточных пероксидаз сорго веничного // Научное творчество ХХI века / Под ред. Я.М. Максимова. Красноярск: Научно-инновационный центр, 2012. С. 432.
- Захарова Г.С., Упоров И.В., Тишков В.И. Пероксидаза из корней хрена: модулирование свойств химической модификацией белковой глобулы и гема // Успехи биол. химии. 2011. Т. 51. С. 37.
- Tomilin M.V., Olyunina L.N., Veselov A.P. Light dependent changes in peroxidase activity and peroxide hydrogen generation in the wheat seedlings // J. Stress Physiol. Biochem. 2011. V. 7. P. 5.
- Серегин И.В. Распределение тяжелых металлов в растениях и их действие на рост: Дис. … докт. биол. наук. Москва: ИФР РАН, 2009. 424 с.
- Jouili H., Bouazizi H., El Ferjani E. Plant peroxidases: biomarkers of metallic stress // Acta Physiol. Plant. 2011. V. 6. P. 2075. https://doi.org/10.1007/s11738-011-0780-2
- Квеситадзе Г.И., Хатисашвили Г.А., Садунишвили Т.А., Евстигнеева З.Г. Метаболизм антропогенных токсикантов в высших растениях. Москва: Наука, 2005. 199 с.
- Bojes H.K., Pope P.G. Characterization of EPA’s 16 priority pollutant polycyclic aromatic hydrocarbons (PAHs) in tank bottom solids and associated contaminated soils at oil exploration and production sites in Texas // Regul. Toxicol. Pharmacol. 2007. V. 47. P. 288. https://doi.org/10.1016/j.yrtph.2006.11.007
- Molina L., Segura A. Biochemical and metabolic plant responses toward polycyclic aromatic hydrocarbons and heavy metals present in atmospheric pollution // Plants. 2021. V. 10. P. 2305. https://doi.org/10.3390/plants10112305
Дополнительные файлы









