Features of the formation of a labyrinth structure in thin layers of magnetic fluids in a constant electric field
- Authors: Beketova E.S.1, Mkrtchyan V.D.1, Dikanskii Y.I.1
-
Affiliations:
- North Caucasus Federal University
- Issue: Vol 88, No 10 (2024)
- Pages: 1594-1601
- Section: Microfluidics and ferrohydrodynamics of magnetic colloids
- URL: https://journal-vniispk.ru/0367-6765/article/view/283384
- DOI: https://doi.org/10.31857/S0367676524100142
- EDN: https://elibrary.ru/DSMAFW
- ID: 283384
Cite item
Full Text
Abstract
We presented the results of studies of structural transformations in magnetic fluids when exposed to a constant electric field. The features of the formation of structural lattices in thin layers of colloids in an electric field directed perpendicular to the plane of the layer, as well as under the additional influence of a magnetic field, have been studied. New results were obtained related to the dependence of the threshold (critical) value of the electric field strength corresponding to the formation of a labyrinthine structure on the strength of an additionally applied magnetic field, layer thickness and temperature. The dependences of the formation time of the structure under study on temperature and the strength of an additionally applied magnetic field have been studied. A thermally induced effect of the appearance of a labyrinthine structure in a magnetic colloid in the subcritical region of the operating electric field strength under additional exposure to laser radiation has been discovered.
Full Text
ВВЕДЕНИЕ
Магнитные коллоидные системы, представляющие собой взвесь однодоменных наночастиц ферро- или ферримагнетика в жидкой среде, получившие название магнитные жидкости, являются жидкими средами, способными эффективно взаимодействовать с магнитным полем. Несмотря на их интенсивное исследование в течение более чем полувека [1—3], они до настоящего времени продолжают привлекать внимание исследователей [4—8]. Кроме того, развиваются исследования композиционных систем, созданных на их основе [9, 10]. В соответствии с уникальными магнитными свойствами таких сред, очень большое количество работ в области их исследования посвящено магнитным, магнитогидродинамическим и магнитооптическим эффектам. Вместе с тем, немаловажное значение имеют также исследования эффектов их взаимодействия с электрическим полем. Его воздействие вызывает не только электрофоретические эффекты (что является характерным для коллоидов на водной основе), но и приводит к структурным превращениям в магнитных коллоидах различного типа, в том числе синтезированных и на углеводородных основах. Ранее о возникновении лабиринтной структуры в тонких слоях магнитных коллоидов на основе керосина в постоянном электрическом поле, сообщалось в работе [11]. Исследование этих процессов было продолжено в работах [12, 13], в которых установлен их пороговый характер, изучены зависимости порогового напряжения, соответствующего формированию такой структуры, от толщины слоя, электропроводности магнитного коллоида и дополнительно приложенного магнитного поля. В настоящей работе продолжены исследования в этом направлении, выявлены некоторые особенности зависимости порогового напряжения, соответствующие формированию структурных решеток, от толщины образца и напряженности магнитного поля. Исследованы зависимости времени формирования структурных решеток от напряженностей электрического и магнитного полей и времени растворения этих структур как при одновременном отключении обоих полей, так и по-отдельности каждого из них. Кроме того, обнаружено и исследовано влияние лазерного излучения на процессы формирования структуры. Так же показана возможность и определены условия формирования структурных решеток при использовании в качестве объектов исследования магнитных коллоидов на других основах.
