Cationic effect in the formation of toxic and antiviral properties of Keggon heteropoly compounds
- Авторлар: Dalidchik F.I.1, Lopatina O.A.2, Kovalevsky S.A.1, Isaeva E.I.2, Bidevkina M.V.3, Baklanova O.V.2, Gushchina E.A.2, Lisitsyn F.V.2, Balashov E.M.1, Mezentseva M.V.4, Pritchina T.N.2
- 
							Мекемелер: 
							- Semenov Federal Research Center for Chemical Physics, Russian Academy of Sciences
- Gamaleya Research Institute of Epidemiology and Microbiology
- Erisman Federal Scientific Center of Hygiene, Federal Service for Supervision of Consumer Rights Protection and Human Welfare
- Национальный исследовательский центр эпидемиологии и микробиологии им. Н.Ф. Гамалеи
 
- Шығарылым: Том 43, № 2 (2024)
- Беттер: 92-102
- Бөлім: Chemical physics of biological processes
- URL: https://journal-vniispk.ru/0207-401X/article/view/259901
- DOI: https://doi.org/10.31857/S0207401X24020108
- EDN: https://elibrary.ru/WHBSQN
- ID: 259901
Дәйексөз келтіру
Толық мәтін
Аннотация
The Cytotoxicity indices (IC50) of Keggin’s phosphorus-molybdenum heteropoly acids (HPCAs) and their sodium and potassium salts on dog kidney cells (MDSC) were determined. The antiviral activity of these compounds against topical strains of influenza A (H3N2 and H1N1) was revealed. The dependence of the biological properties of polyoxometalates (POMs) on the elemental composition of their molecules has been confirmed. It has been shown that when some of the molybdenum atoms are replaced by vanadium atoms, HPCA and their salts acquire higher cytotoxicities, which increase monotonically as the number of substitutions increases. For the first time, the dependence of the biological activity of HPCA and their salts on the mass of cations has been established and interpreted. In vivo (on white outbred mice) the values of semi-lethal doses (DL50) of these compounds were established. For aqueous solutions of sodium and potassium salts of GPCA in a wide range of concentrations (from 0.05 μM to 15 μM), the values of the toxicity index (It) were determined on the model of motile cells. It has been established that GPCA and their salts are classified as moderately dangerous toxic substances and have selective antiviral activity, which at low concentrations (less than 15 μM) for influenza A strains is manifested mainly by a decrease in hemagglutination activity (HA).
Толық мәтін
Введение
Лекарственная устойчивость вирусов — это глобальная и грозная проблема современности, особенно в условиях вирусных пандемий, в частности Covid-19 [1]. Быстро развивающаяся резистентность к существующим противовирусным препаратам требует создания новых лекарственных и дезинфекционных средств. В одном из современных направлений этих поисков предполагается применение соединений полиоксометаллатов (ПОМ), в частности обширного класса гетерополикислот (ГПК), биологические свойства которых допускают тонкую целевую подборку [2–5]. Сегодня хорошо известно, что ПОМ, среди которых наиболее полно изучены ГПК Кеггина (ГПКК), могут быть ингибиторами многих штаммов вирусов (гриппа, лихорадки Денге, атипичной пневмонии, ВИЧ и др.).
В последние десятилетия активно изучаются ванадийсодержащие соединения ПОМ, обладающие не только противовирусными [6], но и противоопухолевыми [7] и противодиабетическими свойствами [8]. Природа этих уникальных биологических свойств ПОМ остается, однако, предметом дискуссий. В частности, остается открытым практически важный вопрос о роли катионов в формировании специфической биологической активности соединений ПОМ. Отдельные примеры, которые указывают на возможность управления биологическими свойствами ПОМ-соединений посредством оптимизации строения их катионов, приводятся и качественно интерпретируются в настоящей работе.
Для разработки новых противовирусных ПОМ-препаратов необходима информация не только об их противовирусных свойствах, но и о степени их токсичности в отношении клеточных культур и лабораторных животных. Особенностью эпидемической ситуации последних лет в России и за рубежом является одновременная циркуляция в человеческой популяции нескольких респираторных вирусов гриппа А (H3N2 и H1N1). Это определило выбор объектов исследований настоящей работы и постановку ее основных задач.
