Исследование токсичности фармакологической пары инкапсулированная Citrobacter freundii C115H метионин-γ-лиаза / метиин
- Авторы: Ревтович С.В.1, Куликова В.В.1, Коваль В.С.1, Лыфенко А.Д.1, Казаков В.А.2, Чернов А.С.2, Телегин Г.Б.2, Земская А.С.1, Ануфриева Н.В.1, Морозова Е.А.1, Сольев П.Н.1
-
Учреждения:
- Институт молекулярной биологии им. В.А. Энгельгардта Российской академии наук
- Филиал Института биоорганической химии им. академиков М.М. Шемякина и Ю.А. Овчинникова Российской академии наук
- Выпуск: Том 58, № 6 (2024)
- Страницы: 953-965
- Раздел: ПОЛУЧЕНИЕ И СТРУКТУРНО-ФУНКЦИОНАЛЬНЫЙ АНАЛИЗ ПРОТИВОМИКРОБНЫХ СРЕДСТВ
- URL: https://journal-vniispk.ru/0026-8984/article/view/280776
- DOI: https://doi.org/10.31857/S0026898424060064
- EDN: https://elibrary.ru/HMWQWG
- ID: 280776
Цитировать
Полный текст
Аннотация
Исследованы острая и субхроническая токсичность фармакологической пары инкапсулированный фермент Citrobacter freundii C115H метионин-γ-лиаза/пролекарство (метиин) на самках мышей стока ICR. Препарат показал слабый/умеренный дозозависимый гепатотоксический эффект; большинство изменений морфологии печени относились к несущественным или слабовыраженным отклонениям от нормы. Длительное применение однократной терапевтической дозы 1.5 Ед C. freundii C115H метионин-γ-лиаза @ (PEG−P(Asp)70/PLL70)-PIC-сом/2 мг метиин на мышь приводило к незначительному снижению веса животных без явных признаков интоксикации; морфология печени у четверти животных не имела отклонений от нормы. Не обнаружено нефротоксического эффекта во всех использованных в исследовании группах.
Ключевые слова
Полный текст
ВВЕДЕНИЕ
Актуальность создания новых противомикробных средств обусловлена разнообразием биологических форм возбудителей, постоянным появлением штаммов, резистентных к уже известным антибиотикам, а также обнаружением новых видов опасных патогенов. Ранее нами было разработано оригинальное противомикробное средство – фармакологическая пара, обеспечивающая образование действующего вещества-антибиотика in situ, на основе применения оптимизированного ферментного препарата и проантибиотика [1]. Показано, что мутантная форма C115H метионин-γ-лиазы (МГЛ) из Citrobacter freundii способна эффективно катализировать расщепление сульфоксидов (±)S-алк(ен)ил-L-цистеина с образованием тиосульфинатов, ингибирующих рост широкого спектра микроорганизмов [2–8], включая мультирезистентные штаммы [9]. С целью практического применения предложено создать пролекарство на основе инкапсулирования фермента в полиионные везикулы (PIC-сомы), которые значительно увеличивают его стабильность в плазме крови лабораторных животных [10, 11]. В организме такой инкапсулированный фермент в течение длительного времени способен образовывать из фармакологически инертных сульфоксидов активные противомикробные агенты. Антибактериальное действие фармакологической пары инкапсулированная C. freundii C115H МГЛ/метиин, вырабатывающей наиболее перспективное в отношении Pseudomonas aeruginosa вещество, диметилтиосульфинат (рис. 1) [9], проверено на модели острой генерализованной инфекции в испытаниях in vivo, где показало высокую эффективность [12]. При этом как сама фармакологическая пара, так и ее отдельные компоненты оказывали низкое токсическое воздействие (или не оказывали вовсе) на способность ранних эмбрионов мышей проходить все стадии доимплантационного развития в условиях in vitro [13]. Тем не менее, прежде чем использовать полученные препараты в медицинской практике, необходимо оценить их безопасность на лабораторных животных [14].
Рис. 1. Принцип действия фармакологической пары инкапсулированная МГЛ/метиин.
ЭКСПЕРИМЕНТАЛЬНАЯ ЧАСТЬ
Материалы. Пиридоксаль-5’-фосфат (ПЛФ), лактатдегидрогеназа из мышцы кролика, NADH (“Sigma”, США); тиогликолевая среда, триптозосоевый бульон (“Merсk”, США); D,L-дитиотреитол, EDТА, протамина сульфат (“Serva”, США); лактоза (“Panreac”, Испания); глюкоза, глицерин, сульфат магния, сульфат аммония, калий фосфорнокислый однозамещенный, натрий фосфорнокислый двузамещенный (“Реахим”, Россия); канамицин (“Панэко”, Россия); дрожжевой экстракт, триптон (“Difco”, США); DEAE-сефароза (“GE Healthcare”, Швеция); АХД-2000 (“Lysoform”, Германия); набор для количественного анализа хромогенных эндотоксинов Limulus Amebocyte Lysate (LAL-reagent) (“Thermo Fisher Scientific”, США); Endotoxin Extractor (“Sileks”, Россия). Метиин синтезировали согласно [1]; 2-нитро-5-тиобензойную кислоту получали согласно [15]; полиэтиленгликоль-поли (L-аспарагиновую кислоту)70 (ПЭГ–P(Asp)70) и поли (L-лизин)70 (PLL70) – согласно [16].
Выделение и очистка C. freundii C115H МГЛ. Рекомбинантную C. freundii C115H МГЛ выделяли и очищали согласно [1]. Гомогенность препарата подтверждали методом ПААГ-электрофореза в денатурирующих условиях по методу Лэммли [17]. Концентрацию фермента определяли, используя коэффициент молярного поглощения А1%278 = 0.8 [18]. Эндотоксины удаляли согласно [12]. Содержание эндотоксинов в полученном препарате, определенное при помощи LAL-теста, составило 0.065 ЕЭ/мг.
