RNA-binding protein Sam68 effects poly(ADP-ribose) polymerase 1 activity
- Authors: Naumenko K.N.1, Berezhnev E.A.1, Kurgina T.A.1, Sukhanova M.V.1, Lavrik O.I.1
- 
							Affiliations: 
							- Institute of Chemical Biology and Fundamental Medicine, Siberian Branch of the Russian Academy of Sciences
 
- Issue: Vol 89, No 12 (2024)
- Pages: 2045-2057
- Section: Articles
- URL: https://journal-vniispk.ru/0320-9725/article/view/283269
- DOI: https://doi.org/10.31857/S0320972524120023
- EDN: https://elibrary.ru/IFXQEC
- ID: 283269
Cite item
Abstract
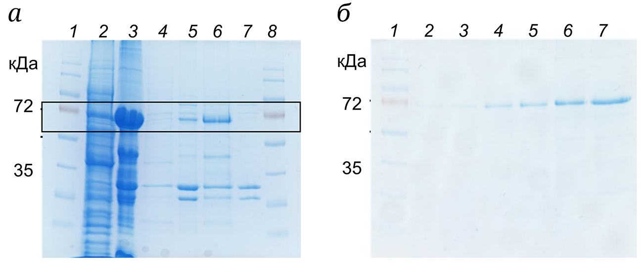
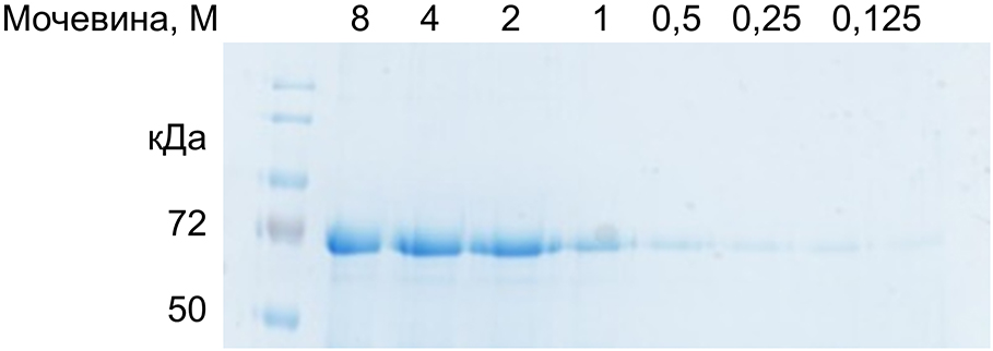
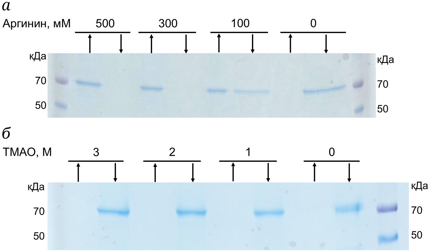
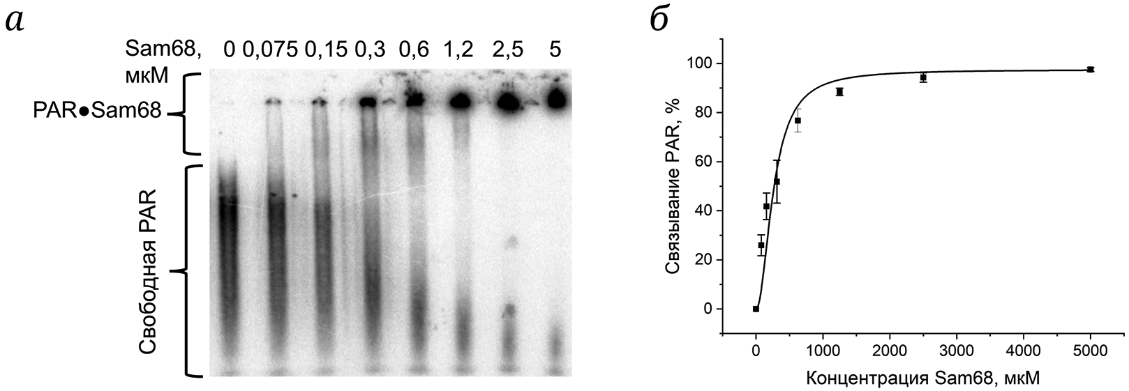
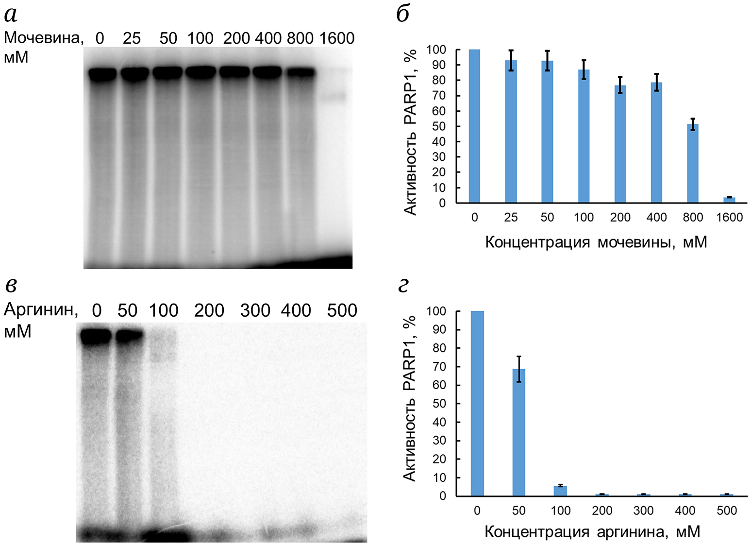
Taking into account the involvement of RNA-binding proteins in the regulation of the activity of poly(ADP-ribose) polymerase 1 (PARP1), a key factor of DNA repair, the effect of the intrinsically disordered protein Sam68 (Src-associated substrate during mitosis of 68 kDa) on the catalytic activity of this enzyme was studied. Plasmid containing the coding sequence of the Sam68 protein was obtained. Using the obtained construct, the conditions for Sam68 expression in Escherichia coli cells were optimized and a procedure for protein purification was developed. It was found that Sam68 is able to regulate the catalytic activity of PARP1, stimulating auto-poly(ADP-ribosyl)ation of PARP1, interacting with damaged DNA and purified poly(ADP-ribose) (PAR). Based on the experimental data, a hypothesis on the mechanism of the PARP1 activity stimulation by the Sam68 protein was proposed, which consists in the formation of a complex of Sam68 with poly(ADP-ribosyl)ated PARP1. Sam68 interacts with PAR, shielding its negative charge, which increases the time of PARP1 in the complex with damaged DNA and the overall yield of PAR synthetized by this enzyme.
Keywords
Full Text
 
