Идентификация флавоноидов в горца перечного траве и горца птичьего траве методом тонкослойной хроматографии: разработка методики
- Authors: Кахраманова С.Д.1, Шефер Е.П.1, Прохватилова С.С.1, Антонова Н.П.1
-
Affiliations:
- Федеральное государственное бюджетное учреждение «Научный центр экспертизы средств медицинского применения» Министерства здравоохранения Российской Федерации
- Issue: Vol 97, No 3 (2024)
- Pages: 190-197
- Section: Applied Chemistry - Pharmacy
- URL: https://journal-vniispk.ru/0044-4618/article/view/265032
- DOI: https://doi.org/10.31857/S0044461824030022
- EDN: https://elibrary.ru/MMDDSR
- ID: 265032
Cite item
Full Text
Abstract
Введение. В Государственную фармакопею Российской Федерации включено большое количество фармакопейных статей на лекарственное растительное сырье (ЛРС) с описанием методик оценки содержания флавоноидов в ЛРС. Однако не все упомянутые методики позволяют оценить качество лекарственных средств растительного происхождения. Так, методика анализа методом тонкослойной хроматографии (ТСХ), приведенной в фармакопейных статьях «Горца перечного трава» и «Горца птичьего (спорыша) трава», не является достаточно селективной и точной, поскольку используются подвижная фаза, не обеспечивающая достаточное разделение зон адсорбции биологически активных веществ, содержащихся в сырье, и нечувствительный реактив для детектирования.
Цель. Разработка ТСХ-методик определения основных групп биологически активных веществ в траве горца перечного и траве горца птичьего с повышенной селективностью и специфичностью по сравнению с существующими методиками Государственной фармакопеи Россйиской Федерации.
Материалы и методы. Объектами исследования являлись несколько серий образцов травы горца перечного и горца птичьего отечественных производителей. В качестве стандартных образцов использовались рутин, кверцетин, гиперозид, лютеолин квалификации USP RS, из которых готовили растворы в этиловом спирте 96% с концентрацией 0.5 мг·мл–1. Исследование проводили методом ТСХ. В процессе пробоподготовки использовали аналитические ТСХ-пластинки на алюминиевой подложке 20×10 см со слоем силикагеля F254, автоматизированную систему для нанесения проб Linomat 5. Нагрев пластинок осуществляли на нагревателе для ТСХ-пластинок (CAMAG). Просмотр ТСХ-пластинок проводили в УФ-кабинете CAMAG TLC VISUALIZER 2.
Результаты. Разработана методика определения флавоноидов в траве горца перечного и траве горца птичьего методом ТСХ. Предложенные условия проведения анализа: экстракция этиловым спиртом 96% в соотношении 1:50 мл·г–1 травы горца перечного в течение 10 мин и этиловым спиртом 70% в соотношении 1:10 мл·г–1 травы горца птичьего в течение 10 мин, нанесение по 10 мкл полученных растворов, а также спиртовых растворов стандартных образцов гиперозида и рутина в концентрации 0.5 мг·мл–1 на пластинку ТСХ со слоем силикагеля F254, хроматографирование в системе растворителей толуол–этилацетат–муравьиная кислота–вода в объемном соотношении 10:20:5:2 (насыщение камеры 30 мин), детектирование в УФ-свете при длине волны 365 нм после нагревания при температуре 105 ºС и последовательного опрыскивания 1% раствором дифенилборной кислоты аминоэтилового эфира в этиловом спирте 96% и 5% раствором полиэтиленгликоля в этиловом спирте 96%.
Выводы. Разработанная ТСХ-методика позволяет определять действующие вещества в ЛРС травы горца перечного и травы горца птичьего достаточно селективно и точно. Предложенные ТСХ-методики могут быть рекомендованы для включения в проекты фармакопейных статей Государственной фармакопеи Российской Федерации «Горца перечного трава» и «Горца птичьего (спорыша) трава».
