Characteristics of δ-Aminolevulenic Acid Dehydratase of the Cold-Water Sponge Halisarca dujardinii
- Authors: Kravchuk O.I.1, Shagimardanova E.I.2, Mikhailov V.S.1, Zhurakovskaya A.I.1, Gornostaev N.G.1, Adameyko K.I.1, Ziganshin R.H.3, Mikhailov K.V.4,5, Finoshin A.D.1, Lyupina Y.V.1
-
Affiliations:
- Koltzov Institute of Developmental Biology, Russian Academy of Sciences
- Institute of Fundamental Medicine and Biology, Kazan Federal University
- Shemyakin-Ovchinnikov Institute of Bioorganic Chemistry, Russian Academy of Sciences
- Belozersky Institute of Physical and Chemical Biology, Lomonosov Moscow State University
- Kharkevich Institute for Information Transmission Problems, Russian Academy of Sciences
- Issue: Vol 57, No 6 (2023)
- Pages: 1085-1097
- Section: РОЛЬ РЕДОКС-ЗАВИСИМЫХ БЕЛКОВ В РЕАЛИЗАЦИИ РЕДОКС-РЕГУЛЯЦИИ КЛЕТОК
- URL: https://journal-vniispk.ru/0026-8984/article/view/231957
- DOI: https://doi.org/10.31857/S0026898423060113
- EDN: https://elibrary.ru/QFTCTO
- ID: 231957
Cite item
Full Text
Abstract
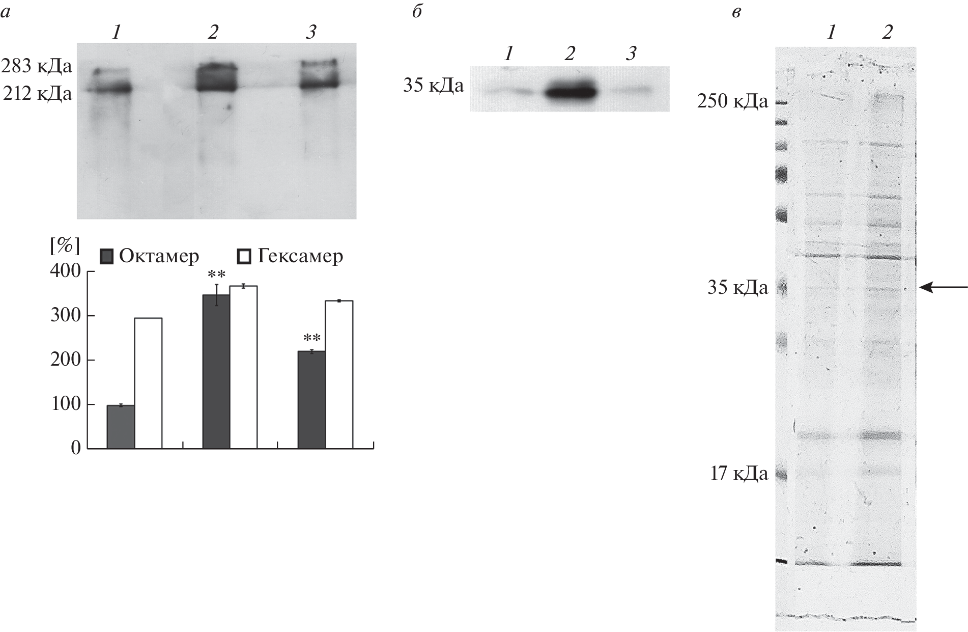
Delta-aminolevulinic acid dehydratase (ALAD) is a key enzyme in the cytoplasmic pathway of heme biosynthesis. Here, a primary structure of the ALAD gene of the marine cold-water sponge Halisarca dujardinii, a multimeric structure of the ALAD/hemB protein, and the ALAD gene expression during the sponge annual reproductive cycle were analyzed. On the base of results obtained one can suppose that the sponge ALAD gene expression is regulated by the transcription factor GATA-1 and DNA methylation. Re-aggregation of the sponge cells was accompanied by a decrease in ALAD expression and a change in the cellular content of the active ALAD/hemB form. Further study of heme biosynthesis and the role of ALAD/hemB in morphogenesis of basal animals may provide new opportunities for correcting pathologies in higher animals.
About the authors
O. I. Kravchuk
Koltzov Institute of Developmental Biology, Russian Academy of Sciences
Author for correspondence.