Основные задачи работы — на примере группы фосфор-молибденовых ГПКК и их натриевых и калиевых солей в экспериментах in vitro и in vivo исследовать зависимость биологических свойств ПОМ соединений от элементного состава их анионов и катионов, в частности от числа замещённых атомов молибдена атомами ванадия. Определить цитотоксичность изучаемых соединений, оценить степень их опасности в опытах in vivo, исследовать противовирусную активность в отношении актуальных штаммов вируса гриппа А (Н3N2 и Н1N1).
Материалы
Материалы: исследовали ГПКК H3PW12O40 и H3PMo12O40, производства компании “Biochem” (France), биметаллические (ванадийсодержащие) ГПКК Н5PMo10V2O40, H4PMo11VO40, H4PW11VO40 и биметаллические ванадийсодержащие соли K3PW12O40, Na3PMo12O40, Na4PMo11VO40, Na5PMo10V2O40 и Na6PMo9V3O40, синтезированные в Институте общей и неорганической химии БАН (Минск, Беларусь).
Культура клеток: использовали пермиссивные для вирусов гриппа перевиваемые клетки почки собаки (МДСК), взятые из коллекции клеточных культур при ФГБУ “НИЦЭМ им. Н.Ф. Гамалеи” Минздрава России. Культивирование клеток осуществляли на питательной среде Игла MEM с двойным набором аминокислот, 5%-ной фетальной бычьей сыворотки, 10 мМ глутамина и 4%-ным гентамицином.
Вирусы: пандемические штаммы вирусов гриппа А: Н3N2 (А/Aichi/1/68, А/Pert16/09, А/Вrisben/10/07) и Н1N1 (А/Вrisben/07/07, A/California/ 07/09, A/Penza/55/2008, A/PR8/34) были взяты из государственной коллекции вирусов РФ при ФГБУ “НИЦЭМ им. Н.Ф. Гамалеи” Минздрава РФ. Отобранные вирусы культивировали при стандартных условиях (36 °С, 48 ч) в аллантоисной полости 9–10-дневных куриных эмбрионов и на перевиваемой культуре клеток МДСК.
Методы
Цитотоксичность ГПКК и их солей на клетках МДСК: использовали водные растворы ГПКК и их солей сантимолярной концентрации. Эти растворы в разведениях от 1 : 2 до 1 : 4096 вносили в монослой культуры клеток МДСК, выращенных в 96-луночных планшетах. После добавления соответствующих разведений ПОМ клетки культивировали в течение 72 ч при 37 °С в атмосфере 5%-ной СО2. С помощью метилтетразолиевого теста (МТТ-тест) определяли жизнеспособность клеток (посредством измерений оптической плотности (ОП) опытных образцов по сравнению с контролем). Измерения проводили на ридере “Пикон” (ОП на длине волны 595 нм). Концентрацию препарата, при которой погибало 50% клеток (по сравнению с контролем), принимали за цитопатическое значение (IС50) [9]. Кислотность среды (pН) после добавления ГПКК во всех экспериментах составляла 6.5 ± 0.2.
Для дополнительной оценки токсичности (опасности) водных растворов ПОМ различных концентраций (от 0.05 до 15 мкМ) использовали модель подвижных клеток. Такой подход, рекомендованный Госкомсанэпиднадзором РФ для массовых санитарно-эпидемиологических и токсикологических исследований, включая испытания новых материалов, реализуется в экспериментах с применением коммерческого анализатора токсичности АТ-05 [10–12]. Сущность такой методики состоит в определении токсичности исследуемых растворов с применением стандартизованного клеточного тест-объекта. Критерием токсического действия ПОМ при этом было изменение двигательной активности подвижных клеток — сперматозоидов быка под воздействием ПОМ, добавляемых в опытный раствор, по сравнению с контрольным раствором. Контрольный раствор представлял собой взвесь сперматозоидов в среде, состоящей из 4 г глюкозы, 1 г цитрата натрия, 100 мл дистиллированной воды. Показатель их подвижности регистрировался автоматически анализатором изображений АТ-05 по изменению интенсивности светового потока при движении клеток через оптический зонд с помощью анализатора изображений АТ-5. Оценку безопасности изучаемых образцов проводили по индексу токсичности It (в %) в разведениях от 1 : 200 и более. Он вычисляется для каждой пробы как отношение суммарной подвижности сперматозоидов в опыте к средней суммарной подвижности сперматозоидов в контрольном растворе. Обработка экспериментальных данных осуществляется по прилагаемой к анализатору токсичности программе. Растворы ПОМ, для которых It, выраженные в %, попадали в интервал значений от 70% до 120%, согласно рекомендациям руководства [11], считались безопасными.
