Исследование влияния протеаз различных классов на функционально-технологические свойства изолятов белка гороха
- Авторы: Кравченко И.В.1, Фуралев В.А.1, Костылева Е.В.2, Середа А.С.2, Курбатова Е.И.2, Цурикова Н.В.2, Пшенникова Е.С.1, Бояринцева Т.В.1, Попов В.О.1, Федоров А.Н.1
-
Учреждения:
- Федеральный исследовательский центр «Фундаментальные основы биотехнологии» РАН
- Всероссийский научно-исследовательский институт пищевой биотехнологии — филиал Федерального исследовательского центра питания, биотехнологии и безопасности пищи
- Выпуск: Том 60, № 1 (2024)
- Страницы: 72-83
- Раздел: Статьи
- URL: https://journal-vniispk.ru/0555-1099/article/view/259947
- DOI: https://doi.org/10.31857/S0555109924010089
- EDN: https://elibrary.ru/HCHFTG
- ID: 259947
Цитировать
Полный текст
Аннотация
Исследовано влияние четырех ферментных препаратов — бациллолизина, агропрота, протозима и протозима С (Россия) — на растворимость, эмульгирующую активность, стабильность эмульсии, пенообразование и стабильность пены изолятов, выделенных из двух сортов гороха. Показано, что обработка ферментами позволяет повысить растворимость изолятов при рН 5 более чем в 7 раз, индекс эмульгирующей активности при рН 5 — в 1.5–2 раза, а при рН 6 — почти в 1.5 раза; индекс стабильности эмульсии при рН 5 увеличить примерно на 20%, а при рН 6 — в 1.7 раза (у одного из сортов); пенообразование при рН 5 — в 2.4–3 раза, а при рН 6 — в 1.8–3.7 раза; стабильность пены при рН 5 — на 25–33%, а при рН 6 — более чем в 1.5 раза (у одного из сортов). Полученные результаты позволили подобрать ферментный препарат (бактериальная щелочная сериновая протеаза) для улучшения параметров изолятов горохового белка, предназначенных для изготовления аналогов кисломолочных продуктов.
Ключевые слова
Полный текст
Использование изолятов горохового белка для производства растительных аналогов пищевых продуктов животного происхождения является весьма перспективным направлением прикладной биотехнологии. Основным методом получения изолятов горохового белка является использование щелочной экстракции с последующим осаждением при рН в области изоэлектрической точки. Получаемый таким способом белковый продукт обладает хорошей растворимостью при нейтральных значениях рН, однако при слабокислом рН его растворимость ограничена. В то же время для производства целого ряда продуктов, включая растительные аналоги кисломолочных продуктов, соусы, определенные виды спортивного и лечебного питания и т. п., необходим изолят с хорошей растворимостью именно в слабокислой среде, поскольку именно этот параметр определяет содержание ценного в питательном отношении белка в конечном продукте. Более того, изолят должен обладать хорошей эмульгирующей активностью при этих значениях рН, а также образовывать достаточно стабильные эмульсии. Эмульгирующая активность позволяет включать в конечный продукт растительные масла, содержащие высокоценные в пищевом отношении ненасыщенные жирные кислоты. Еще одним важным параметром изолятов является пенообразование. Хотя оно и не оказывает большого влияния на содержание ценных пищевых компонентов в конечном продукте, этот параметр существенно влияет на его органолептические свойства, важные для потребителя.
Наиболее технологичным способом повышения растворимости белка является его обработка протеолитическими ферментами. Описано улучшение растворимости изолятов различных белков (люпин, соя, нут, рис, чечевица и др.) пищевого назначения под воздействием таких ферментов, как алкалаза, папаин, нейтраза, трипсин, химотрипсин, королаза [1–7]. В то же время количество работ, в которых изучалось воздействие протеаз на изолят горохового белка, относительно невелико. В этой связи представляет особенный интерес сравнение воздействия протеаз различных классов (щелочных, нейтральных и кислых) на свойства изолята горохового белка, имеющие значение при изготовлении продуктов типа растительный йогурт.
Цель работы — изучение влияния таких протеаз, как нейтральная протеаза Bacillus subtilis-96 (БНП), кислая грибная аспартатная протеаза (ГКП), бактериальная щелочная сериновая протеаза (БЩП), грибная щелочная сериновая протеаза (ГЩП), на растворимость в слабокислой среде, эмульгирующую активность, стабильность эмульсии, пенообразование и стабильность пены.
МЕТОДИКА
Выделение изолята горохового белка. Для выделения изолята горохового протеина использовалась общепринятая методика [8]. Гороховую муку (150 г) суспендировали в 1.5 л воды, доводили рН до 9.0 с помощью 1 М NaOH и экстрагировали 2 ч. Суспензию центрифугировали при 4200 g в течение 20 мин, осадок отбрасывали, рН супернатанта доводили до 4.5 с помощью 5 M HCl и инкубировали 2 ч. Суспензию центрифугировали при 4200 g в течение 20 мин при 4°C, осадок белка растворяли в 200 мл воды, доводили рН с помощью 1 М NaOH до 7.0 и высушивали на распылительной сушке.
