Неинвазивное определение мутации гена IDH-1 глиом головного мозга на основе метода протонной МР-спектроскопии
- Авторы: Тюрина А.Н.1, Баталов А.И.1, Захарова Н.Е.1, Фадеева Л.М.1, Калаева Д.Б.1, Пронин И.Н.1
 - 
							Учреждения: 
							
- ФГАУ “НМИЦ нейрохирургии им. академика Н. Н. Бурденко” Минздрава России
 
 - Выпуск: Том 74, № 1 (2024)
 - Страницы: 77-84
 - Раздел: КЛИНИЧЕСКИЕ ИССЛЕДОВАНИЯ
 - URL: https://journal-vniispk.ru/0044-4677/article/view/259303
 - DOI: https://doi.org/10.31857/S0044467724010088
 - ID: 259303
 
Цитировать
Полный текст
Аннотация
Мутации в генах изоцитратдегидрогеназы (IDH) имеют важную прогностическую значимость для пациентов с глиальными новообразованиями головного мозга. Метод протонной МР-спектроскопии позволяет на дооперационном этапе неинвазивно определять метаболические свойства опухолевой ткани.
Целью данной работы явилось изучение возможности определения статуса мутации изоцитратдегидрогеназы (IDH) с помощью магнитно-резонансной спектроскопии (МРС) для обнаружения присутствия 2-гидроксиглутарата (2HG), продукта метаболизма фермента IDH.
Нами были обследованы 33 пациента с глиальными опухолями головного мозга различной степени злокачественности (Gr. 2–4), с последующим выявлением мутации IDH. В 20 случаях выявленная мутация IDH, по данным протонной магнитно-резонансной спектроскопии, была подтверждена с помощью иммуногистохимического исследования. В 13 случаях пик 2HG не определялся на МР-спектре, а анализ на IDH не выявил мутаций.
Использование метода протонной магнитно-резонансной спектроскопии показало высокую чувствительность данной методики в прогнозировании мутационного статуса глиальных опухолей головного мозга, что делает данный метод важным инструментом в дооперационной диагностике.
Полный текст
ВВЕДЕНИЕ
Глиомы являются самыми распространенными первичными опухолями головного мозга. Согласно классификации Всемирной организации здравоохранения (ВОЗ), глиомы головного мозга имеют 4 степени злокачественности: глиомы Grade 1–2 (низкой степени злокачественности) и глиомы Grade 3–4 (высокой степени злокачественности). Предоперационная оценка опухолевой пролиферативной активности или степени злокачественности играет важную роль в определении стратегии лечения пациентов с глиальными опухолями головного мозга. Последние достижения в лечении глиом головного мозга повысили требования к предоперационной лучевой диагностике для планирования терапии и прогнозирования ответов на лечение у таких пациентов. Магнитно-резонансная спектроскопия (МРС) рассматривается сегодня как дополнительная и уточняющая методика, позволяющая определить важную информацию о степени и характере изменений на микроструктурном уровне на основе анализа концентрации и соотношения метаболитов. Так, эффект лечения может проявляться в выраженном снижении пиков представленных метаболитов (Padelli, 2022). Эта информация может использоваться как для определения точки биопсии, так и для определения целей лучевой терапии, мониторинга пациентов после лечения.
После пересмотра классификации ВОЗ в 2016 г. статус мутации изоцитратдегидрогеназы (IDH) стал одним из наиболее важных биомаркеров в прогнозировании лечения глиальных опухолей головного мозга (Han, 2020).
Эти мутации являются соматически приобретенными и происходят на различных остатках аргинина IDH1 (R132) и IDH2 (R172 или R140). Мутации IDH1 встречаются гораздо чаще, чем мутации IDH2, в глиомах низкой степени злокачественности (Molenaar, 2014). Считается, что в глиомах низкой степени мутации IDH играют важную роль в раннем онкогенезе и предшествуют другим онкогенным мутациям (Juratli, 2013; Suh, 2020).