												
	                        About the authors
K. N. Naumenko
Institute of Chemical Biology and Fundamental Medicine, Siberian Branch of the Russian Academy of Sciences
														Email: lavrik@niboch.nsc.ru
				                					                																			                												                	Russian Federation, 							630090 Novosibirsk						
E. A. Berezhnev
Institute of Chemical Biology and Fundamental Medicine, Siberian Branch of the Russian Academy of Sciences
														Email: lavrik@niboch.nsc.ru
				                					                																			                												                	Russian Federation, 							630090 Novosibirsk						
T. A. Kurgina
Institute of Chemical Biology and Fundamental Medicine, Siberian Branch of the Russian Academy of Sciences
														Email: lavrik@niboch.nsc.ru
				                					                																			                												                	Russian Federation, 							630090 Novosibirsk						
M. V. Sukhanova
Institute of Chemical Biology and Fundamental Medicine, Siberian Branch of the Russian Academy of Sciences
														Email: lavrik@niboch.nsc.ru
				                					                																			                												                	Russian Federation, 							630090 Novosibirsk						
O. I. Lavrik
Institute of Chemical Biology and Fundamental Medicine, Siberian Branch of the Russian Academy of Sciences
							Author for correspondence.
							Email: lavrik@niboch.nsc.ru
				                					                																			                												                	Russian Federation, 							630090 Novosibirsk						
References
- Vermeij, W. P., Hoeijmakers, J. H., and Pothof, J. (2016) Genome integrity in aging: human syndromes, mouse models, and therapeutic options, Annu. Rev. Pharmacol. Toxicol., 56, 427-445, https://doi.org/10.1146/annurev- pharmtox-010814-124316.
- Althaus, F. R., Kleczkowska, H. E., Malanga, M., Müntener, C. R., Pleschke, J. M., et al. (1999) Poly ADP-ribosylation: a DNA break signal mechanism. Mol. Cell. Biochem., 193, 5-11, https://doi.org/10.1007/978-1-4419-8740-2_1.
- D’Amours, D., Desnoyers, S., D’Silva, I., and Poirier, G. G. (1999) Poly(ADP-ribosyl)ation reactions in the regulation of nuclear functions, Biochem. J., 342 (Pt 2), 249-268, https://doi.org/10.1042/bj3420249.
- Huang, D., and Kraus, W. L. (2022) The expanding universe of PARP1-mediated molecular and therapeutic mechanisms, Mol. Cell, 82, 2315-2334, https://doi.org/10.1016/j.molcel.2022.02.021.
- Alemasova, E. E., and Lavrik, O. I. (2019) Poly(ADP-ribosyl)ation by PARP1: reaction mechanism and regulatory proteins, Nucleic Acids Res., 47, 3811-3827, https://doi.org/10.1093/nar/gkz120.
- Ayyappan, V., Wat, R., Barber, C., Vivelo, C. A., Gauch, K., Visanpattanasin, P., Cook, G., Sazeides, C., and Leung, A. K. L. (2021) ADPriboDB 2.0: an updated database of ADP-ribosylated proteins, Nucleic Acids Res., 49, D261-D265, https://doi.org/10.1093/nar/gkaa941.
- Corley, M., Burns, M. C., and Yeo, G. W. (2020) How RNA-binding proteins interact with RNA: molecules and mechanisms, Mol. Cell, 78, 9-29, https://doi.org/10.1016/j.molcel.2020.03.011.
