VLPs Carring HIV-1 Env with Modulated Glycan Composition
- 作者: Kaevitser G.A.1, Samokhvalov E.I.1, Scheblyakov D.V.1, Gintsburg A.L.1,2, Vzorov A.N.1,3
-
隶属关系:
- Gamaleya Federal Research Center of Epidemiology and Microbiology
- Sechenov First Moscow State Medical University, Ministry of Health of the Russian Federation
- Department of Immunology, Faculty of Biology, Lomonosov Moscow State University
- 期: 卷 58, 编号 4 (2024)
- 页面: 655–66
- 栏目: МОЛЕКУЛЯРНАЯ БИОЛОГИЯ КЛЕТКИ
- URL: https://journal-vniispk.ru/0026-8984/article/view/275179
- DOI: https://doi.org/10.31857/S0026898424040113
- EDN: https://elibrary.ru/IMLJGJ
- ID: 275179
如何引用文章
全文:
详细
Previously obtained highly immunogenic Env-VLPs ensure overcoming the natural resistance of HIV-1 surface proteins associated with their low level of incorporation and inaccessibility of conserved epitopes to induce neutralizing antibodies. We also adopted this technology to modify Env trimers of ZM53(T/F) strain to produce Env-VLPs by recombinant vaccinia viruses (rVVs). These rVVs expressing Env, Gag-Pol (HIV-1/SIV), as well as the cowpox virus hr gene allowing to avoid the restriction of vaccinia virus replication in CHO cells were used for VLP production. The CHO Lec1 engineered cell line lacking GlcNAc-TI was used for generating VLPs with Env proteins containing a cytoplasmic domain (CT) affecting on surface subunit (SU) conformation. This has created the opportunity to modulate the glycan composition, and refine the conditions for their production, and optimize approaches to overcoming HIV-1 resistance associated with abundant glycosylation.
全文:
Сокращения:
ВКО – вирус коровьей оспы; MMTV (mouse mammary tumor virus) – вирус опухоли молочной железы мышей; VLP (virus-like particles) – вирусоподобные частицы; rVV (recombinant vaccinia virus) – рекомбинантный вирус осповакцины.
Мишенью для индукции нейтрализующих антител у оболочечных РНК-вирусов служит поверхностный трансмембранный белок, выполняющий ключевую роль в проникновении вируса в клетку. На вирусной оболочке эти белки используют ряд механизмов для ускользания от иммунного ответа: плотность их распределения на поверхности вириона низкая, конформация метастабильная и их покрывает слой гликанов. Оболочечный гликопротеин Env ВИЧ-1 относится к трансмембранным белкам I типа и для проникновения в клетку использует механизм мембранного слияния, в процессе которого конформация переходит в стабильную [1, 2]. Ранее мы детально изучали биологические характеристики различных штаммов ВИЧ-1/SIV (simian immunodeficiency virus – вирус иммунодефицита обезьян) и обнаружили, что структура и длина цитоплазматического домена (СТ) трансмембранной субъединицы gp41 могут влиять на биологические свойства вируса (стабильность тримера, активность формирования синцитий и инфекционность) [3‒7]. Более того, стабилизированные тримеры Env ВИЧ-1 вызывали образование антител с широкой нейтрализующей активностью и высокой авидностью, в связи с чем их рассматривают как потенциальные иммуногены для вакцин с повышенной эффективностью [3]. Иммуногены, которые имитируют важные процессы при естественной инфекции и инициируют соответствующие врожденные иммунные реакции, имеют преимущество перед рекомбинантными белками (растворимые белки Env) благодаря сохранности природной структуры.
ВИЧ-1-нейтрализующие антитела и гликозилирование
Нейтрализующие анти-ВИЧ-1-антитела широкого спектра действия (broadly neutralizing antibodies, bNAbs) находят у пациентов с хронической инфекцией ВИЧ-1. Консервативные эпитопы, которые они распознают, идентифицированы в определенных областях белка Env, включая рецепторсвязывающий сайт и проксимальную внешнюю область gp41. При экспериментальных инфекциях приматы тоже индуцируют bNAbs. До сих пор вакцинация против ВИЧ-1 вызывала лишь низкие уровни нейтрализующих антител [8]. Одно из потенциальных препятствий к выработке таких антител – гликозилирование поверхностного белка ВИЧ-1. Трансмембранный белок Env gp120-gp41 нативного вириона ВИЧ-1 имеет тримерную структуру. Белок Env считается одним из наиболее высокогликозилированных поверхностных вирусных гликопротеинов. В ряде работ показано, что гликозилирование Env приводит к экранированию антигенных сайтов на тримере [9‒13]. Позднее обнаружили, что сайты, распознаваемые нейтрализующими антителами, могут включать гликановые компоненты с высокоманнозными цепями, которые ковалентно связаны с остатком N332 Env [14]. Впоследствии показали, что bNAbs распознают N-связанные гликаны с высокоманнозными цепями и в отсутствие сайта гликозилирования при N332 [15]. Такие антитела могут иметь высокий терапевтический потенциал. Однако, в какой степени такие антитела могут быть вызваны вакцинами, предстоит продемонстрировать. Имеются доказательства, что гликозилирование белка Env изменяется при хронической ВИЧ-инфекции [16]. Это обстоятельство усложняет разработку вакцин, индуцирующих антитела, нацеленные на гликозилированные эпитопы.
Влияние модификаций гликанов на иммунный ответ
Влияние изменений гликанового слоя на инфекционность вируса (взаимодействие с клеточными рецепторами), а также на взаимодействие с антителами определяли для модифицированных по гликанам белков Env ВИЧ-1. В этих экспериментах использовали различные ингибиторы гликозилирования и клеточные линии, дефицитные по способности продуцировать комплексные углеводные цепи [17]. Модификация гликанов – один из способов преодоления низкой иммуногенности экранированных ими эпитопов, причем с сохранением консервативных гликановых структур, входящих в состав эпитопа, распознаваемого bNAbs [18]. Тем не менее до сих пор нет четкого понимания, как те или иные модификации гликанов отражаются на иммуногненности.