Инкапсулирование C. freundii C115H МГЛ в полимерные везикулы. Инкапсулирование фермента проводили в 50 мМ калий-фосфатном буфере (КФБ) рН 7.5 при температуре 37°C. Растворы 1 мг/мл ПЭГ–P(Asp)70 и PLL70 (1 мг/мл) пропускали через мембранный фильтр 0.22 мкм, смешивали в эквивалентном соотношении звеньев полимеров -COO- и -NH3+ и интенсивно перемешивали на вибрационном смесителе типа Vortex при скорости 2000 об/мин в течение 2 мин, затем добавляли раствор фермента С115Н МГЛ (6 мг/мл в 10 мМ КФБ рН 7.5, 0.1 мМ ПЛФ) и перемешивали при той же скорости в течение еще 2 мин. Полученные полимерные везикулы, содержащие C115H МГЛ (C115H МГЛ-PIC-сом), очищали от неинкапсулированного фермента центрифугированием при 12000 об/мин. Затем промывали 4 раза буферным раствором (10 мМ КФБ рН 7.5, 0.1 мМ ПЛФ) до полного исчезновения пика 420 нм в супернатанте. Формирование нанокапсул подтверждено с помощью сканирующей электронной [16] и ядерно-силовой микроскопии [13]. Размер нанокапсул оценивали методом динамического рассеяния света с помощью ZetaPALS (“Brookhaven Instruments Corp.”, США) при 25°C. Средний гидродинамический диаметр составил 52 ± 0.33 нм, z-потенциал – 3.45 ± 0.36 мВ. Для определения степени включения С115Н МГЛ в PIC-сомы фермент модифицировали родамином. Образцы анализировали при помощи флуориметра (“Varian”) при длине волны возбуждения 552 нм и длине волны эмиссии 575 нм. Степень включения фермента составила 10%.
Определение активности фермента. Активность МГЛ определяли в реакции β-элиминирования, измеряя скорость образования пирувата в сопряженной реакции с лактатдегидрогеназой по снижению поглощения NADH при 340 нм (ε = 6220 M–1cм–1) и 37°C. Реакционная смесь содержала рабочий буфер, 0.2 мМ NADH, 10 Ед лактатдегидрогеназы и 30 мМ S-метил-L-цистеин. За единицу ферментативной активности принимали количество фермента, катализирующее образование 1 мкМ/мин пирувата.
Лабораторные животные. В работе использовали самок аутбредных мышей ICR возрастом 8–10 недель, содержавшихся в контролируемых условиях (температура, влажность, освещение) в НПП “Питомник лабораторных животных” ФИБХ РАН (УНУ “Био-модель” ИБХ РАН; Биоресурсная коллекция “Коллекция лабораторных грызунов SPF статуса для фундаментальных, биомедицинских и фармакологических исследований” ИБХ РАН, № 075-15-2021-1067) в клетках изоляторного типа IsoCage (“Techniplast”, Италия) социальными группами по три‒пять особей. Исследование токсичности проводили в соответствии с руководящими принципами токсикологических исследований Организации экономического сотрудничества и развития (OECD) для тестирования химикатов [19]. В опытах использовали самок мышей, поскольку самки более чувствительны к токсическим воздействиям, чем самцы [20].
Манипуляции с животными (инъекции препаратов, взвешивание, клинический осмотр, забор биоматериала и пр.) проводили в асептических условиях с использованием биозащищенного бокса с ламинарным потоком воздуха (2-й класс биозащиты). Эвтаназию животных выполняли в соответствии с международными требованиями [21] с помощью автоматизированного СО2-бокса “Bioscape”. Все эксперименты и манипуляции одобрены институтской комиссией по уходу за лабораторными животными и их использованию (IACUC № 709/19 от 01.07.2019).
Контроль стерильности препаратов. Стерильность вводимых животным препаратов проверяли с использованием тест-систем: тиогликолевой среды и триптозосоевого бульона. Смывы со всех пробирок, в которых содержались препараты, переносили во флакон с триптозосоевым бульоном и во флакон с тиогликолевой средой (по 1 мл в каждый). Флаконы инкубировали при 37°C в течение 48 ч, после чего проводили визуальный анализ изменения окраски сред и степени их мутности.
Острая и субхроническая токсичность. Подопытных животных распределяли в случайном порядке на пять групп. Группы исследования острой токсичности (группы 1–3, по шесть мышей в каждой) получали однократно дозу препаратов в первый день эксперимента. Животным группы 1 вводили инкапсулированную C115H МГЛ (1.5 Ед/мышь) и метиин 2 мг/мышь (×1 терапевтическая доза [12]), мышам группы 2 вводили по 1.5 Ед инкапсулированной C115H МГЛ и 10 мг метиина (×5 терапевтическая доза), группе 3 вводили инкапсулированную C115H МГЛ 1.5 Ед/мышь и метиин 20 мг/мышь (×10 терапевтическая доза). Спустя 7 дней животных подвергали эвтаназии, выделяли почки и печень, проводили гистологическое исследование. Животным группы оценки субхронической токсичности (группа 4; восемь мышей) инкапсулированную C115H МГЛ 1.5 Ед/мышь и метиин 2 мг/мышь вводили ежедневно с 1 по 7 день исследования. Через 7 дней после отмены препаратов животных подвергали эвтаназии, выделяли почки и печень и проводили гистологическое исследование. Контрольная группа животных (группа 5) получала 0.9%-ный раствор NaCl. Две мыши контрольной группы получали препарат согласно протоколу для групп исследования острой токсичности, три – согласно протоколу для группы субхронической токсичности.
Препараты вводили через хвостовую вену одноразовым шприцем с диаметром иглы 29G– сначала 100 мкл инкапсулированной C115H МГЛ в буферном растворе (50 мМ КФБ, 0.1 мМ ПЛФ pH 7.5), затем 100 мкл метиина в физиологическом растворе. Промежуток времени между инъекциями фермента и метиина не превышал 15 мин. Перед введением препаратов область инъекции обрабатывали кожным антисептиком АХД-2000. На протяжении всего эксперимента проводили ежедневный клинический осмотр животных. Взвешивание выполняли на 1, 7 и 14 сутки эксперимента.
