Ростовые и молекулярные характеристики клеток глиобластом человека линий A172 и R1, резистентных к действию темозоломида
- Авторы: Пиневич А.А.1,2, Вартанян Н.Л.1, Карташев А.В.1, Киселева Л.Н.1, Смирнов И.В.1, Сидорова Ж.Ю.3,4, Свитина С.П.3, Самойлович М.П.1,2
- 
							Учреждения: 
							- Российский научный центр радиологии и хирургических технологий им. акад. А.М. Гранова
- Санкт-Петербургский государственный университет
- Российский научно-исследовательский институт гематологии и трансфузиологии
- Петербугский институт ядерной физики им. Б.П. Константинова НИЦ “Курчатовский институт”
 
- Выпуск: Том 65, № 2 (2023)
- Страницы: 131-145
- Раздел: Статьи
- URL: https://journal-vniispk.ru/0041-3771/article/view/140093
- DOI: https://doi.org/10.31857/S0041377123020086
- EDN: https://elibrary.ru/NDBVPD
- ID: 140093
Цитировать
Полный текст
Аннотация
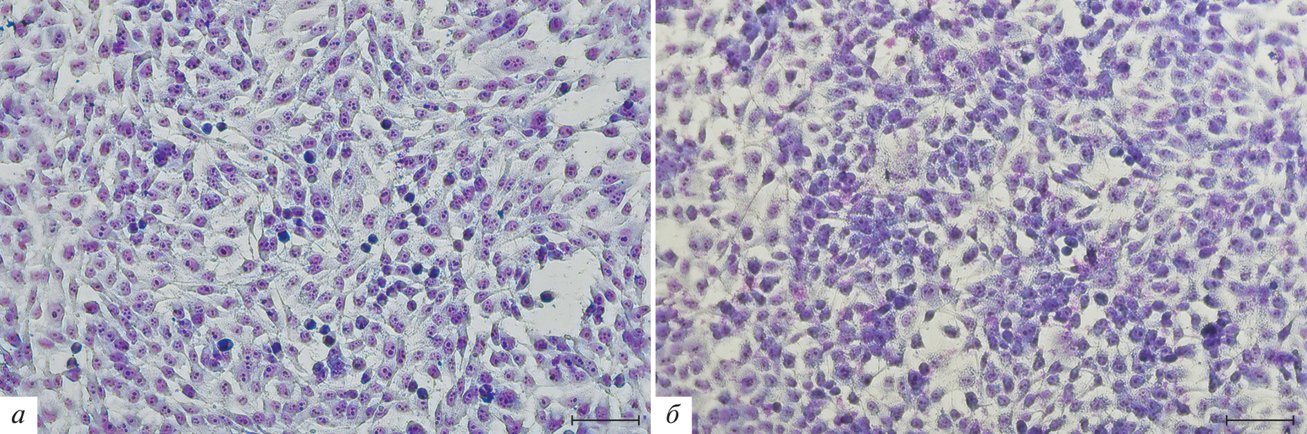
Рецидивирование глиобластом обусловлено исходной и приобретенной в результате терапии резистентностью опухолевых клеток. Широко ведутся исследования по поиску маркеров, которые позволили бы предсказывать уровень резистентности клеток глиобластом к терапии. Сложность проблемы связана с высокой гетерогенностью индивидуальных опухолей и клеточного состава каждой опухоли. В представленной работе проведено сравнительное изучение однократного действия темозоломида в форме Темодала® на известную линию глиобластомы А172 и новую линию R1. В высокочувствительной к темозоломиду линии А172 после воздействия 0.1 мМ химиопрепарата сохранялись отдельные клетки, которые возобновляли пролиферацию. Для глиобластомы R1 доза темозоломида, после которой выживали единичные клетки, возобновлявшие пролиферацию, составила 1.0 мМ. Популяции, полученные в результате пролиферации таких клеток, были обозначены как резистентные. В резистентных клетках A172 и R1 исследовали экспрессию генов, ответственных за устойчивость к химиопрепаратам и прогрессию опухолей (MGMT, А-ВСВ1, АВСС1, ABCG2), наличие фермента MGMT, экспрессию генов ростовых факторов (VEGF, HGF), а также продукцию цитокинов IL-6 и IL-8 и экспрессию кодирующих их генов. В клетках А172 был подтвержден метилированный статус промотора гена MGMT, а также отсутствие экспрессии соответствующего гена. Впервые показано, что глиобластома R1 гетерогенна по статусу метилирования промотора гена MGMT и присутствию самого фермента. В популяциях резистентных клеток А172 и R1 уровень метилирования промотора гена MGMT был ниже, чем в исходных клетках, а экспрессия гена усилена, что может быть причиной большей устойчивости таких клеток к химиопрепаратам. Экспрессия большинства генов, связанных с устойчивостью к химиотерапии и более агрессивным течением заболевания, генов ростовых факторов и интерлейкинов в резистентных клетках А172 была выше, чем в интактных клетках. В резистентных клетках R1 экспрессия большинства тех же генов (за исключением АВСС1 и VEGF, уровень экспрессии которых менялся незначительно) была, напротив, ниже, чем в исходной линии. Полученные результаты подтверждают значимость MGMT в формировании резистентности клеток глиобластом к темозоломиду. Прогностическая ценность остальных исследованных показателей пока представляется неоднозначной.