Вирусоподобные частицы (virus-like particles, VLP) обладают преимуществами в качестве вакцинных антигенов. Преимущества заключаются в отсутствии векторных антигенов, что позволяет проводить буст-иммунизацию, а также в повышенной иммуногенности антигенов, представленных в виде частиц, по сравнению с их растворимыми формами [19]. Размер частиц способствует эффективному поглощению антигенпрезентирующими клетками и последующей перекрестной презентации эпитопов. На поверхности VLP антигены обеспечивают перекрестное связывание рецепторов B-клеток. VLP эффективно проникают в лимфатические узлы, что способствует усилению стимуляции В- и Т-клеток.
В представленной работе использованы выскоиммуногенные Env-VLP ВИЧ-1, а для их продукции – клеточные линии CHO, в которых пути гликозилирования белков генетически модифицированы. Полученные VLP с белками Env, содержащими модифицированный СТ-домен, открывают возможность для получения новой информации о составе гликанов на тримерах различной конформации и их возможном влиянии на иммуногенность.
ЭКСПЕРИМЕНТАЛЬНАЯ ЧАСТЬ
Конструирование рекомбинантных вирусов. Для получения рекомбинантных вирусов гены ВИЧ-1 [3] в составе плазмидного вектора (pRB21+вставка) встраивали в геном мутантного вируса осповакцины (vaccinia virus) VRB12 посредством гомологичной рекомбинации в клетках CV-1 [20]. Получены рекомбинантные вирусы осповакцины (recombinant vaccinia virus, rVV), кодирующие поверхностные белки ВИЧ-1: (1) VVEnv-22hb (helical bundle – α-спиральный узел), несущий SU (surface unit – поверхностная субъединица) штамма ZM53 и домен TMS (transmembrane spanning domain – трансмембранный перекрывающий домен) из 22 а.о. вируса опухоли молочной железы мышей (mouse mammary tumor virus, MMTV), к CT-домену которого присоединена функциональная тримеризующая последовательность GCN4 дрожжевого фактора транскрипции; и (2) VVEnv-22, конструкция которого аналогична Env-22hb с GCN4-последовательностью, потерявшей функциональность после замены остатков изолейцина на аланин (табл. 1).
Таблица 1. Рекомбинантные вирусы осповакцины, использованные для экспрессии модифицированных белков Env ВИЧ-1
Вирус | Состав экспрессируемого белка Env или целевой ген | Источник |
VVEnv-22hb | SU-домен ZM53 ВИЧ-1 | [3] |
TMS-домен MMTV | [3] | |
CT-домен MMTV | [3] | |
GCN4 (дрожжевой фактор транскрипции) | [3] | |
VVEnv-22 | SU-домен ZM53 ВИЧ-1 | [3] |
TMS-домен MMTV | [3] | |
CT-домен MMTV | [3] | |
нефункциональный GCN4 (Ile→Ala) | [3] | |
VVEnvIIIB (положительный контроль) | Env IIIB ВИЧ-1 | R.W. Compans (Emory University, США) |
VVSC11 (отрицательный контроль) | нет генов ВИЧ-1 | [4] |
VVCP | ген hr ВКО, нет генов ВИЧ-1 | B. Moss (NIH, США) |
Также использовали полученный ранее вирус VVGag-Pol, кодирующий Gag-Pol, необходимый для формирования VLP и менее подверженный ингибированию коэкспрессией Env по сравнению с Gag [4]. Рекомбинантный вирус VVCP, несущий ген hr вируса коровьей оспы (ВКО; cowpox virus), необходимый для преодоления ограничений экспрессии описанных выше rVV в клетках СНО, любезно предоставлен Dr. В. Moss (National Institutes of Health, США).
Клеточные линии и условия культивирования. Для получения VLP использовали клетки Hep2 и две линии клеток CHO: родительскую Pro-5 (CHO) и мутантную Lec1, в которой отсутствует N-ацетилглюкозаминилтрансфераза-TI (GlcNAc-TI). Клетки были любезно предоставлены Dr. R.W. Compans (Emory University, США). Клетки выращивали на среде DMEM или α-MEM c добавлением 10% эмбриональной сыворотки крупного рогатого скота (FBS).
Очистка клеточных мембран и VLP. Клетки, зараженные rVV, снимали скрепером, осаждали на микроцентрифуге Microfuge E (“Beckman Coulter”, США) при 14 000 об/мин в течение 30 с. К осадку добавляли лизирующий буфер (25 мМ Трис-HCl, pH 7.5, 150 мМ NaCl, 0.5% Triton X-100, 0.1% PMSF), ресуспендировали на вортексе, инкубировали во льду 5 мин и центрифугировали на микроцентрифуге 5804R (“Eppendorf”, Германия) при 20 913 g и 4°С в течение 20 мин. Супернатант собирали и хранили при –80°C. Для приготовления VLP cупернатант от зараженных rVV клеток собирали, осветляли центрифугированием при 3 500 об/мин на роторе А-4-44 (5804R), пропускали через 0.45 мкм PVDF-фильтр Millex-HV (“Merck Millipore Ltd.”, Ирландия). VLP осаждали на ультрацентрифуге Beckman Optima XPN-90 (“Beckman Coulter”) в роторе SW41 при 28 000 об/мин и 4°С в течение 1.5 ч. Осадок суспендировали в PBS, содержащем 15% (w/v) сахарозы (“Диаэм”, Россия) и хранили при –80°C.
Ферментативная обработка VLP. Для сравнения паттернов N-гликозилирования VLP, полученных из клеток CHO или Lec1, проводили дегликозилирование N-эндогликозидазами PNGase F и Endo H. PNGаза F удаляет с гликопротеинов все типы N-связанных олигосахаридов: комплексные, гибридные и высокоманнозные цепи, – тогда как Endo H расщепляет хитобиозное ядро высокоманнозных и гибридных N-связанных углеводных цепей, но не расщепляет комплексные цепи. В экспериментах использовали следующие ферменты: Endo H и PNGase F (“Promega Corporation”, США); α-химотрипсин из поджелудочной железы крупного рогатого скота и трипсин из поджелудочной железы крупного рогатого скота (“AppliChem”, Германия); субтилизин А (“Sigma-Aldrich”, США), протеинкиназа K (“Millipore”, США). Концентрированные VLP инкубировали с ферментами при 37°С в течение 1 ч, а затем растворяли в 2× буфере Laemmli.