Измерение растворимости белка. Измерение растворимости проводили согласно методу [9]. Суспензии выделенного изолята в 10 мМ буферных растворах (цитратном с рН 5 или фосфатном с рН 6) с концентрацией 10 мг/мл по белку встряхивали в течение 1 ч на шейкере при 350 об/мин, центрифугировали при 17 000 g в течение 10 мин и измеряли концентрацию растворившегося белка в супернатанте методом Бредфорда. Растворимость рассчитывали как отношение концентрации белка изолята в растворе при данном рН к исходной концентрации белка (10 мг/мл), выраженное в процентах. Все измерения были сделаны в трех повторах.
Измерение индекса эмульгирующей активности. Измерение эмульгирующей активности проводили по методу [10]. Для измерения индекса эмульгирующей активности в системе “масло — раствор белка” турбидиметрическим методом оценивали стабилизированную межфазную площадь на единицу массы белка. Раствор выделенного изолята (0.3%-ный) в 10 мМ буферном растворе (цитратном с рН 5 или фосфатном с рН 6) смешивали с рафинированным подсолнечным маслом в объемном соотношении 9: 1, гомогенизировали 2 мин и измеряли мутность эмульсии. Для этого 50 мкл эмульсии смешивали с 5 мл 0.1%-ного ДДС-Na и измеряли оптическую плотность при 595 нм. Индекс эмульгирующей активности ИЭА (м2/г) = (4.606 × × D595 × N)/(10000 × C × j), где D595 — оптическая плотность при 595 нм; N — фактор разведения; C — концентрация белка, г/мл; j — объемная доля масла. Все измерения были сделаны в трех повторах.
Измерение индекса стабильности эмульсии. Измерение проводили по методу [10]. Для измерения индекса стабильности эмульсии оценивали ее способность противостоять изменениям с течением времени. Раствор выделенного изолята (0.3%-ный) в 10 мМ трис-HCl буфере, рН 7.2, смешивали с рафинированным подсолнечным маслом в объемном соотношении 9: 1, гомогенизировали 2 мин на гомогенизаторе Glas-Сol при 4000 об./мин, измеряли мутность эмульсии, 50 мкл эмульсии смешивали с 5 мл 0.1%-ного ДДС-Na и измеряли оптическую плотность при 595 нм. Через 10 мин повторно измеряли мутность эмульсии тем же способом. Индекс стабильности эмульсии ИСЭ (мин) = (D0/∆D) × t, где D0 — оптическая плотность при 595 нм пробы, отобранной немедленно; D10 — оптическая плотность при 595 нм пробы, отобранной через 10 мин; ∆D = D0 — D10; t — временной интервал (10 мин). Все измерения были сделаны в трех повторах.
Измерение пенообразования. Измерение проводили по методу [11]. Для измерения пенообразования оценивали относительный объем пены, образуемый суспензией белка после встряхивания. Суспензию выделенного изолята (1%-ная) в 10 мМ цитратном (рН 5) или фосфатном (рН 6) буфере встряхивали на шейкере в течение 1 ч при 300 об./мин. Аликвоту отбирали в мерный цилиндр, встряхивали 70 с, оставляли на 30 с и измеряли объем пены. Пенообразование = (Vпены/Vисх) × 100%, где Vпены — объем пены в цилиндре, Vисх — исходный объем аликвоты суспензии белка в мерном цилиндре. Все измерения были сделаны в трех повторах.
Измерение стабильности пены. Измерение проводили по методу [11]. Для измерения стабильности пены оценивается отношение объема пены, оставшейся через 60 мин к исходному объему пены. Суспензию (1%-ную) выделенного изолята в 10 мМ цитратном (рН 5) или фосфатном (рН 6) буфере встряхивали на шейкере в течение 1 ч при 300 об./мин. Аликвоту отбирали в мерный цилиндр, встряхивали 70 с, оставляли на 30 c и измеряли объем пены. Мерный цилиндр оставляли на 60 мин и повторно измеряли объем пены. Стабильность пены через 60 мин cоставляла (V60/Vисх) × 100%, где V60 — объем пены через 60 мин, Vисх — исходный объем пены, измеренный через 30 сек после встряхивания вручную. Все измерения были выполнены в трех повторах.
Электрофорез. Электрофорез проводили по методу Лэммли в ПААГ в 10%-ном разделяющем геле и 3.75%-ном концентрирующем.
Определение степени гидролиза изолятов. Степенью гидролиза считали отношение концентрации свободных аминогрупп в белковом образце к концентрации аминогрупп, которая образовалась бы при полном гидролизе данного белкового образца, в%: степень гидролиза = (Ссвоб /Собщ) × 100% [12]. Концентрацию аминогрупп определяли с помощью набора Primary Amino Nitrogen Kit фирмы “Megazyme” (Ирландия), все процедуры проводили в соответствии с инструкцией производителя. Общее количество свободных аминогрупп при полном гидролизе белка выделенного из гороха составляет 8 мМ/г белка [13].
