Влияние экспрессии гетерологичной Δ9-десатуразы на жирнокислотный состав растений томатов
- Авторы: Миловская И.Г.1, Варламова Н.В.2, Стариков А.Ю.1, Демиденко Д.В.2, Павленко О.С.1,2, Тюрин А.А.1, Соболев Д.С.1, Куренина Л.В.2, Голденкова-Павлова И.В.1, Халилуев М.Р.2,3
-
Учреждения:
- Федеральное государственное бюджетное учреждение науки институт физиологии растений им. К.А. Тимирязева Российской академии наук
- Федеральное государственное бюджетное научное учреждение “Всероссийский научно-исследовательский институт сельскохозяйственной биотехнологии”
- Федеральное государственное бюджетное образовательное учреждение высшего образования “Российский государственный аграрный университет – МСХА им. К.А.Тимирязева”
- Выпуск: Том 71, № 5 (2024): Генетическая инженерия растений – достижения и перспективы
- Страницы: 591-603
- Раздел: ЭКСПЕРИМЕНТАЛЬНЫЕ СТАТЬИ
- URL: https://journal-vniispk.ru/0015-3303/article/view/269476
- DOI: https://doi.org/10.31857/S0015330324050089
- EDN: https://elibrary.ru/MMENWN
- ID: 269476
Цитировать
Полный текст
Аннотация
В данной работе мы исследовали возможность модификации жирнокислотного (ЖК) состава листьев томата (Solanum lycopersicum L.) за счет введения в его геном гена Δ9 ацил-липидной десатуразы цианобактерии (Synechococcus vulcanus C.). Для получения трансгенных растений томата, экспрессирующих десатуразу цианобактерии (desC), и оценки влияния данной десатуразы на ЖК-состав суммарных липидов были сконструированы вектора, несущие ген desC. Последовательность гена была слита с лидерными последовательностями, обеспечивающими локализацию белкового продукта в хлоропластах, эндоплазматическом ретикулуме (ЭПР) или цитоплазматической мембране. Полученными векторами трансформировали штамм A. tumefaciens AGL0 для последующей агробактериальной трансформации растений томатов. ЖК анализ листьев показал, что для некоторых линий при локализации desC в цитоплазматической мембране или мембране ЭПР наблюдается увеличение содержания С16:1 и C16:2 жирных кислот. Для данных линий показано увеличение относительной представленности транскрипта desC по сравнению с трансгенными линиями, не показавшими изменения ЖК-состава. Полученные данные могут быть использованы для разработки стратегий направленной модификации жирнокислотного состава томатов.
Полный текст
Введение1
Десатуразы жирных кислот (ЖК) – это ферменты, катализирующие превращение одинарной связи между атомами углерода в ацильных цепях (С-С) в двойные связи (С=С). Десатуразы относятся к оксидазам со смешанной функцией, и для катализа им необходимы два электрона, донорами которых могут служить НАДФН или НАДН в зависимости от локализации десатуразы [1]. Все известные десатуразы в зависимости от формы, в которой находится ЖК, подвергающаяся окислению, делятся на три типа: ацилСоА- (используют ЖК, связанную с ацетил-СоА), ацил-АПБ- (используют ЖК, связанную с ацилпереносящим белком) и ацил-липидные десатуразы (используют ЖК в составе фосфолипидов). При этом первые два типа являются растворимыми ферментами, а ацил-липидные десатуразы – мембраносвязанными. У растений функционируют ацил-АПБ (располагаются только в пластидах, растворимые) и ацил-липидные (тип I – в ЭПР, тип II – в пластидах, мембраносвязанные) десатуразы [1]. В отличие от растворимых ацил-АПБ десатураз, ацил-липидные десатуразы расположены в мембране и имеют консервативные гидрофобные области. Второй важной особенностью мембранных десатураз, отличающих их от растворимых форм, является наличие трех консервативных гистидиновых кластеров, участвующих в формировании активного центра.
У высших растений процессы десатурации жирных кислот проходят в двух клеточных компартментах: пластидах и ЭПР. Путь, протекающий в пластидах, называют “прокариотическим”, в ЭПР – “эукариотическим”. Синтез жирных кислот начинается в пластидах и приводит к образованию пальмитиновой (С16:0) и стеариновой (С18:0) кислот. Далее образовавшиеся кислоты могут стать субстратом для десатураз, вводящих двойные связи и продуцирующие ненасыщенные жирные кислоты (НЖК). “Прокариотический” путь образования ненасыщенных ЖК осуществляется полностью в пластидах. С16:0 и С18:0 кислоты конъюгируют с глицерин-3-фосфатом, в результате чего образуется фосфатидная кислота (ФК). ФК является субстратом для действия ω-6 FAD6 и ω-3 FAD7 или FAD8 десатураз, которые синтезируют С18:2(Δ9, 12) и С18:3(Δ9, 12, 15) НЖК соответственно [2]. “Эукариотический” путь образования НЖК протекает со сменой компартментов, в которых находятся ЖК на различных этапах процессинга. Поскольку синтаза жирных кислот работает только в пластидах, а десатурация “эукариотического” типа происходит в ЭПР, стартовые вещества десатурации должны быть транспортированы из одного компартмента в другой. С16-кислота транспортируется в насыщенной форме, С18-кислота должна быть подвергнута десатурации по Δ9-положению (с помощью фермента SSI2, являющегося растворимой ацилАПБ-десатуразой и не задействованного в прокариотическом пути) и только потом может быть транспортирована из пластид. Предполагается, что ЖК могут самостоятельно диффундировать в межмебранное пространство, или могут быть транспортированы при участии переносчиков семейства FAX. Переносчиками из межмебранного пространства в цитоплазму предположительно могут являться длиноцепочечные ацилСоА-синтазы, локализованные во внешней мембране пластид. Активированная ЖК, перенесенная в цитоплазму с помощью этих ферментов, транспортируется в ЭПР посредством ацил-СоА связывающего белка (ACBP – AcylCoA-binding protein). На мембране ЭПР остаток ЖК из ацил-СоА, переносимый ACBP, участвует в синтезе фосфатидилхолина (ФХ) – основного траспортера ЖК в ЭПР. Помимо вышеописанного способа, С18:1 и С16:0 ЖК могут быть транспортированы из пластид в ЭПР напрямую, минуя цитоплазму, в местах контакта мембран двух органелл. Перенос при этом осуществляется через ФХ. Перенесенные в ЭПР ЖК подвергаются десатурации с помощью ω-6 FAD2 и ω-3 FAD3. Образованные ПНЖК могут транспортироваться посредством ФХ или ФК обратно в пластиды или к цитоплазматической мембране. При этом на мембране пластид в связывании и переносе ФК участвуют три белка: TGD1-3 (транспортер внешней мембраны хлоропласта), TGD4 (транспортер внутренней мембраны) и TGD5 (белок, расположенный в межмембранном пространстве и связывающий TGD1-3 и TGD5) [3]. Транспорт ЖК из ЭПР к плазматической мембране может осуществляться через прямой контакт мембран посредством везикул либо за счет белковых переносчиков. Так, ACBP1 и ACBP2 имеют домены связывания с ЭПР и плазмалеммой и выполняют функцию переносчиков. При этом, ACBP1 связывает C18-ацилСоА, ACBP2 специфичен в отношении C16-ацил-CoA. Таким образом, имеется согласованный обмен ЖК между тремя разными органеллами: пластидами, где начинается синтез, ЭПР и ЦПМ.
В отличие от высших растений, у которых обнаружены и растворимые и мембраносвязанные формы ферментов, для цианобактерий характерны только мембраносвязанные ацил-липидные десатуразы. Двойные связи в Δ9-, Δ12-, Δ15- и Δ6-положения цепи ЖК вводят четыре белка – DesC, DesA, DesB и DesD соответственно. В первой реакции фермент, кодируемый desC геном, превращает стеариновую кислоту (С18:0) в олеиновую (С18:1). Образование линолевой кислоты (С18:2) катализируется десатуразой desA. DesB вводит третью двойную связь, образуя линоленовую кислоту [4].