Электрофорез Blue Native в полиакриламидном геле (BN-PAGE). Для анализа Env в составе VLP при невосстанавливающих условиях использовали модифицированный протокол BN-PAGE [21]. Для высвобождения Env VLP инкубировали с равным объемом буфера, содержащего 0.12% Triton X-100, 1 мМ EDTA, 1.5 М аминокапроновой кислоты и 1 мкл коктейля ингибиторов протеаз (#04693132001, “Sigma-Aldrich”) в течение 5 мин, после чего вносили равный объем буфера для образцов, содержащего 100 мМ морфолинпропансульфоновой кислоты (MOPS), 100 мМ Трис-HCl, pH 7.7, 40% глицерина и 0.1% Coomassie Brilliant Blue. Образцы загружали в гель Bis-Tris NuPAGE с концентрацией полиакриламида от 4 до 12% (“Invitrogen”, США). В качестве маркера использовали ферритин (“Amersham Biosciences”, США). Электрофорез проводили при 4°C в течение 3 ч при 100 В с использованием в качестве катодного буфера 50 мМ MOPS/50 мМ Трис, pH 7.7, 0.002% Coomassie Brilliant Blue, а в качестве анодного – тот же буфер без Coomassie. По окончании процесса белки с геля переносили на PVDF-мембрану с использованием Trans-Blot® TurboTM Transfer System (#1704150, “Bio-Rad Laboratories”, США).
Иммуноблотинг. При электрофорезе в 8, 10, 12, 4‒15%-ном SDS-PAAG (“Bio-Rad Laboratories”) образцы денатурировали в 2× буфере Laemmli: 100 мМ, Трис-HCl (pH 6.8), 4% (w/v) SDS, 0.2% (w/v) Bromophenol blue, 20% (v/v) глицерин – без или с восстановителями (200 мM дитиотреитол, 200 мМ β-меркаптоэтанол, 8 М мочевина), нагревали до 95°С или инкубировали при комнатной температуре в течение 5 мин. Перенос белков с геля на 0.45-мкм PVDF-мембрану (“GE Healthcare”, США) и на 0.45- или 0.22-мкм нитроцеллюлозную мембрану (“Bio-Rad Laboratories”) проводили в системе Trans-Blot® TurboTM (“Bio-Rad Laboratories”). В качестве блокирующего буфера использовали 5%-ное сухое молоко (“PanReac AppliChem”, Германия) в PBS (“Эко-сервис”, Россия) с 0.1% Tween-20 (w/v) (“PanReac AppliChem”). Специфичные к ВИЧ-1 поликлональные антитела человека, полученные от инфицированных доноров (Россия и США), в разведении 1 : 1000 использовали в качестве первичных. Поликлональные козьи антитела против IgG человека, конъюгированные с пероксидазой хрена (HRP) (“Sigma-Aldrich”), в разведении 1 : 80 000 использовали как вторичные. Все антитела разводили в вышеуказанном блокирующем буфере. В негативном контроле использовали незараженные клетки – для них не детектировали взаимодействия с анти-ВИЧ-1-антителами от инфицированных доноров. Люминесцентный сигнал от субстрата ClarityTM Western ECL (“Bio-Rad Laboratories”) детектировали на Amersham Imager 600 (“GE Healthcare”).
РЕЗУЛЬТАТЫ ИССЛЕДОВАНИЯ
Экспрессия модифицированных белков Env ВИЧ-1 рекомбинантными вирусами осповакцины в клетках Hep2 и CHO
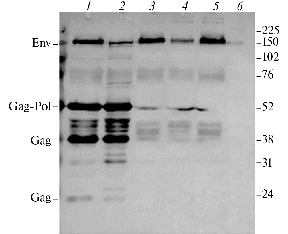
В ходе исследования проанализирована способность гена hr ВКО преодолевать ограничение в репликации вируса осповакцины в CHO клетках (рис. 1, дорожки 2, 4, 6). Для сравнения использованы клетки Hep2, которые пермиссивны для вируса осповакцины (рис. 1, дорожки 1, 3, 5).
Рис. 1. Влияние экспрессии гена hr вируса коровьей оспы на синтез белков Env и Gag ВИЧ-1 в клетках CHO и Hep2. Клетки Hep2 (дорожки 1, 3, 5) или CHO (дорожки 2, 4, 6) коинфицированы VVEnvIIIB (дорожки 1–6), VVGag-Pol (дорожки 1, 2), VVCP (дорожки 1–4) или VVSC11 (контрольный вирус без генов hr ВКО и ВИЧ-1) (дорожки 5, 6). Номера справа указывают на местоположение стандартов молекулярных масс белков (кДа).
Клетки CHO заражали вирусами осповакцины, содержащими гены env и gag-pol ВИЧ-1, а также коинфицировали рекомбинантными вирусами, которые содержали интактный ген hr ВКО [22] (рис. 1, дорожки 1‒4), или контрольным VVSC11 (рис. 1, дорожки 5, 6). Как видно из рис. 1, при коэкспрессии генов env ВИЧ-1 и hr ВКО в клетках CHO синтезировались белки Env и Gag (дорожки 2, 4), в то время как в отсутствие hr эти белки обнаружить на удалось (дорожка 6). При коинфицировании с VVGag-Pol в клетках Hep2 и CHO наблюдались продукты нарезания белков Gag, что обусловлено присутствием в конструкции вирусной протеазы (дорожки 1, 2).
Формирование тримеров модифицированными белками Env ВИЧ-1
Для изучения возможных изменений в составе гликанов белка Env ВИЧ-1 мы сравнили его стабилизированные и нестабилизированные конформации, для чего использовали пермиссивные клетки Hep2. Трансляция белка Env сопровождается гликозилированием синтезированной полипептидной цепи и олигомеризацией в тримеры в эндоплазматическом ретикулуме клетки (рис. 2). Олигомеризация способствует перемещению тримеров в аппарат Гольджи, где происходит разрезание полипептидной цепи на SU и трансмембранную (transmembrane unit, TM) субъединицу и дальнейшее созревание углеводной цепи. Однако в составе тримера Env некоторые субстраты могут быть недоступны для ферментов [23].
