Polymorphisms in the transit peptide of phytoene synthase ZmPSY1 link to the white color of grain endosperm in maize inbred lines
- Authors: Arkhestova D.K.1,2, Khaudov A.D.2, Shchennikova A.V.1, Kochieva E.Z.1,3
-
Affiliations:
- Federal Research Centre “Fundamentals of Biotechnology” of the Russian Academy of Sciences
- Institute of Agriculture - branch of the Kabardino-Balkarian Scientific Center of the Russian Academy of Sciences
- Lomonosov Moscow State University
- Issue: Vol 60, No 9 (2024)
- Pages: 32-40
- Section: ГЕНЕТИКА РАСТЕНИЙ
- URL: https://journal-vniispk.ru/0016-6758/article/view/272549
- DOI: https://doi.org/10.31857/S0016675824090057
- EDN: https://elibrary.ru/aekknk
- ID: 272549
Cite item
Full Text
Abstract
The yellow and orange color of Zea mays L. grain is determined by the presence of carotenoids, the first enzyme of the biosynthesis pathway of which is phytoene synthase PSY. In this study, we analyzed allelic variants of the ZmPSY1 gene in accessions of yellow-grain and white-grain maize inbred lines of domestic selection. In four lines with different grain colors, full-length ZmPSY1 cDNAs were amplified and sequenced, and their variability was characterized. In the cDNA sequence of ZmPSY1 from white-grain lines, nonsynonymous SNPs were found that lead to substitutions of four amino acid residues (L47I, W52S, E53D and A54V) in the N-terminal transit peptide responsible for the plastid localization of the enzyme. A primer system has been developed for PCR identification of the ZmPSY1 allele type in maize accessions. Testing of primers on 44 maize lines showed the presence of the wild-type ZmPSY1 allele and the absence of the mutant allele in the genome of all 22 yellow-grain lines analyzed. The mutant ZmPSY1 allele was detected in the genome of 41% of the 22 tested white-grain lines. The use of the developed primer system may be promising in the selection of corn with altered carotenoid content in the grain endosperm.
Full Text
Вариабельность растительного генома – это не только инструмент эволюционной адаптации и возникновения новых видов, но и значимый фактор влияния при селекции сельскохозяйственных растений. Среди наиболее важных признаков, по которым ведется селекция культурных растений, находятся характеристики, ассоциированные со стрессоустойчивостью, урожайностью и качеством продукции. Часто признаки разной направленности взаимосвязаны. Особенно это касается содержания различных метаболитов, определяющих вкусовые, питательные и/или диетические свойства продукта и одновременно являющихся средствами защиты растения от стрессовых факторов.
Все известные хозяйственно-ценные признаки определяются генетически, и их экспрессивность связана с вариабельностью конкретных геномных локусов и/или генов. Определение аллельных вариантов генов и доноров этих аллелей способствует значительному ускорению процесса селекции улучшенных сортов агрокультур.
В качестве примера можно привести работы по поиску генов/локусов, сцепленных с хозяйственно-ценными признаками, с дальнейшей разработкой молекулярных маркеров на значимые аллельные варианты у важнейшей злаковой культуры – кукурузы Zea mays L. [1, 2]. Эта культура имеет самый высокий генетический потенциал урожайности среди зерновых и выращивается в различных агроэкологических регионах мира как на зерно, так и на силос. Зерно кукурузы является источником крахмала (65–70%), белка (16.5%), масел (3–5%), клетчатки (3%), растворимых сахаров (до 2%), а также каротиноидов (провитамина А и других каротиноидов) [1, 2]. Кукуруза – теплолюбивое растение преимущественно короткого дня и подвержена негативному влиянию различных стрессовых факторов [3–5]. Соответственно ведется поиск геномных локусов, мутаций и аллелей, которые сцеплены с качественными характеристиками зерна (включая содержание каротиноидов (в том числе провитамина А), зеинов, масел, амилопектинового крахмала и др.) и устойчивостью к патогенам и абиотическим стрессовым факторам.
На основе получаемых данных разрабатываются и используются в селекции молекулярные маркеры, ассоциированные с целевыми признаками у кукурузы. Так, выявлены аллельные варианты генов метаболизма крахмала waxy, amylose extender1 и sugary1, которые приводят к значительному увеличению содержания амилозы в составе крахмала [6]. Охарактеризован плейотропный эффект мутантного аллеля opaque2 (o2), присутствие которого увеличивает содержание незаменимых аминокислот лизина и триптофана в белковой фракции эндосперма зерна, однако снижает урожайность и повышает восприимчивость к болезням [1, 2]. В рамках работ по стрессоустойчивости разработаны маркеры признаков резистентности к фузариозной гнили початков (Fusarium verticillioides) и стеблей (F. graminearum) [3, 4]. Определена дифференциальная экспрессия генов транскрипционных факторов семейства DREB2 у растения кукурузы в ответ на воздействие различных абиотических факторов [5].
