Гуморальный иммунитет к адгезинам и токсинам возбудителя коклюша у мышей, иммунизированных экспериментальными бесклеточными коклюшными вакцинами из биоплёночной и планктонной культур Bordetella pertussis
- Авторы: Зайцев Е.М.1, Брицина М.В.1, Озерецковская М.Н.1, Зайцев А.Е.1
-
Учреждения:
- Научно-исследовательский институт вакцин и сывороток имени И.И. Мечникова
- Выпуск: Том 102, № 2 (2025)
- Страницы: 162-167
- Раздел: ОРИГИНАЛЬНЫЕ ИССЛЕДОВАНИЯ
- URL: https://journal-vniispk.ru/0372-9311/article/view/310813
- DOI: https://doi.org/10.36233/0372-9311-631
- EDN: https://elibrary.ru/NQSAYY
- ID: 310813
Цитировать
Аннотация
Введение. Коклюш остаётся актуальной проблемой здравоохранения во всём мире, в том числе в странах с высоким уровнем вакцинации, где начиная с 1990-х гг. отмечается рост заболеваемости коклюшем, увеличение тяжести течения заболевания и летальности. В этой ситуации требуется создание нового поколения бесклеточных коклюшных вакцин (БКВ), способных более эффективно влиять на колонизацию, персистенцию и передачу Bordetella pertussis. Одним из возможных направлений совершенствования вакцинопрофилактики коклюшной инфекции является создание БКВ на основе протективных антигенов, выделенных из биоплёночных культур B. pertussis.
Цель работы — исследование уровня IgG-антител к антигенам возбудителя коклюша: адгезинам — филаментозному гемагглютинину (ФГА), пертактину (ПРН) и токсинам — коклюшному токсину (КТ), липополисахариду (ЛПС) у мышей, иммунизированных экспериментальными БКВ на основе антигенных комплексов, выделенных из биоплёночных и планктонных культур B. pertussis.
Материалы и методы. В опытах использовали экспериментальные БКВ на основе антигенных комплексов, выделенных из среды культивирования биоплёночной (БКВ-Б) и планктонной (БКВ-П) культур штамма B. pertussis № 317 (серовар 1.2.3). Титры IgG-антител к КТ, ФГА, ПРН и ЛПС в сыворотках крови мышей, иммунизированных БКВ-Б и БКВ-П, определяли в иммуноферментном анализе.
Результаты. Титры IgG-антител к адгезинам (ФГА и ПРН) в группе БКВ-Б были выше в 8 и 4 раза соответственно по сравнению с БКВ-П, при отсутствии значимых различий по титрам IgG-антител к КТ и ЛПС.
Заключение. Более высокая, по сравнению с БКВ-П, способность БКВ-Б индуцировать иммунный ответ к адгезинам B. pertussis при отсутствии существенных различий между ними в стимуляции IgG-антител к токсинам, указывает на преимущество использования антигенных комплексов из биоплёночных культур для создания БКВ нового типа.
Полный текст
Введение
Коклюш остаётся актуальной проблемой здравоохранения во всём мире, в том числе в странах с высоким уровнем вакцинации, где начиная с 1990-х гг. отмечается рост заболеваемости коклюшем, увеличение тяжести течения заболевания и летальности, в том числе среди привитых детей, подростков, взрослых [1, 2]. Продолжающуюся циркуляцию вирулентных штаммов Bordetella pertussis среди населения связывают с переходом от цельноклеточных вакцин к бесклеточным коклюшным вакцинам (БКВ). БКВ обеспечивают защиту привитых от тяжёлых форм коклюша, однако протективный иммунитет быстро снижается и не предотвращает колонизацию респираторного тракта и передачу возбудителя, стёртых форм заболевания и бессимптомного носительства. Известные в настоящее время БКВ содержат от 1 до 5 антигенов, полученных из планктонных культур B. pertussis: коклюшный токсин (КТ) и адгезины: филаментозный гемагглютинин (ФГА), пертактин (ПРН), антигены фимбрий Fim2 и Fim3. В качестве одной из вероятных причин низкой эффективности известных БКВ является их неспособность влиять на формирование биоплёночных форм B. pertussis в респираторном тракте [3]. Образование биоплёнок штаммами B. pertussis в респираторном тракте играет важную роль в патогенезе коклюшной инфекции, повышая вирулентность и персистенцию B. pertussis. Биоплёнки B. pertussis отличаются от планктонных культур изменённым спектром экспрессии генов и уровнем продукции целого ряда белков, в том числе адгезинов и токсинов. В связи с этим вакцинные препараты из антигенов биоплёночных и планктонных культур могут различаться по иммуногенной активности [4].
