Получение нового варианта растворимого тримера Env ВИЧ-1 СRF63_02A6 SOSIP.664
- Авторы: Рудометова Н.Б.1, Рудометов А.П.1, Фандо А.А.1, Вахитов Д.И.1, Ильичев А.А.1, Агафонов А.П.1, Карпенко Л.И.1
-
Учреждения:
- Государственный научный центр вирусологии и биотехнологии «Вектор»
- Выпуск: Том 101, № 5 (2024)
- Страницы: 641-649
- Раздел: ОРИГИНАЛЬНЫЕ ИССЛЕДОВАНИЯ
- URL: https://journal-vniispk.ru/0372-9311/article/view/276637
- DOI: https://doi.org/10.36233/0372-9311-590
- EDN: https://elibrary.ru/qxiziz
- ID: 276637
Цитировать
Аннотация
Введение. Получение стабилизированных рекомбинантных тримеров Env вируса иммунодефицита человека-1 (ВИЧ-1), близких к нативной конформации, является одним из направлений в разработке вакцин против ВИЧ-1.
Цель работы — получить и охарактеризовать стабилизированный тример Env ВИЧ-1 SOSIP.664 на основе циркулирующего генетического варианта рекомбинантной формы CRF63_02A6.
Материалы и методы. Для дизайна гена тримера Env на основе генетического варианта ВИЧ-1 рекомбинантной формы CRF63_02A6 использовали биоинформатические ресурсы. Спроектированный ген синтезирован и клонирован в составе интеграционного плазмидного вектора, с использованием которого получен стабильный продуцент тримера Env на основе клеточной линии CHO-K1. Очистку белкового комплекса проводили с помощью аффинной хроматографии и гель-фильтрации. Антигенные свойства тримера Env исследовали с помощью иммунохимического анализа с использованием широко нейтрализующих ВИЧ-1 моноклональных антител (bnAbs).
Результаты. Спроектирован новый вариант стабилизированного тримера Env поверхностного гликопротеина рекомбинантной формы CRF63_02A6 ВИЧ-1 SOSIP.664, включающего дополнительные стабилизирующие модификации. На основе клеточной линии CHO-K1 получен продуцент, стабильно продуцирующий спроектированный тример Env, и разработан протокол его очистки. Установлено, что тример Env СRF63_02A6 SOSIP.664 эффективно распознается bnAbs 2G12, VRC01 и PGT126.
Выводы. Полученные результаты свидетельствуют о перспективности дальнейшего изучения структурных особенностей тримера Env СRF63_02A6 SOSIP.664, а также его иммуногенности и возможности использования в качестве вакцинного антигена.
Ключевые слова
Полный текст
Введение
Согласно данным Объединённой программы ООН по ВИЧ/СПИД (ЮНЭЙДС), общее число людей во всём мире, живущих с ВИЧ-1, в 2023 г. составило 39,9 млн человек, а число новых случаев инфицирования ВИЧ — более 1 млн человек1. В России в 2023 г. проживало около 1,2 млн человек с подтверждённым диагнозом «ВИЧ-инфекция»2. Разработка эффективной вакцины для профилактики ВИЧ-инфекции продолжает оставаться одной из острых нерешённых проблем.
Индукция иммунного ответа, способного предотвратить заражение различными подтипами ВИЧ-1, является важнейшей целью для вакцин, которые будут защищать от заражения ВИЧ-1. Известно, что широко нейтрализующие антитела (broadly neutralizing HIV-1 antibodies, bnAbs) могут предотвратить заражение ВИЧ-1 путём связывания с поверхностными гликопротеинами оболочки (envelope glycoprotein, Env) на поверхности вириона [1–4]. Активно ведутся работы по получению нативных комплексов Env для изучения их иммуногенности и определения пригодности в качестве вакцинного антигена [5–8]. За последнее десятилетие был достигнут значительный прогресс в этой области. Так, были разработаны различные модификации, включая SOSIP.664, которые позволили получить стабилизированную структуру рекомбинантных тримеров Env, близкую к нативной конформации, и таким образом повысить их способность индуцировать желаемые ответы NAb против гетерологичных вирусов [6, 9, 10]. Получены варианты стабилизированных тримеров Env генетических подтипов ВИЧ-1 (А, B и С), циркулирующих преимущественно в странах Европы, Америки и Африки, которые показали способность индуцировать нейтрализующие антитела [6, 8, 11].