Изменения в уровнях экспрессии десатураз, приводящие к изменениям ЖК-состава мембран, могут оказывать существенные влияния на восприимчивость растений к различным стрессам, например, холодовому воздействию, чувствительности к патогенам и другим [5, 6]. Tsypurskaya с коллегами [7] показали, что экспрессия генов Δ9- и Δ12-ациллипидных десатураз в растениях картофеля повышала их устойчивость к Phytophthora infestans по сравнению с контрольными нетрансгенными растениями за счет накопления фенольных соединений в листьях. При введении двойной связи в цепи молекулы ЖК образуется изгиб. Данные изгибы приводят к менее плотной упаковке мембранных липидов, поскольку создается стерическое затруднение сближения молекул друг с другом. Данный механизм важен для сохранения текучести мембран при пониженных температурах, и разработки на его основе используются в биотехнологии для получения холодоустойчивых сортов [8–11]. Таким образом, экспрессия собственных десатураз растения, а также введение гетерологичных генов десатураз является предметом активного изучения. Ряд работ в этом направлении сделан именно на растениях томатов.
Yu с соавт. [9] продемонстрировали, что избыточная экспрессия ЭПР-локализованной омега-3 десатуразы ЖК томатов (LeFAD3) приводила к повышенному содержанию линоленовой кислоты (18:3) и, как следствие, к толерантности трансгенных растений к холодовому стрессу. Похожие результаты при экспрессии LeFAD7 были получены Liu с соавт., которые показали толерантность трансгенных leFAD7-экспрессирующих томатов к низким температурам [12]. Другим похожим примером является работа Dominguez с коллегами, где авторы показали, что оверэкспрессия FAD3 и FAD7 десатураз в растениях томатов приводит к улучшению сопротивляемости к холодовому стрессу. Также авторы сделали интересное наблюдение, обнаружив, что трансгенные растения, экспрессирующие FAD7, в способности противостоять низким температурам превосходят растения, экспрессирующие FAD3. Причина этого состоит в локализации ферментов. FAD7 является десатуразой хлоропластов, тогда как FAD3 – ЭПР-локализованный фермент. Предполагается, что ненасыщенные ЖК в составе хлоропластной мембраны играют важную роль в защите белков фотосистемы II от воздействия низких температур. Поскольку FAD7 локализуется в хлоропластной мембране, его роль в защите от холодового стресса наиболее выражена. Стоит отметить, что при закаливании трансгенные FAD3-томаты демонстрировали устойчивость к холоду, сопоставимую с таковой для FAD7-растений, что может быть объяснено перемещением 18:3 ЖК от ЭПР к хлоропластам в процессе закаливания [13]. Таким образом, локализация фермента может играть важную роль в регуляции липидного метаболизма, и это необходимо учитывать, изучая десатуразы. Также в данной работе показано, что увеличенное соотношение 18:3/18:2 ЖК, контролируемое экспрессией перенесенной омега-3 десатуразой, приводило к улучшению качества плодов и усилению синтеза оксилипинов, придающих томатам характерный аромат.
В нашем исследовании ген гетерологичной Δ9-десатуразы (desC) цианобактерии Synechococcus vulcanus, продукт которого локализован в ЭПР, ЦПМ или хлоропласте, использован для получения трансгенных растений томатов с последующей оценкой изменения ЖК состава в листовой ткани. Ранее в нашей лаборатории были получены обнадеживающие результаты схожего эксперимента на растениях табака [14]. В данной работе мы, изменяя дизайн эксперимента, пробуем экстраполировать полученные ранее данные на растения томатов. Особенность нашего исследования – направленная локализация продукта гена desC в трех разных компартментах растительной клетки: цитоплазме, ЭПР и хлоропластах. Это достигалось за счет использования трех типов векторов, в которых целевой ген слит в рамке считывания с соответствующими сигнальными последовательностями. Для оценки эффективности функционирования гетерологичной десатуразы проведен анализ содержания различных ЖК в листьях трансгенных растений томата разных линий. Причина выбора данной сельскохозяйственной культуры в качестве объекта исследования состоит в растущем спросе на данный вид сельскохозяйственных растений в мире. Томаты содержат большое количество ликопина, каротиноидного пигмента, защищающего растения от окислительного стресса и избыточного освещения, а также известного своими терапевтическими свойствами. Благодаря свойствам ликопина производство культуры продолжает расти и изучение активности и регуляции работы десатураз, как потенциальных регуляторов ответа на стрессы представляется важной задачей.
Δ9-десатураза (desC) из S. vulcanus представляет собой фермент из термофильной бактерии, температурный оптимум роста которой составляет 55°С. Эта десатураза, как и все десатуразы цианобактерий, является ацил-липидной, мембраносвязанной. Диапазон температур, в рамках которого фермент сохраняет свою функциональную активность, исследован в ряде работ. Было продемонстрировано, что белок успешно десатурирует свои субстраты при температурах 45, 37 и 35°С [15]. Orlova с соавт. показали, что экспрессия данной десатуразы в листьях табака при 22°С приводит к увеличению количества С18:1 жирной кислоты в составе листьев, благодаря чему трансгенные растения табака приобретали повышенную устойчивость к холоду [16]. Ранее в нашей лаборатории было показано, что desC, экспрессируемый в двух видах табака (N. benthamiana и N. excelsior), проявляет свою активность в отношении С16:0 и С18:0 кислот [14] при 22°С. Таким образом, несмотря на то, что фермент desC представляет собой белок термофильной бактерии, обитающей при 55°С, в ряде работ доказана его функциональность при температуре 22°С.
Материалы и методы
Конструирование экспрессионных векторов. При конструировании экспрессионных векторов использовались стандартные процедуры молекулярного клонирования и протоколы полимеразной цепной реакции (ПЦР). Все ферменты, используемые при конструировании векторов (эндонуклеазы рестрикции, Т4 ДНК-лигаза, Taq- и Pfu-ДНК-полимеразы, фосфатазы) использовались согласно протоколам фирм-изготовителей.
Первоначально последовательность гена desC, кодирующего ацил-липипидную десатуразу Δ9 Synechococcus vulcanus, была получена методом ПЦР с использованием плазмиды pQE-desC в качестве матрицы и праймеров descF1 и descR1 (прямой и обратный праймеры, содержащие сайты рестрикции ApaI и EcoRI GGGCCCACATCATCCTTAGAA и GAATTCGGACAACGCTTTGGG, соответственно). Полученный ПЦР продукт клонировали в вектор pFGG, гидролизованный по сайтам ApaI и EcoRI, с получением вектора pFGG-desC. Плазмида pFGG-desC, несущая ген desC, обеспечивающий локализацию белкового продукта в цитоплазме использована и для сборки двух других векторов – pFGG-Lch-DesC и pFGG-LeB4-DesC-ER.
Растительный вектор экспрессии, несущий ген desC, слитый с последовательностью транзитного пептида малой субъединицы Lch Rubisco Arabidopsis thaliana, обеспечивающей транспорт белкового продукта в хлоропласты, также получали в несколько этапов. Первоначально последовательность Lch, кодирующая этот транзитный пептид, была синтезирована методом ПЦР с использованием плазмиды pVIG-S2B [17] в качестве матрицы и праймеров lchF3 и lchR3 (прямой и обратный праймеры содержащие сайты рестрикции KpnI и ApaI, GGTACCATGGCTTCTATGATATC и GGGCCCCTGATATTCAACTATAT, соответственно). Далее, полученный ПЦР продукт клонировали в вектор pFGG-DesC, гидролизованный по сайтам KpnI и ApaI, с получением вектора pFGG-Lch-DesC.
