Состояние гонад проходной сельди-черноспинки Alosa kessleri kessleri (Alosidae) нижней Волги в период нерестовой миграции
- Авторы: Жукова К.А.1,2, Емельянова Н.Г.1, Кузищин К.В.1, Груздева М.А.1
-
Учреждения:
- Московский государственный университет
- Университет МГУ-ППИ в Шэньчжэне
- Выпуск: Том 63, № 4 (2023)
- Страницы: 442-449
- Раздел: Статьи
- URL: https://journal-vniispk.ru/0042-8752/article/view/135211
- DOI: https://doi.org/10.31857/S004287522304032X
- EDN: https://elibrary.ru/ROSFAD
- ID: 135211
Цитировать
Полный текст
Аннотация
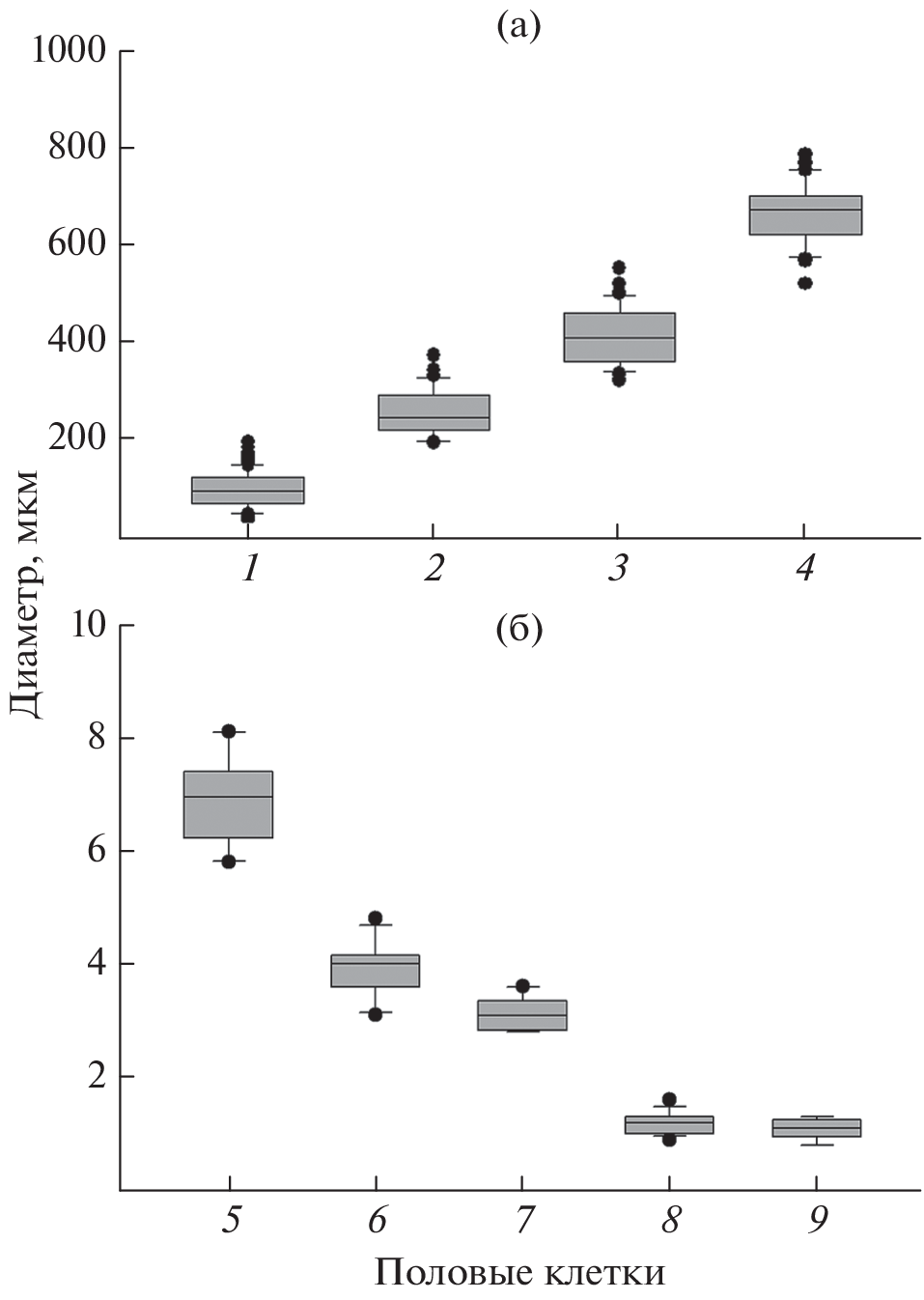
Исследовали состояние гонад мигрирующей на нерест сельди-черноспинки Alosa kessleri kessleri (Grimm, 1887) в р. Ахтуба. Пик хода на нерест в 2021 г. зарегистрирован в третьей декаде мая при температуре воды 17–18°С. Самки и самцы имели гонады III и IV стадий зрелости. Длина тела по Смитту самок составляла в среднем 254.1 мм, масса – 178.9 г, самцов соответственно 209.9 мм и 87.5 г. Возраст подавляющего большинства самок был 3+, самцов – 2+, 3+. Гонадосоматический индекс у самок и самцов в среднем составлял соответственно 8.71 и 3.67%. Среди асинхронно развивающихся вителлогенных клеток в гонадах IV стадии зрелости выделены три разноразмерные группы, очевидно, предназначенные для вымётывания соответствующего числа порций ооцитов. Количество превителлогенных ооцитов (26.7–59.4% всех клеток на срезах) позволяет считать этих рыб полицикличными. Диаметр завершивших рост ооцитов был около 800 мкм.
