Анализ полиморфизма генов ADCY8 и RYR3 для установления принадлежности биологических образцов к диким или домашним представителям вида Canis lupus
- Авторы: Кипень В.Н.1, Патрин М.М.2, Снытков Е.В.1,3, Верчук А.Н.1,4, Семак А.Н.5
-
Учреждения:
- Институт генетики и цитологии Национальной академии наук Беларуси
- OOO “Максим Медикал
- Международный государственный экологический институт им. А.Д. Сахарова, Белорусский государственный университет
- Научно-практический центр Государственного комитета судебных экспертиз Республики Беларусь
- ООО “ВэллВет”
- Выпуск: Том 59, № 3 (2023)
- Страницы: 336-344
- Раздел: ГЕНЕТИКА ЖИВОТНЫХ
- URL: https://journal-vniispk.ru/0016-6758/article/view/134570
- DOI: https://doi.org/10.31857/S0016675823030062
- EDN: https://elibrary.ru/IOHKSC
- ID: 134570
Цитировать
Полный текст
Аннотация
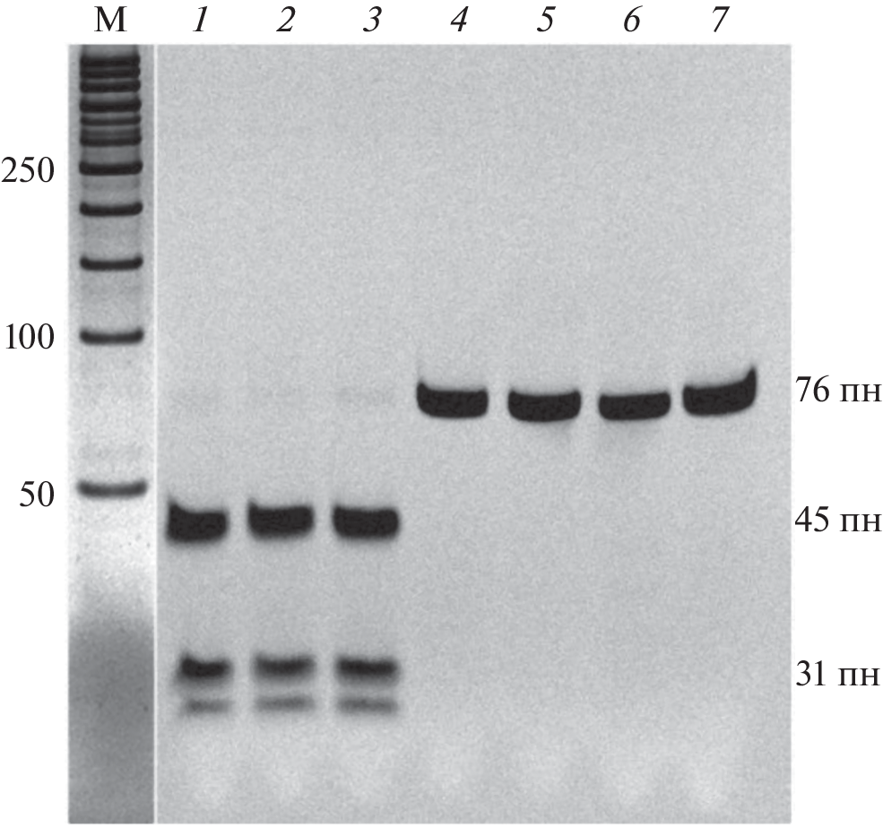
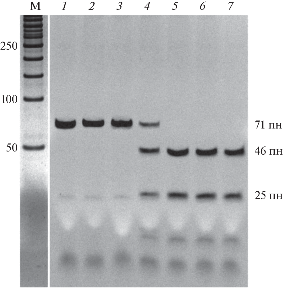
На биологическом материале (образцы волка и домашней собаки) подтвержден высокий дифференцирующий потенциал полиморфных вариантов g.27748425T>C (ген ADCY8) и g.1414373T>C (ген RYR3). Предложена тест-модель из двух полиморфизмов для дифференциации волка и домашней собаки, которая отличается высокими значениями точности (96.2%), специфичности (96.3%) и чувствительности (98.9%). С использованием KASP разработан быстрый и простой подход к дифференциации на основании предложенной тест-модели, который призван сократить временные и финансовые затраты на молекулярно-генетический анализ, а также снизить риск кросс-контаминации, т. к. процесс является одностадийным (исключены этапы рестрикции и электрофореза).
