METHOD FOR TRAINING ELECTRICAL SELF-STIMULATION IN RESPONSE TO HEAD ELEVATION IN RATS BY A TELEMETRY SYSTEM THAT REGISTERS EXTRACELLULAR DOPAMINE LEVELS
- Authors: Sizov V.V.1, Lebedev A.A.1, Pyurveev S.S.1,2, Bychkov E.R.1,3, Mukhin V.N.1, Drobenkov A.V.1, Shabanov P.D.1
-
Affiliations:
- Institute of Experimental Medicine
- St. Petersburg State Pediatric Medical University of the Ministry of Health of the Russian Federation
- St. Petersburg State University
- Issue: Vol 73, No 4 (2023)
- Pages: 563-576
- Section: МЕТОДИКА
- URL: https://journal-vniispk.ru/0044-4677/article/view/136111
- DOI: https://doi.org/10.31857/S0044467723040093
- EDN: https://elibrary.ru/WHOHOT
- ID: 136111
Cite item
Full Text
Abstract
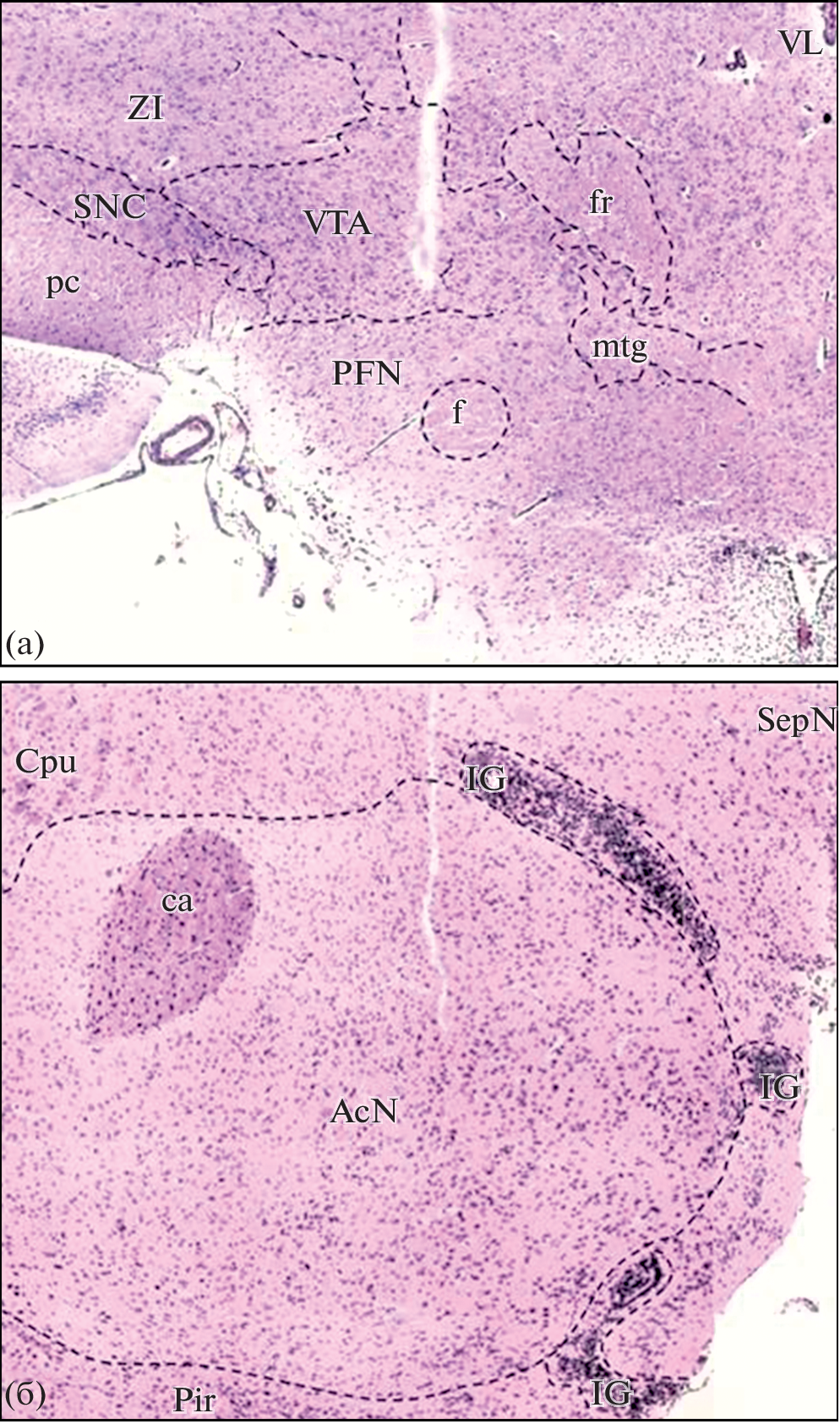
In this work, we propose a method for training rats electrical self-stimulation in response to rearing head in a telemetric system that records the level of extracellular dopamine. Initially, in the experiments of J. Olds, it was shown that in response to electrical stimulation of zones of positive reinforcement, rats exhibit natural exploratory behavior aimed at finding the source of the reward. It has been suggested that a natural behavioral act, in particular rearing head, can accelerate the development and stabilization of the self-stimulation reaction. A change in the position of the head can serve as an internal proprioceptive conditioned signal. The experiments were carried out in an annular chamber, where the ventral tegmental area (VTA) was stimulated using a telemetric system when the rat’s head was raised by 38°. The self-stimulation response to rearing head was developed and stabilized during the first day of training. With pedal self-stimulation, distinct repetitive reactions were observed only on the 3rd day of training after the procedures of “pushing” on the pedal on the 1st day of training and “repulsing” from the pedal on the 2nd day of training, stabilization of the reaction was observed only by the 4th day training. After stabilization of the self-stimulation response in rats, the level of extracellular dopamine in the nucleus accumbens was recorded by fast-scan cyclic voltammetry in response to the imposed stimulation of the VTA before and after each of the three series of self-stimulation lasting 10 minutes. After each series of self-stimulation, the level of extracellular dopamine decreased, which reflects the depletion of the intracellular pool of the neurotransmitter during prolonged self-stimulation of the VTA. The conclusion is made about the prospects of using the method of training rats to electrical self-stimulation in response to rearing head to study the mechanisms of reinforcement.