Рис. 2. Трансляция белка Env ВИЧ-1 сопровождается гликозилированием синтезируемой полипептидной цепи и олигомеризацией в тримеры в эндоплазматическом ретикулуме (ЭР) клетки. Олигомеризация способствует перемещению тримеров в аппарат Гольджи (Г), где происходит нарезание полипептидной цепи на SU и трансмембранную субъединицу и дальнейшее созревание углеводной цепи. В составе тримера Env при наличия α-спирали в СТ-домене некоторые субстраты могут быть недоступны для ферментов. (1) Env-предшественник; (2) олигоманнозные цепи (бежевый цвет), присоединенные по остатку аспарагина в сайте потенциального N-гликозилирования (Asn-X-Thr/Ser, где Х ≠ Pro) на мономере Env (gp160); (3) олигомеризация и перемещение тримеров Env; (4) протеолитическое расщепление gp160 клеточным фурином с образованием gp120 и gp41; (5) процессинг углеводных цепей и образование комплексных гликанов (зеленый цвет). Описание состава белков Env-22 и Env-22hb см. в табл. 1.
Ранее установлено, что стабильность тримеров Env зависит от наличия α-спирали в СТ-домене белка [3, 7, 24]. Учитывая этот факт, мы проанализировали способность рекомбинантного Env с лабильной конформацией формировать тримеры и процессинг его гликанов. С целью понять, как конформация белка Env, стабильная или более подвижная, влияет на формирование тримера и процессинг гликанов, мы использовали вариант VVEnv-22, который экспрессирует Env ВИЧ-1, содержащий TMS-домен MMTV и укороченный СТ-домен MMTV, несущий нефункциональную последовательность GCN4 (остатки Ile заменены на Ala). В связи с тем что длина СТ-домена Env влияет на биологические свойства ВИЧ-1, нефункциональную последовательность GCN4 включили в состав СТ для соответствия его длины таковой в белке Env из VVEnv-22hb. Очищенную фракцию плазматических мембран клеток Hep2, зараженных VVEnv-22 в разных дозах (по числу бляшкообразующих единиц (БОЕ) на клетку), анализировали методом иммуноблотинга (рис. 3, дорожки 1‒3).
Рис. 3. Образование тримеров белком Env ВИЧ-1, экспрессируемым VVEnv-22. Клетки Hep2 заражали вирусом с разной множественностью инфекции (MOI): 0.1 (дорожка 1), 0.2 (дорожка 2), 0.5 (дорожки 3, 5) БОЕ/клетка. Негативный контроль – неинфицированные клетки Hep2 (дорожка 4). Через 48 ч клетки снимали и очищали фракцию плазматических мембран, содержащую белки ВИЧ-1. Образцы растворяли в буфере для нанесения образцов без восстановителей при комнатной температуре (дорожки 1‒3) или c восстановителями (200 мM дитиотреитол, 200 мМ β-меркаптоэтанол, 8 М мочевина) 5 мин при 96°C (дорожка 5). Белки разделяли в 4–15%-ном SDS-PAAG и анализировали методом иммуноблотинга.
Как видно из результатов, приведенных на рис. 3, белок Env с укороченным СТ-доменом, без тримеризирующей последовательности GCN4, образовывал в клетках Нeр2 тримеры gp120SU, которые при одновременном воздействии высокой температуры и химических восстановителей распадались на мономеры (рис. 3, дорожка 5). Таким образом, продемонстрирована способность белка Env, не содержащего тримеризующей последовательности в СТ-домене, формировать тримеры на поверхности мембраны клеток Нeр2.
Продукция VLP
При получении Env-VLP прежде всего определили оптимальные условия их формирования с максимальным включением модифицированных белков Env: во-первых, множественность заражения и, во-вторых, соотношение между тремя rVV. Ранее показано, что Env с транкированным CT более эффективно включается в VLP, чем полноразмерный белок, количество которого в частицах строго ограничено из-за длины СТ [3, 4, 25]. В связи с этим количество шипов в VLP, состоящих из укороченных беков Env, можно увеличить за счет подбора соотношения вирусов VVCP, VVEnv-22 и VVGag-Pol. В ходе исследования кинетики продукции VLP в культуре клеток CHO, коинфицированной тремя rVV (VVCP + VVEnv-22 + VVGag-Pol), мы определили, что максимальный уровень VLP, несущих на поверхности Env ВИЧ-1, продуцируется через 72 ч после начала инфекции (рис. 4а, б), что коррелировало с данными, полученными ранее [4]. Выявлено, что модифицированный Env ВИЧ-1 включается в плазматические мембраны клеток в виде двух нековалентно связанных субъединиц: поверхностной и трансмембранной, – что также показано ранее для природных форм белка Env [23]. Мы проверили влияние изменений соотношений рекомбинантных вирусов на включаемость Env ВИЧ-1 в состав VLP.
Рис. 4. Кинетика продукции VLP ВИЧ-1. а – Анализ продукции VLP методом иммуноблотинга. Клетки CHO коинфицировали тремя вирусами: VVCP : VVEnv-22 : VVGag-Pol в соотношении 1 : 1 : 1 – с MOI 0.5 БОЕ/клетка; культуральную среду, содержащую VLP, собирали на 0 (дорожка 6), 48 (1), 60 (2), 72 (3), 84 (4) и 96 (5) ч после начала заражения. б – Денситометрический анализ проведен с использованием программного обеспечения ImageJ. Данные представлены на основании двух независимых экспериментов.
Конфицирование тремя вирусами: VVCP + VVEnv-22 + VVGag-Pol – при одновременном возрастании значений MOI (от 0.1 до 0.5 БОЕ/клетка) для всех вирусов приводило к увеличению уровня Env-содержащих VLP. Однако при увеличении содержания VVCP или VVEnv-22 (при значениях MOI от 0.1 до 0.5 БОЕ/клетка) над количеством VVGag-Pol значительной разницы во включении Env в VLP не обнаружено, что, вероятно, связано с низкой множественностью заражения. При высоком значении MOI (от 5 до 25 БОЕ/клетка) включение тримеров Env в VLP увеличивалось, особенно в соотношении вирусов, где преобладала доля VVEnv-22 над VVGag-Pol (данные не приведены). По-видимому, это связано с тем, что при низких значениях MOI для трех вирусов (необходимых для продукции Env-VLP) одновременно заразить одну клетку сложнее. На основании этих результатов подобраны оптимальные условия для продукции в клетках CHO VLP с высоким уровнем включения тримеров Env.
