Identification of Electron Transfer in the System of Ferredoxins and Ferredoxin Reductases from Mycolicibacterium smegmatis
- Authors: Epiktetov D.O.1, Karpov M.V.1, Donova M.V.1
-
Affiliations:
- Skryabin Institute of Biochemistry and Physiology of Microorganisms, Pushchino Scientific Center for Biological Research, Russian Academy of Sciences, Federal Research Center
- Issue: Vol 93, No 2 (2024)
- Pages: 133-138
- Section: SHORT COMMUNICATIONS
- URL: https://journal-vniispk.ru/0026-3656/article/view/262487
- DOI: https://doi.org/10.31857/S0026365624020062
- ID: 262487
Cite item
Full Text
Abstract
Steroid-26-monooxygenases belong to the cytochrome P450 superfamily and function as part of three-component systems together with ferredoxins and ferredoxin reductases providing electron transport. The P450-dependent redox partners of the actinobacterial strain Mycolicibacterium smegmatis mc2155 were investigated. The genes encoding mycolibacterial ferredoxins (FdxD and FdxE) and ferredoxin reductases (FdrA and FprA) were overexpressed in E. coli cells. A scheme for isolation and purification of synthesized recombinant proteins using affinity chromatography was developed, resulting in electrophoretically homogeneous preparations. Spectral analysis of ferredoxin reductase showed absorption peaks characteristic of FAD-containing proteins. The reaction of cytochrome c reduction using recombinant proteins was carried out, demonstrating that FdxD, FdxE, FdrA, and FprA can act as components of electron transport from the reducing equivalents of NAD(P)H.
Full Text
Бактериальное окисление стероидных соединений имеет фундаментальный интерес и несет практическую значимость. С одной стороны, способность к поглощению холестерина патогенными микобактериями определяет их вирулентные свойства (Wilburn et al., 2018). С другой стороны, сапротрофные актинобактерии могут быть использованы в качестве биокатализаторов для получения фармацевтически важных стероидных субстанций и их интермедиатов (Fernandez-Cabezon et al., 2016; Tekucheva et al., 2022; Donova, 2023).
Ключевыми ферментами стероидного катаболизма являются стероид-26-монооксигеназы CYP125 и CYP142, принадлежащие к суперсемейству цитохромов P450. Они катализируют гидроксилирование терминального атома углерода (C26 или C27) боковой цепи стерина, инициируя его дальнейшую деструкцию (Garcia-Fernandez et al., 2013, Ortega Ugalde et al., 2018). Цитохромы P450 бактериального типа функционируют в составе трехкомпонентных ферментных систем совместно с окислительно-восстановительными партнерами: железо-серным белком ферредоксином и ФАД-содержащей ферредоксинредуктазой, которые осуществляют перенос необходимых для реакции гидроксилирования электронов от соответствующих восстановительных эквивалентов НАД(Ф)H (Hannemann et al., 2007; Ortega Ugalde et al., 2018). Данные об активности актинобактериальных P450-зависимых стероид-C26-монооксигеназ показывают, что при организации электронного транспорта с помощью “суррогатных” редокс-партнеров в реакциях in vitro наряду с гидроксилированием холестерина наблюдается дальнейшее окисление спиртовой группы с образованием С26-карбоновой кислоты (Garcia-Fernandez et al., 2013). Напротив, в случае цитохромов P450 M. tuberculosis H37Rv использование нативных ферредоксинов (FdxD, FdxE) и ферредоксинредуктаз (FdrA, FprA) позволило оценить специфику оксифункционализации боковой цепи стерина и определить оптимальный для осуществления реакции набор компонентов ферментной системы (Ortega Ugalde et al., 2018).
