Влияние rol-Генов Agrobacterium rhizogenes штаммов А4, 15834 и K599 на рост корней трансгенных растений табака и состояние антиоксидантной системы в условиях абиотического стресса
- Авторы: Швец Д.Ю.1,2, Бережнева З.А.1, Мусин Х.Г.1, Кулуев Б.Р.1,3
-
Учреждения:
- Институт биохимии и генетики – обособленное структурное подразделение Федерального государственного бюджетного научного учреждения Уфимский федеральный исследовательский центр Российской академии наук
- Башкирский государственный медицинский университет
- Уфимский университет науки и технологий
- Выпуск: Том 71, № 5 (2024): Генетическая инженерия растений – достижения и перспективы
- Страницы: 632-645
- Раздел: ЭКСПЕРИМЕНТАЛЬНЫЕ СТАТЬИ
- URL: https://journal-vniispk.ru/0015-3303/article/view/269501
- DOI: https://doi.org/10.31857/S0015330324050111
- EDN: https://elibrary.ru/MLUDPV
- ID: 269501
Цитировать
Полный текст
Аннотация
Генетическая трансформация rol-генами Agrobacterium rhizogenes приводит к многочисленным фенотипическим изменениям, в том числе к повышению стрессоустойчивости трансгенных растений. Механизмы стрессоустойчивости у растений, экспрессирующих rol-гены, остаются малоизученными, кроме того, фенотипические эффекты этих трансгенов зависят от того, из какого штамма агробактерий они происходят. Целью работы было создание трансгенных растений табака Nicotiana tabacum L., несущих rol-гены штаммов A4, 15834 и K599 A. rhizogenes, анализ их стрессоустойчивости и состояния антиоксидантной системы. Трансгенные растения с rol-генами штаммов A4 и 15834 характеризовались увеличением скорости роста корней, как при нормальных условиях, так и при воздействии повышенных концентраций хлорида натрия и ацетата кадмия по сравнению с диким типом. Экспрессия rol-генов штамма К599 оказывала негативное действие на рост корней трансгенных растений табака как в норме, так и в стрессовых условиях засоления, гипотермии и повышенных концентрациях ацетата кадмия. В корнях трансгенных растений табака в оптимальных условиях и при засолении экспрессия rol-генов штаммов A4 и 15834 способствовала повышению количества общего растворимого белка, пролина, общего пула глутатиона и активности супероксиддисмутазы. В корнях трансгенных растений с rol-генами штамма К599 в условиях засоления обнаруживалось повышение активности супероксиддисмутазы, гваяколпероксидазы и глутатион-S-трансферазы. Таким образом, показано, что положительный эффект экспрессии rol-генов на рост корней трансгенных растений может быть связан с влиянием на различные компоненты антиоксидантной системы. Полученные нами результаты говорят о перспективности использования rol-генов штаммов А4 и 15834 A. rhizogenes для создания новых сортов и линий растений с улучшенными параметрами роста корней и повышенной стрессоустойчивостью, тогда как rol-гены штамма К599 не подходят для таких целей.
Полный текст
ВВЕДЕНИЕ
Agrobacterium rhizogenes (Rhizobium rhizogenes) [1, 2] в процессе генетической трансформации переносит в составе Т-ДНК в геном растений гены rolA, rolB, rolC и rolD, так называемые гены “корневого локуса” (англ. root locus), выполняющие разнообразные биологические функции, которые нарушают нормальное функционирование растений путем действия на гормональную систему, что в итоге приводит к образованию волосовидных корней (англ. hairy roots) [3–5]. На сегодняшний день известно, что экспрессия всех rol-генов как вместе, так и по отдельности может оказывать различное влияние на морфогенез, антиоксидантную систему, стрессоустойчивость и вторичный метаболизм, что было подробно рассмотрено в нашем обзоре [6]. Накапливаются данные о позитивном влиянии отдельных rol-генов на стрессоустойчивость через воздействие на компоненты антиоксидантной системы и гормональный статус растений. К примеру, ген rolB способен активировать защитные системы растений в ответ на активные формы кислорода (АФК), предотвращая гибель некротических клеток, и уменьшать симптомы апоптоза [7]. Было показано, что растения Rubia cordifolia L., несущие ген rolC штамма А4 A. rhizogenes, лучше нейтрализуют действие АФК, чем дикий тип [8]. Дальнейшие исследования показали, что у rolC-трансформированных растений активируются myb-response elements и С-related elements, регулирующие синтез вторичных метаболитов, что проявляется снижением содержания АФК [3, 9]. Также есть данные о 2–3-кратном повышении устойчивости rolC-трансформантов к солевому стрессу, низким и высоким температурам [8]. Экспрессия каждого из rol-генов у растений Centella asiatica L., транcформированных штаммом А4 A. rhizogenes, способствовала увеличению содержания абсцизовой кислоты [10].
Несмотря на описанные результаты, остается менее изученным, как влияет на рост и стрессоустойчивость растений встраивание в геном всех rol-генов из различных штаммов агробактерий. Сравнительные исследования направленные на оценку стрессоустойчивости и состояния компонентов антиоксидантной системы трансгенных растений, полученных при встраивании всех rol-генов различных штаммов агробактерий, судя по всему, не проводились. Поэтому целью данного исследования явилось создание трех вариантов трансгенных растений табака, несущих rol-гены штаммов A4, 15834 и K599 A. rhizogenes, анализ их стрессоустойчивости и состояния антиоксидантной системы.
Штаммы A. rhizogenes классифицируют в соответствии с использованием ими основных опинов для питания: агропина, маннопина, кукумопина и микимопина [11–13]. Наиболее известны штаммы A. rhizogenes агропинового типа – 15834, А4 и LBA9402, чаще всего используемые для генетической трансформации растений с целью получения волосовидных корней. К кукумопиновому типу относится менее изученный штамм K599 (NCPPB2659), но успешно используемый для трансформации растений семейства Fabaceae [14, 15]. Предполагалось, что rol-гены агропиновых и кукумопиновых штаммов будут оказывать разное влияние на рост, стрессоустойчивость и компоненты антиоксидантной системы в трансформированных растениях.