Обработка ферментами. В работе были использованы следующие ферментные препараты: бактериальной нейтральной протеазы (КФ 3.4.24.28, БНП) — бациллолизин (лабораторный образец предоставлен ВНИИПБТ). Препарат кислой грибной аспартатной протеазы (КФ 3.4.23.20) (ГКП) — пенициллопепсин (агропрот, ООО “Агрофермент”, Россия). Препарат бактериальной щелочной сериновой протеазы (КФ 3.4.21.62) (БЩП) — субтилизин бакт (протозим, ТД “Биопрепарат”, Россия). Препарат грибной щелочной сериновой протеазы (КФ 3.4.21.62, ГЩП) — субтилизин гр (протозим С, ТД “Биопрепарат”, Россия)
Для проведения ферментативной обработки изолят горохового белка суспендировали в дистиллированной воде в концентрации 50 мг/мл, инкубировали в течение 30 мин при встряхивании на шейкере IKA MTC2/4 при 300 об./мин. Затем рН суспензии доводили до требуемого значения для обработки БЩП и ГЩП — до 8.0, БНП — до 7.0, ГКП — до 5.0 и прогревали на водяной бане до 50°C. Далее добавляли к суспензии фермент и инкубировали в термостате при перемешивании, отбирая пробы через 15 мин, 30 мин, 1 ч и 2 ч. Рабочие концентрации ферментов были подобраны таким образом, чтобы белковый спектр изолятов в течение 2 ч ограниченного протеолиза изменялся постепенно и степень гидролиза не превышала 10%, поскольку при превышении этого значения у изолята появлялся горьковатый привкус. В результате выбранная рабочая активность БЩП, ГЩП и ГКП составила 1.5 ед./мл, а БНП — 8.9 мед./мл. Ферменты инактивировали нагреванием на водяной бане 10 мин при 85°C.
РЕЗУЛЬТАТЫ И ИХ ОБСУЖДЕНИЕ
Определение степени гидролиза изолятов после обработки ферментами. Изоляты белка, выделенные из гороха сортов Родник и Фокор, были подвергнуты обработке препаратами БНП, ГКП, ГЩП и БНП в течение 15 мин, 30 мин, 1 и 2 ч (табл. 1). При проведении ограниченного протеолиза степень гидролиза изолятов постепенно повышалась по мере увеличения времени обработки ферментами, однако нигде не превышала 10%. Различия эффективности протеолиза изолятов из гороха разных сортов можно объяснить различным соотношением мажорных белков (конвицилин/вицилин и/или вицилин/легумин) в соответствующих сортах гороха.
Таблица 1. Степень гидролиза (в %) изолятов белка, выделенных из гороха сортов Родник и Фокор, после обработки четырьмя ферментными препаратами
Препарат | Степень гидролиза белка,% | |||||||
Родник | Фокор | |||||||
15 мин | 30 мин | 60 мин | 120 мин | 15 мин | 30 мин | 60 мин | 120 мин | |
БНП | 2.1 | 4.1 | 5.5 | 8.2 | 1.5 | 2.4 | 4.0 | 7.7 |
ГКП | 1.2 | 3.9 | 5.9 | 10.0 | 1.9 | 2.6 | 5.5 | 6.9 |
ГЩП | 1.8 | 3.1 | 4.5 | 6.1 | 1.2 | 2.8 | 6.3 | 8.8 |
БЩП | 2.0 | 3.9 | 5.0 | 8.0 | 1.6 | 3.8 | 5.4 | 9.4 |
Электрофорез продуктов ограниченного протеолиза изолятов. Результаты электрофоретического разделения белков гороховых изолятов представлены на рис. 1. Общая картина изменения белкового спектра у изолятов из разных сортов гороха очень похожа. Из литературных данных известно [14–16], что мажорная белковая полоса с молекулярной массой около 70 кДа соответствует белку конвицилину, две мажорных полосы с молекулярной массой около 50 и 30 кДа — белку вицилину, а полосы с молекулярной массой 40 и 20 кДа — кислой и щелочной субъединицам белка легумина соответственно.
Рис. 1. Электрофорез по Лэммли изолятов белка, выделенных из гороха сорта Родник (а, в, д, ж) и Фокор (б, г, е, з) и обработанных 8.9 мед./мл БНП (а, б), 1.5 ед./мл ГКП (в, г), 1.5 ед./мл ГЩП (д, е) и 1.5 ед./мл БЩП (ж, з): 1 — необработанный изолят, 2 – 15 мин, 3 – 30 мин, 4 – 1 ч, 5 – 2 ч обработки; М — метчики молекулярной массы.
Все исследованные ферменты расщепляли высокомолекулярные белки с массой около 100 кДа. Кроме них БНП расщеплял полосы вицилина в обоих изолятах (рис. 1а и б). ГКП расщеплял конвицилин, вицилин (в основном полосу 30 кДа) и слабокислую субъединицу легумина (рис. 1в и г). ГЩП расщеплял конвицилин и обе полосы вицилина (рис. 1д и е). БЩП расщеплял конвицилин, обе полосы вицилина и слабокислую субъединицу легумина (рис. 1ж и з).