Другое современное направление в селекции кукурузы – увеличение содержания в эндосперме зерна каротиноидов, в том числе провитамина А (α-каротин, β-каротин и β-криптоксантин), количество которого у большинства желтозерных сортов/линий кукурузы в 10 раз меньше по сравнению с целевым уровнем (в рамках существующей программы биофортификации) [1, 2]. Выявлены аллельные варианты генов ликопин-ε-циклазы (LCYE) и β-каротингидроксилазы 1 (crtRB1), влияющие на концентрацию β-каротина. Маркеры, сцепленные с такими аллелями, способствуют выявлению доноров среди образцов кукурузы и ускорению селекции на повышенное содержание провитамина А в зерне. Более того, известны успешные попытки пирамидирования – объединения при отборе признаков увеличения количества провитамина А и незаменимых аминокислот лизина и триптофана в зерне [1, 2].
От присутствия и состава каротиноидов зависит окраска зерна. Обогащение эндосперма зерна зеаксантином или лютеином приводит соответственно к оранжевой или желтой окраске, в то время как отсутствие каротиноидов или только цветных каротиноидов – к белой окраске [7–9]. Хотя из-за дефицита каротиноидов в зерне пищевая ценность сортов белозерной кукурузы считается ниже, чем желтозерной, по другим качествам различий практически не выявлено. При этом именно мука и крупа белозерных сортов являются необходимым компонентом некоторых продуктов (чипсы, лепешки) и основой многих национальных блюд, особенно американской, мексиканской и кавказской кухни.
В связи с этим наметилась тенденция к увеличению сортимента и селекции сортов с различным содержанием каротиноидов (и соответственно различной окраской зерна). Для этого проводится анализ вариабельности генов каротиногенеза. Синтез каротиноидов начинается с активации гена фитоинсинтазы PSY и образования предшественника всех каротиноидов – 15-цис-фитоина [10]. Показано, что белая окраска зерна связана с различными мутациями в последовательности геномного локуса, содержащего ген ZmPSY1, которые приводят к дефициту каротиноидов в эндосперме, но не в зародыше [7, 11, 12]. К примеру, рецессивный мутантный аллель гена ZmPSY1 – yellow endosperm 1 (y1) оказывает упомянутый эффект на зерно, будучи и в гетерозиготном состоянии: эндосперм накапливает каротиноиды, но в незначительном количестве в сравнении с желтым и оранжевым зерном [9, 12, 13].
В настоящей работе были идентифицированы последовательности гомологов гена ZmPSY1 у четырех инбредных линий кукурузы отечественной селекции, контрастных по окраске зерна (белая и желтая). Проведенное структурное сравнение выявило полиморфный участок в экзоне I, различающий белозерные и желтозерные образцы. Соответствие аллельных вариантов окраске зерна было протестировано на 44 инбредных линиях кукурузы, включающих белозерные и желтозерные образцы.
МАТЕРИАЛЫ И МЕТОДЫ
Для работы использовали образцы 44 инбредных линий кукурузы отечественной селекции (ООО ИПА “Отбор”, Институт сельского хозяйства (ИСХ) КБНЦ РАН (КБР), ВИР (С.-Петербург)), 22 из которых белозерные и 22 – желтозерные (табл. 1). Зерна урожая 2020 г. (все 44 образца) проращивали в увлажненной почве и растили до стадии 3–4 листа в условиях экспериментальной установки искусственного климата (ЭУИК, ФИЦ Биотехнологии РАН; день/ночь – 16 ч/8 ч, 22 °С/16 °С; освещенность 190 мкМ/(м2с)).
