Evaulation of Polymorphism of the Immune System Genes TNF and TLR2 in Cattle
- Authors: Kalashnikova L.A.1, Bagal I.E.1, Murugina N.E.2, Kalashnikov V.E.1, Senina R.Y.1
-
Affiliations:
- All-Russian Research Institute of Animal Breeding
- National Research Center “Institute of Immunology”
- Issue: Vol 60, No 12 (2024)
- Pages: 66–74
- Section: ГЕНЕТИКА ЖИВОТНЫХ
- URL: https://journal-vniispk.ru/0016-6758/article/view/277596
- DOI: https://doi.org/10.31857/S0016675824120079
- EDN: https://elibrary.ru/waawue
- ID: 277596
Cite item
Full Text
Abstract
In this article the results of genotyping of tumor necrosis factor (TNF) and toll-like receptor 2 (TLR2) genes among 644 heads of cattle of six breeds belonging to four different genetic roots are presented. The Kholmogory and Holstein breeds of black-and-white root, the Ayrshire breed of red root, the Kostroma and Brown Swiss breed of brown root and the fawn Simmental breed were studied. The PCR-RFLP method was used to identify alleles and genotypes. Significant differences in allele frequency of the TNF and TLR2 genes were observed between breeds of different genetic roots (p < 0.001) and between breeds of dairy and dairy-meat productivity (p < 0.001). In five of the six cattle breeds studied, the predominance of the TLR2T allele was revealed. The highest frequency of the TLR2T allele (0.99) was found in the Ayrshire breed. The herd of Ayrshire cows is close to being monomorphic for the TLR2 gene, 98% of the animals have the homozygous TLR2TT genotype. A more uniform distribution of alleles and genotypes for the TLR2 gene was found in black-and-white animals: in Holstein cattle the average frequency of the TLR2T allele was 0.78, in Kholmogory cattle it was 0.83. The TLR2TT genotype was detected in the majority of Holstein (61%) and Kholmogory (69%) cows. The frequency of the TLR2T allele in the Simmental breed was 0.62, in the Kostroma breed – 0.67. In Simmental and Kostroma cows, the heterozygous TLR2TG genotype is more common (54 and 47% respectively). A different picture of the distribution of allele and genotype frequencies was revealed in Brown Swiss animals. The TLR2T allele frequency averages 0.26. More than half of Brown Swiss cows (55%) are homozygous for TLR2GG. In all breeds, the TNFB allele predominated with a frequency of occurrence ranging from 0.61 in Holstein cattle to 0.98 in the Brown Swiss breed. A high frequency of the TNFB allele was found in the Kostroma (0.94), Ayrshire (0.885) and Simmental (0.80) breeds. In the Kholmogory breed, the average frequency of the TNFB allele was 0.72. The highest frequency of the TNFBB genotype was found in Brown Swiss herds (96%). The predominance of the homozygous TNFBB genotype was revealed in Kholmogory (53%), Simmental (62%), Ayrshire (77%) and Kostroma cattle (87.5%). In Holstein cows, the majority of animals (53%) carry the heterozygous TNFАВ genotype. In three breeds – Ayrshire, Kostroma and Brown Swiss, the TNFAA genotype was not detected.
Keywords
Full Text
Изменчивость генов иммунной системы играет важную роль в формировании иммунного ответа при развитии заболеваний крупного рогатого скота [1, 2]. Идентификация генетических вариантов и исследование их ассоциаций с устойчивостью к заболеваниям необходимы для селекционно-племенной работы, направленной на улучшение показателей здоровья животных и продуктивного долголетия. Использование маркерных последовательностей, связанных с иммунитетом, будет способствовать улучшению показателей иммунного статуса животных.
Эффективность животноводства, объем и качество продукции можно значительно повысить за счет снижения потерь от болезней. Несмотря на современные технологические достижения, одной из основных проблем в молочном скотоводстве является распространенность инфекций вымени, особенно в высокопродуктивных стадах, что ведет к увеличению затрат, связанных с лечением и профилактикой заболеваний, а также увеличивает риск ранней выбраковки коров [3, 4].
Толл-подобные рецепторы (TLR) участвуют в распознавании патоген-ассоциированных молекулярных паттернов и управляют самыми ранними стадиями иммунного ответа [5]. В геноме крупного рогатого скота были идентифицированы десять генов TLR. TLR2 крупного рогатого скота расположен на хромосоме 17 (NCBI ID 28154) [6]. По данным L.P. Zhang с соавт. [7], этот ген охватывает около 13.2 тпн геномной ДНК и состоит из двух экзонов и одного интрона. Первый экзон имеет длину 179 пн, а второй – 3333 пн. TLR2 расположен на поверхности клеток и распознает широкий спектр паттернов, ассоциированных с патогенами (РАМРs) [8–10].