МЕТОДИКА И ТЕХНИКА ЭКСПЕРИМЕНТАЛЬНЫХ ИССЛЕДОВАНИЙ
В качестве основного объекта исследования (образец № 1) был использован образец магнитного коллоида с магнетитовыми однодоменными частицами, дисперсионной средой которого являлся керосин. Стабилизация коллоида осуществлялась за счет адсорбированных на поверхности частиц длинноцепочечных молекул олеиновой кислоты. Объемная концентрация дисперсной фазы в образце составляла 12.3 %. Электрическая проводимость образца γ = 1.2·10−6 См/м и могла изменяться путем добавления в него кристаллического йода или тетрабутиламмония бромида. Диэлектрическая проницаемость составляла ε = 2.7, динамическая вязкость η = 12 мПа·с. Как показано нами в [14] коллоидные частицы в таких коллоидах не имеют заряда. Возможность образования структурных решеток в магнитных жидкостях другого типа показана при использовании магнитных жидкостей на основе вакуумного масла (образец № 2, объемная концентрация магнитной фазы θ = 9.3 %), додекана (образец № 3, θ = 9.8 %), а так же на основе воды (образец № 4, θ = 0.38 %). Так же как и в первом образце, их дисперсной фазой являлся магнетит, стабильность осуществлялась, как и образца № 1 за счет стерического взаимодействия оболочек частиц, образованных адсорбированных на поверхности частиц молекул олеиновой кислоты. Стабилизация образца № 4 осуществлялась за счет электростатического взаимодействия заряженных коллоидных частиц.
Размер твердого керна частиц определялся с помощью просвечивающегося электронного микроскопа FEI Tecnai G2 F20 S-Twin при увеличении х97000. Средний диаметр частиц всех исследованных образцов составлял величину около 10 нм.
Исследование структурных превращений в тонких слоях образцов осуществлялось с помощью установки, подробно описанной в [15]. Ее основной частью являлся оптический микроскоп, на предметном столике которого размещалась ячейка с образцом.
Ячейка состояла из двух прозрачных прямоугольных стеклянных пластинок с токопроводящим покрытием, между которыми в качестве прокладки помещалась полимерная пленка с круглым отверстием посредине, которое заполнялось магнитной жидкостью. Толщина слоя образца регулировалась в пределах от 6 до 36 мкм за счет использования прокладок разной толщины. Ячейка помещалась на предметный столик оптического микроскопа типа Биолам, не содержащего намагничивающихся деталей. Микроскоп был снабжен видеокамерой, сопряженной с компьютером. Однородное электрическое поле, перпендикулярное плоскости слоя образца создавалось путем подачи напряжения на пластины от источника постоянного напряжения типа GW Instek GPR-73060D. Для осуществления дополнительного воздействия магнитным полем, ячейка была снабжена намагничивающей системой (катушками Гельмгольца). Для возможности температурных исследований кювету с исследуемой жидкостью прижимали с помощью механического зажима к термостатирующей системе, которая представляла собой массивный медный параллелепипед, через пазы в толще которого прокачивался тосол с заданной температурой с помощью термостата типа TERMEX M12M—X232B. Дополнительное исследование формирования структурных образований осуществлялось путем наблюдения рассеяния луча лазера. Для этого было использовано два лазера, отличающиеся мощностью излучения (LASOS и Laser 301). Длина волны первого лазера составляла 633 нм, мощность 15 мВт, второго — 532 нм и 500 мВт соответственно.
РЕЗУЛЬТАТЫ ЭКСПЕРИМЕНТАЛЬНЫХ ИССЛЕДОВАНИЙ
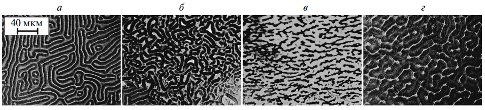
Как показали наблюдения, воздействие постоянного электрического поля приводит при некотором пороговом значении напряженности поля к появлению во всех образцах структурных решеток (рис. 1).
Рис. 1. Структура, сформировавшаяся под воздействием постоянного электрического поля в тонком слое различных образцов: образец № 1 (толщина слоя 20 мкм, напряженность поля 200 кВ/м) (а), образец № 2 (толщина слоя 20 мкм, напряженность поля 495 кВ/м) (б), образец № 3 (толщина слоя 20 мкм, напряженность поля 1 МВ/м) (в), образец № 4 (толщина слоя 40 мкм, напряженность поля 40 кВ/м) (г).
Величина порогового значения напряженности EП, соответствующая появлению структуры, имеет различные значения для исследованных образцов. Так, наибольшее значение оно имеет для образца № 3 — EП = 800 кВ/м, для образца № 2—450 кВ/м, № 1—150 кВ/м и № 4—17.5 кВ/м, соответственно. Как видно из рисунка, наиболее выраженной является структурная решетка, сформировавшаяся в слое образца № 1. В связи с этим он был выбран в качестве основного объекта исследования особенностей формирования структурных решеток в тонких слоях магнитных жидкостей.