Об авторах
К. А. Жукова
Московский государственный университет; Университет МГУ-ППИ в Шэньчжэне
Email: kzh@fish-zoology.ru
Россия, Москва; Китай, Шэньчжэн
Н. Г. Емельянова
Московский государственный университет
Email: kzh@fish-zoology.ru
Россия, Москва
К. В. Кузищин
Московский государственный университет
Email: kzh@fish-zoology.ru
Россия, Москва
М. А. Груздева
Московский государственный университет
Автор, ответственный за переписку.
Email: kzh@fish-zoology.ru
Россия, Москва
Список литературы
- Беляева Н.В., Васильченко О.Н. 1965. О созревании половых продуктов сельди-черноспинки Alosa kessleri kessleri (Grim) после сооружения Волгоградской плотины // Тр. КаспНИРХ. Т. 20. С. 81–84.
- Берг Л.С. 1948. Рыбы пресных вод СССР и сопредельных стран. Т. 1. М.; Л.: Изд-во АН СССР, 468 с.
- Васильева Т.В., Власенко А.Д., Дегтярева Н.Г. 2012. История и современное состояние рыбохозяйственных исследований на Каспии // Вопр. рыболовства. Т. 13. № 4 (52). С. 679–688.
- Водовская В.В. 1994. Воспроизводство сельди на Волге // Рыб. хоз-во. № 6. С. 28–29.
- Водовская В.В. 1996. Влияние гидрологического режима на воспроизводство и численность проходных сельдей // Гидрометеорология и гидрохимия морей. Т. 6. Вып. 2. С. 304–305.
- Водовская В.В. 2001. Экологические аспекты биологии проходной сельди Каспия. Астрахань: Изд-во КаспНИРХ, 74 с.
- Войнова Т.В. 2012. Современное состояние нерестовой части популяции проходной сельди-черноспинки Alosa kessleri kessleri // Экол. мониторинг и биоразнообразие. № 2. С. 75–78.
- Войнова Т.В. 2013. Динамика уловов и биологические показатели сельди черноспинки в Волго-Каспийском рыбохозяйственном подрайоне в современных условиях (река Волга и ее водотоки) // Вестн. АГТУ. Сер. Рыб. хоз-во. № 3. С. 25–29.
- Войнова Т.В. 2016. Мониторинг современного состояния популяции сельди-черноспинки (Alosa kesselri kessleri Grimm) в р. Волге // Экол. мониторинг и биоразнообразие. № 1. С. 21–25.
- Войнова Т.В. 2021. О плодовитости сельди-черноспинки Alosa kessleri kessleri (Grim) // Вестн. АГТУ. Сер. Рыб. хоз-во. № 3. С. 77–85. https://doi.org/10.24143/2073-5529-2021-3-77-85
- Дубовская А.В. 2020. Гистоморфологический анализ состояния репродуктивной системы сельди-черноспинки в период 2013–2017 годов // Матер. III Междунар. науч.-практ. конф. “Современная наука: перспективы, достижения и инновации”. Астрахань: Изд-во АГУ. С. 27–30.
- Иванов М.Ф. 1953. Особенности развития яйцевых клеток каспийско-волжской сельди (Caspialosa kessleri и Caspialosa volgensis) и опыты по искусственному разведению черноспинки (Caspialosa kessleri) в дельте Волги // Вестн. ЛГУ. № 10. С. 51–76.
