Иммуногистохимическое исследование матриксных металлопротеиназ 2 и 9 в левом желудочке сердца преждевременно рожденных крыс в отдаленном периоде онтогенеза
- Авторы: Иванова В.В.1, Серебрякова О.Н.1, Ерохина А.В.1, Никонова А.Д.1, Мильто И.В.1,2
-
Учреждения:
- Кафедра морфологии и общей патологии Сибирского государственного медицинского университета Минздрава России
- Лаборатория функциональной морфологии Северского биофизического научного центра Федерального медико-биологического агентства
- Выпуск: Том 65, № 5 (2023)
- Страницы: 483-489
- Раздел: Статьи
- URL: https://journal-vniispk.ru/0041-3771/article/view/140102
- DOI: https://doi.org/10.31857/S0041377123050048
- EDN: https://elibrary.ru/ALKLGU
- ID: 140102
Цитировать
Полный текст
Аннотация
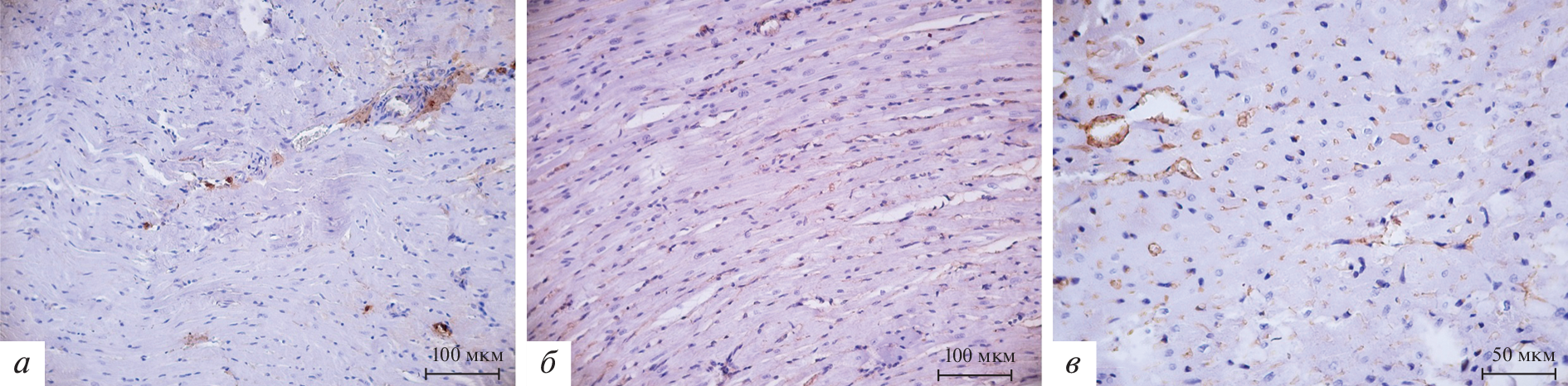
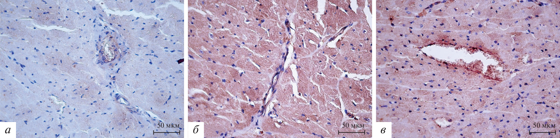
Проведено иммуногистохимическое выявление матриксных металлопротеиназ (MMP) 2 и 9 в миокарде левого желудочка сердца преждевременно рожденных (21 и 21.5 сут беременности) и доношенных (22 сут беременности) крыс на 42, 56 и 180 сут постнатального периода онтогенеза. Интенсивность иммунопозитивного окрашивания оценивали полуколичественно. Преждевременное рождение приводит к повышению интенсивности иммунопозитивной реакции на MMP-2 и MMP-9 в стенке левого желудочка сердца крыс. Повышение интенсивности позитивной реакции на MMP-2 в левом желудочке сердца крыс наблюдается тем раньше, чем больше степень недоношенности. Интенсивность позитивной реакции на MMP-9 в левом желудочке сердца самцов крыс растет с увеличением степени недоношенности. Повышение интенсивности позитивной реакции на MMP-2 и MMP-9 в стенке левого желудочка самок крыс вследствие преждевременного рождения определяется исключительно у животных, рожденных на 21-е сут беременности, то есть при большей степени недоношенности.