About the authors
V. V. Sizov
Institute of Experimental Medicine
Email: aalebedev-iem@rambler.ru
Russia, St. Petersburg
A. A. Lebedev
Institute of Experimental Medicine
Author for correspondence.
Email: aalebedev-iem@rambler.ru
Russia, St. Petersburg
S. S. Pyurveev
Institute of Experimental Medicine; St. Petersburg State Pediatric Medical University of the Ministry of Health of the Russian Federation
Email: aalebedev-iem@rambler.ru
Russia, St. Petersburg; Russia, St. Petersburg
E. R. Bychkov
Institute of Experimental Medicine; St. Petersburg State University
Email: aalebedev-iem@rambler.ru
Russia, St. Petersburg; Russia, St. Petersburg
V. N. Mukhin
Institute of Experimental Medicine
Email: aalebedev-iem@rambler.ru
Russia, St. Petersburg
A. V. Drobenkov
Institute of Experimental Medicine
Email: aalebedev-iem@rambler.ru
Russia, St. Petersburg
P. D. Shabanov
Institute of Experimental Medicine
Email: aalebedev-iem@rambler.ru
Russia, St. Petersburg
References
- Бычков Е.Р., Лебедев А.А., Ефимов Н.С., Крюков А.С., Карпова И.В., Пюрвеев С.С., Дробленков А.В., Шабанов П.Д. Особенности вовлечения дофаминергической и серотонинергической систем мозга в положительные и отрицательные эмоциональные состояния у крыс. Обзоры по клинической фармакологии и лекарственной терапии. 2020. 18 (2): 123–130.
- Дробленков А.В., Федоров А.В., Шабанов П.Д. Структурные особенности дофаминергических ядер вентральной покрышки среднего мозга. Наркология. 2018. 17 (3): 41–45.
- Лебедев А.А., Русановский В.В., Лебедев В.А., Шабанов П.Д. Нейрофизиология. Москва–Берлин: ООО “Директ-Медиа”. 2022. 270 с.
- Майоров В.И. Функции дофамина в инструментальном условном рефлексе. Журн. высшей нервной деятельности им. И.П. Павлова. 2018. 68м (4): 404–414.
- Мухин В.Н., Боровец И.Р., Сизов В.В., Павлов К.И., Клименко В.М. B-амилоид и литий влияют на величину фазических выбросов дофамина в оболочке прилежащего ядра. Журн. высшей нервной деятельности им. И.П. Павлова. 2020. 70 (4): 488–499.
- Павлов И.П. Полное собрание сочинений. АН СССР. – Изд. 2-е, доп. М.: Изд-во АН СССР, 1951–1954. Т. 3, кн. 1: [Двадцатилетний опыт объктивного изучения высшей нервной деятельности (поведения)].