- Иванов М.Ф., Додзина Ф.И. 1957. Гистологический анализ половых желез волжских проходных сельдей в период миграции и нереста // Уч. зап. ЛГУ. Сер. биол. наук. Вып. 44. № 228. С. 155–180.
- Катунин Д.Н., Беспарточный Н.П., Сапожников В.В. 2000. Комплексные океанологические исследования Каспийского моря в рейсе на научно-исследовательском судне “Исследователь Каспия” (август–сентябрь 1999 г.) // Океанология. № 1. С. 156–158.
- Кузищин К.В., Груздева М.А., Филенко В.А., Павлов Д.С. 2020. Сельдь-черноспинка Alosa kessleri kessleri (Grim) из р. Ахтубы нижневолжского бассейна: биологические и морфологические особенности // Биол. внутр. вод. № 1. С. 67–75. https://doi.org/10.31857/S0320965220010143
- Лакин Г.Ф. 1990. Биометрия. М.: Высш. шк., 352 с.
- Лепилина И.Н., Войнова Т.В., Николенков А.А., Степанова Т.Г. 2016. Состояние запасов сельди-черноспинки, биологические, физиолого-биохимические показатели и трофологический анализ производителей, мигрирующих в реку Волгу // Вестн. АГТУ. Сер. Рыб. хоз-во. № 2. С. 43–52.
- Микодина Е.В., Седова М.А., Чмилевский Д.А. и др. 2009. Гистология для ихтиологов. Опыт и советы. М.: Изд-во ВНИРО, 111 с.
- Николаев В.А. 1962. Геологическая история, рельеф и аллювиальные отложения р. Ахтуба // Природа и сельское хозяйство Волго-Ахтубинской долины и дельты. М.: Изд-во МГУ. С. 11–56.
- Овен Л.С. 1976. Особенности оогенеза и характер нереста морских рыб. Киев: Наук. думка, 131 с.
- Овен Л.С. 2004. Специфика развития половых клеток морских рыб в период размножения как показатель типа нереста и реакции на условия среды обитания. М.: Изд-во ВНИРО, 186 с.
- Пятикопова О.В. 2019. Современные особенности нерестовой миграции производителей и покатной миграции личинок сельди черноспинки Alosa kessleri kessleri (Grimm, 1887) в Волжско-Каспийском бассейне: Автореф. дис. … канд. биол. наук. Астрахань: АГТУ, 19 с.
- Роскин Г.И., Левинсон Л.Б. 1957. Микроскопическая техника. М.: Сов. наука, 467 с.
- Световидов А.Н. 1952. Фауна СССР. Рыбы. Т. 2. Вып. 1. Сельдевые (Clupeidae). М.: Изд-во АН СССР, 331 с.
- Танасийчук В.С. 1962. Нерест проходных сельдей в условиях зарегулирования стока Волги // Тр. КаспНИРХ. Т. 18. С. 143–166.
- Чмилевский Д.А. 2003. К вопросу о периодизации оогенеза костистых рыб (обзор) // Вопр. ихтиологии. Т. 43. № 3. С. 375–387.
- Чугунова Н.И. 1959. Руководство по изучению возраста и роста рыб. М.: Изд-во АН СССР.
- Blaber S.J.M., Brewer D.T., Milton D.A. et al. 1999. The life history of the protandrous tropical shad Tenualosa macrura (Alosinae: Clupeidae): Fishery implications // Estuar. Coast. Shelf Sci. V. 49. № 5. P. 689–701. https://doi.org/10.1006/ecss.1999.0545
- Carscadden J.E., Leggett W.C. 1975. Life history variations in populations of American shad, Alosa sapidissima (Wilson), spawning in tributaries of the St John River, New Brunswick // J. Fish Biol. V. 7. № 5. P. 595–609. https://doi.org/10.1111/j.1095-8649.1975.tb04633.x
- Catalano M.J., Allen M.S. 2011. Exploring strategies for gizzard shad removal that account for compensatory density dependence and uncertainty // N. Am. J. Fish. Manag. V. 31. № 6. P. 1153–1162. https://doi.org/10.1080/02755947.2011.646457
- Ganias K., Divino J.N., Gherard K.E. et al. 2015. A reappraisal of reproduction in anadromous alewives: Determinate versus indeterminate fecundity, batch size and batch number // Trans. Am. Fish. Soc. V 144. № 6. P. 1143–1158. https://doi.org/10.1080/00028487.2015.1073620
- Gilligan-Lunda E.K., Stich D.S., Mills K.E. et al. 2021. Climate change may cause shifts in growth and instantaneous natural mortality of American shad throughout their native range // Ibid. V. 150. № 3. P. 407–421. https://doi.org/10.1002/tafs.10299
- Glebe B.D., Leggett W.C. 1981. Latitudinal differences in energy allocation and use during the freshwater migrations of American shad (Alosa sapidissima) and their life history consequences // Can. J. Fish. Aquat. Sci. V. 38. № 7. P. 806–820. https://doi.org/10.1139/f81-109
- Götting K.J. 1961. Beitrage zur Kenntnis der Grundlagen der Fortpflanzung und zur Fruchtbarkeits-bestimmung bei marinen Teleosteern // Helgoland. Wiss. Meer. V. 8. № 1. P. 1–41. https://doi.org/10.1007/BF01609945
- Grice H., Patterson L., Giangiacomo C. et al. 2014. Potential spawning strategy and fecundity of Alabama shad (Alosa alabamae) from the Apalachicola River, Florida // Georgia J. Sci. V. 72. № 2. P. 94–102.