Величина EП, зависит от температуры, толщины слоя, проводимости образца, а также от дополнительного воздействия магнитного поля различной ориентации. Так, при повышении электропроводности образца, величина порогового значения напряженности электрического поля уменьшается, к аналогичному результату приводит также повышение температуры [14]. Вместе с тем, оказалось, что зависимость пороговой напряженности электрического поля от напряженности магнитного поля имеет более сложный характер, чем об этом сообщалось в предыдущих работах [12, 13]. В частности, в достаточно слабых магнитных полях (до 0.5 кА/м), направленных перпендикулярно вектору напряженности электрического поля, наблюдалось уменьшение порогового напряжения, тогда как при напряженности магнитного поля более 0.5 кА/м — зависимость EП носит возрастающий характер (рис. 2а). Если же магнитное поле сонаправлено с вектором напряженности электрического поля, то эта зависимость всегда имеет убывающий характер (рис. 2б).
Рис. 2. Зависимость порогового напряжения, соответствующего началу формирования структуры от дополнительного воздействия магнитного поля при различной толщине слоя образца; магнитное поле направлено перпендикулярно вектору напряженности электрического поля (вдоль плоскости слоя) (а); магнитное поле направлено параллельно вектору электрического поля (перпендикулярно плоскости слоя) (б). Кривые 1, 2 и 3 на обоих графиках соответствуют толщинам слоя 6 мкм, 24 мкм и 36 мкм соответственно.
Как оказалось, изменение температуры приводит не только к уменьшению порогового значения напряженности электрического поля, соответствующего формированию лабиринтной структуры, но и оказывает также существенное влияние на характер образующейся в электрическом поле структурной решетки. В качестве примера на рис. 3а представлены фотографии лабиринтной структуры, полученной при различных температурах (толщина слоя 18 мкм, напряженность электрического поля Е = 195 кВ/м). Как видно из рисунка, понижение температуры приводит к укорачиванию рукавов лабиринтов вплоть до стягивании некоторых из них в капельные образования.
Рис. 3. Изменение лабиринтной структуры при понижении температуры образца: 1 — t = 25°С, 2 — t =20°С, 3 — t = 15°С и при дополнительном приложении постоянного магнитного поля, направленного вдоль плоскости слоя (а); 1 — Н = 0 А/м, 2 — Н = 550 А/м, 3 — Н = 1.3 кА/м (б).
Дополнительно приложенное магнитное поле приводит к изменению характера структурной решетки. В качестве примера на рис. 3б показана трансформация структурной решетки лабиринтного типа, полученная в образце № 1 при воздействии электрического поля, в полосовую структуру при дополнительном воздействии однородного магнитного поля, направленного вдоль слоя образца.
Было обнаружено, что время формирования исследуемой структуры также зависит от температуры и напряженности дополнительно приложенного магнитного поля. При этом оказалось, что воздействие магнитного поля, направленного вдоль слоя (перпендикулярно электрическому полю) приводит к увеличению времени формирования структуры (рис. 4а).
Рис. 4. Зависимость времени формирования структуры от напряженности магнитного поля, направленного перпендикулярно вектору электрического поля (а) и параллельно ему (б) при различной толщине слоя образца (1—6 мкм, 2—24 мкм, 3—36 мкм).
Однако, при направлении магнитного поля вдоль электрического (перпендикулярно плоскости слоя) характер зависимости времени формирования структуры от напряженности определяется также и толщиной слоя образца. Так, оказалось, что при толщине слоя превышающим 25 мкм время формирования структуры при воздействии магнитного поля уменьшается, тогда, как при более меньших значения толщины слоя зависимость этого времени от напряженности магнитного поля претерпевает максимум (рис. 4б).