Таблица 1. Инбредные линии кукурузы, использованные в работе
№ | Линия | Окраска эндосперма зерна | Аллель ZmPSY1 дикого типа | Аллель ZmPSY1 мутантного типа |
1 | МБК* | Белая | + | |
2 | КБЗ* | Белая | + | |
3 | 5740* | Белая с красными полосками | + | |
4 | 5254-1*** | Белая | + | |
5 | 6614-1*** | Белая | + | |
6 | 6063-1*** | Белая | + | |
7 | 6758-1*** | Белая | + | |
8 | 6349-1*** | Белая | + | |
9 | 5320-3*** | Белая | + | |
10 | 6038-1*** | Белая | + | |
11 | 5138-1*** | Белая | + | |
12 | 5254-3*** | Белая | + | |
13 | 5320-2*** | Белая | + | |
14 | 6097-1*** | Белая | + | |
15 | 5320-4*** | Белая | + | |
16 | К-5933** | Белая | + | |
17 | К-6734** | Белая | + | |
18 | К-6705** | Белая | + | |
19 | К-6696** | Белая | + | |
20 | К-6709** | Белая | + | |
21 | К-5935** | Белая | + | |
22 | К-5914** | Белая | + | |
23 | 5676* | Светло-желтая | + | |
24 | 1616* | Светло-желтая | + | |
25 | 5675* | Светло-желтая | + | |
26 | 5666* | Матовая светло-желтая | + | |
27 | 5739* | Матово-желтая | + | |
28 | 5692* | Матово-желтая | + | |
29 | 5696* | Желтая | + | |
№ | Линия | Окраска эндосперма зерна | Аллель ZmPSY1 дикого типа | Аллель ZmPSY1 мутантного типа |
30 | 5683* | Желтая | + | |
31 | 5684* | Желтая | + | |
32 | 5694* | Желтая | + | |
33 | 5674* | Желтая | + | |
34 | 5580-1*** | Желтая | + | |
35 | 2452-2*** | Желтая с красным кончиком | + | |
36 | 1543* | Насыщенно-желтая | + | |
37 | 5690* | Насыщенно-желтая | + | |
38 | 6339-1*** | Ярко-желтая | + | |
39 | 5671* | Темно-желтая | + | |
40 | 5677* | Оранжевая | + | |
41 | 5681* | Оранжевая | + | |
42 | 5272-6*** | Оранжевая | + | |
43 | 2138*** | Оранжевая | + | |
44 | 5687* | Оранжевая | + |
Примечание. Окраска зерна определялась оригинаторами инбредных линий: *ООО ИПА «Отбор»; **ВИР им. Н.И. Вавилова; ***ИСХ КБНЦ РАН.
Из 50–100 мг листовой ткани проростков, предварительно растертой в жидком азоте, выделяли суммарную РНК (RNeasy Plant Mini Kit, QIAGEN, Германия) с последующей очисткой от примесей геномной ДНК (RNase free DNasy set, QIAGEN, Германия). Полученные препараты РНК использовали для синтеза кДНК (GoScriptтм Reverse Transcription System, Promega, США). Качество РНК проверяли методом электрофореза в 1,5%-ном агарозном геле. Концентрацию РНК и кДНК определяли на флуориметре Qubit 4 (Thermo Fisher Scientific, США) с помощью соответствующих реактивов (Qubit RNA HS Assay Kit и Qubit DS DNA HS Assay Kit, Invitrogen, США).
Кодирующие последовательности гена ZmPSY1 амплифицировали с помощью ПЦР на препаратах кДНК двух белозерных и двух желтозерных образцов. Специфичные праймеры (forward 5´-tgttctgctgactggtctca-3´; reverse 5´-aacaacaattcaccaggttgtc-3´) подбирали на основе данных Генбанков NCBI (https://www.ncbi.nlm.nih.gov/) и MaizeGDB (https://maizegdb.org/). ПЦР проводили в следующих условиях: предварительная денатурация (95°С – 5 мин), амплификация в течение 35 циклов (95°С – 60 с, 60°С – 60 с, 72°С – 90 с), финальная достройка фрагментов (72°С – 5 мин). Ампликоны (ожидаемый размер 1419 пн) секвенировали с использованием тех же праймеров на ABI Prism 3730 DNA Analyzer (ЦКП Биоинженерия, ФИЦ Биотехнологии РАН).
Для ПЦР-амплификации полиморфного участка последовательности кДНК ZmPSY1 с разработанными праймерами использовали следующую программу: предварительная денатурация (15 мин при 95°C), 35 циклов (99°C – 45 с, 62°C – 45 с, 72°C – 45 с) и финальная достройка фрагментов (72°C – 2 мин).
Сравнительное выравнивание последовательностей проводили в программе MEGA 7.0.26 (https://www.megasoftware.net/). Транзитный и сигнальный пептиды, консервативные домены и мотивы в белках определяли с помощью SignalP-5.0 (https://services.healthtech.dtu.dk/services/SignalP-5.0/), NCBI-CDD (http://www.ncbi.nlm.nih.gov/Structure/), UniProt (https://www.uniprot.org/), а также литературных данных. Влияние замещений аминокислот на структуру белка предсказывали, используя PROVEAN (http://provean.jcvi.org/index.php; default threshold – –2.5).
