Preparation and Crystallographic Analysis of a Complex of SARS-CoV-2 S-Protein Receptor-Binding Domain with a Virus-Neutralizing Nanoantibody
- Authors: Boyko K.M.1, Varfolomeeva L.A.1, Egorkin N.A.1, Minyaev M.E.2, Alekseeva I.A.3, Favorskaya I.A.3, Ryabova E.I.3, Prokofiev V.V.3, Esmagambetov I.B.3, Shcheblyakov D.V.3, Logunov D.Y.3, Gintsburg A.L.4, Popov V.O.1, Sluchanko N.N.1,3
-
Affiliations:
- Bach Institute of Biochemistry, Federal Research Centre “Fundamentals of Biotechnology,” Russian Academy of Sciences, 119071, Moscow, Russia
- Zelinsky Institute of Organic Chemistry, Russian Academy of Sciences, Moscow, Russia
- Gamaleya National Research Center for Epidemiology and Microbiology, Ministry of Health of the Russian Federation, 123098, Moscow, Russia
- FSBI National Research Centre for Epidemiology and Microbiology named after the honorary academician N.F. Gamaleya of the Ministry of Health of Russia
- Issue: Vol 68, No 6 (2023)
- Pages: 866-873
- Section: STRUCTURE OF MACROMOLECULAR COMPOUNDS
- URL: https://journal-vniispk.ru/0023-4761/article/view/231804
- DOI: https://doi.org/10.31857/S0023476123600830
- EDN: https://elibrary.ru/XOAIEU
- ID: 231804
Cite item
Full Text
Abstract
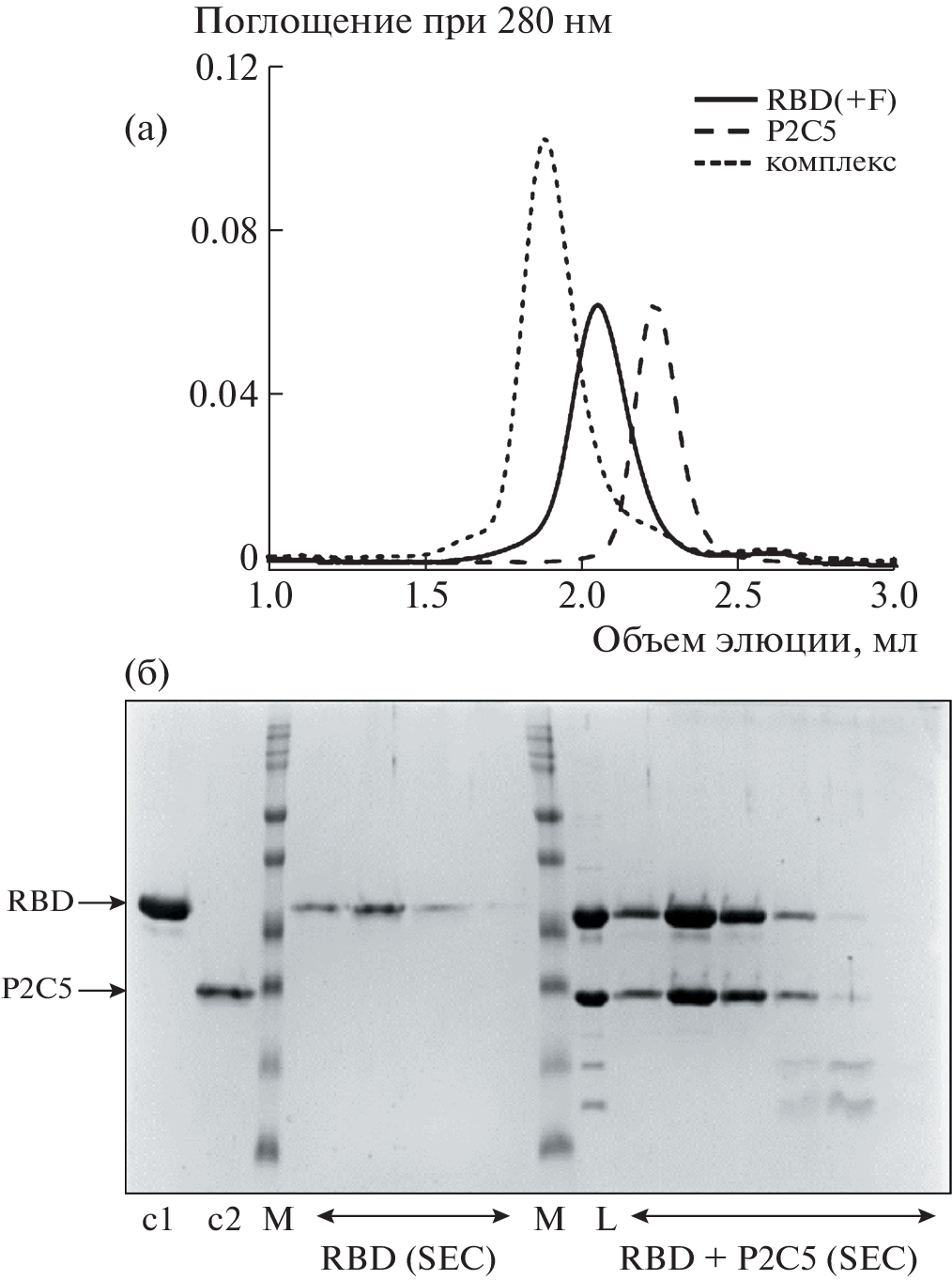
Coronavirus SARS-CoV-2 was the cause of global pandemic COVID-19 that has claimed millions of lives around the world. One of the approaches to the therapy of severe forms of COVID-19 is based on the use of virus-neutralizing antibodies against the receptor-binding domain (RBD) of the virus spike glycoprotein (S). Detailed structural data on particular epitopes recognized by these virus-neutralizing antibodies is an important aspect of the improvement of available antibodies in order to extend the range of recognized virus strains. A stoichiometric complex of the virus-neutralizing single-domain antibody P2C5 and the glycosylated form of SARS-CoV-2 S protein RBD was obtained. Despite numerous conditions in which the crystal growth of the complex was observed, these crystals showed poor diffraction, apparently because of heterogeneity associated with the glycosylation of RBD. With the aim of improving the crystal quality, deglycosylase PNGase F was produced in a bacterial expression system and deglycosylation of RBD was performed. Despite low solubility of the deglycosylated form of RBD, it retains the ability to bind to the nanoantibody P2C5, resulting in the formation of a stable heterodimeric complex during gel filtration. The crystals of this complex were obtained. They showed diffraction to a similar resolution of ~4 Å on a laboratory X-ray diffractometer and at a synchrotron radiation source. The symmetry space group, the unit cell parameters of the crystal, and its protein composition were determined.
