Конструирование вариантов рекомбинантного эндолизина LysSi3 для повышения его антибактериальной активности
- Авторы: Антонова Н.П.1, Григорьев И.В.1, Лендел А.М.1, Усачева О.В.1, Климова А.А.1, Усачев Е.В.1, Гущин В.А.1,2, Васина Д.В.1
-
Учреждения:
- Национальный исследовательский центр эпидемиологии и микробиологии имени Н.Ф. Гамалеи Минздрава России
- Первый Московский государственный медицинский университет имени И.М. Сеченова Минздрава России (Сеченовский университет)
- Выпуск: Том 60, № 5 (2024)
- Страницы: 455-464
- Раздел: Статьи
- URL: https://journal-vniispk.ru/0555-1099/article/view/283873
- DOI: https://doi.org/10.31857/S0555109924050033
- EDN: https://elibrary.ru/QTWCJY
- ID: 283873
Цитировать
Полный текст
Аннотация
Изучен потенциал применения новых генно-инженерных эндолизинов в качестве противомикробных агентов в отношении грамотрицательных бактерий. Для этого был получен ряд рекомбинантных лизинов на основе мурамидазы LysSi3 за счет модификации ее последовательности противомикробными пептидами из различных групп. Показана возможность получения сконструированных ферментов в рекомбинантной системе экспрессии Escherichia coli. Модификация LysSi3 позволила получить ферменты, обладающие более высокой бактериолитической активностью и скоростью действия в отношении модельного изолята Aсinetobacter baumannii по сравнению с нативным ферментом. Изучены цитотоксические свойства новых генно-инженерных лизинов на клеточных линиях HEK293 и HaCaT, и показано, что модификация LysSi3 противомикробными пептидами не приводила к значительному повышению токсического действия in vitro.
Полный текст
Перспективным направлением разработки средств профилактики и лечения устойчивых к действию антибиотиков бактериальных инфекций является терапия препаратами на основе литических ферментов бактериофагов – эндолизинов. За счет действия на консервативные структуры клеток риск быстрого развития бактериальной устойчивости к таким препаратам минимален. Широкий спектр действия эндолизинов, выделенных из бактериофагов грамотрицательных бактерий, позволяет использовать такие препараты при лечении системных инфекций различной этиологии, а их способность действовать в отношении бактериальных пленок открывает широкие возможности применения для профилактики и лечения раневых инфекций [1].
Относительно небольшое количество проектов, связанное с использованием рекомбинантных лизинов против грамотрицательных бактерий, обусловлено трудностью преодоления внешней мембраны этих патогенов, что отложило развитие данного направления на несколько лет по сравнению с эндолизинами против грамположительных бактерий. Для повышения пермеабилизующей способности лизинов предложены различные подходы, например, комбинирование эндолизинов с агентами, повышающими проницаемость мембран, таких как ЭДТА и органические кислоты [2].
Другим подходом является получение гибридных молекул лизинов с последовательностями, обеспечивающими активный транспорт лизинов через белковые каналы, пронизывающие мембраны грамотрицательных бактерий. Например, был получен гибридный лизин PyS2-GN4, включающий фрагмент бактериоцина синегнойной палочки PyS2, позволявшего ферменту связываться с поверхностным рецептором бактерий и транслоцироваться через наружную мембрану [3]. Кроме того, известен пример химерной молекулы лизин-колицин А, способной пересекать внешнюю мембрану Escherichia coli с помощью поверхностного рецептора BtuB и порообразующего канала OmpF [4].
Однако наиболее универсальным считается применение методов модификации белка антимикробными пептидами пермеабилизующего действия (АМП). Такой инженерный подход позволил решить проблему проницаемости и значительно расширить спектр действия препаратов на основе ферментов для борьбы с критически важными возбудителями, такими как Pseudomonas aeruginosa, Acinetobacter baumannii, E. coli и Klebsiella pneumoniae [5, 6]. Модификации нативных полипептидов эндолизинов путем введения в последовательность рекомбинантного белка АМП позволяет такой гибридной молекуле эффективно проникать через наружную мембрану бактериальной клетки к своей мишени – пептидогликану и разрушать его. Пермеабилизующие пептиды неспецифично взаимодействуют с гидрофобными или ионными связями ЛПС наружных мембран и таким образом дестабилизируют мембрану и приводят к ее локальным нарушениям [7]. Спектр известных противомикробных пептидов крайне широк и включает группы, различающиеся по структуре и свойствам [5]. В качестве пептидов используют такие как антимикробный пептид SMAP-29 [8], цекропин A [9], пептид PCNP [10], последовательности, насыщенные гидрофобными аминокислотами [11], и другие. Они значительно различаются по свойствам и спектру действия, но системного исследования влияния модификаций пептидами на свойства гибридных молекул не проводилось. Тем не менее, простая гибридизация АМП на N- или C-конце лизина не всегда приводит к созданию высокоактивного фермента. Для получения вариантов адекватно действующих при низких концентрациях необходимо перебрать широкий спектр комбинаций функциональных доменов, возможность включения линкеров и др.
Цель работы – получение новых бактериолитических ферментов, обладающих высокой активностью в отношении грамотрицательных бактерий, на основе рекомбинантных эндолизинов, модифицированных противомикробными пептидами различных групп, а также исследование влияния вводимых пептидов на in vitro свойства получаемых ферментов.
МЕТОДИКА
Бактериальные штаммы и условия культивирования. В работе были использованы штаммы E. coli для рекомбинантной экспрессии белков, а также клинический изолят A. baumannii, выделенный из мокроты пациента, для исследования свойств ферментов (коллекция лаборатории трансляционной биомедицины НИЦЭМ им. Н.Ф. Гамалеи). Была проведена оценка устойчивости изолята A. baumannii к противомикробным препаратам по минимальным ингибирующим концентрациям препаратов (МИК) методом серийных микроразведений. Показано, что изолят обладал устойчивостью к ампициллину и хлорамфениколу. Все культуры хранили при –80°C, культивировали в соответствующей среде при 37°C при перемешивании 250 об./мин в течение ночи перед проведением анализов.
