Composition of Leukocytes of the Peripheral Blood of Plunderfish Pogonophryne sp. (Perciformes: Artedidraconidae) and Grey Rockcod Lepidonotothen squamifrons (Günther, 1880) (Perciformes: Nototheniidae) from the Ross Sea
- Authors: Gordeyev I.I.1,2, Mikryakov D.V.3, Balabanova L.V.3
-
Affiliations:
- Russian Federal Research Institute of Fisheries and Oceanography (VNIRO)
- Lomonosov Moscow State University
- Papanin Institute for Biology of Inland Waters (IBIW), Russian Academy of Sciences
- Issue: Vol 49, No 4 (2023)
- Pages: 230-235
- Section: ОРИГИНАЛЬНЫЕ СТАТЬИ
- Published: 01.07.2023
- URL: https://journal-vniispk.ru/0134-3475/article/view/135139
- DOI: https://doi.org/10.31857/S0134347523030051
- EDN: https://elibrary.ru/SBCWCF
- ID: 135139
Cite item
Full Text
Abstract
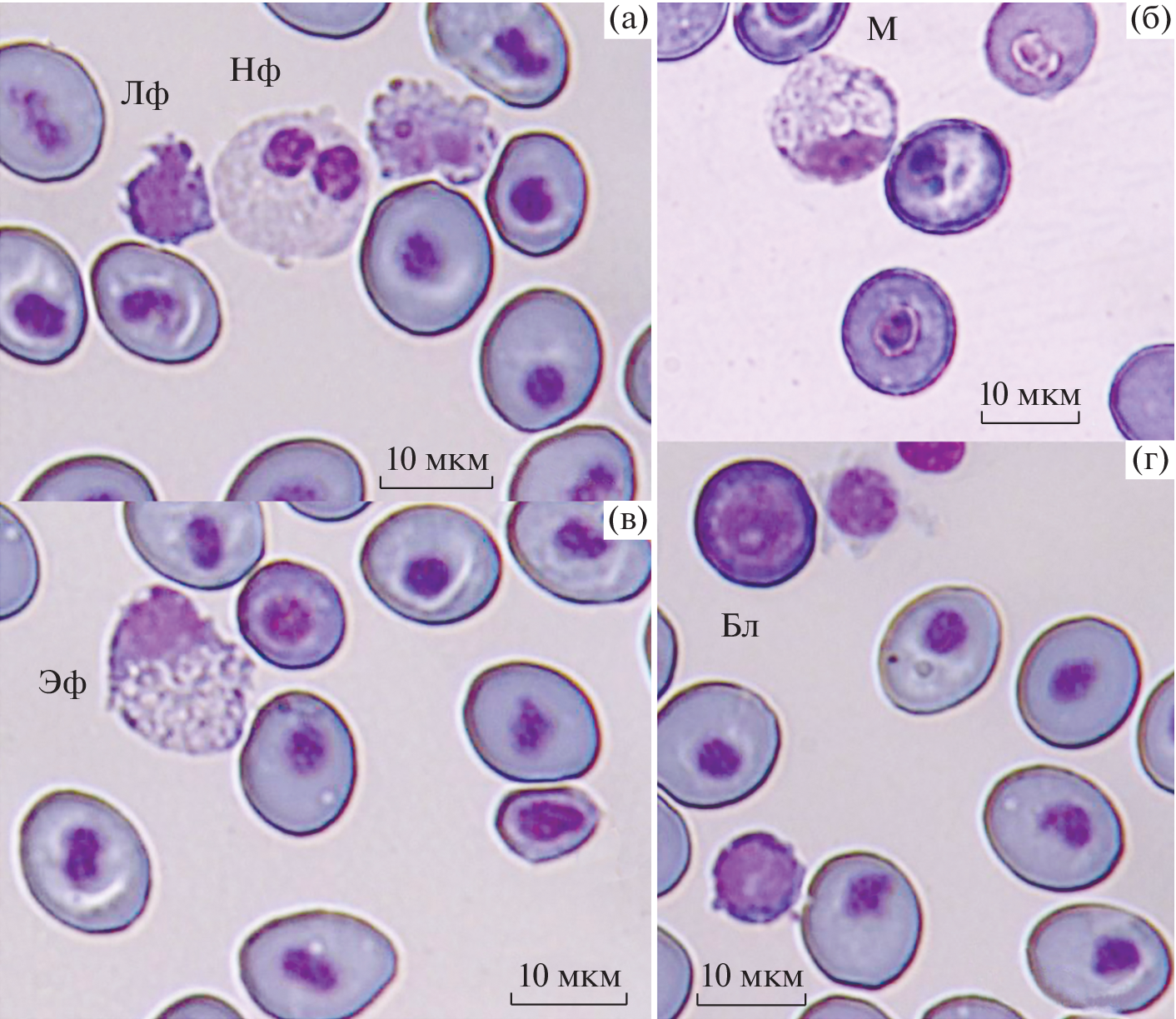
A comparative study of the composition of peripheral blood leukocytes of plunderfish and grey rockcod or squama caught in the Ross Sea has been carried out. Blood smears revealed cells of different morphofunctional characteristics and structure: lymphocytes, monocytes, neutro- and eosinophils, and blast cells. An analysis of the leukogram showed that the white blood of the studied species has a lymphoid character. In the rockcod leukogram, the proportion of lymphocytes is significantly higher, while that of monocytes and blast forms is lower. In the plunderfish, in comparison with grey rockcod, the leukocyte cells of the same name are usually larger.
