Design and selection of guides for CRISPR/Cas9-mediated knockout of the Kcnv2 gene in mouse cells
- Authors: Antonova E.N.1, Soroka A.B.1, Mityaeva O.N.1,2,3, Volchkov P.Y.1,2,3
-
Affiliations:
- Moscow Institute of Physics and Technology (National Research University)
- Lomonosov Moscow State University
- Federal Research Center for Innovator and Emerging Biomedical and Pharmaceutical Technologies
- Issue: Vol 66, No 5-6 (2024)
- Pages: 420-437
- Section: Articles
- URL: https://journal-vniispk.ru/0041-3771/article/view/282705
- DOI: https://doi.org/10.31857/S0041377124050036
- EDN: https://elibrary.ru/DUVXRC
- ID: 282705
Cite item
Abstract
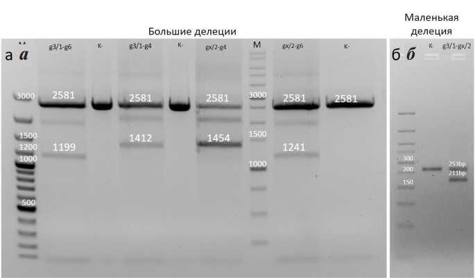
Mutations in the human KCNV2 gene cause a rare hereditary disease — cone dystrophy with supernormal rod response (CDSRR), characterized by progressive vision loss and impaired color discrimination. The KCNV2 gene encodes the Kv8.2 subunit of a potassium channel that is critical for the normal function of retinal photoreceptors. Gene therapy offers a promising treatment approach for this condition. To test the efficacy of gene therapy, an appropriate experimental disease model, such as a knockout mouse model, is required. This study focused on selecting optimal guide RNAs for knocking out the Kcnv2 gene using the CRISPR/Cas9 system and testing their efficiency in a mouse cell line. The selected guide RNAs can be utilized to generate a Kcnv2-/- mouse model.
Keywords
Full Text
About the authors
E. N. Antonova
Moscow Institute of Physics and Technology (National Research University)
Author for correspondence.
Email: antonova.en@genlab.llc
Russian Federation, Dolgoprudny, Moscow Oblast, 141701
A. B. Soroka
Moscow Institute of Physics and Technology (National Research University)
Email: antonova.en@genlab.llc
Russian Federation, Dolgoprudny, Moscow Oblast, 141701
O. N. Mityaeva
Moscow Institute of Physics and Technology (National Research University); Lomonosov Moscow State University; Federal Research Center for Innovator and Emerging Biomedical and Pharmaceutical Technologies
Email: antonova.en@genlab.llc
Russian Federation, Dolgoprudny, Moscow Oblast, 141701; Moscow, 119991; Moscow, 125315
P. Yu. Volchkov
Moscow Institute of Physics and Technology (National Research University); Lomonosov Moscow State University; Federal Research Center for Innovator and Emerging Biomedical and Pharmaceutical Technologies
Email: antonova.en@genlab.llc
Russian Federation, Dolgoprudny, Moscow Oblast, 141701; Moscow, 119991; Moscow, 125315
References
- Andreazzoli M., Barravecchia I., De Cesari C., Angeloni D., Demontis G.C. 2021. Inducible pluripotent stem cells to model and treat inherited degenerative diseases of the outer retina: 3D-organoids limitations and bioengineering solutions. Cells. V. 10. Art. ID 2489. https://doi.org/10.3390/cells10092489
- Aslanidis A., Karlstetter M., Walczak Y., Jägle H., Langmann T. 2014. RETINA-specific expression of Kcnv2 is controlled by cone-rod homeobox (Crx) and neural retina leucine zipper (Nrl). Adv. Exp. Med. Biol. V. 801. P. 31. https://doi.org/10.1007/978-1-4614-3209-8_5
- Ail D., Malki H., Zin E.A., Dalkara D. 2023. Adeno-associated virus (AAV) – based gene therapies for retinal diseases: where are we? Ther. Adv. Chronic. Dis. V. 16. P. 111. https://doi.org/10.2147/TACG.S383453