Получение генетических конструкций модифицированных вариантов эндолизинов. Выбор пептидов для модификации эндолизина LysSi3 и поиск последовательностей для создания генно-инженерных конструкций проводили с использованием публичных баз данных Database of Antimicrobial Activity and Structure of Peptides (DBAASP) [12] и Antimicrobial peptide database APD3 (https://aps.unmc.edu).
Для получения ферментов, модифицированных противомикробными пептидами (LysSi3-АМП), была использована генетическая конструкция на основе экспрессионного вектора pET-42b (+), кодирующая последовательность эндолизина LysSi3 (pET42b-LysSi3) [13]. Все нуклеотидные последовательности дополнительной вставки, соответствующей пептидам, были сконструированы из олигонуклеотидных праймеров (“GenTerra”, Россия) длиной до 70 нуклеотидов путём их перекрытия (табл. 1). Полученные ПЦР фрагменты нуклеотидной последовательности эндолизина с АМП и вектора сливали методом Гибсона.
Таблица 1. Праймеры, используемые для получения конструкций
№ | Название конструкции | Праймер | Последовательность использованных олигонуклеотидных праймеров, 5'–3' |
1 | Вектор (pET42b-LysSi3) | ACPvecF | CGAAAGGAAGCTGAGTTGGCTGCT |
ACPR | AGCCAACTCAGCTTCCTTTCGCTAGGCGACCACAGGTTTGCG | ||
2 | pET42b-LysSi3-CeA | CeaR | AATcTTcTTgAACAGcTTCCAcTTCTCGAGCTTTGGGTATACACTGTC |
CeaF | AAGTGGAAGCTGTTCAAGAAGATTTAAGGGAATTAGAAGAATGAGTGTGATCGCTAAAC | ||
3 | pET42b LysSi3-HIS5 | His5R | CTTCTCGTGGAACTTGCGCTTATAGCCGTGATGGCGTTTCGCGTGGCTATCCTCGAGCTTTGGGTATACACTGTCAAG |
His5F | AGCGCAAGTTCCACGAGAAGCACCATAGCCATCGCGGCTATTAAGGGAATTAGAAGAATGAGTGTGATCGCTAAAC | ||
4 | pET42b LysSi3-GG3 | GG3R | CGCCTTTCAACCACAACTTACCACCCTTCAGCCACAGTTTGCCCTCGAGCTTTGGGTATACACTGTCAAG |
GG3F | GTGGTAAGTTGTGGTTGAAAGGCGGGAAACTGTGGTTAAAGGGCTAAGGGAATTAGAAGAATGAGTGTGATCGCTAAAC |
Смесь собранных фрагментов ДНК трансформировали в химически компетентные клетки E. coli Top10 (“Invitrogen”, США) методом теплового шока. Клеточную культуру после трансформации высевали на чашки Петри с агаризованной средой 2YT (состав, г/л: пептон – 16.0; дрожжевой экстракт – 10.0, NaCl – 5.0, агар – 15.0), содержащей селективный антибиотик канамицин. Для выросших колоний проверялось наличие нуклеотидного фрагмента исследуемого эндолизина методом ПЦР. Плазмидную ДНК выделяли из культуры бактерий, выращенных в среде 2YT в течение 18–20 ч, набором Plasmid Miniprep (“Евроген”, Россия), согласно протоколу производителя.
Соответствие последовательности полученных конструкций теоретическим подтверждали секвенированием открытой рамки считывания плазмидной ДНК с эндолизином и АМП-модификациями методом Сэнгера с использованием BigDay™ Terminator V3.1 (“Applied Biosystems”, USA). В качестве олигонуклеотидных праймеров для секвенирования использовали lacOseqF и ACPRseq как универсальные праймеры для кольцевого вектора pET42b и хромопротеина, Si3seqF (5'-CAGACGTAGAATGGAAGCT-3′) и Si3R как специфические, комплементарные нуклеотидной последовательности лизина Si3 (5'-CTCGAGCTTTGGGTATACACTGTCAAGA-3′).
Экспрессия модифицированных белков. Полученные химерные конструкции трансформировали методом теплового шока в экспрессионный лабораторный штамм E. coli Rosetta(DE3) (“Novagen”, Германия), после чего нарабатывали биомассу, содержащую лизины в среде 2YT и селективные антибиотики (канамицин и хлорамфеникол) при индукции 1 мМ ИПТГ в течении 3–4 ч.
Очистка белков. Рекомбинантный эндолизин LysSi3 был получен, как описано ранее [13]. Очистку модифицированных белков проводили с помощью двухстадийной хроматографии лизата клеток-продуцентов с использованием катионообменного сорбента SP-sepharose (“GE Healthcare”, США) и гель-эксклюзионного сорбента Superdex 75pg (“GE Healthcare”, США), проводя элюцию в фосфатно-солевом буфере PBS, рН 7.4 (“VWR”, США). Конечную концентрацию белков определяли путем измерения OD280 (Implen NanoPhotometer, “IMPLEN”, Германия) с учетом теоретических коэффициентов поглощения. Чистоту полученных препаратов подтверждали с помощью денатурирующего ПААГ-электрофореза. Все белки лиофилизировали и хранили при –80°С до проведения экспериментов.