Мутации генов IDH изменяют функции изоцитратдегидрогеназы и приводят к аномально высокому накоплению D-2-гидроксиглутарата (D-2HG) (Ward, 2010). Изоцитратдегидрогеназа является ферментом цикла Кребса. При возникновении мутации в гене IDH1 происходит снижение скорости превращения изоцитрата в α-кетоглутарат и аномальное накопление D-2-гидроксиглутарата. Это накопление снижает скорость прохождения реакций в цикле Кребса и уменьшает синтез НАДФН2, следовательно, снижает скорость биосинтеза нуклеотидов. Недостаток материала для репликации ДНК, в свою очередь, приводит к снижению митотической активности опухолевых клеток.
В рекомендациях Европейской ассоциации нейроонкологии говорится, что отрицательный результат иммуногистохимии на экспрессию IDH1 (R132H) достаточен для классификации глиобластомы IDH дикого типа у пациентов старше 55 лет (Weller, 2020).
Неинвазивная методика МР-спектроскопии для определения 2-гидроксиглутарата может стать важным инструментом для прогнозирования мутации глиальных опухолей головного мозга. По данным ряда работ, магнитно-резонансная спектроскопия (по 2HG) продемонстрировала более высокую диагностическую эффективность (чувствительность 89–100% и специфичность 81–88%), чем рутинная МРТ (чувствительность 71–100% и специфичность 51–100%), диффузионно-взвешенное изображение, а также МР-перфузия (чувствительность 56–100% и специфичность 63–100%) (Chong, 2018). Следовательно, прогнозирование состояния мутации IDH с использованием 2HG МРС может быть ценным методом для принятия клинических решений.
Цель исследования – оценить возможности методики протонной магнитно-резонансной спектроскопии в определении мутации изоцитратдегидрогеназы (IDH) в глиальных новообразованиях головного мозга.
МЕТОДИКА
В анализируемую группу на предоперационном этапе были включены 33 пациента в возрасте от 35 до 50 лет с МРТ-признаками первичной супратенториальной глиальной опухоли головного мозга. Всем пациентам в последующем была выполнена операция по удалению опухоли с установлением гистологического диагноза.
Исследование проводилось на магнитно-резонансном томографе (3.0 Т) с использованием 8-канальной головной катушки.
Протокол исследования включал следующие последовательности:
- Т1-ВИ – TR600 мс, TE12.6 мс, с толщиной среза 5 мм и межсрезовым интервалом 1 мм.
 - T2 – TR6714 мс, TE104.16 мс с толщиной среза 5 мм и межсрезовым интервалом 1 мм.
 - T2-FLAIR TR9500 мс TE122.04 мс, с толщиной среза 5 мм и межсрезовым интервалом 1 мм.
 - DWI TR8000 мс, TE71.0 мс, b = 1000 с/мм2 с толщиной среза 5 мм и межсрезовым интервалом 1 мм, с построением карт измеряемого коэффициента диффузии (ADC).
 - Sag T2 Flair Cube – TR6400 мс, TE148.94 мс, толщина среза 1.40 мм.
 - Assym Mega TE26/80; 2HG-Press-TR/TE1/TE2 = 1500/35/97.
 - Sag T1 Cube c подавлением сигнала от жировой ткани после в/в введения МР-контрастного препарата. TR600 мс, TE12.962 мс, толщина среза 1.2 мм. Введение МР-контрастного препарата проводилось из расчета 0.2 мл на 1 кг массы тела.
 
В анализ результатов исследования были включены 33 пациента (20 пациентов с IDH-мутантной глиомой и 13 – с IDH-диким типом глиомы). По гистологическому типу было выявлено 10 диффузных астроцитом (Gr. 2), 4 анапластических астроцитомы (Gr. 3), 6 анапластических олигодендроглиом (Gr. 3), 13 глиобластом.
Иммуногистохимические исследования с определением наличия мутации гена IDH проводились в лаборатории нейроморфологии ФГАУ «НМИЦ нейрохирургии им. академика Н. Н. Бурденко» Минздрава России.
Из парафиновых блоков с фиксированными в них образцами опухолей изготавливали срезы толщиной 3 микрометра, депарафинировали с использованием ксилола и повторно гидратировали с помощью различных концентраций этанола, срезы высушивали в термостате при 45 °C. Затем срезы последовательно инкубировали c моноклональными антителами к продукту мутантного гена IDH-1 2-гидроксиглутарату и после этого конъюгировали с антимышиными IgG-антителами против пероксидазы хрена. Сайты связывания антител визуализировали с использованием тетрагидрохлорида 3,3›-диаминобензидина (Ventana Medical Systems, США), ядра клеток окрашивали гематоксилином. При наличии положительной цитоплазматической экспрессии делался вывод о наличии мутации R132H в гене IDH-1.