Гистологические исследования. Образцы биоматериала (печень и почки) фиксировали в 10%-ном растворе нейтрального формалина, далее промывали в проточной воде, обезвоживали в спиртах восходящей концентрации и заливали в парафин. Парафиновые срезы толщиной 4–5 мкм, окрашенные гематоксилином и эозином, изучали с помощью световой микроскопии на микроскопе AxioScope.A1 (“Carl Zeiss”, Германия). Микрофотографии гистологических препаратов получали с помощью камеры высокого разрешения Axiocam 305 color (“Carl Zeiss”). Cтепень выраженности морфологических отклонений оценивали с использованием следующей шкалы [22]: несущественное повреждение или отклонение от нормы (MI) – 1 балл, слабовыраженное повреждение или отклонение от нормы (SL) – 2 балла, умеренное повреждение или отклонение от нормы (MO) – 3 балла, выраженное повреждение или отклонение от нормы (MA) – 4 балла, резко выраженное повреждение или отклонение от нормы (SE) – 5 баллов (табл. S1, S2, см. Дополнительные материалы в электронном виде по DOI статьи и на сайте http://www.molecbio.ru/downloads/2024/6/supp_Revtovich_rus.pdf).
РЕЗУЛЬТАТЫ И ОБСУЖДЕНИЕ
Терапия пролекарствами обычно имеет ряд преимуществ перед традиционными препаратами благодаря более плавному повышению концентрации активных действующих веществ и их пролонгированному действию, что, в свою очередь, позволяет снизить частоту приема препарата и уменьшить токсическую нагрузку. Одним из кандидатов в противомикробные препараты, действующих на широкий спектр патогенов, является двухкомпонентная система, состоящая из инкапсулированной C. freundii C115H МГЛ и пролекарства-метиина. Замена Cys115 на гистидин в активном центре фермента повышает его каталитическую активность в реакции β-элиминирования S-замещенных сульфоксидов L-цистеина на порядок по сравнению с МГЛ дикого типа. В ходе ферментативной реакции МГЛ с метиином образуется наиболее стабильный из природных тиосульфинатов диметилтиосульфинат [1, 6], основной противомикробный компонент растений рода Brassica [23]. Доклинические исследования токсичности на лабораторных мышах при однократной и многократной инфузии фармакологической пары с оценкой патофизиологических изменений позволяют оценить безопасность терапии фармакологической парой на основе инкапсулированной C. freundii C115H МГЛ/метиина.
Ежедневные осмотры показали, что поведение, внешний вид и изменение веса подопытных мышей в группах исследования острой токсичности не отличались от показателей у мышей контрольной группы и соответствовали здоровым животным. Животные группы субхронической токсичности на момент окончания эксперимента потеряли около 14% начальной массы (табл. 1), не имели явных признаков интоксикации, однако были менее активными, а их шерстный покров был более взъерошенным по сравнению с контрольной группой. Определение массы почек и печени не выявило существенных различий в весе внутренних органов у животных всех групп (табл. 1).
Таблица 1. Изменение веса тела, массы почек и печени подопытных животных
Препарат (доза) | Физраствор | 1.5 Ед С115Н-PIC-сом МГЛ / 2 мг метиина (×1) | 1.5 Ед С115Н-PIC-сом МГЛ / 10 мг метиина (×5) | 1.5 Ед С115Н-PIC-сом МГЛ / 20 мг метиина (×10) | 1.5 Ед С115Н-PIC-сом МГЛ / 2 мг метиина (×1) |
Число животных | 5 | 6 | 6 | 6 | 8 |
Изменение массы тела, г | |||||
1 день | 32.40 ± 1.28 | 31.17 ± 1.22 | 32.67 ± 1.44 | 33.17 ± 0.89 | 32.63 ± 1.03 |
7 день | 31.40 ± 1.52 | 30.67 ± 1.67 | 33.00 ± 2.00 | 30.00 ± 1.33 | 29.38 ± 1.72 |
14 день | 30.33 ± 0.89* | – | – | – | 28.13 ± 1.41 |
Масса внутренних органов, г | |||||
Печень | 1.51 ± 0.17 | 1.53 ± 0.12 | 1.59 ± 0.18 | 1.35 ± 0.06 | 1.53 ± 0.17 |
Почки | 0.37 ± 0.02 | 0.41 ± 0.03 | 0.43 ± 0.05 | 0.39 ± 0.01 | 0.41 ± 0.03 |
*Число мышей в группе, n = 3.