Email: kravchuk444@mail.ru
Russia, 119334, Moscow
E. I. Shagimardanova
Institute of Fundamental Medicine and Biology, Kazan Federal University
Email: kravchuk444@mail.ru
Russia, 420012, Kazan
V. S. Mikhailov
Koltzov Institute of Developmental Biology, Russian Academy of Sciences
Email: kravchuk444@mail.ru
Russia, 119334, Moscow
A. I. Zhurakovskaya
Koltzov Institute of Developmental Biology, Russian Academy of Sciences
Email: kravchuk444@mail.ru
Russia, 119334, Moscow
N. G. Gornostaev
Koltzov Institute of Developmental Biology, Russian Academy of Sciences
Email: kravchuk444@mail.ru
Russia, 119334, Moscow
K. I. Adameyko
Koltzov Institute of Developmental Biology, Russian Academy of Sciences
Email: kravchuk444@mail.ru
Russia, 119334, Moscow
R. H. Ziganshin
Shemyakin-Ovchinnikov Institute of Bioorganic Chemistry, Russian Academy of Sciences
Email: kravchuk444@mail.ru
Russia, 117997, Moscow
K. V. Mikhailov
Belozersky Institute of Physical and Chemical Biology, Lomonosov Moscow State University; Kharkevich Institute for Information Transmission Problems, Russian Academy of Sciences
Email: kravchuk444@mail.ru
Russia, 119992, Moscow; Russia, 127051, Moscow
A. D. Finoshin
Koltzov Institute of Developmental Biology, Russian Academy of Sciences
Email: kravchuk444@mail.ru
Russia, 119334, Moscow
Yu. V. Lyupina
Koltzov Institute of Developmental Biology, Russian Academy of Sciences
Email: kravchuk444@mail.ru
Russia, 119334, Moscow
References
- Jaffe E.K. (2020) Porphobilinogen synthase: an equilibrium of different assemblies in human health. Prog. Mol. Biol. Transl. Sci. 169, 85‒104. https://doi.org/10.1016/bs.pmbts.2019.11.003
- Finoshin A.D., Adameyko K.I., Mikhailov K.V., Kravchuk O.I., Georgiev A.A., Gornostaev N.G., Kosevich I.A., Mikhailov V.S., Gazizova G.R., Shagimardanova E.I., Gusev O.A., Lyupina Y.V. (2020) Iron metabolic pathways in the processes of sponge plasticity. PLoS One. 15, e0228722. https://doi.org/10.1371/journal.pone.0228722
- Chiabrando D., Bertino F., Tolosano E. (2020) Hereditary ataxia: a focus on heme metabolism and Fe–S cluster biogenesis. Int. J. Mol. Sci. 21, 3760. https://doi.org/10.3390/ijms21113760
- Jaffe E.K., Lawrence S.H. (2012) Allostery and the dynamic oligomerization of porphobilinogen synthase. Arch. Biochem. Biophys. 519, 144‒153. https://doi.org/10.1016/j.abb.2011.10.010
- Ge J., Yu Y., Xin F., Yang Z.J., Zhao H.M., Wang X., Tong Z.S., Cao X.C. (2017) Downregulation of delta-aminolevulinate dehydratase is associated with poor prognosis in patients with breast cancer. Cancer Sci. 108, 604‒611. https://doi.org/10.1111/cas.13180
- Ye Q., Yang X., Zheng S., Mao X., Shao Y., Xuan Z., Huang P. (2022) Low expression of moonlight gene ALAD is correlated with poor prognosis in hepatocellular carcinoma. Gene. 825, 146437. https://doi.org/10.1016/j.gene.2022.146437
- Kaya A.H., Plewinska M., Wong D.M., Desnick R.J., Wetmur J.G. (1994) Human delta-aminolevulinate dehydratase (ALAD) gene: structure and alternative splicing of the erythroid and housekeeping mRNAs. Genomics. 19, 242‒248. https://doi.org/10.1006/geno.1994.1054
- Bishop T.R., Miller M.W., Beall J., Zon L.I., Dierks P. (1996) Genetic regulation of delta-aminolevulinate dehydratase during erythropoiesis. Nucleic Acids Res. 24, 2511‒2518. https://doi.org/10.1093/nar/24.13.2511
- Desgardin A.D., Abramova T., Rosanwo T.O., Kartha S., Shim E.H., Jane S.M., Cunningham J.M. (2012) Regulation of delta-aminolevulinic acid dehydratase by Krüppel-like factor 1. PLoS One. 7, e46482. https://doi.org/10.1371/journal.pone.0046482