Ключевые слова
Об авторах
В. В. Иванова
Кафедра морфологии и общей патологии Сибирского государственного медицинского университета Минздрава России
Автор, ответственный за переписку.
Email: ivvera92@rambler.ru
Россия, 634050, Томск
О. Н. Серебрякова
Кафедра морфологии и общей патологии Сибирского государственного медицинского университета Минздрава России
Email: ivvera92@rambler.ru
Россия, 634050, Томск
А. В. Ерохина
Кафедра морфологии и общей патологии Сибирского государственного медицинского университета Минздрава России
Email: ivvera92@rambler.ru
Россия, 634050, Томск
А. Д. Никонова
Кафедра морфологии и общей патологии Сибирского государственного медицинского университета Минздрава России
Email: ivvera92@rambler.ru
Россия, 634050, Томск
И. В. Мильто
Кафедра морфологии и общей патологии Сибирского государственного медицинского университета Минздрава России; Лаборатория функциональной морфологии Северского биофизического научного центраФедерального медико-биологического агентства
Email: ivvera92@rambler.ru
Россия, 634050, Томск; Россия, 636013, Северск
Список литературы
- Иванова В.В., Мильто И.В., Серебрякова О.Н., Суходоло И.В. 2022. Выявление матриксных металлопротеиназ в сердце преждевременно рожденных крыс. Изв. РАН. Серия биологическая. № 6. С. 642. (Ivanova V.V., Milto I.V., Serebryakova O.N., Sukhodolo I.V. 2022. Matrix metalloproteinases detection in the heart of preterm rats. Izevestiya RAN. Seriya Biologicheskaya. № 6. P. 642.)
- Кузьминых Т.У., Петросян М.А. 2009. Сравнительная оценка влияния синтетических антигестагенов на сроки наступления родовой деятельности крыс и постнатальное развитие потомства. Журн. акушерства и женских болезней. Т. 54. № 2. С. 34. (Kuzminykh T.U., Petrosyan M.A. 2009. The comparison of different synthetic antigestagens influence on beginning of contractive activity on pregnant rats and postnatal development of their offspring. V. 54. № 2. P. 34.)
- Попов М.А., Шумаков Д.В., Гуревич Л.Е., Федоров Д.Н., Зыбин Д.И., Ашевская В.Е., Коростелева П.А., Тюрина В.М. 2023. Оценка функциональных свойств гибернирующего миокарда. Клин. эксп. морфология. Т. 12. № 1. С. 59. (Popov M.A., Shumakov D.V., Gurevich L.E., Fedorov D.N., Zybin D.I., Ashevskaya V.E., Korosteleva P.A., Tyurina V.M. 2023. The evaluation of hibernating myocardium function. Clin. Exper. Morpho. V. 12. № 1. P. 59.)
- Цорин И.Б. 2020. Статистическая обработка результатов фармакологических экспериментов, измеренных в порядковых и количественных шкалах, при невозможности анализа с помощью параметрических методов. Фармакокинетика и фармакодинамика. Т. 3. № 3. С. 3. (Tsorin I.B. 2020. Statistical processing of pharmacological experiments results measured in ordinal and quantitative scales, if it is impossible to analyze using parametric methods. Pharmacokinetics and Pharmacodynamics. V. 3. № 3. P. 3.)
- Ходкевич П.Е., Куликова К.В., Горев В.В., Деев И.А. 2020. Эхоструктурные и функциональные особенности органов и систем у детей с низкой, очень низкой и экстремально низкой массой тела при рождении (обзор литературы). Росс. педиатрический ж. Т. 1. № 3. С. 11. (Khodkevich P.E., Кulikova K.V., Gorev V.V., Deev I.A. 2020. The echographic characteristics of structural and functional development of organs and systems in children born with low birth weight, very low birth weight and extremely low birth weight. Russian Pediatric J. V. 1. № 3. P. 11.)