Изучение острой токсичности (DL50) ГПК проводили на белых беспородных мышах-самцах весом 18–20 г в соответствии с Директивой 2010/63/EU Европейского парламента и совета Европейского Союза от 22 сентября 2010 года по охране животных, используемых в научных целях. В опытной группе использовали 40 мышей, в контрольной — 10. Животных содержали на стандартном пищевом рационе. Для приготовления препаратов использовали водные растворы ПОМ в соответствующих разведениях. Образцы ГПК H3PW12O40, H3PMo12O40, H4SiW12O40, H4SiMo12O40 вводили мышам в желудок натощак с помощью металлического зонда в дозах 1000, 2000, 3000, 4000, 5000 мг/кг, в брюшную полость — в дозах 100, 250, 500, 1000, 3000 мг/кг. Образцы солей ГПК: Na3PMo12O40, Na4PMo11VO40, Na5PMo10V2O40, Na6PMo9V3O40 и K6PW18O40, вводили в желудок в виде 20%-ного водного раствора в интервале доз от 500 до 4000 мг/кг. Каждую дозу вводили одному животному. Наблюдение проводили в течение 14 дней; за DL50 принимали наименьшую дозу, вызвавшую гибель половины животных. Класс опасности определяли по классификации ГОСТ 12.1.007-76 [12]. По окончании наблюдения выжившие животные подвергались эвтаназии с использованием общего эфирного наркоза.
Противовирусную активность ГПКК и их солей определяли по снижению инфекционного титра вируса гриппа в культуре клеток МДСК на основании цитопатического действия, а также в реакции гемагглютинации. С этой целью предварительно готовили культуру клеток МДСК. В качестве поддерживающей среды использовали питательную среду Игла МЕМ с двойным набором аминокислот с добавлением 0.2%-ного раствора альбумина и трипсина (TPCK treated, Sigma-Aldrich, USA) в концентрации 2 мкг/мл. Перед заражением вирусом клетки МДСК три раза промывали бессывороточной средой Игла МЕМ, добавляли изучаемые вещества в необходимой концентрации в 100 мкл поддерживающей среды и инкубировали в течение 2 ч при 37 °С. Затем добавляли по 100 мкл предварительно приготовленных разведений вируса. Контроли вируса и клеток культивировали в той же среде. Учет результатов проводили через 48 ч по цитопатическому действию. Инфекционную активность (ИА) оценивали в количественном выражении подавления репродукции вируса (TCID50). Гемагглютинирующую активность (ГА) вирусов определяли по общепринятой методике [13].
Просвечивающая электронная микроскопия использовалась при изучении морфологии вирусов гриппа А в суспензии и в культуре зараженных клеток МДСК с применением микроскопа JEM-100S производства компании Jeol (Japan).
Исследование влияния ГПКК на структуру вирионов гриппа A/California/07/09(Н1N1), культивированных в аллантоисной полости 9–10-дневных куриных эмбрионов, проводили с применением метода негативного контрастирования суспензии вируса. С этой целью готовили суспензию интактных вирусных частиц с концентрациями 5.5 lgTCID50, смешивали с тестируемым раствором ГПК в соотношении 1 : 1, и инкубировали в течение 1 ч при температуре 25 °С. Подготовленные к анализу суспензии наносили на гальваническую сетку с формваровой подложкой.
Структуру вируса гриппа в культуре клеток МДСК после воздействия ПОМ исследовали методом ультратонких срезов. Срезы получали на ультратоме Вromma 800 производства фирмы LKB (Sweden) с помощью алмазного ножа толщиной 50–60нм. Использовали общепринятую методику фиксирования, обезвоживания, пропитки и заливки материала в эпоновую смесь. Ультратонкие срезы окрашивали 5%-ным раствором уранилацетата и цитратом свинца, после чего переносили подготовленные срезы в электронный микроскоп.
Результаты экспериментов
Результаты экспериментов, т.е. значения токсичности и показателей противовирусной активности ГПКК и их солей, приведены в табл. 1– 4.
