Метод латексной агглютинации как альтернатива реакции гемагглютинации вирусов гриппа
- Авторы: Иванов П.А.1,2, Ляшко А.В.1, Ионов С.А.1,3, Щербинин Д.В.1, Руднева И.А.1, Шилов А.А.1, Бунькова Н.И.1, Шмаров М.М.1,4, Тимофеева Т.А.1
-
Учреждения:
- Федеральный исследовательский центр эпидемиологии и микробиологии им. Н.Ф. Гамалеи Министерства здравоохранения Российской Федерации
- Институт микробиологии им. С.Н. Виноградского Российской академии наук
- Российский химико-технологический университет имени Д.И. Менделеева
- Первый Московский государственный университет им. И.М. Сеченова Министерства здравоохранения Российской Федерации
- Выпуск: Том 57, № 5 (2023)
- Страницы: 898-906
- Раздел: МЕТОДЫ
- URL: https://journal-vniispk.ru/0026-8984/article/view/138713
- DOI: https://doi.org/10.31857/S0026898423040092
- EDN: https://elibrary.ru/QLOTLJ
- ID: 138713
Цитировать
Полный текст
Аннотация
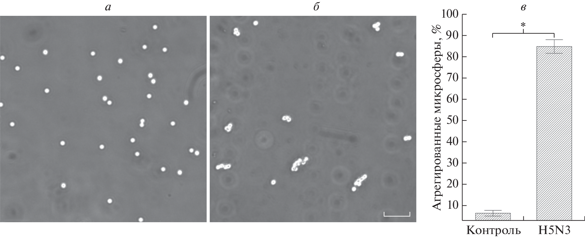
Для выявления и титрования вирусов гриппа А и В в качестве альтернативы классическому методу гемагглютинации эритроцитов разработана методика реакции агглютинации латекса, основанная на взаимодействии вирусов гриппа с сиалогликопротеином фетуином, иммобилизованным на поверхности полистирольных микросфер. Исследовано 12 штаммов вирусов гриппа А, относящихся к различным подтипам, и два вируса гриппа В разных линий. При одновременном титровании вирусов с помощью классической реакции гемагглютинации и предлагаемой реакции латексной агглютинации показана сходная чувствительность и высокая степень корреляции (R = 0.94) между двумя этими методами. Полученные микросферы могут быть использованы для титрования и других вирусов, рецепторами которых служат сиалированные гликаны. Так, агрегацию латекса индуцировал вирус болезни Ньюкасла.
Об авторах
П. А. Иванов
Федеральный исследовательский центр эпидемиологии и микробиологии им. Н.Ф. ГамалеиМинистерства здравоохранения Российской Федерации; Институт микробиологии им. С.Н. Виноградского Российской академии наук
Автор, ответственный за переписку.
Email: ivanovpa@mail.ru
Россия, 123098, Москва; Россия, 125047, Москва
А. В. Ляшко
Федеральный исследовательский центр эпидемиологии и микробиологии им. Н.Ф. ГамалеиМинистерства здравоохранения Российской Федерации
Email: ivanovpa@mail.ru
Россия, 123098, Москва
С. А. Ионов
Федеральный исследовательский центр эпидемиологии и микробиологии им. Н.Ф. ГамалеиМинистерства здравоохранения Российской Федерации; Российский химико-технологический университет имени Д.И. Менделеева
Email: ivanovpa@mail.ru
Россия, 123098, Москва; Россия, 117312, Москва
Д. В. Щербинин
Федеральный исследовательский центр эпидемиологии и микробиологии им. Н.Ф. ГамалеиМинистерства здравоохранения Российской Федерации
Email: ivanovpa@mail.ru
Россия, 123098, Москва
И. А. Руднева
Федеральный исследовательский центр эпидемиологии и микробиологии им. Н.Ф. ГамалеиМинистерства здравоохранения Российской Федерации
Email: ivanovpa@mail.ru
Россия, 123098, Москва
А. А. Шилов
Федеральный исследовательский центр эпидемиологии и микробиологии им. Н.Ф. ГамалеиМинистерства здравоохранения Российской Федерации
Email: ivanovpa@mail.ru
Россия, 123098, Москва
Н. И. Бунькова
Федеральный исследовательский центр эпидемиологии и микробиологии им. Н.Ф. ГамалеиМинистерства здравоохранения Российской Федерации
Email: ivanovpa@mail.ru
Россия, 123098, Москва
М. М. Шмаров
Федеральный исследовательский центр эпидемиологии и микробиологии им. Н.Ф. ГамалеиМинистерства здравоохранения Российской Федерации; Первый Московский государственный университет им. И.М. Сеченова
Министерства здравоохранения Российской Федерации
Email: ivanovpa@mail.ru
Россия, 123098, Москва; Россия, 101000, Москва
Т. А. Тимофеева
Федеральный исследовательский центр эпидемиологии и микробиологии им. Н.Ф. ГамалеиМинистерства здравоохранения Российской Федерации
Email: ivanovpa@mail.ru
Россия, 123098, Москва
Список литературы
- Дерябин П.Г., Бутенко А.М., Бурцева Е.И. (2013) Реакция гемагглютинации и торможения гемагглютинации. В кн.: Руководство по вирусологии. Вирусы и вирусные инфекции человека и животных. Ред. Львов Д.К. Москва: Мед. информ. агентство. 426‒430.