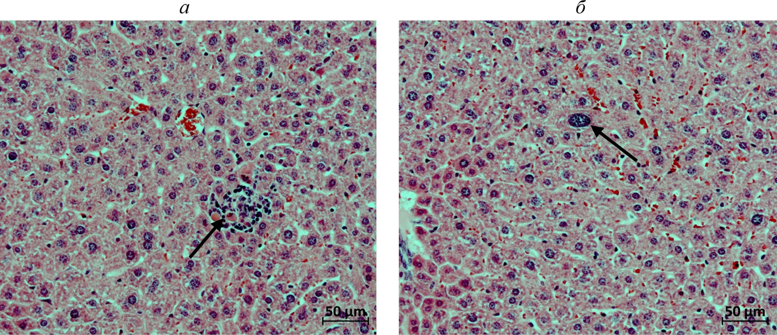
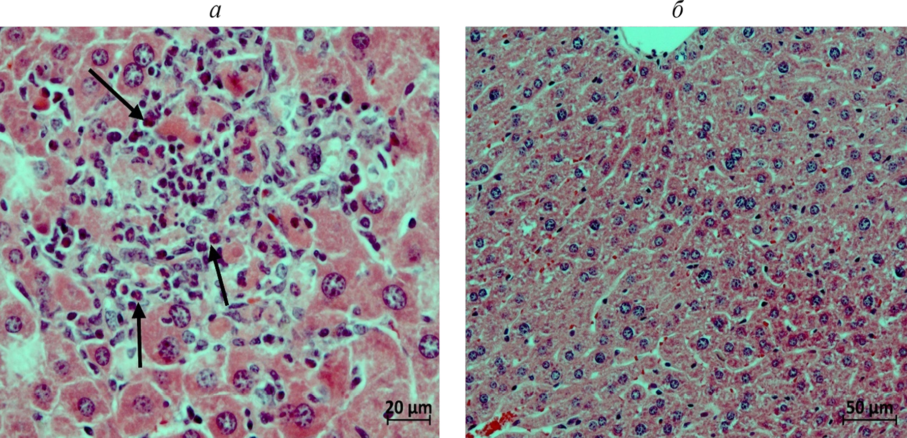
Острая токсичность. Печень. У мышей контрольной группы на 7-й день после однократного введения физраствора в паренхиме печени находили единичные мелкие очаги мононуклеарной инфильтрации (рис. 2а). В одном случае отмечали очаговую гипертрофию гепатоцитов (рис. 2б). В группе введения однократной дозы препарата практически у всех животных в печеночной паренхиме обнаруживали многочисленные мелкие очаги мононуклеарной инфильтрации на месте погибших гепатоцитов с поздними проявлениями их фагоцитоза (рис. 3а) (табл. 2). У двух мышей данной группы отмечали очаговую гипертрофию гепатоцитов, у одной – единичные случаи кариомегалии гепатоцитов (рис. 3б). В группе введения пятикратной дозы препарата у двух животных в печеночной паренхиме находили также немногочисленные очаги нейтрофильной инфильтрации (рис. 4а), еще в двух случаях в очагах мононуклеарной инфильтрации присутствовали сегментоядерные лейкоциты (рис. 4б). В группе введения 10-кратной дозы препарата в печени встречали те же изменения, что и при введении тестируемого вещества в дозировке ×5. Вместе с тем, у двух животных данной группы в печени находили мелкие свежие очаги гепатоцитов с начальными явлениями некроза (рис. 5а). Еще у одной мыши в одной из долей органа наблюдали единичные гепатоциты с пигментными включениями в цитоплазме (рис. 5б).
Рис. 2. Фрагменты печени самок мышей контрольной группы. Окраска гематоксилином и эозином. Стрелками указаны: а – мелкий очаг мононуклеарной инфильтрации в паренхиме одной из долей органа (мышь 5.1); б – гипертрофия отдельных гепатоцитов (мышь 5.2).
Рис. 3. Фрагменты печени самок мышей на 7-й день после однократного введения 1.5 Ед С115Н-PIC-сом МГЛ/2 мг метиина. Окраска гематоксилином и эозином. Стрелками указаны: а – мелкий очаг мононуклеарной инфильтрации в паренхиме одной из долей органа (мышь 1.2); б – кариомегалия гепатоцита (мышь 1.3).
Таблица 2. Изменение морфологии печени и почек экспериментальных животных
Препарат (доза) | Физраствор | 1.5 Ед С115Н-PIC-сом МГЛ / 2 мг метиина (×1) | 1.5 Ед С115Н-PIC-сом МГЛ / 10 мг метиина (×5) | 1.5 Ед С115Н-PIC-сом МГЛ / 20 мг метиина (×10) | Физраствор | 1.5 Ед С115Н-PIC-сом МГЛ / 2 мг метиина (×1) |
Число животных | 2 | 6 | 6 | 6 | 3 | 8 |
Период введения препарата, дни | 1 | 7 | ||||
Некропсия, день | 7 | 14 | ||||
Число образцов | 2 | 6 | 6 | 6 | 3 | 8 |
Характер изменений в органах | Количество и степень выраженности изменений | |||||
Печень: | ||||||
Препарат (доза) | Физраствор | 1.5 Ед С115Н-PIC-сом МГЛ / 2 мг метиина (×1) | 1.5 Ед С115Н-PIC-сом МГЛ / 10 мг метиина (×5) | 1.5 Ед С115Н-PIC-сом МГЛ / 20 мг метиина (×10) | Физраствор | 1.5 Ед С115Н-PIC-сом МГЛ / 2 мг метиина (×1) |
Число образцов с изменением морфологии | 2 | 6 | 6 | 6 | 2 | 6 |
Очаговая гипертрофия гепатоцитов | 1MI | 2MI | 2MI 1SL | 2MI | 0 | 3MI 1SL |
Кариомегалия гепатоцитов | 0 | 1MI | 1MI | 3MI | 0 | 1MI |
Мононуклеарные инфильтраты в печеночной паренхиме | 2MI | 1MI 5SL | 5MI 1SL | 2MI 3SL | 1MI 1SL | 3MI 1SL |
Фагоцитоз погибших гепатоцитов в очагах мононуклеарной инфильтрации | 0 | 5SL | 1SL | 2SL | 1SL | 0 |
Очаги инфильтрации печеночной паренхимы сегментоядерными лейкоцитами | 0 | 0 | 2MI 2SL | 2MI | 1SL | 1MI |
Свежие мелкие очаги некроза гепатоцитов | 0 | 0 | 0 | 2MI | 0 | 1SL |
Пигментные включения в цитоплазме гепатоцитов | 0 | 0 | 0 | 1MI | 0 | 1MI |
Очаги экстрамедуллярного гемопоэза | 0 | 0 | 0 | 0 | 0 | 1SL |
СУММАРНЫЙ БАЛЛ | 3 | 24 | 20 | 22 | 7 | 17 |
Почки: | ||||||
Число образцов с изменением морфологии | 0 | 2 | 2 | 0 | 0 | 0 |
Явления хронической прогрессирующей нефропатии | 0 | 2MI | 2MI | 1MI | 0 | 0 |
Тубулярные кисты в корковом веществе, выстланные кубическим или уплощенным эпителием | 0 | 1SL | 0 | 0 | 0 | 0 |
Мелкий периваскулярный очаг мононуклеарной инфильтрации | 0 | 0 | 0 | 1MI | 0 | 0 |
СУММАРНЫЙ БАЛЛ | 0 | 4 | 2 | 2 | 0 | 0 |
Примечание. MI (несущественное повреждение или отклонение от нормы) – 1 балл, SL (слабовыраженное повреждение или отклонение от нормы) – 2 балла, MO (умеренное повреждение или отклонение от нормы) – 3 балла, MA (выраженное повреждение или отклонение от нормы) – 4 балла, SE (резко выраженное повреждение или отклонение от нормы) – 5 баллов.