МАТЕРИАЛЫ И МЕТОДЫ
Создание трансгенных растений табака с rol-генами штаммов A4, 15834 и K599 A. rhizogenes
В работе использовали кукумопиновый штамм A. rhizogenes К599 (NCPPB2659) с плазмидой pRi2659, агропиновые штаммы А4 и 15834 с плазмидами pRi15834 и pRiA4, соответственно. Трансгенные растения табака Nicotiana tabacum L. сорта Petit Havana линии SR1 были получены методом агробактериальной трансформации листовых дисков с использованием соответствующих штаммов A. rhizogenes. Для проведения генетической трансформации штаммами К599, А4 и 15834 использовали двухмесячные растения табака, выращенные ex vitro. Агробактерии предварительно наращивали в жидкой среде LB (Lysogeny Broth) с добавлением рифампицина 100 мг/л (“Фармасинтез”, Россия), затем осаждали центрифугированием при 4000 об/мин в течение 5 мин, осадок растворяли в 5 мл среды minA (K2HPO4–1.37%; KH2PO4–0.45%; (NH)4SO4–0.1%; цитрат натрия – 0.05%; MgSO4×7H2O – 0.025%; сахароза – 0.2% г; pH 5.4) с добавлением 100 мкМ ацетосирингона (“Sigma”, США). Суспензию агробактерий наращивали на орбитальном шейкере (“Innova 40”, Германия) в течение двух часов при 25°C и 180 об/мин. Экспланты листьев табака стерилизовали с использованием 70% раствора этанола (~1 мин) и 2% раствора гипохлорита натрия (~10 мин), затем промывали 5 раз стерильной дистиллированной водой. Инокуляцию листовых эксплантов суспензией агробактерий проводили в течение 30 мин, после чего помещали их на твердую МС-среду, предварительно подсушивая на стерильной фильтровальной бумаге, на совместное культивирование в течение 2 суток. при температуре 25 °C, затем листовые экспланты переносили на твердую МС-среду с цефотаксимом (100 мг/л) (“Биохимик”, Россия) для элиминации агробактерий.
Выросшие волосовидные корни длиной 1.5–2 см помещали в отдельные чашки Петри со МС-средой с добавлением цефотаксима (100 мг/л) и содержали при температуре 24° ± 1°C в темноте. Для регенерации побегов из волосовидных корней перемещали их в камеру роста Binder с интенсивностью света 140 мкмоль/(м2 с). Выращивали эти корни на МС-среде c pH 5.7–5.8 [16], дополненную 6-бензиламинопурином (БАП) (1 мг/л) и нафтилуксусной кислотой (НУК) (0.5 мг/л). Тотальную ДНК из побегов выделяли стандартным CTAB-методом [17]. Трансгенность индуцированных побегов проверяли методом ПЦР с праймерами RolAB1F 5′-AATTGCTACGAGGGGACGCTTTGT-3′, RolAB1R 5′-ACGCTCCGCCGGTGGTCATACTTA-3′, RolAB2F 5′-TCGGCGGGCTAAGGTCAAGAA-3′, RolAB2R 5′-CTCGCGAGAAGATGCAGAAAGTA-3′, подобранными нами ранее для одновременной детекции генов rolA и rolB различных штаммов A. rhizogenes. Для ПЦР-анализа на наличие гена rolC использовали праймеры rolC1F 5′-GGCGCACTCCTCACCAACCTTC-3′ и rolC1R 5 ′-CTCGCCATGCCTCACCAACTCA-3′, подобранные нами ранее к различным штаммам A. rhizogenes [18]. Необходимо отметить, что эти праймеры не дают специфичных ПЦР-продуктов на табаке дикого типа, хотя табак является природно-трансгенным растением, содержащим гомологи rol-генов [4]. Для акклиматизации регенерантов к почвенным условиям корни очищали от агара, после чего сажали на почвенный субстрат, покрывали пленкой для сохранения влажности и выращивали при температуре 26° ± 1°C, при интенсивности света 35 мкмоль/(м2 с) и фотопериоде 16/8 ч (свет/темнота). Акклиматизация проходила в течение 1 недели, после чего пленку убирали и выращивали растения до стадии созревания семян. Случайным образом для дальнейшего размножения были отобраны ПЦР-положительные трансгенные растения табака A4 (16, 17, 19), 15834 (5, 7) и K599 (14, 24). Семена, полученные от этих 7 трансгенных растений, стали родоначальниками соответствующих линий и были использованы в дальнейшей работе. Отбор трансгенных форм табака в ряду поколений осуществляли также при помощи метода ПЦР на гены rol A, B, C.
Морфометрический анализ корней трансгенных растений табака при действии засоления, гипотермии и ацетата кадмия
Семена трансгенных растений N. tabacum поколения Т2 линий A4 (16, 17, 19), 15834 (5, 7) и K599 (14, 24), высевали на твердую МС-среду и выращивали в камерах роста (“Binder”, Германия) при температуре 25°C, освещенности около 140 мкмоль/(м2 с) и фотопериоде 16/8 ч (свет/темнота) (нормальные условия). 10-дневные проростки с одинаковыми размерами корней пересаживали на вертикально-ориентированные чашки Петри со МС-средой при нормальных условиях, действии засоления в концентрациях 50 и 100 мМ NaCl, ацетата кадмия в концентрациях 100 и 200 мкМ, гипотермии (12°C). Растворы NaCl и CdAc добавляли в среду перед автоклавированием. Для выявления оптимальных концентраций NaCl предварительно был проведен эксперимент с растениями табака дикого типа (ДТ) с использованием следующих концентраций этой соли: 25, 50, 100 и 200 мМ. Поскольку при концентрации 25 мМ наблюдалось незначительное изменение длины корней по сравнению с нормальными условиями, а при концентрации 200 мМ прирост не отличался от 100 мМ, то нами были выбраны две концентрации, при действии которых наблюдалось либо улучшение (50 мМ) либо замедление роста (100 мм) корней. Для выявления концентрации CdAc также проводили эксперимент с растениями табака ДТ с использованием следующих концентраций: 50, 100, 200 и 400 мкМ. При концентрации 50 мкМ прирост корней табака не отличался от прироста в нормальных условиях, а при концентрации 200 и 400 мкМ прирост был примерно одинаковый, но меньший, чем при норме, поэтому нами были выбраны две минимальные концентрации (100 и 200 мкМ), при действии которых наблюдалось снижение роста корней. Затем через 10 дней определяли прирост корней (изменение длины). В качестве контроля были выбраны нетрансгенные растения табака сорта Petit Havana линии SR1 (дикий тип – ДТ). Выборка составила 60 растений для каждой линии (n = 60).