В этой ситуации требуется создание нового поколения БКВ, способных более эффективно влиять на колонизацию, персистенцию и передачу B. pertussis. Одним из возможных направлений совершенствования вакцинопрофилактики коклюшной инфекции является создание БКВ на основе протективных антигенов, выделенных из биоплёночных культур B. pertussis [5–8].
Ранее нами было показано, что протективная активность БКВ из биоплёночной культуры (БКВ-Б) была в 2,5 раза выше, чем БКВ из планктонной культуры (БКВ-П), при интрацеребральном заражении мышей вирулентным штаммом B. рertussis [9]. БКВ-Б также более эффективно снижала уровень колонизации микробными клетками B. pertussis лёгких мышей при интраназальном заражении вирулентным штаммом.
Цель работы — исследование уровня IgG антител к адгезинам и токсинам возбудителя коклюша у мышей, иммунизированных экспериментальными БКВ на основе антигенных комплексов, выделенных из биоплёночных и планктонных культур B. pertussis.
Материалы и методы
В работе использован штамм B. pertussis № 317 (серовар 1.2.3), выделенный в России от больного коклюшем в 2003 г., депонирован в Научном центре экспертизы средств медицинского применения 15.09.2017, патент на изобретение № 2689903.
Мыши-гибриды F1(CBA×C57Bl6) массой 12–14 г получены из питомника «Андреевка» Московской области. Животных содержали в условиях вивария в соответствии с межгосударственным стандартом по содержанию и уходу за лабораторными животными (ГОСТ 33217-2014). Авторы подтверждают соблюдение институциональных и национальных стандартов по использованию лабораторных животных в соответствии с «Consensus Author Guidelines for Animal Use» (IAVES, 23.07.2010). Протокол исследования одобрен Этическим комитетом НИИВС им. И.И. Мечникова (протокол № 15 от 25.12.2024).
Контроль морфологических, серологических и культуральных свойств штамма B. pertussis № 317 проводили в соответствии с Методическими указаниями1. Культивирование штамма в жидкой синтетической питательной среде, выделение антигенных комплексов (АК) из планктонной и биоплёночных культур осуществляли в соответствии с ранее описанным методом [10]. Для характеристики состава АК из биоплёночной и планктонной культур использовали вертикальный электрофорез в полиакриламидном геле (ПААГ) в денатурирующих условиях по Лэммли [11]. Электрофорез проводили в 10% трис-глициновом буфере при силе тока 25 мА. По окончании процесса гель окрашивали с помощью Кумасси бриллиантового синего R-250, после чего отмывали его дважды в водном растворе, содержащем 10% уксусной кислоты и 35% этанола.
Обезвреживание (детоксикацию) антигенных комплексов B. рertussis проводили формалином до концентрации 0,4% с добавлением сахарозы (10%) в течение 20 сут при периодическом встряхивании при 37,0 ± 0,5°С. Для получения БКВ антигенные комплексы сорбировали на 2% геле алюминия гидроксида («InvivoGen») в таком соотношении, чтобы в 1 мл смеси содержалось 50 мкг белка, 0,3 мг алюминия гидроксида и ФСБ до 1 мл [10]. Для изучения уровня и динамики IgG-антител к КТ, ПРН, ФГА и липополисахариду (ЛПС) (все — National Institute for Biological Standards and Control) мышей линии F1(CBA×C57BL6) массой 12–14 г иммунизировали внутрибрюшинно (n = 20 в каждой группе) трёхкратно с интервалом 7 дней экспериментальными БКВ в дозе 25 мкг. Кровь брали у мышей на 7, 14, 21 и 28-е сутки после последней иммунизации. Забор крови (тотальный) у мышей проводили под эфирным наркозом.