Суммарное количество каротиноидов (мкг/г сырого веса) определяли спектрофотометрически в хлороформ-метанольных экстрактах, полученных из ~0.5 г предварительно измельченной в жидком азоте ткани эндосперма зерна белозерного и желтозерного образцов, согласно [14]. Спектры поглощения регистрировали с помощью Eppendorf BioSpectrometer® basic (Eppendorf, Германия).
Часть оборудования для данного исследования была обеспечена Программой развития МГУ им. М. В. Ломоносова (ПРМ-10) (комплект оборудования для геномных исследований).
РЕЗУЛЬТАТЫ И ОБСУЖДЕНИЕ
Для выявления возможных SNP в последовательности гена ZmPSY1, связанных с биосинтезом каротиноидов в эндосперме зерна, в работе были использованы инбредные линии кукурузы с белой и желтой/оранжевой окрасками зерна (табл. 1).
Поскольку желтый и оранжевый эндосперм накапливает в 5–100 раз больше каротиноидов, чем белый [8, 9], мы предварительно сравнили содержание каротиноидов в эндосперме желтого (образец 2452-2) и белого (6097-1) зерна. В результате было подтверждено почти полное отсутствие каротиноидов у белозерного образца и в то же время их присутствие в количестве 34.6 ± 2.4 мкг/г сырого веса у желтозерного образца.
Идентификация и структурный анализ кодирующей последовательности гена ZmPSY1 у белозерных и желтозерных инбредных линий кукурузы
С использованием доступных геномных данных кукурузы Z. mays spp. mays var. B73 была извлечена последовательность гена фитоинсинтазы ZmPSY1 (другие названия y1, pb1; идентификаторы – LOC100136882, GRMZM2G300348, Zm00001eb271860). Ген локализован на хромосоме 6 в позиции 91643180..91646525 (по текущей версии сборки генома Zm-B73-REFERENCE-NAM-5.0; NCBI) или 82179486..82185345/85060410..85065755 (предыдущие версии сборки; MaizeGDB). На основе последовательности мРНК гена были подобраны праймеры для амплификации и секвенирования полной кДНК.
Кодирующая последовательность ZmPSY1 была определена у двух желтозерных (2452-2, 5580-1) и двух белозерных (5254-3, 6097-1) инбредных линий кукурузы. Было показано, что кДНК гена у всех четырех образцов одинакова по длине (1233 пн). Последовательности кодируемых белков-гомологов (410 ао) содержат N-концевой транзитный пептид (в положении 1–62 ао, с сайтом отщепления V61/Y62, согласно UniProt), ответственный за пластидную локализацию фитоинсинтазы, а также консервативный домен head-to-head (HH)-IPPS (в положении 69–402 или 63–410 ао, согласно NCBI-CDD или UniProt). Присутствие сигнального пептида, определяющего транслокацию белка в пластиды и отщепляемого после прохождения мембраны органелл, было маловероятно (согласно SignalPeptide). Однако по версии [15] сигнальный пептид соответствует участку 1–19 ао на N-конце фермента и инвариантен между образцами (рис. 1).
Рис. 1. Выравнивание участка кДНК ZmPSY1 (а) и аминокислотной последовательности гомологов ZmPSY1 (б) у двух желтозерных (2452-2, 5580-1) и двух белозерных (5254-3, 6097-1) инбредных линий кукурузы в сравнении с референсом Z. mays var. B73 (LOC100136882; MN128624.1). Стрелкой указан участок нуклеотидной последовательности, выбранный для прямого праймера (на анализ аллельного варианта гена ZmPSY1). В аминокислотной последовательности выделен рамкой полиморфный участок транзитного пептида, содержащий замещения ао L47I, W52S, E53D и A54V, подчеркнуты консенсусы SQS и PSY (сплошными линиями) и участки YAKTF и RAYV, ограничивающие каталитически активный сайт (двойными линиями), а также указаны радикальные замещения ао (стрелками).
В последовательности гомологов ZmPSY1 были также идентифицированы два высоко консервативных консенсуса – скваленсинтазный (SQS) и фитоинсинтазный (PSY) (по [15]), подтверждающих функциональную принадлежность анализируемых белков. У четырех тестируемых образцов кукурузы консенсус SQS (CYYVAGTVGLMSVPVM, положение 238–253 ао) содержал одно замещение ао – G243A (у желтозерного образца 2452-2), а PSY (GIANQLTNILRDVGEDARRGRIYLPQ, положение 274–299 ао) имел один полиморфизм – G274R (у белозерного образца 6097-1). Участки YAKTF (129–133 ао) и RAYV (379–382 ао), ограничивающие каталитически активный сайт, у гомологов были идентичны (рис. 1, б).