Анализ антиоксидантной системы и содержания общего растворимого белка трансгенных растений табака при действии засоления
10-дневные проростки растений N. tabacum поколения Т2, выращенные в чашках Петри на твердой МС-среде линий A4 (16, 17, 19), 15834 (5, 7) и K599 (14, 24) с одинаковыми размерами корней пересаживали на вертикально-ориентированные чашки Петри со МС-средой с добавлением 50 мМ NaCl. Активность всех ферментативных систем в корнях была пересчитана на мг общего растворимого белка. Все биохимические исследования проводили в 10 повторностях (n = 10).
Для определения активности супероксиддисмутазы (СОД) в корнях применяли метод, основанный на способности СОД конкурировать с нитросиним тетразолием за супероксид-анионы [19]. Активность аскорбатпероксидазы (АПОК) определяли методом, основанным на определении скорости разложения перекиси водорода аскорбатпероксидазой с образованием воды и дегидроаскорбата [20]. Активность гваяколпероксидазы (ГПОК) определяли по способности полимеризации гваякола до тетрагваякола [21]. Активность каталазы (КАТ) проверяли по скорости деградации молекул перекиси водорода [22]. Количество малонового диальдегида (МДА) в навеске определяли с помощью тиобарбитуровой кислоты [23]. Метод определения пролина был основан на работе Khedr с соавт. [24]. Содержание водорастворимых сахаров определяли методом, описанным в работе Dubois с соавт. [25]. Общая антиоксидантная способность (ОAC) оценивалась на метанольных (80%) экстрактах по восстановлению Mo (VI) до Mo (V) при кислом pH [26]. Активность глутатион-S-трансферазы (GST) определяли по скорости образования конъюгатов между восстановленным глутатионом и 1-хлор-2,4-динитробензолом [27]. Содержание окисленного и восстановленного глутатиона определяли методом Хиссина и Хильфа [28] Содержание общего растворимого белка определяли по методу Бредфорд.
Результаты всех исследований представлены в виде гистограмм со средними значениями выборки. Барами обозначали стандартную ошибку среднего (M ± SEM). Достоверность различий во всех экспериментах оценивали при помощи U-критерия Манна-Уитни (Р < 0.05).
РЕЗУЛЬТАТЫ
Получение трансгенных растений табака, несущих rol-гены штаммов А4, 15834 и К599
В результате агробактериальной трансформации табака штаммом К599 спустя 7 дней на листовых эксплантах начали появляться спонтанные точки регенерации (рис. 1а), из которых через 7 дней развивались не корни, а побеги (рис. 1б). Затем, побеги, изолированные от материнского экспланта, укореняли на МС-среде без добавления гормонов (рис. 1г, д). Стоит отметить, что через 25 дней после инокуляции агробактериями на поверхности эксплантов появлялись и типичные волосовидные корни (рис. 1в) длиной 1.5–2 см, которые переносили на свежую МС-среду с добавлением БАП (1 мг/л) и НУК (0.5 мг/л) для индукции геммогенеза. Из полученных побегов (8 – образовавшихся спонтанно, 10 – индуцированных из волосовидных корней на среде с гормонами) выделяли геномную ДНК и проводили ПЦР на наличие генов rolA, B, C. В итоге было отобрано 16 трансгенных растений, из которых 14 были успешно акклиматизированы к почвенным условиям (рис. 1е).
Рис. 1. Результаты трансформации листовых эксплантов табака rol-генами штамма К599 A. rhizogenes: (а) – образование на поверхности эксплантов точек регенерации на 7-й день после инокуляции, (б) – регенерация побегов на 14-й день после инокуляции, (в) – образование волосовидных корней на 25-й день после инокуляции (отмечено стрелкой), (г), (д) – регенерация корней из побегов на безгормональной среде, (е) – акклиматизация регенеранта к условиям почвы.
При использовании штаммов А4 и 15834 волосовидные корни на поверхности эксплантов индуцировались на безгормональной среде спустя 7–10 дней после проведения трансформации (рис. 2а), причем, в отличие от штамма К599, на безгормональных питательных средах образования побегов не происходило. При пересадке изолированных волосовидных корней на среду с добавлением БАП (1 мг/л) и НУК (0.5 мг/л) начинали появляться побеги (рис. 2б), которые затем каждые две недели переносили на свежую МС-среду такого же состава (рис. 2в, г). Трансгенность полученных регенерантов проверяли с помощью ПЦР на наличие генов rolA, B, C. ПЦР-анализ показал наличие rol-генов во всех анализируемых регенерантах. В результате было получено 15 трансгенных растений табака при помощи штамма А4 и 12 при помощи штамма 15834.
Рис. 2. Результаты трансформации листовых эксплантов табака rol-генами штамма А4 A. rhizogenes: (а) – внешний вид волосовидных корней на 14 день культивирования на среде без фитогормонов, (б), (в) – регенерация побега из волосовидного корня на среде с добавление БАП и НУК, (г) – культивирование регенерантов на среде с добавление БАП и НУК.
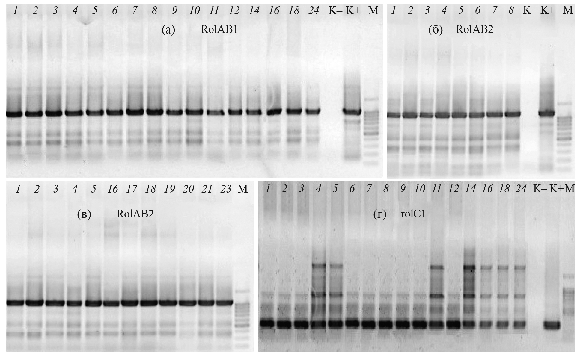
Для проведения анализа роста корней и активности компонентов антиоксидантной системы из rol-трансформантов (рис. 3а-г) случайным образом были выбраны следующие 7 растений: A4 (16, 17, 19), 15834 (5, 7) и K599 (14, 24). Далее получали трансгенные растения поколения Т1, методом ПЦР-анализа оставляли лишь те, которые содержали агробактериальные rol-гены. Семена от этих растений использовали в дальнейшей работе (поколение Т2). Растения Т2 тоже проверяли на наличие rol-генов методом ПЦР-анализа.
Рис. 3. Электрофореграмма результатов ПЦР-анализа побегов-регенерантов с праймерами RolAB1, RolAB2 и rolC1: (а), (г) – К599, (б) – 15834, (в) – А4. М – маркер длин ДНК 1kb DNA Ladder. К – отрицательный контроль ПЦР. К+ – положительный контроль ПЦР. Размеры ПЦР-продуктов: 1112 п.н. (RolAB1), 1127 п.н. (RolAB2), 267 п.н. (rolC1).