TLR2 принимает активное участие в формировании устойчивости к маститу [2, 7, 11, 12]. Обнаружена выраженная экспрессия TLR2 при мастите, вызванном S. aureus [13]. Выявлены однонуклеотидные мутации гена TLR2, ассоциированные с паратуберкулезной инфекцией крупного рогатого скота [14, 15]. Установлены различия в иммунном ответе у разных пород крупного рогатого скота, которые могут способствовать повышенной или сниженной восприимчивости животных к инфекции [16]. Было показано, что локус SNP rs55617172 гена TLR2 достоверно (p < 0.01) связан с устойчивостью к туберкулезу крупного рогатого скота [17].
При взаимодействии с возбудителем TLR2 посредством каскада реакций индуцирует экспрессию провоспалительных цитокинов (TNF и др.) [18]. Фактор некроза опухоли (TNF) был впервые идентифицирован как цитокин с противоопухолевым действием [19, 20]. Ген, кодирующий TNF, содержит четыре экзона, три интрона и расположен на хромосоме BTA23q22 (NCBI ID 280943) [21, 22].
TNF является одним из основных провоспалительных цитокинов. Он индуцирует высвобождение многих других цитокинов [23, 24] и является одним из ключевых медиаторов местного воспалительного иммунного ответа. Исследованиями ряда авторов определены однонуклеотидные замены (SNP) в гене TNF, ассоциированные с маститом коров [12, 25–27]. Установлена связь между полиморфизмом гена TNF и лейкозом крупного рогатого скота [28, 29]. Показана взаимосвязь полиморфизмов гена TNF с риском развития туберкулеза крупного рогатого скота [30]. У голштинских коров было показано влияние SNP гена TNF на иммунную и репродуктивную функции [31, 32]. Кроме того, S. Kahl с соавт. установили связь полиморфизма гена TNF с гиперчувствительностью к эндотоксину у телят [33].
Таким образом, гены паттерн-распознающих рецепторов и провоспалительных цитокинов благодаря своим биологическим функциям могут быть использованы в качестве потенциальных ДНК-маркеров иммунитета крупного рогатого скота.
Целью нашего исследования было изучение полиморфизма генов TNF и TLR2 у крупного рогатого скота разных пород.
МАТЕРИАЛЫ И МЕТОДЫ
Для изучения полиморфизма генов TNF и TLR2 в лаборатории ДНК-технологий ФГБНУ ВНИИ племенного дела методом ПЦР-ПДРФ были исследованы пробы ДНК крупного рогатого скота шести пород из девяти племенных хозяйств РФ, принадлежащих четырем разным генетическим корням. Всего было исследовано 644 головы. Объектом исследований послужили животные молочного направления продуктивности: коровы холмогорской породы из Архангельской области (120 голов), голштинской породы (146 голов) зарубежной и отечественной селекции из трех регионов РФ – из Красноярского края (27 голов), из Курской области (40 голов), из двух хозяйств Московской области (39 и 40 голов), а также айрширской породы из Вологодской области (100 голов). Были изучены коровы молочно-мясного направления продуктивности: костромской породы (32 головы) из Костромской области, бурой швицкой породы (141 голова) из двух регионов РФ – Смоленской (51 головa) и Тульской областей (90 голов) и симментальской породы, разводимой в условиях Красноярского края (105 голов). Породная принадлежность определялась согласно первичным данным зоотехнического учета.
При генотипировании гена TLR2 (NC_037344.1 rs55617172) два аллеля экзона 2, отличающиеся заменой тимина (T) на гуанин (G) в нуклеотидной цепи (T385G) с последующим изменением аспарагина (N) на глутамин (Q) в аминокислотной последовательности, выявляли по наличию сайта рестрикции EcoRV [7]. Однонуклеотидный полиморфизм гена TNF (NC_037350.1) в экзоне 4 был изучен с использованием рестриктазы RsaI [27].
Для амплификации участков генов TNF и TLR2 методом ПЦР были синтезированы следующие пары праймеров:
TLR2 – F: 5’-AGGTCAAATCACTGGACAATG-3’ и R: 5’-GAGATGTTTCCCCAAGTGTTT-3’;
TNF – F: 5´-AGAGTAGAACTGACAGGGTCG-3’ и R: 5’-CTCGGCATAGTCCAGGTAG-3’ [7, 27].
Продукт амплификации для TLR2 составил 448 пн, для гена TNF – 445 пн. С помощью электрофореза в 3%-ном агарозном геле против маркера pUC19 DNA/MspI и компьютерной системы гель-документирования была определена длина фрагментов рестрикции.