Кроме этого, проведено исследование зависимости времени переформирования лабиринтной структуры в полосовую при дополнительном воздействии магнитного поля от величины его напряженности и напряженности электрического поля. Установлено, что время превращения лабиринтной структуры в полосовую уменьшается при увеличении напряженности магнитного поля. При этом, чем больше напряжение, при котором получена лабиринтная структура, тем медленнее она переформатируется в полосовую структуру. Иллюстрацией этого являются кривые графиков, приведенные на рис. 5.
Рис. 5. Зависимость времени перестройки лабиринтной структуры в полосовую структуру от напряженности магнитного поля при различных значениях напряжения на электродах ячейки: 1—3.4 В, 2—2.8 В, 3—3 В, толщина слоя 20 мкм.
Последующее выключение магнитного поля вновь приводит к лабиринтному формату структурной сетки. Как уже было указано выше, при выключении электрического поля происходит растворение лабиринтной структуры и восстановление однородности образца. Как оказалось, время растворения структуры всегда больше времени ее формирования. В случае полосовой структуры, сформированной воздействием электрического и магнитного поля, при одновременном выключении обоих полей также происходит растворение структурных образований, однако время растворения такой структуры оказывается большим, чем лабиринтной структуры, созданной только электрическим полем. Следует отметить, что при выключении только электрического поля, сформированная полосовая структура также растворяется, несмотря на наличие магнитного поля. При этом, время растворения в этом случае оказывается большим, чем при одновременном выключении обеих полей.
Так, время растворения структуры, созданной электрическим полем, напряженностью Е = 200 кВ/м и магнитным полем, напряженностью Н= 2.7 кА/м при их одновременном выключении составило 103 секунды, тогда как при выключении только одного электрического поля структура растворилась за 123 секунды.
Возникновение и исследования структуры, образующейся при воздействии электрического поля на тонкие слои магнитных коллоидов, возможно при наблюдении рассеяния лазерного луча, направленного перпендикулярно слою. Как показано в [16], при пропускании лазерного луча через слой, содержащий лабиринтную структуру, происходит дифракционное рассеяния света. При этом дифракционная картина, полученная на экране, расположенном на пути луча после его прохождения через слой образца, представляет собой одно или несколько дифракционных колец. При подобных исследованиях полученной нами лабиринтной решетки было обнаружено, что при использовании лазера малой мощности (LASOS) в докритической области напряженностей электрического поля (110 кВ/м) видимой дифракции света не происходит (рис. 6а). Напротив, при прохождении луча более мощного лазера Laser 301 через образец в тех же условиях, на экране, наблюдается дифракционная картина в виде одного или двух колец (рис. 6б). В случае одновременного пропускании лучей обоих лазеров через одну и ту же область слоя, происходит дифракция обоих лучей.
Рис. 6. Картины дифракционного рассеяния лазерного лучей разной мощности, полученные на экране после прохождения ими через тонкий слой магнитного коллоида (образец № 1), подверженный действию электрического поля, напряженность которого не превышает пороговое значение: при использовании маломощного лазера (слева) (а), лазера с большей мощностью (справа) (б), то же, при одновременном пропускании лучей обоих лазеров через одну и ту же область слоя (в, г).
Так как при отсутствии лазерного луча структура в слое отсутствовала (напряжение на ячейке в этом случае меньше критического), то, очевидно, лазерное излучение приводит к снижению критического значения напряжения, соответствующего началу структурирования.
ОБСУЖДЕНИЕ РЕЗУЛЬТАТОВ
Анализ полученных результатов позволяет заключить, что воздействие электрического поля приводит к возникновению в исследованных первоначально однородных магнитных коллоидах новой, более концентрированной фазы, принимающей форму лабиринтных образований.
Следует отметить, что наличие магнитных моментов у частиц магнитных коллоидов приводит к искажению потенциальной кривой их взаимодействию (углублению второй потенциальной ямы). В результате этого возможно образование агрегатов с более плотной упаковкой частиц при расстояниях между частицами, соответствующем второй потенциальной яме.