В регионах Сибири в настоящее время доминирует рекомбинантная форма CRF63_02A6 [12, 13]. По данным M.V. Sivay и соавт., рекомбинантная форма CRF63_02A6 впервые была зарегистрирована в Новосибирской области в 2006 г. [14]. После этого она активно распространилась по другим территориям Сибири (Омск, Алтай, Томск, Красноярск и Кемерово), вытесняя подтип А6 и становясь доминирующим. К 2020 г. CRF63_02A6 был обнаружен в 20 регионах России и 6 странах Центральной Азии. В исследовании авторов показано, что CRF63_02A6 обнаруживаются более чем в 80% новых случаев ВИЧ-1 в Сибири [14].
Целью данной работы являлось получение стабилизированного тримера Env рекомбинантной формы CRF63_02A6 ВИЧ-1 SOSIP.664, включающего дополнительные стабилизирующие модификации.
Материалы и методы
Моноклональные антитела, штаммы бактерий, клеточные линии
Моноклональные антитела PGT126, 2G12, VRC01 получены в рамках программы предоставления реактивов «NIH HIV Reagent Program». Клеточная линия CHO-K1 взята из Коллекции клеточных культур ГНЦ ВБ «Вектор» Роспотребнадзора.
Дизайн стабилизированного тримера Env рекомбинантной формы CRF63_02A6
Дизайн нуклеотидной последовательности, кодирующей тример Env ВИЧ-1, осуществляли на основе гена env 22RUAR13 рекомбинантной формы CRF63_02A6 (Коллекция бактерий, бактериофагов и грибов ГНЦ ВБ «Вектор», регистрационный номер Р-124) с помощью программ «SnapGene v. 3.2.1» и «BioEdit v. 7.2.5». Моделирование проводили с использованием нейросети Alphafold2 colab program3; визуализировали с использованием онлайн-инструмента RCSB PDB website, Mol*Plagin 3.43.1 3D Viewer tool. После проектирования проводили оптимизацию кодонного состава гена для экспрессии в клетках млекопитающих с использованием онлайн-инструмента Codon Adaptation Tool4. Синтез гена был проведён фирмой «ДНК-синтез». Полученный ген клонировали в составе интеграционного плазмидного вектора5. Целостность генетической конструкции подтверждали с помощью секвенирования (ЦКП «Геномика» Институт химической биологии и фундаментальной медицины СО РАН).
Получение стабильного продуцента тримера Env рекомбинантной формы CRF63_02A6 SOSIP.664
Стабильный продуцент тримера Env получали на основе клеточной линии CHO-K1, как описано в работе [15]. После получения поликлонального клеточного пула его использовали для выделения моноклональных клеточных культур. Для этого поликлональную клеточную культуру рассевали в 96-луночный планшет по 1 клетке на лунку в 200 мкл полной ростовой среды DMEM/F12 («Servicebio»), содержащей 10% эмбриональной телячей сыворотки («HiMedia») и антибиотик пуромицин («Invivogen») в концентрации 10 мкг/мл и растили до достижения монослоя в течение 7–14 дней. По истечении этого времени выросшие моноклональные культуры пересевали в 24-луночный планшет. После того как моноклональные клеточные линии сформировали монослой, их анализировали на предмет экспрессии трансгена с помощью дот-блот-анализа.
Затем выбранную моноклональную культуру использовали для наработки белка. Моноклональную культуру клеток CHO-K1-gp140.SOSIP.664.opt культивировали в роллерных флаконах в течение 7 дней, затем культуральную среду собирали и центрифугировали для удаления клеточного дебриса. Проводили процедуру очистки с использованием IMAC Seplife FF («Sunresin»). Степень очистки целевого белка оценивали с помощью электрофореза в полиакриламидном геле (ПААГ) в денатурирующих условиях в присутствии/отсутствие восстанавливающих агентов с последующим окрашиванием Кумасси G250. Фракции, содержащие целевой белок, объединяли и диализовали против буфера (75 мМ NaCl, 10 мМ Tris, pH 8,0); концентрировали с использованием центрифужного концентратора («Jet Biofil») на 100 кДа. После этого аффинно-очищенные белки разделяли методом эксклюзионной хроматографии с использованием колонки «Chrom-LinX 16/1000 Tiderose GF200» («Taidu Biotech») при скорости потока 1 мин/мл.
Дот-блот- и вестерн-блот-анализы
Дот-блот- и вестерн-блот-анализы проводили по стандартной методике с помощью системы «SNAP i.d. 2.0» («Millipore») и bnAb PGT126. В качестве вторичных антител использовали антитела козы против IgG человека, конъюгированные с щелочной фосфатазой («Sigma»). Визуализацию иммунного комплекса проводили добавлением раствора NBT/BCIP («Sigma»).