Растительный вектор экспрессии, несущий ген desC, слитый с последовательностями, обеспечивающими транспорт и удержание белка в эндоплазматическом ретикулуме, получали в несколько этапов. Первоначально последовательность LeB4, кодирующая транспортный пептид, была синтезирована методом ПЦР с использованием плазмиды pVIG-Т2D [17] в качестве матрицы и праймеров LebF4 и LebR4 (прямой и обратный праймеры содержащие сайты рестрикции KpnI и ApaI, GGTACCATGTCCAAACCTTTTCT и GGGCCCTGCTAAACATGTGCT, соответственно). Полученный продукт ПЦР клонировали в вектор pFGG-DesC, гидролизованный по сайтам KpnI и ApaI, с получением вектора pFGG-LeB4-DesC. Затем фрагмент EcoRI–XbaI плазмиды pVIG-Т2D, несущий последовательность, кодирующую SRKDEL, сигнал удержания ЭР и сигнал полиаденилирования, клонировали в вектор pFGG-LeB4-DesC, гидролизованный по сайтам EcoRI и XbaI, с получением вектор pFGG-LeB4-DesC-ER.
Растительные экспрессионные векторы pVIG-DesC, pVIG-Lch-DesC и pVIG-LeB4-DesC-ER, используемые для дальнейшей трансформации растений томата были получены путем клонирования фрагментов SpeI-XhoI плазмид pFGG-desC, pFGG-Lch-DesC и pFGG-LeB4-DesC-ER, соответственно, в вектор pVIG-S, гидролизованный эндонуклеазами рестрикции SpeI и XhoI.
Правильное слияние гибридных генов с соответствующими лидерными последовательностями в экспрессионных векторах растений pVIG-DesC, pVIG-Lch-DesC и pVIG-LeB4-DesC-ER было подтверждено секвенированием (“Евроген”, Россия).
Получение культур Agrobacterium tumefaciens, несущих целевые конструкции. Для трансформации растений томата использовали бактериальные культуры Agrobacterium tumefaciens штамма AGL0, несущие бинарные плазмидные векторы pVIG-DesC, pVIG-Lch-DesC и pVIG-LeB4-DesC-ER (рис. 1).
Рис. 1. Схематическое изображение участка Т-ДНК в плазмидах pVIG-DesC (а), pVIG-Lch-DesC (б) и pVIG-LeВ4-DesC-ER (в), используемых для агробактериальной трансформации томата. LB – левая граница; RB – правая граница; 35S – конститутивный промотор 35S РНК вируса мозаики цветной капусты; pNOS – промотор нопалинсинтазы; nptII – ген неомицинфосфотрансферазы II; tNOS – последовательность терминатора нопалинсинтазы; desC – ген, кодирующий Δ9-десатуразу Synechococcus vulcanus; Lch – лидерная последовательность гена, кодирующего малую субъединицу рибулозо-1,5-бисфосфаткарбоксилазы Arabidopsis thaliana, обеспечивающая доставку кодируемого белка в хлоропласты; LeB4 – лидерная последовательность гена LeB4 гороха (Vicia faba), кодирующая промотор легумина B4, который обеспечивает компартментализацию белкового продукта в эндоплазматический ретикулум (ЭПР); последовательность ER, SKRDEL в 3’-области гена-мишени, кодирующая С-концевые аминокислоты для удержания целевого белка в ЭПР; поли-А, сигнальная последовательность полиаденилирования.
Вектора переносили в штамм AGL0 A. tumefaciens путем электропорации [18].
Выращивание растений. Растения Solanum lycopersicum L. линии ЯЛФ выращивали при +24°C, 18 ч день/6 ч ночь и освещенности 100 мкмоль квантов/(м2/с) на агаризованной среде Мурасиге-Скуга (МС-среда). Томаты ЯЛФ представляют собой чистую линию, используемую в качестве отцовской для получения гибрида F1 Юниор.
Трансформация растений. Эксперименты по получению трансгенных растений томата проводили методом со-культивирования семядольных эксплантов с разбавленной суспензией агробактерии. Ночную культуру агробактерии наращивали в 20 мл неагаризованной среды Лурия-Бертани, дополненной соответствующими селективными антибиотиками, на качалке (180 об/мин) в течение 24 ч при 28°С в темноте. Затем культуру ресуспендировали в жидкой МС-среде добиваясь, чтобы оптическая плотность при длине волны 600 нм была равной 0.6–0.7. В серии экспериментов по агробактериальной трансформации были использованы семядольные листья, включая черешки, полученные от 10–12 суточных асептических проростков. За 3 сут. до инфицирования экспланты прекультивировали на агаризованной МС-среде, дополненной 5 мг/л 6-бензиламинопурина (6-БАП) и 0.1 мг/л индолилуксусной кислоты (ИУК), обеспечивающей наибольшую частоту непрямого органогенеза побегов. Затем у семядолей отсекали небольшую часть у основания и верхушки, после чего переносили в подготовленную бактериальную суспензию. Инокуляцию семядольных эксплантов осуществляли в течение 20 мин при периодическом перемешивании. Впоследствии экспланты переносили на диски из фильтровальной бумаги, помещенные на поверхность чашки Петри со МС-средой, и сокультивировали в темноте при температуре 16°С в течение 48 ч. После этапа сокультивирования семядольные экспланты 5 раз промывали в жидкой МС-среде с добавлением антибиотика тиментина (300 мг/л) для элиминации Agrobacterium. Затем эксплантаты семядолей культивировали на агаризованной MC-среде, дополненной 5 мг/л 6-БАП, 0.1 мг/л ИУК и 300 мг/л тиментина. Субкультивирование на свежую питательную среду осуществляли каждые 20 сут. Со второго пассажа в состав питательной среды включали селективный антибиотик канамицин (Км) в концентрации 10 мг/л, на третьем его концентрацию увеличивали до 25 мг/л и далее продолжали культивировать при таких условиях. С увеличением периода культивирования концентрацию антибиотика для элиминации агробактерии постепенно снижали с 300 мг/л до 150 мг/л. Регенерирующие Км-устойчивые побеги отделяли от каллусной ткани и переносили на питательную среду для индукции ризогенеза следующего состава: ½ МС-среда с добавлением 0.2 мг/л индолил-3-масляной кислоты и 100 мг/л Км.
Отбор и условия культивирования трансгенных растений. Молекулярный анализ первичных трансформантов проводили с помощью ПЦР. Первичные трансформанты растений, показавшие наличие целевых генов и отсутствие агробактериальной контаминации, адаптировали к почве, затем проводили самоопыление для получения поколения T1. Отбор трансгенных растений поколения Т1 проводили в два этапа. На первом этапе проводили проращивание семян трансгенных растений поколения T1 на селективной среде (агаризованная МС-среда, содержащая 100 мг/л Км). Перед проращиванием семена стерилизовали поочередной инкубацией в растворе 70% спирта (2 мин), 1% растворе гипохлорита натрия (5 мин) с последующей троекратной отмывкой в воде (5, 10, 15 мин). На втором этапе проростки, полученные из семян, черенковали и вновь высаживали на селективную среду того же состава. Контрольные нетрансформированные растения проращивали таким же образом, но в качестве среды использовали агаризованную МС-среду, не содержащую антибиотик. Банки с растениями помещали в климатическую камеру. Отобранные таким образом растения использовали для проведения ЖК-анализа и определения уровня экспрессии гетерологичного гена методом ПЦР-РВ.