Определение противомикробной активности эндолизинов. Для оценки активности белков против бактерий в экспоненциальной фазе роста культуру A. baumannii разбавляли в свежей питательной среде и подращивали при 37°С, 250 об/мин до оптической плотности OD600 = 0.6. Для анализа активности ферментов в отношении бактерий в стационарной фазе использовали культуру выращенную в течение 18–20 ч, без подращивания. Далее 1 мл культуры осаждали центрифугированием в течение 5 минут (6000 g) и ресуспендировали осадок в PBS, pH 7.4 до мутности полученной суспензии, соответствующей стандарту мутности МакФарланда 0.5. Бактериальную суспензию разбавляли в 100 раз в буфере 20 мМ Трис-HCl pH 7.5.
Ферменты разводили в 20 мМ Трис-HCl pH 7.5 до концентраций 0.2 мкг/мл, 2.0 мкг/мл или 20.0 мкг/мл. В лунки планшета вносили по 100 мкл суспензии и 100 мкл подготовленных растворов эндолизинов и инкубировали 60 мин при 200 об/мин, 37°С. В качестве отрицательного контроля использовали раствор 20 мМ Трис-HCl, pH 7.5, и 100 мкл суспензии бактерии. Далее, суспензию разводили в 10 раз PBS и наносили по 100 мкл на чашки Петри. Результат оценивали, подсчитывая колониеобразующие единицы (КОЕ) после ночной инкубации в термостате при 37°С. Все эксперименты были проведены в трехкратной повторности.
Определение скорости действия эндолизинов. Для измерения скорости действия анализ проводили, как описано выше при конечной концентрации ферментов 1.0 мкг/мл и времени инкубации с бактериальной культурой 0 (без инкубации), 5, 10, 30, 60 мин.
Противобиопленочная активность. Штамм A. baumannii, образующий биопленки, культивировали в течение ночи в среде TSB (BD Tryptic Soy Broth). Затем культуры разводили 1 : 50 свежим TSB, вносили по 100 мкл в лунки 96-луночных стерильных полистироловых планшетов для культивирования суспензионных культур (“Eppendorf”, Германия) и инкубировали в течение 48 ч при 37°C, 250 об./мин, чтобы обеспечить формирование биопленки. После инкубации содержимое лунок с планктонными клетками стряхивали, планшет трижды промывали PBS рН 7.4, и сушили на воздухе в течение примерно 10 мин. Затем в лунки добавляли растворы эндолизинов до конечной концентрации 100 мкг/мл или 20 мМ Трис-HCl рН 7.5, в качестве отрицательного контроля и инкубировали при 37°С, 250 об./мин в течение 2 ч. После инкубации лунки дважды промывали 200 мкл PBS pH 7.4, и сушили на воздухе. Промытые биопленки окрашивали 0.1% водным раствором кристаллического фиолетового (“PanReac AppliСhem”, Испания) в течение 20 мин при комнатной температуре с последующим трехкратным промыванием бидистиллированной водой, подсушивали на воздухе и растворяли в 33%-ной уксусной кислоте. Оптическую плотность полученных растворов измеряли при 590 нм (ОD590) с помощью прибора для измерения поглощения SPECTROstar NANO (“BMG LABTECH”, Германия). Все эксперименты проводились в трех повторностях.
Цитотоксическое действие. Клетки линий HEK293 и HaCaT (American Type Culture Collection) засевали в 96-луночный планшет (“Eppendorf”, Германия) из расчета 20000 кл./лунку в 100 мкл среды DMEM (“ПанЭко”, Россия) с добавлением 10% фетальной бычьей сыворотки, 2 мM глутамина (“ПанЭко”, Россия) и смеси антибиотиков пенициллина (50 Ед./мл) и стрептомицина (50 мкг/мл) до конфлюэнтности монослоя 80–90% в течение 24 ч при 37°C, в увлажненной атмосфере с содержанием 5% CO2. Далее из лунок удаляли среду и вносили 100 мкл растворов эндолизинов в концентрациях от 1000 мкг/мл до 15.6 мкг/мл (2-кратные разведения белков в стерильной базовой среде DMEM с добавлением 10% фетальной бычьей сыворотки и 2 мM глутамина). В качестве контроля выживаемости в лунки вносили 100 мкл базовой среды DMEM. При анализе данных значения в этих лунках принимали за 100% (Ymax). В качестве положительного контроля использовали значения в лунках, содержащих 100 мкл 0.1% Тритон X-100 (“Хеликон”, Россия), при анализе данных их принимали за 0% (Ymin). Каждую концентрацию анализировали в трех повторностях.
Планшеты инкубировали в термостате при 37°C в атмосфере с содержанием 5% CO2 в течение 24 ч, затем вносили по 100 мкл тетразолиевого красителя MTT (“Диаэм”, Россия) до итоговой концентрации 0.5 мг/мл. Смеси инкубировали в течение еще 4 ч при 37°C в 5%-ном CO2. После инкубации из лунок планшета удаляли всю жидкость, вносили по 100 мкл DMSO и измеряли оптическую плотность при длине волны 570 нм (OD570). Долю живых клеток в каждой лунке для каждой концентрации препарата вычисляли, используя следующую формулу:
ЖС = (Yоб – Yмин)/(Yмакс – Yмин) × 100%,
где ЖС – жизнеспособность, % живых клеток;
Yоб – значение OD570 для образца в определенной концентрации;
Yмакс – среднее значение OD570 в лунках с контролем живых клеток (среда DMEM);
Yмин – среднее значение OD570 в лунках с 0.1% Тритон X-100, контроль мертвых клеток.
Статистическая обработка данных. Результаты были проанализированы и проиллюстрированы с использованием программного обеспечения GraphPad Prism 10.0. Сравнение проведено с использованием однофакторного дисперсионного анализа с учетом критерия множественных сравнений Тьюки. Данные представлены как средние значения трех независимых экспериментов ± стандартное отклонение, SD.