Иммуноферментный анализ
Иммуноферментный анализ проводили по стандартной методике. В качестве первичных антител использовали bnAbs PGT126, 2G12, VRC01, в качестве вторичных — антитела козы против IgG человека, меченные пероксидазой хрена («Sigma»). В качестве хромогенного субстрата применяли раствор тетраметилбензидина («Имтэк»). Реакцию останавливали 1 Н раствором соляной кислоты. Оптическую плотность измеряли на приборе «Varioskan LUX» («Thermo Scientific») при длине волны 450 нм.
Статистическую обработку данных проводили с использованием программы «GraphPad Prism 9» («GraphPad Software Inc.»).
Результаты
В данной работе для дизайна использовали охарактеризованный ген env 22RUAR13, который относится к актуальной рекомбинантной форме CRF63_02A6 ВИЧ-1, циркулирующей в настоящее время в Сибирском регионе. Для улучшения образования растворимых тримеров конструкция содержала следующие изменения по сравнению с природной последовательностью: природный сигнальный пептид заменяли на сигнальную последовательность tPA (tissue plasminogen activator signal peptide); вводили 2 цистеина для формирования дисульфидной связи gp120-gp41 (501C и 605C); вносили стабилизирующие аминокислотные замены в gp41 (I559P, H66R и A316W); для улучшенной тримеризации вносили аминокислотные замены в gp41 (I535M и Q543N) и комплекс мутаций TD8 (E47D, N49E, V65K, E106T, I165L, G429R и K500R; 432Q); для усиления расщепления мотив REKR в gp120 заменяли на RRRRRR (R6); также удаляли MPER-область, трансмембранный и цитоплазматический домены для лучшей экспрессии проектируемого белка; после аминокислотного остатка 664 на C-конце добавляли 6×His для последующей очистки [6] (рис. 1). Полученный вариант тримера Env рекомбинантной формы CRF63_02A6 обозначили как gp140.SOSIP.664.opt.
Рис. 1. Схема дизайна тримера Env gp140.SOSIP.664.opt.
Fig. 1. Design of the Env trimer gp140.SOSIP.664.opt.
Моделирование пространственной структуры показало, что спроектированная аминокислотная последовательность способна формировать специфические мономеры и тримерные комплексы (рис. 2).
Рис. 2. Пространственная модель мономера (а) и тримера (б) gp140.SOSIP.664.opt.
Fig. 2. Structure model of the monomer (а) and trimer (b) of gp140.SOSIP.664.opt.
Далее путём трансфекции клеточной линии CHO-K1 была получена поликлональная клеточная культура CHO-K1-gp140.SOSIP.664.opt, которую использовали для выделения моноклональных клеточных линий методом предельного разведения. В итоге были получены 24 моноклональные культуры, которые с помощью дот-блот-анализа исследовали на способность продуцировать целевой белок в культуральную среду. В результате была определена моноклональная культура (№ 11) с высокой экспрессией трансгена (рис. 3), которую использовали для дальнейшей работы.
Рис. 3. Дот-блот-анализ культуральной среды, собранной с моноклональных клеточных культур CHO-K1-gp140.SOSIP.664.opt.
В качестве К+ использован рекомбинантный тример Env CRF63_02A6, в качестве К– — культуральная среда, собранная с нетрансформированных клеток CHO-K1.
Fig. 3. Dot blot analysis of the culture medium collected from monoclonal cell cultures CHO-K1-gp140.SOSIP.664.opt.
Recombinant Env trimer CRF63_02A6 was used as K+, and culture medium collected from non-transformed CHO-K1 cells was used as K–.
Для препаративной наработки целевого белка проводили культивирование моноклональной клеточной культуры CHO-K1-gp140.SOSIP.664.opt в роллерных бутылях с последующей очисткой рекомбинантного тримера Env. По окончании культивирования культуральную среду собирали, и целевой белок очищали с помощью металл-хелатной аффинной хроматографии, диализа и последующей гель-фильтрации. Продукция белка составила около 15 мг/л.