Выравнивание идентифицированных нуклеотидных и аминокислотных последовательностей в сравнении с кДНК ZmPSY1 и соответствующим белком Z. mays var. B73 выявило высокий уровень консерватизма. Всего было обнаружено 19 SNPs, восемь из которых были специфичны для обоих белозерных образцов (g114→a, c139→a, g155→c, c161→t, t162→c, t168→c, с183→a, a798→g) (рис. 1, а). Оставшиеся SNPs были характерны для индивидуальных образцов: 6097-1 (с529→a, t753→a, a769→t, g819→a, g852→t), 2452-2 (g728→c), 5254-3 (a769→c, t811→c, g820→a, g852→c) и 2452-2/5580-1 (c1031→a).
В результате несинонимичных SNPs в последовательности кодируемых гомологов ZmPSY1 произошло замещение остатков восьми аминокислот (рис. 1, б). Четыре нейтральных (согласно PROVEAN) замещения L47I, W52S, E53D и A54V присутствовали только у анализируемых белозерных образцов кукурузы. Другие замещения были специфичны для одной желтозерной линии 2452-2 (G243A; радикальное), белозерного образца 5254-3 (нейтральное T257P и радикальное G274R) и двух желтозерных линий 2452-2 и 5580-1 (T344N; нейтральное). Радикальное замещение G243A в середине консенсуса SQS (рис. 1, б), судя по сохранению желтой окраски зерна, не повлияло на синтез каротиноидов.
Несмотря на нейтральный статус замещения треонина на пролин T257P у белозерного образца 5254-3 (рис. 1, б), данный полиморфизм (или его вариант T257S) ранее охарактеризован как сцепленный с внутриклеточной локализацией ZmPSY1 у 70% тестируемых белозерных линий [16]. Присутствие Pro-257 в сочетании с Asn-168 меняет не только локализацию ZmPSY1, но и морфологию 30% пластид [16]. Аллель Y1, который связывают с желтой окраской эндосперма, в 99% кодирует белок с Thr-257 в сочетании с Asn-168 [7, 15]. Можно предположить, что присутствие Pro-257/Asn-168 в последовательности ZmPSY1 в нашем исследовании может быть связано с белой окраской эндосперма у образца 5254-3. Интересно, что данный образец содержал и специфичное ему радикальное замещение G274R, которое соответствовало первому остатку консенсуса PSY (рис. 1, б). Ранее данный полиморфизм описан не был, но также может быть связан с белой окраской зерна у линии 5254-3.
Заметим, что в работе [16] авторами также обнаружены различия в последовательности транзитного пептида в положениях с 52 по 55. Однако данные в статье не приведены, поскольку транзитный пептид процессируется после импорта в хлоропласты и не должен влиять на активность фермента [16]. По всей вероятности, речь шла о замещениях W52S, E53D и A54V, которые были обнаружены нами в гомологах ZmPSY1 обоих анализируемых белозерных образцов (рис. 1, б).
Мы предположили, что замещения L47I, W52S, E53D и A54V могут быть сцеплены с белой окраской эндосперма зерна, хотя их нейтральный статус не предполагает каких-либо существенных нарушений фолдинга белка. Однако локализация замещений в С-концевой части транзитного пептида могла повлиять на корректность пластидной локализации фермента, а именно на его связывание с белками, узнающими транзитный пептид и участвующими в переносе фитоинсинтазы в пластиды.
При каротиногенезе происходит транслокация фитоинсинтазы в пластоглобулы пластид с помощью транзитного пептида, что показано на примере анализа работы транзитного пептида изофермента PSY2 в хлоропластах риса (Oryza sativa L.) [17]. В запасающих органах происходит преобразование хлоропластов в хромопласты и значительное увеличение количества белка PSY1 в пластоглобулах, что показано на примере плодов томата (Solanum lycopersicum L.) [18]. Поэтому отсутствие ZmPSY1 в пластоглобулах эндосперма зерна из-за замещений ао в транзитном пептиде может привести к отсутствию каротиноидов. При этом в фотосинтезирующей ткани или зародыше зерна данный эффект может нивелироваться активностью хлоропласт-специфичного изофермента ZmPSY2, геномный локус которого не содержит известных замещений ао, сцепленных с различиями (белый vs. желтый) в окраске эндосперма [7].