- Bellafiore M., Battaglia G., Bianco A., Farina F., Palma A., Paoli A. 2013. The involvement of MMP-2 and MMP-9 in heart exercise-related angiogenesis. J. Transl. Med. V. 11. P. 283.
- Bertagnolli M., Huyard F., Cloutier A., Anstey Z., Huot-Marchand J.É., Fallaha C., Paradis P., Schiffrin E.L., Deblois D., Nuyt A.M. 2014. Transient neonatal high oxygen exposure leads to early adult cardiac dysfunction, remodeling, and activation of the renin-angiotensin system. Hypertension. V. 63. P. 143.
- Burchert H., Lewandowski A.J. 2019. Preterm birth is a novel, independent risk factor for altered cardiac remodeling and early heart failure: is it time for a new cardiomyopathy? Curr. Treat Options Cardiovasc. Med. V. 21. P. 8.
- Cadepond F., Ulmann A., Baulieu E.E. 1997. RU486 (mifepristone): mechanisms of action and clinical uses. Annu. Rev. Med. V. 48. P. 129.
- Çelik Ö., Şahin A.A., Sarıkaya S., Uygur B. 2020. Correlation between serum matrix metalloproteinase and myocardial fibrosis in heart failure patients with reduced ejection fraction: a retrospective analysis. Anatol. J. Cardiol. V. 24. P. 303.
- Chiao Y.A., Ramirez T.A., Zamilpa R., Okoronkwo S.M., Dai Q., Zhang J., Jin Y.F., Lindsey M.L. 2012. Matrix metalloproteinase-9 deletion attenuates myocardial fibrosis and diastolic dysfunction in ageing mice. Cardiovasc. Res. V. 96. P. 444.
- DeCoux A., Lindsey M.L., Villarreal F., Garcia R.A., Schulz R. 2014. Myocardial matrix metalloproteinase-2: inside out and upside down. J. Mol. Cell Cardiol. V. 77. P. 64.
- Dudley D.J., Branch D.W., Edwin S.S., Mitchell M.D. 1996. Induction of preterm birth in mice by RU486. Biol. Reprod. V. 55. P. 992.
- Gonçalves P.R., Nascimento L.D., Gerlach R.F., Rodrigues K.E., Prado A.F. 2022. Matrix metalloproteinase 2 as a pharmacological target in heart failure. Pharmaceuticals (Basel). V. 15. P. 920.
- Lewandowski A.J., Raman B., Bertagnolli M., Mohamed A., Williamson W., Pelado J.L., McCance A., Lapidaire W., Neubauer S., Leeson P. 2021. Association of preterm birth with myocardial fibrosis and diastolic dysfunction in young adulthood. J. Am. Coll. Cardiol. V. 78. P. 683.
- Li Y.Y., McTiernan C.F., Feldman A.M. 2000. Interplay of matrix metalloproteinases, tissue inhibitors of metalloproteinases and their regulators in cardiac matrix remodeling. Cardiovasc. Res. V. 46. P. 214.
- Lindsey M.L., Iyer R.P., Zamilpa R., Yabluchanskiy A., DeLeon-Pennell K.Y., Hall M.E., Kaplan A., Zouein F.A., Bratton D., Flynn E.R., Cannon P.L., Tian Y., Jin Y.F., Lange R.A., Tokmina-Roszyk D., Fields G.B., de Castro Brás L.E. 2015. A novel collagen matricryptin reduces left ventricular dilation post-myocardial infarction by promoting scar formation and angiogenesis. J. Am. Coll. Cardiol. V. 66. P. 1364.