Ключевые слова
Об авторах
А. А. Пиневич
Российский научный центр радиологии и хирургических технологий им. акад. А.М. Гранова; Санкт-Петербургский государственный университет
							Автор, ответственный за переписку.
							Email: agniapinevich@gmail.com
				                					                																			                												                								Россия, 197758, Санкт-Петербург; Россия, 199034, Санкт-Петербург						
Н. Л. Вартанян
Российский научный центр радиологии и хирургических технологий им. акад. А.М. Гранова
														Email: agniapinevich@gmail.com
				                					                																			                												                								Россия, 197758, Санкт-Петербург						
А. В. Карташев
Российский научный центр радиологии и хирургических технологий им. акад. А.М. Гранова
														Email: agniapinevich@gmail.com
				                					                																			                												                								Россия, 197758, Санкт-Петербург						
Л. Н. Киселева
Российский научный центр радиологии и хирургических технологий им. акад. А.М. Гранова
														Email: agniapinevich@gmail.com
				                					                																			                												                								Россия, 197758, Санкт-Петербург						
И. В. Смирнов
Российский научный центр радиологии и хирургических технологий им. акад. А.М. Гранова
														Email: agniapinevich@gmail.com
				                					                																			                												                								Россия, 197758, Санкт-Петербург						
Ж. Ю. Сидорова
Российский научно-исследовательский институт гематологии и трансфузиологии; Петербугский институт ядерной физики им. Б.П. Константинова НИЦ “Курчатовский институт”
														Email: agniapinevich@gmail.com
				                					                																			                												                								Россия, 191024, Санкт-Петербург; Россия, 188300, Санкт-Петербург						
С. П. Свитина
Российский научно-исследовательский институт гематологии и трансфузиологии
														Email: agniapinevich@gmail.com
				                					                																			                												                								Россия, 191024, Санкт-Петербург						
М. П. Самойлович
Российский научный центр радиологии и хирургических технологий им. акад. А.М. Гранова; Санкт-Петербургский государственный университет
														Email: agniapinevich@gmail.com
				                					                																			                												                								Россия, 197758, Санкт-Петербург; Россия, 199034, Санкт-Петербург						
Список литературы
- Волков Н.М. 2021. Резистентность к химиотерапии – исчерпаны ли возможности? Практическая онкология. Т. 22. № 2. С. 99. (Volkov N.M. 2021. Cancer resistance to chemotherapy – are all possibilities exhausted? Pract. Oncol. V. 22. № 2. P. 105.)
- Гриффитс Б. 1989. Культура животных клеток. Методы. С. 56. (Griffits B. 1989. Animal cell culture. Methods. P. 56.)