РЕЗУЛЬТАТЫ И ОБСУЖДЕНИЕ
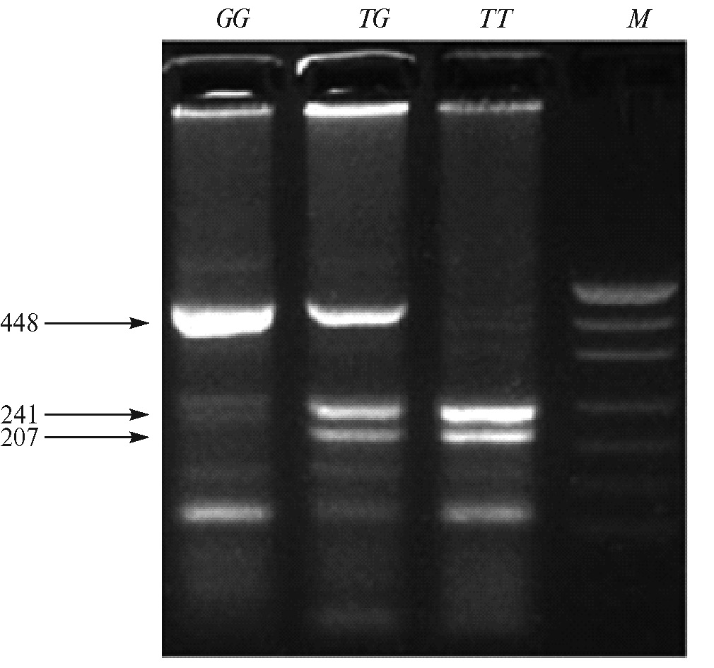
Рис. 1. Результаты электрофореза рестрикционных фрагментов гена TLR2. Маркер pUC19 / MspI.
По результатам ПЦР-ПДРФ анализа для гена TLR2 выявлено два аллеля G и T и три генотипа (рис. 1). Генотип GG имеет длину фрагмента 448 пн, генотип TG – три фрагмента длиной 448, 241 и 207 пн, генотип TT – два фрагмента длиной 241 и 201 пн. В табл. 1 представлены частоты аллелей и генотипов гена TLR2.
Таблица 1. Полиморфизм гена TLR2
Хозяйство, область | n | Частота генотипа | Частота аллеля | Не | χ² | ||||||
GG | TG | TT | G±mG | T±mT | |||||||
n | % | n | % | n | % | ||||||
Холмогорская порода | |||||||||||
ООО “Пежма”, Архангельская обл. | 88 | 4 | 5 | 25 | 28 | 59 | 67 | 0.19±0.03 | 0.81±0.03 | 0.30 | 0.40 |
ООО “Агрофирма “Холмогорская”, Архангельская обл. | 32 | 1 | 3 | 7 | 22 | 24 | 75 | 0.14±0.04 | 0.86±0.04 | 0.24 | 0.29 |
В целом по холмогорской породе | 120 | 5 | 4 | 32 | 27 | 83 | 69 | 0.17±0.02a*** b** c*** d*** | 0.83 ±0.02 a*** b*** c** d*** | 0.29 | 0.70 |
Голштинская порода | |||||||||||
ИП ГК(Ф)К Зубарева Н.В., Красноярский край | 27 | – | – | 10 | 37 | 17 | 63 | 0.19±0.05 | 0.81±0.05 | 0.31 | 1.35 |
ООО “Луч” Курская обл. | 40 | 3 | 8 | 17 | 42 | 20 | 50 | 0.29±0.05 | 0.71±0.05 | 0.41 | 0.06 |
ООО “Лесные поляны”, Московская обл. | 39 | 1 | 2 | 12 | 31 | 26 | 67 | 0.18±0.04 | 0.82±0.04 | 0.30 | 0.78 |
АО “Зеленоградское”, Московская обл. | 40 | 3 | 8 | 11 | 27 | 26 | 65 | 0.21±0.05 | 0.79±0.05 | 0.34 | 1.27 |
В целом по голштинской породе | 146 | 7 | 5 | 50 | 34 | 89 | 61 | 0.22±0.02 e*** f*** g*** | 0.78±0.02 e*** f*** g*** h*** | 0.34 | 0.00004 |
Айрширская порода | |||||||||||
СХПК “Племзавод Майский”, Вологодская обл. | 100 | 0 | 0 | 2 | 2 | 98 | 98 | 0.01±0.007a*** e*** h*** i*** j*** | 0.99±0.007d*** f***i*** j***k*** | 0.02 | 0.01 |
Костромская порода | |||||||||||
СПК колхоз “Родина”, Костромская обл. | 32 | 3 | 9 | 15 | 47 | 14 | 44 | 0.33±0.06 b** j*** k*** | 0.67±0.06 c** k*** l*** | 0.44 | 0.13 |
Бурая швицкая порода | |||||||||||
АО “Смоленское”, Смоленская обл. | 48 | 25 | 52 | 20 | 42 | 3 | 6 | 0.73±0.05 | 0.27±0.05 | 0.39 | 0.15 |
ООО “Агрофармтрест”, Тульская обл. | 90 | 51 | 57 | 32 | 35 | 7 | 8 | 0.74±0.03 | 0.26±0.03 | 0.38 | 0.39 |
В целом по бурой швицкой породе | 138 | 76 | 55 | 52 | 38 | 10 | 7 | 0.74±0.03 c*** f*** i*** k*** l*** | 0.26±0.03 b***g*** j*** l*** m*** | 0.39 | 0.07 |
Симментальская порода | |||||||||||
ЗАО “Сибирь-1”, Красноярский край | 105 | 11 | 11 | 57 | 54 | 37 | 35 | 0.38±0.03d*** g*** h*** l*** | 0.62±0.03a*** e*** h*** i*** m*** | 0.47 | 2.58 |
Примечание. mG(mT) – ошибка частот аллелей, Не – ожидаемая гетерозиготность, χ² – критерий соответствия. Пары различающихся генотипов при уровне достоверности **p < 0.01, ***p < 0.001 обозначены буквенными индексами a, b, c, d, e, f, g, h, i, j, k, l, m.