Благодаря данным о геномике и протеомике, штамм Mycolicibacterium smegmatis mc2155 (syn. Mycobacterium smegmatis mc2155) (Snapper et al., 1990; Gupta et al., 2018) представляется удобным объектом при изучении стероидного катаболизма (Garcia et al., 2012) и имеет биотехнологический потенциал в качестве платформы при биоинженерии продуцентов гидроксистероидов (Fernandez-Cabezon et al., 2016; Karpov et al., 2022). M. smegmatis характеризуются наличием как минимум трех стероид-26-гидроксилаз: CYP142A2, CYP125A3 и CYP125A4 (Garcia-Fernandez et al., 2013). В аннотированных геномах M. smegmatis mc2155 (GenBank: CP000480.1; CP001663.1) предсказано наличие ряда генов, кодирующих как ферредоксинредуктазы, так и P450-зависимые ферредоксины, один из которых (fdxD, MSMEG_5904, MSMEI_5744) расположен в генном кластере, ответственном за метаболизм боковой цепи стеринов. Показано, что электрон-транспортные системы M. smegmatis способны поддерживать не только собственные, но и гетерологичные бациллярные цитохромы P450 CYP106A1 и CYP106A2 для реализации их гидроксилирующей активности (Karpov et al., 2022). Актуальными задачами остаются поиск и изучение подобных систем.
Целью настоящей работы явилось выявление потенциальных редокс-партнеров цитохромов P450 и верификация электронного транспорта, организованного с использованием ферредоксинов и ферредоксинредуктаз актинобактериального штамма M. smegmatis mc2155.
В работе использовали следующие материалы и реактивы: канамицин, изопропил-β-D-тиогалактопиранозид (ИПТГ) и имидазол (“Thermo Fisher Scientific”, США); цитохром c и дитиотреитол (ДТТ) (“Sigma-Aldrich”, США); Трис(гидроксиметил)аминометан (Трис), глицин, бактоагар, триптон и дрожжевой экстракт (“Panreac”, Испания). Остальные использованные в работе реактивы были отечественного производства (Россия), квалификации х. ч. или ч. д. а.
Штамм M. smegmatis mc2155 был любезно предоставлен доктором Elke Noens (EMBL, Hamburg Outstation, Hamburg, Германия) и поддерживался на среде M3 (Karpov et al., 2022). Бактерии E. coli DH5α и E. coli BL21 Star (DE3) (“Thermo Fisher Scientific”, США) выращивали на среде LB (Bertani, 1951). Для селекции трансформантов E. coli использовали канамицин (50 мкг/мл).
ДНК-последовательности генов fdxD (MSMEI_5744), fdxE (MSMEI_2499), fdrA (MSMEI_ 1381) и fprA (MSMEI_2039) были амплифицированы с хромосомной матрицы M. smegmatis mc2155 с помощью ДНК-полимеразы Q5-HF (“NEB”, Великобритания) и соответствующих пар фланкирующих олигонуклеотидных праймеров, кодирующих рестрикционные сайты NdeI и HindIII. Каждый ген был клонирован с использованием E. coli DH5α в векторе pET28a по сайтам рестрикции NdeI и HindIII (“Thermo Fisher Scientific”, США) под контролем промотора фага T7. Наличие вставки контролировали рестрикционным анализом, последовательности валидировали секвенированием. Плазмидные конструкции были использованы для трансформации клеток E. coli BL21 Star (DE3) методом теплового шока.
Трансформированные E. coli BL21 Star (DE3) культивировали в колбах Эрленмейера в 100 мл богатой питательной среды TB (Tartoff, Hobbs, 1987) (37C, 200 об./мин) до достижения оптической плотности OD600 0.6‒0.8. Индукцию экспрессии осуществляли внесением ИПТГ (0.5 ммоль/л), после чего продолжали культивировать при 22C в течение 20 ч. Для корректного фолдинга и формирования железо-серных центров синтезируемых ферредоксинов FdxD и FdxE в соответствующие культуры дополнительно вносили FeCl3 (50 мкмоль/л) и FeSO4 (50 мкмоль/л).
Биомассу индуцированных ИПТГ рекомбинантных E. coli осаждали центрифугированием (3000 g, 4C, 30 мин) и на ультразвуковом дезинтеграторе Q500 (“Qsonica”, США). В полученный гомогенат вносили 100 Ед. ДНКазы I (“Sigma-Aldrich”, США), клеточные остатки отделяли центрифугированием (25000 g, 4C, 75 мин), надосадочную жидкость фильтровали (диаметр пор 0.2 мкм). Очистку рекомбинантных белков проводили методом металл-хелатной жидкостной колоночной хроматографии на Ni-NTA агарозе с использованием колонки Bio-Scale Mini Nuvia IMAC (“Biorad”, США). Бесклеточный экстракт вносили в буферном растворе А: калий-фосфатный буфер (50 ммоль/л), рН 7.4; ДТТ (0.25 ммоль/л); имидазол (20 ммоль/л); глицерин (10%, об.). Ступенчатый градиент проводили с использованием буферного раствора Б: калий-фосфатный буфер (50 ммоль/л), рН 7.4; ДТТ (0.25 ммоль/л), имидазол (300 ммоль/л); глицерин (10%, об.).