- Киселева Л.Н., Карташев А.В., Вартанян Н.Л., Пиневич А.А., Самойлович М.П. 2016. Характеристика клеточных линий А172 и T98G. Цитология. Т. 58. № 5. С. 349. (Kiseleva L.N., Kartashev A.V., Vartanyan N.L., Pinevich A.A., Samoilovich M.P. 2016. A172 and T98G cell lines characteristics. Cell Tiss. Biol. V. 10. № 5. P. 341.)
- Киселева Л.Н., Карташев А.В., Вартанян Н.Л., Пиневич А.А., Самойлович М.П. 2018. Действие фотемустина на клетки линий глиобластом человека. Цитология. Т. 60. № 1. С. 21. (Kiseleva L.N., Kartashev A.V., Vartanyan N.L., Pinevich A.A., Samoilovich M.P. 2018. The effect of f-otemustine on human glioblastoma cell lines. Cell Tiss. Biol. V. 12. № 2. P. 93.)
- Киселева Л.Н., Карташев А.В., Вартанян Н.Л., Пиневич А.А., Филатов М.В., Самойлович М.П. 2017. Характеристика новых клеточных линий глиобластом человека. Цитология. Т. 59. № 10. С. 669. (Kiseleva L.N., Kartashev A.V., Vartanyan N.L., Pinevich A.A., Filatov M.V., Samoilovich M.P. 2018. Characterization of new human glioblastoma cell lines. Cell Tiss. Biol. V. 12. № 1. P. 1.)
- Кит О.И., Водолажский Д.И., Расторгуев Э.Е., Франциянц Е.М., Поркшеян Д.Х., Панина С.Б. 2017. Мультиформная глиобластома: патогенез и молекулярные маркеры. Вопросы онкологии. Т. 63. № 5. С. 694. (Kit O.I., Vodolazhsky D.I., Rastorguev E.Е., Frantsiyants Е.М., Porksheyan D.Kh., Panina S.B. 2017. Glioblastoma multiforme: pathogenesis and molecular markers. Voprosy Oncologii. V. 63. № 5. P. 694.)
- Мацко М.В., Мацко Д.Е., Волков Н.М., Улитин А.Ю., Моисеенко В.М., Имянитов Е.Н., Иевлева А.Г. 2019. Морфологические и молекулярно-генетические особенности первичных глиобластом у пациентов с необычно высокой продолжительностью жизни. Сибирский онкол. журнал. Т. 18. № 3. С. 34. (Matsko M.V., Matsko D.E., Volkov N.M., Ulitin A.Yu., Moiseenko V.M., Imyanitov E.N., Iyevleva A.G. 2019. Morphologic and molecular features of primary glioblastoma in patients surviving more than 3 years. Siberian J. Oncol. V. 18. № 3. P. 34.)
- Пиневич А.А., Бодэ И.И., Вартанян Н.Л., Киселева Л.Н., Карташев А.В., Самойлович М.П. 2022. Клетки глиобластом человека линий T2 и T98G, резистентные к действию темозоломида. Цитология. Т. 64. № 2. С. 126. (Pinevich A.A., Bode I.I., Vartanyan N.L., Kiseleva L.N., Kartashev A.V., Samoilovich M.P. 2022. Temozolomide-re-sistant human T2 and T98G glioblastoma cells. Cell Tiss. Biol. V. 16. № 4. P. 126.)
- Тягунова Е.Е., Захаров А.С., Костин Р.К., Шлапакова Т.И., Тягунова Т.Е., Захарова Ю.А., Малюгин Д.А. 2022. Особенности химио- и радитерапии пациентов с глио-бластомой. Медицинский альманах. № 1(70). С. 49. (Tyagunova E.E., Zakharov A.S., Kostin R.K., Shlapakova T.I., Tyagunova T.E., Zakharova Y.A., Malyugin D.A. 2022. Features of chemo- and radiotherapy for patients with glioblastoma. Medicinskij Al’manah. № 1(70). P. 49.)