- Altmeyer, M., Neelsen, K. J., Teloni, F., Pozdnyakova, I., Pellegrino, S., Grøfte, M., Rask, M. D., Streicher, W., Jungmichel, S., Nielsen, M. L., and Lukas, J. (2015) Liquid demixing of intrinsically disordered proteins is seeded by poly(ADP-ribose), Nat. Commun., 6, 8088, https://doi.org/10.1038/ncomms9088.
- Singatulina, A. S., Hamon, L., Sukhanova, M. V., Desforges, B., Joshi, V., Bouhss, A., Lavrik, O. I., and Pastré, D. (2019) PARP-1 activation directs FUS to DNA damage sites to form PARG-reversible compartments enriched in damaged DNA, Cell Rep., 27, 1809-1821.e5, https://doi.org/10.1016/j.celrep.2019.04.031.
- Neelamraju, Y., Hashemikhabir, S., and Janga, S. C. (2015) The human RBPome: from genes and proteins to human disease, J. Proteomics, 127 (Pt A), 61-70, https://doi.org/10.1016/j.jprot.2015.04.031.
- Alemasova, E. E., Naumenko, K. N., Pestryakov, P. E., and Lavrik, O. I. (2017) Production, purification of the recombinant analog of Y-box-binding protein 1 and its interaction with poly(ADP-ribose), RNA, single- and double-stranded DNAs, Biopolym. Cell, 33, 214-220, https://doi.org/10.7124/bc.000954.
- Alemasova, E. E., Naumenko, K. N., Kurgina, T. A., Anarbaev, R. O., and Lavrik, O. I. (2018) The multifunctional protein YB-1 potentiates PARP1 activity and decreases the efficiency of PARP1 inhibitors, Oncotarget, 9, 23349-23365, https://doi.org/10.18632/oncotarget.25158.
- Naumenko, K. N., Sukhanova, M. V., Hamon, L., Kurgina, T. A., Alemasova, E. E., Kutuzov, M. M., Pastré, D., and Lavrik, O. I. (2020) Regulation of poly(ADP-ribose) polymerase 1 activity by Y-box-binding protein 1, Biomolecules, 10, 1325, https://doi.org/10.3390/biom10091325.
- Naumenko, K. N., Sukhanova, M. V., Hamon, L., Kurgina, T. A., Anarbaev, R. O., Mangerich, A., Pastré, D., and Lavrik, O. I. (2022) The C-terminal domain of Y-box binding protein 1 exhibits structure-specific binding to poly(ADP-ribose), which regulates PARP1 activity, Front. Cell. Dev. Biol., 10, 831741, https://doi.org/10.3389/fcell.2022.831741.
- Sun, X., Fu, K., Hodgson, A., Wier, E. M., Wen, M. G., Kamenyeva, O., Xia, X., Koo, L. Y., and Wan, F. (2016) Sam68 is required for DNA damage responses via regulating poly(ADP-ribosyl)ation, PLoS Biol., 14, e1002543, https://doi.org/10.1371/journal.pbio.1002543.
- Gagné, J. P., Pic, E., Isabelle, M., Krietsch, J., Ethier, C., Paquet, E., Kelly, I., Boutin, M., Moon, K. M., Foster, L. J., and Poirier, G. G. (2012) Quantitative proteomics profiling of the poly(ADP-ribose)-related response to genotoxic stress, Nucleic Acids Res., 40, 7788-7805, https://doi.org/10.1093/nar/gks486.
- Studier, F. W. (2005) Protein production by auto-induction in high density shaking cultures, Protein expr. purif., 41, 207-234, https://doi.org/10.1016/j.pep.2005.01.016.
- Laemmli, U. K. (1970) Cleavage of structural proteins during the assembly of the head of bacteriophage T4, Nature, 227, 680-685, https://doi.org/10.1038/227680a0.
- Kurgina, T. A., Anarbaev, R. O., Sukhanova, M. V., and Lavrik, O. I. (2018) A rapid fluorescent method for the real-time measurement of poly(ADP-ribose) polymerase 1 activity, Anal. Biochem., 545, 91-97, https:// doi.org/10.1016/j.ab.2017.12.033.