Белки детектировали электрофоретически в 16- и 12% полиакриламидном геле в денатурирующих условиях с использованием Трис-Трицинового (в случае ферредоксинов) и Трис-Глицинового (в случае ферредоксинредуктаз) разделяющих буферных растворов, соответственно.
Детекцию простетической группы в составе препаратов очищенных ферредоксинредуктаз осуществляли спектрофотометрически по данным спектров оптического поглощения. Трехмерное моделирование in silico осуществляли с использованием сервисов IntFold 7, 3D-Mol Viewer 10.3.0 и Geneious 4.8.5.
Функциональную активность рекомбинантных белков определяли in vitro по их способности осуществлять восстановление цитохрома с в четырех системах транспорта электронов: FdrA-FdxE, FdrA-FdxD, FprA-FdxE и FprA-FdxD. В качестве источников электронов использовали соответствующие кофакторы: НАДH для FdrA и НАД(Ф)H для FprA. Состав реакционной смеси (1 мл): цитохром с (20 мкмоль/л), FdrA или FprA (5 мкмоль/л), FdxE или FdxD (2.5 мкмоль/л), калий-фосфатный буфер (50 ммоль/л), pH 7.4. Реакцию инициировали добавлением соответствующего кофактора НАД(Ф)H (1 ммоль/л) и инкубировали при температуре 30C в течение 10 мин. Восстановление цитохрома с детектировали по изменению оптического поглощения при длине волны 550 нм.
Согласно приведенным данным (Ortega Ugalde et al., 2018) в клетках M. tuberculosis H37Rv функцию передачи электронов от восстановительных эквивалентов к микобактериальным стероидным P450-монооксигеназам выполняют ферредоксины FdxD (ген Rv3503c) и FdxE (ген Rv1786). Они же, в свою очередь, в равной степени принимают электроны от ФАД-содержащих ферредоксинредуктаз: НАДH-зависимой FdrA (ген Rv0688) и НАД(Ф)H-зависимой FprA (ген Rv3106). Основываясь на биоинформатическом анализе, у бактерий M. smegmatis mc2155 были выявлены ортологичные ферредоксины и ферредоксинредуктазы, имеющие высокую степень гомологии с белками M. tuberculosis:
‒ FdxD (ген MSMEI_5744, 192 пар нуклеотидов (п. н.)) — 63 аминокислотных остатка (а. о.), 6.976 кДа, ~81% идентичности последовательности аминокислот (ИПА) с FdxD M. tuberculosis H37Rv;
‒ FdxE (ген MSMEI_2499, 192 п. н.) — 63 а. о., 7.087 кДа, ~30% ИПА с FdxE M. tuberculosis H37Rv, ~41% ИПА с FdxD M. smegmatis mc2155;
‒ НАДH-зависимая FdrA (ген MSMEI_ 1381, 1188 п. н.) — 395 а. о., 41.922 кДа, ~74% ИПА с FdrA M. tuberculosis H37Rv;
‒ НАД(Ф)H-зависимая FprA (ген MSMEI_2039, 1368 п. н.) — 455 а. о., 49.471 кДа, ~74% ИПА с FprA M. tuberculosis H37Rv.