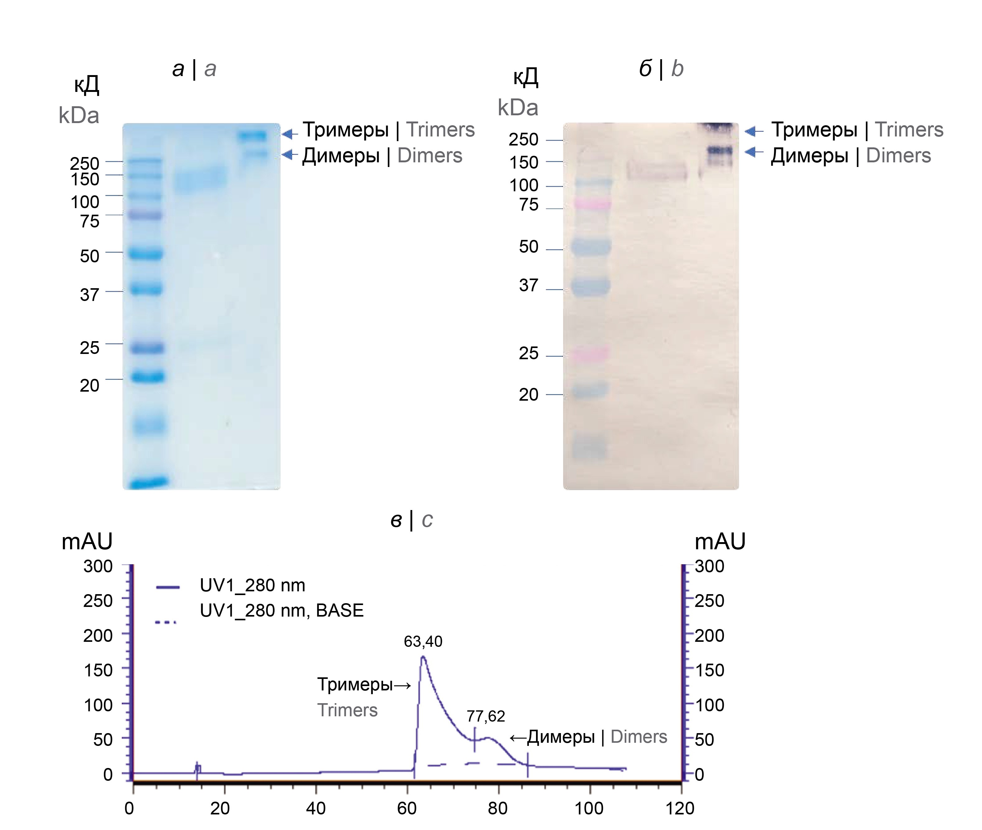
Препарат очищенного белка Env характеризовали с помощью электрофореза в ПААГ в присутствии или в отсутствие β-меркаптоэтанола. Исходя из аминокислотной последовательности рекомбинантного Env CRF63_02A6 (683 а. о.), теоретически рассчитанная молекулярная масса мономера должна составлять 76,8 кДа. Однако известно, что в эукариотических клетках белок Env ВИЧ-1 сильно гликозилируется и около 50% его молекулярной массы могут составлять гликаны [16, 17], в результате масса мономера увеличивается до 140 кДа. В культуре эукариотических клеток гликозилирование белка Env может быть неполным, и могут быть промежуточные продуты гликозилирования. По этой причине в случае электрофореза в денатурирующих условиях (в присутствии β-меркаптоэтанола) наблюдаются 2 бэнда в ПААГ (рис. 4, а), различающиеся примерно на 10–20 кДа, которые представляют собой мономеры рекомбинантного тримера Еnv с разной степенью гликозилирования. Оба они узнаются моноклональным антителом PGT126 (рис. 4, б).
Рис. 4. Характеристика тримера Env gp140.SOSIP.664.opt.
а — электрофореграмма разделения рекомбинантного тримера Env в 12% ПААГ: 1 — маркер молекулярного веса белков Precision Plus Dual Color Standards («Bio-Rad»); 2 — в присутствии β-меркаптоэтанола; 3 — в отсутствие β-меркаптоэтанола; б — иммуноблоттинг тримера Env с моноклональным антителом PGT126: 1 — маркер молекулярного веса белков Precision Plus Dual Color Standards («Bio-Rad»); 2 — в присутствии β-меркаптоэтанола; 3 — в отсутствие β-меркаптоэтанола; в — профиль эксклюзионной хроматографии тримера Env на колонке «Chrom-LinXTM 16/1000 Tiderose GF200».
Fig. 4. Characterization of the Env protein.
a — electropherogram of separation of recombinant Env trimer gp140.SOSIP.664.opt in 12% PAGE: 1 — molecular weight marker of proteins Precision Plus Dual Color Standards (Bio-Rad, USA); 2 — in the presence of β-mercaptoethanol; 3 — in the absence of β-mercaptoethanol. b — immunoblotting of Env trimer gp140.SOSIP.664.opt with monoclonal antibody PGT126: 1 — molecular weight marker of proteins Precision Plus Dual Color Standards (Bio-Rad, USA); 2 — in the presence of β-mercaptoethanol; 3 — in the absence of β-mercaptoethanol; c — profile of size-exclusion chromatography of Env trimer gp140.SOSIP.664.opt on a Chrom-LinXTM 16/1000 Tiderose GF200 column.