Экстракция ЖК и получение их метиловых эфиров. К навеске растительного материала (~50 мг) добавляли 5-кратный объем горячего (60°С) 96% этанола для фиксации. Для реакции омыления добавляли 5 М водный КОН до конечной концентрации 1 М с последующим растиранием тканей пестиком и инкубацией в течение 1 ч при 65°С с периодическим перемешиванием. Для количественного определения добавляли по 100 мкл стандарта – раствор гептадекановой кислоты в изопропаноле (250 мкг/мл). Пробы от неомыленных компонентов промывали 500 мкл н-гексана. Свободные жирные кислоты получали, добавляя 50 мкл 20% H2SO4, и экстрагировали н-гексаном. Верхнюю фазу переносили в чистые пробирки и упаривали насухо на вакуумном концентраторе Eppendorf Concentrator plus (“Eppendorf”, Германия). Жирные кислоты метилировали, добавляя 200 мкл 1% H2SO4 в метаноле с последующей инкубацией 30 мин при 55°С. Метиловые эфиры жирных кислот (МЭЖК) экстрагировали 250 мкл гексана.
ГХ-МС анализ. МЭЖК анализировали на приборе Хроматэк Кристалл 5000.2 NP (ЗАО СКБ “Хроматэк”, РФ) с квадрупольным МС детектором. Колонка Restek Rtx-2330 (60 м, кат. № 10726 “Restek”, США). Условия разделения МЭЖК: линейная скорость газа-носителя в колонке 1 мл/мин; объем вводимого образца 1 мкл; делитель потока 1:20, температура испарителя 260°С. Температурная программа градиентного анализа: плато 60°С 8 мин; нагрев до 170°С со скоростью 10°С/мин и 5 мин удержание этой температуры; нагрев от 170°С до 245°С со скоростью 6.5°С/мин и сохранение этой температуры до конца анализа. Рабочая температура МС-детектора – 230°С, энергия ионизации – 70 эВ. Идентификацию МЭЖК и расчет их количественного содержания в пробах проводили с использованием программы “Хроматэк Аналитик 3” и библиотеки спектров NIST.
Выделение РНК и обратная транскрипция. Листья трансгенных растений томатов измельчали в жидком азоте. Выделение РНК для ряда образцов проводили с использованием набора GeneJET Plant RNAPurification Mini Kit (“Evrogen”, Россия), руководствуясь инструкцией производителя.
Обратную транскрипцию проводили с использованием MMLV ревертазы. Для получения первой цепи кДНК использовали протокол MMLV RT Kit (“Evrogen”, Россия). Кратко, готовили смесь, состоящую из РНК-матрицы (500 нг) и праймеров, которую прогревали 2 мин при 70°С, после чего добавляли заранее подготовленную смесь MMLV-ревертазы, буфера, dNTPs и DTT. Инкубировали 45 мин при 39°С. Для остановки реакции смесь прогревали 10 мин при 70°С. Полученные таким образом образцы кДНК использовали для постановки ПЦР-РВ.
ПЦР-РВ. Метод ПЦР-реального времени (ПЦР-РВ) использовали для сравнительной относительной оценки уровня экспрессии целевого гена desC в трансгенных растениях томатов. Подбор праймеров производили с помощью программы NCBI PrimerBlast (табл. 1). В качестве референсных генов (эндогенных контролей) использовали гены актина и тубулина. Для относительного количественного анализа использовали ∆∆СТ-метод. Амплификация выполнялась на приборе QuantStudiо 5 (“Applied Biosystems”, США). Для приготовления проб использовали готовую смесь для ПЦР qPCRmix-HS SYBR (“Evrogen”, Россия). Реакционная смесь (20 мкл) содержала 4 мкл qPCRmix-HS SYBR, 5 µM каждого праймера и 100 нг матрицы кДНК. Использовали следующие условия амплификации: 95°C – 10 мин, далее 40 двухстадийных циклов 95°C – 15 с, 60°C – 30 с. Для возможности анализа специфичности образовавшихся продуктов проводили плавление образовавшихся дуплексов при условиях: 95°С – 15 с, 60°С – 1 мин, 95°С – 1 с. Результаты, полученные в трех повторностях qPCR, были использованы для относительной количественной оценки уровня транскрипции. За единицу приняли количество целевой мРНК в растениях линии 94 с цитоплазматической локализацией трансгена. Отрицательный контроль для каждой пары праймеров содержал все компоненты, за исключением матрицы кДНК. Результаты амплификации обрабатывались с использованием программного обеспечения QuantStudiо Design and Analysis Software v2.5.
Таблица 1. Последовательности праймеров, использованных при проведении RT-qPCR.
Название праймера | 5′-3′ последовательность |
qdecC-F | GCACTGGCTCTTTGGCAGTA |
qdesC-R | CTGGGACTGCGGATAGACGA |
qTubA_L-F | ACAACTTTGCCCGTGGACAT |
qTubA_L-R | TGCTCAAGAAGGGAGTGGGT |
qAct_L_F | CCTCCTAACTGAAGCCCCTCT |
qAct_L_R | CCTGCCAAGTCAAGACGGAG |
Статистический анализ. Все эксперименты по анализу ЖК-состава листьев и анализу уровней экспрессии генов были проведены независимо не менее трех раз. Статистическую обработку результатов проводили в программе RStudio. Для определения достоверности различий использовали критерий Тьюки, предварительно убеждаясь, что анализируемые выборки имеют нормальное распределение. На графиках, построенных по полученным данным, представлены средние значения и стандартные отклонения.
Результаты и обсуждение
Конструирование векторов
Для исследования вклада десатураз различных клеточных компартментов в формирование ЖК-профиля растительной клетки получены векторные конструкции трех типов: pVIG-DesC, pVIG-Lch-DesC и pVIG-LeB4-DesC-ER (рис. 1). Растительный экспрессионный вектор pVIG-DesC несет последовательность гена Δ9 ацил-липидной десатуразы S. vulcanus. Вектор pVIG-Lch-DesC несет ген этой же десатуразы, слитый с последовательностью пептида малой субъединицы рибулозобифосфаткарбоксилазы (RuBisCo) A. thaliana, обеспечивающей хлоропластную локализацию целевого белка. Вектор pVIG-LeB4-DesC-ER также несет последовательность десатуразы S.vulcanus, в 5’-область которого клонирована последовательность, соответствующая сигнальному пептиду легумина гороха LeB4 для локализации белкового продукта в ЭПР, а в 3’-области добавлен фрагмент, кодирующий сигнал удержания белков в ЭПР. Эффективность обеспечения целевой локализации белкового продукта desC была продемонстрирована в нашей группе ранее [14]. Berestovoy с соавт. оценивали локализацию гетерологичного белка desC, слитого с флуоресцентным белком EGFP, на модели протопластов с помощью флуоресцентной микроскопии. В результате была убедительно продемонстрирована целевая локализация белка в ЭПР, хлоропластах и цитоплазме.
Агробактериальная трансформация и получение регенерантов томата с устойчивостью к канамицину (Км)
Для получения трансгенных растений томата проводили серию независимых агробактерильных трансформаций с использованием различных штаммов AGL0, несущих плазмиды pVIG-DesC, pVIG-Lch-DesC и pVIG-LeВ4-DesC-ER. Всего в экспериментах было использовано 657 инокулированных семядольных эксплантов (табл. 2). В нашем исследовании применялась стратегия постепенной адаптации эксплантов к селективному антибиотику (без добавления Км на первом этапе культивирования, с добавлением Км до концентрации 10 и 25 мг/л на втором и третьем этапах, соответственно). Это было необходимо по причине того, что стрессовые условия, вызванные Км, могут приводить к значительному снижению каллусогенеза и регенерационного потенциала у семядольных эксплантов. Через 2–3 нед. после совместного культивирования семядольных эксплантов с суспензией Agrobacterium на срезе семядольного листа образовывался плотный светло-зеленый каллус. Экспланты, не образовавшие каллус, подвергались некрозу и становились коричневыми при культивировании на селективной среде. Частота некроза эксплантов варьировала от 29.4 до 77.2% в зависимости от плазмидных векторов. По прошествии 3 мес. культивирования были отобраны 20, 19 и 56 каллусных линий томата, устойчивых к Км, трансформированных плазмидами pVIG-DesC, pVIG-Lch-DesC и pVIG-LeВ4-DesC-ER соответственно. Эффективность образования каллуса составила 9.5, 7.7 и 27.9% соответственно. Из плотных светло-зеленых каллусных тканей наблюдали массовую регенерацию побегов. Регенерированные побеги длиной 1.5 см отрезали от каллусной ткани и переносили на среду RIM (Root inducing medium), содержащую 100 мг/л Км. Канамицин-устойчивые побеги томата укореняли в течение 1–2 нед., клонально размножали in vitro, и затем были адаптированы к почвенным условиям.