Влияние обработки протеолитическими ферментами на растворимость изолятов. Обработка всеми исследованными ферментами увеличивала растворимость изолятов белка, выделенных из гороха обоих сортов, при рН 5.0. Исходная растворимость необработанных изолятов была практически одинакова и составляла около 6%. Однако величина эффекта повышения растворимости изолята при обработке различными ферментами, равно как и кинетика данного процесса, различалась у двух исследованных изолятов. Так, в случае изолята, выделенного из сорта Родник, наибольшее повышение растворимости наблюдалось при воздействии БНП: после двухчасовой обработки растворимость увеличилась почти до 44% (рис. 2а). Почти столь же эффективна была обработка препаратом БЩП: через 2 ч инкубации растворимость достигала более 41%. ГКП и ГЩП были менее эффективны: после двухчасовой обработки они повышали растворимость только до 34–35%. Все препараты довольно плавно повышали растворимость изолята из сорта Родник в процессе ферментолиза. В случае изолята, выделенного из сорта Фокор, наибольшее увеличение растворимости наблюдалось после обработки ГКП в течение 1 ч, в результате чего она повысилась до 45% (рис. 2б). При этом, в отличие от изолята из сорта Родник, кинетика эффекта была сложной: постепенное увеличение растворимости наблюдалось при инкубации длительностью до 1 ч, а при увеличении времени инкубации до 2 ч эффект уменьшался до 34%. Различия в кинетике изменения растворимости могут объясняться различным соотношением мажорных белков в соответствующих сортах гороха. Обработка БЩП и ГЩП в течение 2 ч повышала растворимость данного изолята до 41%, обработка БНП — до 37.5%. В отличие от ГКП, препараты нейтральных и щелочных протеаз плавно повышали растворимость изолята из сорта Фокор в процессе гидролиза.
Рис. 2. Влияние обработки препаратами БНП, ГКП, ГЩП и БЩП на растворимость изолятов горохового белка сортов Родник (а, в) и Фокор (б, г) при рН 5.0 (а, б) и 6 (в, г) и различном времени обработки: 1 — без обработки, 2 – 15 мин; 3 – 30 мин; 4 – 1 ч; 5 – 2 ч.
Совершенно другая картина наблюдалось при исследовании влияния обработки ферментами на растворимость изолятов при рН 6.0: ни один из исследованных ферментов не повышал растворимость изолятов при этом значении рН (рис. 2в и г). Следует сразу же отметить, что исходная растворимость необработанных изолятов при рН 6.0 была значительно выше, чем при рН 5.0, причем у изолята из сорта Фокор она была выше, чем у изолята из сорта Родник. При обработке изолята из сорта Родник некоторыми ферментами растворимость не менялась, другими — существенно падала. В случае изолята из сорта Фокор все ферменты понижали растворимость данного изолята. По-видимому, из-за очень высокой сходной растворимости изолятов при данном рН, дальнейшее ее повышение с помощью использованных нами ферментов было невозможно.
Таким образом, для повышения растворимости при рН 5.0 для изолята из сорта Родник можно рекомендовать обработку БНП, а из сорта Фокор — ГКП. Если же приходится иметь дело с изолятом, полученным из разных сортов гороха, то предпочтительнее использовать БЩП, поскольку его эффект более стабилен и менее зависим от взятого сорта гороха. Ни один из исследованных ферментов не повышал растворимость изолятов при рН 6.0, однако у обоих изолятов она и так была довольно высокой, что позволяет обойтись без ее дальнейшего повышения.
Влияние обработки протеолитическими ферментами на индекс эмульгирующей активности изолятов. Исходный индекс эмульгирующей активности (ИЭА) при рН 5.0 был довольно близок у обоих необработанных изолятов и составлял 40.1 м2/г в случае сорта Родник и 36.4 м2/г в случае сорта Фокор. Обработка обоих изолятов всеми исследованными ферментами, кроме ГКП, повышала ИЭА. В случае изолята из гороха сорта Родник наибольший эффект наблюдался при воздействии БНП: после получасовой инкубации с ферментом данный показатель превысил 63 м2/г (рис. 3а). Уже через 15 мин инкубации с ферментом эффект почти достигал максимального, а затем вплоть до 2 ч инкубации оставался почти на том же уровне. Обработка ГЩП и БЩП приводила к меньшему повышению индекса эмульгирующей активности: в случае ГЩП максимум наблюдался после 15 мин инкубации (51 м2/г), а в случае БЩП — через 30 мин инкубации (более 54 м2/г), причем при увеличении времени инкубации эффект исчезал.
Рис. 3. Влияние обработки БНП, ГКП, ГЩП и БЩП на индекс эмульгирующей активности изолятов горохового белка сортов Родник (а, в) и Фокор (б, г) при рН 5.0 (а, б) и 6.0 (в, г) при различном времени обработки: 1 — без обработки, 2 – 15 мин; 3 – 30 мин; 4 – 1 ч; 5 – 2 ч.
При использовании изолята из сорта Фокор ИЭА при рН 5.0 повышали те же 4 фермента (рис. 3б), однако наибольший эффект наблюдался при воздействии БЩП (более 78 м2/г после часовой инкубации). Уже через 15 мин инкубации с ферментом эффект почти достигал максимального, а затем вплоть до 2 ч инкубации оставался почти на том же уровне. БНП и ГЩП продемонстрировали меньшее повышение ИЭА (57.3 и 54.1 м2/г соответственно), при этом эффект достигал максимума через 30 и 15 мин соответственно. При увеличении времени инкубации данный эффект исчезал.