В отсутствие β-меркаптоэтанола (рис. 4, а, дорожка 3) в ПААГ мономерные формы белка отсутствуют, а детектируются олигомеры более высокого порядка (более 250 кДа).
С помощью гель-фильтрации на предварительно откалиброванной колонке Chrom-LinX 16/1000 Tiderose GF200 («Taidu Biotech») установлено, что основной пик целевого белка выходит в области, соответствующей тримерной форме (рис. 4, в).
Для изучения антигенных свойств тримера Env проведён иммуноферментный анализ с использованием bnAbs 2G12, VRC01 и PGT126, нацеленных на эпитоп, включающий углеводные остатки в позициях 295, 332 и 392, CD4-связывающий сайт и V3-петлю на поверхности gp120 соответственно. Установлено, что полученный тример Env gp140.SOSIP.664.opt эффективно распознается моноклональными широко нейтрализующими антителами (рис. 5), что может свидетельствовать о правильной укладке и сохранении конформации синтезируемого в клетках-продуцентах тримера Env. Значения EC50 для bnAbs 2G12, VRC01 и PGT126 составили 0,313, 0,098 и 0,019 мкг/мл соответственно (таблица).
Рис. 5. Специфическая активность моноклональных широко нейтрализующих антител в отношении тримера Env рекомбинантной формы CRF63_02A6 gp140.SOSIP.664.opt (представлена в виде тепловой карты). Количество сорбированного антигена составляло 100 нг/лунка.
Fig. 5. Specific activity of monoclonal broadly neutralizing antibodies against Env trimer of the recombinant form CRF63_02A6 gp140.SOSIP.664.opt (presented as a heat map). The amount of absorbed antigen was 100 ng/well.
Значения EC50 (мкг/мл), вычисленные для gp140.SOSIP.664.opt, в сравнении с данными литературы
EC50 values (μg/mL) calculated for gp140.SOSIP.664.opt compared with literature data
bnAbs | gp140.SOSIP.664.opt (CRF63_02A6) | BG505 (А) | JR-FL (B) | B41 (B) |
PGT126 | 0,019 | Н. д. | N. d. | Н. д. | N. d. | |
2G12 | 0,313 | 0,21 [19] | 0,13 [19] | |
VRC01 | 0,098 | 0,67 [19] | 5,20 [19] |
Примечание. Н. д. — нет данных.
Note. N. d. — no data.
Обсуждение
В мире активно исследуются тримеры Env различных подтипов ВИЧ-1 с точки зрения как структурных и антигенных особенностей, так и иммуногенных свойств [6–8, 11]. Так, с помощью биохимических и структурных подходов подробно были охарактеризованы нативные тримеры Env клад A, B, C и G [20–26], а также тримеры Env на основе консенсусной последовательности клады C [27] и группы М [6] соответственно.
Преимущественно исследования сосредоточены на подтипах A, B и C, при этом практически отсутствуют данные по различным CRF [28], в частности рекомбинантной форме CRF63_02A6, которая быстро распространяется в регионах России и в настоящее время доминирует в Сибирском федеральном округе [12–14].
Ранее нами получен тример Env рекомбинантной формы CRF63_02A6 ВИЧ-1, при проектировании которого также использовали нуклеотидную последовательность гена env рекомбинантной формы CRF63_02A6 ВИЧ-1 и известные модификации SOSIP.664 [29]: межмолекулярная дисульфидная связь (SOS, A501C-T605C) для связывания gp120 и gp41; улучшенный сайт (RRRRRR) расщепления фурином; точечная замена I559P, способствующая стабилизации субъединиц gp41 в конформации до слияния; удаление MPER-области, трансмембранного и цитоплазматического доменов для лучшей экспрессии; добавление 6×His на C-конце для последующей очистки; сигнальный пептид оставляли природный. С помощью иммунохимических анализов показано, что синтезируемые в клетках CHO-K1 тримеры распознаются как моноклональными широко нейтрализующими антителами, так и сыворотками ВИЧ-положительных пациентов [15].
Позже были получены кристаллические структуры BG505 SOSIP высокого разрешения, которые позволили идентифицировать дополнительные положения аминокислотных остатков, участвующие в стабилизации тримера и способствующие формированию хорошо упорядоченных, однородных и высокостабильных растворимых тримеров [6, 30]. Полученные с учётом этих данных модифицированные тримеры Env BG505 SOSIP.664-140 продемонстрировали способность индуцировать специфический гуморальный иммунный ответ у лабораторных животных. Было показано, что такой комплекс SOSIP.664-140 активно узнается нейтрализующими моноклональными антителами и, напротив, с ним не связываются ненейтрализующие антитела [18].