Анализ полученных данных показал, что из шести исследованных пород крупного рогатого скота у пяти пород – холмогорской, голштинской, айрширской, костромской и симментальской – преобладает аллель T гена TLR2. Породы молочного направления продуктивности отличаются от пород молочно-мясного направления более высокой частотой встречаемости аллеля T (р < 0.001). У айрширской породы молочного направления продуктивности отмечена наиболее высокая частота аллеля T (0.990). Среди коров айрширской породы 98% имеют генотип TT и лишь 2% – генотип TG. У коров черно-пестрого корня молочного направления продуктивности частота встречаемости аллеля T варьирует от 0.780 у голштинской породы до 0.830 у холмогорских коров и достоверно отличается от частоты этого аллеля у айрширской породы (р < 0.001). В стадах голштинской и холмогорской пород преобладает гомозиготный генотип TT (61 и 69% соответственно). Между популяциями голштинского скота частота этого генотипа варьирует от 50% у животных датской селекции из племенного хозяйства Курской области до 67% у отечественных голштинских коров из Московской области. Доля гетерозиготных животных с генотипом TG среди холмогорских коров (27%) из Архангельской области в целом ниже, чем в стадах голштинских коров (34%). Гомозиготный генотип GG в стадах холмогорской и голштинской пород имеют в среднем 4–5% коров.
У коров молочно-мясного направления продуктивности частота аллеля T гена TLR2 варьирует между породами в достоверно значимых пределах (р < 0.001). Наименьшая частота этого аллеля отмечена в стадах животных бурой швицкой породы (0.260), где преобладает генотип GG с частотой от 52 до 57%, в среднем 55%. От 35% до 42% животных бурой швицкой породы имеют гетерозиготный генотип, в среднем 38%. Частота аллеля T у коров костромской породы достигает 0.670, что достоверно выше (р < 0.001), чем у коров бурой швицкой породы. Большинство коров костромской породы имеет гетерозиготный генотип (47%), частота генотипа TT составляет 44%. У коров симментальской породы палевого корня также преобладает аллель T (0.620) и гетерозиготный генотип (54%), на втором месте – генотип TT с частотой 35%.
Полученные нами данные по частоте аллелей и генотипов TLR2 у голштинской породы в целом соответствуют результатам исследований полиморфизма гена TLR2 у коров голштинской породы в Китае. L. P. Zhang с соавт. выявили низкую частоту генотипа GG (< 5%) для TLR2 T385G в популяции голштинского скота в Китае [7], частота аллеля G составила 0.24. У симментальской породы частота аллеля G в Китае выше и достигает 0.55 [7]. Полиморфизм T385G был достоверно связан с количеством соматических клеток (SCS), p < 0.05. Коровы с генотипами ТТ и ТG имели больший показатель SCS, чем коровы с генотипом GG [7]. В то же время у помесного скота в Индии выявлена высокая частота встречаемости генотипа ТТ SNP (rs55617172) гена TLR2 в группе животных, у которых было подтверждено отсутствие мастита [34].
Исследование локуса TLR2-EcoRV у местных пород крупного рогатого скота в Турции показало преобладание аллеля С(G) у большинства исследованных пород (от 51.39 до 68.97%), за исключением местной черной породы Native Black, где частота аллеля А(T) составила 54.29% [35]. Исследование P. Raufian с соавт. [12] показало, что в группе восприимчивых к маститу животных голштинской породы частота аллеля К(T) гена TLR2 в 2.5 раза превышала частоту аллеля А(G).
Рис. 2. Результаты электрофореза рестрикционных фрагментов гена TNF. Маркер pUC19 / MspI.
В результате генотипирования гена TNF было выявлено наличие двух аллелей и трех генотипов (рис. 2). Генотип АА соответствует на электрофорезе одному фрагменту ДНК длиной 445 пн, генотип АВ имеет три фрагмента длиной 445, 350 и 95 пн, а генотип ВВ – два фрагмента длиной 350 и 95 пн. Распределение частот аллелей и генотипов гена TNF у крупного рогатого скота представлено в табл. 2.