- Hirst G.K. (1941) The agglutination of red cells by allantoic fluid of chick embryos infected with influenza virus. Science. 94, 22‒23.
- Hirst G.K. (1942) The quantitative determination of influenza virus and antibodies by means of red cell agglutination. J. Exp. Med. 75, 49‒64.
- Hajra T.K., Bag P.K., Das S.C., Mukherjee S., Khan A., Ramamurthy T. (2007) Development of a simple latex agglutination assay for detection of Shiga toxin-producing Escherichia coli (STEC) by using polyclonal antibody against STEC. Clin. Vaccine Immunol. 14, 600‒604.
- Фролов Д.М., Сенина Т.В., Замарина Т.В., Храпова Н.П. (2019) Использование реакции латекс-агглютинации в ускоренном определении патогенных буркхольдерий. Проблемы особо опасных инфекций. 3, 106‒110.
- Poplin V., Boulware D.R., Bahr N.C. (2020) Methods for rapid diagnosis of meningitis etiology in adults. Biomark. Med. 14, 459‒479.
- Sedgwick A.K., Tilton R.C. (1983) Identification of Legionella pneumophila by latex agglutination. J. Clin. Microbiol. 17, 365‒368.
- Chen J., Jin M., Yu Z., Dan H., Zhang A., Song Y., Chen H. (2007) Latex agglutination test for the rapid detection of avian influenza virus subtype H5N1 and its clinical application. J. Vet. Diagn. Invest. 19, 155‒160.
- Цветкова И.В., Липкинд М.А., Закстельская Л.Я., Юсипова Н.А., Розенфельд Е.Л., (1967) Нейраминовая кислота как клеточный рецептор вируса гриппа. Биохимия. 32, 994–999.
- Gambaryan A.S., Matrosovich M.N. (1992) A solid-phase enzyme-linked assay for influenza virus receptor-binding activity. J. Virol. Methods. 39, 111–123.
- Matrosovich M.N., Gambaryan A.S. (2022) Characterization of influenza virus binding to receptors on isolated cell membranes. Methods Mol. Biol. 2556, 149–168.
- Boravleva E., Treshchalina A., Postnikova Y., Gambaryan A., Belyakova A., Sadykova G., Prilipov A., Lomakina N., Ishmukhametov A. (2022) Molecular characteristics, receptor specificity, and pathogenicity of avian influenza viruses isolated from wild ducks in Russia. Int. J. Mol. Sci. 23, 10829.
- Quash G.A., Aymard M., Fougerouze J., Ripoll H. (1982) A fetuin-latex agglutination test for detecting the neuraminidases of myxoviruses in allantoic fluid. J. Biol. Stand. 10(2), 115–124.
- Timofeeva T.A., Rudneva I.A., Sadykova G.K., Lomakina N.F., Lyashko A.V., Shilov A.A., Voronina O.L., Aksenova E.I., Ryzhova N.N., Kunda M.S., Asatryan M.N., Shcherbinin D.N., Timofeeva E.B., Kushch A.A., Prilipov A.G., Adams S.E., Logunov D.Y., Narodisky B.S., Gintsburg A.L. (2020) Variability of nonpathogenic influenza virus H5N3 under immune pressure. Acta Virol. 64, 480‒489.
- Шубладзе А.К., Гайдамович С.Я. (1964) Краткий курс практической вирусологии. Москва: Медгиз, 379 с.
- Гамбарян А.С., Матросович М.Н. (2015) Какие адаптационные изменения в гемагглютинине и нейраминидазе нужны для возникновения пандемического вируса гриппа из птичьего предшественника? Обзор. Биохимия. 80, 1040‒1048.
- Jankowski M.D., Glaberman S.R., Kimball D.B., Taylor-McCabe K.J., Fair J.M. (2019) Sialic acid on avian erythrocytes. Comp. Biochem. Physiol. B Biochem. Mol. Biol. 238, 110336.
- Green E.D., Adelt G., Baenziger J.U., Wilson S., Van Halbeek H. (1988) The asparagine-linked oligosaccharides on bovine fetuin. Structural analysis of N‑glycanase-released oligosaccharides by 500-megahertz 1H NMR spectroscopy. J. Biol. Chem. 263, 18253–18268.
- Guttman M., Lee K.K. (2016) Site-specific mapping of sialic acid linkage isomers by ion mobility spectrometry. Anal. Chem. 88, 5212‒5217.
- Sawada T. (2012) Chemical insight into the influenza A virus hemagglutinin binding to the sialoside revealed by the fragment molecular orbital method. Open Glycoscience. 5, 26‒30.
Дополнительные файлы