Рис. 4. Фрагменты печени самок мышей на 7-й день после однократного введения 1.5 Ед С115Н-PIC-сом МГЛ / 10 мг метиина. Окраска гематоксилином и эозином. Стрелками указаны: а – мелкие очаги инфильтрации сегментоядерными лейкоцитами (мышь 2.1), б – очаг мононуклеарной инфильтрации с единичными сегментоядерными лейкоцитами и явлениями фагоцитоза погибших гепатоцитов (мышь 2.6).
Рис. 5. Фрагменты печени самок мышей на 7-й день после однократного введения 1.5 Ед С115Н-PIC-сом МГЛ/20 мг метиина. Окраска гематоксилином и эозином. Стрелками указаны: а – очаг гепатоцитов с начальными явлениями некроза (мышь 3.4), б – гепатоциты с пигментными включениями в цитоплазме (мышь 3.5).
Таким образом, проведенное гистологическое исследование выявило слабое/умеренное дозозависимое гепатотоксическое действие однократного введения тестируемого препарата, проявляющееся, прежде всего, в мелкоочаговой гибели гепатоцитов.
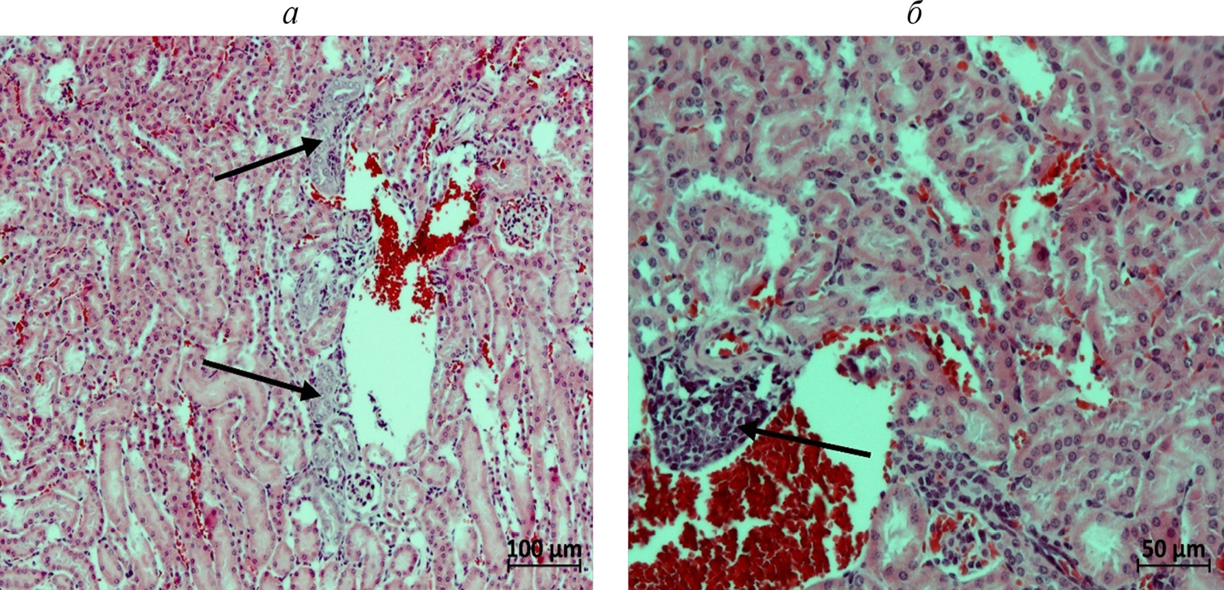
Острая токсичность. Почки. У мышей группы негативного контроля не выявлено каких-либо отклонений морфофункционального состояния почек от нормы (рис. 6). В группе однократного введения препарата (1.5 Ед С115Н-PIC-сом МГЛ/2 мг метиина) в почках двух особей обнаружены начальные проявления хронической прогрессирующей нефропатии (рис. 7а). В одном из этих случаев в корковом веществе одной из почек присутствовали две тубулярные кисты, выстланные кубическим или уплощенным эпителием (рис. 7б). В группе тестирования пятикратной терапевтической дозы (1.5 Ед С115Н-PIC-сом МГЛ/10 мг метиина) в почках двух животных также найдены начальные проявления хронической прогрессирующей нефропатии. В группе введения 10-кратной дозы препарата только в одном случае в почках обнаружены начальные проявления хронической прогрессирующей нефропатии (рис. 8а), у той же мыши найден мелкий периваскулярный очаг мононуклеарной инфильтрации (рис. 8б). В гистологических образцах почек остальных животных отклонений от нормы не наблюдали.
Рис. 6. Фрагменты коркового (а) и мозгового (б) вещества почки самки мыши контрольной группы (мышь 5.1). Обычное гистологическое строение органа. Окраска гематоксилином и эозином.
Рис. 7. Фрагменты коркового вещества почки самок мышей на 7-й день после однократного введения 1.5 Ед С115Н-PIC-сом МГЛ/2 мг метиина. Окраска гематоксилином и эозином. Стрелками указаны: а – явления хронической прогрессирующей нефропатии (мышь 1.5), б – тубулярная киста (сплошная стрелка), выстланная уплощенным эпителием (пунктирные стрелки; мышь 1.3).