РЕЗУЛЬТАТЫ И ИХ ОБСУЖДЕНИЕ
Инженерия и получение модифицированных эндолизинов. В качестве фермента для модификации был выбран фаговый эндолизин LysSi3, который ранее был охарактеризован [13] как гликозидгидролаза 24 семейства (мурамидаза, GH24) с выраженной антимикробной активностью в отношении бактерий видов P. aeruginosa, A. baumannii, E. coli. При этом, LysSi3 обладал невысокой скоростью противомикробного действия по сравнению с другими эндолизинами, элиминируя 99.9% КОЕ контрольного штамма более, чем за 99 мин. Кроме того, LysSi3 избирательно активен в отношении изолятов K. pneumoniae, Salmonella sp. и Enterobacter sp. [14], а его активность практически полностью ингибируется в присутствии физиологических концентраций соли. Таким образом, не смотря на высокий потенциал действия этого фермента, у него есть ряд недостатков, не позволяющих его рассматривать в качестве действующего вещества противомикробных препаратов.
Модификация нативных эндолизинов введением дополнительных последовательностей, обладающих противомикробной активностью, например, за счет дестабилизации и пермеабилизации внешней мембраны грамотрицательных бактерий, широко применяется для получения кандидатных средств терапии против инфекций, вызываемых такими патогенами. Использование АMП является универсальной стратегией и основано на их физико-химических свойствах. В основном, для этих целей используют поликатионные, гидрофобные, амфипатические последовательности [11, 15]. Несмотря на то, что существуют высокопроизводительные платформы для создания и предсказания свойств таких генно-инженерных конструкций [16], этот подход к конструированию ферментов все равно остается достаточно трудоемким, и требует большого количества экспериментальной работы на этапах скрининга. С другой стороны, системный анализ влияния пептидов на свойства инженерных эндолизинов отсутствует, а описанные исследования ограничены несколькими примерами гибридизации.
Для получения химерных белков LysSi3-АМП выбирали противомикробные пептиды, относящиеся к различным группам по аминокислотному составу. Помимо этого, для пептидов должна быть показана способность проникать через внешнюю мембрану грамотрицательных бактерий, и отсутствие значимого цитотоксического действия на клетки эукариот. По этим критериям, для исследования были выбраны три пептида Цекропин А (1–8) (DBAASPS_9963), Гистатин 5 (DBAASPR_15) и синтетический пептид GG3 (DBAASPS_8820). Их гибридизовали на С-конце последовательности LysSi3, в результате получая модифицированные ферменты: LysSi3-CeA, LysSi3-HIS5 и LysSi3-GG3.
Цекропин А (CeA) — один из наиболее широко изученных антимикробных пептидов, продуцируемый насекомыми в качестве компонента защитной системы от бактериальных инфекций. В зависимости от соотношения в среде пептид/липид, CeA формирует либо ионные каналы (при низких соотношениях), либо поры, достаточные, чтобы могли проходить различные молекулы (при более высоких соотношениях) [17]. Цекропины и их производные пептиды широко используют для модификации эндолизинов с целью получения ферментов, активных в отношении грамотрицательных бактерий, таких видов как A. baumannii, K. pneumoniae, E. coli и Enterobacter cloacae [18–20].
Гистатины представляют собой семейство небольших катионных пептидов, в составе которых присутствует большое количество основных аминокислот, таких как аргинин, лизин и, главным образом, гистидин [21]. Аминокислотная последовательность гистатина 5 (HIS-5) характеризуется случайной вторичной структурой, представляющей α-спираль с амфипатическими свойствами [22]. Несмотря на то, что гистатин в первую очередь рассматривался как пептид, активный в отношении C. albicans, его фрагмент, включающий аминокислотные остатки с 4 по 16, также проявляет антибактериальную активность в отношении P. aeruginosa, E. coli и S. aureus [23–25]. И хотя механизм действия HIS5 до конца не выяснен, известно, что пептид поглощается клеткой и индуцирует продукцию активных форм кислорода [26].
Глицин-богатый центросимметричный пептид GG3 – синтетически синтезированный пептид, сконструированный таким образом, чтобы обойти естественную иммунную защиту хозяина [27]. Он включает гидрофобные, положительно-заряженные аминокислоты, а также остатки Gly. При этом, GG3 показал селективность в отношении грамотрицательных бактерий, отсутствие серьезной гемолитической активности, а механизм его действия, по всей видимости, включает, помимо увеличения проницаемости бактериальной мембраны за счет формирования пор, также связывание с бактериальной ДНК.
Таким образом, все три пептида, используемые для модификации LysSi3 различались между собой как по физико-химическим свойствам и структуре, так и по механизму взаимодействия с внешними мембранами грамотрицательных бактерий.