Постобработка данных МР-спектроскопии проводилась с использованием программного пакета LCModel, v6.2, который использует расширенный спектральный базисный набор, включая 2HG, позволяющий определить концентрацию (Ммоль) основных метаболитов.
Статистическую обработку результатов проводили с помощью программного пакета STATISTICA 10.0. Для групп пациентов с глиальными опухолями вычисляли медианы и использовали U-критерий при их сравнении.
РЕЗУЛЬТАТЫ ИССЛЕДОВАНИЙ
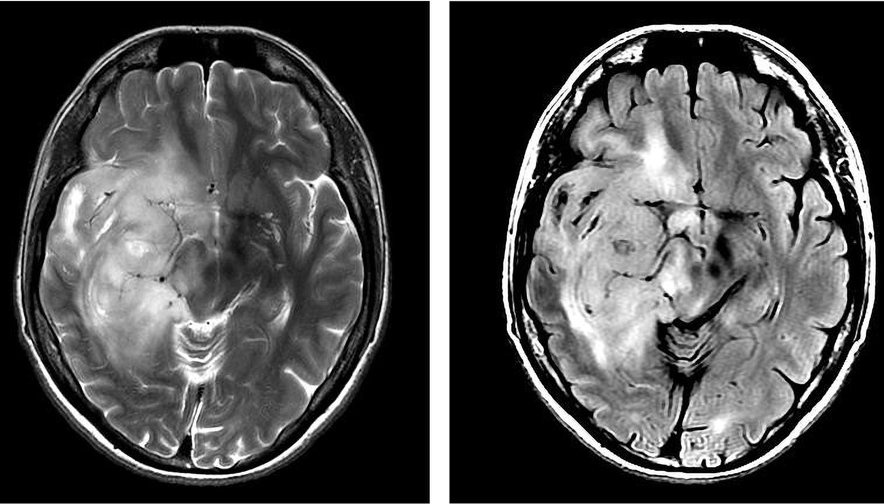
По данным T2–ВИ, T2-FLAIR определяли сигнальные характеристики диффузно-растущего объемного образования и выбирали зону интереса, на которую впоследствии выставлялся воксел для получения спектральных характеристик в зоне патологических изменений (рис. 1).
Рис. 1. МР-изображения диффузно-растущей глиомы правой лобно-височной области. В Т2-ВИ и Т2 Flair опухоль имеет гиперинтенсивный сигнал и нечеткие контуры.
Fig. 1. MR images of a diffuse glioma in the right frontotemporal region. In T2 and T2 Flair, the tumor has a hyperintense signal and fuzzy contours.
Сигнал, относящийся к 2HG, был различим в спектрах на 2.25 ppm по шкале химического сдвига в глиальных опухолях с идентифицированной мутацией IDH в 92% случаев. В 2 случаях из 20 пик 2-гидроксиглутарата при МР-спектроскопии не определялся, при этом гистологически было выявлено наличие IDH-мутации. При использовании последовательности Mega Press мы добились более четкой визуализации данного пика (рис. 2 (б)) путем инверсии пика NAA ниже базовой линии. По данным одновоксельной протонной МР-спектроскопии (TE = 35 мс), в спектре опухолевой ткани была получена ожидаемая картина с изменениями соотношений основных метаболитов, характерных для глиом низкой степени злокачественности (рис. 3).
Рис. 2. МР-спектр при последовательностях Press (a) и Mega (б). Синей стрелкой на частоте 2.25 ppm указан пик 2HG, который свидетельствует о наличии мутации IDH в опухолевой ткани.
Fig. 2. MR spectrum for Press (a) and Mega (б) sequences. The blue arrow at a frequency of 2.25 ppm indicates the 2HG peak, which indicates the presence of an IDH mutation in the tumor tissue.