Паттерн гликозилирования модифицированных белков Env ВИЧ-1 в составе VLP
Мы изучали гликозилирование рекомбинантного белка Env ВИЧ-1 в клетках CHO. Для этого анализировали молекулярные массы гликановых форм белка Env ВИЧ-1, которые образуются в клетках CHO при заражении тремя вирусами: VVCP + VVEnv-22 + VVGag-Pol, – и сравнивали уровень их экспрессии (рис. 5).
Рис. 5. Иммуноблот-анализ молекулярной массы белков Env ВИЧ-1 на поверхности клеток CHO, коинфицированных смесью rVV. Содержание вирусов VVCP + VVEnv-22 + VVGag-Pol в инокуляте соответствовало 0.5 : 0.5 : 0.5 (дорожка 2), 1 : 1 : 1 (дорожка 3), 0.5 : 1.5 : 0.5 (дорожка 4), 1 : 1.5 : 0.5 (дорожка 5) БОЕ/клетка. Негативный контроль – клетки СНО, коинфицированные VVCP и VVGag-Pol в соотношении 1 : 1 БОЕ/клетка (дорожка 1). Белки разделяли в 8%-ном SDS-PAAG и анализировали методом иммуноблотинга, как описано в разделе “Экспериментальная часть”.
При увеличении содержания VVEnv-22 (рис. 5, дорожки 3‒5) или VVCP (рис. 5, дорожки 3, 5) в смеси трех rVV для инокуляции в клетках CHO экспрессия Env повышалась, а уменьшение доли VVGag-Pol (VLP-формирующий вирус) не изменяло ее интенсивность (рис. 5, дорожка 5). В мембраны клеток включался Env ВИЧ-1 с разными молекулярными массами, преимущественно соответствующими мономерной (120‒150 кДa) и тримерной (360‒450 кДa) форме SU-белка (рис. 5, дорожки 2‒5). Машинерия гликозилирования в клетках CHO близка к таковой в клетках человека [26]. Вероятнее всего, диффузные полосы 120‒150 и 360‒450 кДa соответствуют различным стадиям процессинга углеводных цепей белка Env ВИЧ-1.
Также проведено сравнение белков Env, полученных в клетках CHO и в мутантных клетках CHO Lec1 (не образуют комплексных и гибридных N-гликозилированных углеводных цепей) до и после обработки гликозидазой (рис. 6).
Рис. 6. Иммуноблотинг белков Env ВИЧ-1, экспрессируемых клетками CHO (1‒3) и CHO Lec1 (4–6), зараженных VVEnvIIIB. Фракцию плазматических мембран обрабатывали Endo H (дорожки 1, 4), PNGase F (дорожки 2, 5) или не обрабатывали (дорожки 3, 6). Белки разделяли в 8%-ном SDS-PAAG и анализировали методом иммуноблотинга, как описано в разделе “Экспериментальная часть”.
В не обработанной гликозидазами фракции плазматических мембран клеток СНО белки Env детектировали в виде диффузных полос в диапазоне от 41 до 160 кДа (рис. 6, дорожка 3), в то время как в клетках Lec1 выявлены две более четкие полосы в районе 160 и 41 кДа (рис. 6, дорожка 6). Как видно на рис. 6, gp120 (SU) и gp41 (ТМ) высокогликозилированы в обоих клеточных линиях, преимущественно N-связанными олигосахаридами, чувствительными к обработке Endo H (3.2.1.96). Это высокоспецифичная эндогликозидаза, которая отщепляет от гликопротеинов Asn-связанные высокоманнозные углеводные цепи, но не комплексные – с высокой степенью процессинга. Продуцируемые мономеры белков SU и ТМ интенсивно гликозилированы в обоих клеточных линиях, но в клетках Lec1 они более чувствительны к обработке Endo H, чем в клетках CHO дикого типа. Различная чувствительность клеток Lec1 и CHO к обработке Endo H связана с наличием комплексных и гибридных гликанов в CHO и доступностью для фермента высокоманнозных гликанов в Lec1.
Содержание модифицированных тримеров Env, которое оценивали по соотношению Gag/Env, находилось в диапазоне от 50 до 100 тримеров на VLP по сравнению с 10 тримерами на ВИЧ-вирионы первичных изолятов [3]. Более того, при изучении VLP с аутентичными белками Env представлены доказательства того, что частицы ВИЧ-1 могут содержать нефункциональные мономеры gp120/gp41 [21]. Для анализа полученных в клетках Lec1 VLP с белками Env22 или Env-22hb (SU/TM) в форме тримеров использовали BN-PAGE.
Чувствительность тримеров Env в составе VLP, полученных в клетках Lec1, к действию Endo H была избирательной (рис. 7а, дорожка 2; 7б, дорожки 2 и 5).
Рис. 7. BN-PAGE-анализ VLP, обработанных гликозидазами или протеазами. VLP, полученные в клетках Lec1, инфицированных с одинаковой множественностью VVGag-Pol и VVEnv-22 (а), с избытком VVEnv-22 или VVEnv-22hb по отношению к VVGag-Pol (б). VLP Env-22 (а, 1‒3; б, 1‒3); VLP Env-22hb (б, 4‒6). Необработанные VLP (а, 1; б, 3 и 6), обработанные Endo H (а, 2; б, 2 и 5), смесью ферментов: химотрипсин, трипсин, субтилизин/протеиназа K) (а, 3; б, 1 и 4).
Как видно из рис. 7, тримеры Env-22 оказались не чувствительными к действию Endo H: молекулярные массы как не обработанных (рис. 7б, дорожка 3), так и обработанных (рис. 7б, дорожка 2) ферментом образцов не отличалась. Однако тримеры Env-22hb были чувствительны к действию Endo H: молекулярные массы необработанных (рис. 7б, дорожка 6) и обработанных (рис. 7б, дорожка 5) образцов отличались. На основании полученных результатов можно сделать вывод, что белок Env-22 содержит комплексные углеводные цепи, в то время как к Env-22hb прикреплены исключительно высокоманнозные гликаны.