Таблица 2. Характеристика трансгенных каллусов, полученных с помощью агробактериальной трансформации различными векторными конструкциями
Вектор | Количество семядольных эксплантов | Количество Км-устойчивых линий | Гены | Эффективность трансформации (%) | ||
npt II | VirB | desC | ||||
pVIG-DesC | 210 | 20 | 20 | 2 | 18 | 8.6 |
pVIG-Lch-DesC | 246 | 19 | 19 | 6 | 8 | 3.3 |
pVIG-LeВ4-DesC-ER | 201 | 56 | 56 | 23 | 22 | 10.9 |
ПЦР-анализ первичных трансформантов
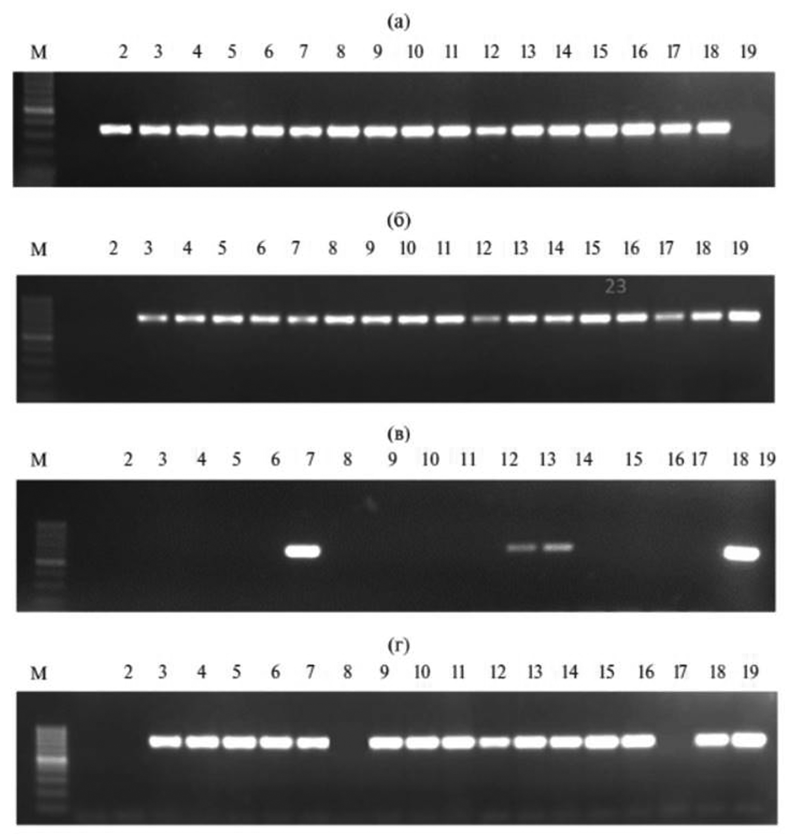
Для ПЦР-анализа выделяли геномную ДНК из листьев проростков томата, укорененных на RIM, а также из листьев нетрансгенного контроля (линия ЯЛФ) (табл. 3). Для оценки пригодности выделенной ДНК для ПЦР-анализа амплифицировали последовательность гена Tom52 (рис. 2а). Эффективность трансформации оценивали как процент независимых трансгенных линий томата, содержащих селективный (nptII) и целевой (desC) гены и не демонстрирующих признаки контаминации генами Agrobacterium, от общего количества трансформированных эксплантов. Также проводили определение наличия гена неомицин-фосфотрансферазы II (nptII). Фрагмент длиной 742 п.н. наблюдали у всех проанализированных предполагаемых трансформантов томата, тогда как в контроле соответствующей полосы не было обнаружено (рис. 2б). Чтобы исключить возможность контаминации генами Agrobacterium проводили ПЦР с использованием специфических праймеров, отжигающихся на последовательность гена VirB. Образцы ДНК, выделенные из 2, 6 и 23 линий томата, трансформированных плазмидными векторами pVIG-DesC, pVIG-Lch-DesC и pVIG-LeВ4-DesC-ER, соответственно, содержали ген VirB (рис. 2в). Несколько трансгенных линий томата не содержали вставки целевого гена desC (рис. 2д). Таким образом, эффективность трансформации линии ЯЛФ с помощью векторных конструкций pVIG-DesC, pVIG-Lch-DesC и pVIG-LeВ4-DesC-ER варьировала от 3.3 до 10.9% соответственно.
Таблица 3. Эффективность агробактериальной трансформации томатов сорта ЯЛФ векторами pVIG-DesC, pVIG-Lch-DesC и pVIG-LeВ4-DesC-ER
Вектор | Количество семядольных эксплантов (шт.) | Количество Км-устойчивых каллусов | ||||||||
Всего | Подверглось некрозу | Контаминация генами агробактерии | Отобрано | |||||||
шт. | % | шт. | % | шт. | % | шт. | % | шт. | % | |
pVIG-DesC | 210 | 100 | 83 | 39.5 | 103 | 49.1 | 24 | 11.4 | 20 | 9.5 |
pVIG-Lch-DesC | 246 | 100 | 190 | 77.2 | 29 | 11.8 | 27 | 11.0 | 19 | 7.7 |
pVIG-LeВ4-DesC-ER | 201 | 100 | 59 | 29.4 | 78 | 38.8 | 64 | 31.8 | 56 | 27.9 |
Рис. 2. ПЦР-амплификация генов Tom52 (а), nptII (б), VirB (в) и desC (г) на образцах геномной ДНК предполагаемых трансформантов и нетрансгенных растений томата. М – маркер молекулярной массы (GeneRuler 100 bp DNA Ladder, “Fermentas”, Литва); 2 – отрицательный контроль (линия ЯЛФ); 3–18 – независимые трансформированные линии томатов; 19 – положительный контроль (плазмида pVIG-DesC).
Получение трансгенных растений томата Т1
Все независимые трансгенные линии томата были успешно адаптированы к почве и самоопылены для получения семенного потомства Т1 в тепличных условиях. Однако только 50% всех трансгенных линий томата Т0 образовали жизнеспособные семена. Так, у 4, 6 и 14 первичных трансгенных линий томата, трансформированных плазмидными векторами pVIG-DesC, pVIG-Lch-DesC и pVIG-LeВ4-DesC-ER, соответственно, развитие плодов после самоопыления не произошло или были получены бессемянные плоды без оплодотворения (табл. 4).