- Matsusaka H., Ide T., Matsushima S., Ikeuchi M., Kubota T., Sunagawa K., Kinugawa S., Tsutsui H. 2006. Targeted deletion of matrix metalloproteinase 2 ameliorates myocardial remodeling in mice with chronic pressure overload. Hypertension. V. 47. P. 711.
- Meschiari C.A., Ero O.K., Pan H., Finkel T., Lindsey M.L. 2017. The impact of aging on cardiac extracellular matrix. Geroscience. V. 39. P. 7.
- Padmanabhan Iyer R., Chiao Y.A., Flynn E.R., Hakala K., Cates C.A., Weintraub S.T., de Castro Brás L.E. 2016. Matrix metalloproteinase-9-dependent mechanisms of reduced contractility and increased stiffness in the aging heart. Proteomics Clin. Appl. V. 10. P. 92.
- Saito F.H., Damasceno D.C., Kempinas W.G., Morceli G., Sinzato Y.K., Taylor K.N., Rudge M.V. 2010. Repercussions of mild diabetes on pregnancy in Wistar rats and on the fetal development. Diabetol. Metab. Syndr. V. 2. P. 26.
- Schulz C.G., Sawicki G., Lemke R.P., Roeten B.M., Schulz R., Cheung P.Y. 2004. MMP-2 and MMP-9 and their tissue inhibitors in the plasma of preterm and term neonates. Pediatr. Res. V. 55. P. 794.
- Shynlova O., Kwong R., Lye S.J. 2010. Mechanical stretch regulates hypertrophic phenotype of the myometrium during pregnancy. Reproduction. V. 139. P. 247.
- Silva A.C., Pereira C., Fonseca A.C.R.G., Pinto-do-Ó P., Nascimento D.S. 2021. Bearing my heart: the role of extracellular matrix on cardiac development, homeostasis, and injury response. Front. Cell Dev. Biol. V. 8: 621644. https://doi.org/10.3389/fcell.2020.621644
- Sugiyama A., Hirano Y., Okada M., Yamawaki H. 2018. Endostatin stimulates proliferation and migration of myofibroblasts isolated from myocardial infarction model rats. Int. J. Mol. Sci. V. 19. P. 741.
- Villano A., Barcaro G., Monti S., Barbani N., Rizzo A., Rossin D., Rastaldo R., Giachino C., Cristallini C. 2022. Molecularly imprinted nanoparticles towards MMP9 for controlling cardiac ECM after myocardial infarction: a predictive experimental-computational chemistry investigation. Biomedicines. V. 10: 2070. https://doi.org/10.3390/biomedicines10092070
- Voloshenyuk T.G., Gardner J.D. 2010. Estrogen improves TIMP-MMP balance and collagen distribution in volume-overloaded hearts of ovariectomized females. Am. J. Physiol. Regul. Integr. Comp. Physiol. V. 299. R. 683.
- Wang G.Y., Bergman M.R., Nguyen A.P., Turcato S., Swigart P.M., Rodrigo M.C., Simpson P.C., Karliner J.S., Lovett D.H., Baker A.J. 2006. Cardiac transgenic matrix metalloproteinase-2 expression directly induces impaired contractility. Cardiovasc. Res. V. 69. P. 688.
- Wang M., Zhao D., Spinetti G., Zhang J., Jiang L.Q., Pintus G., Monticone R., Lakatta E.G. 2006. Matrix metalloproteinase 2 activation of transforming growth factor-beta1 (TGF-beta1) and TGF-beta1-type II receptor signaling within the aged arterial wall. Arterioscler. Thromb. Vasc. Biol. V. 26. P. 1503.
- Yan Y., Jiang L., Li M., Zhang H., Shen Y., Zhang W., Zhang W. 2020. Levels of matrix metalloproteinase-9 and tissue inhibitor of metalloproteinase-1 are related to cardiopulmonary injury in fetal inflammatory response syndrome. Clinics (Sao Paulo). V. 75. e2049. Cpeз https://doi.org/10.6061/clinics/2020/e2049
Дополнительные файлы