Таблица 2. Полиморфизм гена TNF
Хозяйство, область | n | Частота генотипа | Частота аллеля | Не | χ² | ||||||
АА | АВ | ВВ | А±mA | В±mB | |||||||
n | % | n | % | n | % | ||||||
Холмогорская порода | |||||||||||
ООО “Пежма”, Архангельская обл. | 88 | 9 | 10 | 35 | 40 | 44 | 50 | 0.30±0.04 | 0.70±0.04 | 0.42 | 0.27 |
ООО “Агрофирма “Холмогорская”, Архангельская обл. | 32 | 1 | 3 | 12 | 38 | 19 | 59 | 0.22±0.05 | 0.78±0.05 | 0.34 | 0.30 |
В целом по холмогорской породе | 120 | 10 | 8 | 47 | 39 | 63 | 53 | 0.28±0.03 a** b*** c*** d*** | 0.72±0.03 a**b*** c*** d*** | 0.40 | 0.09 |
Голштинская порода | |||||||||||
ИП ГК(Ф)К Зубарева Н.В., Красноярский край | 27 | 3 | 11 | 13 | 48 | 11 | 41 | 0.35±0.07 | 0.65±0.07 | 0.48 | 0.57 |
ООО “Луч”, Курская обл. | 40 | 2 | 5 | 24 | 60 | 14 | 35 | 0.35±0.05 | 0.65±0.05 | 0.46 | 4.06 |
ООО “Лесные поляны”, Московская обл. | 39 | 6 | 15 | 24 | 62 | 9 | 23 | 0.46±0.06 | 0.54±0.06 | 0.50 | 2.21 |
АО “Зеленоградское”, Московская обл. | 40 | 7 | 18 | 16 | 40 | 17 | 42 | 0.38±0.05 | 0.62±0.05 | 0.47 | 0.86 |
В целом по голштинской породе | 146 | 18 | 12 | 77 | 53 | 51 | 35 | 0.39±0.03 a** e*** f*** g*** h*** | 0.61±0.03 a** e*** f*** g*** h*** | 0.47 | 1.82 |
Айрширская порода | |||||||||||
СХПК “Племзавод Майский”, Вологодская обл. | 100 | 0 | 0 | 23 | 23 | 77 | 77 | 0.115±0.022 b*** e*** i*** j* | 0.885±0.022 b*** e*** i*** j* | 0.20 | 1.69 |
Костромская порода | |||||||||||
СПК колхоз “Родина”, Костромская обл. | 32 | 0 | 0 | 4 | 12.5 | 28 | 87.5 | 0.06±0.03 c*** f*** k** | 0.94±0.03 c*** f*** k** | 0.12 | 0.14 |
Бурая швицкая порода | |||||||||||
АО “Смоленское”, Смоленская обл. | 51 | 0 | 0 | 3 | 6 | 48 | 94 | 0.03±0.01 | 0.97±0.01 | 0.06 | 0.05 |
ООО “Агрофармтрест”, Тульская обл. | 90 | 0 | 0 | 2 | 2 | 88 | 98 | 0.01±0.01 | 0.99± 0.01 | 0.02 | 0.04 |
В целом по бурой швицкой породе | 141 | 0 | 0 | 5 | 4 | 136 | 96 | 0.02±0 g*** i*** l*** | 0.98±0.01 d*** g*** i*** l*** | 0.04 | 0.11 |
Симментальская порода | |||||||||||
ЗАО “Сибирь-1”, Красноярский край | 105 | 3 | 3 | 37 | 35 | 65 | 62 | 0.20±0.03 h***j* k** l*** | 0.80±0.03 h***j* k** l*** | 0.33 | 0.71 |
Примечание. mА(mВ) – ошибка частот аллелей, Не – ожидаемая гетерозиготность, χ² – критерий соответствия. Пары различающихся генотипов при уровне достоверности *p < 0.05, **p < 0.01, ***p < 0.001 обозначены буквенными индексами a, b, c, d, e, f, g, h, i, j, k, l.
Согласно полученным данным, у всех шести изученных пород преобладал аллель В гена TNF. Наиболее высокие частоты встречаемости генотипа BB и аллеля B отмечены у пород бурого корня молочно-мясного направления продуктивности. Частота генотипа BB в стадах бурой швицкой породы достигает в среднем 96%, частота аллеля B – 0.98. Среди коров отечественной костромской породы, также относящейся к бурому корню, 88% животных имеет генотип BB, частота аллеля B – 0.94. В стадах обеих пород бурого корня не обнаружены животные с генотипом AA. У коров симментальской породы, относящейся к палевому корню молочно-мясного направления продуктивности, частота аллеля B достоверно ниже, чем у пород бурого корня (р < 0.001), и составляет 0.80, распределение генотипов гена TNF: AA – 3%, AB – 35%, BB – 62%.