- Li C., Xu M., Wang S., Yang X., Zhou S., Zhang J., Liu Q., Sun Y. (2011) Lead exposure suppressed ALAD transcription by increasing methylation level of the promoter CpG islands. Toxicol. Lett. 203, 48‒53. https://doi.org/10.1016/j.toxlet.2011.03.002
- Simion P., Philippe H., Baurain D., Jager M., Richter D.J., Di Franco A., Roure B., Satoh N., Quéinnec É., Ereskovsky A., Lapébie P., Corre E., Delsuc F., King N., Wörheide G., Manuel M.A. (2017) Large and consistent phylogenomic dataset supports sponges as the sister group to all other animals. Curr. Biol. 27, 958‒967. https://doi.org/10.1016/j.cub.2017.02.031
- Wade J, Byrne D.J., Ballentine C.J., Drakesmith H. (2021) Temporal variation of planetary iron as a driver of evolution. Proc. Natl. Acad. Sci. USA. 118, e2109865118. https://doi.org/10.1073/pnas.2109865118
- Лавров А.И., Косевич И.А. (2014) Реагрегация клеток губок: механизмы и динамика процесса. Онтогенез. 45, 250‒271. https://doi.org/10.7868/S0475145014040077
- Ereskovsky A., Borisenko I.E., Bolshakov F.V., Lavrov A.I. (2021) Whole-body regeneration in sponges: diversity, fine mechanisms, and future prospects. Genes (Basel). 12, 506. https://doi.org/10.3390/genes12040506
- Sogabe S., Hatleberg W.L., Kocot K.M., Say T.E., Stoupin D., Roper K.E., Fernandez-Valverde S.L., Degnan S.M., Degnan B.M. (2019) Pluripotency and the origin of animal multicellularity. Nature. 570, 519–522. https://doi.org/10.1038/s41586-019-1290-4
- Adameyko K.I., Burakov A.V., Finoshin A.D., Mikhailov K.V., Kravchuk O.I., Kozlova O.S., Gornostaev N.G., Cherkasov A.V., Erokhov P.A., Indeykina M.I., Bugrova A.E., Kononikhin A.S., Moiseenko A.V., Sokolova O.S., Bonchuk A.N., Zhegalova I.V., Georgiev A.A., Mikhailov V.S., Gogoleva N.E., Gazizova G.R., Shagimardanova E.I., Gusev O.A., Lyupina Y.V. (2021) Conservative and atypical ferritins of sponges. Int. J. Mol. Sci. 22, 8635. https://doi.org/10.3390/ijms22168635
- Ereskovsky A.V. (2000) Reproduction cycles and strategies of the cold-water sponges Halisarca dujardini (Demospongiae, Halisarcida), Myxilla incrustans and Iophon piceus (Demospongiae, Poecilosclerida) from the White Sea. Biol. Bull. 198, 77‒87. https://doi.org/10.2307/1542805
- Haas B.J., Papanicolaou A., Yassour M., Grabherr M., Blood P.D., Bowden J., Couger M.B., Eccles D., Li B., Lieber M., MacManes M.D., Ott M., Orvis J., Pochet N., Strozzi F., Weeks N., Westerman R., William T., Dewey C.N., Henschel R., LeDuc R.D., Friedman N., Regev A. (2013) De novo transcript sequence reconstruction from RNA-seq using the Trinity platform for reference generation and analysis. Nat. Protoc. 8, 1494‒1512. https://doi.org/10.1038/nprot.2013.084
- Langmead B., Salzberg S.L. (2012) Fast gapped-read alignment with Bowtie 2. Nat. Methods. 9, 357‒359. https://doi.org/10.1038/nmeth.1923
- Li B., Dewey C.N. (2011) RSEM: accurate transcript quantification from RNA-Seq data with or without a reference genome. BMC Bioinformatics. 12, 323. https://doi.org/10.1186/1471-2105-12-323
- Адамейко К.И., Кравчук О.И., Финошин А.Д., Бончук А.Н., Георгиев А.А., Михайлов В.С., Горностаев Н.Г., Михайлов К.В., Бачева А.В., Индейкина М.И., Бугрова А.Е., Газизова Г.Р., Козлова О.С., Гусев О.А., Шагимарданова Е.И., Люпина Ю.В. (2020) Структура нейроглобина холодноводной губки Halisarca dujardinii. Молекуляр. биология. 54, 474‒479. https://doi.org/https://doi.org/10.31857/S0026898420030039
- Altschul S.F., Madden T.L., Schaffer A.A., Zhang J., Zhang Z., Miller W., Lipman D.J. (1997) Gapped BLAST and PSI-BLAST: a new generation of protein database search programs. Nucleic Acids Res. 25, 3389‒3402. https://doi.org/10.1093/nar/25.17.3389
- Slater G.S., Birney E. (2005) Automated generation of heuristics for biological sequence comparison. BMC Bioinformatics. 6, 31. https://doi.org/10.1186/1471-2105-6-31
