Свойства внеклеточной протеиназы – активатора прекалликреина плазмы крови, образуемой микромицетом Aspergillus terreus 2
- Авторы: Звонарева Е.С.1, Осмоловский А.А.1, Баранова Н.А.1, Котова И.Б.1, Крейер В.Г.1
-
Учреждения:
- Биологический факультет Московского государственного университета им. М.В. Ломоносова
- Выпуск: Том 59, № 4 (2023)
- Страницы: 369-375
- Раздел: Статьи
- URL: https://journal-vniispk.ru/0555-1099/article/view/138792
- DOI: https://doi.org/10.31857/S0555109923040207
- EDN: https://elibrary.ru/QZVABD
- ID: 138792
Цитировать
Полный текст
Аннотация
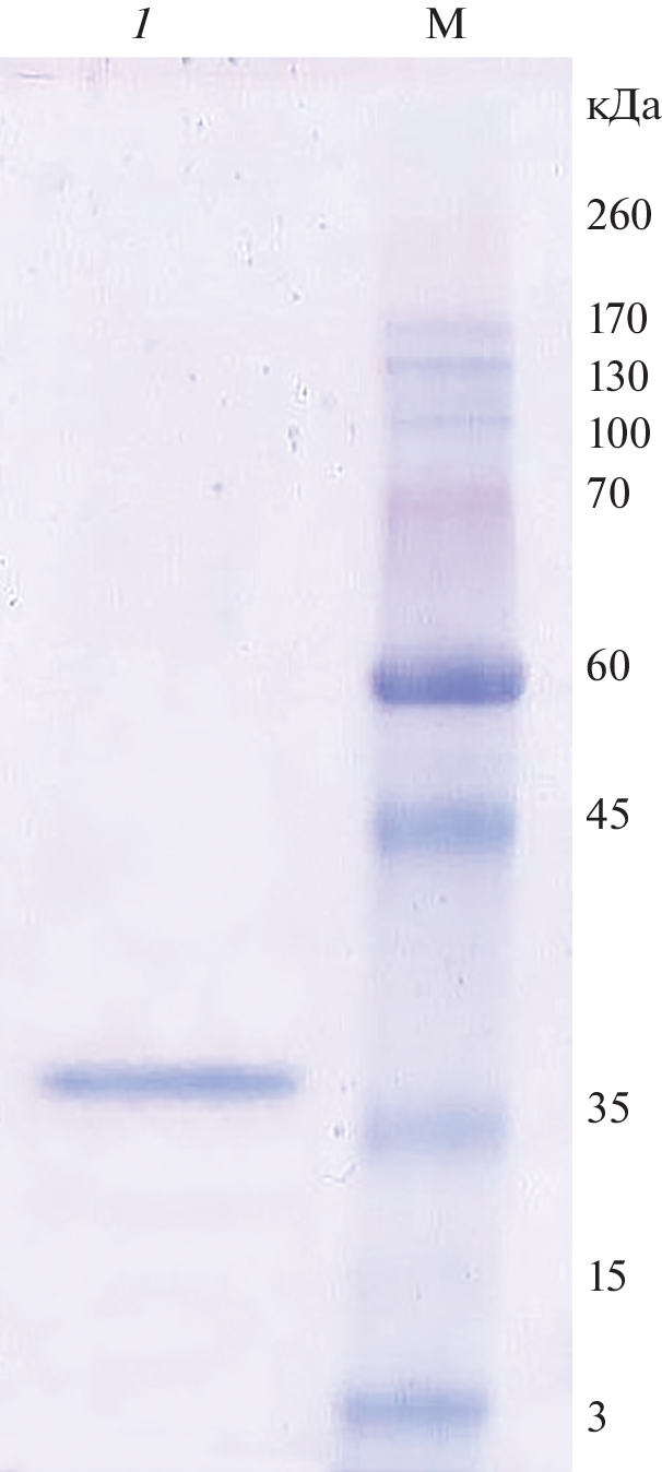
Из культуральной жидкости микромицета A. terreus 2 выделена внеклеточная протеиназа – активатор прекалликреина плазмы крови человека, изучены физико-химические, кинетические и биохимические свойства. Установлено, что внеклеточная протеиназа A. terreus 2 представляла собой сериновую гликозилированную протеиназу с изоэлектрической точкой 4.6, молекулярной массой ~37 кДа и оптимумом рН для проявления активности 10.0 и температуры 37°С. По ряду свойств выделенная протеиназа сходна с протеиназой-активатором протеина С, синтезируемой микромицетом A. ochraceus L-1.
Об авторах
Е. С. Звонарева
Биологический факультет Московского государственного университетаим. М.В. Ломоносова
Email: aosmol@mail.ru
Россия, 119234, Москва,
А. А. Осмоловский
Биологический факультет Московского государственного университетаим. М.В. Ломоносова
Автор, ответственный за переписку.