Full Text
Введение
Стандартизация лекарственных средств, в том числе растительного происхождения, является одним из важных аспектов развития фармакопейного законодательства. В Государственную фармакопею Российской Федерации (ГФ РФ) включено большое количество фармакопейных статей (ФС) на лекарственное растительное сырье (ЛРС), содержащее флавоноиды, с описанием методик оценки содержания флаваноидов в ЛРС. Однако не все упомянутые методики позволяют оценить качество ЛРС. Например, в ФС «Горца перечного трава»1 и ФС «Горца птичьего (спорыша) трава»2 для оценки подлинности включены ТСХ-методики, требующие доработки, данные методики являются недостаточно селективными и точными.
Трава горца перечного обладает богатым составом биологически активных соединений, таких как флавоноиды 7,4ʹ-диметилкверцетин, 3ʹ-метилкверцетин, кверцетин, изокверцитрин, изорамнетин 3,7-дисульфат, кверцитрин, кемпферол-3-глюкозид, 6-гидроксиапигенин, скутеллареин, 6-гидроксилютеолин, 6-гидроксилютеолин-7-O-β-D-глюкопиранозид, кверцетин-3-O-β-D-глюкуронид, гиперозид [1, 2], полифлаваны, витамин К [3] и другие фенольные соединения [4]. В траве горца птичьего содержатся рутин, кверцетин-4ʹ-глюкозид, изокверцитрин, гиперозид, мирицитрин, кверцетин, кемпферол и его гликозиды, авикулярин, авикулин, астрагалин, витамин К, дубильные вещества [5–7]. Препараты на основе травы горца перечного используются в гинекологической практике как кровоостанавливающее в составе комплексной терапии.3 Трава горца птичьего применяется для лечения мочекаменной болезни в качестве средства, способствующего отхождению мелких конкрементов.4
На траву горца перечного и горца птичьего отсутствуют монографии в ведущих зарубежных фармакопеях. В соответствии с требованиями ГФ РФ XIV изд. оценка подлинности (определение основных групп биологически активных веществ) вышеуказанного ЛРС оценивается методом тонкослойной хроматографии.
Прободготовка заключается в отборе пробы в количестве около 1 г, измельченной до размера частиц, проходящих сквозь сито с отверстиями 1 мм (горец перечный) или 0.5 мм (горец птичий), нагревании в течение 30 мин на кипящей водяной бане с обратным холодильником с 30 мл спирта 90% (горец перечный) или 70% (горец птичий) и фильтрации. Неподвижной фазой является ТСХ-пластинка со слоем силикагеля, для анализа травы горца перечного используется ТСХ-пластинка со слоем силикагеля с флуоресцентным индикатором. В качестве подвижной фазы для обоих объектов используется смесь бутанол–уксусная кислота–вода (4:1:2), насыщение камеры проводят в случае горца перечного в течение 30 мин, в случае горца птичьего – 60 мин. Детектирование проводят просмотром в УФ-свете при длине волны 254 нм, затем ТСХ-пластинки опрыскивают алюминия хлорида спиртовым раствором 1% (горец перечный) или 2% (горец птичий), нагревают в сушильном шкафу при температуре 100–105 °С в течение 2–3 мин и просматривают в УФ-свете при длине волны 365 нм. Более подробно условия проведения испытания представлены в табл. 1.
Таблица 1. Основные условия проведения анализа основных групп биологически активных веществ в траве горца перечного и горца птичьего методом тонкослойной хроматографии
Параметр | Наименование фармакопейной статьи | |
Горца перечного трава* | Горца птичьего (спорыша) трава** | |
Измельченность, мм | 1 | 0.5 |
Навеска, г | 1.0 | 1.0 |
Экстрагент | Этиловый спирт 90% | Этиловый спирт 70% |
Соотношение сырье:экстрагент | 1:30 | |
Объем нанесения, мкл | 10 | |
Неподвижная фаза | ТСХ-пластинка со слоем силикагеля с флуоресцентным индикатором | ТСХ-пластинка со слоем силикагеля |
Подвижная фаза | Бутанол—уксусная кислота—вода (4:1:2) | |
Насыщение камеры, мин | 30 | 60 |
Реактив для опрыскивания | Алюминия хлорида спиртовой раствор 1% | Алюминия хлорида спиртовой раствор 2% |
Раствор стандартного образца | Кверцетин 0.5 мг·мл–1 Рутин 0.5 мг·мл–1 | Кверцетин 0.5 мг·мл–1 |
Примечание. ТСХ — тонкослойная хроматография.