Подтверждением этого может служить неоднократно наблюдавшееся в магнитных коллоидах образование микрокапельных агрегатов, состоящих из более концентрированной фазы [17—20], при этом оно может быть обратимым [21]. Вместе с тем, сольватные слои из адсорбированных на поверхности частиц длинноцепочечных молекул олеиновой кислоты, могут перекрывать не только первую, но и вторую потенциальную ямы. Это приводит к достаточно хорошей устойчивости таких коллоидов к агрегированию. Можно предположить, что воздействие электрического поля приводит к дополнительному усилению взаимодействия частиц за счет появления у них наведенных электрических моментов. На необходимость такого учета указывалось в [22, 23]. Однако проведенные расчеты энергии взаимодействия наведенных электрических моментов [24] дало значение почти на порядок меньшее энергии магнитодипольного взаимодействия частиц. Вследствие этого учет взаимодействия электрических моментов частиц практически не повлиял на глубину второй потенциальной ямы, соответствующей обратимому агрегированию. Таким образом, причиной появления структуры в магнитных коллоидах при воздействии электрического поля не может быть усиление взаимодействия коллоидных частиц за счет индуцирования в них электрических моментов. Ранее формирование структурных образований в коллоидных системах при развитии электрогидродинамических течений рассматривалось в ряде работ [25—28]. При этом в большинстве из них исследования проводились в коллоидах, частицы которых не имели магнитных моментов. Кроме того, в качестве объектов исследования в основном были использованы коллоиды на водной основе, в которых частицы микронных размеров имели заряд. Образование структуры связывалось с электрокинетическими и гидродинамическими взаимодействиями. В настоящей работе при наблюдении образования структурных решеток в качестве основного образца использовался магнитный коллоид на основе керосина. Стабилизация магнитных жидкостей на углеводородных основах осуществляется за счет отталкивающего действия оболочек из молекул олеиновой кислоты, адсорбированной на поверхности частиц. При этом, согласно [29] изначально они не имеют заряда. Однако, впоследствии было показано, что они не могут его приобретать при воздействии электрического поля [30]. Вместе с тем такие магнитные коллоиды остаются слабо проводящими средами. Как известно, в слабо проводящих неоднородных жидких средах в межэлектродном пространстве характерно развитие электрогидродинамических вихревых течений [31], что также наблюдается в исследованных коллоидах. Именно с ними и можно связать возникновение структурных решеток в тонких слоях таких систем при воздействии постоянного электрического поля. В этом случае сближение частиц происходит за счет вытеснения их из потоков и повышения концентрации в областях с меньшей скоростью среды. Возникновение электроконвекционных течений происходит при достижении некоторой пороговой величины напряженности электрического поля, а их развитие и последующее формирование структуры за некоторое время. Очевидно, этим объясняется наличие порогового значения напряженности поля, соответствующего формированию структуры, а также времени ее формирования. Характер геометрии течений определяется в том числе и межэлектродным расстоянием, с чем, по-видимому и связаны особенности характера архитектуры образующихся структур и конечное время ее формирования. Зависимость порогового значения напряженности поля от воздействия магнитного поля можно связать с его влиянием на процессы образования областей с повышенной концентрацией частиц, из которых впоследствии формируются структурные решетки. Как было указано выше, воздействие магнитного поля на уже сформировавшуюся в электрическом поле лабиринтную структуру приводит к ее трансформации в полосовую решетку за некоторое время. При этом, время трансформации структуры зависит от напряженности как магнитного, так и электрического полей (рис. 4). Очевидно, это связано с конкуренцией действия этих полей, участвующих в формировании структуры. Можно предположить, что магнитные пондеромоторные силы, приводят также к частичному изменению геометрии электрогидродинамических течений за счет изменения формы структурных образований. Особенности формирования структурных решеток в тонких слоях магнитной жидкости на водной основе, возможно, связаны также и с электрофоретическим движением заряженных коллоидных частиц, роль которого рассмотрена в [30—32] при исследовании коллоидов на водной основе с немагнитными частицами.