About the authors
I. I. Gordeyev
Russian Federal Research Institute of Fisheries and Oceanography (VNIRO); Lomonosov Moscow State University
Author for correspondence.
Email: gordeev_ilya@bk.ru
Russia, 105187, Moscow; Russia, 119234, Moscow
D. V. Mikryakov
Papanin Institute for Biology of Inland Waters (IBIW), Russian Academy of Sciences
Email: gordeev_ilya@bk.ru
Russia, 152742, Borok
L. V. Balabanova
Papanin Institute for Biology of Inland Waters (IBIW), Russian Academy of Sciences
Email: gordeev_ilya@bk.ru
Russia, 152742, Borok
References
- Балушкин А.В., Петров А.Ф., Прутько В.Г. Pogonophryne brevibarbata sp. nov. (Artedidraconidae, Notothenioidei, Perciformes) – новый вид жабовидной бородатки из моря Росса, Антарктика // Тр. ЗИН РАН. 2010. Т. 314. № 4. С. 381–386.
- Галактионов В.Г. Эволюционная иммунология: Учебное пособие. М.: ИКЦ Академкнига. 2005. 408 с.
- Гордеев И.И., Балабанова Л.В., Суворова Т.А., Микряков Д.В. Состав лейкоцитов периферической крови горбуши Oncorhynchus gorbuscha и кеты Oncorhynchus keta (Salmonidae) в морской период жизни // Вопр. ихтиологии. 2022. Т. 62. № 2. С. 244–248.
- Гордеев И.И., Микряков Д.В., Балабанова Л.В., Микряков В.Р. Состав лейкоцитов периферической крови антарктического клыкача Dissostichus mawsoni Norman, 1937 (Nototheniidea) // Вопр. ихтиологии. 2014. Т. 54. № 4. С. 479–482.
- Гордеев И.И., Микряков Д.В., Балабанова Л.В., Микряков В.Р. Клеточный состав периферической крови и некоторых органов кроветворения ската Amblyraja georgiana (Norman, 1938) (Rajiformes: Rajidae) из моря Скоша // Биол. моря. 2019. Т. 45. № 6. С. 422–427.
- Грушко М.П., Ложниченко О.В., Федорова Н.Н. Гемопоэз у осетровых рыб. Астрахань: Триада. 2009. 190 с.
- Зайцев А.К. Современное состояние популяций серой нототении (Lepidonotothen squamifrons) в индоокеанском секторе Антарктики // Тр. ЮгНИРО. 2015. Т. 53. С. 124–130.
- Иванова Н.Т. Атлас клеток крови рыб М.: Легкая и пищевая промышленность. 1983. 184 с.
- Микряков В.Р. Закономерности формирования приобретенного иммунитета у рыб. Рыбинск: ИБВВ РАН. 1991. 154 с.
- Петров А.Ф., Кузнецова Е.Н., Гордеев И.И. и др. О российском научном наблюдении на промысле видов Dissostichus spp. в зоне действия АНТКОМ в сезоне 2014/2015 // Тр. ВНИРО. 2015. Т. 155. С. 160–165.
- Список действующих мер по сохранению. Сезон 1997/98 г. АНТКОМ. Хобарт, Австралия. 1997. 108 с.