Уровень IgG-антител в сыворотках иммунизированных мышей выявляли в иммуноферментном анализе. В качестве отрицательного контроля использовали сыворотки интактных мышей (n = 5). Концентрация антигенов для адсорбции на планшетах составляла: КТ — 2 мкг/мл; ФГА — 2 мкг/мл; ПРН — 2 мкг/мл; ЛПС — 2,5 мкг/мл. В опытах использовали пероксидазный антивидовой коньюгат к IgG мыши («Invitrogen») и тетраметилбензидин в качестве субстратной смеси. Результаты реакции учитывали с помощью спектрофотометра вертикального сканирования «Multiskan» («Thermo Scientific») при длине волны 450 нм. За титр сывороток принимали величины, обратные их максимальным разведениям, при которых значения оптической плотности (ОП) в 2 и более раз превышали значения ОП в лунках с отрицательным контролем.
Статистический анализ проводили с использованием пакета прикладных программ «Microsoft Office Excel». Количественные данные представлены в виде M ± m. Сравнения проводили по критерию t Стьюдента. Достоверными считали различия при p < 0,05.
Результаты
Из среды культивирования биоплёночной и планктонной культур штамма № 317 были выделены АК, на основе которых были изготовлены два варианта БКВ: БКВ-Б и БКВ-П.
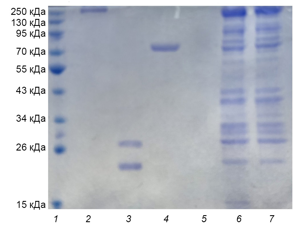
Результаты анализа необезвреженных и не адсорбированных на геле гидроксида алюминия АК, выделенных из биоплёночной и планктонной культур штамма № 317 в электрофорезе в ПААГ, представлены на рис. 1. В составе АК штамма № 317 были обнаружены белки в диапазоне молекулярных масс от 15 до 220–250 кДа. При этом интенсивность белковых полос с молекулярной массой 15 кДа была выше у АК из биоплёночной культуры по сравнению с АК из планктонной культуры. В составе обоих препаратов были выявлены ФГА (220 кДа), ПРН (69 кДа), а также белки с молекулярной массой около 28 кДа, менее 26 кДа и более 15 кДа, соответствующие фрагментам КТ. На дорожке с ЛПС не обнаружено белковых компонентов, что указывает на иммунохимическую чистоту использованного препарата.
Рис. 1. Электрофорез в ПААГ из антигенных комплексов биоплёночной и планктонной культур B. pertussis.
1 — маркеры молекулярной массы; 2 — ФГА; 3 — КТ; 4 — ПРН; 5 — ЛПС; 6 — АК штамма № 317 (биоплёночная культура); 7 — АК штамма № 317 (планктонная культура).
Результаты определения уровня IgG-антител к КТ, ПРН, ФГА и ЛПС у мышей, иммунизированных БКВ из биоплёночной и планктонной культур B. pertussis, представлены на рис. 2. Титры IgG-антител к КТ в обеих группах на 21-е сутки достигли максимальных значений с последующим снижением на 28-е сутки. Различия в титрах IgG-антител к КТ в группах БКВ-Б и БКВ-П были статистически недостоверными.
Рис. 2. Максимальные титры IgG-антител к антигенам B. pertussis у мышей, иммунизированных БКВ-Б и БКВ-П.
По оси ординат: титры антител. 1 — КТ БКВ-П; 2 — КТ БКВ-Б; 3 — ФГА БКВ-П; 4 — ФГА БКВ-Б; 5 — ПРН БКВ-П; 6 — ПРН БКВ-Б; 7 — ЛПС БКВ-П; 8 — ЛПС БКВ-Б. Титры IgG-антител у интактных мышей ≤ 100.