Рис. 8. Фрагменты коркового вещества почки мыши (мышь 3.5) на 7-й день после однократного введения 1.5 Ед С115Н-PIC-сом МГЛ/20 мг метиина. Окраска гематоксилином и эозином. Стрелками указаны: явления хронической прогрессирующей нефропатии (а) и периваскулярный очаг мононуклеарной инфильтрации (б).
Таким образом, гистологическое исследование не привело к получению каких-либо убедительных данных о наличии нефротоксического действия тестируемого препарата в указанных дозах при однократном введении. Описанные единичные патоморфологические изменения в почках являются фоновыми, не связанными с токсическим действием препарата.
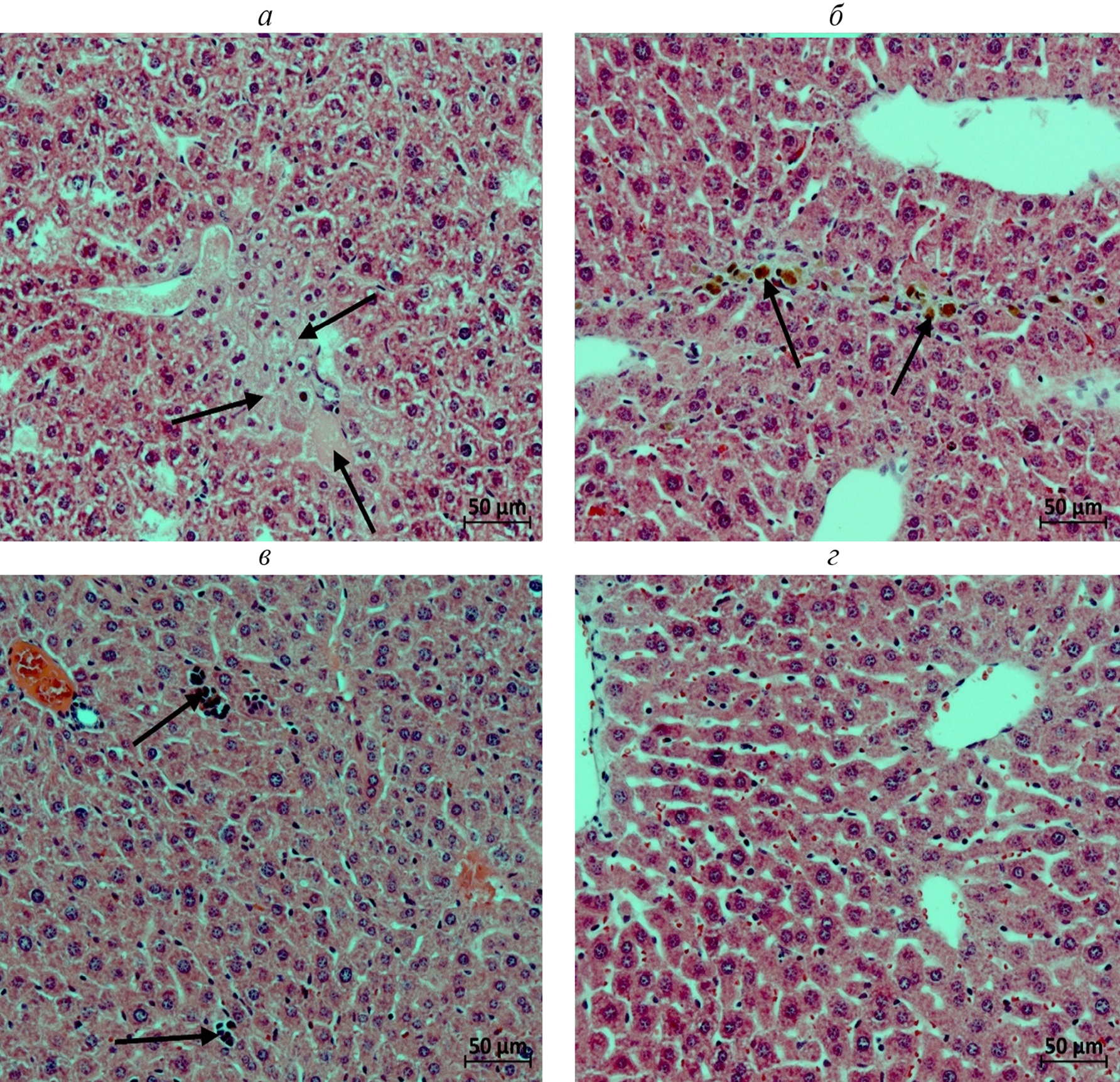
Субхроническая токсичность. Печень. У двух животных контрольной группы (n = 3) в паренхиме разных долей печени обнаружены мелкие очаги мононуклеарной инфильтрации, в одном случае – с явлениями фагоцитоза погибших гепатоцитов и присутствием в части таких очагов сегментоядерных лейкоцитов (рис. 9а). Еще у одного животного не выявлено отклонений функциональной морфологии печени от нормы (рис. 9б). В группе определения субхронической токсичности через 7 дней после отмены препарата выявлены следующие отличия морфофункционального состояния печени от контрольной группы: у четырех животных отмечена очаговая гипертрофия гепатоцитов – у одной самки наблюдались также единичные случаи кариомегалии гепатоцитов и свежие мелкие очаги некроза гепатоцитов в разных долях органа (рис. 10а); у одной мыши обнаружены единичные гепатоциты с пигментными включениями в цитоплазме (рис. 10б); еще в одном случае выявлены многочисленные мелкие очаги экстрамедуллярного гемопоэза в разных долях органа (рис. 10в). У двух животных не отмечено отклонений функциональной морфологии печени от нормы (рис. 10г). Тем не менее, возникновение свежих очагов некроза гепатоцитов у одной мыши спустя 7 дней после окончания введения препарата не позволяет исключить гепатотоксическое действие тестируемого препарата. Однако все остальные изменения функциональной морфологии печени можно отнести к единичным фоновым находкам.