- Barnard A.R., Tolmachova T., Seabra M.C., MacLaren R.E. 2012. Assessment of visual function by electroretinography following rAAV2-CHM/REP1 gene therapy in a mouse model of choroideremia. Invest. Ophthalmol. Vis. Sci. V. 53. P. 1933. https://doi.org/10.1167/iovs.53.3.1933
- Brinkman E.K., Chen T., Amendola M., van Steensel B. 2014. Easy quantitative assessment of genome editing by sequence trace decomposition. Nucleic. Acids. Res. V. 42. Art. ID e168. https://doi.org/10.1093/nar/gku1112
- Bruegmann T., Deecke K., Fladung M. 2019. Mediated genome editing in poplars: evaluating the efficiency of gRNAs in CRISPR/Cas9. Mol. Biol. Rep. V. 20: 3623. https://doi.org/10.1007/s11033-019-04952-8
- Carvalho L., Rashwan R., Lim X.R., Brunet A., Miller A.L., Bhatt Y., Fuller-Carter P. , Hunt D. 2023. Pre-clinical efficacy testing of AAV-based gene therapy for KCNV2-deficiency. Investigative Ophthalmol. Visual Sci. V. 64. P. 477. https://doi.org/10.1167/iovs.64.6.477
- Chen X., Xu F., Zhu C., Ji J., Zhou X., Feng X., Guang S. 2014. Dual sgRNA-directed gene knockout using CRISPR/Cas9 technology in Caenorhabditis elegans. Sci. Rep. V. 4. Art. ID 7581. https://doi.org/10.1038/srep07581
- Chirinskaite A.V., Rotov A.Y., Ermolaeva M.E., Tkachenko L.A., Vaganova A.N., Danilov L.G., Fedoseeva K.N., Kostin N.A., Sopova J.V., Firsov M.L., Leonova E.I. 2023. Does background matter? A comparative characterization of mouse models of autosomal retinitis pigmentosa rd1 and Pde6b-KO. Int. J. Mol. Sci. V. 24. Art. ID 17180. https://doi.org/10.3390/ijms242417180
- Czirjak G., Toth Z.E., Enyedi P. 2007. Characterization of the heteromeric potassium channel formed by kv2.1 and the retinal subunit kv8.2 in Xenopus oocytes. J. Neurophysiol. V. 98. P. 1213. https://doi.org/10.1152/jn.00093.2007
- Da Silva-Buttkus P., Spielmann N., Klein-Rodewald T., Schütt C., Aguilar-Pimentel A., Amarie O.V., Becker L., Calzada-Wack J., Garrett L., Gerlini R., Kraiger M., Leuchtenberger S., Östereicher M.A., Rathkolb B., Sanz-Moreno A., Stöger C., Hölter S.M., Seisenberger C., Marschall S., Fuchs H., Gailus-Durner V., Hrabě de Angelis M. 2023. Knockout mouse models as a resource for the study of rare diseases. Mamm. Genome. V. 34. P. 244. https://doi.org/10.1007/s00335-023-09986-z
- Gill J.S., Georgiou M., Kalitzeos A., Moore A.T., Michaelides M. 2019. Progressive cone and cone-rod dystrophies: clinical features, molecular genetics and prospects for therapy. Br. J. Ophthalmol. V. 103. P. 711. https://doi.org/10.1136/bjophthalmol-2018-312983
- Hart N.S., Mountford J.K., Voigt V., Fuller-Carter P., Barth M., Nerbonne J.M., Hunt D.M., Carvalho L.S. 2019. The role of the voltage-gated potassium channel proteins Kv8.2 and Kv2.1 in vision and retinal disease: insights from the study of mouse gene knock-out mutations. eNEURO. V. 6. Art. ID 0032. https://doi.org/10.1523/ENEURO.0032-19.2019
- Hunt D.M., Har N., Mountford J.K., Barth M., Fuller-Carter P., Carvalho L.S. 2018. Role of the voltage-gated potassium channel subunit Kv8.2 in inherited retinal disease and interaction with other channel proteins. ARVO Ann. Meeting Abstract. V. 59. Art. ID 2328. https://doi.org/10.1167/iovs.59.6.2328
