State of Cyanobacteria Arthrospira platensis and of Associated Microflora during Long-Term Storage in the State of Anhydrobiosis
- Авторлар: Kharchuk I.A.1, Rylkova O.A.1, Beregovaya N.M.1
-
Мекемелер:
- Kovalevsky Institute of Biology of the Southern Seas, Russian Academy of Sciences
- Шығарылым: Том 92, № 1 (2023)
- Беттер: 31-41
- Бөлім: EXPERIMENTAL ARTICLES
- URL: https://journal-vniispk.ru/0026-3656/article/view/138164
- DOI: https://doi.org/10.31857/S002636562210024X
- EDN: https://elibrary.ru/NMNLXB
- ID: 138164
Дәйексөз келтіру
Толық мәтін
Аннотация
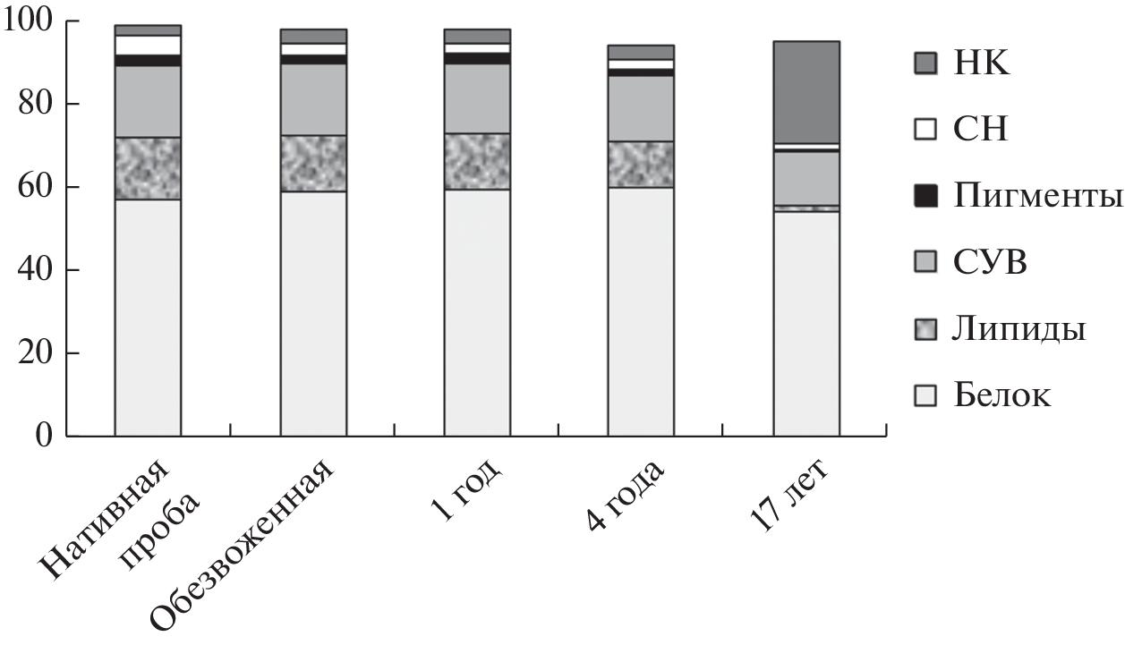
Abstract—The biochemical composition of Arthrospira (Spirulina) platensis (Nordstedt) Gomont after long-term storage in the state of anhydrobiosis (4 years, 17 years) was determined by the standard methods. It was shown that protein content (55.3–61.2%) and total carbohydrates content (13.0–15.6%) in cyanobacterial cells were in agreement with the data known from the literature and with our results obtained at the onset of storage. The biomass had low content of free nucleotides (1.8–2.6%), lipids (1.3–11.0%), and especially pigments (0.5–1.3, 0.03–0.12, 1.4–2.0, 0.03–0.05% for chlorophyll a, carotenoids, C-phycocyanin, and allophycocyanin, respectively). The content of nucleic acids content was 3.1–24.0 and 0.11–0.16% for RNA and DNA, respectively. Microscopic examination of A. platensis (17 years of storage) showed high numbers of irreversibly damaged and dead cells (34.2 and 65.8%, respectively). To determine the quantitative and morphological parameters of associated microflora, a complex physicochemical treatment (methanol, ultrasound, and centrifugation) of the reactivated cyanobacterial suspension proved the most efficient. Three main groups were distinguished in the morphological structure of the microbiome (rod-shaped, rounded, and convoluted forms). The community was dominated by rod-shaped forms: large and small rods accounted for 60.5 and 14.4%, respectively. Mycelial forms (thin filaments), cocci, and convoluted forms were less common. On average, the volume of a bacterial cell was 0.27 ± 0.04 µm3. The contribution of bacteria to the biomass of A. platensis varied from 3.3 to 11.3% (8.3 ± 4.4% on average) of the dry weight of A. platensis. It has been suggested that the biochemical parameters and viability of cyanobacteria were affected by the accompanying microflora.