Максимальные титры IgG-антител к ПРН в группе БКВ-Б были отмечены на 14-е и 21-е сутки, а в группе БКВ-П — на 14-е сутки с последующим снижением в обеих группах. При этом титры IgG-антител к ПРН в группе БКВ-Б были достоверно выше, чем в группе БКВ-П. Титры IgG-антител к ФГА в группах БКА-Б и БКВ-П последовательно нарастали и достигли максимальных значений на 21-е сутки. Далее было отмечено снижение титров IgG-антител на 28-е сутки. Максимальные титры IgG-антител к ФГА и ПРН в группе БКВ-Б были в 8 и 4 раза соответственно выше, чем в группе БКВ-П. Максимальные титры IgG-антител к ЛПС в группе БКВ-Б были отмечены на 14-е сутки, а в группе БКВ-П — на 21-е сутки с последующим снижением. Различия в титрах IgG-антител к ЛПС в обеих группах были статистически недостоверными.
Обсуждение
B. pertussis продуцирует ряд вирулентных факторов, определяющих патогенетический механизм коклюшной инфекции. Условно их можно разделить на адгезины (фимбрии, ПРН, фактор колонизации трахеи, ФГА) и токсины (КТ, аденилатциклаза, трахеальный цитотоксин, дермонекротический токсин, ЛПС (эндотоксин)). Адгезины обеспечивают фиксацию возбудителя на клетках эпителия респираторного тракта, а токсины оказывают непосредственное повреждающее действие. Основным адгезином B. pertussis является ФГА, представляющий собой белок с молекулярной массой 220 кДа, не ассоциированный с фимбриями [12]. ПРН представляет собой связанный с наружной мембраной микробной клетки нефимбриальный белок (69 кДа). ПРН не обладает токсическими свойствами и по своему патогенетическому действию является адгезином, а также обладает иммуномодулирующей активностью [13, 14].
КТ является одним из основных факторов патогенности B. pertussis, вызывает различные биологические эффекты in vivo и in vitro и обусловливает значительную часть симптомов заболевания у больных коклюшем. КТ является экзотоксином, секретируемым микробной клеткой, и представляет собой белок с молекулярной массой 117 кДа, состоящий из 5 структурных единиц (S1, S2, S3, S4 и S5), молекулярные массы которых варьируют от 28 кДа для S1 до 9,3 кДа для S5 [15, 16].
ЛПС является компонентом наружной части клеточной мембраны всех грамотрицательных бактерий, в том числе B. pertussis. Молекулы ЛПС обеспечивают структурную целостность бактериальной клетки, защищают мембрану от агрессивных воздействий окружающей среды. С ЛПС B. pertussis преимущественно связывают побочные эффекты цельноклеточных коклюшных вакцин [17, 18].
В связи с генотипическим и фенотипическим полиморфизмом, а также в зависимости от условий культивирования (биоплёночные или планктонные культуры), штаммы B. pertussis могут различаются по уровням продукции КТ, ФГА, ПРН и других антигенов. Биоплёнки B. pertussis формируются в результате сложного координированного взаимодействия микробных клеток с биотическими и абиотическими субстратами. В биоплёночных культурах увеличивается экспрессия адгезинов, что способствует прикреплению к субстрату и межклеточным взаимодействиям.
Нами исследован состав АК из планктонной и биоплёночной культур B. pertussis и уровень IgG-антител к адгезинам (ПРН, ФГА) и токсинам КТ и ЛПС (эндотоксину) у мышей, иммунизированных БКВ из планктонной и биоплёночной культур B. pertussis штамма № 317. По данным электрофореза в ПААГ, исследованные АК имели в своём составе ФГА, ПРН и фрагменты КТ — основные протективные антигены B. pertussis, входящие в состав БКВ. В целом электрофореграммы обеих препаратов были практически идентичными, за исключением большей интенсивности белковых полос с молекулярной массой около 15 кДа у БКВ-Б. Нарастание титров IgG-антител к КТ, ФГА и ПРН было обнаружено в сыворотках мышей, иммунизированных обеими препаратами, что подтверждает результаты электрофореза о наличии этих антигенов в составе БКВ. Динамика титров IgG-антител к КТ, ФГА, ПРН и ЛПС в группах БКВ-Б и БКВ-П в целом носила сходный характер с нарастанием титров антител, достижением максимальных значений и последующим снижением. При этом были выявлены существенные различия между БКВ-Б и БКВ-П по уровням антител к адгезинам ФГА и ПРН. Титры антител к ФГА и ПРН в группе БКВ-Б были существенно выше, чем в группе БКВ-П, что можно объяснить различным удельным содержанием этих антигенов в составе БКВ, обусловленным более высоким уровнем продукции адгезинов биоплёночной культурой или более высокой иммуногенностью ФГА и ПРН в составе БКВ-Б. Существенных различий между БКВ-Б и БКВ-П по титрам антител к КТ и ЛПС не выявлено.