Морфометрический анализ корней трансгенных растений табака при нормальных условиях и при действии стрессовых факторов
При нормальных условиях (25 °C) у трансгенных растений табака, несущих rol-гены штаммов А4 и 15834, было выявлено достоверное увеличение длины корней, а у линий штамма К599 выявлено снижение темпов роста корней (рис. 4а), по сравнению с ДТ. Степень повышения роста при этом составила в среднем 35% и 57% для линий штаммов А4 и 15834 соответственно, а степень снижения роста корней у линий штамма К599 в среднем 86% по сравнению с ДТ. При действии NaCl в концентрации 50 мМ продемонстрировано достоверное увеличение длины корней у линий А4 (16, 19) и линии 15834 (5), в то время как, линии К599 (14, 24) характеризовались снижением роста корней по сравнению с ДТ (рис. 4б). Сходные результаты были получены при анализе роста корней при действии NaCl в концентрации 100 мМ – увеличение роста корней у линий А4 (19) и 15834 (5), а также снижение темпов роста у корней линий К599 (14, 24). Степень увеличения длины корней при засолении составила в среднем 52% и 38% для линий 19 и 5 соответственно, а степень уменьшения длины корней для линий 14 и 24 составила в среднем 88% (рис. 4в). При гипотермии у трансгенных растений обнаружено ухудшение параметров роста корней, чем у ДТ. Большее уменьшение длины корней по сравнению с ДТ было характерно для растений табака, трансформированных штаммом К599 и в среднем составило 86% по сравнению с ДТ. Для корней линий А4 и 15834 в условиях гипотермии уменьшение длины корней по сравнению с ДТ в среднем составило 23% и 26% соответственно (рис. 4г). В условиях кадмиевого стресса в концентрации CdAc 100 мкМ было выявлено увеличение длины корней у линий А4 (19), 15834 (5, 7), а также уменьшение длины корней у линии А4 (16) и у обеих анализируемых линий К599 по сравнению с ДТ (рис. 4д). При действии ацетата кадмия в концентрации 200 мкМ более быстрыми темпами роста корней характеризовались линии А4 (17, 19) и 15834 (5, 7) (рис. 4е). Степень повышения темпов роста корней при действии ацетата кадмия в концентрации 100 мкМ в среднем составила для линий А4–23% и 15834 – 50%, при концентрации 200 мкМ – 69% и 82% соответственно, по сравнению с ДТ. Степень снижения роста корней для линий, трансформированных штаммом К599, при действии ацетата кадмия в концентрации 100 мкМ составила в среднем 47% по сравнению с ДТ (рис. 4д).
Рис. 4. Изменение длины корней трансгенных растений табака при выращивании на вертикально-ориентированных чашках Петри: (а) – нормальные условия, (б) – 50 мМ NaCl, (в) – 100 мМ NaCl, (г) – +12°С, (д) – 100 мкМ CdAc, (е) – 200 мкМ CdAc. Звездочками (*) обозначены достоверно различающиеся результаты изменения длины корней между ДТ и трансгенными растениями (P ≤ 0.05).
Анализ антиоксидантной системы и содержания общего растворимого белка в трансгенных растениях табака при воздействии засоления
Засоление наряду с другими стрессовыми факторами оказывает негативное действие на растения за счет образования АФК и повышения уровня окислительного стресса. Поскольку NaCl содержится в почве, то этот стрессовый фактор оказывает свой отрицательный эффект, прежде всего, на рост корней [29], в которых, по данным литературы [6], экспрессируются rol-гены. Кроме того, результаты морфометрического анализа корней при засолении в концентрации 50 мМ NaCl продемонстрировали достоверное изменение длины у всех трансгенных растений, поэтому нами было принято решение провести анализ антиоксидантной системы при засолении именно с данной концентрацией NaCl.
У трансгенных растений линий А4 и 15834 содержание водорастворимых сахаров в корнях (рис. 5а) при нормальных условиях было достоверно меньше по сравнению с ДТ. При воздействии засоления количество водорастворимых сахаров у ДТ достоверно снижалось, а у растений линий А4 и 15834 хотя и превысило ДТ, но не отличалось от значений, полученных в оптимальных условиях культивирования. Содержание водорастворимых сахаров в нормальных условиях в корнях линий К599 было достоверно ниже, чем в растениях ДТ, однако при засолении их количество увеличилось в 1.8 раз, превысив значение у ДТ.
Рис. 5. Анализ антиоксидантной системы и определение общего растворимого белка табака ДТ и трансгенных растений в нормальных условиях и при засолении в концентрации 50 мМ NaCl: (а) – содержание водорастворимых сахаров, (б) – содержание пролина, (в) – содержание общего растворимого белка, (г) – активность каталазы, (д) – активность гваяколпероксидазы, (е) – активность аскорбатпероксидазы. Звездочками (*) обозначены достоверно различающиеся результаты между ДТ и трансгенными растениями (P ≤ 0.05).
Количество пролина (рис. 5б) в нормальных условиях в корнях трансгенных растений линий А4 и 15834 было выше в 4 и 4.5 раза соответственно, чем в растениях ДТ. В условиях засоления количество пролина возросло в среднем для линий А4 и 15834 – в 1.5 раза, К599 – в 3 раза, по сравнению с нормальными условиями, превысив значение ДТ в 3.5 и 3 раза соответственно. Таким образом, при нормальных условиях у растений К599 количество пролина было как у ДТ, а в условиях засоления превысило его показатель (рис. 5б).
В нормальных условиях содержание общего растворимого белка (рис. 5в) в корнях растений ДТ соответствовало значениям в корнях линий 15834 и было достоверно выше, чем в корнях трансгенных растений линий А4 и К599 в среднем на 30% и 51% соответственно. В условиях засоления в корнях линий К599 содержание растворимых белков снижалось, но достоверно не отличалось от ДТ, в то время как в корнях трансгенных растений линий А4 и 15834 содержание белков наоборот возрастало и превысило значения, полученные у растений ДТ на 51% и 60% соответственно.
Активность каталазы (рис. 5г) при нормальных условиях была выше по сравнению с ДТ у линий А4 – в 3.8 раза, 15834 – в 2.8 раза и К599 – в 5.5 раза. При добавлении 50 мМ NaCl активность каталазы в корнях растений ДТ повысилась в 4.8 раза. В условиях засоления активность каталазы в корнях линий К599 превышала значения, полученные в корнях ДТ в среднем в 1.4 раза, однако по сравнению с нормальными условиями было характерно незначительное повышение. При засолении активность каталазы в корнях линий А4 и 15834 оставалась на том же уровне и достоверно не отличалась от значений у ДТ.