- Точилина Л.В. Лейкоцитарная формула морских рыб // Гидробиол. журн. 1994. Т. 30. Вып. 3. С. 50–57.
- Шандиков Г.А. Краткий обзор антарктических пуголовковидных рыб-бородаток рода Pogonophryne (Perciformes: Notothenioidei: Artedidraconidae) // Вісник Харківського національного університету імені ВН Каразіна. 2012. Серія: Біологія (16). С. 121–139.
- Яхненко В.М., Клименков И.В. Особенности состава и структуры клеток крови рыб пелагиали и прибрежья озера Байкал // Изв. РАН. Сер. биол. 2009. № 1. С. 46–54.
- Barber D.L., Westerman J.E.M., White M.G. The blood cells of the Antarctic icefish Chaenocephalus aceratus Lonnberg: light and electron microscopic observation // J. Fish. Biol. 1981. V. 19. № 1. P. 11–18.
- Gordeev I.I., Mikryakov D.V., Balabanova L.V., Mikryakov V.R. Composition of leucocytes in peripheral blood of Patagonian toothfish (Dissostichus eleginoides, Smitt, 1898) (Nototheniidae) // Polar Res. 2017. V. 36:1, 1374126, https://doi.org/10.1080/17518369.2017.1374126
- Gon O., Heemstra P.C. Fishes of the Southern Ocean. Grahamstown : JLB Smith Institute of Ichthyology. 1990. 462 p.
- Eastman J.T., Eakin R.R. Decomplicating and identifying species in the radiation of the Antarctic fish genus Pogonophryne (Artedidraconidae) // Polar Biol. 2022. T. 45. № 5. P. 825–832. https://doi.org/10.1007/s00300-022-03034-3
- Ellis A.E. The leucocytes of fish: a review // J. Fish. Biol. 1977. V. 11. № 5. P. 453–491. https://doi.org/10.1111/j.1095-8649.1977.tb04140.x
- Fish Base. World Wide Web electronic publication. www.fishbase.org, version (02/2022)
- Havixbeck J.J., Barreda D.R. Neutrophil development, migration, and function in teleost fish // Biology. 2015. V. 4. № 4. P. 715–734. https://doi.org/10.3390/biology4040715
- Hodgkinson J.W., Grayfer L., Belosevic M. Biology of bony fish macrophages // Biology. 2015. V. 4. P. 881–906. https://doi.org/10.3390/biology4040881
- Katzenback B.A. Antimicrobial peptides as mediators of innatr immunity in teleosts // Biology. 2015. V. 4. № 4. P. 607–639.
- Manning M.J., Nakanishi T. The specific immune system: cellular defenses // The fish immune system: organism, pathogen and environment. London: Acad. Press. 1996. P. 160–206.
- Miller R.G. A history and atlas of the fishes of the Antarctic Ocean. Foresta Institute, Nevada. 1993. 792 p.
- Pakhomov E.A. Feeding habits and estimate of ration of gray notothenia, Notothenia squamifrons squamifrons, on the Ob and Lena Tablemounts (Indian Ocean Sector of Antarctica) // J. Ichthyol. 1993. V. 33. № 9. P. 57–71.
- Scapigliati G. Functional aspects of fish lymphocytes // Dev. Comp. Immunol. 2013. V. 41. № 2. P. 200–208. https://doi.org/10.1016/j.dci.2013.05.012
- Uribe C., Folch H., Enriquez R., Moran G. Innate and adaptive immunity in teleost fish: A review // Vet. Med. 2011. V. 56. № 10. P. 486–503. https://doi.org/10.17221/3294-VETMED
- Van Muiswinkel W., Vervoorn-Van Der Wal B. The immune system of fish // Fish Diseases and Disorders. V. 1. Wallingford: CABI.P. 2006. P. 678–701. https://doi.org/10.1079/9780851990156.0678
- Wyanski D.M., Targett T.E. Feeding biology of fishes in the endemic Antarctic Harpagiferidae // Copeia. 1981. P. 686–693. https://doi.org/10.2307/1444575
- Zapata A.G., Chiba A., Varas A. 1 – Cells and tissues of the immune system of fish // Fish Physiol. 1996. V. 15. P. 1–62. https://doi.org/10.1016/S1546-5098(08)60271-X