Разработка и тестирование праймеров на присутствие аллельных вариантов ZmPSY1 дикого и мутантного типов
С учетом замещений ао, специфичных для белозерных образцов кукурузы, была разработана система из трех праймеров. Последовательность обратного праймера (PSY155R: 5´-gccgctcctctgtcatcaac-3´, положение 512–531 в последовательности гена) была общей для аллеля дикого типа (желтозерные образцы) и мутантного аллеля (белозерные образцы). Последовательности двух прямых праймеров основывались на полиморфном участке кДНК PSY1 желтозерных (PSY155FG: 5´-ccttggcctccacccgtg-3´, положение 138–155 в последовательности гена) и белозерных (PSY155FC: 5´-cattggcctccacccgtc-3´, 138–155) образцов (рис. 1, а). Ожидаемый размер ПЦР-фрагмента – 394 пн. При амплификации с парами праймеров PSY155R/PSY155FG и PSY155R/PSY155FC на геномной ДНК растений кукурузы будет нарабатываться фрагмент, соответствующий аллелю дикого типа или мутантному аллелю ZmPSY1 соответственно.
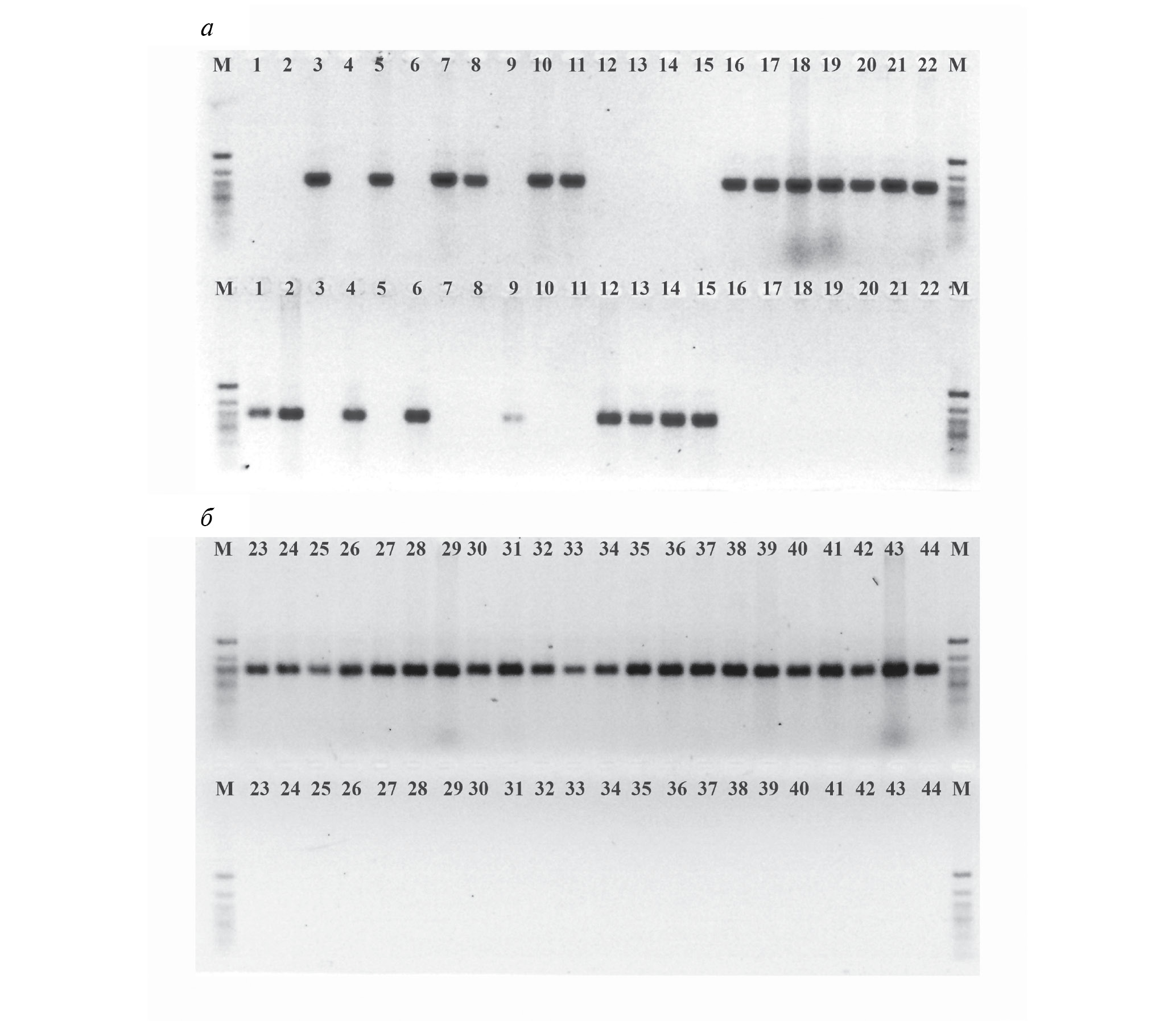
Анализ аллельных вариантов с использованием разработанных праймеров проводили на образцах 44 линий (22 белозерных и 22 желтозерных) кукурузы (табл. 1). В результате было показано, что фрагмент, соответствующий мутантному аллелю, нарабатывается у девяти образцов из 22 тестируемых белозерных линий; остальные 13 показывают присутствие в геноме аллеля дикого типа (рис. 2, а). У всех тестируемых желтозерных линий амплифицировался фрагмент аллеля дикого типа (рис. 2, б). Секвенирование ампликонов подтвердило, что амплифицируются ожидаемые варианты последовательности ZmPSY1.