Заключение
Более высокая, по сравнению с БКВ-П, способность БКВ-Б индуцировать иммунный ответ к адгезинам B. pertussis, обеспечивающих фиксацию возбудителя на клетках эпителия респираторного тракта, при отсутствии существенных различий между обеими препаратами в стимуляции IgG-антител к КТ, указывает на преимущество использования антигенных комплексов из биоплёночных культур для создания более иммуногенных БКВ нового типа.
1 Методические указания МУК 4.2.2317-08. Отбор, проверка и хранение производственных штаммов коклюшных, паракоклюшных и бронхисептикозных бактерий. М.; 2009. 43 с
Об авторах
Евгений Михайлович Зайцев
Научно-исследовательский институт вакцин и сывороток имени И.И. Мечникова
Автор, ответственный за переписку.
Email: lab.immunomod@yandex.ru
ORCID iD: 0000-0002-4813-9074
доктор мед. наук, зав. лаборатории иммуномодуляторов
Россия, МоскваМарина Васильевна Брицина
Научно-исследовательский институт вакцин и сывороток имени И.И. Мечникова
Email: britsinamarina@yandex.ru
ORCID iD: 0000-0002-3044-0790
кандидат биол. наук, ведущий научный сотрудник лаборатории иммуномодуляторов
Россия, МоскваМария Николаевна Озерецковская
Научно-исследовательский институт вакцин и сывороток имени И.И. Мечникова
Email: manja33@yandex.ru
ORCID iD: 0000-0001-9809-4217
кандидат мед. наук, ведущий научный сотрудник лаборатории иммуномодуляторов
Россия, МоскваАнтон Евгеньевич Зайцев
Научно-исследовательский институт вакцин и сывороток имени И.И. Мечникова
Email: anton.zajtseff2015@yandex.ru
ORCID iD: 0000-0002-8434-231X
кандидат мед. наук, научный сотрудник лаб. терапевтических вакцин
Россия, МоскваСписок литературы
- Ломоносова А.В. Причины и последствия несвоевременной вакцинации против коклюшной инфекции в Российской Федерации. Журнал микробиологии, эпидемиологии и иммунобиологии. 2020;97(5):492–502. Lomonosova A.V. Causes and consequences of delayed vaccination against pertussis infection in the Russian Federation. Journal of Microbiology, Epidemiology and Immunobiology. 2020;97(5):492–502. DOI: https://doi.org/10.36233/0372-9311-2020-97-5-11, EDN: https://elibrary.ru/pdbbte
- Stefanelli P. Pertussis: identification, prevention and control. Adv. Exp. Med. Biol. 2019;1183:127–36. DOI: https://doi.org/10.1007/5584_2019_408
- Fullen A.R., Gutierrez-Ferman J.L., Yount K.S., et al. Bps polysaccharide of Bordetella pertussis resists antimicrobial peptides by functioning as a dual surface shield and decoy and converts Escherichia coli into a respiratory pathogen. PLoS Pathog. 2022;18(8):e1010764. DOI: https://doi.org/10.1371/journal.ppat.1010764
- Suyama H., Luu L.D.W., Zhong L., et al. Integrating proteomic data with metabolic modeling provides insight into key pathways of Bordetella pertussis biofilms. Front. Microbiol. 2023;14:1169870. DOI: https://doi.org/10.3389/fmicb.2023.1169870
- Fullen A.R., Gutierrez-Ferman J.L., Yount R.S., et al. Bps polysaccharide of Bordetella pertussis resists antimicrobial peptides by functioning as a dual surface shield and decoy and converts Escherichia coli into a respiratory pathogen. PLoS Pathog. 2022;18(8):e1010764. DOI: https://doi.org/10.1371/journal.ppat.1010764