Таблица 1. Цитотоксичность ГПК и их солей на клетках МДСК
| Образцы ГПК | IC50, мкМ | Образцы солей ГПКК | IC50, мкМ | 
| H3PW12O40 | 125 | K3PW12O40 | 62.5 | 
| H3PMo12O40 | 125 | Na3PMo12O40 | 31.3 | 
| H4PMo11VO40 | 25 | Na4PMo11VO40 | 15.6 | 
| H5PMo10V2O40 | 25 | Na5PMo10V2O40 | 15.6 | 
| H4PW11VO40 | 33 | Na6PMo9V3O40 | 7.8 | 
Таблица 2. Цитотоксичность ПОМ на модели подвижных клеток It, %
| Концентрации, мкМ | It (%) | ||||
| Na3PMo12O40 | Na4PMo11VO40 | Na5PMo10V2O40 | Na6PMo9V3O40 | K6PW18O40 | |
| 14.3 | 102.0 | 19.9 | – | 16.9 | 101.3 | 
| 4.8 | – | 24.0 | – | 15.2 | – | 
| 2 | – | 46.6 | – | 21.6 | – | 
| 1 | – | 54.2 | 26.5 | 22.3 | – | 
| 0.4 | – | 63.0 | – | 28.1 | – | 
| 0.2 | – | 71.0 | 60.2 | 47.2 | – | 
| 0.1 | – | 88.6 | 68.0 | 64.2 | – | 
| 0.05 | – | – | 87.1 | 82.0 | – | 
Таблица 3. Токсичность ГПК и их солей в опытах in vivo
| Образцы ГПК | DL50, мг/кг (введение в желудок) | Образцы солей ГПК | DL50, мг/кг (введение в желудок) | 
| H3PW12O40 | 3000 | K3PW12O40 | 4416.6 | 
| H3PMo12O40 | 2000 | Na3PMo12O40 | 2125.0 | 
| H4PMo11VO40 | 2000 | Na4PMo11VO40 | 1875.0 | 
| H5PMo10V2O40 | 1000 | Na5PMo10V2O40 | 1520.8 | 
| Na6PMo9V3O40 | 1375.0 | 
Таблица 4. Влияние ПОМ на гемагглютинирующую и инфекционную активность различных штаммов вирусов гриппа А (H3N2 и H1N1) на клетках МДСК
| Образцы ПОМ с соответствующими разведениями | Вирусный агент | Гемагглютинирующая активность | Инфекционная активность (lgTCID50 ) | 
| Н5PMo10V2O40, 3.9 мкМ | H3N2 | ||
| А/Aichi/1/68 | 64* | 5.25 | |
| A/Pert/16/06 | 128 | 5.5 | |
| A/Brisben/10/07 | 64 | 4.0 | |
| H1N1 | |||
| A/Brisben/07/07 | 32 | 3.5 | |
| A/California/ 07/09 | 64* | 4.0 | |
| A/Penza/55/2008 | 32* | 4.5 | |
| A/PR8/34 | 128 | 5.0 | |
| Н4PMo11VO40, 7.8 мкМ | H3N2 | ||
| А/Aichi/1/68 | 64* | 5.0 | |
| A/Pert/16/06 | 64 | 4.75 | |
| A/Brisben/10/07 | 32 | 3.75 | |
| H1N1 | |||
| A/Brisben/07/07 | 32 | 3.0 | |
| A/California/ 07/09 | 64* | 4.5 | |
| A/Penza/55/2008 | 64 | 5.0 | |
| A/PR8/34 | 64* | 5.0 | |
| Na4PMo11VO40, 15.6 мкМ | H3N2 | ||
| А/Aichi/1/68 | 64* | 5.0 | |
| A/Pert/16/06 | 32* | 5.5 | |
| A/Brisben/10/07 | 32 | 3.0 | |
| H1N1 | |||
| A/Brisben/07/07 | 64 | 4.0 | |
| A/California/ 07/09 | 256 | 5.5 | |
| A/Penza/55/2008 | 128 | 5.0 | |
| A/PR8/34 | 256 | 6.0 | |
| K6PW18O40, 62.5 мкМ | H3N2 | ||
| А/Aichi/1/68 | 64* | 5.0 | |
| A/Pert/16/06 | 64 | 5.5 | |
| A/Brisben/10/07 | 64 | 3.0 | |
| H1N1 | |||
| A/Brisben/07/07 | 16* | 4.0 | |
| A/California/ 07/09 | 32* | 5.5 | |
| A/Penza/55/2008 | 32* | 5.0 | |
| A/PR8/34 | 64* | 6.0 | |
| Контроль вируса клетки МДСК, зараженные вирусом без воздействия ПОМ | H3N2 | ||
| А/Aichi/1/68 | 256 | 6.0 | |
| A/Pert/16/06 | 128 | 5.0 | |
| A/Brisben/10/07 | 64 | 4.0 | |
| H1N1 | |||
| A/Brisben/07/07 | 64 | 4.0 | |
| A/California/ 07/09 | 256 | 5.5 | |
| A/Penza/55/2008 | 128 | 5.0 | |
| A/PR8/34 | 256 | 6.0 | 
* Снижение титров ГА в 4 и более раз по сравнению с контролем (клетки МДСК, зараженные вирусом, без воздействия ПОМ).