Активность ГПОК (рис. 5д) в корнях всех трансгенных линий в нормальных условиях была выше, чем у растений ДТ в среднем в растениях А4 – в 2.9 раза, 15834 – в 2.5 раза и К599 – в 6.5 раза. При засолении активность ГПОК в корнях растений линий А4 и 15834 достоверно снижалась в среднем в 1.3 и 1.8 раза соответственно, и была ниже по сравнению с ДТ у линий А4 – в 1.7 раза и 15834 – в 2.8 раза, а в корнях растений линий К599 повысилась в среднем в 1.2 раза, превысив значение ДТ в среднем в 1.9 раза.
По активности АПОК в корнях (рис. 5е) при нормальных условиях растения ДТ и трансгенные линии не различались. В условиях засоления активность АПОК в корнях ДТ повышалась и была больше в среднем, чем в корнях линий А4 – в 14.4 раза, 15834 – в 7.3 раза и К599 – в 9.3 раза. То есть активность АПОК в трансгенных растениях при засолении оставалась на том же уровне.
В корнях трансгенных растений линий А4, 15834 и К599 содержание МДА в корнях (рис. 6а), как при нормальных условиях, так и при засолении было достоверно ниже по сравнению с ДТ. При этом разница в содержании МДА в условиях засоления была больше в корнях линий А4 и 15834 – в 1.4 раза, К599 – в 3.4 раза в среднем, по сравнению с ДТ.
Рис. 6. Анализ антиоксидантной системы табака ДТ и трансгенных растений в нормальных условиях и при воздействии засоления в концентрации 50 мМ NaCl: (а) – содержание малонового диальдегида, (б) – активность супероксиддисмутазы, (в) – общая антиоксидантная способность, (г) – активность глутатион-S-трансферазы, (д) – содержание восстановленного глутатиона, (е) – содержание окисленного глутатиона. Звездочками (*) обозначены достоверно различающиеся результаты между ДТ и трансгенными растениями (P ≤ 0.05).
Активность СОД (рис. 6б) в корнях всех анализируемых линий трансгенных растений в нормальных условиях была достоверно выше в среднем у линий А4 – в 2.8 раза, 15834 – в 2 раза и К599 – в 3.6 раза, по сравнению с ДТ. При действии NaCl, активность СОД повышалась в корнях линий К599 в 1.2 раза, по сравнению с нормальными условиями и превысила значение ДТ в 2 раза. В корнях линий А4 и 15834 в условиях засоления активность СОД оставалась на том же уровне, не превышая значения у ДТ.
В нормальных условиях ОАС в корнях (рис. 6в) трансгенных растений линий А4, 15834 и К599 была выше в среднем в 2.9, 1.8 и 2 раза соответственно, по сравнению с растениями ДТ. Однако при засолении в корнях трансгенных растений накапливалось меньшее количество эквивалентов аскорбиновой кислоты (в среднем в корнях А4 – на 21%, 15834 – на 35%, К599 – на 25% меньше, чем у ДТ).
Глутатион-S-трансферазная (GST) (рис. 6г) активность была выше, как при нормальных условиях, так и при действии засоления в корнях растений К599. Причем у этих растений активность GST при засолении в среднем была выше в 2.7 раза по сравнению с ДТ.
Количество восстановленного глутатиона (GSH) (рис. 6д) при нормальных условиях было выше в среднем в 41 раз в корнях растений А4, в 26.8 раза – 15834, в 65.5 раза – К599 по сравнению с ДТ. При засолении содержание GSH в корнях растений ДТ увеличилось в 43.6 раза, а в трансгенных растениях А4 в среднем в 1.7 раза, 15834 – в 2.8 раза, К599 – в 1.2 раза. Таким образом, в корнях всех трансгенных растений с rol-генами при засолении было больше GSH, чем у ДТ.
Содержание GSSG (рис. 6е) при нормальных условиях культивирования в корнях трансгенных растений было больше значений ДТ в линиях А4 – в 78.7 раза, 15834 – в 29.6 раза, К599 – в 40 раз в среднем. При действии NaCl содержание окисленного глутатиона в корнях ДТ повысилось в 30 раз, а в корнях трансгенных растений повышение относительно нормальных условий составило в среднем для растений К599 – в 1.4 раза, 15834 – в 2 раза. Стоит отметить, что содержание GSSG в корнях растений линии А4 наоборот снизилось на 11%. Однако в любом случае у всех трансгенных растений с rol-генами при засолении содержание GSSG было значительно выше, чем у ДТ.
ОБСУЖДЕНИЕ
Метод трансформации растительных тканей различными штаммами A. rhizogenes для получения культур волосовидных корней, продуцирующих вторичные метаболиты нашел широкое применение в биотехнологии растений [13, 30]. Помимо этого, трансгены из Т-ДНК агробактерий способны оказывать влияние на рост и стрессоустойчивость трансформированных растений, однако исследований в этой области проведено пока мало [10, 31, 32, 33, 36]. В нашей работе с помощью штаммов А4, 15834 и К599 A. rhizogenes были созданы трансгенные растения табака, несущие гены rolA, B, C, D со своими нативными промоторами в качестве модельных объектов для исследования роли этих генов в регуляции роста и стрессоустойчивости. Ранее нами были описаны результаты агробактериальной трансформации листовых экплантов штамма К599, где кроме появления волосовидных корней была зафиксирована интенсивная прямая индукция побегов [18]. При использовании агропиновых штаммов для трансформации листовых эксплантов нами также были получены культуры волосовидных корней, которые визуально росли лучше, чем волосовидные корни, полученные с использованием штамма К599. Нужно отметить, что на поверхности эксплантов, трансформированных штаммами А4 и 15834, на безгормональных питательных средах не происходило спонтанного побегообразования, в отличие от штамма К599, а геммогенез из корней запускался только при добавлении в среду БАП (1 мг/л) и НУК (0.5 мг/л). Поскольку эти три штамма продемонстрировали неодинаковую способность активировать процессы побего- и корнеообразования, то предполагалось, что соответствующие трансгенные растения будут также отличаться по параметрам роста и стрессоустойчивости. Так как rol-гены преимущественно экспрессируются в корнях, была поставлена задача провести анализ роста корней трансгенных растений при нормальных и стрессовых условиях.