- Пюрвеев С.С., Сизов В.В., Лебедев А.А., Бычков Е.Р., Мухин В.Н., Дробленков А.В., Шабанов П.Д. Регистрация изменений уровня внеклеточного дофамина в прилежащем ядре методом быстросканирующей циклической вольтамперометрии при стимуляции зоны вентральной области покрышки, раздражение которой вызывает и реакцию самостимуляции. Российский физиологический журн. им. И.М. Сеченова. 2022. 108 (10): 1316–1328.
- Симонов П.В. Эмоциональный мозг. М.: Наука, 1980.
- Шабанов П.Д., Лебедев А.А., Мещеров Ш.К. Дофамин и подкрепляющие системы мозга. СПб.: Лань, 2002.
- Cheer J.F. Wassum K.M. Heien M.L. Phillips P.E. Wightman R.M. Cannabinoids enhance subsecond dopamine release in the nucleus accumbens of awake rats. J. Neurosci. 2004. 24 (18): 4393–4400.
- Fakhoury M., Rompré P.P. Intracranial self-stimulation and the curve-shift paradigm: a putative model to study the brain reward system. in The Brain Reward System, ed. Fakhoury M. (New York, NY: Humana;) 2021. 165: 3–20.
- Fouriezos G., Randall D. The cost of delaying rewarding brain stimulation. Behav. Brain Res. 1997. 87 (1): 111–113.
- Ide S., Takahashi T., Takamatsu Y., Uhl G.R., Niki H., Sora I., Ikeda K. Distinct Roles of Opioid and Dopamine Systems in Lateral Hypothalamic Intracranial Self-Stimulation. Int. J. Neuropsychopharmacol. 2017. 20 (5): 403–409.
- Lebedev A.A., BessolovaYu.N., Efimov N.S., Bychkov E.R., Droblenkov A.V., Shabanov P.D. Role of orexin peptide system in emotional overeating induced by brain reward stimulation in fed rats. Research Results in Pharmacology. 2020. 6 (1): 81–91.
- Liebman J.M. Discriminating between reward and performance: a critical review of intracranial self-stimulation methodology. Neurosci. Biobehav. Rev. 1983. 7 (1): 45–72.
- Mena S., Visentin M., Witt C.E., Honan L.E., Robins N., Hashemi P. Novel, User-Friendly Experimental and Analysis Strategies for Fast Voltammetry: Next Generation FSCAV with Artificial Neural Networks. ACS Meas Sci. Au. 2022. 2 (3): 241–250.
- Negus S.S., Miller L.L. Intracranial self-stimulation to evaluate abuse potential of drugs. Pharmacol. Rev. 2014. 66 (3): 869–917.
- Pallikaras V., Shizgal P. Dopamine and beyond: implications of psychophysical studies of intracranial self-stimulation for the treatment of depression. Brain Sci. 2022. 12 (8): 1052.
- Panagis G., Vlachou S., Higuera-Matas A., Simon M. Editorial: neurobehavioral mechanisms of reward: theoretical and technical perspectives and their implications for psychopathology. Front. Behav. Neurosci. 2022. 5; 16: 967922.
- Paxinos G., Watson C. The rat brain in stereotaxic coordinates. San Diego: Elsevier Academic Press. 2005. 207 c.
- Petrov E.S., Lebedev A.A. Dopamine and the reinforcing system of the brain. Neurosci. Behav. Physiol. 1997. 27 (3): 309–311.
- Rodeberg N.T., Johnson J.A., Bucher E.S., Wightman R.M. Dopamine dynamics during continuous intracranial self-stimulation: effect of waveform on fast-scan cyclic voltammetry data. ACS Chem. Neurosci. 2016. 7 (11): 1508–1518.
- Rothman R.B., Baumann M.H. Monoamine transporters and psychostimulant drugs. Eur. J. Pharmacol. 2003. 479 (1–3): 23–40.
- Solomon R.B., Conover K., Shizgal P. Valuation of opportunity costs by rats working for rewarding electrical brain stimulation. PLoS One. 2017. 12 (8): e0182120.
- Trujillo-Pisanty I., Conover K., Solis P., Palacios D., Shizgal P. Dopamine neurons do not constitute an obligatory stage in the final common path for the evaluation and pursuit of brain stimulation reward. PLoS One. 2020. 15 (6): e0226722.
- Velazquez-Martinez D.N., Pacheco-Gomez B.L., Toscano-Zapien A.L., Lopez-Guzman M.A., Velazquez-Lopez D. On the Similarity Between the Reinforcing and the Discriminative Properties of Intracranial Self-Stimulation. Front. Behav. Neurosci. 2022. 16: 799015.
- Yavich L., Tiihonen J. Patterns of dopamine overflow in mouse nucleus accumbens during intracranial self-stimulation. Neurosci. Lett. 2000. 293 (1): 41–44.
Supplementary files