Анализируя табл. 1 отметим, прежде всего, выраженную зависимость цитотоксичности ГПКК и солей от элементного состава как анионов, так и катионов. Как видно, здесь регулярно наблюдается значительное (в отдельных случаях многократное) повышение цитотоксичности ПОМ при замещении атома Н в ГПКК атомом щелочного металла. Такая зависимость, которая до сих пор, видимо, не была замечена, указывает на возможность решения части задач оптимизации состава ПОМ посредством удачного выбора их катионов. Отметим также монотонный рост цитотоксичности соединений ПОМ (снижение значений IС50) по мере увеличения количества атомов V, замещающих атомы Мо. Существенно, что этот рост цитотоксичности соединений ПОМ наблюдается не только для ГПКК, как отмечалось ранее в нашей работе [14], но также и для солей. Это указывает, очевидно, на определяющую роль в формировании цитотоксичности ПОМ (с выбранным типом катионов) тех биохимических и биофизических процессов, которые идут с участием анионов. И наконец, как общий вывод, следующий из результатов анализа табл. 1, отметим аддитивный характер изменений цитотоксичности ПОМ-соединений при двух возможных вариантах изменений их элементного состава, т.е. при замещении атомов металла в анионе и замещении атомов водорода в кислоте атомом щелочного металла. Действительно, как можно видеть, значение IC50 оказывается минимальным (7.8 мкМ) для соли Na6PMo9V3O40, которой соответствует наибольшее число атомных замещений (шести атомов водорода и трех атомов молибдена).
Результаты изучения токсичности водных растворов ГПКК и их солей, полученные на подвижных клетках с применением анализатора токсичности АТ-05, приведены в табл. 2. Здесь следует отметить корреляцию токсичности (IC50) на клетках МДСК с показателем цитотоксичности на подвижных клетках (It). В обоих случаях введение в анионы атомов ванадия, как и замещение атомов водорода атомами щелочных металлов, приводит к повышению токсичности. При этом наименее токсичными оказываются соли Na3PMo12O40 и K3PW12O40, для которых значения It попадают в интервал безопасности даже при концентрациях ~15 мкМ. Цитоксичность солей с ванадием, в частности Na5PMo10V2O40 и Na6PMo9V3O40, существенно выше. Только при минимальных концентрациях (~0.05 мкМ) значения It находятся в пределах интервала безопасности, но приближаются к его нижней границе (70%).
Сопоставляя токсичности ПОМ-соединений, установленные в экспериментах in vivo и in vitro, можно заметить не только сходство в зависимостях этих свойств от элементного состава, но и различие. Сходство проявляется в регулярном росте токсичности по мере увеличения числа анионных атомов ванадия. Отличие имеет место для безванадиевых кислот и солей. В экспериментах in vitro токсичность этих солей оказывается выше.
Результаты, полученные при определении токсичности ПОМ на подвижных клетках (табл. 2) и при введении ГПКК и их солей непосредственно в желудок мышам (табл. 3), позволяют отнести все эти соединения к 3 классу опасности (к умеренно опасным веществам по ГОСТу 12.1.007-76).
Противовирусные активности отдельных ПОМ-препаратов, установленные в отношении пандемических штаммов вирусов гриппа А (Н3N2 и Н1N1), приведены в табл. 4. (Приведены лишь результаты, полученные для образцов с наиболее высокими противовирусными свойствами). Анализируя эти результаты, прежде всего, следует подчеркнуть их общие особенности — высокую избирательность всех препаратов и выраженный “ванадиевый” эффект, т.е. рост противовирусной активности при замещении части атомов молибдена атомами ванадия. Существенно, однако, что во всех приведенных случаях противовирусная активность ГПКК и солей проявляется в основном только в снижении ГА. При нетоксичных концентрациях снижение ИА недостаточно велико1).