При рН 6.0 исходный ИЭА у необработанного изолята из сорта Родник составлял 71.1 м2/г, а у необработанного изолята из сорта Фокор — 65.2 м2/г. БНП и ГКП не повышали значение данного параметра изолята из гороха сорта Родник. Наиболее значимого повышения ИЭА удалось добиться с помощью обработки БЩП: после инкубации с ферментом в течение 15 мин индекс эмульгирующей активности достигал 104 м2/г (рис. 3в). Получасовая обработка ГЩП повышала значение данного параметра лишь до 87 м2/г. При увеличении времени инкубации эффект уменьшался (в случае ГЩП исчезал).
Обработка всеми ферментами кроме ГКП повышала ИЭА изолята из гороха сорта Фокор при рН 6.0 так же, как и при рН 5.0. Обработка БНП повышала величину этого параметра более, чем до 94 м2/г (рис. 3г), а ГЩП и БЩП — более, чем до 90 м2/г. Кинетика развития эффекта у четырех ферментных препаратов была похожей: при дальнейшей инкубации после достижения максимума эффект снижался (в случае БЩП исчезал). В случае БНП максимальный эффект развивался после инкубации в течение 15 мин, ГЩП и БЩП — в течение 1 ч.
Таким образом, для повышения ИЭА при рН 5.0 для обработки изолята из сорта Родник можно рекомендовать обработку БНП, а из сорта Фокор — БЩП. Для изолятов, полученных из разных сортов гороха, предпочтительнее использовать БЩП, поскольку его эффект более стабилен и менее зависим от взятого сорта гороха. Чтобы повысить ИЭА при рН 6.0 для изолята из сорта Родник можно рекомендовать обработку БЩП, а из сорта Фокор — БНП. Как было выше указано для изолятов, полученных из разных сортов гороха, предпочтительнее использовать БЩП по вышеуказанной причине.
Влияние обработки протеолитическими ферментами на индекс стабильности эмульсии изолятов. Исходный индекс стабильности эмульсии (ИСЭ) при рН 5.0 был довольно близок у обоих необработанных изолятов (около 11 мин.). Обработка обоих изолятов исследованными ферментами довольно слабо влияла на индекс стабильности эмульсии при рН 5.0.
Только обработка ГКП немного повышала ИСЭ (рис. 4б) изолята из сорта Фокор: после часовой обработки значение данного параметра возрастало до 13 мин. Обработка остальными ферментами не влияла на индекс стабильности эмульсии.
Рис. 4. Влияние обработки БНП, ГКП, ГЩП и БЩП на индекс стабильности эмульсии изолятов горохового белка сортов Родник (а, в) и Фокор (б, г) при рН 5 (а, б) и 6 (в, г) при различном времени обработки: 1 — без обработки, 2 – 15 мин; 3 – 30 мин; 4 – 1 ч; 5 – 2 ч.
При рН 6.0 исходный ИСЭ у необработанного изолята из сорта Родник составлял 21 мин, а у необработанного изолята из сорта Фокор — 24 мин. При исследовании влияния на данный параметр обработки ферментами при рН 6.0 наблюдалось иная картина, чем при рН 5.0. Препараты повышали ИСЭ изолята из сорта Родник с разной эффективностью (рис. 4в). Наибольшее повышение наблюдалось при обработке ГЩП: после инкубации с ферментом в течение 1 ч ИСЭ достигал 35.6 мин. Эффект увеличивался по мере инкубации вплоть до 1 ч, а затем снижался. БНП повышал ИСЭ данного изолята только после получасовой инкубации (до 32.9 мин), БЩП — после инкубации в течение 15 и 30 мин (до 27.5 и 28.3 мин соответственно), ГКП — после получасовой инкубации (только до 23 мин).
В случае сорта Фокор (рис. 4г) способностью повышать ИСЭ при рН 6.0 обладал только ферментный препарат БЩП (после инкубации в течение 15 мин параметр возрос до 26.5 мин). Возможно, различия с изолятом из сорта Родник объясняются более высоким исходным значением ИСЭ изолята из сорта Фокор.
Таким образом, для повышения стабильности эмульсии при рН 5.0 для изолята из сорта Родник можно рекомендовать обработку БЩП, а из сорта Фокор — ГКП, хотя величина эффекта обработки обоими ферментами невелика. При получении изолята из разных сортов гороха дать какие-либо рекомендации заранее весьма затруднительно, необходимо экспериментальное изучение воздействия того или иного фермента на конкретный изолят. Для повышения стабильности эмульсии при рН 6.0 для изолята из сорта Родник можно рекомендовать обработку БНП, ГЩП или БЩП, а из сорта Фокор — БЩП. С изолятом, полученным из разных сортов гороха, предпочтительнее использовать БЩП, поскольку его эффект более стабилен и менее зависим от взятого сорта гороха.