* ФС.2.5.0067.18 Горца перечного трава. Государственная фармакопея РФ. XIV изд. Т. 4. М.; 2018.
** ФС.2.5.0069.18 Горца птичьего (спорыша) трава. Государственная фармакопея РФ. XIV изд. Т. 4. М.; 2018.
К недостаткам вышеописанных методик можно отнести затрудненную визуальную оценку зон адсорбции, так как спиртовые растворы алюминия хлорида не являются чувствительными реактивами для детектирования, позволяющими оценивать цвет флуоресценции, а также подвижную фазу, не обеспечивающую достаточное разделение зон адсорбции биологически активных веществ.
Селективным способом проявления зон адсорбции является последовательное опрыскивание нагретой при 100–105°С ТСХ-пластинки 1% спиртовым раствором дифенилборной кислоты аминоэтилового эфира и 5% спиртовым раствором макрогола 400 (полиэтиленгликоля 400). После опрыскивания на пластинке наблюдаются зоны адсорбции различной окраски, что позволяет адекватно проводить оценку полученных результатов. Представленная комбинация реактивов нашла применение в определении флавоноидов в ЛРС за рубежом.5
Цель работы — разработка ТСХ-методик определения основных групп биологически активных веществ в траве горца перечного и траве горца птичьего с повышенной селективностью и специфичностью по сравнению с существующими методиками ГФ РФ.
Материалы и методы
Объекты исследования. В работе использовали образцы измельченных лекарственных растительных препаратов (ЛРП) трава горца перечного (ООО Фирма «Фито-Бот») и трава горца птичьего (АО «Красногорсклексредства», ООО Фирма «Здоровье», ООО ПКФ «Фитофарм»), приобретенные в аптечной сети г. Москвы.
Используемые реагенты и оборудование. В качестве стандартных образцов (СО) использовали рутин, кверцетин, гиперозид, лютеолин квалификации USP RS. Готовили растворы в этиловом спирте 96% с концентрацией 0.5 г·мл–1 каждого СО.
Для приготовления подвижных фаз и растворов для опрыскивания использовали реактивы, по качеству соответствующие требованиям ГФ РФ.6
В процессе пробоподготовки использовали аналитические ТСХ-пластинки на алюминиевой подложке размером 20 × 10 см со слоем силикагеля F254 (Merck), а также пластинки ПТСХА-А-УФ (Sorbfil), автоматизированную систему для нанесения проб Linomat 5 (CAMAG). Нагрев пластинок осуществлялся на нагревателе для ТСХ-пластинок (CAMAG). Просмотр ТСХ-пластинок проводили в УФ-кабинете CAMAG TLC VISUALIZER 2 с системой документирования данных.
Методика анализа. Образцы ЛРП горца перечного и горца птичьего травы измельчали до размера частиц, проходящих сквозь сито с отверстиями 1 мм, отбирали навески в количестве около 1.0 г для каждого образца. Пробы помещали в конические колбы, прибавляли 50 мл (трава горца перечного) или 10 мл (трава горца птичьего) этилового спирта с концентрациями 70 и 96% соответственно, затем кипятили на кипящей водяной бане в течение 10 мин и фильтровали.
На хроматографическую пластинку наносили по 10 мкл каждого испытуемого раствора и по 2 мкл растворов СО рутина, кверцетина, гиперозида, лютеолина в этиловом спирте 96% с концентрацией 0.5 мг·мл–1, затем хроматографировали в системе растворителей толуол–этилацетат–муравьиная кислота безводная–вода (10:20:5:2), насыщение хроматографической камеры проводили в течение 30 мин. После прохождения подвижной фазой около 90% длины пластинки ее вынимали, сушили на воздухе до удаления следов растворителей, нагревали при температуре около 105°С и еще теплую пластинку последовательно опрыскивали 1% раствором дифенилборной кислоты аминоэтилового эфира в этиловом спирте 96% и 5% раствором полиэтиленгликоля 400 в этиловом спирте 96%, затем просматривали в УФ-свете при длине волны 365 нм.