- Katoh K., Standley D.M. (2013) MAFFT multiple sequence alignment software version 7: improvements in performance and usability. Mol. Biol. Evol. 30, 772‒780. https://doi.org/10.1093/molbev/mst010
- Nguyen L.T., Schmidt H.A., von Haeseler A., Minh B.Q. (2015) IQ-TREE: a fast and effective stochastic algorithm for estimating maximum-likelihood phylogenies. Mol. Biol. Evol. 32, 268‒274. https://doi.org/10.1093/molbev/msu300
- Kalyaanamoorthy S., Minh B.Q., Wong T.K.F., von Haeseler A., Jermiin L.S. (2017) ModelFinder: fast model selection for accurate phylogenetic estimates. Nat. Methods. 14, 587‒589. https://doi.org/10.1038/nmeth.4285
- Hoang D.T., Chernomor O., von Haeseler A., Minh B.Q., Vinh L.S. (2018) UFBoot2: improving the ultrafast bootstrap approximation. Mol. Biol. Evol. 35, 518‒522. https://doi.org/10.1093/molbev/msx281
- Kumar S., Stecher G., Tamura K. (2016) MEGA7: molecular evolutionary genetics analysis version 7.0 for bigger datasets. Mol. Biol. Evol. 33, 1870‒1874. https://doi.org/10.1093/molbev/msw054
- Laemmli U.K. (1970) Cleavage of structural proteins during the assembly of the head of bacteriophage T4. Nature. 227, 680‒685. https://doi.org/10.1038/227680a0
- Ma B., Zhang K., Hendrie C., Liang C., Li M., Doherty-Kirby A., Lajoie G. (2003) PEAKS: powerful software for peptide de novo sequencing by tandem mass spectrometry. Rapid Commun. Mass Spectrom. 17, 2337‒2342. https://doi.org/10.1002/rcm.1196
- Williams S.T., Lockyer A.E., Dyal P., Nakano T., Churchill C.K.C., Speiser D.I. (2017) Colorful seashells: identification of haem pathway genes associated with the synthesis of porphyrin shell color in marine snails. Ecol. Evol. 7, 10379‒10397. https://doi.org/10.1002/ece3.3552
- Akagi R., Kato N., Inoue R., Anderson K.E., Jaffe E.K., Sassa S. (2006) delta-Aminolevulinate dehydratase (ALAD) porphyria: the first case in North America with two novel ALAD mutations. Mol. Genet. Metab. 87, 329‒336. https://doi.org/10.1016/j.ymgme.2005.10.011
- Inoue R., Akagi R. (2008) Co-synthesis of human delta-aminolevulinate dehydratase (ALAD) mutants with the wild-type enzyme in cell-free system-critical importance of conformation on enzyme activity. J. Clin. Biochem. Nutr. 43, 143‒153. https://doi.org/10.3164/jcbn.2008035
- Maruno M., Furuyama K., Akagi R., Horie Y., Meguro K., Garbaczewski L., Chiorazzi N., Doss M.O., Hassoun A., Mercelis R., Verstraeten L., Harper P., Floderus Y., Thunell S., Sassa S. (2001) Highly heterogeneous nature of delta-aminolevulinate dehydratase (ALAD) deficiencies in ALAD porphyria. Blood. 97, 2972‒2978. https://doi.org/10.1182/blood.v97.10.2972
- Neslund-Dudas C., Levin A.M., Rundle A., Beebe-Dimmer J., Bock C.H., Nock N.L., Jankowski M., Datta I., Krajenta R., Dou Q.P., Mitra B., Tang D., Rybicki B.A. (2014) Case-only gene-environment interaction between ALAD tagSNPs and occupational lead exposure in prostate cancer. Prostate. 74, 637‒646. https://doi.org/10.1002/pros.22781
- Richard K.L., Kelley B.R., Johnson J.G. (2019) Heme uptake and utilization by Gram-negative bacterial pathogens. Front. Cell. Infect. Microbiol. 9, 81. https://doi.org/10.3389/fcimb.2019.00081
- Jaffe E.K. (2016) The remarkable character of porphobilinogen synthase. Acc. Chem. Res. 49, 2509‒2517. https://doi.org/10.1021/acs.accounts.6b00414
- Selwood T., Tang L., Lawrence S.H., Anokhina Y., Jaffe E.K. (2008) Kinetics and thermodynamics of the interchange of the morpheein forms of human porphobilinogen synthase. Biochemistry. 47, 3245‒3257. https://doi.org/10.1021/bi702113z
Supplementary files