- Fullen A.R., Gutierrez-Ferman J.L., Rayner R.E., et al. Architecture and matrix assembly determinants of Bordetella pertussis biofilms on primary human airway epithelium. PLoS Pathog. 2023;19(2):e1011193. DOI: https://doi.org/10.1371/journal.ppat.1011193
- Carriquiriborde F., Martin Aispuro P., Ambrosis N., et al. Pertussis vaccine candidate based on outer membrane vesicles derived from biofilm culture. Front. Immunol. 2021;12:730434. DOI: https://doi.org/10.3389/fimmu.2021.730434
- Dorji D., Graham R.M., Singh A.K., et al. Immunogenicity and protective potential of Bordetella pertussis biofilm and its associated antigens in a murine model. Cell. Immunol. 2019;337: 42–7. DOI: https://doi.org/10.1016/j.cellimm.2019.01.006
- Zaytsev E.M., Britsina M.V., Ozeretskovskaya M.N., Zaitsev A.E. Protective activity and safety of experimental acellular pertussis vaccines based on antigenic complexes isolated from biofilm and planktonic cultures of Bordetella pertussis. Bull. Exp. Biol. Med. 2024;177(3):349–52. DOI: https://doi.org/10.1007/s10517-024-06187-9
- Зайцев Е.М., Бажанова И.Г., Брицина М.В. и др. Бесклеточная коклюшная вакцина из антигенов свежевыделенного штамма B. pertussis серовара 1.2.3. Журнал микробиологии, эпидемиологии и иммунобиологии. 2020;97(2):134–9. Zaitsev E.M., Bazhanova I.G., Britsina M.V., et al. Cell-free pertussis vaccine from antigens of freshly isolated strain of B. pertussis serotype 1.2.3. Journal of Microbiology, Epidemiology and Immunobiology. 2020;97(2):134–9. DOI: https://doi.org/10.36233/0372-9311-2020-97-2-134-139 EDN: https://elibrary.ru/cqzssv
- Laemmli U.K. Cleavage of structural proteins during the assembly of the head of bacteriophage T4. Nature. 1970; 227(5259):680–5. DOI: https://doi.org/10.1038/227680a0
- Imani D., Bahadori T., Golsaz-Shirazi F., et al. High purity and recovery of native filamentous hemagglutinin (FHA) from Bordetella pertussis using affinity chromatography. J. Chromatogr. B Analyt. Technol. Biomed. Life Sci. 2024;1239:124122. DOI: https://doi.org/10.1016/j.jchromb.2024.124122
- Imani D., Bahadori T., Ghourchian S., et al. Novel mouse monoclonal antibodies against Bordetella pertussis pertactin antigen with versatile applications. J. Microbiol. Methods. 2023;211:106786. DOI: https://doi.org/10.1016/j.mimet.2023.106786
- Silva R.P., DiVenere A.M., Amengor D., Maynard J.A. Antibodies binding diverse pertactin epitopes protect mice from Bordetella pertussis infection. J. Biol. Chem. 2022;298(3):101715. DOI: https://doi.org/10.1016/j.jbc.2022.101715
- Scanlon K., Skerry C., Carbonetti N. Association of pertussis toxin with severe pertussis disease. Toxins (Basel). 2019;11(7):373. DOI: https://doi.org/10.3390/toxins11070373
- Locht C., Antoine R. The history of pertussis toxin. Toxins (Basel). 2021;13(9):623. DOI: https://doi.org/10.3390/toxins13090623
- Locht C. Pasteurian contributions to the study of Bordetella pertussis toxins. Toxins (Basel). 2023;15(3):176. DOI: https://doi.org/10.3390/toxins15030176
- Koj S., Ługowski C., Niedziela T. Bordetella pertussis lipooligosaccharide-derived neoglycoconjugates — new components of pertussis vaccine. Postepy. Hig. Med. Dosw. (Online). 2015;69:1013–30. (in Polish)
Дополнительные файлы