Выявлены достоверные различия частот аллелей гена TNF у коров молочного направления продуктивности, относящихся к разным генетическим корням. У коров айрширской породы молочного направления продуктивности, представляющей красный корень, преобладает генотип BB с частотой 77% и аллель B с частотой 0.885, генотип AA не обнаружен. У коров черно-пестрого корня частота аллеля B достоверно ниже (р < 0.001) и варьирует от 0.610 у голштинской породы до 0.720 у холмогорской породы. Частота аллеля B в стадах голштинской породы составляет от 0.540 у коров отечественной селекции до 0.650 у импортных животных. Частота гетерозиготного генотипа AB у голштинской породы варьирует в пределах от 40% у импортных животных до 62% у коров отечественной селекции, разводимых в хозяйствах Московской области, и в среднем составляет 53%. Наибольшее количество гомозигот BB обнаружено среди импортных голштинских животных, разводимых в Красноярском крае (41%) и Московской области (42%). Среди холмогорских коров также чаще встречается генотип BB (53%). От 5 до 18% голштинских коров имеют генотип AA, в среднем 12%; у коров холмогорской породы частота AA = 8%.
В исследовании P. Raufian с соавт. [12] выявлено преобладание генотипа АА гена TNF в группе устойчивых к маститу животных голштинской породы, в группе чувствительных к заболеванию животных чаще встречался генотип ВВ. Установлена достоверная корреляция между полиморфизмом гена TNF и SCS (p < 0.01) и разность в экспрессии гена – самый высокий уровень экспрессии отмечен у животных с генотипом ВВ. Ученые полагают, что генотип АА может быть ассоциирован с относительной фенотипической устойчивостью к маститу в популяции голштинского скота [25]. A.J. Xu с соавт. выявили наибольшую частоту распространения гетерозиготного генотипа АВ гена TNF у китайского голштинского скота. При этом у здорового скота преобладал аллель А (0.5237), а у животных, больных маститом, чаще встречался аллель В (0.65). Кроме того, была обнаружена статистически значимая связь (p < 0.05) генотипа ВВ с высоким количеством соматических клеток SCS [27].
Таким образом, анализ результатов генотипирования SNP в ключевых генах иммунной системы TNF и TLR2 у шести пород крупного рогатого скота разного происхождения выявил достоверные различия между породами разных направлений продуктивности (р < 0.001) и между породами, относящимися к разным генетическим корням (р < 0.001). По SNP T385G гена TLR2 низкий уровень полиморфизма установлен у коров айрширской породы красного корня молочного направления продуктивности. Стадо айрширских коров близко к мономорфному типу по гену TLR2, поскольку 98% животных представлены одним гомозиготным генотипом TT.
Низкий уровень полиморфности выявлен по сайту RsaI гена TNF в стадах животных бурого корня молочно-мясного направления продуктивности, где 96% животных представлены одним гомозиготным генотипом BB. Более равномерное распределение аллелей и генотипов гена TNF установлено в стадах голштинской и холмогорской пород черно-пестрого корня молочного направления продуктивности, где присутствует от 8 до 12% коров с генотипом AA, предположительно связанным с устойчивостью к маститу.
В целом наличие выраженного полиморфизма по изученным генам иммунной системы у холмогорского и голштинского скота открывает возможность для дальнейших исследований и поиска ассоциаций с показателями здоровья животных, в частности с устойчивостью к маститу.
Исследование выполнено за счет гранта Российского научного фонда (проект № 23-26-00235).
Исследование одобрено Этическим комитетом ФГБНУ “Всероссийский научно-исследовательский институт племенного дела”, протокол № 1 от 02.02.2023 г.
Все применимые международные, национальные и/или институциональные принципы ухода и использования животных были соблюдены.
Авторы заявляют, что у них нет конфликта интересов.
About the authors
L. A. Kalashnikova
All-Russian Research Institute of Animal Breeding
Email: ladnatehplem@mail.ru
Russian Federation, Moscow oblast, Pushkino, 141212
I. E. Bagal
All-Russian Research Institute of Animal Breeding
Author for correspondence.
Email: ladnatehplem@mail.ru
Russian Federation, Moscow oblast, Pushkino, 141212
N. E. Murugina
National Research Center “Institute of Immunology”
Email: ladnatehplem@mail.ru
Russian Federation, Moscow, 115522
V. E. Kalashnikov
All-Russian Research Institute of Animal Breeding
Email: ladnatehplem@mail.ru
Russian Federation, Moscow oblast, Pushkino, 141212
R. Yu. Senina
All-Russian Research Institute of Animal Breeding
Email: ladnatehplem@mail.ru
Russian Federation, Moscow oblast, Pushkino, 141212
References
- Bjelka M., Novák K. Association of TLR gene variants in a Czech Red Pied cattle population with reproductive traits // Vet. Immunol. Immunopathol. 2020. V. 220. doi: 10.1016/j.vetimm.2019.109997
- Elmagharaby M.M., El-Nahas A.F., Fathala M.M. et al. Association of toll-like receptors 2 and 6 polymorphism with clinical mastitis and production traits in Holstein cattle // Iranian J. Veter. Res. 2018. V. 19. № 3. P. 202–207.