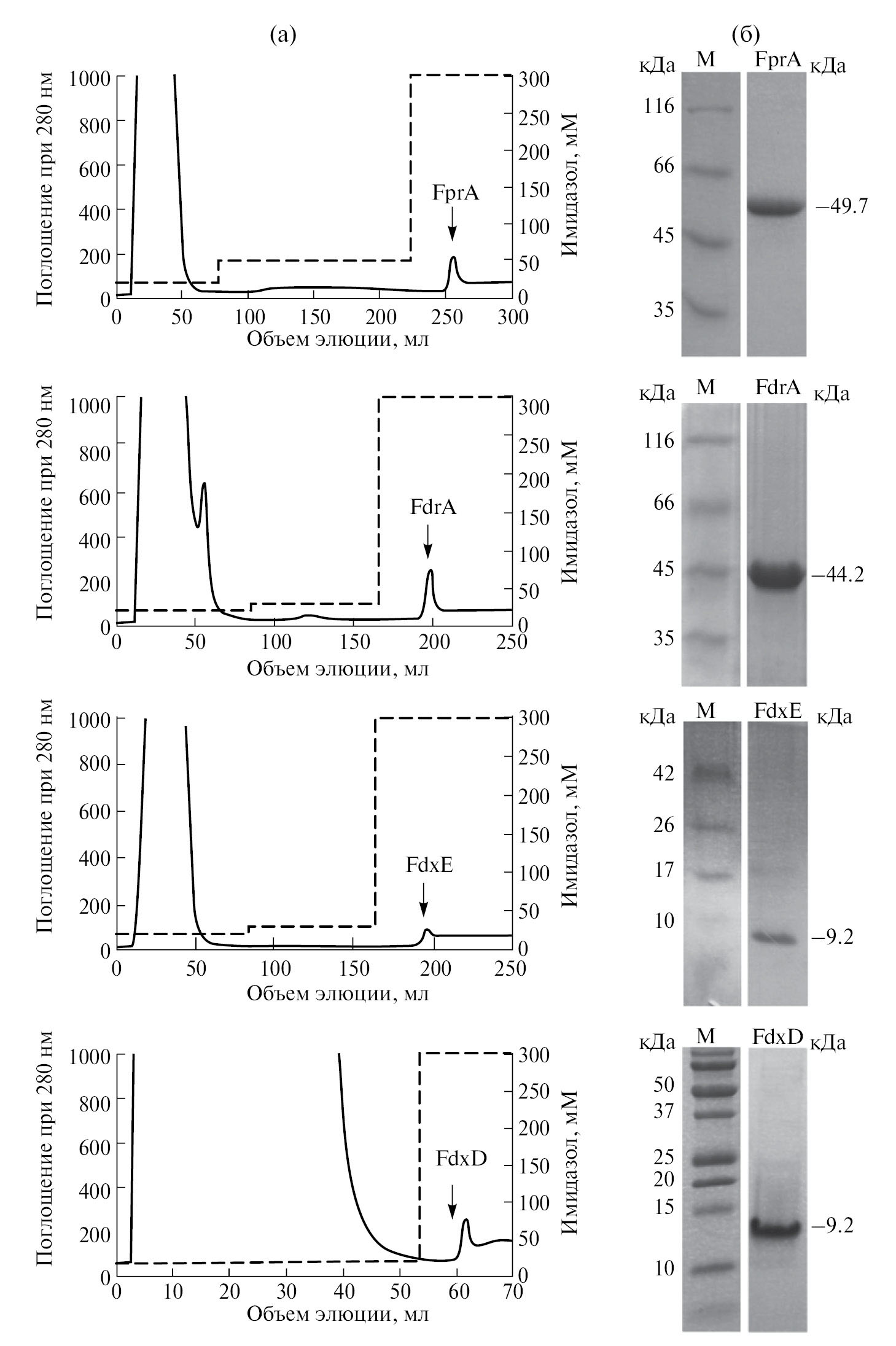
Гены были клонированы в векторе pET28a для последующей экспрессии в клетках E. coli. Анализ показал высокий уровень синтеза рекомбинантных белков. Выход чистых препаратов рекомбинантных белков на 1 л культуральной среды составил 6.6 и 15.5 мг/л для ферредоксинов (FdxE и FdxD), 16 и 26 мг/л для НАД(Ф)H-зависимых ферредоксинредуктаз (FprA и FdrA), соответственно. Наличие полигистидиновой метки (6xHis) позволило осуществить очистку синтезируемых ферредоксинов и ферредоксинредуктаз методом аффинной хроматографии с использованием Ni-NTA агарозы. Была разработана общая схема очистки, предполагающая одноступенчатую элюцию белков (рис. 1а).