Рис. 3. (а) – Т2-взвешенная МР-томограмма в аксиальной проекции. Диффузная опухоль левой лобно-височной области; (б) – спектр, полученный из участка опухоли (обозначен желтым квадратом): отмечается заметное снижение пика NAA, снижение отношения NAA/Cho, NAA/Cr, высокий пик mI, мало изменено отношение Cho/Cr.
Fig. 3. (a) – T2-weighted MRI in axial view. Diffuse tumor of the left frontotemporal region; (б) – The spectrum obtained from the tumor site (indicated by a yellow square): there is a decrease in the NAA peak, a decrease in the NAA/Cho, NAA/Cr ratio, a high mI peak, the Cho/Cr ratio is slightly changed.
2HG-Press-TE35/97; Assym Mega TE26/80 позволял визуально определить наличие пиков 2HG в протонном спектре опухоли (рис. 2).
Данные одновоксельной МРС мы обрабатывали с помощью программного обеспечения – LCModel (https://lncd.pitt.edu), используя резонансы 20 метаболитов в качестве базисного набора при количественной оценке концентрации этих метаболитов в объеме воксела. Концентрация 2HG была оценена при использовании сигнала воды в качестве основы, а эффекты релаксации в сигналах наблюдаемых метаболитов были скорректированы, используя времена релаксации метаболитов мозга для 3.0 Тесла.
LCModel воспроизводит форму и вычисляет интегральную концентрацию пиков метаболитов в спектре in vivo. Остаточные значения уровня шума не демонстрировали значительных зависимостей от химического сдвига.
Из 33 исследуемых спектров в 20 случаях был определен пик 2HG с помощью МРС, и в каждом случае была подтверждена мутация IDH1 (рис. 4). В остальных 13 случаях не было обнаружено 2HG с помощью МРС, а иммуногистохимический анализ не выявил мутаций IDH (рис. 5).
Рис. 4. МР-спектр после обработки с использованием LC Model. На резонансной частоте 2.25 ppm определяется пик 2HG (красная стрелка). Гистологический диагноз «Астроцитома Gr.2, IDH1-мутантная».
Fig. 4. MR spectrum after processing using the LC Model. At a resonant frequency of 2.25 ppm, a 2HG peak is detected (red arrow). Histological diagnosis – Astrocytoma Gr.2, IDH1-mutant.
Рис. 5. МР-спектр после обработки на LC-модуле. На резонансной частоте 2.25 ppm пика 2HG не определяется (красная стрелка). Анализ IDH не выявил мутаций. Гистологический диагноз «Глиобластома, дикий тип».
Fig. 5. MR spectrum after processing on the LC module. At a resonant frequency of 2.25 ppm, the 2HG peak is not detected (red arrow). IDH analysis revealed no mutations. The histological diagnosis was Glioblastoma, wild type.
В случаях, где не было выявлено концентраций 2-гидроксиглутарата, установили гистологический диагноз «Глиобластома, дикий тип». В табл. 1 представлены выборочные концентрации 2HG, в зависимости от гистологического типа опухоли. Оценки отношений концентрации 2HG в опухоли статистически значимо различались между глиомами с IDH-мутацией и диким типом (р < 0.001).
Таблица 1. Концентрации метаболита 2HG в различных типах глиальных опухолей
Table 1. 2HG metabolite concentrations in different types of glial tumors
Гистологический тип опухоли  | IDH-статус  | Концентрация 2HG, мМоль  | |
1  | Астроцитома Grade 2  | IDH1 mutation  | 4.5  | 
2  | Астроцитома Grade 2  | IDH1 mutation  | 5.1  | 
3  | Астроцитома Grade 2  | IDH2 mutation  | 3.8  | 
4  | Олигодендроглиома Grade 3  | IDH1 mutation  | 1.3  | 
5  | Олигодендроглиома Grade 3  | IDH2 mutation  | 2.2  | 
6  | Глиобластома  | Wild type  | Не определялся  | 
7  | Глиобластома  | Wild type  | Не определялся  | 
8  | Глиобластома  | Wild type  | Не определялся  | 
ОБСУЖДЕНИЕ РЕЗУЛЬТАТОВ
В данной работе мы неинвазивно определили пик 2-гидроксиглутарата с помощью оптимизированного метода протонной магнитно-резонансной спектроскопии у пациентов с глиальными опухолями головного мозга и показали совпадение с наличием мутации IDH1/2.