Также проведен сравнительный анализ содержания основных групп биологически активных веществ (флавоноидов) травы горца перечного и травы горца птичьего по методикам, описанным в ГФ РФ.7 В ходе анализа растворы стандартных образцов рутина и кверцетина наносили в одну полосу.
Обсуждение результатов
При проведении анализа по методикам8 на хроматограмме растворов СО рутина и СО кверцетина наблюдается зона адсорбции желто-зеленого цвета с Rf 0.7 (рутин) и зона адсорбции голубого цвета с Rf 0.89 (кверцетин). На хроматограмме испытуемых растворов в областях зон адсорбции рутина и кверцетина детектируемый след отсутствует (рис. 1).
Рис. 1. Хроматограммы спирто-водного извлечения травы горца перечного и травы горца птичьего, выполненные по требованиям Государственной фармакопеи Российской Федерации: 1 — трава горца перечного, 2 — трава горца птичьего, 3 — смесь растворов стандартных образцов рутина и кверцетина.
Rf — отношение расстояния от центра пятна к расстоянию, пройденному растворителем.
Полученные данные позволяют сделать вывод о непригодности методики для контроля качества описанных лекарственных растительных препаратов. В связи с этим была поставлена задача разработать ТСХ-методику определения флавоноидов в траве горца перечного и траве горца птичьего с повышенной селективностью и специфичностью по сравнению с существующими методиками ГФ РФ для возможной дальнейшей рекомендации к включению в ГФ РФ взамен действующих.
Для подбора оптимальных условий пробоподготовки проводили экстракцию образцов травы горца перечного и птичьего спиртом 70 и 96% в соотношении 1:50 и 1:10, соответственно. В качестве подвижной фазы использовали смесь растворителей, состоящую из толуола, этилацетата, муравьиной кислоты и воды в соотношении 10:20:5:2 (об.).
На линию старта пластинки наносили по 10 мкл испытуемых растворов. Также в одну линию наносили по 5 мкл спиртовых растворов стандартных образцов рутина и кверцетина, гиперозида и лютеолина, соответственно. Использование стандартного образца авикулярина (основного маркерного флавоноида травы горца птичьего) в работе не предусмотрено в связи с его дороговизной, ввиду чего представляется невозможным его применение в рутинном анализе.
На хроматограммах стандартных растворов обнаруживаются зоны адсорбции коричневато-желтого цвета с Rf 0.2 (рутин), 0.37 (гиперозид), 0.87 (кверцетин) и зеленовато-желтого цвета с Rf 0.84 (лютеолин). На хроматограмме испытуемых растворов травы горца перечного (рис. 2) обнаруживаются: в нижней трети пластинки зона адсорбции коричневато-желтого цвета ниже зоны СО рутина, синяя зона на уровне зоны СО рутина, голубая зона чуть выше нее; в средней трети — зоны адсорбции коричневато-желтого и желтого цвета на уровне, чуть ниже и чуть выше зоны СО гиперозида; в верхней трети — зоны желтовато-зеленого, сине-голубого и синего цвета. Также в верхней трети пластинки наблюдаются другие зоны адсорбции.
Рис. 2. Хроматограммы спирто-водного извлечения: а — травы горца перечного; б — травы горца птичьего.
1 — испытуемый раствор в 70% этиловом спирте, 2 — испытуемый раствор в 96% этиловом спирте, 3 — стандартные растворы рутина (Rf 0.2) и кверцетина (Rf 0.87); 4 — стандартные растворы гиперозида (Rf 0.37) и лютеолина (Rf 0.84); Rf — отношение расстояния от центра пятна к расстоянию, пройденному растворителем.
На хроматограмме испытуемых растворов травы горца птичьего (рис. 2) обнаруживаются: в нижней трети — зона адсорбции коричневато-желтого цвета на уровне зоны СО рутина; в средней трети — две зоны адсорбции коричневато-желтого и зеленовато-желтого цвета чуть ниже и на уровне зоны СО гиперозида, над ними — зона зеленого цвета; в верхней трети — зоны адсорбции синего цвета. Также присутствуют другие зоны адсорбции.