Таблица 4. Частота образования нормальных и бессемянных плодов в популяции трансгенных линий томата поколения T0
Вектор | Количество линий томатов поколения T0 | ||||
Адаптировано к почве | Нормальных плодов | Бессемянных плодов | |||
шт. | % | шт. | % | ||
pVIG-DesC | 18 | 14 | 77.8 | 4 | 22.2 |
pVIG-Lch-DesC | 8 | 2 | 25.0 | 6 | 75.0 |
pVIG-LeВ4-DesC-ER | 22 | 8 | 36.4 | 14 | 63.6 |
Анализ наследования гена nptII в семенном потомстве трансгенных растений томата поколения T1
Для определения наследования трансгена в семенном потомстве, самоопыленные семена, собранные от различных первичных трансгенных линий томата, были оценены на устойчивость к Км (табл. 5). Для усиления надежности отбор трансфомантов проводили в два этапа. Первоначально семена проращивали на селективной среде, и далее проводили черенкование растений, которые вновь помещали на селективную среду. Применение этого подхода позволяет избежать отбора “негативных” трансформантов растений. 4 нед. культивирования на МС-среде с летальной концентрацией Км (150 мг/л) позволяли достоверно различить Км-чувствительные и Км-устойчивые растения. В данных условиях нетрансгенные проростки томата демонстрировали признаки хлороза, постепенно становились коричневыми и в последствии погибали, в то время как трансформированные проростки формировали хорошо развитые корни и росли здоровыми. χ2-тест для большинства трансгенных линий показал значение расщепления наследования селективного гена равное 3:1, что свидетельствует о стабильном менделевском наследовании гена nptII и вставке функционального трансгена в единственный локус генома томата. Однако в 7 трансгенных линиях томата наблюдалась и неменделевская схема наследования – коэффициент сегрегации между проростками устойчивыми и чувствительными проростками превышал критическое значение χ2, равное 3.84 (df = 1, Р < 0.05).
Отбор трансгенных растений поколения Т1
Методом агробактериальной трансформации с использованием трех типов векторных конструкций были получены первичные трансформанты растений томатов линий трех типов в зависимости от использованной лидерной последовательности. Были введены следующие обозначения: “ER” – для линий с ЭПР-локализацией, “Cyt” – для линий с цитоплазматической локализацией и “Chl” – для линий с хлоропластной локализацией белкового продукта гена десатуразы desC.
Фенотип большинства линий первичных трансформантов растений, выращенных на селективной среде, в основном, не отличался от растений контрольной линии, выращенных в условиях in vitro. У растений отмечена хорошо развитая мочковатая корневая система и развитый гипокотиль. Тем не менее, две линии трансгенных растений (50Chl и 8ER) характеризовались необычными фенотипами. У них выявлен сильно изогнутый гипокотиль с утолщением в нижней части (рис. 3).
Рис. 3. Фенотип контрольных растений и первичных трансформантов растений. (а) – контрольное растение ЯЛФ (агаризованная MС-среда), (б) – трансгенное растение (линия 94Cyt) (агаризованная MС-среда + канамицин), (в) – трансгенное растение (линия 8ER) "необычного" фенотипа (агаризованная MС-среда + канамицин).
В результате проведенного отбора для дальнейших исследований были выбраны 4 линии с ЭПР-локализацией, 5 линий с цитоплазматической локализацией и 1 линия с локализацией гетерологичного белка в хлоропластах. Использование для дальнейшей работы только одной линии растений с хлоропластной локализацией гетерологичной десатуразы обусловлено проблемами получения поколения T1 для данного типа трансформантов. А именно, отмечено, что большинство первичных трансформантов этой линии не образуют жизнеспособную пыльцу. Следует подчеркнуть, что сходные наблюдения были отмечены ранее в другом исследовании, в котором использование сигнальной последовательности RuBisCO для локализации белка холинэстеразы в хлоропластах также приводило к образованию стерильных растений. Это позволяет предположить, что локализация гетерлогичных белков в хлоропластах может негативно сказываться на процессе формирования жизнеспособной пыльцы.
Результаты ПЦР-РВ
Для сравнительного анализа уровня транскрипции целевого гена desC в отобранных линиях использовали ПЦР-РВ метод. Было показано, что во всех линиях первичных трансформантов растений происходит транскрипция целевого гена, однако уровень транскрипции различается в широких пределах. Результаты представлены на рисунке 4. Было показано, что линии 25Cyt, 54ER, 8ER, характеризуются 3-, 4.5- и 5.5-кратным увеличением уровня мРНК целевого гена относительно линии сравнения, тогда как для линий 50ER, 10ER, 3Cyt, 12Cyt, 15Cyt, 50Chl этот показатель не превышает значения 2.17. В целом, различия в уровнях транскрипции desС могут быть обусловлены различием мест интеграции целевой последовательности в геном растения, поскольку при использовании метода агробактериальной трансформации интеграция Т-ДНК происходит случайным образом. Кроме того, различия в уровне транскрипции целевого гена можно также объяснить его различающейся дозой, поскольку анализ был проведен на Т1-трансгенных растениях, содержащих как гомозиготные, так и гемизиготные формы.
Рис. 4. Относительная представленность транскриптов гена desC в разных линиях трансформированных томатов. За единицу принята экспрессия линии 94Cyt.
Сравнительный анализ состава ЖК у контрольных и трансгенных растений
Для оценки функциональности гетерологичного фермента проведен сравнительный анализ содержания ЖК в листьях трансгенных растений. Данный подход ранее показал свою состоятельность в ряде работ по изучению экспрессии гетерологичных десатураз в растениях. Так, Reza с соавт. использовали количественный показатель содержания линолевой и линоленовой кислот в качестве оценки функциональности дельта-12 десатуразы desA цианобактерии в листьях трансгенных растений картофеля [19]. Результаты данного исследования показали, что трансгенные растения характеризуются увеличенным содержанием ненасыщенных ЖК по сравнению с контрольными растениями. Важно, что для того, чтобы иметь возможность оценить уровень накопления гетерологичного фермента и отличить его активность от аналогичных активностей собственных десатураз картофеля, авторами было использовано слияние целевого белка с репортером – термостабильной лихеназой C. thermocellum. Таким образом, в этой работе параллельно с измерениями липидного состава, проводили анализ содержания целевого фермента посредством лихеназного метода, что позволяет с еще большей уверенностью говорить о достоверности связи между изменениями ЖК-состава и экспрессией бактериальной десатуразы в растениях.
Результаты ГХ-МС анализа содержания ЖК в листьях контрольных и трансгенных растений томатов представлены в таблицах 6 и 7.
Таблица 6. Содержание С16 ЖК (мг на г сухого веса) в листьях трансформированных растений томата
Тип ЖК | |||
Линия | 16:0 | 16:1 | 16:2 |
10ER | 15.0 ± 5.16 | 0.3 ± 0.0598 | 0.1 ± 0.0354 |
50ER | 14.2 ± 1.37 | 0.4 ± 0.117 | 0.05 ± 0.0480 |
54ER | 13.5 ± 3.68 | 2.0 ± 0.625 | 0.4 ± 0.128 |
8ER | 15.7 ± 1.53 | 1.2 ± 0.0197 | 0.3 ± 0.0797 |
50Chl | 19.00 ± 1.60 | 0.2 ± 0.0966 | 0.04 ± 0.0412 |
3Cyt | 29.7 ± 3.14 | 0.6 ± 0.123 | 0.1 ± 0.0271 |
94Cyt | 16.3 ± 6.11 | 0.3 ± 0.0772 | 0.04 ± 0.0103 |
12Cyt | 16.6 ± 1.36 | 0.4 ± 0.0208 | 0.04 ± 0.0407 |
15Cyt | 18.8 ± 2.42 | 0.4 ± 0.0391 | 0.05 ± 0.00422 |
25Cyt | 12.4 ± 1.82 | 2.4 ± 0.238 | 0.5 ± 0.136 |
Контроль | 17.3 ± 2.73 | 0.3 ± 0.0237 | 0.04 ± 0.0407 |
Примечание: жирным шрифтом отмечены показатели, достоверно отличающиеся от контрольных (Р < 0.05).