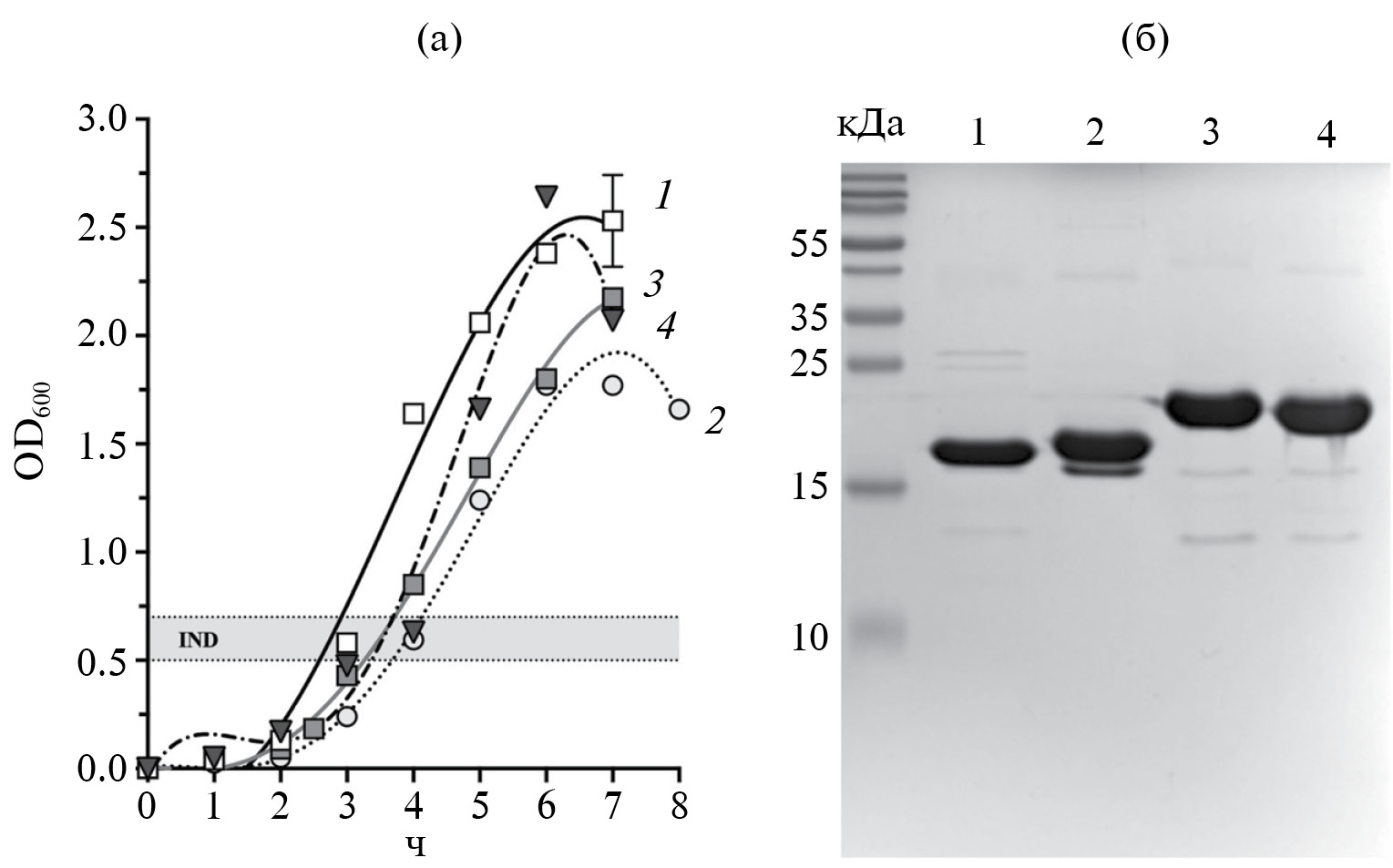
Все белки были получены в экспрессионной системе E. coli. Индукцию проводили при OD600 0.5–0.7 оптических ед. При этом, по сравнению с LysSi3, для модифицированных противомикробными пептидами белков наблюдалось замедление роста и накопления биомассы. А у штаммов, продуцирующих LysSi3-GG3 и LysSi3-CeA, спустя 3 ч индукции начинался лизис культуры и снижение оптической плотности (рис. 1а), вероятно, из-за накопления высокой концентрации эндолизинов в клетках продуцента и их токсичности.
Рис. 1. Кривые роста и накопления биомассы (а) и электрофорез в ПААГ очищенных белков (б): 1 – LysSi3, 2 – LysSi3-CeA, 3 – LysSi3-HIS5, 4 – LysSi3-GG3. IND – диапазон оптической плотности культуры, при которой вносили ИПТГ для индукции экспрессии белков.
Несмотря на это, выход белков после двухстадийной хроматографической очистки растворимой фракции составил 10.0; 3.18; 1.34 мг/г биомассы для LysSi3-CeA, LysSi3-HIS5 и LysSi3-GG3 соответственно, а препараты достигали высокой степени очистки (рис. 1б).
Таким образом, возможность получения белков в выбранной системе экспрессии подтверждено экспериментально, а получаемые количества достаточны для определения основных свойств.
Влияние модификаций на противомикробные свойства LysSi3. В ходе работы нами были оценены такие параметры антимикробной активности полученных ферментов, как эффективные концентрации эндолизинов, скорость действия в отношении модельного штамма A. baumannii, активность в отношении бактерий, находящихся в стационарной фазе роста, а также в составе биопленок.
В сравнении с нативным LysSi3 все модифицированные ферменты были более активными и в минимальной измеренной концентрации 0.1 мкг/мл активность составила 55.6, 88.8 и 98.3% для LysSi3-CeA, LysSi3-HIS5 и LysSi3-GG3 соответственно (рис. 2а). Активность LysSi3 в этой концентрации не превышала 20%. Также значительно возросла скорость действия эндолизинов, содержащих дополнительные пептиды, и при концентрации 1.0 мкг/мл LysSi3-CeA, LysSi3-HIS5 и LysSi3-GG3 потребовалось 11.8, 4.6 и 4.5 мин на элиминацию 90% бактерий, в то время как для LysSi3 это время составило 51 мин (рис. 2в). Помимо этого, эндолизины были активнее в отношении бактериальных клеток в стационарной фазе роста, причем LysSi3-HIS5 и LysSi3-GG3 полностью элиминировали бактерии в образцах (рис. 2б). Известно, что лизины обычно менее активны в отношении бактерий, находящихся в стационарной фазе и характеризующихся более устойчивой к внешним воздействиям клеточной стенкой по сравнению с экспоненциально растущими бактериальными клетками [28], что может ограничивать их применение в реальных условиях. В связи с этим, модификации, позволяющие добиться противомикробной активности, независимо от метаболического статуса клетки является большим преимуществом.