В данной работе с использованием биоинформатических ресурсов проведён дизайн тримера Env gp140.SOSIP.664.opt рекомбинантной формы CRF63_02A6, в структуру которого, наряду с дисульфидной связью SOS (A501C-T605C) и аминокислотной заменой I559P, были введены дополнительные аминокислотные замены и комплекс мутаций TD8 в gp120, приводящие к дополнительной стабилизации белкового комплекса [6]. В результате получен оптимизированный стабилизированный тример Env CRF63_02A6 ВИЧ-1. Компьютерное моделирование с помощью «Alphafold2» показало, что спроектированная аминокислотная последовательность способна сворачиваться в мономеры и тримерные комплексы (рис. 1, б).
С помощью электрофореза в ПААГ и вестерн-блот-анализа установлено, что в присутствии β-меркаптоэтанола очищенный тример Env CRF63_02A6 ВИЧ-1 денатурирует до мономера (молекулярная масса ~140 кДа; рис. 4, а), который специфически распознаётся bnAb PGT126 (рис. 4, б). В отсутствие β-меркаптоэтанола фракция мономера отсутствует, что свидетельствует о стремлении белка собираться в более крупные структуры (рис. 4, а). С помощью гель-фильтрации выявлено, что белок в растворе находится преимущественно в тримерной форме (рис. 4, в).
При культивировании клеток CHO-K1-gp140.SOSIP.664.opt тример Env регистрировался в культуральной среде, что свидетельствует о его растворимости. Тот факт, что полученный тример Env эффективно узнаётся моноклональными широко нейтрализующими антителами bnAbs 2G12, VRC01 и PGT126 (рис. 5), распознающими конформационные эпитопы на поверхности Env в составе вирусной частицы, свидетельствует о его правильной укладке и сохранении конформации. Следует отметить, что значения EC50, полученные для gp140.SOSIP.664.opt тримера Env, отличаются от EC50 для тримеров Env других подтипов ВИЧ-1 (таблица). Это может свидетельствовать о наличии антигенных различий вышеуказанных штаммов ВИЧ-1.
Заключение
Создан и охарактеризован оптимизированный стабилизированный тример Env ВИЧ-1 gp140.SOSIP.664.opt на основе актуального циркулирующего генетического варианта рекомбинантной формы CRF63_02A6. Полученные данные свидетельствуют о перспективности дальнейшего изучения его структурных особенностей, иммуногенности и возможности использования в качестве вакцинного антигена.
1 Информационный бюллетень ЮНЭЙДС 2024. Глобальная статистика по ВИЧ. URL: https://www.unaids.org/sites/default/files/media_asset/UNAIDS_FactSheet_ru.pdf (дата обращения: 28.09.2024).
2 ВИЧ-инфекция в Российской Федерации на 30 июня 2023 г. URL: https://files.antispidnn.ru/uploads/docs/spec/vich2023.pdf (дата обращения: 18.09.2024).
3 URL: https://colab.research.google.com/github/sokrypton/ColabFold/blob/main/AlphaFold2.ipynb
4 URL: https://www.jcat.de
5 Патент № 2800471 Российская Федерация, МПК C12N15/00 (2006.01), C07K16/10 (2006.01), C12N1/00 (2006.01), C12N15/63 (2006.01). Плазмидная генетическая конструкция pVEAL3-10H10ch, штамм рекомбинантной клеточной линии CHO-K1-10H10ch и химерное антитело 10H10ch против вируса клещевого энцефалита, продуцируемое указанным штаммом клеточной линии CHO-K1-10H10ch : 2022126714 : заявл. 13.10.2022: опубл. 21.07.2023 / Шаньшин Д.В., Несмеянова В.С., Щербаков Д.Н. и др. URL: https://patents.google.com/patent/RU2800471C1/ru (дата обращения: 18.09.2024).
Об авторах
Надежда Борисовна Рудометова
Государственный научный центр вирусологии и биотехнологии «Вектор»
Автор, ответственный за переписку.