- Jensen K.T., Floe L., Petersen T.S., Huang J., Xu F., Bolund L., Luo Y., Lin L. 2017. Chromatin accessibility and guide sequence secondary structure affect CRISPR-Cas9 gene editing efficiency. FEBS Lett. V. 591. V. 1892. https://doi.org/10.1002/1873-3468.12694
- Liang G., Zhang H., Lou D., Yua D. 2016. Selection of highly efficient sgRNAs for CRISPR/Cas9-based plant genome editing. Sci. Rep. V. 6. P. 21451. https://doi.org/10.1038/srep21451
- Maguire A.M., Bennett J., Aleman E.M., Leroy B.P., Aleman T.S. 2021. Clinical perspective: treating RPE65-associated retinal dystrophy. Mol. Ther. V. 29. P. 442. https://doi.org/10.1016/j.ymthe.2020.10.025
- Michaelides M., Hardcastle A.J., Hunt D.M., Moore A.T. 2006. Progressive cone and cone-rod dystrophies: phenotypes and underlying molecular genetic basis. Surv. Ophthalmol. V. 51. P. 232. https://doi.org/10.1016/j.survophthal.2006.02.008
- Michaelides M., Holder G.E., Webster A.R., Hunt D.M., Bird A.C., Fitzke F.W., Mollon J.D., Moore A.T. 2005. A detailed phenotypic study of “cone dystrophy with supernormal rod ERG”. Br. J. Ophthalmol. V. 89. P. 332. https://doi.org/10.1136/bjo.2004.047746
- Shahi P.K., Srinivasan A., Pattnaik B.R. 2022. A novel Kcnv2 nonsense mutation mouse model of cone dystrophy with supernormal rod response. Invest. Ophthalmol. Visual Sci. V. 63. Art. ID 1784. https://doi.org/10.1167/iovs.63.6.1784
- Skarnes W.C., Rosen B., West A.P., Koutsourakis M., Bushell W., Iyer V., Mujica A.O., Thomas M., Harrow J., Cox T., Jackson D., Severin J., Fu J., Nefedov M., de Jong P. J., Stewart A.F., Bradley A. 2011. A conditional knockout resource for the genome-wide study of mouse gene function. Nature. V. 474. P. 337. https://doi.org/10.1038/nature10163
- Uddin F., Rudin C.M., Sen T. 2020. CRISPR Gene therapy: applications, limitations, and implications for the future. Front. Oncol. V. 10. Art. ID 1387. https://doi.org/10.3389/fonc.2020.01387
- Vincent A., Wright T., Garcia-Sanchez Y., Kisilak M., Campbell M., Westall C., Heon E. 2013. Phenotypic characteristics including in vivo cone photoreceptor mosaic in KCNV2-related “cone dystrophy with supernormal rod electroretinogram”. Invest. Ophthalmol. Vis. Sci. V. 54. P. 898. https://doi.org/10.1167/iovs.12-10664
- Wiles M.V., Qin W., Cheng A.W., Wang H. 2015. CRISPR–Cas9-mediated genome editing and guide RNA design. Mamm. Genome. V. 26. P. 501. https://doi.org/10.1007/s00335-015-9579-0
- Wu H., Cowing J.A., Michaelides M., Wilkie S.E., Jeffery G., Jenkins S.A., Mester V., Bird A.C., Robson A.G., Holder G.E., Moore A.T., Hunt D.M., Webster A.R. 2006. Mutations in the gene KCNV2 encoding a voltage-gated potassium channel subunit cause “cone dystrophy with supernormal rod electroretinogram” in humans. Am. J. Hum. Genet. V. 79. P. 574. https://doi.org/10.1086/507885
- Wissinger B., Dangel S., Jagle H., Hansen L., Baumann B., Rudolph G., Wolf C., Bonin M., Koeppen K., Ladewig T., Kohl S., Zrenner E., Rosenberg T. 2008. Cone dystrophy with supernormal rod response is strictly associated with mutations in KCNV2. Invest. Ophthalmol. Vis. Sci. V. 49. P. 751. https://doi.org/10.1167/iovs.07-1038
- Zuker M., Stiegler P. 1981. Optimal computer folding of large RNA sequences using thermodynamics and auxiliary information. Nucleic Acids Res. V. 9. P. 133. https://doi.org/10.1093/nar/9.1.133
Supplementary files