Рис. 2. Зависимость противомикробной активности (а) от концентрации LysSi3 и его модифицированных вариантов (I – 0.1 мкг/мл, II – 1.0 мкг/мл, III – 10.0 мкг/мл), активность в отношении бактерий в экспоненциальной (I) и стационарной (II) фазах роста штамма A. baumannii в концентрации 1.0 мкг/мл (б), скорость противомикробного действия (в), окрашивание массы сформированной бактериальной пленки A. baumannii кристаллическим фиолетовым после инкубации с ферментами (г), показаны значения оптической плотности для трех технических повторов. Для а–г: 1 – LysSi3, 2 – LysSi3-CeA, 3 – LysSi3-HIS5, 4 – LysSi3-GG3, К – контроль роста.
При оценке противобиопленочных свойств модифицированных белков оказалось, что нативный фермент, напротив, был наиболее активен, снижая массу бактериальной пленки в 2.5 раза относительно контроля (рис. 2г). Для модифицированных белков снижение составило 2.0; 1.4; 1.6 раз. Эти результаты могут быть, в частности, связаны с агрегацией молекул модифицированных белков за счет заряженных частей глобулы, и их взаимодействия с матриксом бактериальных пленок или полистирольной поверхностью планшета, что затрудняло действие ферментов в отношении сформированных бактериальных пленок. Так, например, при исследовании противобиопленочной активности бактериоцина лизостафина, в среду добавляют инертный белок (БСА), поскольку он предотвращает такое “налипание” [29]. Действительно способность модифицированных ферментов разрушать сформированные биопленки соотносится с общим зарядом исследованных модифицированных белков (табл. 2), тем не менее, природа снижения активности модифицированных ферментов в отношении биопленок требует дополнительных исследований.
Таблица 2. Характеристики модифицированных лизинов и пептидов, использованных в работе
Фермент | LysSi3 | LysSi3-CeA | LysSi3-HIS5 | LysSi3-GG3 |
Пептид для модификации | – | Cecropin A (1–8) | Histatin 5 | GG3 |
Последовательность АМП | – | KWKLFKKI | DSHAKRHHGYKRKF HEKHHSHRGY | GKLWLKGGKLWL KGGKLWLKG |
ID в базе dbaasp | – | DBAASPS_9963 | DBAASPR_15 | DBAASPS_8820 |
Источник АМП | – | Hyalophora cecropia | Homo sapiens | Синтетический |
Заряд белка*, pH 7.5 | 4.4 | 7.7 | 9.3 | 9.7 |
Молмасса белка*, кДа | 18.5 | 18.5 | 20.5 | 19.8 |
pI белка* | 9.05 | 9.47 | 9.51 | 9.59 |
Коэфф. экстинкции при 280 нм*, (мг/мл)–1см–1 | 1.0289 | 1.3379 | 1.0575 | 1.827 |
Характеристика АМП | – | Lys-насыщенный, альфа-спираль | Histatins, His- насыщенный, альфа-спираль | Gly-насыщенный, центросимметричный пептид |
Предполагаемый механизм действия | Гидролиз пептидогликана (ПГ) по β-1,4-гликозидной связи | Гидролиз ПГ + OMP (ковровая модель, ионные каналы) | Гидролиз ПГ + OMP (пептид-фосфолипидные взаимодействия) | Гидролиз ПГ + OMP (модель тороидальной поры), связывание с ДНК |
Мишень | ПГ | ПГ, липидный бислой | ПГ, липидный бислой | ПГ, липидный бислой, ДНК/РНК |
Ссылки | [13] | [18] | [27] |
* Расчетное значение (https://protcalc.sourceforge.net);
** OMP – пермеабилизация внешней мембраны.
Таким образом, все генно-инженерные белки, полученные в ходе исследования, характеризовались более высокой противомикробной активностью, по сравнению с нативной мурамидазой LysSi3, и обладали более высокой скоростью действия на планктонные клетки. При этом, повышение противомикробной активности происходит в ряду LysSi3 < LysSi3-CeA < LysSi3-HIS5 < LysSi3-GG3 и коррелирует с расчётным общим зарядом белка, который при pH 7.5 составляет 4.4; 7.7; 9.3 и 9.7 соответственно.
Цитотоксические свойства модифицированных ферментов. Несмотря на хорошие противомикробные свойства, дальнейшее применение литических ферментов, проявляющих высокую цитотоксическую активность, может быть ограничено. Это же относится и к противомикробным пептидам, активность которых часто является неспецифичной, в результате чего они способны поражать и эукариотические клетки [30, 31].
Чтобы исследовать цитотоксические свойства полученных белков, мы оценили выживаемость клеток почки эмбриона человека HEK293 (рис. 3а) и кератиноцитов HaCaT (рис. 3б) in vitro при концентрациях белков от 15.6 до 1000 мкг/мл.
Рис. 3. Влияние различных концентраций модифицированных ферментов на жизнеспособность клеток почки эмбриона человека HEK293 (а) и кератиноцитов HaCaT (б): 1 – LysSi3, 2 – LysSi3-CeA, 3 – LysSi3-HIS5, 4 – LysSi3-GG3.
В концентрациях до 500 мкг/мл включительно значимого снижения выживаемости обеих линий не наблюдалось, выживаемость составляла не менее 75–80%. При увеличении концентрации эндолизинов до 1000 мкг/мл отмечено снижение количества жизнеспособных клеток, однако, степень влияния белков зависела от клеточной линии. При исследовании кератиноцитов было показано, что их цитотоксические свойства близки для всех исследуемых белков и выживаемость клеток для всех препаратов составляла ~ 70% (за исключением LysSi3-HIS5, где выживаемость HaCaT была 55%). В случае линии HEK293 эндолизины по-разному влияли на клетки. Так, в присутствии немодифицированного LysSi3, жизнеспособность клеток относительно контроля составляла 130–150% со снижением до 120% при 1000 мкг/мл, в то время как в присутствии модифицированных белков этот показатель составлял 80–120%, а ниже всего выживаемость была в присутствии LysSi3-GG3 (65–85% во всем диапазоне концентраций белка).
