GFAP- and Vimentin-Containing Stuctures in Human Pineal Gland
- Authors: Sufieva D.A.1, Fedorova E.A.1, Yakovlev V.S.1, Korzhevskii D.E.1, Grigorev I.P.1
-
Affiliations:
- Institute of Experimental Medicine
- Issue: Vol 65, No 2 (2023)
- Pages: 191-199
- Section: Articles
- URL: https://journal-vniispk.ru/0041-3771/article/view/140105
- DOI: https://doi.org/10.31857/S0041377123020104
- EDN: https://elibrary.ru/NDJWCZ
- ID: 140105
Cite item
Full Text
Abstract
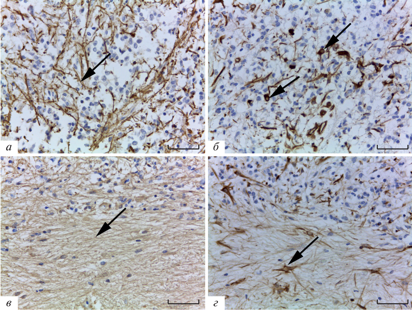
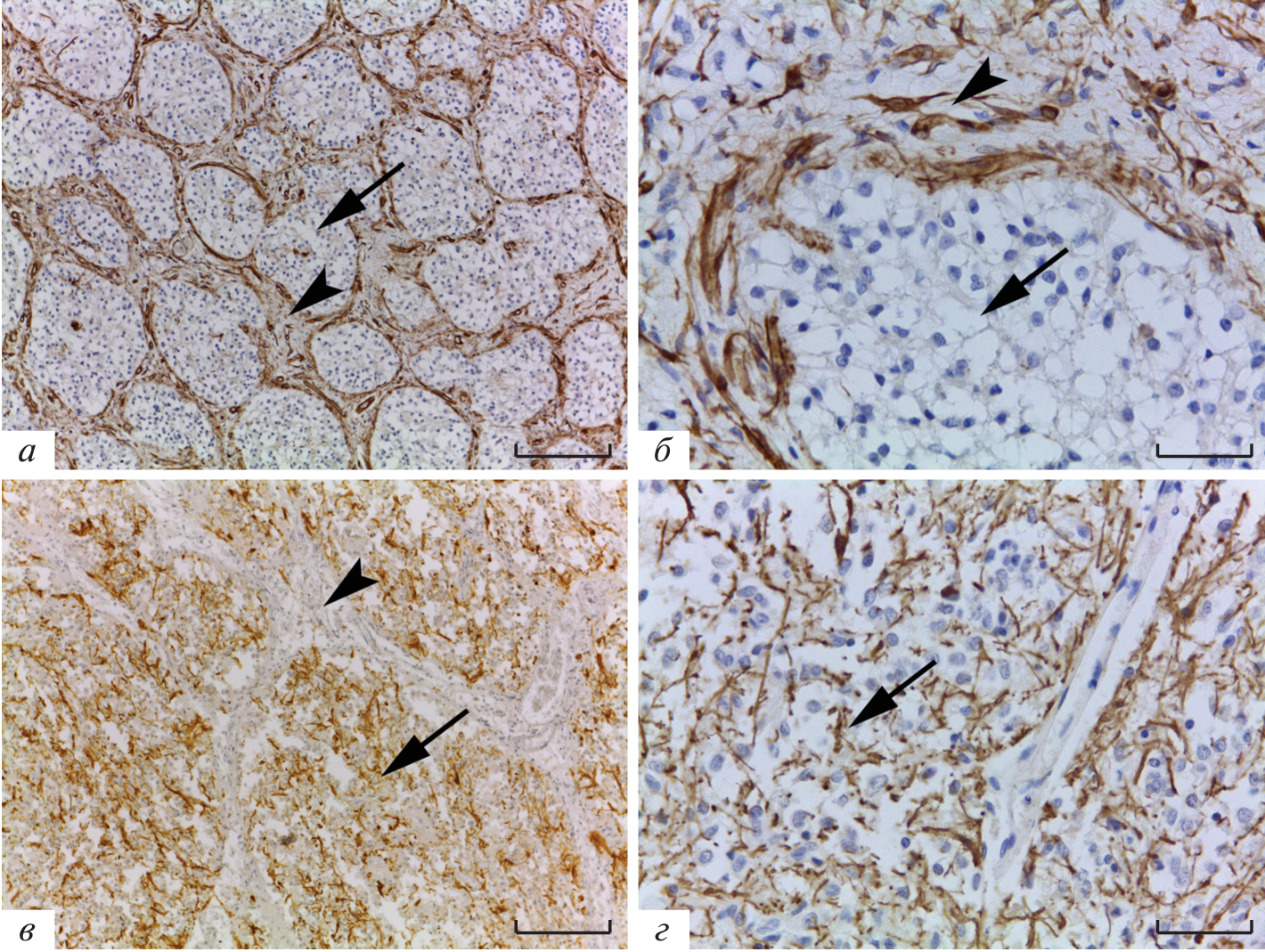
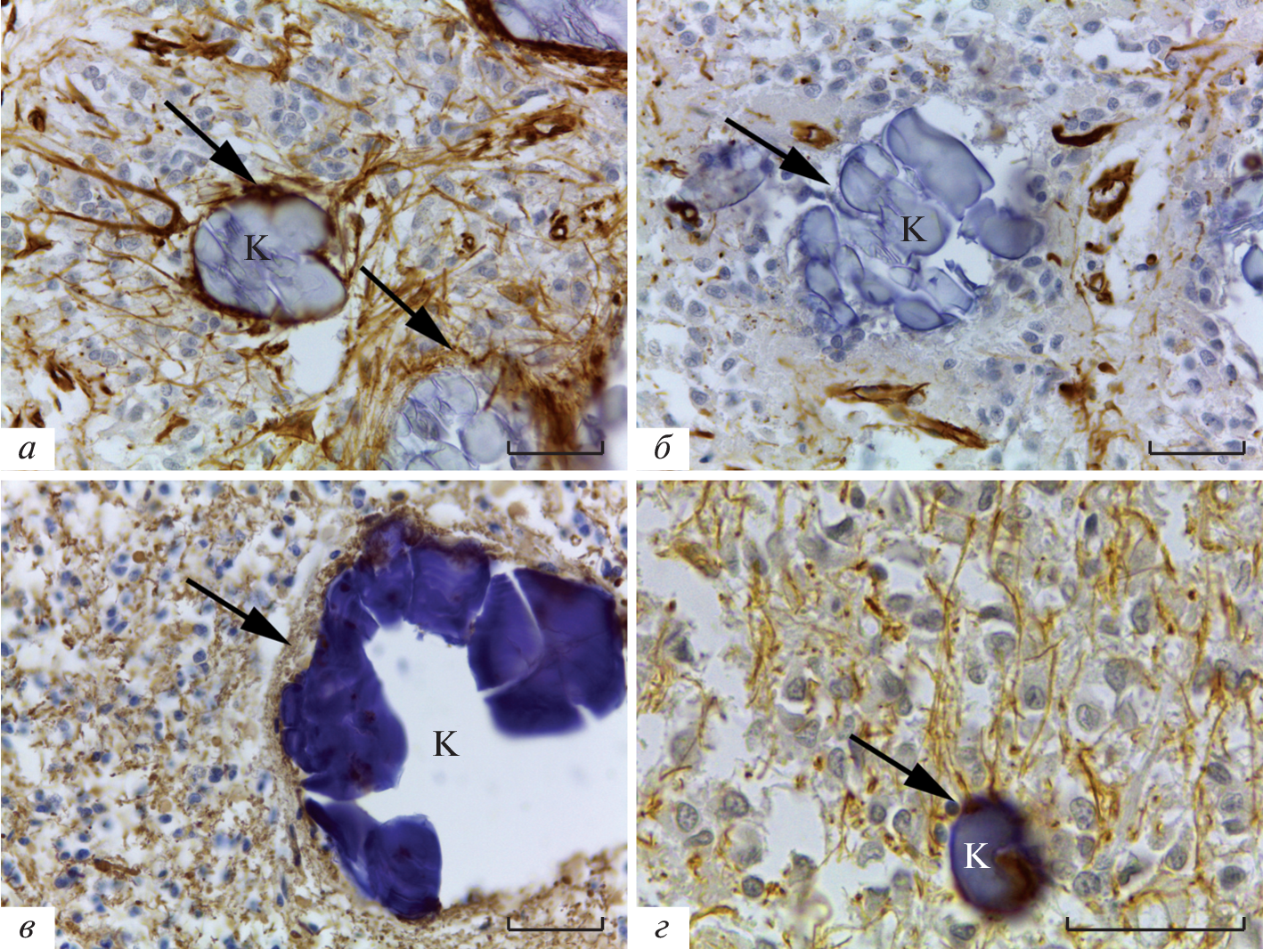
The pineal gland plays a key role in coordinating various bodily functions. The main part of the pineal cells are pinealocytes, and the second largest are glial cells, the data on which are contradictory. The purpose of this study is to investigate the astroglial cells in the human pineal gland using immunohistochemistry with transmitted light microscopy and, for the first time, with confocal laser microscopy. Astrocytes were labeled with antibodies to glial fibrillary acidic protein (GFAP) and vimentin. A large number of GFAP- and vimentin-expressing structures were revealed in the human pineal gland. GFAP was localized in polygonal cells located among pinealocytes in lobules, while vimentin was localized in blood vessels and rounded cells localized mainly in trabeculae and partially in pineal lobules. Both GFAP- and vimentin-immunoreactive cells gave rise to several long branching processes that penetrated the entire pineal parenchyma, forming a dense network, and ended on the surface of the pineal gland, blood vessels, and around calcifications. GFAP-immunoreactive fibers tightly entwined all calcifications (single and in groups), while vimentin-immunopositive processes surrounded only a part of them. The study of consecutive sections of the pineal gland showed very rare (if any) coincidence of the localization of GFAP and vimentin in pineal cells. The obtained data suggest that there are two separate populations of astrocyte-like cells in the human pineal gland, that express GFAP or vimentin and differ not only cytochemically, but also in morphological features and localization of cell bodies, as well as in the distribution of processes.