- Puerto M.A., Shepley E., Cue R.I. et al. The hidden cost of disease: I. Impact of the first incidence of mastitis on production and economic indicators of primiparous dairy cows // J. Dairy Sci. 2021. V. 104. № 7. P. 7932–7943. doi: 10.3168/jds.2020-19584
- Aghamohammadi M., Haine D., Kelton D.F. et al. Herd-level mastitis-associated costs on canadian dairy farms // Front. Veter. Sci. 2018. V. 5. doi: 10.3389/fvets.2018.00100
- Trinchieri G., Sher A. Cooperation of Toll-like receptor signals in innate immune defence // Nat. Rev. Immunol. 2007. V. 7. № 3. P. 179–190. doi: 10.1038/nri2038
- McGuire K., Jones M., Werling D. et al. Radiation hybrid mapping of all 10 characterized bovine Toll-like receptors // Anim. Genet. 2006. V. 37. № 1. P. 47–50.
- Zhang L.P., Gan Q.F., Ma T.H. et al. Toll-like receptor 2 gene polymorphism and its relationship with SCS in dairy cattle // Anim. Biotechnol. 2009. V. 20. P. 87–95. doi: 10.1080/10495390902873096
- Takeda K., Akira S. Toll-like receptors in innate immunity // Int. Immunol. 2005. V. 17. № 1. P. 1–14. doi: 10.1093/intimm/dxh186
- Akira S., Uematsu S., Takeuchi O. Pathogen recognition and innate immunity // Cell. 2006. V. 124. № 4. P. 783–801. doi: 10.1016/j.cell.2006.02.015
- Ozinsky A., Underhill D.M., Fontenot J.D. et al. The repertoire for pattern recognition of pathogens by the innate immune system is defined by cooperation between toll-like receptors // Proc. Natl Acad. Sci. USA. 2000. V. 97. № 25. P. 13766–13771. doi: 10.1073/pnas 250476497
- Inrning Huang J., Liu L., Wang H. et al. Variants and gene expression of the TLR2 gene and susceptibility to mastitis in cattle // Asian J. Anim. Veter. Adv. 2011. V. 6. P. 51–61. doi: 10.3923/ajava.2011.51.61
- Raufian P., Shodja Ghyas J., Jafari R. et al. Identification of genetic variation in two candidate genes of TLR2 and TNFα and its association with mastitis in Holstain Cattle // Res. Anim. Prod. (Sci. Res.). 2018. V. 8. P. 147–154. doi: 10.29252/rap.8.18.147
- Goldammer T., Zerbe H., Molenaar A. et al. Mastitis increases mammary mRNA abundance of β-defensin 5, toll-like-receptor 2 (TLR2), and TLR4 but not TLR9 in cattle // Clin. Diagn. Lab. Immunol. 2004. V. 11. № 1. P. 174–185. doi: 10.1128/CDLI.11.1.174-185.2004
- Sadana T., Singh R., Singh Sh. et al. Single nucleotide polymorphism of SLC11A1, CARD15, IFNG and TLR2 genes and their association with Mycobacterium avium subspecies paratuberculosis infection in native Indian cattle population // Indian J. Biotechnol. 2015. V. 14. P. 469–475.
- Koets A., Santema W., Mertens H. et al. Susceptibility to paratuberculosis infection in cattle is associated with single nucleotide polymorphisms in Toll-like receptor 2 which modulate immune responses against Mycobacterium avium subspecies paratuberculosis // Prev. Veter. Med. 2010. V. 93. № 4. P. 305–315. doi: 10.1016/j.prevetmed.2009.11.008
- Bartens M.C., Gibson A.J., Etherington G.J. et al. Single Nucleotide polymorphisms in the bovine TLR2 extracellular domain contribute to breed and species-specific innate immune functionality // Front. Immunol. 2021. V. 12. doi: 10.3389/fimmu.2021.764390
- Bhaladhare A., Sharma D., Kumar A. et al. Single nucleotide polymorphisms in Toll-like receptor genes and case-control association studies with bovine tuberculosis // Veter. World. 2016. V. 9. № 5. doi: 10.14202/vetworld.2016.458-464
- Huang L.Y., Aliberti J., Leifer C.A. et al. Heat-killed Brucella abortus induces TNF and IL-12p40 by distinct MyD88-dependent pathways: TNF, unlike IL-12p40 secretion, is Toll-like receptor 2 dependent // J. Immunol. 2003. V. 171. № 3. P. 1441–1446. doi: 10.4049/jimmunol.171.3.1441
- Aggarwal B.B., Kohr W.J., Hass P.E. et al. Human tumor necrosis factor. Production, purification, and characterization // J. Biol. Chem. 1985. V. 260. № 4. P. 2345–2354.