In vitro тесты показали, что значительного снижения выживаемости клеток эукариот в присутствии эндолизинов (как нативного, так и модифицированных) не происходило, а, следовательно, ферменты обладали специфическим и избирательным действием в отношении клеточных мембран бактерий. Такие ферменты могут рассматриваться в качестве объектов дальнейшей разработки противомикробных препаратов.
Как нативные лизины, так и противомикробные пептиды, несмотря на свою высокую активность, обладают рядом недостатков, которые возможно преодолеть при их гибридизации в единую молекулу. Добавление к лизину АМП повышало активность ферментов в отношении грамотрицательных бактерий за счет дополнительной пермеабилизации мембраны бактериальной клетки. При этом, гибридная молекула становилась более устойчивой к действию протеолитических ферментов, по сравнению с АМП, которые подвержены значительной протеолитической деградации, что сокращает период их полувыведения in vivo. Также, гибридизация повышает селективность действия пептидов, снижая их цитотоксическую и гемолитическую активность. Таким образом, анализ различных комбинаций эндолизин-АМП позволяет не только получать эффективные и стабильные молекулы с заданными свойствами, но и выявлять закономерности модификации, что может послужить для направленного получения молекул с заданными свойствами под конкретные задачи.
Исследования показали, что эффективные концентрации и скорость действия LysSi3 повышалась после введения дополнительных функциональных последовательностей, при этом, отмечалась корреляция с увеличением общего заряда белка. Кроме того, это приводит к повышению его активности в отношении бактерий в стационарной фазе роста, которые менее чувствительны к действию эндолизинов [28]. С другой стороны, снижение противобиопленочной активности модифицированных ферментов, несмотря на повышение скорости и эффективности действия на планктонные клетки, показало, что выбор модификации фермента должен быть основан не только на оценке противомикробной активности, но и подразумевает необходимость комплексного анализа с использованием нескольких параметров.
ФИНАНСИРОВАНИЕ. Исследование выполнено за счет гранта Российского научного фонда № 23-74-10027, https://rscf.ru/project/23-74-10027/.
СОБЛЮДЕНИЕ ЭТИЧЕСКИХ СТАНДАРТОВ. Настоящая работа выполнена без привлечения людей или животных в качестве объектов исследований.
КОНФЛИКТ ИНТЕРЕСОВ. Авторы заявляют об отсутствии конфликта интересов.
Об авторах
Н. П. Антонова
Национальный исследовательский центр эпидемиологии и микробиологии имени Н.Ф. Гамалеи Минздрава России
Email: d.v.vasina@gmail.com
Россия, Москва, 123098
И. В. Григорьев
Национальный исследовательский центр эпидемиологии и микробиологии имени Н.Ф. Гамалеи Минздрава России
Email: d.v.vasina@gmail.com
Россия, Москва, 123098
А. М. Лендел
Национальный исследовательский центр эпидемиологии и микробиологии имени Н.Ф. Гамалеи Минздрава России
Email: d.v.vasina@gmail.com
Россия, Москва, 123098
О. В. Усачева
Национальный исследовательский центр эпидемиологии и микробиологии имени Н.Ф. Гамалеи Минздрава России
Email: d.v.vasina@gmail.com
Россия, Москва, 123098
А. А. Климова
Национальный исследовательский центр эпидемиологии и микробиологии имени Н.Ф. Гамалеи Минздрава России
Email: d.v.vasina@gmail.com
Россия, Москва, 123098
Е. В. Усачев
Национальный исследовательский центр эпидемиологии и микробиологии имени Н.Ф. Гамалеи Минздрава России
Email: d.v.vasina@gmail.com
Россия, Москва, 123098
В. А. Гущин
Национальный исследовательский центр эпидемиологии и микробиологии имени Н.Ф. Гамалеи Минздрава России; Первый Московский государственный медицинский университет имени И.М. Сеченова Минздрава России (Сеченовский университет)
Email: d.v.vasina@gmail.com
Россия, Москва, 123098; Москва, 119048
Д. В. Васина
Национальный исследовательский центр эпидемиологии и микробиологии имени Н.Ф. Гамалеи Минздрава России
Автор, ответственный за переписку.