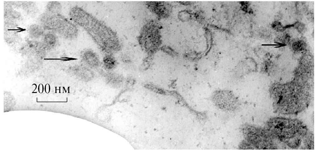
Результаты экспериментов, в которых методом просвечивающей электронной микроскопии изучали морфологические, стимулированные ПОМ-изменения вирусных частиц (ВЧ), приведены на рис. 1–4.
Рис. 1. Визуализация суспензии вируса гриппа А/California/07/09, инкубированной в течение 1 ч в водном растворе H5PMo10V2O40 (100 мкМ): 1 — пустые вирусные оболочки, 2 — интактные ВЧ.
Рис. 2. Контроль клеток МДСК (без применения ПОМ). Срез поверхности клетки MДСK, инфицированной вирусом гриппа A/California/07/09. Стрелками отмечены нормальные ВЧ, почкующиеся с поверхности клетки.
Рис. 3. Срез поверхности клетки МСДК, зараженной вирусом гриппа A/California/07/09, после обработки водным раствором H5PMo10V2O40 (25 мкМ). Стрелкой отмечена группа дефектных ВЧ (без нуклеоида).
Рис. 4. Срез ворсинок на поверхности клетки МДСК после воздействия водного раствора Na5PMo10V2O40 (20 мкМ). Стрелкой отмечены дефектные частицы вируса гриппа A/California/07/09 с частично разрушенными и/или деформированными оболочками.
В суспензии вируса гриппа А, обработанной раствором Н5PMo10V2O40, при негативном контрастировании найдены скопления ВЧ с разрушенной (или полой) оболочкой (рис. 1). В контроле клеток МДСК без добавления ПОМ (рис. 2) спустя 24 ч после заражения вирусом гриппа A/California/07/09 видны только интактные ВЧ, почкующиеся с поверхности клеточной мембраны. В опытных образцах при обработке культуры клеток МДСК ГПКК H5PMo10V2O40 или солью Na5PMo10V2O40 наблюдались примеры скоплений деформированных и дефектных ВЧ, в частности вирусных оболочек без нуклеоида (рис. 3, 4).
Оценивая в целом все результаты, полученные нами методом просвечивающей электронной микроскопии, приходим к выводу о достаточно высокой эффективности процесса разрушения вирусных оболочек солями и кислотами Кеггина как одного из механизмов инактивации вирусов гриппа А при концентрациях ~ IC50.
Обсуждение результатов экспериментов
Обсудим, прежде всего, “катионный” эффект в формировании токсических свойствах ПОМ, который состоит в зависимости IС50 от элементного состава не только анионов, что хорошо известно и широко обсуждается в литературе (см., например, [2–5]), но и катионов, что демонстрируют приведенные выше результаты. Можно аргументировать, что это общий для биохимии ПОМ-эффект, т.е. катионная зависимость может наблюдаться не только в токсических, но и в противовирусных, а также в противораковых свойствах.
Рассмотрим, например, противовирусные свойства гетерополисоединений (ГПС), в частности результаты, приведенные в табл. 4 для кислоты Н4PMo11VO40 и соли Na4PMo11VO40. Заметим, что для этой пары ПОМ, имеющих один и тот же анион, в случае штаммов гриппа A/California/07/09 и A/PR8/34 при двукратном снижении концентрации ГПС наблюдается не снижение, но четырехкратное увеличение противовирусной активности. Это возможно, очевидно, только при условии существенно большей активности четырех атомов водорода кислоты по сравнению с активностью четырех атомов натрия соли. Естественно ожидать, что катионная зависимость биологических свойств ПОМ возможна и в других случаях. Например, в экспериментах in vivo, как это демонстрируют результаты наших экспериментов, примеры которых приведены в табл. 3. Или в экспериментах по изучению противораковых свойств различных ПОМ, поставленных in vivo и in vitro, как это можно установить, сопоставляя результаты работ [15–17], в которых изучались противораковые свойства ПОМ-соединений с разными катионами.
Природа катионного эффекта, который расширяет область поисков соединений ПОМ, перспективных для создания на их основе новых лекарственных препаратов, видимо, до сих пор не изучалась. Можно предположить, что влияние катионов на противовирусные, противораковые и другие биологические свойства ПОМ связано с активацией (или, напротив, инактивацией) катионами ионных каналов липидных мембран [18, 19]. Возможно и влияние фактора электролитической стабильности многозарядных анионов ПОМ, равновесный состав которых в общем случае зависит от концентрации и анионов, и катионов.