ОБСУЖДЕНИЕ РЕЗУЛЬТАТОВ
Ранее при разработке подходов к повышению иммуногенности белка Env установлено, что для этого необходимо выполнение, как минимум, двух условий: увеличения его содержания в несущей конструкции, то есть включаемости в VLP, и антигенной доступности, то есть экспонированности консервативных эпитопов, узнаваемых нейтрализующими антителами [3]. Замена TMS и CT белка gp41 ВИЧ-1 на соответствующие последовательности из гликопротеина Env MMTV приводила к увеличению включения экспрессируемого модифицированного белка Env ВИЧ-1 в состав VLP. Скорее всего, это обусловлено тем, что плотность природного Env на вирионах MMTV гораздо выше, чем Env ВИЧ-1 на вирусной частице. Модификация СТ-домена включением в его состав тримеризирующей α-спиральной последовательности GCN4 усиливала иммуногенность Env штамма ZM53 ВИЧ-1 – трансмиссивного штамма-основателя (transmitted founder; T/F) (этот вирус отличается от других ВИЧ-1 “компактностью” белка Env, что обусловлено более короткими петлями V1–V4 gp120 [27]). Эти модификации белка Env позволили достигнуть высоких уровней его включения в VLP [3].
Для продукции VLP с целью изучения состава гликанов поверхностных шипов ВИЧ-1 мы использовали клетки CHO. Этот выбор обусловлен тем, что эти клетки широко используют для сверхэкспрессии чужеродных белков и их суспензионные культуры легко масштабируемы, причем без сывороточной среды. Кроме того, клетки CHO относятся к очень немногим перевиваемым клеточным линиям, одобренным для экспрессии рекомбинантных белков в медицинских целях [22]. Мутантные варианты клеток CHO используют для изучения путей гликозилирования и идентификации генов белков, участвующих в этом процессе, для выяснения функциональной роли гликанов, а также в инженерии гликозилирования. Именно в клетках СНО, содержащих генетически измененные пути N-гликозилирования, удалось получить VLP, обогащенные Env. Это генетически сконструированная линия СНО Lec1, полученная из родительской СНО Pro-5 [28]. В ряде исследований показано, что значительное влияние на гликозилирование Env оказывает метаболическая активность клеточных линий, приводящая к различному содержанию N-гликанов в Env [17, 29, 30].
Мы обнаружили, что прикрепленные к белку Env без тримеризирующей последовательности высокоманнозные углеводные цепи подвергаются процессингу с образованием комплексных цепей, в то время как Env с тримеризирующей последовательностью содержит исключительно высокоманнозные олигосахариды. По сравнению со стабилизированным нестабилизированный Env53-22 содержал гораздо более высокую долю комплексных гликанов. Различные факторы, такие как стабилизирующие мутации, скорость прохождения секреторного пути и другие, могут влиять на процессинг углеводных цепей гликопротеинов [31]. Как показано ранее, паттерн гликозилирования рекомбинантных Env – ключевой параметр при дизайне ВИЧ-вакцин [32]. Структура рекомбинантных растворимых тримеров Env SOSIP или других, среди которых есть клинические кандидаты, значительно отличается от аутентичных белков Env ВИЧ-1. У SOSIP нет СТ-домена. После транкирования СТ-домена на месте удаления остается открытая белковая поверхность, не защищенная гликанами. Эта белковая поверхность становится предпочтительной мишенью для антител, что изменяет антигенный паттерн и индуцирует нецелевой иммунный ответ или слабые штаммспецифические нейтрализующие антитела [32].
Иммуногенность полученных в представленной работе VLP, содержащих модифицированные белки Env с различной композицией гликанов, еще предстоит изучить. Однако давно показано, что участок, который модулирует взаимодействие поверхностной субъединицы с CD4 и корецептором, находится на петлях V1V2 вблизи β-листа gp120 [33, 34]. Более того, предполагается, что петля V4, расположенная на внешнем домене тримера gp120, при изменении ее размера влияет на упаковку и ориентацию гликанов вблизи CD4-связывающего сайта [27]. Таким образом, наличие компактной области V1‒V4 в штамме ZM53 ВИЧ-1 имеет функциональное значение, по-видимому, благоприятствуя экспонированности CD4-связывающего домена и, как следствие, повышению иммуногенности [35‒39]. Ранее продемонстрировано, что различия в аффинности к CD4 не ассоциированы с функциями Env (активностью слияния или инфекционностью вириона), в то время как первичная структура и длина домена СТ влияли на способность связываться с CD4. Кроме того, спиральная структура в домене СТ снижала способность связывания Env с CD4, но усиливала аффинность связывание с корецептором CCR5 [7, 23, 24, 40, 41].
Отличие VLP от растворимых белков состоит в том, что в составе частицы сохраняется природная структура тримера Env ВИЧ-1, которую можно изменять на другие конформации посредством модификации СТ-домена. Изменения конформации тримера Env сопровождаются изменениями в составе связанных с ним гликанов. Углеводные цепи на стабилизированных Env-тримерах ВИЧ-1 в высокоиммуногенных VLP [3] более однородны по составу и меньше по размеру, чем гликаны на тримерах Env с подвижной конформацией. При дизайне VLP-иммуногена необходимо учитывать характеристики белка Env штаммов ВИЧ-1. Различия между белком Env штамма-основателя, имеющим “закрытую” конформацию и не вызывающим образования неспецифических антител, или Env штамма ВИЧ-1 при хронической инфекции – с “открытой” конформацией и высоким потенциалом изменений во внешнем и цитоплазматическом доменах – имеют значение при выборе стратегий, влияющих на демаскировку консервативных эпитопов. Надеемся, что с помощью сконструированных нами высокоиммуногенных VLP удастся расширить знания о влиянии гликанов на индукцию нейтрализующих антител, что позволит получить эффективные иммуногены ВИЧ-1.
Авторы благодарны проф. М.И. Букринскому за полезные дискуссии в ходе написания статьи.
Работа поддержана Государственным заданием Минобрнауки (Рег. № 122111700079-1).
Авторы заявляют об отсутствии конфликта интересов.
作者简介
G. Kaevitser
Gamaleya Federal Research Center of Epidemiology and Microbiology
编辑信件的主要联系方式.