Email: nadenkaand100@mail.ru
ORCID iD: 0000-0002-1684-9071
к. б. н., с. н. с. отдела биоинженерии
Россия, р.п. КольцовоАндрей Павлович Рудометов
Государственный научный центр вирусологии и биотехнологии «Вектор»
Email: nadenkaand100@mail.ru
ORCID iD: 0000-0003-2808-4309
к. б. н., в. н. с. отдела биоинженерии
Россия, р.п. КольцовоАнастасия Алексеевна Фандо
Государственный научный центр вирусологии и биотехнологии «Вектор»
Email: nadenkaand100@mail.ru
ORCID iD: 0000-0002-3325-3325
стажер-исследователь отдела биоинженерии
Россия, р.п. КольцовоДанил Игоревич Вахитов
Государственный научный центр вирусологии и биотехнологии «Вектор»
Email: nadenkaand100@mail.ru
ORCID iD: 0009-0008-0706-8119
аспирант, стажер-исследователь отдела биоинженерии
Россия, р.п. КольцовоАлександр Александрович Ильичев
Государственный научный центр вирусологии и биотехнологии «Вектор»
Email: nadenkaand100@mail.ru
ORCID iD: 0000-0001-5356-0843
д. б. н., профессор, зав. отделом биоинженерии
Россия, р.п. КольцовоАлександр Петрович Агафонов
Государственный научный центр вирусологии и биотехнологии «Вектор»
Email: nadenkaand100@mail.ru
ORCID iD: 0000-0003-2577-0434
д. б. н., генеральный директор ГНЦ ВБ «Вектор»
Россия, р.п. КольцовоЛариса Ивановна Карпенко
Государственный научный центр вирусологии и биотехнологии «Вектор»
Email: nadenkaand100@mail.ru
ORCID iD: 0000-0003-4365-8809
д. б. н., в. н. с. отдела биоинженерии
Россия, р.п. КольцовоСписок литературы
- Jones L.D., Moody M.A., Thompson A.B. Innovations in HIV-1 vaccine design. Clin. Ther. 2020;42(3):499–514. DOI: https://doi.org/10.1016/j.clinthera.2020.01.009
- Kumar S., Singh S., Luthra K. An overview of human anti-HIV-1 neutralizing antibodies against diverse epitopes of HIV-1. ACS Omega. 2023;8(8):7252–61. DOI: https://doi.org/10.1021/acsomega.2c07933
- Thavarajah J.J., Hønge B.L., Wejse C.M. The use of broadly neutralizing antibodies (bNAbs) in HIV-1 treatment and prevention. Viruses. 2024;16(6):911. DOI: https://doi.org/10.3390/v16060911
- Caskey M. Broadly neutralizing antibodies for the treatment and prevention of HIV infection. Curr. Opin. HIV AIDS. 2020;15(1):49–55. DOI: https://doi.org/10.1097/COH.0000000000000600
- Vzorov A.N., Wang L., Chen J., at al. Effects of modification of the HIV-1 Env cytoplasmic tail on immunogenicity of VLP vaccines. Virology. 2016;489:141–50. DOI: https://doi.org/10.1016/j.virol.2015.09.015
- Sliepen K., Han B., Bontjer I., et al. Structure and immunogenicity of a stabilized HIV-1 envelope trimer based on a group-M consensus sequence. Nat. Commun. 2019;10(1):2355. DOI: https://doi.org/10.1038/s41467-019-10262-5
- Olia A.S., Cheng C., Zhou T., et al. Soluble prefusion-closed HIV-envelope trimers with glycan-covered bases. iScience. 2023;26(8):107403. DOI: https://doi.org/10.1016/j.isci.2023.107403
- Zhao F., Joyce C., Burns A., et al. Mapping neutralizing antibody epitope specificities to an HIV Env trimer in immunized and in infected rhesus macaques. Cell Rep. 2020;32(10):108122. DOI: https://doi.org/10.1016/j.celrep.2020.108122
- Sanders R.W., Moore J.P. Native-like Env trimers as a platform for HIV-1 vaccine design. Immunol. Rev. 2017;275(1):161–82. DOI: https://doi.org/10.1111/imr.12481
- Torrents de la Peña A., Sanders R.W. Stabilizing HIV-1 envelope glycoprotein trimers to induce neutralizing antibodies. Retrovirology. 2018;15(1):63. DOI: https://doi.org/10.1186/s12977-018-0445-y
- Schorcht A., van den Kerkhof T.L.G.M., Cottrell C.A., et al. Neutralizing antibody responses induced by HIV-1 envelope glycoprotein SOSIP trimers derived from elite neutralizers. J. Virol. 2020;94(24):e01214-20. DOI: https://doi.org/10.1128/jvi.01214-20.