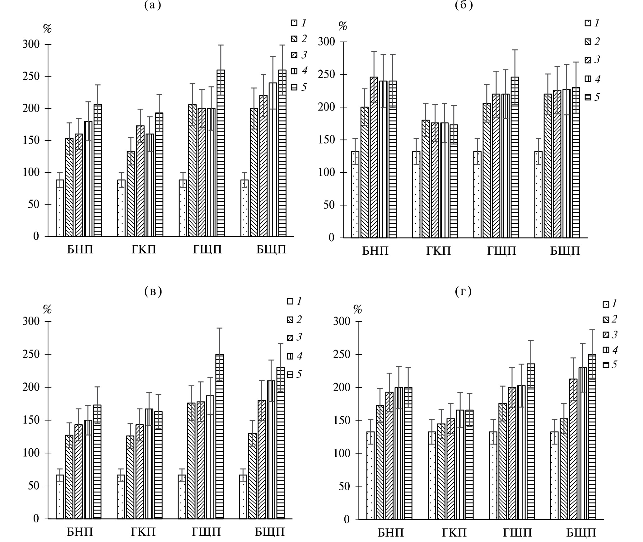
Влияние обработки протеолитическими ферментами на пенообразование изолятов. Исходное пенообразование при рН 5.0 у изолята, выделенного из сорта Родник, было заметно меньше, чем у выделенного из сорта Фокор, 88.3% против 132%. Обработка обоих изолятов всеми четырьмя исследованными ферментами заметно повышала их пенообразование. Однако величина эффекта при обработке различными ферментами, равно как и кинетика данного процесса, немного различалась у двух исследованных изолятов. Так, в случае изолята, выделенного из сорта Родник, была эффективна обработка препаратами ГЩП и БЩП: через 2 ч инкубации пенообразование достигало 260%. Ферменты БНП и ГКП были менее эффективны: после обработки в течение 2 ч они повышали пенообразование только до 206 и 193% соответственно. Кинетика развития эффекта у четырех последних ферментных препаратов была в общем похожей. В случае изолята, выделенного из сорта Фокор, обработка препаратами БНП, ГЩП и БЩП также существенно повышала пенообразование: после получасовой инкубации с первым из них значение данного параметра достигло 246%, а после двухчасовой инкубации со вторым и третьим — 246 и 230% соответственно. ГКП продемонстрировал наименьший эффект: после инкубации в течение 15 мин пенообразование достигало лишь 180%. При этом эффект ГЩП постепенно увеличивался по мере инкубации, эффект БЩП и ГКП выходил на плато уже через 15 мин инкубации, а эффект БНП — через 30 мин.
При рН 6 исходное пенообразование у изолята, выделенного из сорта Родник, также было заметно меньше, чем у выделенного из сорта Фокор: 66,6% против 133%. Обработка изолята, выделенного из сорта Родник, всеми четырьмя исследованными ферментами также повышала их пенообразование. Наибольшее повышение данного параметра наблюдалось при воздействии ГЩП: после двухчасовой обработки пенообразование увеличилось до 250% (рис. 5в). Почти столь же эффективна была обработка препаратом бактериальной сериновой протеазы БЩП: через час инкубации с первым ферментом пенообразование достигало 240%, а через два часа инкубации со вторым — 230%. БНП и ГКП оказались менее эффективны: двухчасовая обработка первым из них повышала пенообразование только до 173%, а часовая обработка вторым — до 167%. Обработка изолята БНП, ГЩП и БЩП приводила к постепенному повышению пенообразования, эффект обработки ГКП достигал максимума через час инкубации, затем немного снижался. В случае изолята, выделенного из сорта Фокор, наибольшее повышение пенообразования также наблюдалось при воздействии БЩП и ГЩП — 250 и 236% соответственно (рис. 5г). БНП повышал данный параметр только до 200%. ГКП не повышал пенообразование изолята, выделенного из гороха сорта Фокор, статистически достоверно. У всех испытанных ферментов максимальный эффект наблюдался после двухчасовой инкубации, при этом у четырех ферментов (кроме ГКП) он становился статистически достоверным после получасовой инкубации.
Рис. 5. Влияние обработки БНП, ГКП, ГЩП и БЩП на пенообразование изолятов горохового белка сортов Родник (а, в) и Фокор (б, г) при рН 5 (а, б) и 6 (в, г) при различном времени обработки: 1 — без обработки; 2 — 15 мин; 3 — 30 мин; 4 — 1 ч; 5 — 2 ч.
Таким образом, для повышения пенообразования изолятов, полученных из различных сортов гороха (в том числе из разных), можно порекомендовать обработку препаратами сериновых протеаз (БШП, ГЩП). Они продемонстрировали хорошую способность повышать данный параметр как при рН 5.0, так и при рН 6.0.
Влияние обработки протеолитическими ферментами на стабильность пены изолятов. Исходная стабильность пены при рН 5 у изолята, выделенного из сорта Родник, была заметно выше, чем у выделенного из сорта Фокор: 68 против 55%. Среди исследуемых ферментов стабильность пены изолята из сорта Родник повышали БЩП до 85%, БНП и ГКП — до 80%. При этом БЩП плавно повышал стабильность пены изолята Родник с течением времени (рис. 6а), максимальный эффект обработки БНП наступал после часовой инкубации, а обработки ГКП — после инкубации в течение 15 мин, после чего эффект этих двух ферментов исчезал.