Рис. 2. Электрофорез в 2.5%-ном агарозном геле продуктов (394 пн) ПЦР-амплификации на геномной ДНК 44 инбредных линий кукурузы с праймерами, разработанными для аллелей дикого (PSY155R/PSY155FG; верх каждого геля) и мутантного (PSY155R/PSY155FC; низ каждого геля) типа. а – белозерные линии (1–22). У девяти образцов обнаружен аллель ZmPSY1 дикого типа, и 13 образцов содержали мутантный аллель; б – желтозерные линии (23–44). У всех 22 образцов показано присутствие аллельного варианта ZmPSY1 дикого типа. Нанесение образцов соответствует порядковым номерам линий в таб. 1; М – маркер длин ДНК GeneRuler Low Range (первые четыре полосы сверху вниз: 700, 500, 400, 300 пн).
Отдельно отметим, что белок ZmPSY1 белозерного образца 5254-3, который содержит выше дискутируемые замещения T257P и G274R (рис. 1, б), ассоциированные согласно [16] с белой окраской эндосперма, одновременно характеризуется мутантным типом аллеля (рис. 2, а). В связи с этим белая окраска зерна линии 5254-3 может быть связана как с тестируемыми нами замещениями ао в транзитном пептиде, так и с замещениями T257P и G274R.
Таким образом, идентифицированный и рассматриваемый в настоящем исследовании ранее не описанный мутантный аллель ZmPSY1 был характерен только для белозерных линий кукурузы, что свидетельствует о его возможной связи с дефицитом каротиноидов в эндосперме зерна. Присутствие аллеля дикого (по целевому участку кДНК/транзитному пептиду) типа у половины тестируемых белозерных линий может объясняться наличием в геномном локусе ZmPSY1 данных образцов других замещений ао, сцепленных с дефицитом каротиноидов в зерне [7, 16].
Работа выполнена при финансовой поддержке подпрограммы ФНТП «Развитие селекции и семеноводства кукурузы».
Настоящая статья не содержит каких-либо исследований с использованием в качестве объекта животных.
Настоящая статья не содержит каких-либо исследований с участием в качестве объекта людей.
Авторы заявляют об отсутствии конфликта интересов.
About the authors
D. K. Arkhestova
Federal Research Centre “Fundamentals of Biotechnology” of the Russian Academy of Sciences; Institute of Agriculture - branch of the Kabardino-Balkarian Scientific Center of the Russian Academy of Sciences
Author for correspondence.