В результате проведенных исследований было предложено модифицировать условия пробоподготовки (табл. 2) и анализа флавоноидов в траве горца перечного и горца птичьего. Выбор стандартных образцов веществ-маркеров был сделан исходя из совпадения зон адсорбции испытуемых и стандартных растворов, а также коммерческой доступности СО. На хроматограмме испытуемых растворов травы горца перечного зафиксированы ярко-выраженные зона коричневато-желтого цвета в области зоны адсорбции СО гиперозида и зона коричневато-желтого цвета на уровне зоны адсорбции СО рутина. В связи с этим считаем целесообразным использование в анализе стандартов рутина и гиперозида.
Таблица 2. Условия пробоподготовки испытуемых и стандартных растворов
Раствор | Горца перечного трава | Горца птичьего трава |
Испытуемый раствор | Около 1.0 г сырья, измельченного до величины частиц, проходящих сквозь сито с отверстиями 1.0 мм, кипятят на водяной бане с 50 мл этилового спирта 96% в течение 10 мин, затем охлаждают и фильтруют через беззольный фильтр | Около 1.0 г сырья, измельченного до величины частиц, проходящих сквозь сито с отверстиями 1.0 мм, кипятят на водяной бане с 10 мл этилового спирта 70% в течение 10 мин, затем охлаждают и фильтруют через беззольный фильтр |
Стандартные растворы | 0.5 мг·мл–1 растворы СО рутина и СО гиперозида в этиловом спирте 96% | 0.5 мг·мл–1 растворы СО рутина и СО гиперозида в этиловом спирте 96% |
Итоговая методика проведения анализа может быть представлена следующим образом.
На ТСХ-пластинку с силикагелем F254 наносят 10 мкл испытуемого раствора и 2 мкл раствора СО рутина и раствора СО гиперозида. Хроматографируют в смеси растворителей толуол–этилацетат–муравьиная кислота–вода в соотношении 10:20:5:2 (насыщение камеры 30 мин). После прохождения подвижной фазой около 90% длины пластинки ее вынимают, сушат на воздухе до удаления следов растворителей, нагревают при температуре 100–105°С и еще теплую пластинку последовательно опрыскивают 1% раствором дифенилборной кислоты аминоэтилового эфира в этиловом спирте 96% и 5% раствором полиэтиленгликоля в этиловом спирте 96%, затем просматривают в УФ-свете при длине волны 365 нм.