- Pennica D., Nedwin G.E., Hayflick J.S. et al. Human tumour necrosis factor: Precursor structure, expression and homology to lymphotoxin // Nature. 1984. V. 312 (5996). P. 724–729. doi: 10.1038/312724a0
- Agaba M., Kemp S.J., Barendse W., Teale A.J. Polymorphism at the bovine tumor necrosis factor alpha locus and assignment to BTA23 // Mamm. Genome. 1996. V. 7. P. 186−187. doi: 10.1007/s003359900051
- Grosse W.M., Kappes S.M., Laegreid W.W. et al. Single nucleotide polymorphism (SNP) discovery and linkage mapping of bovine cytokine genes // Mamm. Genome. 1999. V. 10. № 11. P. 1062–1069. doi: 10.1007/s003359901162
- Bannerman D.D. Pathogen-dependent induction of cytokines and other soluble inflammatory mediators during intramammary infection of dairy cows // J. Anim. Sci. 2009. V. 87 (13 Suppl.). P. 10–25. doi: 10.2527/jas.2008-1187
- Bradley J.R. TNF-mediated inflammatory disease // J. Pathol. 2008. V. 214. № 2. P. 149–160. doi: 10.1002/path.2287
- Raoofian P., Shoja J., Moghadam G.H., Javanmard A. Association investigation and gene expression in genotypes TNFα with somatic cell score in Holstein Dairy cattle // Iranian J. Veter. Clin. Sci. Fall. 2018. V. 12. № 2. P. 59–134.
- Wojdak-Maksymiec K., Szyda J., Strabel T. Parity-dependent association between TNF-α and LTF gene polymorphisms and clinical mastitis in dairy cattle // BMC Vet. Res. 2013. V. 9. doi: 10.1186/1746-6148-9-114
- Xu A.J., Liu X.L., Guo J.Z., Xia Z. Polymorphism of bovine TNF-a gene and its association with mastitis in Chinese Holstein cows // Yi Chuan. 2010. V. 32. № 9. P. 929–934.
- Bojarojć-Nosowicz B., Kaczmarczyk E., Stachura A., Kotkiewicz M. Polymorphism in the promoter region of the tumor necrosis factor-alpha gene in cattle herds naturally infected and uninfected with the bovine leukemia virus // Polish J. Vet. Sci. 2011. V. 14. № 4. P. 671–673. doi: 10.2478/v10181-011-0101-0
- Lendez P.A., Passucci J.A., Poli M.A. et al. Association of TNF-a gene promoter region polymorphisms in bovine leukemia virus (BLV)-infected cattle with different proviral loads // Arch. of Virology. 2015. V. 160. № 8. P. 2001–2007. doi: 10.1007/s00705-015-2448-5
- Cheng Y., Huang C., Tsai H. Relationship of bovine TNF-α gene polymorphisms with the risk of bovine tuberculosis in Holstein cattle // J. Vet. Med. Sci. 2016. V. 78. № 5. P. 727–732. doi: 10.1292/jvms.15-0506
- Kawasaki Y., Aoki Y., Magata F. et al. The effect of single nucleotide polymorphisms in the tumor necrosis factor-α gene on reproductive performance and immune function in dairy cattle // J. Reprod. and Development. 2014. V. 60. № 3. P. 173–178. doi: 10.1262/jrd.2013-140
- Bimenova Zh.Zh., Makashev Y.K., Turyspayeva Sh.D. et al. The effect of the TNF-α gene alleles in Holstein cows on reproductive function // J. Pharmaceutical Sci. and Res. 2018. V. 10. № 4. P. 903–906.
- Kahl S., Proszkowiec Wegla M.K., Connor E.E., Elsasser T.H. Association of tumor necrosis factor-alpha (TNF-alpha) gene promoter polymorphisms with TNF-alpha response to endotoxin (LPS) in calves // J. Animal Sci. Abstract. 2008. V. 86. P. 195.
- Prebavathy T., Thanislass J., Dhanammal L. et al. Association between SNPs in TLR2 gene segment corresponding to LRR functional domain of TLR2 receptor and bovine mastitis // Asian J. Animal Sci. 2015. V. 9. P. 45–56.
- Oner Y., Ata N., Karabaş M., Yilmaz O. Investigation of TLR2 -EcoRV, NOD2- BsaHI ve IFNγ- HphI allele frequency distribution among Turkish Native Cattle Breeds // Turkish J. Agriculture. Food Sci. and Technol. 2022. V. 10. № 6. P. 992–996. doi: 10.24925/turjaf.v10i6.992-996.4701