Полученные нами данные морфометрического анализа доказывают участие rol-генов штаммов А4 и 15834 в регуляции и обеспечении роста корней, как при нормальных условиях, так и при повышенных концентрациях хлорида натрия и ацетата кадмия. Для rol-генов с нативными промоторами штаммов А4 и 15834 таких результатов до наших исследований показано не было. Результаты, полученные на трансгенных растениях табака, трансформированных штаммом К599, доказывают, что экспрессия rol-генов этого штамма оказывает негативное влияние на рост корней табака, как при нормальных условиях, так и при действии стрессовых факторов.
На сегодняшний день ряд исследований подтверждают важность отдельных rol-генов в регуляции роста и стрессоустойчивости растений при воздействии засоления, засухи, гипотермии и высоких температур [10, 31]. Так обнаружено, что rolC-экспрессирующие каллусные культуры R. cordifolia и Arabidopsis thaliana L. более устойчивы к воздействию абиотических факторов по сравнению с контролем за счет способности rolC специфически регулировать экспрессию генов NADPH-оксидазы, каталазы, СОД и АПОК, тем самым подавляя образование АФК [31]. Трансформация R. cordifolia штаммом А4 A. rhizogenes приводила к снижению уровня АФК, что сопровождалось усилением экспрессии ряда генов, кодирующих ферменты, детоксицирующие АФК [32]. В rolB-трансформантах R. cordifolia, A. thaliana и Panax ginseng C. A. Mey. обнаружена повышенная экспрессия генов антиоксидантных ферментов, кодирующих цитозольную аскорбатпероксидазу, каталазу и супероксиддисмутазу, которые в свою очередь ингибируют чрезмерное повышение АФК [33].
Полученные нами результаты анализа антиоксидантной системы при засолении показывают, что корни трансгенных растений табака, несущие rol-гены штаммов А4 и 15834, характеризуются повышенным содержанием водорастворимых сахаров, белка (рис. 5а, в) и снижением МДА (рис. 6а). Кроме того, у растений линий А4 и 15834 количество пролина (рис. 5б), восстановленного и окисленного глутатиона (рис. 6д, е), как при нормальных условиях, так и при действии засоления было больше по сравнению с ДТ. При действии стрессовых факторов растительные клетки накапливают различные осмо- и криопротекторы, в том числе пролин, а повышенное содержание пролина у rolD-трансформированных растений может играть адаптивную роль и, вероятно, связно с тем, что этот ген кодирует фермент орнитинциклодеаминазу [34], который превращает L-орнитин в L-пролин.
В нашем исследовании обнаружено достоверное увеличение общего пула глутатиона (GSH+GSSG) (рис. 6д, е) в корнях трансгенных растений А4 и 15834, как при нормальных условиях, так и при действии засоления. Bulgakov с соавт. [33] также обнаружили, что в rolB-трансформированных клетках R. cordifolia общий пул глутатиона и соотношение GSH/GSSG были достоверно выше, чем в нетрансформированных. Полученные результаты, могут быть обусловлены тем, что центральным звеном в поддержании окислительно-восстановительного баланса клеток является соотношение между GSH/GSSG, а повышенная концентрация восстановленного глутатиона коррелирует со способностью растений противостоять индуцированному окислительному стрессу.
В корнях трансгенных растений, трансформированных штаммом К599, было обнаружено более высокое содержание пролина, водорастворимых сахаров, общего пула глутатиона, а также достоверно большая активность ГПОК (рис. 5д), СОД и GST (рис. 6б, г), снижение МДА (рис. 6а) по сравнению с ДТ при солевом стрессе. Нужно отметить, что количество водорастворимых сахаров (рис. 5а) в корнях трансгенных растений табака линий К599 заметно превышало значения, полученные при использовании агропиновых штаммов в условиях засоления. Повышение количества водорастворимых сахаров в корнях является одним из эффективных механизмов стрессоустойчивости в ответ на избыток одновалентных ионов в вакуолях клеток при засолении [35]. Избыточная активность СОД, ГПОК и GST в корнях трансгенных растений табака линии К599, вероятно, обусловлена способностью rol-генов активировать защитные системы растений в ответ на появление АФК. Bulgakov с соавт. [36] выявили способность rolB-трансформированных клеток R. cordifolia длительное время переносить сверхвысокие дозы АФК путем синтеза ферментов, обеспечивающих устойчивую антиоксидантную защиту растений от последующих стрессов. В целом, в корнях растений К599 обнаруживалось гораздо больше позитивных изменений в компонентах антиоксидантной системы по сравнению с ДТ, чем у растений А4 и 15834. Однако корни растений К599 росли медленнее как при норме, так и при засолении по сравнению с ДТ и растениями А4 и 15834. Все это говорит о том, что параметры роста, стрессоустойчивость и состояние компонентов антиоксидантной системы не всегда находятся в прямой зависимости. В случае с растениями К599 позитивные изменения в антиоксидантной системе корней проявлялись ухудшением роста и стрессоустойчивости. Данное предположение поддерживается исследованием Katsuhara с соавт. [37], которые доказали, что сверхэспрессия GST не оказывала выраженного влияния на снижение роста корней у растений A. thaliana при действии засоления в концентрации 100 мМ NaCl, поскольку лишь обезвреживание АФК было недостаточным для восстановления осмотического дисбаланса, вызванного солевым стрессом. Более того, в исследовании Bernstein с соавт. [38] было обнаружено, что повышение активностей СОД и АПОК в растущих листьях может приводить к ингибированию роста клеток растений в условиях засоления за счет снижения АФК, так как последние тоже необходимы для нормального роста.
ЗАКЛЮЧЕНИЕ
Таким образом, rol-гены штаммов А4 и 15834 A. rhizogenes оказывают стимулирующее действие на рост корней табака, как при нормальных условиях, так и при повышенных концентрациях NaCl и ацетата кадмия. Экспрессия rol-генов штамма К599 оказывает негативное влияние на рост корней, как при норме, так и при действии стрессовых факторов. Показано, что в условиях засоления rol-гены агропиновых штаммов способствуют увеличению в клетках содержания пролина, окисленного и восстановленного глутатиона как при норме, так и при засолении. rol-гены штамма К599 способствуют повышению активности супероксиддисмутазы, гваяколпероксидазы и глутатион-S-трансферазы. Полученные нами результаты говорят о перспективности использования rol-генов штаммов А4 и 15834 A. rhizogenes для создания новых сортов и линий растений с улучшенными параметрами роста корней и повышенной стрессоустойчивостью, тогда как rol-гены штамма К599 не подходят для таких целей.
Авторы заявляют об отсутствии явных и потенциальных конфликтов интересов, связанных с публикацией настоящей статьи. Настоящая статья не содержит каких-либо исследований с участием животных и людей в качестве объектов исследований.