- Hyle A.R., McBride R.S., Olney J.E. 2014. Determinate versus indeterminate fecundity in American shad, an anadromous clupeid // Trans. Am. Fish. Soc. V. 143. № 3. P. 618–633. https://doi.org/10.1080/00028487.2013.862178
- Leggett W.C., Carscadden J.E. 1978. Latitudinal Variation in reproductive characteristics of American shad (Alosa sapidissima): Evidence for population specific life history strategies in fish // J. Fish. Res. Board Can. V. 35. № 11. P. 1469–1478. https://doi.org/10.1139/f78-230
- McBride R.S., Somarakis S., Fitzhugh G.R. et al. 2015. Energy acquisition and allocation to egg production in relation to fish reproductive strategies // Fish Fish. V. 16. № 1. P. 23–57. https://doi.org/10.1111/faf.12043
- McBride R.S., Ferreri R., Towle E.K. et al. 2016. Yolked oocyte dynamics support agreement between determinate- and indeterminate-method estimates of annual fecundity for a northeastern United States population of American shad // PLoS One. V. 11. № 10. Article e0164203. https://doi.org/10.1371/journal.pone.0164203
- Mylonas C.C., Zohar Y., Richardson B.M., Minkkinen S.P. 1995. Induced spawning of wild American shad Alosa sapidissima using sustained administration of gonadotropin-releasing hormone analogue (GnRHa) // J. World Aquacult. Soc. V. 26. № 3. P. 240–251. https://doi.org/10.1111/j.1749-7345.1995.tb00252.x
- Mouchlianitis F.A., Belo A.F., Vieira A.R. et al. 2019. Primary and secondary oocyte growth dynamics in anadromous semelparous Allis shad Alosa alosa // J. Fish Biol. V. 95. № 6. P. 1447–1456. https://doi.org/10.1111/jfb.14161
- Mouchlianitis F.A., Minos G., Ganias K. 2020. Timing of oocyte recruitment within the ovulatory cycle of Macedonian shad, Alosa macedonica, a batch spawning fish with indeterminate fecundity // Theriogenology. V. 146. P. 31–38. https://doi.org/10.1016/j.theriogenology.2020.01.050
- Mouchlianitis F.A., Schultz E.T., dos Santos Schmidt T.C. et al. 2021. Ovarian dynamics and fecundity regulation in blueback herring, Alosa aestivalis, from the Connecticut River, US // J. Appl. Ichthyol. V. 37. № 1. P. 64–72. https://doi.org/10.1111/jai.14128
- Murauskas J.G., Rulifson R.A. 2011. Reproductive development and related observations during the spawning migration of hickory shad // Trans. Am. Fish. Soc. V. 140. № 4. P. 1035–1048. https://doi.org/10.1080/00028487.2011.607036
- Olney J.E., Denny S.C., Hoenig J.M. 2001. Criteria for determining maturity stage in female American shad, Alosa sapidissima, and a proposed reproductive cycle // Bull. Fr. Pêche Piscic. № 362–363. P. 881–901. https://doi.org/10.1051/kmae:2001025
- Pina T., Esteves E., Andrade J.P. 2003. Gross and histological observations of ovarian development in twaite shad, Alosa fallax fallax, from the Rivers Mira and Guadiana (Portugal) // Sci. Mar. V. 67. № 3. P. 313–322. https://doi.org/10.3989/SCIMAR.2003.67N3313
- Yilmaz S., Polat N. 2002. Age determination of shad (Alosa pontica Eichwald, 1838) inhabiting the Black Sea // Turk. J. Zool. V. 26. № 4. P. 393–398.
Дополнительные файлы