Отметим теперь общность вывода о повышении токсичности (опасности), в том числе острой токсичности ПОМ, и их противовирусных и противораковых свойств по мере увеличения количества атомов ванадия, повышающих заряд анионов. Эту зависимость естественно связать с ведущей ролью анионных зарядов в актах образования и разрушения многочисленных комплексов, идущих на различных этапах взаимодействия анионов с белками и липидами, в том числе, с холестерином, процессы истощения которого определяют скорости деструкции и вирусных, и клеточных мембран [20–22]. Процессы разрушения этих структур, как это видно из приведенных выше рисунках, существенны уже при концентрациях порядка IC50.
Отдельного анализа и обсуждения заслуживает интересный факт преобладания (при концентрациях солей IC50) достаточно большого (от 4- до 8-кратного) снижения показателей ГА при малых изменениях ИА (см. табл. 4). Для гриппа А значения ∆lg TCID50 становятся достаточно большими (>2) лишь при высоких концентрациях солей (от 100 мкМ и выше), когда преобладает разрушение не столько вирусов, сколько клеток.
Согласно представлениям, изложенным в работах [20–22], это есть следствие достаточно большого содержания холестерина в вирусных мембранах гриппа А. Эти мембраны формируются из плотных и прочных холестериновых рафтов плазматических мембран. Обратное соотношение возможно для коронавирусов. Мембраны этих вирусов формируются в цитоплазме [23]. Количество холестерина в их мембранах существенно снижено. Деструкция, т.е. интенсивная инактивация, коронавирусов становится возможной уже при низких концентрациях ПОМ. Как следствие, здесь открывается перспектива смены терапевтической мишени для противовирусных ПОМ-препаратов, которые могут быть нацелены не на быстро мутирующие S-белки, но на консервативные липидные мембраны [24–26].
Выводы
Формулируя основные результаты работы, отметим следующие.
Продемонстрирован новый, “катионный”, эффект в токсических и противовирусных свойствах ГПКК и их солей, расширяющий область возможных поисков путей решения задач, связанных с оптимизации состава и строения лекарственных ПОМ-препаратов.
Обоснован практически важный вывод о невысокой токсичности ГПКК и их солей, что позволяет отнести эти соединения к 3-му классу опасности для человека и животных.
Работа поддержана субсидией Министерства образования и науки, выделенной ФИЦ ХФ РАН на выполнение госзадания (тема № 122040500071-0).
1 В соответствии с Рекомендациями Фармакологического комитета РФ противовирусный эффект препарата по показателю ИА в клеточной культуре должен быть не менее 2lg [13].
Авторлар туралы
F. Dalidchik
Semenov Federal Research Center for Chemical Physics, Russian Academy of Sciences
							Хат алмасуға жауапты Автор.
							Email: domfdal@mail.ru
				                					                																			                												                	Ресей, 							Москва						
O. Lopatina
Gamaleya Research Institute of Epidemiology and Microbiology
														Email: domfdal@mail.ru
				                					                																			                												                	Ресей, 							Moscow						
S. Kovalevsky
Semenov Federal Research Center for Chemical Physics, Russian Academy of Sciences
														Email: domfdal@mail.ru
				                					                																			                												                	Ресей, 							Moscow						
E. Isaeva
Gamaleya Research Institute of Epidemiology and Microbiology
														Email: domfdal@mail.ru
				                					                																			                												                	Ресей, 							Moscow						
M. Bidevkina
Erisman Federal Scientific Center of Hygiene, Federal Service for Supervision of Consumer Rights Protection and Human Welfare
														Email: domfdal@mail.ru
				                					                																			                												                	Ресей, 							Mytishchi						
O. Baklanova
Gamaleya Research Institute of Epidemiology and Microbiology
														Email: domfdal@mail.ru
				                					                																			                												                	Ресей, 							Moscow						
E. Gushchina
Gamaleya Research Institute of Epidemiology and Microbiology
														Email: domfdal@mail.ru
				                					                																			                												                	Ресей, 							Moscow						
F. Lisitsyn
Gamaleya Research Institute of Epidemiology and Microbiology
														Email: domfdal@mail.ru
				                					                																			                												                	Ресей, 							Moscow						
E. Balashov
Semenov Federal Research Center for Chemical Physics, Russian Academy of Sciences
														Email: embalashov@yandex.ru
				                					                																			                												                	Ресей, 							Moscow						
M. Mezentseva
Национальный исследовательский центр эпидемиологии и микробиологии им. Н.Ф. Гамалеи
														Email: domfdal@mail.ru
				                					                																			                												                	Ресей, 							Moscow						
T. Pritchina
Gamaleya Research Institute of Epidemiology and Microbiology
														Email: domfdal@mail.ru
				                					                																			                												                	Ресей, 							Moscow						
Әдебиет тізімі
- Catalano A., Iacopetta D., Ceramella J. et al. // Molecules. 2022. V. 27. № 3. P. 616.