About the authors
D. A. Sufieva
Institute of Experimental Medicine
Email: ipg-iem@yandex.ru
Russia, 197022, Saint Petersburg
E. A. Fedorova
Institute of Experimental Medicine
Email: ipg-iem@yandex.ru
Russia, 197022, Saint Petersburg
V. S. Yakovlev
Institute of Experimental Medicine
Email: ipg-iem@yandex.ru
Russia, 197022, Saint Petersburg
D. E. Korzhevskii
Institute of Experimental Medicine
Email: ipg-iem@yandex.ru
Russia, 197022, Saint Petersburg
I. P. Grigorev
Institute of Experimental Medicine
Author for correspondence.
Email: ipg-iem@yandex.ru
Russia, 197022, Saint Petersburg
References
- Гомазков О.А. 2020. Астроциты мозга и синаптический диссонанс: нейродегенеративная и психическая патология. Усп. совр. биол. Т. 140. №. 2. С. 130. (Gomazkov O.A. 2020. Brain astrocytes and synaptic dissonance: neurodegenerative and mental pathology. Usp. Sovr. Biol. V. 140. P. 130. [Article in Russian].) https://doi.org/10.31857/S0042132420010019
- Григорьев И.П., Фёдорова Е.А., Суфиева Д.А., Коржевский Д.Э. 2020. Иммуногистохимическое исследование клеточной организации эпифиза человека. Морфология. Т. 158. № 4–5. С. 19. (Grigorev I.P., Fedorova E.A., Sufieva D.A., Korzhevskii D.E. 2021. Immunohistochemical studies of cell organization in the human epiphysis. Neurosci. Behav. Physiol. V. 51. P. 546.)https://doi.org/10.1007/s11055-021-01103-4
- Сухорукова Е.Г., Коржевский Д.Э., Алексеева О.С. 2015. Глиальный фибриллярный кислый белок – компонент промежуточных филаментов астроцитов мозга позвоночных. Журн. эвол. биох. физиол. Т. 51. № 1. С. 3. (Sukhorukova E.G., Korzhevskii D.E., Alekseeva O.S. 2015. Glial fibrillary acidic protein: the component of intermediate filaments in the vertebrate brain astrocytes. J. Evol. Biochem. Physiol. V. 51. P. 1.)https://doi.org/10.1134/S0022093015010019