Исследование процессов формировании структурных решеток в тонких слоях коллоидов возможно при наблюдении дифракционного рассеяния лазерного луча, при пропускании его перпендикулярно слою. Результаты таких наблюдений (рис. 6) позволяют сделать вывод о возможности инициирования формирования лабиринтной структуры в докритической области напряженностей поля за счет лазерного излучения достаточной мощности. Этот эффект связан с тепловым воздействием лазерного луча, приводящем к повышению температуры в месте его падения. Вследствие этого, проводимость среды в этой области слоя увеличивается [32], и, как следствие, приводит к смещению критического значения напряженности поля. При этом, в областях, удаленных от места падения лазерного луча, формирования структуры не происходит, что подтверждается отсутствием дифракции луча лазера малой мощности.
ЗАКЛЮЧЕНИЕ
Таким образом, продолжены исследования структурных превращений в магнитных жидкостях при воздействии на них постоянного электрического поля. Получены новые результаты, связанные с зависимостью порогового напряжения, соответствующего формированию лабиринтной структуры от дополнительного воздействия магнитного поля, толщины слоя и температуры. Сделаны предположения о механизме формирования структурных решеток в тонких слоях коллоидов на углеводородных основах при воздействии однородного электрического поля. В качества его подтверждения исследованы временные зависимости формирования лабиринтной структуры в электриче6ском поле и ее трансформации в полосовую при дополнительном воздействии магнитного поля. При использовании лазерного излучения обнаружен термоиндуцированный эффект возникновения лабиринтной структуры в магнитном коллоиде в постоянном электрическом поле в докритической области его напряженностей. Предложено объяснение его происхождения.
Работа выполнена при поддержке Министерства науки и высшего образования Российской Федерации (проект FSRN-2023-0006).
About the authors
E. S. Beketova
North Caucasus Federal University
Author for correspondence.
Email: tkacheva_es.86@mail.ru
Russian Federation, Stavropol
V. D. Mkrtchyan
North Caucasus Federal University
Email: tkacheva_es.86@mail.ru
Russian Federation, Stavropol
Yu. I. Dikanskii
North Caucasus Federal University
Email: tkacheva_es.86@mail.ru
Russian Federation, Stavropol
References
- Rosensweig R.E. Ferrohydrodynamics. Cambridge: Cambridge University Press, 1985.
- Такетоми С., Тикадзуми С. Магнитные жидкости. М.: Мир, 1993. 272 с.
- Blums E., Cebers A.O., Maiorov M.M. Magnetic fluids. Berlin: Walter de Gruyter, 1997.
- Torres-Díaz I., Rinaldi C. // Soft Matter. 2014. V. 10. Art. No. 8584.
- Zhang X., Sun L., Yu Y, Zhao Y. // Adv. Mater. 2019. V. 31. Art. No. 1903497.
- Shasha C., Krishnan K.M. // Adv. Mater. 2020. V. 33. Art. No. 1904131.
- Гареев К.Г., Непомнящая Э.К. // Изв. РАН. Сер. физ. 2019. Т. 83. № 7. С. 990; Gareev K.G., Nepomnyashchaya E.K. // Bull. Russ. Acad. Sci. Phys. 2019. V. 83. No. 7. P. 904.
- Диканский Ю.И., Куникин С.А. // Изв. РАН. Сер. физ. 2019. T. 83. № 12. С. 1704.
- Белых С.С., Ерин К.В. // Изв. РАН. Сер. физ. 2019. Т. 83. № 7. С. 962. Belykh S.S., Yerin C.V. // Bull. Russ. Acad. Sci. Phys. 2019. V. 83. No. 7. P. 878.
- Ряполов П.А., Соколов Е.А., Шельдешева Е.В. и др. // Изв. РАН. Сер. физ. 2023. Т. 87. № 3. С. 347; Ryapolov P.A., Sokolov E.A., Shel’deshova E.V. et al. // Bull. Russ. Acad. Sci. Phys. 2023. V. 87. No. 3. P. 295.
- Диканский Ю.И., Нечаева О.А. // Коллоид. журн. 2003. Т. 65. № 3. С. 311; Dikanskii Yu.I., Nechaeva O.A. // Colloid J. 2003. V. 65. No. 3. P. 305.