About the authors
K. M. Boyko
Bach Institute of Biochemistry, Federal Research Centre “Fundamentals of Biotechnology,” Russian Academy of Sciences, 119071, Moscow, Russia
Email: kmb@inbi.ras.ru
Россия, Москва
L. A. Varfolomeeva
Bach Institute of Biochemistry, Federal Research Centre “Fundamentals of Biotechnology,” Russian Academy of Sciences, 119071, Moscow, Russia
Email: nikolai.sluchanko@mail.ru
Россия, Москва
N. A. Egorkin
Bach Institute of Biochemistry, Federal Research Centre “Fundamentals of Biotechnology,” Russian Academy of Sciences, 119071, Moscow, Russia
Email: nikolai.sluchanko@mail.ru
Россия, Москва
M. E. Minyaev
Zelinsky Institute of Organic Chemistry, Russian Academy of Sciences, Moscow, Russia
Email: mminyaev@ioc.ac.ru
Россия, Москва
I. A. Alekseeva
Gamaleya National Research Center for Epidemiology and Microbiology, Ministry of Health of the Russian Federation, 123098, Moscow, Russia
Email: nikolai.sluchanko@mail.ru
Россия, Москва
I. A. Favorskaya
Gamaleya National Research Center for Epidemiology and Microbiology, Ministry of Health of the Russian Federation, 123098, Moscow, Russia
Email: nikolai.sluchanko@mail.ru
Россия, Москва
E. I. Ryabova
Gamaleya National Research Center for Epidemiology and Microbiology, Ministry of Health of the Russian Federation, 123098, Moscow, Russia
Email: nikolai.sluchanko@mail.ru
Россия, Москва
V. V. Prokofiev
Gamaleya National Research Center for Epidemiology and Microbiology, Ministry of Health of the Russian Federation, 123098, Moscow, Russia
Email: nikolai.sluchanko@mail.ru
Россия, Москва
I. B. Esmagambetov
Gamaleya National Research Center for Epidemiology and Microbiology, Ministry of Health of the Russian Federation, 123098, Moscow, Russia
Email: nikolai.sluchanko@mail.ru
Россия, Москва
D. V. Shcheblyakov
Gamaleya National Research Center for Epidemiology and Microbiology, Ministry of Health of the Russian Federation, 123098, Moscow, Russia
Email: nikolai.sluchanko@mail.ru
Россия, Москва
D. Yu. Logunov
Gamaleya National Research Center for Epidemiology and Microbiology, Ministry of Health of the Russian Federation, 123098, Moscow, Russia
Email: nikolai.sluchanko@mail.ru
Россия, Москва
A. L. Gintsburg
FSBI National Research Centre for Epidemiology and Microbiology named after the honorary academician N.F. Gamaleya of the Ministry of Health of Russia
Email: gintsburg@gamaleya.org
ORCID iD: 0000-0003-1769-5059
Gintsburg, Alexander Leonidovich - Ph.D., D.Sci. (Biol.), Academician of RAS, Director-in-chief.