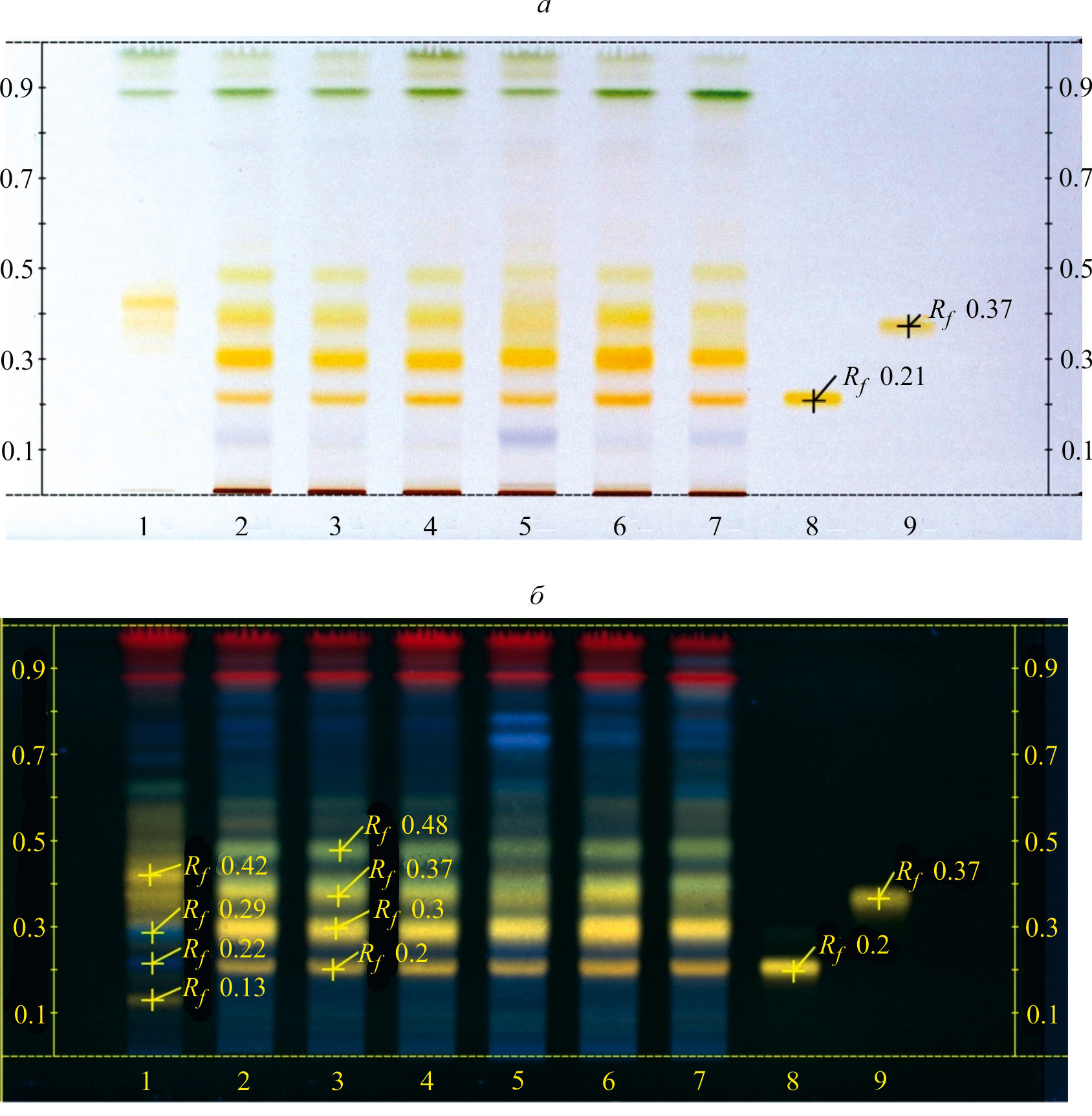
Методика была использована для анализа нескольких серий травы горца птичьего разных производителей (рис. 3). На полученных хроматограммах идентифицируются характерные для хроматограммы спирто-водного извлечения травы горца птичьего зоны адсорбции — три зоны с флуоресценцией коричневато-желтого цвета (Rf = 0.3; 0.37; 0.48) на уровне зоны адсорбции рутина и гиперозида, при этом одна из упомянутых зон (Rf = 0.3) располагается между зонами адсорбции рутина и гиперозида. Для зоны с Rf = 0.3 была рассчитана величина Rst по рутину (1.5) и гиперозиду (0.81). Для хроматограммы спирто-водного извлечения травы горца перечного же характерна зона адсорбции с флуоресценцией сине-голубого цвета (Rf = 0.22, Rst по рутину = 1.1, по гиперозиду = 0.59) на уровне зоны адсорбции рутина, а также зона голубого цвета (Rf = 0.29, Rst по рутину = 1.45, по гиперозиду = 0.78) выше уровня зоны адсорбции рутина и коричневато-желтого цвета (Rf = 0.42, Rst по рутину = 2.1, по гиперозиду = 1.13) выше уровня зоны адсорбции гиперозида.
Рис. 3. Хроматограммы спирто-водных извлечений травы горца перечного и горца птичьего: а — детектирование в видимой области спектра; б — детектирование в УФ-спектре при 365 нм: 1 — трава горца перечного; 2–7 — трава горца птичьего; 8 — стандартный образец рутина, 0.5 мг·мл–1, 9 — стандартный образец гиперозида, 0.5 мг·мл–1.
Rf — отношение расстояния от центра пятна к расстоянию, пройденному растворителем.
Валидацию методики проводили по параметрам «специфичность» и «пригодность хроматографической системы». Специфичность методики оценивали по совпадению хроматографических профилей различных серий изучаемых ЛРП. Всего было проанализировано 6 серий. Критерием приемлемости являлось совпадение хроматографических профилей различных серий ЛРП и их соответствие указанному в методике. Хроматографические профили различных серий ЛРП совпали по основным зонам между собой и соответствовали описанию методики. Методика позволяет четко определять зоны в испытуемых сериях по цвету и расстоянию от линии старта относительно зоны адсорбции стандартных образцов.