- Фёдорова Е.А., Суфиева Д.А., Григорьев И.П., Коржевский Д.Э. 2018. Тучные клетки эпифиза человека. Усп. геронтол. Т. 31. № 4. С. 484. (Fedorova E.A., Sufieva D.A., Grigorev I.P., Korzhevskii D.E. 2018. Mast cells of the human pineal gland. Adv. Gerontol. V. 9. P. 62.)https://doi.org/10.1134/S2079057019010053
- Фокин Е.А., Савельев С.В., Гулимова В.И., Асадчиков В.Е., Сенин Р.А., Бузмаков А.В. 2006. Морфогенез и пространственная организация конкрементов эпифиза человека при болезни Альцгеймера, шизофрении и алкоголизме. Арх. патол. Т. 68. № 5. С. 20. (Fokin E.I., Savel’ev S.V., Gulimova V.I., Asadchikov E.V., Senin R.A., Buzmakov A.V. 2006. The morphogenesis and spatial organization of human pineal gland concretions in Alzheimer’s disease, schizophrenia, and alcoholism. [Article in Russian]. Arkh. Patol. V. 68. P. 20.)
- Baconnier S., Lang S.B., Polomska M., Hilczer B., Berkovic G., Meshulam G. 2002. Calcite microcrystals in the pineal gland of the human brain: first physical and chemical studies. Bioelectromagnetics. V. 23. P. 488. https://doi.org/10.1002/bem.10053
- Boya J., Calvo J.L. 1993. Immunohistochemical study of the pineal astrocytes in the postnatal development of the cat and dog pineal gland. J. Pineal Res. V. 15. P. 13. https://doi.org/10.1111/j.1600-079x.1993.tb00504.x
- Butt A., Verkhratsky A. 2018. Neuroglia: realising their true potential. Brain Neurosci. Adv. V. 2. 2398212818817495. https://doi.org/10.1177/2398212818817495
- Calvo J., Boya J., Borregon A., Garcia-Mauriño J.E. 1988. Presence of glial cells in the rat pineal gland: a light and electron microscopic immunohistochemical study. Anat. Rec. V. 220. P. 424. https://doi.org/10.1002/ar.1092200412
- Csaki A., Koves K., Kiss A.L., Rohlich P., Boldogkoi Z., Vereczki V., Puskar Z., Tombacz D., Csabai Z. 2021. Pinealocytes can not transport neurotropic viruses. Pinealo-to-retinal connection in prepubertal rats originates from pineal neurons: Light and electron microscopic immunohistochemical studies. Neurosci. Lett. V. 23. P. 135517. https://doi.org/0.1016/j.neulet.2020.135517
- Dossi E., Vasile F., Rouach N. 2018. Human astrocytes in the diseased brain. Brain Res. Bull. V. 136. P. 139. https://doi.org/10.1016/j.brainresbull.2017.02.001