- Диканский Ю.И., Закинян А.Р., Коробов М.И. // Коллоид. журн. 2015. Т. 77. № 1. С. 19; Dikanskii Y.I., Zakinyan A.R., Korobov M.I. // Colloid. J. 2015. V. 77. No. 1. P. 16.
- Ahme A.M., Zakinyan A.R. Waleed S.A. // Chem. Phys. Lett. 2023. V. 817. Art. No. 140413.
- Dikansky Y.I., Drozdov A.S., Eskova I.V. et al. // Magnetochemistry. 2023. V. 9. No. 9. Art. No. 207.
- Бекетова Е.С., Нечаева О.А., Мкртчян В.Д. и др. // Коллоид. журн. 2021. T. 83. № 2. С. 157; Beketova E.S., Nechaeva O.A., Mkrtchyan V.D. et al. // Colloid J. 2021. V. 83. No. 2. P. 189.
- Мкртчян В.Д., Диканский Ю.И. // Коллоид. журн. 2022. T. 84. № 6. С. 715; Mkrtchyan V.D., Dikanskii Yu.I. // Colloid J. 2022. V. 84. No. 6. P. 715.
- Чеканов В.В. // В кн.: Физические свойства магнитных жидкостей. Свердловск: УНЦ АН СССР, 1983. С. 4249.
- Пшеничников А.Ф., Шурубур Ю.И. // Изв. АН СССР. Сер. физ. 1987. Т. 51. № 6. C. 1081.
- Диканский Ю.И., Полихрониди Н.Г., Балабанов К.А. // Магнит. гидродинам. 1988. № 2. С. 87; Dikanskii Yu.I., Polikhronidi N.G., Balabanov K.A. // Magnetohydrodynamics. 1988. V. 24. No. 2. P. 211.
- Буевич Ю.А., Иванов А.О. // Магнит. гидродинам. 1990. № 2. С. 33; Buevich Yu.A., Ivanov A.O. // Magnetohydrodynamics. 1990. V. 26. No. 2. P. 160.
- Балабанов К.А., Диканский Ю.И., Полихрониди Н.Г. // Магнит. гидродинам. 1989. № 1. 117. C. 118; Balabanov K.A., Dikanskii Yu.I., Polikhronidi N.G. // Magnetohydrodynamics. 1989. V. 25. No. 1. P. 106.
- Духин С.С., Экстрела-Льопис В.Р., Жолковский Э. Электроповерхностные явления и электрофильтрование. Киев: Наукова думка, 1985. 285 с.
- Зубарев А.Ю., Искакова Л.Ю. // Коллоид. журн. 2003. Т. 65. № 2. С. 159; Zubarev A.Y., Iskakova L.Y. // Colloid J. 2022.V. 65. No. 2. P. 151
- Диканский Ю.И., Вегера Ж.Г., Закинян Р.Г. и др. // Коллоид. журн. 2005. Т. 67. № 2. С. 327; Dikanskii Y.I., Vegera Z.G., Zakinyan R.G. et al. // Colloid J. 2005. V. 67. No. 2. P. 134.
- Trau M., Sankaran S., Saville D.A. et al. // Langmuir. 1995. V. 11. No. 12. P. 4665.
- Sato S., Sano M. // Langmuir. 2007. V. 23. P. 10984.
- Han Y., Grier D.G. // J. Chem. Phys. 2006. V. 125. P. 144707.
- Han Y., Grier D.G. // J. Chem. Phys. 2012. V. 137. P. 14504.
- Фертман Е.Е. Магнитные жидкости. Минск: Вышейшая школа, 1988. 184 c.
- Жакин А.И., Кузько А.Е., Кузьменко А.П. и др. // Электр. обраб. матер. 2022. Т. 58. № 1. С. 41.
- Стишков Ю.К. Электрофизические процессы в жидкостях при воздействии сильных электрических полей. М.: Юстицинформ, 2019. 262 с.
- Остроумов Г.А. Взаимодействие электрических и гидродинамических полей. М.: Наука, 1979. 320 с.
Supplementary files