Таблица 7. Содержание С18 ЖК (мг на г сухого веса) в листьях трансформированных растений томата
Тип ЖК | ||||
Линия | 18:0 | 18:1 | 18:2 | 18:3 |
10ER | 3.1 ± 1.30 | 0.2 ± 0.0561 | 7.3 ± 2.08 | 28.9 ± 10.3 |
50ER | 2.4 ± 0.0919 | 0.2 ± 0.0707 | 8.3 ± 0.818 | 30.0 ± 2.71 |
54ER | 2.7 ± 1.11 | 0.2 ± 0.0205 | 7.3 ± 1.06 | 29.2 ± 9.38 |
8ER | 2.9 ± 0.494 | 0.4 ± 0.0256 | 8.8 ± 1.21 | 35.5 ± 6.32 |
50Chl | 2.1 ± 0.626 | 0.2 ± 0.0254 | 5.6 ± 1.15 | 13.6 ± 2.47 |
3Cyt | 5.3 ± 0.914 | 0.4 ± 0.0786 | 19.3 ± 4.04 | 57.7 ± 11.5 |
94Cyt | 3.9 ± 1.23 | 0.1 ± 0.0973 | 9.3 ± 2.71 | 28.6 ± 7.87 |
12Cyt | 2.3 ± 0.468 | 0.6 ± 0.133 | 11.5 ± 0.437 | 40.1 ± 5.22 |
15Cyt | 3.5 ± 0.835 | 0.5 ± 0.0176 | 10.6 ± 1.06 | 40.5 ± 6.82 |
25Cyt | 2.5 ± 0.674 | 0.3 ± 0.0581 | 7.6 ± 0.758 | 21.3 ± 3.62 |
Контроль | 2.9 ± 0.727 | 0.4 ± 0.125 | 12.4 ± 2.09 | 31.8 ± 4.05 |
По результатам ЖК-анализа, убедительно продемонстрировано достоверное увеличение пальмитоолеиновой кислоты (16:1) для трех линий, две из которых имеют ЭПР-локализацию фермента (54ER, 8ER), и одна – цитоплазматическую локализацию (25Cyt). Для этих же линий показано достоверное увеличение 16:2 (Δ9,12) ЖК. Таким образом, для линий 25Cyt, 8ER, 54ER работа гетерологичного фермента desC в растениях томатов приводит к образованию 16:1 ЖК, которая является субстратом для Δ12-десатуразы. Увеличение содержания субстрата (С16:1 ЖК) может приводить к накоплению продукта его десатурации под действием эндогенной Δ12-десатуразы – С16:2 (Δ9, 12) ЖК. Схожие результаты получены в экспериментах, проведенных Berestovoy с соавт., где продемонстрированы сходные закономерности при транзиентной экспрессии desC гена в растениях табака. Следует отметить, что нами не выявлено изменение в уровне С18 ЖК, несмотря на то, что субстратом desC фермента преимущественно являются именно С18:0 ЖК. Помимо этого, показано, что индекс двойных связей у всех линий трансгенных растений, в том числе и у тех, которые демонстрировали изменения в ЖК-составе, остается неизменным относительно такового для контрольных растений.
В разных источниках сообщается о важной роли локализации десатураз в клетке. Так Dominguez с соавт. сообщают о доминантном вкладе хлоропласт-локализованной десатуразы в способность растений противостоять переохлаждению [13]. В работе Герасименко с соавт. была продемонстрирована активность гетерологичной desC десатуразы в растениях табака при локализации фермента в пластидах [20]. При этом экспрессия этого же гена, без направляющей в хлоропласт последовательности не приводила к изменению ЖК-состава. В нашей работе мы использовали три типа векторов для локализации белкового продукта в трех разных компартментах – хлоропластах, ЭПР и цитоплазме. Следует еще раз отметить, что первичные трансформанты растений, которые получали с использованием конструкции для хлоропластной локализации целевого белка, оказались не способны к образованию пыльцы и поколения Т1 за исключением одной линии, которая и была проанализирована, однако изменений в ЖК-составе у этой линии не выявлено. Среди линий трансгенных растений с цитоплазматической и ЭПР-локализацией гетерологичной десатуразы обнаружены линии с измененным содержанием ненасыщенных ЖК. Эти результаты могут свидетельствовать о наличии субстратов для дельта-9-десатуразы как в составе цитоплазматической, так и ЭПР-мембран. Важно отметить, что наблюдаемые различия касаются С16:2 и С16:3 ЖК, тогда как содержание С18 ЖК во всех линиях трансгенных растений оставалось неизменным. Следует отметить, что об увеличении доли С16-ненасыщенных ЖК при экспрессии desС в растениях табака уже сообщалось ранее в работе Berestovoy с соавт. [14].
В нашем исследовании мы сопоставили данные ЖК-анализа листьев с данными, количественной оценки уровня мРНК целевого гена, для того, чтобы оценить взаимосвязь между уровнем представленности целевого транскрипта desC и содержанием ненасыщенных ЖК, как косвенным показателем активности белкового продукта desC [16]. Было показано, что линии трансгенных растений, которые характеризуются более высоким уровнем транскрипции гена desC, демонстрируют и увеличение содержания соответствующих ненасыщенных ЖК. Это линии – 25Cyt, 54ER, 8ER, у которых выявлен более высокий уровень относительного содержания транскрипта гена десатуразы по сравнению с линиями с неизменным ЖК-составом.
Заключение
В данной работе методом агробактериальной трансформации семядольных эксплантов с последующей регенерацией побегов путем непрямого органогенеза были получены независимые трансгенные растения томата линии ЯЛФ, экспрессирующие ген desC, с различной локализацией продукта экспрессии. Проведенный ГХ-МС анализ ЖК-состава позволил обнаружить линии (25Cyt, 8ER, 54ER), характеризующиеся увеличенным содержанием 16:1 и 16:2 ЖК в листьях. По данным ПЦР-РВ эти линии демонстрировали и увеличенный уровень транскрипции desC по сравнению с трансгенными линиями, ЖК-состав которых не отличался от контрольного значения. Таким образом, в данном исследовании нами сконструированы три линии трансгенных растений томатов с измененным ЖК-составом. Повышение содержания С16:1 ЖК, которая является субстратом для эндогенных дельта-12-десатураз, может приводить к увеличению экспрессии собственных ферментов растений с подобной активностью. Вероятно, именно изменение содержания С16:1 приводит к наблюдаемому увеличению количества С16:2 ЖК в полученных трансгенных линиях, в результате чего они могут являться хорошей моделью для изучения работы и регуляции эндогенных дестарураз растений томата.
Работа выполнена за счет гранта Российского научного фонда (проект № 21-74-30003) и в рамках государственных заданий Министерства науки и высшего образования Российской Федерации (тема № 122042700043-9, тема № 122032300112-7).
Настоящая статья не содержит каких-либо исследований с участием людей в качестве объектов исследований. Авторы декларируют отсутствие явных и потенциальных конфликтов интересов, связанных с публикацией настоящей статьи.
1 Сокращения: АПБ – ацилпереносящий белок, ЖК – жирная кислота, ЖК-состав – жирнокислотный состав, Км – канамицин, НЖК – ненасыщенные жирные кислоты, ФК – фосфатидная кислота, ФХ – фосфатидилхолин, ЦПМ – цитоплазматическая мембрана, ЭПР – эндоплазматический ретикулум, ACBP – acyl-CoA binding protein, EGFP – enhanced green fluorescent protein, FAD – fatty acid desaturase, RIM – root inducing medium.