Полученные данные можно использовать для идентификации каждого из видов растений в дополнение к определению внешних и микроскопических признаков.
Выводы
В рамках проведенных исследований предложено модифицировать методики определения основных групп БАВ (флавоноидов) в траве горца перечного и траве горца птичьего.
Предложено ввести следующие изменения в методику определения флавоноидов в траве горца перечного:9
- заменить экстрагент с этилового спирта 90%, применяемого в соотношении 1:30, на этиловый спирт 96%, применяемый в соотношении 1:50;
- уменьшить длительность экстракции до 10 мин;
- использовать в качестве стандартного образца гиперозид вместо кверцетина.
Предложено ввести следующие изменения в методику определения флавоноидов в траве горца птичьего:10
- изменить соотношение экстрагент/сырье, применять экстрагент (этиловый спирт 70%) в соотношении 1:10 вместо 1:30;
- использовать сита с отверстиями 1 мм вместо 0.5 мм;
- уменьшить длительность экстракции до 10 мин;
- использовать стандартные образцы рутина и гиперозида вместо кверцетина.
Основным изменением является введение более селективного реактива для детектирования — 1% раствора дифенилборной кислоты аминоэтилового эфира в этиловом спирте 96% и 5% раствора полиэтиленгликоля в этиловом спирте 96%.
Модифицированная методика позволяет определять действующие вещества в ЛРС трава горца перечного и трава горца птичьего более селективно и может использоваться для идентификации каждого из видов растений в дополнение к определению макроскопических и микроскопических признаков измельченного ЛРС и ЛРП. Предложенные ТСХ-методики могут быть рекомендованы для включения в проекты фармакопейных статей ГФ РФ «Горца перечного трава» и «Горца птичьего (спорыша) трава».
Финансирование работы
Работа выполнена в рамках государственного задания ФГБУ «НЦЭСМП» Минздрава России № 056-00026-24-01 на проведение прикладных научных исследований (номер государственного учета НИР 124022300127-0).
Конфликт интересов
Авторы заявляют об отсутствии конфликта интересов, требующего раскрытия в данной статье.
Информация о вкладе авторов
Все авторы подтверждают соответствие своего авторства критериям ICMJE. Наибольший вклад распределен следующим образом: С. Д. Кахраманова — работа с источниками литературы, проведение эксперимента, работа с графическим материалом, написание текста рукописи, формулировка выводов; Е. П. Шефер — оценка полученных экспериментальных данных в части анализа травы горца перечного, участие в формулировании выводов; С. С. Прохватилова — оценка полученных экспериментальных данных в части анализа травы горца птичьего, участие в формулировании выводов; Н. П. Антонова — концепция работы, оценка полученных экспериментальных данных, участие в формулировании выводов, утверждение окончательной версии рукописи для публикации.
1 ФС.2.5.0067.18 Горца перечного трава. Государственная фармакопея Российской Федерации. XIV изд. Т. 4. М.; 2018.
2 ФС.2.5.0069.18 Горца птичьего (спорыша) трава. Государственная фармакопея Российской Федерации. XIV изд. Т. 4. М.; 2018.
3 Горца перечного (Водяного перца) трава. Государственный реестр лекарственных средств. https://grls.rosminzdrav.ru/
4 Горца птичьего (спорыша) трава. Государственный реестр лекарственных средств. https://grls.rosminzdrav.ru/
5 См., например: Monograph 01/2017:1174 Birch leaf (Betulae folium). European Pharmacopoeia 11.0th Ed.
6 ОФС.1.3.0001 Реактивы. Индикаторы. Государственная фармакопея Российской Федерации. XV изд. Т. 4. М.; 2023.
7 ФС.2.5.0067.18 Горца перечного трава. Государственная фармакопея Российской Федерации. XIV изд. Т. 4. М.; 2018.
8 Там же.
9 ФС.2.5.0067.18 Горца перечного трава. Государственная фармакопея Российской Федерации. XIV изд. Т. 4. М.; 2018.
10 ФС.2.5.0069.18 Горца птичьего (спорыша) трава. Государственная фармакопея Российской Федерации. XIV изд. Т. 4. М.; 2018.