Об авторах
Д. Ю. Швец
Институт биохимии и генетики – обособленное структурное подразделение Федерального государственного бюджетного научного учреждения Уфимский федеральный исследовательский центр Российской академии наук; Башкирский государственный медицинский университет
Автор, ответственный за переписку.
Email: shvetsdasha99@yandex.ru
Россия, Уфа; Уфа
З. А. Бережнева
Институт биохимии и генетики – обособленное структурное подразделение Федерального государственного бюджетного научного учреждения Уфимский федеральный исследовательский центр Российской академии наук
Email: shvetsdasha99@yandex.ru
Россия, Уфа
Х. Г. Мусин
Институт биохимии и генетики – обособленное структурное подразделение Федерального государственного бюджетного научного учреждения Уфимский федеральный исследовательский центр Российской академии наук
Email: shvetsdasha99@yandex.ru
Россия, Уфа
Б. Р. Кулуев
Институт биохимии и генетики – обособленное структурное подразделение Федерального государственного бюджетного научного учреждения Уфимский федеральный исследовательский центр Российской академии наук; Уфимский университет науки и технологий
Email: shvetsdasha99@yandex.ru
Россия, Уфа; Уфа
Список литературы
- Riker A.J., Banfield W. M., Wright W. H., Keitt G. W., Sagen H. E. Studies on infectious hairy root of nursery apple trees // J. Agr. Res. 1930. V. 41. P. 507.
- Young J.M., Kuykendall L. D., Martínez-Romero E., Kerr A., Sawada H. A revision of Rhizobium Frank 1889, with an emended description of the genus, and the inclusion of all species of Agrobacterium Conn 1942 and Allorhizobium undicola de Lajudie et al. 1998 as new combinations: Rhizobium radiobacter, R. rhizogenes, R. rubi, R. undicola and R. vitis // Inter. J. System. Evolut. Microbiol. 2001. V. 51. P. 89. https:doi.org/10.1099/00207713–51–1–89
- Павлова О.А., Матвеева Т. В., Лутова Л. А. Rol-гены Agrobacterium rhizogenes // Экологическая генетика. 2013. Т. 11. С. 59.
- White F.F., Garfinkel D. J., Huffman G. A., Gordon M. P., Nester E. W. Sequences homologous to Agrobacterium rhizogenes T-DNA in the genomes of uninfected plants // Nature. 1983. V. 301. P. 348. https:doi.org/10.1038/301348a0
- Sarkar S., Ghosh I., Roychowdhury D., Jha S. The effects of rol genes of Agrobacterium rhizogenes on morphogenesis and secondary metabolite accumulation in medicinal plants // Biotechnological approaches for medicinal and aromatic plants. Chapter 2 / Ed. N. Kumar. Singapore: Springer Nature Singapore Pte Ltd. 2018. P. 27.
- Швец Д.Ю., Бережнева З. А., Мусин Х. Г., Баймухаметова Э. А., Кулуев Б. Р. rol-гены агробактерий: возможные биологические функции // Успехи современной биологии. 2023. Т. 143. С. 487. https:doi.org/10.31857/S004213242305006X
- Bulgakov V.P., Shkryl Y. N., Veremeichik G. N., Gorpenchenko T. Y., Vereshchagina Y. V. Recent advances in the understanding of Agrobacterium rhizogenes-derived genes and their effects on stress resistance and plant metabolism // Adv. Biochem. Eng. Biotech. 2013. V. 134. P. 1. https:doi.org/10.1007/10_2013_179
- Bulgakov V.P., Aminin D. L., Shkryl Y. N., Gorpenchenko T. Y., Veremeichik G. N., Dmitrenok P. S., Zhuravlev Y. N. Suppression of reactive oxygen species and enhanced stress tolerance in Rubia cordifolia cells expressing the rolC oncogene // Molec. Plant Microbe Interact. 2008. V. 21. P. 1561. https:doi.org/10.1094/MPMI-21–12–1561
- Ganesan G., Sankararamasubramanian H. M., Harikrishnan M., Ganpudi A., Parida A. A MYB transcription factor from the grey mangrove is induced by stress and confers NaCl tolerance in tobacco // J. Exp. Bot. 2012. V. 63. P. 4549. https:doi.org/10.1093/jxb/ers135
- Alcalde M.A., Müller M., Munné-Bosch S., Landín M., Gallego P. P., Bonfill M., Palazon J., Hidalgo-Martinez D. Using machine learning to link the influence of transferred Agrobacterium rhizogenes genes to the hormone profile and morphological traits in Centella asiatica hairy roots // Front. Plant Sci. 2022. V. 13. P. 1. https:doi.org/10.3389/fpls.2022.1001023
- White F.F., Nester E. W. Relationship of plasmids responsible for hairy root and crown gall tumorigenicity // J. Bacteriol. 1980. V. 144. P. 710. https:doi.org/10.1128/jb.144.2.710–720.1980
- Nemoto K., Hara M., Goto S., Kasai K., Seki H., Suzuki M., Oka A., Muranaka T., Mano Y. The aux1 gene of the Ri plasmid is sufficient to confer auxin autotrophy in tobacco BY-2 cells // J. Plant Physiol. 2009. V. 166. P. 729. https:doi.org/10.1016/j.jplph.2008.09.006
- Кулуев Б.Р., Вершинина З. Р., Князев А. В., Чемерис Д.А, Баймиев Ан.Х., Чумаков М. И., Баймиев Ал.Х., Чемерис А. В. “Косматые” корни растений – важный инструментарий для исследователей и мощная фитохимбиофабрика для производственников // Биомика. 2015. Т. 7. С. 70.
- Aggarwal P.R., Nag P., Choudhary P., Chakraborty N., Chakraborty S. Genotype-independent Agrobacterium rhizogenes-mediated root transformation of chickpea: A rapid and efficient method for reverse genetics studies // Plant Methods. 2018. V. 14. P. 1. https:doi.org/10.1186/s13007–018–0315–6
- Foti C., Pavli O. I. High-efficiency Agrobacterium rhizogenes-mediated transgenic hairy root induction of Lens culinaris // Agronomy. 2020. V. 10. P. 1. https:doi.org/10.3390/agronomy10081170
- Murashige T., Skoog F. A revised medium for rapid growth and bio assays with tobacco tissue cultures // Physiol. Plant. 1962. V. 15. P. 473. https:doi.org/10.1111/j.1399–3054.1962.tb08052.x
- Doyle J.J., Doyle J. L. A rapid DNA isolation procedure for small quantities of fresh leaf tissue // Phytochem. Bull. 1987. V. 19. P. 11.