- Rhule J.T., Hill C.L., Judd D.A. // Chem. Rev. 1998. V. 98. P. 327l.
- Aureliano M. // BioChem. 2022. V. 2. № 1. P. 8.
- Aureliano M., Gumerova N. I., Sciortino G. et al. // Coord. Chem. Rev. 2022. V. 454. P. 214344.
- Bij elic A., Aureliano M., Rompel A. // Angew. Chem. Intern. Ed. Engl. 2019.V. 58. № 10. P. 2980.
- Soares S.S., Henao F., Aureliano M. et al. // Chem. Res. Toxicol. 2008. V. 21. № 3. P. 607.
- Soares S.S., Gutierrez-Merino C., Aureliano M. // J. Inorg. Biochem. 2007. V. 101. № 5. P. 789.
- Aureliano M., Ohlin C.A. // Ibid. 2014. V. 137. P. 123.
- Khabriev R.U. Guidelines for the experimental (preclinical) study of new pharmacological substances. M.: Medicine, 2005.
- State Standard of the Russian Federation No. 862-st dated December 29, 1999. Evaluation of the biological effect of medical devices. Part 5. Cytotoxicity testing: in vitro methods. Annex A) Mobile cells.
- AT-50 Image Analyzer User Manual. Appendix to the operating manual for BMKI 01.00.00.00 RE.M.ZAO BMK-INVEST, 2009. p.51.
- National standard of the Russian Federation 12.1.007-76 Occupational safety standards system (SSBT). Harmful substances. Classification and general safety requirements (with Amendments № 1, 2).
- Virology: A practical approach. Ed. B. Mahy. Publisher: Oxford University Press, 1985.
- Lopatina O.A., Suetina I.A., Mezentseva M.V. et al. // Russ. J. Phys. Chem. B. 2020. V. 14. № 1. P. 81.
- Yamase T., Fujita H., Fukushima K. // Inorg. Chim. Acta. 1988. V. 151. P. 15.
- Dianat S., Bordbar A.-K., Tangestaninejad S. et al. // J. Inorg. Biochem. 2015. V. 152. P. 74.
- Qi W., Zhang B., Qi Y. et al. // Molecules. 2017. V. 22. № 9. P. 1535.
- Autzen H.E., Myasnikov A.G., Campbell M.G. et al. // Science. 2018. V. 359. № 6372. P. 228.
- Bajimaya S., Frankl T., Hayashi T. et al. // Virology. 2017. V. 510. P. 234.
- Kovalevskiy S.A., Lopatina O.A., Gushchina E.A. et al. // Russ. J. Phys. Chem. B. 2021. V. 15. № 6. P. 1019.
- Dalidchik F.I., Balashov E.M., Baklanova O.V. et al. // Nanobiotechnology Reports. 2022. V. 17. № 2. P. 193.
- Lopatina O.A., Dalidchik F.I., Balashov E.M. et al. // Infectious diseases in the modern world: evolution, current and future threats: Proceedings of the XIV Annual All-Russian Congress on Infectious Diseases named after academician V.I. Pokrovsky // Moscow, March 28–30, 2022. M.: Medical Marketing Agency, 2022. P. 103.
- Chazal N., Gerlier D. // Microbiol. Mol Biol. Rev. 2003. V. 67. № 2. P. 226.
- Savintseva L.A., Avdoshin A.A., Ignatov S.K. // Russ. J. Phys. Chem. B. 2022. V. 16. № 3. P. 445.
- Shishkisha L.N., Kozlov M.V.,. Konstantinova T.V. et al. // Russ. J. Phys. Chem. B. 2023. V. 17. № 1. P. 141.
- Tereshkin E.V., Tereshkina K.B., Loiko N.G. et al. // Russ. J. Phys. Chem. B. 2023. V. 17. № 4. P. 564.
Қосымша файлдар
 
				
			 
						 
					 
						 
						 
						 
									
 
  
  
  Мақаланы E-mail арқылы жіберу
			Мақаланы E-mail арқылы жіберу 