Email: anvzorov@mail.ru
俄罗斯联邦, Moscow, 123098
E. Samokhvalov
Gamaleya Federal Research Center of Epidemiology and Microbiology
Email: anvzorov@mail.ru
俄罗斯联邦, Moscow, 123098
D. Scheblyakov
Gamaleya Federal Research Center of Epidemiology and Microbiology
Email: anvzorov@mail.ru
俄罗斯联邦, Moscow, 123098
A. Gintsburg
Gamaleya Federal Research Center of Epidemiology and Microbiology; Sechenov First Moscow State Medical University, Ministry of Health of the Russian Federation
Email: anvzorov@mail.ru
俄罗斯联邦, Moscow, 123098; Moscow, 123098
A. Vzorov
Gamaleya Federal Research Center of Epidemiology and Microbiology; Department of Immunology, Faculty of Biology, Lomonosov Moscow State University
Email: anvzorov@mail.ru
俄罗斯联邦, Moscow, 123098; Moscow, 119234
参考
- Melikyan G.B., Markosyan R.M., Hemmati H., Delmedico M.K., Lambert D.M., Cohen F.S. (2000) Evidence that the transition of HIV-1 gp41 into a six-helix bundle, not the bundle configuration, induces membrane fusion. J. Cell Biol. 151, 413–423.
- Rutten L., Lai Y.T., Blokland S., Truan D., Bisschop I.J.M., Strokappe N.M., Koornneef A., van Manen D., Chuang G.Y., Farney S.K., Schuitemaker H., Kwong P.D., Langedijk J.P.M. (2018) A universal approach to optimize the folding and stability of prefusion-closed HIV-1 envelope trimers. Cell Rep. 23, 584–595.
- Vzorov A.N., Wang L., Wang B.Z., Compans R.W. (2016) Effects of modification of the HIV-1 Env cytoplasmic tail on immunogenicity of VLP vaccines. Virology. 489, 141–150.
- Vzorov A.N., Compans R.W. (1996) Assembly and release of SIV env proteins with full-length or truncated cytoplasmic domains. Virology. 221, 22–33.
- Vzorov A.N., Lea-Fox D., Compans R.W. (1999) Immunogenicity of full length and truncated SIV envelope proteins. Viral Immunol. 12, 205–215.
- Vzorov A.N., Compans R.W. (2000) Effect of the cytoplasmic domain of the simian immunodeficiency virus envelope protein on incorporation of heterologous envelope proteins and sensitivity to neutralization. J. Virol. 74, 8219–8225.
- Vzorov A.N., Compans R.W. (2011) Effects of stabilization of the gp41 cytoplasmic domain on fusion activity and infectivity of SIVmac239. AIDS Res. Hum. Retroviruses. 27, 1213–1222.
- Haynes B.F., Wiehe K., Borrow P., Saunders K.O., Korber B., Wagh K., McMichael A.J., Kelsoe G., Hahn B.H., Alt F., Shaw G.M. (2023) Strategies for HIV-1 vaccines that induce broadly neutralizing antibodies. Nat. Rev. Immunol. 23, 142–158.
- Back N.K., Smit L., De Jong J.J., Keulen W., Schutten M., Goudsmit J., Tersmette M. (1994) An N-glycan within the human immunodeficiency virus type 1 gp120 V3 loop affects virus neutralization. Virology. 199, 431–438.
- Cole K.S., Steckbeck J.D., Rowles J.L., Desrosiers R.C., Montelaro R.C. (2004) Removal of N-linked glycosylation sites in the V1 region of simian immunodeficiency virus gp120 results in redirection of B-cell responses to V3. J. Virology. 78, 1525–1539.
- Koch M., Pancera M., Kwong P.D., Kolchinsky P., Grundner C., Wang L., Hendrickson W.A., Sodroski J., Wyatt R. (2003) Structure-based, targeted deglycosylation of HIV-1 gp120 and effects on neutralization sensitivity and antibody recognition. Virology. 313, 387–400.
- McCaffrey R.A., Saunders C., Hensel M., Stamatatos L. (2004) N-linked glycosylation of the V3 loop and the immunologically silent face of gp120 protects human immunodeficiency virus type 1 SF162 from neutralization by anti-gp120 and anti-gp41 antibodies. J. Virology. 78, 3279–3295.
- Reitter J.N., Means R.E., Desrosiers R.C. (1998) A role for carbohydrates in immune evasion in AIDS. Nat. Med. 4, 679–684.
- Julien J.P., Lee P.S., Wilson I.A. (2012) Structural insights into key sites of vulnerability on HIV-1 Env and influenza HA. Immunol. Rev. 250, 180–198.
- Sok D., Doores K.J., Briney B., Le K.M., Saye-Francisco K.L., Ramos A., Kulp D.W., Julien J.P., Menis S., Wickramasinghe L., Seaman M.S., Schief W.R., Wilson I.A., Poignard P., Burton D.R. (2014) Promiscuous glycan site recognition by antibodies to the high-mannose patch of gp120 broadens neutralization of HIV. Sci. Transl. Med. 6, 236ra63.
- Lanteri M., Giordanengo V., Hiraoka N., Fuzibet J.G., Auberger P., Fukuda M., Baum L.G., Lefebvre J.C. (2003) Altered T cell surface glycosylation in HIV-1 infection results in increased susceptibility to galectin-1-induced cell death. Glycobiology. 13, 909–918.
- Binley J.M., Ban Y.E., Crooks E.T., Eggink D., Osawa K., Schief W.R., Sanders R.W. (2010) Role of complex carbohydrates in human immunodeficiency virus type 1 infection and resistance to antibody neutralization. J. Virol. 84, 5637–5655.
- Wagh K., Hahn B.H., Korber B. (2020) Hitting the sweet spot: exploiting HIV-1 glycan shield for induction of broadly neutralizing antibodies. Curr. Opin. HIV AIDS. 15, 267–274.
- Lechner F., Jegerlehner A., Tissot A.C., Maurer P., Sebbel P., Renner W.A., Jennings G.T., Bachmann M.F. (2002) Virus-like particles as a modular system for novel vaccines. Intervirology. 45, 212–217.
- Blasco R., Moss B. (1995) Selection of recombinant vaccinia viruses on the basis of plaque formation. Gene. 158, 157–162.