Последовательность PRESS, используемая для измерения 2HG в настоящем исследовании, обычно доступна на клинических МР-томографах. Поскольку наличие мутации IDH1/2 является важным прогностическим маркером, то возможность обнаружения 2HG с помощью МРС может рассматриваться как ценный диагностический инструмент.
Дополнительное клиническое преимущество этого биомаркера заключается в возможности его динамического измерения в течение курса терапии и последующего наблюдения. Поскольку концентрация 2HG отражает изменения в клеточности опухоли, то пролиферация приведет к увеличению его концентрации, в то время как его концентрация в процессе комбинированного лечения (ЛТ + ХТ) должна снижаться.
В сочетании с ингибиторами IDH, пик 2HG можно использовать в качестве суррогатного маркера целевого ингибирования, тогда как снижение концентрации 2HG будет сигнализировать об адекватном проникновении лекарственного препарата в опухолевую ткань.
Для пациентов без гистологического диагноза использование данной методики дает возможность поставить предположительный молекулярный диагноз мутации IDH на основе уровня концентрации 2HG. Более того, последующее лечение селективным ингибитором IDH1 или IDH2 в сочетании с оценкой 2HG потенциально может сузить молекулярный диагноз до отдельного гена, поскольку снижение 2HG можно ожидать только в том случае, если ингибитор точно соответствует мутации.
Оценка ответа на повторное лечение может быть основана на данных концентрации 2HG, где отсутствие его снижения будет соответствовать резистентности к проводимой терапии.
Используя метод МРС для обнаружения 2HG, наше исследование показало высокую (92%) чувствительность данной методики в прогнозировании мутационного статуса IDH, что согласуется с данными ранее выполненных исследований (Zhou et al., 2018). В 2 случаях пик 2HG не определялся на резонансной частоте 2.25 ppm, но при проведении иммуногистохимического исследования была выявлена мутация IDH1. Более вероятно, данные результаты связаны с гетерогенностью опухолевой ткани, с наличием кальцинатов и участков микрокровоизлияний в строме опухоли, что требует дальнейшего исследования.
Взаимосвязь, наблюдаемая между 2HG и клеточностью опухоли, согласуется с представлением о том, что увеличение плотности опухолевых клеток влияет на повышение концентрации 2HG, о чем свидетельствуют данные ранее выполненных исследований и исследования, в которых ADC использовался в качестве суррогата клеточности.
Учитывая текущие проблемы с мониторингом ответа на лечение в рамках ряда стандартных и экспериментальных методов лечения, несколько многообещающих исследований уже попытались использовать эту методику, фиксируя изменения 2HG, связанные с прогрессированием заболевания и радиохимиотерапией (Choi, 2016; Andronesi, 2016; De la Fuente, 2016). Коллективные достижения в области визуализации метаболита 2HG подтверждают растущую клиническую ценность спектроскопии in vivo и ее потенциал для улучшения существующих протоколов МРТ для пациентов с глиомами различной степени злокачественности.
ВЫВОДЫ
Метод протонной МР-спектроскопии в определении IDH-мутации продемонстрировал свою эффективность у пациентов с глиальными новообразованиями головного мозга, и его можно рекомендовать для более широкого клинического применения. На основе этого возможно провести дооперационную оценку IDH-статуса, что позволяет выбрать оптимальную таргетную терапию, а также прогнозировать и оценивать реакцию опухолевой ткани на проведенное лечение посредством качественного и количественного анализа метаболитов головного мозга.
ФИНАНСИРОВАНИЕ
Работа выполнена при поддержке гранта Министерства образования и науки № 075-15-2021-1343 «Развитие биоресурсной коллекции и опухолей нервной системы человека с молекулярно-генетической паспортизацией для персонифицированного лечения пациентов с нейроонкологическими заболеваниями».
СОБЛЮДЕНИЕ ЭТИЧЕСКИХ СТАНДАРТОВ
Работа была одобрена локальным этическим комитетом ФГАУ «НМИЦ нейрохирургии ак. Н.Н. Бурденко» МЗ РФ, получены согласия пациентов на все виды исследований.