Рис. 9. Фрагменты печени самок мышей контрольной группы. Окраска гематоксилином и эозином. а – Стрелками указан очаг мононуклеарной инфильтрации с сегментоядерными лейкоцитами (мышь 5.4). б – Обычное гистологическое строение органа (мышь 5.3).
Рис. 10. Фрагменты печени самок мышей на 15-й день после 7-кратного введения 1.5 Ед С115Н-PIC-сом МГЛ/2 мг метиина. Окраска гематоксилином и эозином. Стрелками указаны: а – очаг гепатоцитов с начальными явлениями некроза (мышь 4.1); б – гепатоциты с пигментными включениями в цитоплазме (мышь 4.3); в – мелкие очаги экстрамедуллярного гемопоэза (мышь 4.6); г – обычное гистологическое строение органа (мышь 4.7).
Субхроническая токсичность. Почки. Гистологическое исследование почек животных группы субхронической токсичности и мышей контрольной группы не выявило в них каких-либо патоморфологических изменений (рис. 11). Таким образом, ежедневное введение 1.5 Ед С115Н-PIC-сом МГЛ/2 мг метиина (×1) в течение 7 дней не привело к гистологически заметным проявлениям нефротоксического действия препаратов.
Рис. 11. Фрагменты коркового (а) и мозгового (б) вещества почки мыши на 15-й день после 7-кратного введения 1.5 Ед С115Н-PIC-сом МГЛ/2 мг метиина (мышь 4.4). Обычное гистологическое строение органа. Окраска гематоксилином и эозином.
ЗАКЛЮЧЕНИЕ
Изменения морфологии печени во всех экспериментальных группах относились к несущественным или слабовыраженным повреждениям/отклонениям от нормы. Отмечено, что исследуемый препарат оказывает негативное дозозависимое влияние на печень: умеренное при однократном введении ×10 терапевтической дозы (ранняя и отсроченная гибель клеток печени) и слабое при однократном введении ×5 и ×1 терапевтических доз (поздняя стадия фагоцитоза погибших гепатоцитов). Низкое гепатотоксическое действие наблюдалось и при ежедневном однократном введении терапевтической дозы в течение 7 дней; морфология печени у четверти животных группы субхронической токсичности не отличалась от нормы. Нефротоксический эффект во всех группах исследования не был обнаружен. Таким образом, фармакологическая пара инкапсулированный фермент С115Н МГЛ/метиин не вызвала существенных отклонений от нормы при исследовании на мышиных моделях и может стать перспективным лекарственным препаратом, способным блокировать развитие патогенных бактерий в организме.
Исследование поддержано Российским научным фондом (грант № 20-74-10121-П).
Проведение экспериментов и содержание животных на базе Института биоорганической химии им. академиков М.М. Шемякина и Ю.А. Овчинникова Российской академии наук (филиал в г. Пущино) соответствовали правилам Европейского Парламента и Совета Европейского Союза (Директива 2010/63/EU от 22 сентября 2010 г.) и были одобрены комиссией Филиала института биоорганической химии им. академиков М.М. Шемякина и Ю.А. Овчинникова РАН по контролю за содержанием и использованием лабораторных животных IACUC № 709/19 от 01.07.2019.
Авторы сообщают об отсутствии конфликта интересов.
Об авторах
С. В. Ревтович
Институт молекулярной биологии им. В.А. Энгельгардта Российской академии наук
Автор, ответственный за переписку.
Email: svetla21@mail.ru
Россия, Москва, 119991
В. В. Куликова
Институт молекулярной биологии им. В.А. Энгельгардта Российской академии наук
Email: svetla21@mail.ru
Россия, Москва, 119991
В. С. Коваль
Институт молекулярной биологии им. В.А. Энгельгардта Российской академии наук
Email: svetla21@mail.ru
Россия, Москва, 119991
А. Д. Лыфенко
Институт молекулярной биологии им. В.А. Энгельгардта Российской академии наук
Email: svetla21@mail.ru
Россия, Москва, 119991
В. А. Казаков
Филиал Института биоорганической химии им. академиков М.М. Шемякина и Ю.А. Овчинникова Российской академии наук
Email: svetla21@mail.ru
Россия, Пущино, Московская область, 142290
А. С. Чернов
Филиал Института биоорганической химии им. академиков М.М. Шемякина и Ю.А. Овчинникова Российской академии наук
Email: svetla21@mail.ru
Россия, Пущино, Московская область, 142290
Г. Б. Телегин
Филиал Института биоорганической химии им. академиков М.М. Шемякина и Ю.А. Овчинникова Российской академии наук
Email: svetla21@mail.ru
Россия, Пущино, Московская область, 142290
А. С. Земская
Институт молекулярной биологии им. В.А. Энгельгардта Российской академии наук
Email: svetla21@mail.ru
Россия, Москва, 119991
Н. В. Ануфриева
Институт молекулярной биологии им. В.А. Энгельгардта Российской академии наук
Email: svetla21@mail.ru
Россия, Москва, 119991
Е. А. Морозова
Институт молекулярной биологии им. В.А. Энгельгардта Российской академии наук
Email: svetla21@mail.ru
Россия, Москва, 119991
П. Н. Сольев
Институт молекулярной биологии им. В.А. Энгельгардта Российской академии наук
Email: svetla21@mail.ru
Россия, Москва, 119991
Список литературы
- Morozova E., Kulikova V., Rodionov A., Revtovich S., Anufrieva N., Demidkina T. (2016) Engineered Citrobacter freundii methionine γ-lyase effectively produces antimicrobial thiosulfinates. Biochimie. 128‒129, 92–98.
- Iciek M., Kwiecień I., Włodek L. (2009) Biological properties of garlic and garlic-derived organosulfur compounds. Environ. Mol. Mutagenesis. 50, 247–265.
