Видовая идентификация коронавируса SARS-CoV-2 по консервативному участку Е-гена
- Авторы: Лапа С.А.1, Шингарева А.А.1, Файзулоев Е.Б.2, Аммур Ю.И.2, Шершов В.Е.1, Чудинов А.В.1
-
Учреждения:
- Институт молекулярной биологии им. В.А. Энгельгардта РАН
- НИИ вакцин и сывороток им. И.И. Мечникова
- Выпуск: Том 49, № 5 (2023)
- Страницы: 543-547
- Раздел: ПИСЬМА РЕДАКТОРУ
- URL: https://journal-vniispk.ru/0132-3423/article/view/139261
- DOI: https://doi.org/10.31857/S0132342323040358
- EDN: https://elibrary.ru/ODHDFF
- ID: 139261
Цитировать
Полный текст
Аннотация
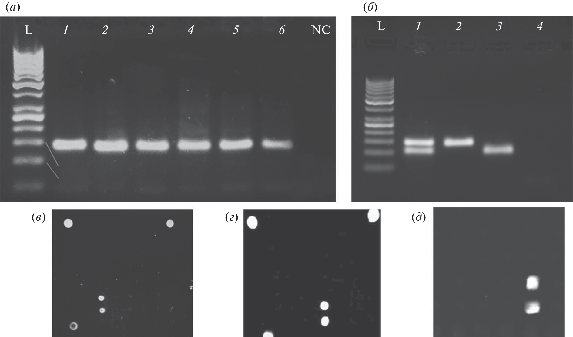
Появление мутаций в генах, кодирующих поверхностные белки коронавируса нового типа SARS-CoV-2, при его циркуляции в популяции хозяина затрудняет применение моноклональных антител для видовой идентификации данного вируса. В таких случаях выбор консервативных генетических мишеней позволяет осуществлять идентификацию молекулярно-биологическими методами. В настоящей работе проведено тестирование разработанных ранее праймеров, специфичных к фрагменту Е-гена, для выявления коронавируса нового типа на шести изолятах, принадлежащих различным генетическим вариантам SARS-CoV-2 (исходный уханьский геновариант, дельта и омикрон). Выбор консервативного участка Е-гена (E gene, кодирующий малый трансмембранный белок Е) в качестве мишени для обратной транскрипции с последующей амплификацией (ОТ-ПЦР) позволил детектировать коронавирус SARS-CoV-2 вне зависимости от его генетических вариантов, характеризующихся антигенной разнородностью по N- и S-белкам. Показана возможность видового определения различных вариантов возбудителя COVID-19, циркулирующих в России, как в общем реакционном объеме (в пробирке), так и на биологических микрочипах (гелевых и щеточных).
Ключевые слова
Об авторах
С. А. Лапа
Институт молекулярной биологии им. В.А. Энгельгардта РАН
Email: lapa@biochip.ru
Россия, 119991, Москва, ул. Вавилова, 32
А. А. Шингарева
Институт молекулярной биологии им. В.А. Энгельгардта РАН
Email: lapa@biochip.ru
Россия, 119991, Москва, ул. Вавилова, 32
Е. Б. Файзулоев
НИИ вакцин и сывороток им. И.И. Мечникова
Email: lapa@biochip.ru
Россия, 115088, Москва, ул. 1-я Дубровская, 15
Ю. И. Аммур
НИИ вакцин и сывороток им. И.И. Мечникова
Email: lapa@biochip.ru
Россия, 115088, Москва, ул. 1-я Дубровская, 15
В. Е. Шершов
Институт молекулярной биологии им. В.А. Энгельгардта РАН
Email: lapa@biochip.ru
Россия, 119991, Москва, ул. Вавилова, 32
А. В. Чудинов
Институт молекулярной биологии им. В.А. Энгельгардта РАН
Email: lapa@biochip.ru
Россия, 119991, Москва, ул. Вавилова, 32
Список литературы
- Randhawa G.S., Soltysiak M.P.M., El Roz H., de Souza C.P.E., Hill K.A., Kari L. // PLoS One. 2020. V. 15. P. e0232391. https://doi.org/10.1371/journal.pone.0232391
- Gorbalenya A.E., Baker S.C., Baric R.S., de Groot R.J., Drosten C., Gulyaeva A.A., Haagmans B.L., Lauber C., Leontovich A.M., Neuman B.W., Penzar D., Perlman S., Poon L.L.M., Samborskiy D.V., Sidorov I.A., Sola I., Ziebuhr J. // Nat. Microbiol. 2020. V. 5. P. 536–544. https://doi.org/10.1038/s41564-020-0695-z
- Лапа С.А., Мифтахов Р.А., Клочихина Е.С., Аммур Ю.И., Благодатских С.А., Шершов В.Е., Заседателев А.С., Чудинов А.В. // Мол. биол. 2021. Т. 55. С. 944–955. [Lapa S.A., Miftakhov R.A., Klochikhina E.S., Ammur Y.I., Blagodatskikh S.A., Shershov V.E., Zasedatelev A.S., Chudinov A.V. // Mol. Biol. 2021. V. 55. P. 828–838.] https://doi.org/10.1134/S0026893321040063
- Lopez L.A., Riffle A.J., Pike S.L., Gardner D., Hogue B.G. // J. Virol. 2008. V. 82. P. 3000–3010. https://doi.org/10.1128/JVI.01914-07
- Грачёва А.В., Корчевая Е.Р., Кудряшова А.М., Борисова О.В., Петруша О.А., Смирнова Д.И., Чернышова И.Н., Свитич О.А., Зверев В.В., Файзулоев Е.Б. // Журн. микробиол. эпидемиол. иммунобиол. 2021. Т. 98. С. 253–265. https://doi.org/10.36233/0372-9311-136
- Sorokin N.V., Chechetkin V.R., Livshits M.A., Pankov S.V., Donnikov M.Y., Gryadunov D.A., Lapa S.A., Zasedatelev A.S. // J. Biomol. Struct. Dyn. 2005. V. 22. P. 725–734. https://doi.org/10.1080/07391102.2005.10507039
- Artesi M., Bontems S., Göbbels P., Franckh M., Maes P., Boreux R., Meex C., Melin P., Hayette M.P., Bours V., Durkin K. // J. Clin. Microbiol. 2020. V. 58. P. e01598-20. https://doi.org/10.1128/JCM.01598-20
- Rubina A.Yu., Pan’kov S.V., Dementieva E.I., Pen’kov D.N., Butygin A.V., Vasiliskov V.A., Chudinov A.V., Mikheikin A.L., Mikhailovich V.M., Mirzabekov A.D. // Anal. Biochem. 2004. V. 325. P. 92–106. https://doi.org/10.1016/j.ab.2003.10.010
Дополнительные файлы