Авторлар туралы
I. Kharchuk
Kovalevsky Institute of Biology of the Southern Seas, Russian Academy of Sciences
Email: ol.rylkova@yandex.ru
Russia, 299011, Sevastopol
O. Rylkova
Kovalevsky Institute of Biology of the Southern Seas, Russian Academy of Sciences
Хат алмасуға жауапты Автор.
Email: ol.rylkova@yandex.ru
Russia, 299011, Sevastopol
N. Beregovaya
Kovalevsky Institute of Biology of the Southern Seas, Russian Academy of Sciences
Email: ol.rylkova@yandex.ru
Russia, 299011, Sevastopol
Әдебиет тізімі
- Агатова А.И. Руководство по современным биохимическим методам исследования водных экосистем, перспективных для промысла и марикультуры. М.: Изд-во ВНИРО, 2004. 123 с.
- Бекер М.Е., Дамберг Б.Э., Рапопорт А.И. Анабиоз микроорганизмов. Рига: Зинатне, 1981. 252 с.
- Гевориз Р.Г., Нехорошев М.В. Количественное определение массовой доли С-фикоцианина и аллофикоцианина в сухой биомассе Spirulina (Arthrospira) platensis North. Geitl. Холодная экстракция, Севастополь 2017 // Электронный ресурс https://repository.marine-research.org/handle/299011/46 (дата обращения 19.10.2021).
- Копытов Ю.П., Дивавин И.А., Цымбал И.М. Схема комплексного биохимического анализа гидробионтов // “Рациональное использование ресурсов моря – важный вклад в реализацию продовольственной программы”: материалы конф. ИнБЮМ АН УССР. Севастополь, 1985. Т. 4.2. С. 227–231. Деп. в ВИНИТИ 16.04.85, № 2556-85.
- Мейсель М.Н., Медведева Г.А., Алексеева В.М. О выявлении живых, поврежденных и мертвых микроорганизмов // Микробиология. 1961. Т. 30. С. 855–862.
- Рауэн Т.В., Ханайченко А.Н., Муханов В.С. Влияние микроводорослей и их фильтратов на численность бактерий в среде выращивания камбалы калкана // Морской экологический журн. 2011. Т. 10. № 3. С. 48‒56.
- Рылькова О.А., Гулин С.Б., Пименов Н.В. Определение общей численности микроорганизмов в донных осадках Черного моря методом проточной цитометрии // Микробиология. 2019. Т. 88. С. 685‒694.
- Rylkova O.A., Gulin S.B., Pimenov N.V. Determination of the total microbial abundance in Black Sea bottom sediments using flow cytometry // Microbiology (Moscow). 2019. V. 88. P. 700‒708.
- Сиренко Л.А., Сакевич А.И., Осипович Л.Ф. Методы физиолого-биохимического исследования водорослей в гидробиологической практике. Киев: Наукова думка, 1975. 247 с.
- Слизень В.В., Кирильчик Е.Ю., Шабан Ж.Г., Черношей Д.А., Канашкова Т.А. Лабораторный практикум по общей микробиологии. 5-е изд. Минск: БГМУ, 2020. 80 с.
- Спирин А.С. Спектрофотометрическое определение суммарного количества нуклеиновых кислот // Биохимия. 1958. Т. 23. С. 656–662.
- Стадничук И.Н. Фикобилипротеины. Итоги науки и техники. Сер. Биол. химия. М. ВИНИТИ, 1990. Т. 40. 196 с.
- Тархова Э.П. Микроорганизмы, сопутствующие Spirulina platensis в накопительной питательной культуре // Экология моря. 2005. Вып. 70. С. 49‒52.