- Jacob C. (2006) A scent of therapy: pharmacological implications of natural products containing redox-active sulfur atoms. Nat. Prod. Rep. 23, 851–863.
- Kim S., Kubec R., Musah R. A. (2006) Antibacterial and antifungal activity of sulfur-containing compounds from Petiveria alliacea L. J. Ethnopharmacol. 104, 188–192.
- Kulikova V.V., Anufrieva N.V., Revtovich S V., Chernov A.S., Telegin G.B., Morozova E. A., Demidkina T.V. (2016) Mutant form C115H of Clostridium sporogenes methionine γ-lyase efficiently cleaves S-alk(en)yl-L-cysteine sulfoxides to antibacterial thiosulfinates. IUBMB Life. 68, 830–835.
- Leontiev R., Hohaus N., Jacob C., Gruhlke M.C.H., Slusarenko A.J. (2018) A comparison of the antibacterial and antifungal activities of thiosulfinate analogues of allicin. Sci. Rep. 8, 6763.
- Revtovich S., Lyfenko A., Tkachev Y., Kulikova V., Koval V., Puchkov V., Anufrieva N., Solyev P., Morozova E. (2023) Anticandidal activity of in situ methionine γ-lyase-based thiosulfinate generation system vs. synthetic thiosulfinates. Pharmaceuticals (Basel). 16(12), 1695.
- Small L.D., Bailey J.H., Cavallito C.J. (1947) Alkyl thiolsulfinates. J. Am. Chem. Soc. 69, 1710–1717.
- Куликова В.В., Чернуха М.Ю., Морозова Е.А., Ревтович С.В., Родионов А.Н., Коваль В.С., Аветисян Л.Р., Кулястова Д.Г., Шагинян И.А., Демидкина Т.В. (2018) Антибактериальное действие тиосульфинатов на мультирезистентные штаммы бактерий, выделенные от больных муковисцидозом. Acta Naturae. 10, 83–87.
- Anraku Y., Kishimura A., Kamiya M., Tanaka S., Nomoto T., Toh K., Matsumoto Y., Fukushima S., Sueyoshi D., Kano M.R., Urano Y., Nishiyama N., Kataoka K. (2016) Systemically injectable enzyme-loaded polyion complex vesicles as in vivo nanoreactors functioning in tumors. Angew. Chem. Int. Ed. Engl. 55, 560‒565.
- Kulikova V.V., Morozova E.A., Anufrieva N.V., Koval V.S., Lyfenko A.D., Lesnova E.I., Kushch A.A., Revtovich S.V., Demidkina T.V. (2022) Kinetic and pharmacokinetic characteristics of therapeutic methinoninе γ-lyase encapsulated in polyion complex vesicles. Biochemie. 194, 13–18.
- Morozova E., Kulikova V., Koval V., Anufrieva N., Chernukha M., Avetisyan L., Lebedeva L., Medvedeva O., Burmistrov E., Shaginyan I., Revtovich S., Demidkina T. (2020) Encapsulated methionine γ-lyase: application in enzyme prodrug therapy of Pseudomonas aeruginosa infection. ACS Omega. 5, 7782–7786.
- Morozova E., Koval V., Revtovich S., Lyfenko A., Minakov A., Chernov A., Telegin G., Kirilenko D., Chobanian A., Anufrieva N., Kulikova V., Demidkina T. (2023) Phytoestrogens decorated nanocapsules for therapeutic methionine γ-lyase targeted delivery. Biochimie. 209, 1–9.
- Миронов А.Н. (2012) Руководство по проведению доклинических исследований лекарственных средств. Часть первая. М.: Гриф и К.
- Miron T., Rabinkov A., Mirelman D., Weiner L., Wilchek M. (1998) A spectrophotometric assay for allicin and alliinase (alliin lyase) activity: reaction of 2-nitro-5-thiobenzoate with thiosulfinates. Anal. Biochem. 265, 317–325.
- Koval V., Morozova E., Revtovich S., Lyfenko A., Chobanian A., Timofeeva V., Solovieva A., Anufrieva N., Kulikova V., Demidkina T. (2022) Characteristics and stability assessment of therapeutic methionine γ-lyase-loaded polyionic vesicles. ACS Omega. 7, 959–967.
- Laemmli U. K. (1970) Cleavage of structural proteins during the assembly of the head of bacteriophage T4. Nature. 227, 680–685.
- Морозова Е.А., Бажулина Н.П., Ануфриева Н.В., Мамаева Д.В., Ткачев Я.В., Стрельцов С.А., Тимофеев В.П., Фалеев Н.Г., Демидкина Т.В. (2010) Кинетические и спектральные параметры взаимодействия Citrobacter freundii метионин–γ-лиазы с аминокислотами. Биохимия. 75, 1435–1445.
- Organization for Economic Cooperation and Development (OECD) (2008) Guidelines for the Testing of Chemicals and Food Ingredients. Section 4 (Part 407). Paris, France.
- Mennecozzi M., Landesmann B., Palosaari T., Harris G., Whelan M. (2015) Sex differences in liver toxicity – do female and male human primary hepatocytes react differently to toxicants in vitro? PLoS One. 10(4), e0122786.
- American Veterinary Medical Association (2020) AVMA Guidelines for the Euthanasia of Animals. Schaumburg (IL), USA. ISBN978–1–882691–09–8
- Mann P.C., Vahle J., Keenan C.M., Baker J.F., Bradley A.E., Goodman D.G., Harada T., Herbert R., Kaufmann W., Kellner R., Nolte T., Rittinghausen S., Tanaka T. (2012) International harmonization of toxicologic pathology: nomenclature: an overview and review of basic principles. Toxicol. Pathol. 40, 7S–13S.
- Kyung K.H., Fleming H.P. (1994) S-Methyl-L-cysteine sulfoxide as the precursor of methyl methanethiolsulfinate, the principal antibacterial compound in сabbage. J. Food Sci. 59, 350–355.
Дополнительные файлы