About the authors
Сабина Джейхуновна Кахраманова
Федеральное государственное бюджетное учреждение «Научный центр экспертизы средств медицинского применения» Министерства здравоохранения Российской Федерации
Author for correspondence.
Email: kahramanovasd@expmed.ru
ORCID iD: 0000-0002-8160-7829
Russian Federation, 127051, г. Москва, Петровский б-р, д. 8, стр. 2
Елена Павловна Шефер
Федеральное государственное бюджетное учреждение «Научный центр экспертизы средств медицинского применения» Министерства здравоохранения Российской Федерации
Email: kahramanovasd@expmed.ru
ORCID iD: 0000-0001-8389-4799
канд. фарм. наук
Russian Federation, 127051, г. Москва, Петровский б-р, д. 8, стр. 2Светлана Степановна Прохватилова
Федеральное государственное бюджетное учреждение «Научный центр экспертизы средств медицинского применения» Министерства здравоохранения Российской Федерации
Email: kahramanovasd@expmed.ru
ORCID iD: 0000-0002-3278-1994
канд. фарм. наук
Russian Federation, 127051, г. Москва, Петровский б-р, д. 8, стр. 2Наталия Петровна Антонова
Федеральное государственное бюджетное учреждение «Научный центр экспертизы средств медицинского применения» Министерства здравоохранения Российской Федерации
Email: kahramanovasd@expmed.ru
ORCID iD: 0000-0002-7818-5303
канд. биол. наук
Russian Federation, 127051, г. Москва, Петровский б-р, д. 8, стр. 2References
- Пименова И. А., Гудкова А. А., Чистякова А. С. Количественное содержание суммы флавоноидов в некоторых представителях рода Polygonum L. // Пути и формы совершенствования фармацевтического образования. Актуальные вопросы разработки и исследования новых лекарственных средств. Материалы 7-й Междунар. науч.-метод. конф. «Фармобразование-2018». Воронеж; 2018. С. 287–90. https://www.elibrary.ru/xohxhn
- Zhao T., Hua Y., Zhou Y., Xu H., Tian W., Luo Z., Huang B., Chen L., Fan L. Antioxidant activity of total flavonoids from Persicaria hydropiper (L.) Spach and their bacteriostatic effect on pathogenic bacteria of broiler origin // Processes. 2024. V. 12. N 3. ID 557. https://doi.org/10.3390/pr12030557
- Nasir A., Khan M., Rehman Z., Khalil A. A. K., Farman S., Begum N., Irfan M., Sajjad W., Parveen Z. Evaluation of alpha-amylase inhibitory, antioxidant, and antimicrobial potential and phytochemical contents of Polygonum hydropiper L. // Plants. 2020. V. 9. N 7. ID 852. https://doi.org/10.3390/plants9070852
- Жаркеева А. М., Шевченко А. С., Корулькин Д. Ю., Музычкина Р. А. Выделение полифлаванов из травы горца перечного для использования в фармацевтической промышленности // Вестн. Казах. нац. мед. ун-та. 2018. Т. 3. С. 241–243. https://www.elibrary.ru/yvqqix
- Kong Y. D., Qi Y., Cui N., Zhang Z. H., Wei N., Wang C. F., Zeng Y. N., Sun Y. P., Kuang H. X., Wang Q. H. The traditional herb Polygonum hydropiper from China: A comprehensive review on phytochemistry, pharmacological activities and applications // Pharm. Biol. 2023. V. 61. N 1. P. 799–814. https://doi.org/10.1080/13880209.2023.2208639
- Cai Y., Wu L., Lin X., Hu X., Wang L. Phenolic profiles and screening of potential α-glucosidase inhibitors from Polygonum aviculare L. leaves using ultra-filtration combined with HPLC-ESI-qTOF-MS/MS and molecular docking analysis // Indust. Crops. Prod. 2020. V. 154. ID 112673. https://doi.org/10.1016/j.indcrop.2020.112673
- Yu Y., Liu G., Piao M., Lang M., Wang Y., Jin M., Li G., Zheng M. Chemical constituents of Polygonum aviculare L. and their chemotaxonomic significance // Biochem Syst Ecol. 2022. V. 105. ID 104529. https://doi.org/10.1016/j.bse.2022.104529
Supplementary files