- Fernández-Blanco Á., Dierssen M. 2020. Rethinking intellectual disability from neuro-to astro-pathology. Int. J. Mol. Sci. V. 21. P. 9039. https://doi.org/10.3390/ijms21239039
- Huang S.-K., Nobiling R., Schachner M., Taugner R. 1984. Interstitial and parenchymal cells in the pineal gland of the golden hamster. Cell Tissue Res. V. 235. P. 327. https://doi.org/10.1007/bf00217857
- Ibanez Rodriguez M.P., Noctor S.C., Munoz E.M. 2016. Cellular basis of pineal gland development: emerging role of microglia as phenotype regulator. PLoS One. V. 11. P. e0167063. https://doi.org/10.1371/journal.pone.0167063
- Korzhevskii D.E., Sukhorukova E.G., Kirik O.V., Grigorev I.P. 2015. Immunohistochemical demonstration of specific antigens in the human brain fixed in zinc−ethanol−formaldehyde. Eur. J. Histochem. V. 59. P. 2530.https://doi.org/10.4081/ejh.2015.253026428887
- Kovacs G.G. 2017. Cellular reactions of the central nervous system. Handb. Clin. Neurol. V. 145. P. 13. https://doi.org/10.1016/B978-0-12-802395-2.00003-1
- Lago-Baldaia I., Fernandes V.M., Ackerman S.D. 2020. More than mortar: Glia as architects of nervous system development and disease. Front. Cell Dev. Biol. V. 8. P. 611269. https://doi.org/10.3389/fcell.2020.611269
- López-Muñoz F., Calvo J.L., Boya J., Carboneil A.L. 1992. Coexpression of vimentin and glial fibrillary acidic protein in glial cells of the adult rat pineal gland. J. Pineal Res. V. 12. P. 145. https://doi.org/10.1111/j.1600-079x.1992.tb00041.x
- Lowenthal A., Flament-Durand J., Karcher D., Noppe M., Brion J.P. 1982. Glial cells identified by anti-α-albumin (anti-GFA) in human pineal gland. J. Neurochem. V. 38. P. 863. https://doi.org/10.1111/j.1471-4159.1982.tb08714.x
- O’Leary L.A., Davoli M.A., Belliveau C., Tanti A., Ma J.C., Farmer W.T., Turecki G., Murai K.K., Mechawar N. 2020. Characterization of vimentin-immunoreactive astrocytes in the human brain. Front. Neuroanat. V. 14. P. 31. https://doi.org/10.3389/fnana.2020.00031
- Papasozomenos S.C. 1983. Glial fibrillary acidic (GFA) protein-containing cells in the human pineal gland. J. Neuropathol. Exp. Neurol. V. 42. P. 391. https://doi.org/10.1097/00005072-198307000-00003