Email: d.v.vasina@gmail.com
Россия, Москва, 123098
Список литературы
- Murray E., Draper L.A., Ross R.P., Hill C. // Viruses. 2021. V. 13. № 4. P. 680. https://doi.org/10.3390/v13040680
- Oliveira H., Thiagarajan V., Walmagh M., Sillankorva S., Lavigne R., Neves-Petersen M.T. et al. // PLoS One. 2014. V. 9. № 10. P. e108376. https://doi.org/10.1371/journal.pone.0108376
- Heselpoth R.D., Euler C.W., Schuch R., Fischetti V.A. // Antimicrob. Agents Chemother. 2019. V. 63. № 6. https://doi.org/10.1128/AAC.00342-19
- Yan G., Liu J., Ma Q., Zhu R., Guo Z., Gao C. et al. // Antonie van Leeuwenhoek. 2017. V. 110. № 12. P. 1627–1635. https://doi.org/10.1007/s10482-017-0912-9
- Gutiérrez D., Briers Y. // Curr. Opin. Biotechnol. 2021. V. 68. P. 15–22. https://doi.org/10.1016/j.copbio.2020.08.014
- Ma Q., Guo Z., Gao C., Zhu R., Wang S., Yu L. et al. // Antonie Van Leeuwenhoek. 2017. V. 110. № 3. P. 347–355. https://doi.org/10.1007/s10482-016-0806-2
- Gerstmans H., Criel B., Briers Y. // Biotechnol. Adv. 2018. V. 36. № 3. P. 624–640. https://doi.org/10.1016/j.biotechadv.2017.12.009
- Antonova N.P., Vasina D.V., Rubalsky E.O., Fursov M.V., Savinova A.S., Grigoriev I.V., Usachev E.V. et al. // Biomolecules. 2020. V. 10. № 3. P. 440. https://doi.org/10.3390/biom10030440
- Yang H., Wang M., Yu J., Wei H. // Front. Microbiol. 2015. https://doi.org/10.3389/fmicb.2015.01471
- Briers Y., Walmagh M., Van Puyenbroeck V., Cornelissen A., Cenens W., Aertsen A. // mBio. 2014. V. 5. № 4. https://doi.org/10.1128/mBio.01379-14
- Yan G., Yang R., Fan K., Dong H., Gao C., Wang S. et al. // AMB Express. 2019. V. 9. № 1. https://doi.org/10.1186/s13568-019-0838-x
- Pirtskhalava M., Amstrong A.A., Grigolava M., Chubinidze M., Alimbarashvili E., Vishnepolsky B. et al. // Nucleic Acids Res. 2021. V. 49. № D1. P. D288–D297. https://doi.org/10.1093/nar/gkaa991
- Vasina D.V., Antonova N.P., Grigoriev I.V., Yakimakha V.S., Lendel A.M., Nikiforova M.A., Pochtovyi A.A. et al. // Front. Microbiol. 2021. V. 12. P. 3033. https://doi.org/10.3389/fmicb.2021.748718
- Vasina D.V., Antonova N.P., Shidlovskaya E.V., Kuznetsova N.A., Grishin A.V., Akoulina E.A. et al. // Gels. 2024. V. 10. № 1. https://doi.org/10.3390/gels10010060
- Ma Q., Guo Z., Gao C., Zhu R., Wang S., Yu L. et al. // Antonie van Leeuwenhoek. 2017. V. 110. № 3. P. 347–355. https://doi.org/10.1007/s10482-016-0806-2
- Gerstmans H., Grimon D., Gutiérrez D., Lood C., Rodríguez A., van Noort V. et al. // Sci. Adv. 2020. V. 6. № 23. https://doi.org/10.1126/sciadv.aaz1136
- Silvestro L., Weiser J.N., Axelsen P.H. // Antimicrob. Agents Chemother. 2000. V. 44. № 3. P. 602. https://doi.org/10.1128/AAC.44.3.602-607.2000
- Chen X., Liu M., Zhang P., Leung S.S.Y., Xia J. // ACS Infect. Dis. 2021. V. 7. № 8. P. 2192–2204. https://doi.org/10.1021/acsinfecdis.1c00222
- Islam M.M., Kim D., Kim K., Park S.J., Akter S., Kim J. et al. // Front. Microbiol. 2022. V. 13. P. 988522. https://doi.org/10.3389/fmicb.2022.988522
- Lim J., Hong J., Jung Y., Ha J., Kim H., Myung H. et al. // J. Microbiol. Biotechnol. 2022. V. 32. № 6. P. 816–823. https://doi.org/10.4014/jmb.2205.05009
- Zolin G.V.S., Fonseca F.H.D., Zambom C.R., Garrido S.S. // Biomolecules. 2021. V. 11. № 8. P. 1209. https://doi.org/10.3390/biom11081209
- Helmerhorst E.J., van’t Hof W., Breeuwer P., Veerman E.C., Abee T., Troxler R.F. et al. // J. Biol. Chem. 2001. V. 276. № 8. P. 5643–5649. https://doi.org/10.1074/jbc.M008229200
- Kavanagh K., Dowd S., Kavanagh K. // J. Pharm. Pharmacol. 2010. V. 56. № 3. P. 285–289. https://doi.org/10.1211/0022357022971.
- Puri S., Edgerton M. // Eukaryot. Cell. 2014. V. 13. № 8. P. 958–964. https://doi.org/10.1128/EC.00095-14
- Sajjan U.S., Tran L.T., Sole N., Rovaldi C., Akiyama A., Friden P.M. et al. // Antimicrob. Agents Chemother. 2001. V. 45. № 12. P. 3437–3444. https://doi.org/10.1128/AAC.45.12.3437-3444.2001
- De Smet K., Contreras R. // Biotechnol. Lett. 2005. V. 27. № 18. P. 1337–1347. https://doi.org/10.1007/s10529-005-0936-5
- Wang J., Chou S., Xu L., Zhu X., Dong N., Shan A., et al. // Sci. Rep. 2015. V. 5. № 1. P. 1–19. https://doi.org/10.1038/srep15963
- Oliveira H., São-José C., Azeredo J. // Viruses. 2018. V. 10. № 6. https://doi.org/10.3390/v10060292
- Kudinova A., Grishin A., Grunina T., Poponova M., Bulygina I., Gromova M. et al. // Pathogens. 2023. V. 12. № 2. P. 177. https://doi.org/10.3390/pathogens12020177
- de Pontes J.T.C., Toledo Borges A.B., Roque-Borda C.A., Pavan F.R. // Pharmaceutics. 2022. V. 14. № 3. https://doi.org/10.3390/pharmaceutics14030642
- Huan Y., Kong Q., Mou H., Yi H. // Front. Microbiol. 2020. V. 11. https://doi.org/10.3389/fmicb.2020.582779
- Welling M.M., Brouwer C.P., van’t Hof W., Veerman E.C., Amerongen A.V. et al. // Antimicrob. Agents Chemother. 2007. V. 51. № 9. P. 3416–3419. https://doi.org/10.1128/AAC.00196-07
Дополнительные файлы