Об авторах
И. Г. Миловская
Федеральное государственное бюджетное учреждение науки институт физиологии растений им. К.А. Тимирязева Российской академии наук
Email: irengold58@gmail.com
Россия, Москва
Н. В. Варламова
Федеральное государственное бюджетное научное учреждение “Всероссийский научно-исследовательский институт сельскохозяйственной биотехнологии”
Email: irengold58@gmail.com
Россия, Москва
А. Ю. Стариков
Федеральное государственное бюджетное учреждение науки институт физиологии растений им. К.А. Тимирязева Российской академии наук
Email: irengold58@gmail.com
Россия, Москва
Д. В. Демиденко
Федеральное государственное бюджетное научное учреждение “Всероссийский научно-исследовательский институт сельскохозяйственной биотехнологии”
Email: irengold58@gmail.com
Россия, Москва
О. С. Павленко
Федеральное государственное бюджетное учреждение науки институт физиологии растений им. К.А. Тимирязева Российской академии наук; Федеральное государственное бюджетное научное учреждение “Всероссийский научно-исследовательский институт сельскохозяйственной биотехнологии”
Email: irengold58@gmail.com
Россия, Москва; Москва
А. А. Тюрин
Федеральное государственное бюджетное учреждение науки институт физиологии растений им. К.А. Тимирязева Российской академии наук
Email: irengold58@gmail.com
Россия, Москва
Д. С. Соболев
Федеральное государственное бюджетное учреждение науки институт физиологии растений им. К.А. Тимирязева Российской академии наук
Email: irengold58@gmail.com
Россия, Москва
Л. В. Куренина
Федеральное государственное бюджетное научное учреждение “Всероссийский научно-исследовательский институт сельскохозяйственной биотехнологии”
Email: irengold58@gmail.com
Россия, Москва
И. В. Голденкова-Павлова
Федеральное государственное бюджетное учреждение науки институт физиологии растений им. К.А. Тимирязева Российской академии наук
Автор, ответственный за переписку.
Email: irengold58@gmail.com
Россия, Москва
М. Р. Халилуев
Федеральное государственное бюджетное научное учреждение “Всероссийский научно-исследовательский институт сельскохозяйственной биотехнологии”; Федеральное государственное бюджетное образовательное учреждение высшего образования “Российский государственный аграрный университет – МСХА им. К.А.Тимирязева”
Email: irengold58@gmail.com
Россия, Москва; Москва
Список литературы
- Лось Д.А. Структура, регуляция экспрессии и функционирование десатураз жирных кислот // Успехи биологической химии. 2001. Т. 41. С. 163.
- He M., Qin C.-X., Wang X., Ding N.-Z. Plant unsaturated fatty acids: biosynthesisand regulation. // Front. Plant Sci. 2020. V. 11. P. 390. https:doi: 10.3389/fpls.2020.00390
- Li N., Xu C., Li-Beisson Y., Philippar K. Fatty acid and lipid transport in plant cells // Trends Plant Sci. 2016. V. 21. P. 145. https:doi: 10.1016/j.tplants.2015.10.011
- Murata N., Wada H. Acyl-lipid desaturases and their importance in the tolerance and acclimatization to cold of cyanobacteria // J. Biochem. 1995. V. 308 P. 1. https:doi: 10.1042/bj3080001
- Kachroo P., Shanklin J., Shah J., Whittle E., Klessig D. A fatty acid desaturase modulates the activation of defense signaling pathways in plants // Proc. Natl. Acad. Sci. 2001. V. 98. P. 9448. https:doi: 10.1073/pnas.151258398
- Song N., Hu Z., Li Y. Overexpression of a wheat stearoyl-ACP desaturase (SACPD) gene TaSSI2 in Arabidopsis ssi2 mutant compromise its resistance to powdery mildew // Gene. 2013. V. 524. P. 222. https:doi: 10.1016/j.gene.2013.04.019
- Tsypurskaya E., Nikolaeva T., Lapshin P., Nechaeva T., Yuorieva N., Baranova E., Derevyagina M., Nazarenko L. Goldenkova-Pavlova I. Zagoskina N. Response of transgenic potato plants expressing heterologous genes of ∆9- or ∆12-Acyl-lipid desaturases to Phytophthora infestans infection // Plants. 2022. V. 11. P. 288. https:doi: 10.3390/ plants11030288
- Ishizaki-Nishizawa O., Fujii T., Azuma M. Low-temperature resistance of higher plants is significantly enhanced by a nonspecific cyanobacterial desaturase // Nat. Biotech. 1996. V. 14. P. 1003. https:doi: 10.1038/nbt0896-1003
- Yu C., Wang H., Yang S., Tang X., Duan M., Meng Q. Overexpression of endoplasmic reticulum omega-3 fatty acid desaturase gene improves chilling tolerance in tomato // Plant Physiol. Biochem. 2009. V. 47. P. 1102.https:doi: 10.1016/j.plaphy.2009.07.008
- Zhou Z., Wang M., Hu J. Improve freezing tolerance in transgenic poplar by overexpressing a ω-3 fatty acid desaturase gene // Mol. Breeding. 2010. V. 25. P. 571. https:doi.org/10.1007/s11032-009-9352-1
- Peng D., Zhou B., Jiang Y. Enhancing freezing tolerance of Brassica napus L. by overexpression of a stearoyl-acyl carrier protein desaturase gene (SAD) from Sapium sebiferum (L.) Roxb // Plant Sci. 2018. V. 272. P. 32. https:doi: 10.1016/j.plantsci.2018.03.028
- Liu X., Teng Y., Li B. Enhancement of low-temperature tolerance in transgenic tomato plants overexpressing Lefad7 through regulation of trienoic fatty acids // Photosynth. 2013. V. 51. P. 238. https:doi: 10.1007/s11099-013-0014-5
- Dominguez T., Hernandez L., Pennycooke J., Jimenez P., Martınez-Rivas J., Sanz C., Stockinger E., Sanchez-Serrano J., Sanmartin M. Increasing v-3 desaturase expression in tomato results in altered aroma profile and enhanced resistance to cold stress // Plant Physiol. 2010. V. 153. P. 655. https:doi: 10.1104/pp.110.154815
- Berestovoy M., Pavlenko O., Tyurin A., Gorshkova E., Goldenkova-Pavlova I. Altered fatty acid composition of Nicotiana benthamiana and Nicotiana excelsior leaves under transient overexpression of the cyanobacterial desC gene // Biol. Plant. 2020. V. 64. P. 167. https:doi: 10.32615/bp.2019.144
- Kiseleva L., Serebriiskaya T., Horváth I., Vigh L., Lyukevich A., Los D. Expression of the gene for the delta9 acyl-lipid desaturase in the thermophilic cyanobacterium. // J. Mol. Microbiol. Biotechnol. 2000. V. 2. P. 331.
- Orlova I., Serebriiskaya T., Popov V., Merkulova N., Nosov A., Trunova T., Tsydendambaev V., Los D. Transformation of tobacco with a gene for the thermophilic acyl-lipid desaturase enhances the chilling tolerance of plants // Plant Cell Physiol. 2003. V. 44. P. 447. https:doi: 10.1093/pcp/pcg047
- Vyacheslavova A., Berdichevets I., Tyurin A., Shimshilashvili K., Mustafaev O., Goldenkova-Pavlova I. Expression of heterologous genes in plant systems: new possibilities // Russ. J. Gen. 2012. V. 48. P. 1067. https:doi: 10.1134/S1022795412110130
- Höfgen R., Willmitzer L. Storage of competent cells for Agrobacterium transformation // Nucleic Acids Res. 1988. V. 16. P. 9877. https:doi: 10.1093/nar/16.20.9877
- Reza M., Goldenkova-Pavlova I., Pchelkin V., Tsydendambaev V., Los D., Nosov A. Acyl-lipid Δ12-desaturase of the cyanobacterium increases the unsaturation degree in transgenic potato (Solanum tuberosum L.) // Biologia. 2007. V. 53. P. 4.
- Герасименко И., Сахно Л., Кирпа Т., Остапчук А., Хаджиев Т В., Голденкова-Павлова И.В., Шелудько Ю. Характеристика растений Nicotiana tabacum, экспрессирующих гибридные гены Δ9- или Δ12-ацил-липидных десатураз цианобактерий и термостабильной лихеназы // Физиология растений. 2015. Т. 62. С. 307.
Дополнительные файлы