- Maksimenko L.V., Totmenin A.V., Gashnikova M.P., et al. Genetic diversity of HIV-1 in Krasnoyarsk Krai: Area with high levels of HIV-1 recombination in Russia. Biomed. Res. Int. 2020; 2020:9057541. DOI: https://doi.org/10.1155/2020/9057541
- Rudometova N.B., Shcherbakova N.S., Shcherbakov D.N., et al. Genetic diversity and drug resistance mutations in reverse transcriptase and protease genes of HIV-1 isolates from Southwestern Siberia. AIDS Res. Hum. Retroviruses. 2021;37(9):716–23. DOI: https://doi.org/10.1089/AID.2020.0225
- Sivay M.V., Maksimenko L.V., Osipova I.P., et al. Spatiotemporal dynamics of HIV-1 CRF63_02A6 sub-epidemic. Front. Microbiol. 2022;13:946787. DOI: https://doi.org/10.3389/fmicb.2022.946787
- Rudometova N.B., Rudometov A.P., Fando A.A., et al. Production and study of immunochemical properties of stabilized Env trimer of recombinant form CRF63_02A6 of HIV-1. Bull. Exp. Biol. Med. 2023;176(1):96–100. DOI: https://doi.org/10.1007/s10517-023-05978-w
- Rathore U., Saha P., Kesavardhana S., et al. Glycosylation of the core of the HIV-1 envelope subunit protein gp120 is not required for native trimer formation or viral infectivity. J. Biol. Chem. 2017;292(24):10197–219. DOI: https://doi.org/10.1074/jbc.M117.788919
- Wang W., Nie J., Prochnow C., et al. A systematic study of the N-glycosylation sites of HIV-1 envelope protein on infectivity and antibody-mediated neutralization. Retrovirology. 2013;10:14. DOI: https://doi.org/doi.org/10.1186/1742-4690-10-14
- Sanders R.W., Derking R., Cupo A., et al. A next-generation cleaved, soluble HIV-1 Env trimer, BG505 SOSIP.664 gp140, expresses multiple epitopes for broadly neutralizing but not non-neutralizing antibodies. PLoS Pathog. 2013;9(9):e1003618. DOI: https://doi.org/10.1371/journal.ppat.1003618
- Cao L., Pauthner M., Andrabi R., et al. Differential processing of HIV envelope glycans on the virus and soluble recombinant trimer. Nat. Commun. 2018;9(1):3693. DOI: https://doi.org/10.1038/s41467-018-06121-4
- Julien J.P., Cupo A., Sok D., et al. Crystal structure of a soluble cleaved HIV-1 envelope trimer. Science. 2013;342(6165):1477–83. DOI: https://doi.org/10.1126/science.1245625
- Lyumkis D., Julien J.P., de Val N., et al. Cryo-EM structure of a fully glycosylated soluble cleaved HIV-1 envelope trimer. Science. 2013;342(6165):1484–90. DOI: https://doi.org/10.1126/science.1245627
- Pancera M., Zhou T., Druz A., et al. Structure and immune recognition of trimeric pre-fusion HIV-1 Env. Nature. 2014; 514(7523):455–61. DOI: https://doi.org/10.1038/nature13808.
- Garces F., Lee J.H., de Val N., et al. Affinity maturation of a potent family of HIV antibodies is primarily focused on accommodating or avoiding glycans. Immunity. 2015;43(6):1053–63. DOI: https://doi.org/10.1016/j.immuni.2015.11.007
- Lee J.H., Ozorowski G., Ward A.B. Cryo-EM structure of a native, fully glycosylated, cleaved HIV-1 envelope trimer. Science. 2016;351(6277):1043–8. DOI: https://doi.org/10.1126/science.aad2450
- Stewart-Jones G.B.E., Soto C., Lemmin T., et al. Trimeric HIV-1-Env structures define glycan shields from clades A, B, and G. Cell. 2016;165(4):813–26. DOI: https://doi.org/10.1016/j.cell.2016.04.010
- Guenaga J., Garces F., de Val N., et al. Glycine substitution at helix-to-coil transitions facilitates the structural determination of a stabilized subtype C HIV envelope glycoprotein Immunity. 2017;46(5):792–803. DOI: https://doi.org/10.1016/j.immuni.2017.04.014
- Rutten L., Lai Y.T., Blokland S., et al. A universal approach to optimize the folding and stability of prefusion-closed HIV-1 envelope trimers. Cell Rep. 2018;23(2):584–95. DOI: https://doi.org/10.1016/j.celrep.2018.03.061
- Niu J., Wang Q., Zhao W., et al. Structures and immune recognition of Env trimers from two Asia prevalent HIV-1 CRFs. Nat. Commun. 2023;14(1):4676. DOI: https://doi.org/10.1038/s41467-023-40321-x
- Pugach P., Ozorowski G., Cupo A., et al. A native-like SOSIP.664 trimer based on an HIV-1 subtype B env gene. J. Virol. 2015; 89(6):3380–95. DOI: https://doi.org/10.1128/JVI.03473-14
- Guenaga J., Dubrovskaya V., de Val N., et al. Structure-guided redesign increases the propensity of HIV Env to generate highly stable soluble trimers. J. Virol. 2015;90(6):2806–17. DOI: https://doi.org/10.1128/JVI.02652-15
Дополнительные файлы