Рис. 1. Очистка белков с использованием Ni-NTA агарозы: (а) ‒ хроматограммы очистки FdxE, FdxD, FprA и FdrA. Стрелками обозначены пики элюции. Сплошная линия — поглощение при 280 нм, пунктирная линия — концентрациия имидазола. (б) ‒Электрофореграммы белковых препаратов FprA, FdrA, FdxE и FdxD. М — маркер молекулярных масс.
При концентрации имидазола 30–50 ммоль/л удалось избавиться от балластных и не связавшихся с носителем белков. Пики поглощения элюируемых белков наблюдались при увеличении концентрации имидазола до 300 ммоль/л. Данный подход позволил получить электрофоретически гомогенные препараты FdxE, FdxD, FprA и FdrA (рис 1б). Маркированные полигистидиновой меткой ферредоксины детектируются на электрофореграмме в области чуть более крупных белков (более 10 кДа), тогда как расчетная масса составляла порядка 9.2 кДа (рис. 1б). Это явление согласуется с литературными данными о том, что низкомолекулярные ферредоксины актинобактерий могут проявлять подобные свойства (Ortega Ugalde et al., 2018; Lu et al., 2017). Белковые продукты, обнаруженные на электрофореграмме, соответствовали рассчитанным молекулярным массам 6xHis-FdrA (44.2 кДа) и 6xHis-FprA (51.6 кДа).
Микобактериальные ферредоксинредуктазы являются ФАД-содержащими белками (Fischer et al., 2002). Присутствие данной простетической группы было предсказано ранее в рамках автоматической аннотации используемых белковых последовательностей FdrA и FprA и наглядно демонстрируется с использованием 3D-моделирования (рис. 2а, 2б).
Рис. 2. Анализ структуры и активности рекомбинантных белков: 3D-модели белков FdrA (а) и FprA (б). Спектры поглощения FdrA и FprA (в): 1 — ФАД, 2 — FprA, 3 — FdrA. Скорость восстановления цитохрома с редокс-парами при 550 нм (г): 1 — FdrA-FdxD, 2 — FprA-FdxD, 3 — FprA-FdxE, 4 — FdrA-FdxE.
Спектральный анализ показал наличие пика оптического поглощения в области излучения при 450 нм, характерного для нековалентно связанного ФАД, для каждого из препаратов FdrA и FprA (рис. 2в). Этот факт свидетельствует о сохранении структурной целостности получаемых ферредоксинредуктаз.
В реакции in vitro выявлено стабильное изменение окраски цитохрома c при тестировании всех используемых пар FdrA-FdxE, FprA-FdxE, FdrA-FdxD и FprA-FdxD, позволяющее утверждать, что рекомбинантные белки сохраняют свою активность и могут выступать в качестве редокс-партнеров при восстановлении цитохромов (рис. 2г). При этом организация электронного транспорта посредством совместного использования FdrA и FdxD представляется наиболее предпочтительной.
Таким образом, в данной работе получены суперпродуценты микобактериальных редокс-партнеров: НАД(Ф)H-зависимых ферредоксинредуктаз (FdrA и FprA) и железосодержащих ферредоксинов (FdxD и FdxE). Bсе исследуемые белки были получены в растворимой форме в виде электрофоретически гомогенных препаратов путем их очистки из бесклеточных экстрактов методом аффинной хроматографии с использованием Ni-NTA агарозы. Для ферредоксинредуктаз были определены спектры поглощения, соответствующие ФАД-содержащим белкам. Расположение простетических групп наглядно продемонстрировано с использованием 3D-моделирования белковых структур. В реакции in vitro восстановления цитохрома с с использованием рекомбинантных препаратов показан транспорт электронов от восстановительных эквивалентов НАД(Ф)H. Результаты позволяют предположить участие миколицибактериальных FdxD, FdxE, FdrA и FprA в качестве редокс-партнеров цитохромов Р450.
ФИНАНСИРОВАНИЕ РАБОТЫ
Работа выполнена при финансовой поддержке Российского научного фонда (грант № 21-64-00024).
СОБЛЮДЕНИЕ ЭТИЧЕСКИХ СТАНДАРТОВ
Настоящая статья не содержит результатов исследований с использованием животных в качестве объектов.
КОНФЛИКТ ИНТЕРЕСОВ
Авторы заявляют, что у них нет конфликта интересов.