- Юкальчук Д.Ю., Пономаренко Д.М., Снетков Е.В., Юкальчук Т.Н., Шевчук А.В., Демченкова М.В., Шелехов А.В. 2016. Применение парентеральной формы препарата Темодал® (темозоломид) в терапии глиобластом. Эффективная фармакотерапия. Т. 8. С. 46. (Yukalchuk D.Yu., Ponomarenko D.M., Snetkov Ye.V., Yukalchuk T.N., Shevchuk A.V., Demchenkova M.V., Shelekhov A.V. 2016. Use of parenteral Temodal® (temozolomide) in therapy of glioblastoma. Effectivnaya pharmacotherapiya. V. 8. P. 46.)
- Barzaman K., Vafaei R., Samadi M., Kazemi M.H., Hossei-nzadeh A., Merikhian P., Moradi-Kalbolandi S., Eisavand M.R., Dinvari H., Farahmand L. 2022. Anti-cancer therapeutic strategies based on HGF/MET, EpCAM, and tumor-stromal cross talk. Cancer Cell Int. V. 22. P. 259. https://doi.org/10.1186/s12935-022-02658-z
- Borst P., Evers R., Kool M., Wijnholds J. 2000. A family of drug transporters: the multidrug resistance-associated proteins. J. Natl. Cancer Inst. V. 92. P. 1295–1302. https://doi.org/10.1093/jnci/92.16.1295
- Brat D.J., Bellail A.C., Van Meir E.G. 2005. The role of interle-ukin-8 and its receptors in gliomagenesis and tumoral angiogenesis. Neuro Oncol. V. 7. P. 122–133. https://doi.org/10.1215/S1152851704001061
- Braun K., Ahluwalia S. 2017. Treatment of glioblastoma in older adults. Curr. Oncol. Rep. V. 19. P. 81. https://doi.org/10.1007/s11912-017-0644-z
- Bunevicius A., Radziunas A., Tamasauskas S., Tamasauskas A., Laws E.R., Iervasi G., Bunevicius R., Deltuva V. 2018. Prognostic role of high sensitivity C-reactive protein and interleukin-6 in glioma and meningioma patients. Neurooncol. V. 138. P. 351. https://doi.org/10.1007/s11060-018-2803-y
- Campos B., Olsen L.R., Urup T., Poulsen H.S. 2016. A comprehensive profile of recurrent glioblastoma. Oncogene. V. 35. P. 5819. https://doi.org/10.1038/onc.2016.85
- Christians A., Hartmann C., Benner A., Meyer J., von Deimling A., Weller M., Wick W., Weiler M. 2012. Prognostic value of three different methods of MGMT promoter methylation analysis in a prospective trial on newly diagnosed gliobla-stoma. PLoS One. V. 7. https://doi.org/10.1371/journal.pone.0033449
- Christofides A., Kosmopoulos M., Piperi C. 2015. Pathophysiological mechanisms regulated by cytokines in gliomas. C-ytokine. V. 71. P. 377. https://doi.org/10.1016/j.cyto.2014.09.008
- Coyle B., Kessler M., Sabnis D.H., Kerr I.D. 2015. ABCB1 in children’s brain tumors. Biochem. Soc. Trans. V. 43. P. 1018. https://doi.org/10.1042/BST20150137
- Daniel P., Sabri S., Chaddad A., Meehan B., Jean-Claude B., Rak J., Abdulkarim B.S. 2019. Temozolomide induced hypermutation in glioma: evolutionary mechanisms and therapeutic opportunities. Front. Oncol. V. 9. P. 41. https://doi.org/10.3389/fonc.2019.00041
- Feldheim J., Kessler A.F., Feldheim J.J., Schulz E., Wend D., Lazaridis L, Kleinschnitz C., Glas M., Ernestus R.-I., Brandner S., Monoranu C.M, Löhr M., Hagemann C. 2022. Effects of long-term temozolomide treatment on glio-blastoma and astrocytoma WHO grade 4 stem-like cells. Int. J. Mol. Sci. V. 23. P. 5238. https://doi.org/10.3390/ijms23095238
- Giard D.J., Aaronson S.A., Todaro G.J., Arnstein P., Kersey J.H., Dosik H., Parks W.P. 1973. In vitro cultivation of human t-umors: establishment of cell lines derived from a series of solid tumors. J. Nat. Cancer Inst. V. 51. P. 1417. https://doi.org/10.1093/jnci/51.5.1417