Email: shchennikova@yandex.ru
Russian Federation, Moscow 119071; Nalchik 360004
A. D. Khaudov
Institute of Agriculture - branch of the Kabardino-Balkarian Scientific Center of the Russian Academy of Sciences
Email: shchennikova@yandex.ru
Russian Federation, Nalchik 360004
A. V. Shchennikova
Federal Research Centre “Fundamentals of Biotechnology” of the Russian Academy of Sciences
Email: shchennikova@yandex.ru
Russian Federation, Moscow 119071
E. Z. Kochieva
Federal Research Centre “Fundamentals of Biotechnology” of the Russian Academy of Sciences; Lomonosov Moscow State University
Email: shchennikova@yandex.ru
Russian Federation, Moscow 119071; Moscow, 119234
References
- Chandrasekharan N., Ramanathan N., Pukalenthy B. et al. Development of β-carotene, lysine, and tryptophan-rich maize (Zea mays) inbreds through marker-assisted gene pyramiding // Sci. Rep. 2022. V. 12(1). 8551. doi: 10.1038/s41598-022-11585-y
- Singh J., Sharma S., Kaur A. et al. Marker-assisted pyramiding of lycopene-ε-cyclase, β-carotene hydroxylase1 and opaque2 genes for development of biofortified maize hybrids // Sci. Rep. 2021. V. 11(1). 12642. doi: 10.1038/s41598-021-92010-8
- Abdel-Rahman M.M., Bayoumi S.R., Barakat M.N. Identification of molecular markers linked to Fusarium ear rot genes in maize plants Zea mays L. // Biotechnology & Biotechnological Equipment. 2016. V. 30(4). P. 692–699. doi: 10.1080/13102818.2016.1181987
- Yang D.E., Zhang C.L., Zhang D.S. et al. Genetic analysis and molecular mapping of maize (Zea mays L.) stalk rot resistant gene Rfg1 // Theor. Appl. Genet. 2004. V. 108(4). P. 706–711. doi: 10.1007/s00122-003-1466-y
- Filyushin M.A., Kochieva E.Z., Shchennikova A.V. ZmDREB2.9 gene in maize (Zea mays L.): genome-wide identification, characterization, expression, and stress response // Plants (Basel). 2022. V. 11(22). doi: 10.3390/plants11223060
- Yu J.K., Moon Y.S. Corn starch: quality and quantity improvement for industrial uses // Plants (Basel). 2021. V. 11(1). doi: 10.3390/plants11010092
- Palaisa K.A., Morgante M., Williams M. et al. Contrasting effects of selection on sequence diversity and linkage disequilibrium at two phytoene synthase loci // Plant Cell. 2003. V. 15(8). P. 1795–1806. doi: 10.1105/tpc.012526
- Ranilla L.G., Zolla G., Afaray-Carazas A. et al. Integrated metabolite analysis and health-relevant in vitro functionality of white, red, and orange maize (Zea mays L.) from the Peruvian Andean race Cabanita at different maturity stages // Front. Nutr. 2023. V. 10. doi: 10.3389/fnut.2023.1132228
- Burt A.J., Grainger C.M., Smid M.P. et al. Allele mining of exotic maize germplasm to enhance macular carotenoids // Crop Science. 2011. V. 51(3). P. 991–1004. doi: 10.2135/cropsci2010.06.0335
- Sierra J., McQuinn R.P., Leon P. The role of carotenoids as a source of retrograde signals: Impact on plant development and stress responses // J. Exp. Bot. 2022. V. 73(21). P. 7139–7154. doi: 10.1093/jxb/erac292
- Buckner B., Kelson T.L., Robertson D.S. Cloning of the y1 locus of maize, a gene involved in the biosynthesis of carotenoids // Plant Cell. 1990. V. 2(9). P. 867–876. doi: 10.1105/tpc.2.9.867
- Buckner B., Miguel P.S., Janick-Buckner D. et al. The y1 gene of maize codes for phytoene synthase // Genetics. 1996. V. 143(1). P. 479–488. doi: 10.1093/genetics/143.1.479
- Egesel C.E.M., Wong J.C., Lambert R.J. et al. Gene dosage effects on carotenoid concentration in maize grain // Maydica. 2003. V. 48(3). P. 183–190.
- Филюшин М.А., Джос Е.А., Щенникова А.В. и др. Зависимость окраски плодов перца от соотношения основных пигментов и профиля экспрессии генов биосинтеза каротиноидов и антоцианов // Физиология растений. 2020. Т. 67. C. 644–653. doi: 10.31857/S0015330320050048
- Fu Z., Yan J., Zheng Y. et al. Nucleotide diversity and molecular evolution of the PSY1 gene in Zea mays compared to some other grass species // Theor. Appl. Genet. 2010. V. 120(4). P. 709–720. doi: 10.1007/s00122-009-1188-x
- Shumskaya M., Bradbury L.M., Monaco R.R. et al. Plastid localization of the key carotenoid enzyme phytoene synthase is altered by isozyme, allelic variation, and activity // Plant Cell. 2012. V. 24. P. 3725–3741. doi: 10.1105/tpc.112.10417
- You M.K., Kim J.H., Lee Y.J. et al. Plastoglobule-targeting competence of a putative transit peptide sequence from rice phytoene synthase 2 in plastids // Int. J. Mol. Sci. 2016. V. 18(1). doi: 10.3390/ijms18010018
- Zita W., Bressoud S., Glauser G. et al. Chromoplast plastoglobules recruit the carotenoid biosynthetic pathway and contribute to carotenoid accumulation during tomato fruit maturation // PLoS One. 2022. V. 17(12). doi: 10.1371/journal.pone.0277774
Supplementary files