В случае изолята, выделенного из сорта Фокор, стабильность пены повышалась при обработке всеми четырьмя исследованными ферментами. Наибольший эффект продемонстрировали БНП, ГЩП и БЩП: они повышали данный параметр до 72–73%, тогда как ГКП только до 66% (рис. 6). При обработке БНП статистически достоверное повышение стабильности пены изолята из сорта Фокор наблюдалось, начиная с часовой инкубации и достигало максимума после двухчасовой, эффект ГЩП и БЩП выходил на плато после инкубации в течении 15 мин, а эффект ГКП достигал максимума после получасовой инкубации, а затем исчезал. Возможно, различия с изолятом из сорта Родник объяснялись более низкой исходной стабильностью пены изолята из сорта Фокор.
Рис. 6. Влияние обработки БНП, ГКП, ГЩП и БЩП на стабильность пены изолятов горохового белка сортов Родник (а, в) и Фокор (б, г) при рН 5.0 (а, б) и 6 (в, г) при различном времени обработки: 1 — без обработки, 2 — 15 мин; 3 — 30 мин; 4 — 1 ч; 5 — 2 ч.
При рН 6.0 исходная стабильность пены у изолята, выделенного из сорта Родник, была заметно выше, чем у выделенного из сорта Фокор: 68 против 46% (рис. 6в). При обработке изолята из сорта Родник всеми изученными ферментами ни в одном случае не наблюдалось повышение стабильности пены при рН 6.0: протеолиз приводил только к уменьшению данного параметра. В отличие от изолята из сорта Родник, ограниченный протеолиз изолята из сорта Фокор увеличивал стабильность пены (рис. 6г). Наибольшее увеличение данного параметра наблюдалось при двухчасовой обработке изолята ГЩП (до 73%). БНП и ГКП показали меньший эффект: часовая инкубация с первым из них повышала стабильность пены до 64%, а получасовая инкубация со вторым — до 61%. Наименьший эффект наблюдался при обработке БЩП: после инкубации в течение 15 мин стабильность пены увеличилась только до 52%. Обработка ГЩП постепенно повышала стабильность пены изолята Фокор по мере инкубации с ферментом, эффект БНП достигал максимума после часовой инкубации, эффект ГКП после получасовой, а эффект БЩП — после инкубации в течение 15 мин, при дальнейшей инкубации с этими ферментами стабильность пены изолята из сорта Фокор снижалась. Вероятно, различия с изолятом из сорта Родник также объясняются более низкой исходной стабильностью пены изолята из сорта Фокор. Таким образом, для повышения стабильности пены при рН 5.0 изолята из сорта Родник можно рекомендовать обработку БНП, ГКП или БЩП, а из сорта Фокор — БНП, ГЩП или БЩП. Если же приходится иметь дело с изолятом, полученным из разных сортов гороха, то предпочтительнее использовать БНП или БЩП, поскольку их эффект более стабилен и менее зависим от взятого сорта гороха. Ни один из исследованных ферментов не повышал стабильность пены изолята из сорта Родник при рН 6.0, однако у этого изолята она и так была значительно выше, чем у изолята из сорта Фокор, последний только после самой эффективной обработки начинал превосходить изолят из сорта Родник по этому показателю, да и то ненамного. Это обстоятельство позволяет использовать изолят из сорта Родник без дальнейшего повышения стабильности пены. Что же касается изолята из сорта Фокор, то можно рекомендовать его обработку ГЩП. Препарат умеренно понижал стабильность пены изолята, полученного из сорта Родник, в связи с чем его можно использовать и для обработки изолятов, полученных из разных сортов гороха.
В случае необходимости комплексного улучшения функционально-технологических свойств изолята, предназначенного для производства продуктов с рН в диапазоне 5.0–6.0, с помощью обработки одним ферментом, то наиболее предпочтительным выбором будет использование БЩП. Этот фермент весьма существенно повышал растворимость изолятов при рН 5.0, эмульгирующую активность при рН 5.0 и 6.0, стабильность эмульсии при рН 6.0, пенообразование при рН 5.0 и 6.0, а также стабильность пены при рН 5.0.
Таким образом, в результате проведенной работы было исследовано влияние различных протеолитических ферментных препаратов отечественного производства на целый ряд характеристик изолятов горохового белка при слабокислых значениях рН, включая растворимость, эмульгирующую активность, стабильность эмульсии, пенообразование и стабильность пены. Были идентифицированы ферменты и отработаны условия обработки, позволяющие существенно повысить эти параметры изолятов, имеющие важнейшее значение при производстве растительных аналогов животных продуктов, а также продуктов для спортивного и лечебного питания.
Об авторах
И. В. Кравченко
Федеральный исследовательский центр «Фундаментальные основы биотехнологии» РАН
Автор, ответственный за переписку.