- de Gooijer M.C., de Vries N.A., Buckle T., Buil L.C.M., Beijnen J.H., Boogerd W., van Tellingen O. 2018. Improved brain pene-tration and antitumor efficacy of temozolomide by inhibition of ABCB1 and ABCG2. Neoplasia. V. 20. P. 710. https://doi.org/10.1016/j.neo.2018.05.001
- Gottesman M.M., Fojo T., Bates S.E. 2002. Multidrug resistance in cancer: role of ATP-dependent transporters. Nat. Rev. Cancer. V. 2. P. 48. https://doi.org/10.1038/nrc706
- Goutnik M., Lucke-Wold B. 2022. Commentary: evaluating potential glioma serum biomarkers, with future applications. World J. Clin. Oncol. V. 13. P. 412. https://doi.org/10.5306/wjco.v13.i5.412
- Ha H., Debnath B., Neamati N. Role of the CXCL8-CXCR1/2 axis in cancer and inflammatory diseases. Theranostics. V. 7. P. 1543. https://doi.org/10.7150/thno.15625
- Hegi M.E., Diserens A.-C., Gorlia T., Hamou M.-F., de Tribolet N., Weller M., Kros J.M., Hainfellner J.A., Mason W., Mariani L., Bromberg J.E.C., Hau P., Mirimanoff R.O., Cairncross J.G., Janzer R.C., Stupp R. 2005. MGMT gene silencing and benefit from temozolomide in glioblastoma. N. Engl. J. Med. V. 352. P. 997. https://doi.org/10.1056/NEJMoa043331
- Herman J.G., Graff J.R., Myöhänen S., Nelkin B.D., Baylin S.B. 1996. Methylation-specific PCR: a novel PCR assay for methylation status of CpG islands. Proc. Natl. Acad. Sci. USA. V. 93. P. 9821. https://doi.org/10.1073/pnas.93.18.9821
- Hermisson M., Klumpp A., Wick W., Wischhusen J., Nagel G., Roos W., Kaina B., Weller M. 2006. O6-methylguanine DNA methyltransferase and p53 status predict temozolomide sensitivity in human malignant glioma cells. J. N-eurochem. V. 96. P. 7666. https://doi.org/10.1111/j.1471-4159.2005.03583.x
- Kathawala R.J., Gupta P., Ashby C.R., Chen Z.-S. 2015. The modulation of ABC transporter-mediated multidrug resistance in cancer: a review of the past decade. Drug Resist. Updat. V. 18. P. 1. https://doi.org/10.1016/j.drup.2014.11.002
- Kim H., Zheng S., Amini S.S., Virk S.M., Mikkelsen T., Brat D.J., Grimsby J., Sougnez C., Muller F., Hu J., Sloan A.E., C-ohen M.L., Van Meir E.G., Scarpace L., Laird P.W., et al. 2015. Whole-genome and multisector exome sequencing of primary and post-treatment glioblastoma reveals patterns of tumor evolution. Genome Res. V. 25. P. 16. https://doi.org/10.1101/gr.180612.114
- Kinashi Y., Ikawa T., Takahashi S. 2020. The combined effect of neutron irradiation and temozolomide on glioblastoma cell lines with different MGMT and P53 status. Appl. R-adiat. Isot. V. 163. P. 109204. https://doi.org/10.1016/j.apradiso.2020.109204
- Kristensen L.S., Hansen L.L. 2009. PCR-based methods for detecting single-locus DNA methylation biomarkers in cancer diagnostics, prognostics, and response to treatment. Clin. Chem. V. 55. P. 1471. https://doi.org/10.1373/clinchem.2008.121962
- Lee S.Y. 2016. Temozolomide resistance in glioblastoma multiforme. Genes Dis. V. 3. P. 198. https://doi.org/10.1016/j.gendis.2016.04.007
- Li Z., Li M., Xia P., Lu Z. 2022. HOTTIP mediated therapy re-sistance in glioma cells involves regulation of EMT-related miR-10b. Front. Oncol. V. 12. P. 873561. https://doi.org/10.3389/fonc.2022.873561