- Pedersen E.B., Fox L.M., Castro A.J., McNulty J.A. 1993. Immunocytochemical and electron-microscopic characterization of macrophage/microglia cells and expression of class II major histocompatibility complex in the pineal gland of the rat. Cell Tissue Res. V. 272. P. 257. https://doi.org/10.1007/bf00302731
- Sarnat H.B., Yu W. 2022. Ganglion cell maturation in peripheral neuroblastic tumours of children. Clin. Neuropathol. V. 41. P. 101. https://doi.org/10.5414/NP301450
- Sato T., Kaneko M., Fujieda H., Deguchi T., Wake K. 1994. Analysis of the heterogeneity within bovine pineal gland by immunohistochemistry and in situ hybridization. Cell Tissue Res. V. 277. P. 201. https://doi.org/10.1007/bf00327768
- Schachner M., Huang S.-K., Ziegelmüller P., Bizzini B., Taugner R. 1984. Glial cells in the pineal gland of mice and rats. Cell Tissue Res. V. 237. P. 245. https://doi.org/10.1007/bf00217142
- Scharenberg K., Liss L. 1965. The histologic structure of the human pineal body. Structure and Function of the Epiphysis Cerebri. Prog. Brain Res. V. 10. P. 193. https://doi.org/10.1016/s0079-6123(08)63452-4
- Sofroniew M.V., Vinters H.V. 2010. Astrocytes: biology and pathology. Acta Neuropathol. V. 119. P. 7. https://doi.org/10.1007/s00401-009-0619-8
- Stehle J.H., Saade A., Rawashdeh O., Ackermann K., Jilg A., Sebesteny T., Maronde E. 2011. A survey of molecular details in the human pineal gland in the light of phylogeny, structure, function and chronobiological diseases. J. Pineal Res. V. 51. P. 17. https://doi.org/10.1111/j.1600-079X.2011.00856.x
- Verkhratsky A., Sofroniew M.V., Messing A., DeLanerolle N.C., Rempe D., Rodríguez J.J., Nedergaard M. 2011. Neurological diseases as primary gliopathies: a reassessment of neurocentrism. ASN NEURO V. 4. art: e00082. https://doi.org/10.1042/AN20120010
- Zang X., Nilaver G., Stein B.M., Fetell M.R., Duffy P.E. 1985. Immunocytochemistry of pineal astrocytes. J. Neuropathol. Exp. Neurol. V. 44. P. 486. https://doi.org/10.1097/00005072-198509000-00004
Supplementary files