Email: aosmol@mail.ru
Россия, 119234, Москва,
Н. А. Баранова
Биологический факультет Московского государственного университетаим. М.В. Ломоносова
Email: aosmol@mail.ru
Россия, 119234, Москва,
И. Б. Котова
Биологический факультет Московского государственного университетаим. М.В. Ломоносова
Email: aosmol@mail.ru
Россия, 119234, Москва,
В. Г. Крейер
Биологический факультет Московского государственного университетаим. М.В. Ломоносова
Email: aosmol@mail.ru
Россия, 119234, Москва,
Список литературы
- Осмоловский А.А., Крейер В.Г., Баранова Н.А., Егоров Н.С. // Успехи современной биологии. 2021. Т. 141. № 5. С. 467–482.
- Sharma C., Osmolovskiy A., Singh R. // Pharmaceutics. 2021. V. 13. № 11. A. 1880. https://doi.org/10.3390/pharmaceutics13111880
- Diwan D., Usmani Z., Sharma M., Nelson J.W., Thakur V.K., Christie G., Molina G., Gupta V.K. // Int. J. Molec. Sci. 2021. V. 22. № 19. A. 10468. https://doi.org/10.3390/ijms221910468
- Chung D., Yu W.-J., Lim J.-Y., Kang N.-S., Kwon Y.-M., Choi G., Bae S.-S., Cho K., Lee D.-S. // Microorganisms. 2022. V. 10. № 1. A. 29. https://doi.org/10.3390/microorganisms10010029
- Лукьянова А.А., Корниенко Е.И., Виган П.А., Крейер В.Г., Кураков А.В., Осмоловский А.А. // Вестник Моск. ун-та. Сер. 16. Биол. 2020. Т. 75. № 1. С. 37–42.
- Осмоловский А.А., Шаш Б., Александрова А.В., Баранова Н.А., Крейер В.Г. // Вестн. Моск. ун-та. Сер. 16. Биология. 2022. Т. 77. № 2. С. 138–144.
- Осмоловский А.А., Звонарева Е.С., Крейер В.Г., Баранова Н.А., Егоров Н.С. // Вестник Моск. ун-та. Сер. 16. Биол. 2018. Т. 73. № 1. С. 47–51.
- Waheed H., Moin S.F., Choudhary M.I. // Curr. Med. Chem. 2017. V. 24. № 17. P. 1874–1891.
- Osmolovskiy A.A., Schmidt L., Orekhova A.V., Komarevtsev S.K., Kreyer V.G., Shabunin S.V., Egorov N.S. // Life. 2021. V. 11. A. 782. https://doi.org/10.3390/life11080782
- Осмоловский А.А., Крейер В.Г., Баранова Н.А., Кураков А.В., Егоров Н.С. // Прикл. биохимия микробиология. 2015. Т. 51. № 1. С. 86–92.
- Осмоловский А.А., Звонарева Е.С., Крейер В.Г., Баранова Н.А., Егоров Н.С. // Биоорганическая химия. 2014. Т. 40. № 6. С. 688–694.
- Звонарева Е.С., Осмоловский А.А., Крейер В.Г., Баранова Н.А., Котова И.Б., Егоров Н.С. // Биоорганическая химия. 2015. Т. 41. № 5. С. 559–564.
- Звонарева Е.С., Осмоловский А.А., Крейер В.Г., Баранова Н.А., Котова И.Б., Егоров Н.С. // Прикл. биохимия и микробиология. 2018. Т. 54. № 2. С. 195–200.
- Chakrabarti S.K., Matsumura N., Ranu R.S. // Curr. Microbiol. 2000. V. 40. № 4. P. 239–244.
- Biaggio R.T., Silva R.R., Rosa N.G., Leite R.S., Arantes E.C., Cabral T.P., Juliano M.A., Juliano L., Cabral H. // Prep. Biochem. Biotechnol. 2016. V. 46. № 3. P. 298–304.
- de Lima E.E., Franco D.G., Galeano R.M.S., Guimarães N.C.A., Masui D.C., Giannesi G.C., Zanoelo F.F. // Prep. Biochem. Biotechnol. 2021. V. 51. № 4. P. 320–330.
- Осмоловский А.А., Звонарева Е.С., Крейер В.Г., Баранова Н.А., Котова И.Б. Егоров Н.С. // Микология и фитопатология. 2021. Т. 55. № 3. С. 225–228.
- Батомункуева Б.П., Егоров Н.С. // Микробиология. 2001. Т. 70. № 5. С. 602–606.
- Gertler A., Trop M. // Eur. J. Biochem. 1971. V. 19. № 1. P. 90–96.
- Осмоловский А.А., Крейер В.Г., Баранова Н.А., Кураков А.В., Егоров Н.С. // Прикл. биохимия микробиология. 2015. Т. 51. № 1. С. 86–92.
- Осмоловский А.А., Крейер В.Г., Баранова Н.А., Егоров Н.С. // Прикл. биохимия микробиология. 2017. Т. 53. № 4. С. 373–379.
Дополнительные файлы