- Livak K.J., Schmittgen T.D. 2001. Analysis of relative gene ex-pression data using real-time quantitative PCR and the 2–Delta Delta C(T)) method. Methods. V. 25. P. 402. https://doi.org/10.1006/meth.2001.1262
- Louis D.N., Perry A., Reifenberger G., von Deimling A., Figarella-Branger D., Cavenee W.K., Ohgaki H., Wiestler O.D., Kleihues P., Ellison D.W. 2016. The 2016 World Health Organization classification of tumors of the central nervous system: a summary. Acta Neuropathol. V. 131. P. 803. https://doi.org/10.1007/s00401-016-1545-1
- Lu V.M, Jue T.R., McDonald K.L., Rovin R.A. 2018. The sur-vival effect of repeat surgery at glioblastoma recurrence and its trend: a systematic review and meta-analysis. World Neurosurg. V. 115. P. 453. https://doi.org/10.1016/j.wneu.2018.04.016
- Marucci G., Fabbri P.V., Morandi L., Biase D.D., Oto E.D., Tallini G., Sturiale C., Franceschi E., Frezza G.P., Foschi-nin M.P. 2015. Pathological spectrum in recurrences of glioblastoma multiforme. Pathologica. V. 107. P. 1.
- Matsko M.V., Imaynitov E.N. 2015. Predictive role of O6-meth-ylguanine DNA methyltransferase status for the treatment of brain tumors. Epigen. Terr. Cancer. P. 251. https://doi.org/10.1007/978-94-017-9639-2_9
- Mirzayans R., Murray D. 2020. Intratumor heterogeneity and therapy resistance: contributions of dormancy, apoptosis reversal (anastasis) and cell fusion to disease recurrence. Int. J. Mol. Sci. V. 15. P. 1308. https://doi.org/10.3390/ijms21041308
- Mostofa A.G.M., Punganuru S.R., Madala H.R., Al-Obaide M., Srivenugopal K.S. 2017. The process and regulatory com-ponents of inflammation in brain oncogenesis. Biomolecules. P. 7. P. 34. https://doi.org/10.3390/biom7020034
- Oliva C.R., Nozell S.E., Diers A., McClugage 3rd S.G., Sarkaria J.N., Markert J.M., Darley-Usmar V.M., Bailey S.M., Gillespie G.Y., Landar A., Griguer C.E. 2010. Acquisition of temozolomi-de chemoresistance in gliomas leads to remodeling of mitochondrial electron transport chain. J. Biol. Chem. V. 285. P. 39759. https://doi.org/10.1074/jbc.M110.147504
- Pegg A.E, Byers T.L. 1992. Repair of DNA containing O6-alkylguanine. FASEB J. V. 6. P. 2302. https://doi.org/10.1096/fasebj.6.6.1544541
- Peignan L., Garrido W., Segura R., Melo R., Rojas D., Carcamo J.G., San Martin R., Quezada C. 2011. Combined use of anticancer drugs and an inhibitor of multiple drug resistance-as-sociated protein-1 increases sensitivity and decreases survival of glioblastoma multiforme cells in vitro. Neurochem. Res. V. 36. P. 1397. https://doi.org/10.1007/s11064-011-0464-8
- Perazzoli G., Prados J., Ortiz R., Caba O., Cabeza L., Berdasco M., Gonzalez B., Melguizo C. 2015. Temozolomide resistance in glioblastoma cell lines: implication of MGMT, MMR, P-glycoprotein and CD133 expression. PLoS One. V. 10. P. e0140131. https://doi.org/10.1371/journal.pone.0140131
- Phan L.M., Fuentes-Mattei E., Wu W., Velazquez-Torres G., Sircar K., Wood C.G., Hai T., Jimenez C., Cote G.J., Ozsari L., Hofmann M.-C., Zheng S., Verhaak R., Pagliaro L., Cortez M.A. et al. 2015. Hepatocyte growth factor/cMET pathway activation enhances cancer hallmarks in adrenocortical carcinoma. Cancer Res. V. 75. P. 4131. https://doi.org/10.1158/0008-5472.CAN-14-3707