About the authors
D. O. Epiktetov
Skryabin Institute of Biochemistry and Physiology of Microorganisms, Pushchino Scientific Center for Biological Research, Russian Academy of Sciences, Federal Research Center
Author for correspondence.
Email: epiktetoff@gmail.com
Russian Federation, Pushchino, 142290
M. V. Karpov
Skryabin Institute of Biochemistry and Physiology of Microorganisms, Pushchino Scientific Center for Biological Research, Russian Academy of Sciences, Federal Research Center
Email: epiktetoff@gmail.com
Russian Federation, Pushchino, 142290
M. V. Donova
Skryabin Institute of Biochemistry and Physiology of Microorganisms, Pushchino Scientific Center for Biological Research, Russian Academy of Sciences, Federal Research Center
Email: epiktetoff@gmail.com
Russian Federation, Pushchino, 142290
References
- Bertani G. Studies on Lysogenesis I. The mode of phage liberation by lysogenic Escherichia coli // J. Bacteriol. 1951. V. 62. P. 293–300.
- Donova M.V. Current Trends and Perspectives in Microbial Bioconversions of Steroids // Microbial Steroids. Methods in Molecular Biology / Eds. Barreiro C., Barredo J.L. N.Y.: Humana, 2023. V. 2704. P. 3–21.
- Fernandez-Cabezon L., Galan B., Garcia J.L. Engineering Mycobacterium smegmatis for testosterone production // Microb. Biotechnol. 2017. V. 10. P. 151–161.
- Fischer F., Raimondi D., Aliverti A., Zanetti G. Mycobacterium tuberculosis FprA, a novel bacterial NADPH-ferredoxin reductase // Eur. J. Biochem. 2002. V. 269. P. 3005–3013.
- Garcia J.L., Uhia I., Galan B. Catabolism and biotechnological applications of cholesterol degrading bacteria // Microb. Biotechnol. 2012. V. 5. P. 679–699.
- Garcia-Fernandez E., Frank D.J., Galan B., Kells P.M., Podust L.M., Garcia J.L., Ortiz de Montellano P.R. A highly conserved mycobacterial cholesterol catabolic pathway // Environ. Microbiol. 2013. V. 15. P. 2342–2359.
- Hannemann F., Bichet A., Ewen K.M., Bernhardt R. Cytochrome P450 systems ‒ biological variations of electron transport chains // Biochim. Biophys. Acta. 2007. V. 1770. P. 330–344.
- Lu Y., Qiao F., Li Y., Sang X.-H., Li C.-R., Jiang J.-D., Yang X.-Y., You X.-F. Recombinant expression and biochemical characterization of Mycobacterium tuberculosis 3Fe-4S ferredoxin Rv1786 // Appl. Microbiol. Biotechnol. 2017. V. 101. P. 7201–7212.
- Ortega Ugalde S., de Koning C.P., Wallraven K., Bruyneel B., Vermeulen N.P., Grossmann T.N., Bitter W., Commandeur J.-N.M., Vos J.C. Linking cytochrome P450 enzymes from Mycobacterium tuberculosis to their cognate ferredoxin partners // Appl. Microbiol. Biotechnol. 2018. V. 102. P. 9231–9242.
- Snapper S.B., Melton R.E., Mustafa S., Kieser T., Jacobs W.R., Jr. Isolation and characterization of efficient plasmid transformation mutants of Mycobacterium smegmatis // Mol. Microbiol. 1990. V. 11. P. 1911–1919.
- Tartoff K.D., Hobbs C.A. Improved media for growing plasmid and cosmid clones // Bethesda Res. Lab. Focus. 1987. V. 9. P. 12.
- Tekucheva D.N., Nikolayeva V.M., Karpov M.V., Timakova T.A., Shutov A.A., Donova M.V. Bioproduction of testosterone from phytosterol by Mycolicibacterium neoaurum strains: “one-pot”, two modes // Bioresour. Bioprocess. 2022. V. 9. P. 116.
- Wilburn K.M., Fieweger R.A., VanderVen B.C. Cholesterol and fatty acids grease the wheels of Mycobacterium tuberculosis pathogenesis // Pathog. Dis. 2018. V. 76. Art. fty021. P. 21.
Supplementary files