- Баймухаметова Э.А., Бережнева З. А., Мусин Х. Г., Швец Д. Ю., Князев А. В. Кулуев Б. Р. Индукция прямой регенерации побегов при генетической трансформации табака штаммом К599 Agrobacterium rhizogenes // Ученые записки Казанского университета. Серия Естественные науки. 2022. Т. 164. С. 249. https:doi.org/10.26907/2542–064X.2022.2.249–262
- Чевари С., Чаба И., Секей И. Роль супероксиддисмутазы в окислительных процессах клетки и метод определения ее в биологических материалах // Лабораторное дело. 1985. № 11. С. 578.
- Verma S., Dubey R. S. Lead toxicity induces lipid peroxidation and alert the activities of antioxidant enzymes in grooving rice plants // Plant Sci. 2003. V. 64. P. 645. http://dx.doi.org/10.1016/S0168–9452(03)00022–0
- Ермаков А.И., Арисимович В. В., Ярош Н. П., Перуански Ю. В., Луковникова Г. А. Иконникова М. И. Методы биохимического исследования растений // Ленинград: Агропромиздат, 1987. 430 с.
- Panchuck I. I. Volkov R. A., Schoff F. Heat stress and heat shock transcription factor-depend expression and activity of ascorbate peroxidase in Arabidopsis // Plant Physiol. 2002. V. 129. P. 838.
- Taylor N.L., Millar A. H. Oxidative stress and plant mitochondria// Meth. Mol. Biol. 2007. V. 372. P. 389. https:doi.org/10.1007/978–1–59745–365–3_28
- Khedr A.H.A., Abbas M. A., Abdel W. A.A., Quick W. P., Abogadallah G. M. Proline induces the expression of salt‐stress‐responsive proteins and may improve the adaptation of Pancratium maritimum L. to salt‐stress // J. Exp. Bot. 2003. V. 54. P. 2553. https:doi.org/10.1093/jxb/erg277
- Dubois M., Gilles K. A., Hamilton J., Robers P. A., Smith F. Colorimetric method for determination of sugars and related substances // Anal. Chem. 1956. V. 28. P. 350. http://dx.doi.org/10.1021/ac60111a017
- Boestfleisch C., Wagenseil N. B., Buhmann A. K., Seal C. E., Wade E. M., Muscolo A., Papenbrock J. Manipulating the antioxidant capacity of halophytes to increase their cultural and economic value through saline cultivation // AoB Plants. 2014. V. 13. P. 6. https:doi.org/10.1093/aobpla/plu046
- Habig W.H., Pabst M. S., Jakoby W. B. Glutathione-S-transferase. The first enzymatic step in mercapturic acid formation // J. Biol. Chem. 1974. V. 246. P. 7130. https:doi.org/10.1016/S0021–9258(19)42083–8
- Hissin P.J., Hilf R. A fluorometric method for determination of oxidized and reduced glutathione in tissues // Anal. Biochem. 1976. V. 74. P. 214. https:doi.org/10.1016/0003–2697(76)90326–2
- Бережнева З.А., Кашафутдинова А. Р., Кулуев Б. Р. Рост корней трансгенных растений Nicotiana tabacum L. с конститутивной экспрессией гена глутатионсинтетазы рапса BnGSH при действии стрессовых факторов // Вестник защиты растений. 2017. Т. 3. С. 55.
- Кузовкина И.Н., Вдовитченко М. Ю. Генетически трансформированные корни как модель изучения физиологических и биохимических процессов корневой системы целого растения // Физиология растений. 2011. Т. 58. С. 787.
- Shkryl Y., Veremeichik G., Avramenko T., Gorpenchenko T., Tchernoded G., Bulgakov V. Transcriptional regulation of enzymes involved in ROS metabolism and abiotic stress resistance in rolC-transformed cell cultures // Plant Growth Regul. 2022. V. 97. P. 485. https:doi.org/10.1007/s10725–022–00812–1
- Shkryl Y.N., Veremeichik G. N., Bulgakov V. P., Gorpenchenko T. Y., Aminin D. L., Zhuravlev Y. N. Decreased ROS level and activation ofanti-oxidant gene expression in Agrobacterium rhizogenes pRiA4-transformed calli of Rubia cordifolia // Planta. 2010. V. 232. P. 1023. https:doi.org/10.1007/s00425–010–1237–3
- Bulgakov V.P., Gorpenchenko T. Y., Veremeichik G. N., Shkryl Y. N., Tchernoded G. K., Bulgakov D. V., Aminin D. L., Zhuravlev Y. N. The rolB gene suppresses reactive oxygen species in transformed plant cells through the sustained activation of antioxidant defense // Plant Physiol. 2012. V. 158. P. 1371. https:doi.org/10.1104/pp.111.191494
- Trovato M., Maras B., Linhares F., Costantino P. The plant oncogene rolD encodes a functional ornithine cyclodeaminase // Proc. Nat. Acad. Sci. U.S.A. 2001. V. 98. P. 13449. https:doi.org/10.1073/pnas.231320398
- Kafi M., Stewart W. S., Borland A. M. Carbohydrate and proline contents in leaves, roots, and apices of salt-tolerant and salt-sensitive wheat cultivars // Russ. J. Plant Physiol. 2003. V. 50. P. 155. https:doi.org/10.1023/A:1022956727141
- Bulgakov V.P., Shkryl Y. N., Veremeichik G. N., Gorpenchenko T. Y., Vereshchagina Y. V. Recent advances in the understanding of Agrobacterium rhizogenes-derived genes and their effects on stress resistance and plant metabolism // Adv. Biochem. Eng. Biotech. 2013. V. 34. P. 11. https:doi.org/10.1007/10_2013_179
- Katsuhara M., Otsuka T., Ezaki B. Salt stress-induced lipid peroxidation is reduced by glutathione S-transferase, but this reduction of lipid peroxides is not enough for a recovery of root growth in Arabidopsis // Plant Sci. 2005. V. 169. P. 369. https:doi.org/ 10.1016/j.plantsci.2005.03.030
- Bernstein N., Shoresh M., Xu Y., Huang B. Involvement of the plant antioxidative response in the differential growth sensitivity to salinity of leaves vs roots during cell development // Free Radic. Biol. Med. 2010. V. 49. P. 1161. https:doi.org/10.1016/j.freeradbiomed.2010.06.032
Дополнительные файлы