- Pusztai L., Wagner P., Ibrahim N., Rivera E., Theriault R., Booser D., Symmans F.W., Wong F., Blumenschein G., Fl-eming D.R., Rouzier R., Boniface G., Hortobagyi G.N. 2005. Phase II study of tariquidar, a selective P-glycoprotein inhibitor, in patients with chemotherapy-resistant, advanced breast carcinoma. Cancer. V. 104. P. 682. https://doi.org/10.1002/cncr.21227
- Rabe M., Dumont S., Alvarez–Arenas A., Janati H., Belmonte-Beitia J., Calvo G.F., Thibault-Carpentier C., Sery Q., Chauvin C., Joalland N., Briand F., Blandin S., Scotet E., Pecqueur C., Clairambault J. et al. 2020. Identification of a transient state during the acquisition of temozolomide re-sistance in glioblastoma. Cell Death Dis. V. 11. P. 19. https://doi.org/10.1038/s41419-019-2200-2
- Rolhion C., Penault–Llorca F., Kemeny J.L., Lemaire J.J., Jullien C., Labit-Bouvier C., Finat-Duclos F., Verrelle P. 2001. Interleukin-6 overexpression as a marker of malignancy in human gliomas. J. Neurosurg. V. 94. P. 97. https://doi.org/10.3171/jns.2001.94.1.0097
- Ruff P., Vorobiof D.A, Jordaan J.P., Demetriou G.S., Moodley S.D., Nosworthy A.L., Werner I.D., Raats J., Burgess L.J. 2009. A randomized, placebo-controlled, double-blind phase 2 study of docetaxel compared to docetaxel plus zosuquidar (LY335979) in women with metastatic or locally recurrent breast cancer who have received one prior chemotherapy regimen. Cancer Chemother. Pharmacol. V. 64. P. 763. https://doi.org/10.1007/s00280-009-0925-9
- Samaras V., Piperi C., Levidou G., Zisakis A., Kavantzas N., Themistocleous M.S, Boviatsis E.I., Barbatis C., Lea R.W., Kalofoutis A., Korkolopoulou P. 2009. Analysis of int-erleukin (IL)-8 expression in human astrocytomas: associations with IL-6, cyclooxygenase-2, vascular endothelial growth factor, and microvessel morphometry. Hum. Immunol. V. 70. P. 391. https://doi.org/10.1016/j.humimm.2009.03.011
- Shan Y., He X., Song W., Han D., Niu J., Wang J. 2015. Role of IL-6 in the invasiveness and prognosis of glioma. Int. J. Clin. Exp. Med. V. 8. P. 9114.
- Sharma I., Singh A., Sharma K.C., Saxena S. 2017. Gene ex-pression profiling of chemokines and their receptors in low and high grade astrocytoma. Asian Pac. J. Cancer Prev. V. 18. P. 1307. https://doi.org/10.22034/APJCP.2017.18.5.1307
- Sharma I., Singh A., Siraj F., Saxena S. 2018. IL-8/CXCR1/2 signalling promotes tumor cell proliferation, invasion and vascular mimicry in glioblastoma. J. Biomed. Sci. V. 25. P. 62. https://doi.org/10.1186/s12929-018-0464-y
- Shrivastava R., Gandhi P., Gothalwal R. 2022. The road-map for establishment of a prognostic molecular marker panel in glioma using liquid biopsy: current status and future directions. Clin. Transl. Oncol. V. 24. P. 1702. https://doi.org/10.1007/s12094-022-02833-8
- Soni V., Adhikari M., Lin L., Sherman J.H., Keidar M. 2022. Theranostic potential of adaptive cold atmospheric plasma with temozolomide to checkmate glioblastoma: an in vitro study. Cancers. V. 14. P. 3116. https://doi.org/10.3390/cancers14133116
- Strobel H., Baisch T., Fitzel R., Schilberg K., Siegelin M.D., Karpel-Massler G., Debatin K.-M., Westhoff M.-A. 2019. Te-mozolomide and other alkylating agents in glioblastoma therapy. Biomedicines. V. 7. P. 69. https://doi.org/10.3390/biomedicines7030069