- Costa, S., Almeida, A., Castro, A., and Domingues, L. (2014) Fusion tags for protein solubility, purification and immunogenicity in Escherichia coli: the novel Fh8 system, Front. Microbiol., 5, 63, https:// doi.org/10.3389/fmicb.2014.00063.
- Lukong, K. E., and Richard, S. (2003) Sam68, the KH domain-containing superSTAR. Biochim. Biophys. Acta, 1653, 73-86, https://doi.org/10.1016/j.bbcan.2003.09.001.
- Duan, Y., Du, A., Gu, J., Duan, G., Wang, C., Gui, X., Ma, Z., Qian, B., Deng, X., Zhang, K., Sun, L., Tian, K., Zhang, Y., Jiang, H., Liu, C., and Fang, Y. (2019) PARylation regulates stress granule dynamics, phase separation, and neurotoxicity of disease-related RNA-binding proteins, Cell Res., 29, 233-247, https://doi.org/10.1038/s41422-019-0141-z.
- Churion, K. A., and Bondos, S. E. (2012) Identifying solubility-promoting buffers for intrinsically disordered proteins prior to purification, Methods Mol. Biol., 896, 415-427, https://doi.org/10.1007/978-1-4614-3704-8_28.
- Shukla, D., and Trout, B. L. (2010) Interaction of arginine with proteins and the mechanism by which it inhibits aggregation, J. Phys. Chem. B, 114, 13426-13438, https://doi.org/10.1021/jp108399g.
- Sarma, R., and Paul, S. (2013) Exploring the molecular mechanism of trimethylamine-N-oxide’s ability to counteract the protein denaturing effects of urea, J. Phys. Chem. B, 117, 5691-5704, https://doi.org/10.1021/jp401750v.
- Mamontova, E. M., Clément, M. J., Sukhanova, M. V., Joshi, V., Bouhss, A., Rengifo-Gonzalez, J. C., Desforges, B., Hamon, L., Lavrik, O. I., and Pastré, D. (2023) FUS RRM regulates poly(ADP-ribose) levels after transcriptional arrest and PARP-1 activation on DNA damage, Cell Rep., 42, 113199, https://doi.org/10.1016/j.celrep.2023.113199.
- Arakawa, J., Uegaki, M., and Ishimizu, T. (2011) Effects of L-arginine on solubilization and purification of plant membrane proteins, Protein Expr. Purif., 80, 91-96, https://doi.org/10.1016/j.pep.2011.05.014.
- Teloni, F., and Altmeyer, M. (2016) Readers of poly(ADP-ribose): designed to be fit for purpose, Nucleic Acids Res., 44, 993-1006, https://doi.org/10.1093/nar/gkv1383.
- Lin, Q., Taylor, S. J., and Shalloway, D. (1997) Specificity and determinants of Sam68 RNA binding. Implications for the biological function of K homology domains, J. Biol. Chem., 272, 27274-27280, https://doi.org/10.1074/jbc.272.43.27274.
- Gibson, T. J., Thompson, J. D., and Heringa, J. (1993) The KH domain occurs in a diverse set of RNA-binding proteins that include the antiterminator NusA and is probably involved in binding to nucleic acid, FEBS Lett., 324, 361-366, https://doi.org/10.1016/0014-5793(93)80152-k.
- Chen, T., Damaj, B. B., Herrera, C., Lasko, P., and Richard, S. (1997) Self-association of the single-KH-domain family members Sam68, GRP33, GLD-1, and Qk1: role of the KH domain, Mol. Cell. Biol., 17, 5707-5718, https://doi.org/10.1128/MCB.17.10.5707.
Supplementary files
 
				
			 
					 
						 
						 
						 
						 
				
 
  
  
  Email this article
			Email this article 
 Open Access
		                                Open Access Access granted
						Access granted