Email: ink71@yandex.ru
Институт биохимии им. А. Н. Баха
Россия, Москва, 119071В. А. Фуралев
Федеральный исследовательский центр «Фундаментальные основы биотехнологии» РАН
Email: ink71@yandex.ru
Институт биохимии им. А. Н. Баха
Россия, Москва, 119071Е. В. Костылева
Всероссийский научно-исследовательский институт пищевой биотехнологии — филиал Федерального исследовательского центра питания, биотехнологии и безопасности пищи
Email: ink71@yandex.ru
Россия, Москва, 111033
А. С. Середа
Всероссийский научно-исследовательский институт пищевой биотехнологии — филиал Федерального исследовательского центра питания, биотехнологии и безопасности пищи
Email: ink71@yandex.ru
Россия, Москва, 111033
Е. И. Курбатова
Всероссийский научно-исследовательский институт пищевой биотехнологии — филиал Федерального исследовательского центра питания, биотехнологии и безопасности пищи
Email: ink71@yandex.ru
Россия, Москва, 111033
Н. В. Цурикова
Всероссийский научно-исследовательский институт пищевой биотехнологии — филиал Федерального исследовательского центра питания, биотехнологии и безопасности пищи
Email: ink71@yandex.ru
Россия, Москва, 111033
Е. С. Пшенникова
Федеральный исследовательский центр «Фундаментальные основы биотехнологии» РАН
Email: ink71@yandex.ru
Институт биохимии им. А. Н. Баха
Россия, Москва, 119071Т. В. Бояринцева
Федеральный исследовательский центр «Фундаментальные основы биотехнологии» РАН
Email: ink71@yandex.ru
Институт биохимии им. А. Н. Баха
Россия, Москва, 119071В. О. Попов
Федеральный исследовательский центр «Фундаментальные основы биотехнологии» РАН
Email: ink71@yandex.ru
Институт биохимии им. А. Н. Баха
Россия, Москва, 119071А. Н. Федоров
Федеральный исследовательский центр «Фундаментальные основы биотехнологии» РАН
Email: ink71@yandex.ru
Институт биохимии им. А. Н. Баха
Россия, Москва, 119071Список литературы
- Tesarowicz I., Zawiślak A., Maciejaszek I., Surówka K. // International J. Food Sciences. 2022. V. 2022. P. 6187441. https://doi.org/10.1155/2022/6187441
- Schlegel K., Sontheimer K., Eisner P., Schweiggert-Weisz U. // Food Science & Nutrition. 2019. V. 8. P. 3041–3051. https://doi.org/10.1002/fsn3.1286
- Meinlschmidt P., Schweiggert-Weisz U., Brode V., Eisner P. // LWT — Food Science & Technology. 2016. V. 68. P. 707–716. https://doi.org/10.1016/j.lwt.2016.01.023
- Yust M. M., Pedroche J., Millán-Linares M. C., Alcaide-Hidalgo J.M., Millán F. // Food Chemistry. 2010. V. 122. № 4. P. 1212–1217. https://doi.org/10.1016/j.foodchem.2013.11.053
- Yust M. M., Millán-Linares M. D. C., Alcaide-Hidalgo J. M., Millán F., Pedroche J. // Food Science & Technology International. 2013. V. 19. P. 217–223. https://doi.org/10.1177/1082013212442197
- Paraman I., Hettiarachchy N. S., Schaefer C., Beck M. I. // Cereal Chemistry. 2007. V. 84. P. 343–349. https://doi.org/10.1094/CCHEM-84-4-0343
- Neves V. A., Lourenço E. J., da Silva M. A. // Arch. Latinoam. Nutr. 1996. V. 46. № 3. P. 238–242.
- Higgins T. J., Chandler P. M., Randall P. J., Spencer D., Beach L. R., Blagrove R. J., Kortt A. A., Inglis A. S. // J. Biol. Chem. 1986. V. 261. P. 11124–11130. https://doi.org/10.1016/S0021-9258(18)67357-0
- Stone A. K., Karalash A., Tyler R. T., Warkentin T. D., Nickerson N. T. // Food Research International. 2015. V. 76. P. 31–38. doi: 10.1016/j.foodres.2014.11.017
- Asen N. D., Aluko R. E. // Front Nutr. 2022. V. 9. P. 852225. https://doi.org/10.3389/fnut.2022.852225
- Ivanova P., Kalaydzhiev H., Dessev T. T., Silva C. L. M., Rustad T., Chalova V. I. J. // Food Sci. Technol. 2018. V. 55. № 9. P. 3792–3798. https://doi.org/10.1007/s13197-018-3311-y
- Nielsen P. M., Petersen D., Dambmann C. // J. Food Sci. 2001. V. 66. № 5. P. 642–646. https://doi.org/10.1111/j.1365-2621.2001.tb04614.x
- Adler-Nissen J. Enzymic Hydrolysis of Food Proteins. // New York: Elsevier Applied Science Publishers, 1986. 427 р.
- Matoba T. // Agric Biol Ghem. 1972. V. 36. P. 1423–1443. https://doi.org/10.1080/00021369.1972.10860410
- Barac M., Cabrilo S., Pesiesic M., Stanojevic S., Zilic S., Macej O., Ristic N. // Int. J. Mol. Sci. 2010. V. 1. P. 4973–4990. https://doi.org/10.3390/ijms11124973
- Robinson G. H.; Domoney C. // Plant Physiol. Biochem. 2021. V. 158. P. 353–362. https://doi.org/10.1016/j.plaphy.2020.11.020
- Klost M., Drusch S. // Food Hydrocoll. 2019. V. 86. P. 134–140. https://doi.org/10.14279/depositonce-9553
Дополнительные файлы