123098, Moscow
Russian Federation, Россия, МоскваV. O. Popov
Bach Institute of Biochemistry, Federal Research Centre “Fundamentals of Biotechnology,” Russian Academy of Sciences, 119071, Moscow, Russia
Email: nikolai.sluchanko@mail.ru
Россия, Москва
N. N. Sluchanko
Bach Institute of Biochemistry, Federal Research Centre “Fundamentals of Biotechnology,” Russian Academy of Sciences, 119071, Moscow, Russia; Gamaleya National Research Center for Epidemiology and Microbiology, Ministry of Health of the Russian Federation, 123098, Moscow, Russia
Author for correspondence.
Email: nikolai.sluchanko@mail.ru
Россия, Москва; Россия, Москва
References
- Meo S.A., Bukhari I.A., Akram J. et al. // Eur. Rev. Med. Pharmacol. Sci. 2021. V. 25 (3). P. 1663. https://doi.org/10.26355/eurrev_202102_24877
- Kevinkumar K., Parmar D., Mendiratta S.K. et al. // Clin Infect Dis. 2021. V. 73 (9). P. e2722. https://doi.org/10.1093/cid/ciaa779
- Hammitt L.L., Dagan R., Yuan Y. et al. // N. Engl. J. Med. 2022. V. 386 (9). P. 837. https://doi.org/10.1056/NEJMoa2110275
- Mulangu S., Dodd L.E., Davey R.T.Jr. et al. // N. Engl. J. Med. 2019. V. 381 (24). P. 2293. https://doi.org/10.1056/NEJMoa1910993
- Komori M., Nogimori T., Morey A.L. et al. // Nat. Commun. 2023. V. 14 (1). P. 2810. https://doi.org/10.1038/s41467-023-38457-x
- Piccoli L., Park Y.-J., Tortorici M.A. et al. // Cell. 2020. V. 183 (4). P. 1024. https://doi.org/10.1016/j.cell.2020.09.037
- Favorskaya I.A., Shcheblyakov D.V., Esmagambetov I.B. et al. // Front. Immunol. 2022. V. 13. P. 822159. https://doi.org/10.3389/fimmu.2022.822159
- Esmagambetov I.B., Ryabova E.I., Derkaev A.A. et al. // Front. Immunol. 2023. V. 14. P. 1129245. https://doi.org/10.3389/fimmu.2023.1129245
- Деркаев А.А., Рябова Е.И., Прокофьев В.В. и др. // БИОпрепараты. Профилактика, диагностика, лечение. 2023. Т. 23 (1). С. 76. https://doi.org/10.30895/2221-996X-2022-450
- Evans P.R., Murshudov G.N. // Acta Cryst. D. 2013. V. 69 (Pt 7). P. 1204. https://doi.org/10.1107/S0907444913000061
- Winter G., Waterman D.G., Parkhurst J.M. et al. // Acta Cryst. D. 2018. V. 74 (Pt 2). P. 85. https://doi.org/10.1107/S2059798317017235
- Winn M.D., Ballard C.C., Cowtan K.D. et al. // Acta Cryst. D. 2011. V. 67. P. 235. https://doi.org/10.1107/S0907444910045749
- Mesters J.R., Hilgenfeld R. // Cryst. Growth Des. 2007. V. 7 (11). P. 2251. https://doi.org/10.1021/cg7006843
- Jumper J., Evans R., Pritzel A. et al. // Nature. 2021. V. 596 (7873). P. 583. https://doi.org/10.1038/s41586-021-03819-2
Supplementary files