Об авторах
А. Н. Тюрина
ФГАУ “НМИЦ нейрохирургии им. академика Н. Н. Бурденко” Минздрава России
							Автор, ответственный за переписку.
							Email: alfa.net@list.ru
				                					                																			                												                	Россия, 							Москва						
А. И. Баталов
ФГАУ “НМИЦ нейрохирургии им. академика Н. Н. Бурденко” Минздрава России
														Email: alfa.net@list.ru
				                					                																			                												                	Россия, 							Москва						
Н. Е. Захарова
ФГАУ “НМИЦ нейрохирургии им. академика Н. Н. Бурденко” Минздрава России
														Email: alfa.net@list.ru
				                					                																			                												                	Россия, 							Москва						
Л. М. Фадеева
ФГАУ “НМИЦ нейрохирургии им. академика Н. Н. Бурденко” Минздрава России
														Email: alfa.net@list.ru
				                					                																			                												                	Россия, 							Москва						
Д. Б. Калаева
ФГАУ “НМИЦ нейрохирургии им. академика Н. Н. Бурденко” Минздрава России
														Email: alfa.net@list.ru
				                					                																			                												                	Россия, 							Москва						
И. Н. Пронин
ФГАУ “НМИЦ нейрохирургии им. академика Н. Н. Бурденко” Минздрава России
														Email: alfa.net@list.ru
				                					                																			                												                	Россия, 							Москва						
Список литературы
- Andronesi O. C. Treatment response assessment in IDHmutant glioma patients by noninvasive 3D functional spectroscopic mapping of 2-hydroxyglutarate. Clin. Cancer Res. 2016. 22: 1632–1641.
 - Balss J. Analysis of the IDH1 codon 132 mutation in brain tumors. Acta Neuropathol. 2008. 116 (6): 597–602.
 - Choi C. C. Prospective longitudinal analysis of 2-hydroxyglutarate magnetic resonance spectroscopy identifes broad clinical utility for the management of patients with IDH-mutant glioma. J. Clin. Oncol. 2016. 34: 4030–4039.
 - De la Fuente M. I. Integration of 2-hydroxyglutarateproton magnetic resonance spectroscopy into clinical practice for disease monittoring in isocitrate dehydrogenase-mutant glioma. Neuro Oncol. 2016. 18 (2): 283–290.
 - Han S. IDH mutation in glioma: molecular mechanisms and potential therapeutic targets. British J. Cancer. 2020. 122: 1580–1589.
 - Juratli T. A. Accumulation of 2-hydroxyglutarate is not a biomarker for malignant progression in IDH-mutated low-grade gliomas. Neuro Oncol. 2013. 15 (6): 682– 690.
 - Molenaar R. J. The driver and passenger effects of isocitrate dehydrogenase 1 and 2 mutations in oncogenesis and survival prolongation. Biochim. Biophys. Acta. 2014. 1846 (2): 326–341.
 - Padelli F. In vivo brain MR spectroscopy in gliomas: clinical and preclinical chances. Clin. Transpl. Imaging. 2022. 10: 495–515.
 - Suh C. H. 2-hydroxyglutarate MR spectroscopy for prediction of isocitrate dehydrogenase mutant glioma: a systemic review and metal-analysis using individual patient data. Neuro Oncol. 2018. 20: 1573–1583.
 - Ward P. S. The common feature of leukemia-associated IDH1 and IDH2 mutations is a neomorphic enzyme activity converting alpha-ketoglutarate to 2-hydroxyglutarate. Cancer Cell. 2010. 17 (3): 225–234.
 - Weller M. EANO guidelines on the diagnosis and treatment of diffuse gliomas of adulthood. Nature Reviews. Clin. Oncol. 2020. Epub ahead of print. DOI: https:// doi.org/10.1038/s41571–020–00447-z
 - Zhou M. Diagnostic accuracy of 2-hydroxyglutarate magnetic resonance spectroscopy in newly diagnosed brain mass and suspected recurrent gliomas. Neuro Oncol. 2018. 20: 1262–1271.
 
Дополнительные файлы
				
			
						
						
						
					
						
									