- Харчук И.А. Влияние длительности хранения на жизнеспособность клеток Spirulina platensis (Nordst.) в состоянии ангидробиоза // Экология моря. 2007. Вып. 74. С. 80–83.
- Харчук И.А. Динамика компонентов биохимического состава Spirulina platensis Nords. при ангидробиозе // Экология моря. 2008. Вып. 76. С. 67‒71.
- Харчук И.А. Способ длительного хранения микроводорослей. RU 2541452 C1 от 10.02.2015.
- Харчук И.А. Динамика жизнеспособности и компонентов биохимического состава Arthrospira (Spirulina) platensis (Nords) Gomont в зависимости от температуры дегидратации при переводе в состояние ангидробиоза // Вопросы современной альгологии. 2018. № 1(16). http://algology.ru/1258
- Шлегель Г. Общая микробиология. М.: Мир, 1987. 566 с.
- Bratbak G., Kemp P.F., Sherr B.F., Sherr E.B., Cole J.J. Microscope methods for measuring bacterial biovolume: Epifluorescence microscopy, scanning electron microscopy, and transmission electron microscopy // Handbook of Methods in Aquatic Microbial Ecology / Eds. Cole J.J. Boca Raton: CRC Press, 1993. Ch. 36. P. 309–317. https://doi.org/10.1201/9780203752746
- Ciferri O. Spirulina, the edible microorganism // Microbiol. Rev. 1983. V. 47. P. 551‒578.
- Falquet J., Hurni J.P. Spiruline Aspects Nutritionnels. Antenna Technologies, 2006. 41 p.
- Faucher O., Coupal B., Leduy A. Utilization of scawater – urea as a culture medium for Spirulina maxima // Can. J. Microbiol. 1979. V. 25. P. 752.
- Kallmeyer J., Smith D.C., Spivac A.J., D’Hondt S. New cell extraction procedure applied to deep subsurface sediments // Limnol. Oceanogr. Methods. 2008. V. 6. P. 236–245.
- Kannaujiya V.K., Sinha R.P. Thermokinetic stability of phycocyanin and phycoerythrin in food-grade preservatives // J. Appl. Phycol. 2016. V. 28. P. 1063–1070. https://doi.org/10.1007/s10811-015-0638-x
- Liu Q., Huang Y., Zhang R., Cai T., Cai Y. Medical application of Spirulina platensis derived C-phycocyanin // Evid. Based Complement. Alternat. Med. 2016. V. 2016. 14 p. Art. 7803846. https://doi.org/10.1155/2016/7803846
- Lowry O.H., Rosebrough N.J., Farr A.L., Randall R.J.P. Protein measurement with folin phenol reagent // J. Biol. Chem. 1951. V. 193. P. 265–275.
- Lunau M., Lemke A., Walther K., Martens-Habbena W., Simon M. An improved method for counting bacteria from sediments and turbid environments by epifluorescence microscopy // Environ. Microbiol. 2005. V. 7. P. 961–968.
- Mogale M. Identification and quantification of bacteria associated with cultivated Spirulina and impact of physiological factors. University of Cape Town, 2016. http://hdl.handle.net/11427/22921
- Nalage D., Khedkar G., Kalyankar A., Sarkate A., Ghodke S., Bedre V.B., Khedkar C.D. Single cell proteins // The Encyclopedia of Food and Health / Eds. Caballero B., Finglas P., Toldra F. London, UK: Oxford, Academic Press, 2016. V. 4. P. 790‒794.
- Rowan K.S. Photosynthetic Pigments of Algae. Cambridge: Cambridge Univ. Press, 1989. 334 p.
- Vardaka E., Kormas K.A., Katsiapi M., Genitsaris S., Moustaka-Gouni M. Molecular diversity of bacteria in commercially available “Spirulina” food supplements // PeerJ. 2016. V. 4. P. 1610.
- Velji M.I., Albright L.J. Microscopic enumeration of attached marine bacteria of seawater, marine sediment, fecal matter and kelp blade samples following pyrophosphate and ultrasound treatments // Can. J. Microbiol. 1986. V. 32. P. 121–126.
- Vonshak A. (ed.) Spirulina platensis (Arthrospira). Physiology, Cell-Biology and Biotechnology. CRC Press, 1997. 233 p.
Қосымша файлдар