- Tchirkov A., Khalil T., Chautard E., Mokhtari K., Veronese L., Irthum B., Vago P., Kemeny J.-L., Verrelle P. 2007. In-terleukin-6 gene amplification and shortened survival in glioblastoma patients. Br. J. Cancer. V. 96. P. 474. https://doi.org/10.1038/sj.bjc.6603586
- Thomas A., Tanaka M., Trepel J., Reinhold W. C., Rajapakse V. N., Pommier Y. 2017. Temozolomide in the era of precision medicine. Cancer Res. V. 77. P. 823. https://doi.org/10.1158/0008-5472.CAN-16-2983
- Tiek D.M., Rone J.D., Graham G.T., Pannkuk E.L., Haddad B.R., Riggins R.B. 2018. Alterations in cell motility, proliferation, and metabolism in novel models of acquired temozolomide resistant glioblastoma. Sci. Rep. V. 8. P. 7222. https://doi.org/10.1038/s41598-018-25588-1
- Vimalraj S. 2022. A concise review of VEGF, PDGF, FGF, Notch, angiopoietin, and HGF signalling in tumor angiogenesis with a focus on alternative approaches and future directions. Int. J. Biol. Macromol. V. 221. P. 1428. https://doi.org/10.1016/j.ijbiomac.2022.09.129
- Wang D., Wang C., Wang L., Chen Y. 2019. A comprehensive review in improving delivery of small-molecule chemotherapeutic agents overcoming the blood−brain/brain t-umor barriers for glioblastoma treatment. Drug Deliv. V. 26. P. 551. https://doi.org/10.1080/10717544.2019.1616235
- Wang H., Lathia J.D., Wu Q., Wang K., Li Z., Heddleston J.M., Eyler C.E., Elderbroom J., Gallagher J., Schuschu J., MacSwords J., Cao Y., McLendon R.E., Wang X.-F., Hjelmeland A.B., Rich J.N. 2009. Targeting interleukin 6 signaling suppresses glioma stem cell survival and tumor growth. Stem Cells. V. 27. P. 2393. https://doi.org/10.1002/stem.188
- Xia Q., Liu L., Li Y., Zhang P., Han D., Dong L. 2021. Ther-peutic perspective of temozolomide resistance in gli-oblastoma treatment. Cancer Invest. V. 39. P. 627. https://doi.org/10.1080/07357907.2021.1952595
- Xu B., Yu D.-M., Liu F.-S. 2014. Effect of siRNA induced in-hibition of IL-6 expression in rat cerebral gliocytes on cerebral edema following traumatic brain injury. Mol. Med. Rep. V. 10. P. 1863. https://doi.org/10.3892/ mmr.2014.2462
- Yuhas Y., Ashkenazi S., Berent E., Weizman A. 2015. Immunomodulatory activity of ketamine in human astroglial A172 cells: possible relevance to its rapid antidepressant activity. Neuroimmunol. V. 282. P. 33. https://doi.org/10.1016/j.jneuroim.2015.03.012
- Zhang B., Shi L., Lu S., Sun X., Liu Y., Li H., Wang X., Zhao C., Zhang H., Wang Y. 2015. Autocrine IL-8 promotes F-actin polymerization and mediate mesenchymal transition via ELMO1-NF-kB-Snail signaling in glioma. Cancer Biol. Ther. V. 16. P. 898. https://doi.org/10.1080/ 15384047.2015.1028702
- Zhu Y., Chen Z., Kim S.N., Gan C., Ryl T., Lesjak M.S., Rodemerk J., Zhong R.D., Wrede K., Dammann P., Sure U. 2022. Characterization of temozolomide resistance using a novel acquired resistance model in glioblastoma cell lines. Cancers (Basel). V. 14. P. 2211. https://doi.org/10.3390/cancers14092211
Дополнительные файлы
 
				
			 
						 
						 
						 
					 
						 
									
 
  
  
  Отправить статью по E-mail
			Отправить статью по E-mail 