- Moore P.L., Crooks E.T., Porter L., Zhu P., Cayanan C.S., Grise H., Corcoran P., Zwick M.B., Franti M., Morris L., Roux K.H., Burton D.R., Binley J.M. (2006) Nature of nonfunctional envelope proteins on the surface of human immunodeficiency virus type 1. J. Virol. 80, 2515–2528.
- Ramsey-Ewing A., Moss B. (1996) Recombinant protein synthesis in Chinese hamster ovary cells using a vaccinia virus/bacteriophage T7 hybrid expression system. J. Biol. Chemistry. 271, 16962–16966.
- Checkley M.A., Luttge B.G., Freed E.O. (2011) HIV-1 envelope glycoprotein biosynthesis, trafficking, and incorporation. J. Mol. Biol. 410, 582–608.
- Vzorov A.N., Yang C., Compans R.W. (2015) An amphipathic sequence in the cytoplasmic tail of HIV-1 Env alters cell tropism and modulates viral receptor specificity. Acta Virol. 59, 209–220.
- Tedbury P.R., Novikova M., Ablan S.D., Freed E.O. (2016) Biochemical evidence of a role for matrix trimerization in HIV-1 envelope glycoprotein incorporation. Proc. Natl. Acad. Sci. USA. 113(2), E182–E190.
- doi: 10.1073/pnas.1516618113
- Nguyen N.T.B., Lin J., Tay S.J., Mariati, Yeo M., Nguyen-Khuong T., Yang Y. (2021) Multiplexed engineering glycosyltransferase genes in CHO cells via targeted integration for producing antibodies with diverse complex-type N-glycans. Sci. Rep. 11, 12969.
- Derdeyn C.A., Decker J.M., Bibollet-Ruche F., Mokili J.L., Muldoon M., Denham S.A., Heil M.L., Kasolo F., Musonda R., Hahn B.H., Shaw G.M., Korber B.T., Allen S., Hunter E. (2004) Envelope-constrained neutralization-sensitive HIV-1 after heterosexual transmission. Science. 303, 2019–2022.
- Patnaik S.K., Stanley P. (2006) Lectin-resistant CHO glycosylation mutants. Methods Enzymol. 416, 159–182.
- Zhu X., Borchers C., Bienstock R.J., Tomer K.B. (2000) Mass spectrometric characterization of the glycosylation pattern of HIV-gp120 expressed in CHO cells. Biochemistry. 39, 11194–11204.
- Raska M., Takahashi K., Czernekova L., Zachova K., Hall S., Moldoveanu Z., Elliott M.C., Wilson L., Brown R., Jancova D., Barnes S., Vrbkova J., Tomana M., Smith P.D., Mestecky J., Renfrow M.B., Novak J. (2010) Glycosylation patterns of HIV-1 gp120 depend on the type of expressing cells and affect antibody recognition. J. Biol. Chem. 285, 20860–20869.
- Srinivas R.V., Compans R.W. (1983) Glycosylation and intracellular transport of spleen focus-forming virus glycoproteins. Virology. 125, 274–286.
- Cao L., Pauthner M., Andrabi R., Rantalainen K., Berndsen Z., Diedrich J.K., Menis S., Sok D., Bastidas R., Park S.R., Delahunty C.M., He L., Guenaga J., WyattR.T., Schief W.R., Ward A.B., Yates J.R. 3rd., Burton D.R., Paulson J.C. (2018) Differential processing of HIV envelope glycans on the virus and soluble recombinant trimer. Nat. Commun. 9, 3693.
- Kwong P.D., Wyatt R., Robinson J., Sweet R.W., Sodroski J., Hendrickson W.A. (1998) Structure of an HIV gp120 envelope glycoprotein in complex with the CD4 receptor and a neutralizing human antibody. Nature. 393, 648–659.
- Rizzuto C.D., Wyatt R., Hernández-Ramos N., Sun Y., Kwong P.D., Hendrickson W.A., Sodroski J. (1998) A conserved HIV gp120 glycoprotein structure involved in chemokine receptor binding. Science. 280, 1949–1953.
- Kolchinsky P., Kiprilov E., Sodroski J. (2001) Increased neutralization sensitivity of CD4-independent human immunodeficiency virus variants. J. Virol. 75, 2041–2050.
- Puffer B.A., Pöhlmann S., Edinger A.L, Carlin D., Sanchez M.D., Reitter J., Watry D.D., Fox H.S., Desrosiers R.C., Doms R.W. (2002) CD4 independence of simian immunodeficiency virus Envs is associated with macrophage tropism, neutralization sensitivity, and attenuated pathogenicity. J. Virol. 76, 2595–2605.
- Edwards T.G., Hoffman T.L., Baribaud F., Wyss S., LaBranche C.C., Romano J., Adkinson J., Sharron M., Hoxie J.A., Doms R.W. (2001) Relationships between CD4 independence, neutralization sensitivity, and exposure of a CD4-induced epitope in a human immunodeficiency virus type 1 envelope protein. J. Virol. 75, 5230–5239.
- Johnson W.E., Morgan J., Reitter J., Puffer B.A., Czajak S., Doms R.W., Desrosiers R.C. (2002) A replication-competent, neutralization-sensitive variant of simian immunodeficiency virus lacking 100 amino acids of envelope. J. Virol. 76, 2075–2086.
- Center R.J., Earl P.L., Lebowitz J., Schuck P., Moss B. (2000) The human immunodeficiency virus type 1 gp120 V2 domain mediates gp41-independent intersubunit contacts. J. Virol. 74, 4448–4455.
- Vzorov A.N., Compans R.W. (2016) Cytoplasmic domain effects on exposure of co-receptor-binding sites of HIV-1 Env. Arch. Virol. 161, 3011–3018.
- Liao H.X., Tsao C.Y., Alam S.M., Muldoon M., Vandergrift N., Ma B.J., Lu X., Sutherland L.L., Scearce R.M., Bowman C., Parks R., Chen H., Blinn J.H., Lapedes A., Watson S., Xia S.M., Foulger A., Hahn B.H., Shaw G.M., Swanstrom R., Montefiori D.C., Gao F., Haynes B.F., Korber B. (2013) Antigenicity and immunogenicity of transmitted/founder, consensus, and chronic envelope glycoproteins of human immunodeficiency virus type 1. J. Virol. 87, 4185–4201.
补充文件