Об авторах
В. Н. Кипень
Институт генетики и цитологии Национальной академиинаук Беларуси
Автор, ответственный за переписку.
Email: v.kipen@igc.by
Республика Беларусь, 220072, Минск
М. М. Патрин
OOO “Максим Медикал
Email: v.kipen@igc.by
Россия, 123423, Москва
Е. В. Снытков
Институт генетики и цитологии Национальной академиинаук Беларуси; Международный государственный экологический институт им. А.Д. Сахарова,
Белорусский государственный университет
Email: v.kipen@igc.by
Республика Беларусь, 220072, Минск; Республика Беларусь, 220070, Минск
А. Н. Верчук
Институт генетики и цитологии Национальной академиинаук Беларуси; Научно-практический центр Государственного комитета судебных экспертиз
Республики Беларусь
Email: v.kipen@igc.by
Республика Беларусь, 220072, Минск; Республика Беларусь, 220073, Минск
А. Н. Семак
ООО “ВэллВет”
Email: v.kipen@igc.by
Республика Беларусь, 220063, Минск
Список литературы
- Hindrikson M., Remm J., Pilot M. et al. Wolf population genetics in Europe: A systematic review, meta-analysis and suggestions for conservation and management // Biol. Rev. 2016. V. 92(3). P. 1601–1629. https://doi.org/10.1111/brv.12298
- Cronin M.A., Canovas A., Bannasch D.L. et al. Single nucleotide polymorphism (SNP) variation of wolves (Canis lupus) in Southeast Alaska and comparison with wolves, dogs, and coyotes in North America // J. Hered. 2015. V. 106(1). P. 26–36. https://doi.org/10.1093/jhered/esu075
- Vonholdt B.M., Pollinger J.P., Lohmueller K.E. et al. Genome-wide SNP and haplotype analyses reveal a rich history underlying dog domestication // Nature. 2010. V. 464(7290). P. 898–902. https://doi.org/10.1038/nature08837
- Гребенчук А.Е. Псовые как объект экспертного ДНК-анализа: криминалистические и генетические аспекты // Вопр. криминологии, криминалистики и судебной экспертизы. 2016. № 2 (40). С. 135–140.
- Хейдорова Е.Э., Шпак А.В., Гомель К.В. и др. Молекулярно-генетическая идентификация инвазивного вида – шакала азиатского (Canis aureus) на территории Беларуси // Докл. НАН Беларуси. 2018. Т. 62. № 1. С. 86–92. https://doi.org/10.29235/1561-8323-2018-62-1-86-92
- Кипень В.Н., Иванова Е.В., Снытков Е.В., Верчук А.Н. Анализ полиморфизма гена гефестина (HEPH) на Х-хромосоме для установления принадлежности биологических образцов к диким или домашним представителям вида Sus scrofa // Генетика. 2020. Т. 56. № 9. С. 1054–1064. https://doi.org/10.31857/S0016675820080068
- Кипень В.Н., Михалова М.Е., Снытков Е.В. и др. Биоинформатический анализ геномов коммерческих пород домашних свиней для идентификации породоспецифичных SNP // Весці Нац. акад. навук Беларусі. Серыя аграрных навук. 2021. Т. 59. № 4. С. 464–476. https://doi.org/10.29235/1817-7204-2021-59-4-464-476
- Ramos A.M. Identification of high utility SNPs for population assignment and traceability purposes in the pig using high-throughput sequencing // Anim. Genet. 2011. V. 42(6). P. 613–620. https://doi.org/10.1111/j.1365-2052.2011.02198.x
- Okonechnikov K., Golosova O., Fursov M. Unipro UGENE: A unified bioinformatics toolkit // Bioinformatics. 2012. V. 28. P. 1166–1167. https://doi.org/10.1093/bioinformatics/bts091
- Кипень В.Н., Снытков Е.В., Кривенко А.А., Патрин М.М. In silico анализ полиморфизма H3GA0051811 гена HEPH для животных вида Sus scrofa // VII Междунар. конф. молодых ученых: биофизиков, биотехнологов, молекулярных биологов и вирусологов в рамках площадки открытых коммуникаций OpenBio-2020. Новосибирск: 2020. С. 469–472.
- Ritchie M.D., Hahn L.W., Roodi N. et al. Multifactor-dimensionality reduction reveals high-order interactions among estrogen-metabolism genes in sporadic breast cancer // Am. J. Hum. Genet. 2001. V. 69(1). P. 138–147. https://doi.org/10.1086/321276
Дополнительные файлы








