Effect of DNA-Binding Proteins on Terminal Deoxynucleotidyl Transferase Activity in Systems with Homopolymer Substrates
- Authors: Sachanko A.B.1, Shchur V.V.1, Usanov S.A.1, Yantsevich A.V.1
-
Affiliations:
- Institute of Bioorganic Chemistry of the National Academy of Sciences of Belarus
- Issue: Vol 60, No 6 (2024)
- Pages: 589-601
- Section: Articles
- URL: https://journal-vniispk.ru/0555-1099/article/view/285186
- DOI: https://doi.org/10.31857/S0555109924060038
- EDN: https://elibrary.ru/QGXEUI
- ID: 285186
Cite item
Full Text
Abstract
In the current work we tested single strand binding protein from E. coli (EcSSB) and DNA-binding protein from S. solfataricus (Sso7d) to evaluate its effects on TdT activity for homopolymer substrates (Tn), that unable to form double helix structures. We showed a significant increase in TdT activity after adding of EcSSB even on the example of homopolymer substrates. Effects demonstrated open application of DNA binding proteins in TdT engineering and DNA-printing. The addition of EcSSB to the reaction mixture led to a significant increase in TdT activity and a shift of the reaction products towards longer oligonucleotides. The maximum effect was observed in a close to equimolar stoichiometric ratio (EcSSB)4:TdT in the presence of Mn2+ cations. In addition, the presence of Sso7d in the reaction mixture led to a slight (up to 15%) decrease in TdT activity for substrates T5 and T15 and a more pronounced decrease for T35 (up to 30%). At the same time, Co2+ cations reduced the inhibitory effect of Sso7d.The patterns and relationships established through our research have potential applications in various fields. Specifically, they can be utilized in protein engineering for the development of fusion proteins that are based on TdT. Furthermore, these findings can contribute to the advancement of novel enzymatic principles for de novo DNA synthesis.
Full Text
В начале 21 века одним из наиболее интенсивно развивающихся направлений биотехнологического рынка является синтез нуклеиновых кислот [1]. Начиная с работы Стеммера [2], опубликованной в 1995 г., и по сегодняшний день, основным исходным материалом для создаваемых de novo последовательностей ДНК являются олигонуклеотиды, получаемые методами твердофазного фосфорамидитного синтеза [1].
Именно твердофазный синтез является основной причиной ошибок в синтетических генах, а также источником токсичных отходов [3]. Негативное влияние на окружающую среду было минимизировано путем внедрения в практику технологий синтеза на микрочипах [4], что, однако повысило вероятность возникновения ошибок.
Реализация программируемого ферментативного de novo синтеза ДНК в водных средах, на сегодняшний день, одна из самых актуальных задач синтетической биологии и во многом зависит от успехов инженерии одной из уникальных ДНК-полимераз – терминальной дезоксинуклеотидилтрансферазы (TdT) [5].
TdT является высокоспециализированной ДНК-полимеразой, которая относится к семейству Х ДНК-полимераз и обеспечивает разнообразие антигенных рецепторов клеток иммунной системы позвоночных. Несмотря на то, что TdT была обнаружена одной из первых среди эукариотических ДНК-полимераз [6], детальный механизм функционирования этого фермента по-прежнему неясен.
TdT обладает способностью к неспецифическому хаотичному добавлению дезоксинуклеотидов к 3-концу ДНК, однако именно этот фермент открывает перспективы программируемого безматричного de novo ДНК-синтеза и новых “цифровых” ДНК-технологий. Более того, недавняя работа Верардо [8] описывает ферментативный мультиплексный автоматизированный синтез ДНК с участием TdT.
Активность TdT связана с клетками иммунной системы, а биологическая функция заключается в реализации механизма V(D)J-рекомбинации ДНК, происходящей на ранних этапах дифференцировки лимфоцитов и приводящей к формированию антиген-распознающих участков антител и Т-клеточного рецептора.
Субстратом TdT является одноцепочечная ДНК (оцДНК), содержащая не менее трех остатков фосфорной кислоты: 5′-фосфорилированный тринуклеотид или нефосфорилированный тетрануклеотид [9].
Несмотря на интенсивные исследования в течение 60 лет с момента открытия, TdT является ферментом с недостаточно изученным для белковой инженерии механизмом действия. Открытые вопросы по-прежнему связаны с переключением между процессивным и дистрибутивным механизмом, влиянием катионов двухвалентных металлов [10]. Последние исследования кинетики реакций с участием TdT [10] указывают на то, что механизм действия фермента не может быть описан строго по классической схеме, характерной для большинства ДНК-полимераз [11].
Известно, что существуют факторы, препятствующие эффективной работе фермента TdT, которые связаны с формированием в молекуле оцДНК вторичных структур. Так, образование шпилечных структур на 3′-конце субстрата существенно ингибирует реакцию [12].
Подходы, основанные на создании гибридных мультидоменных белков, уже продемонстрировали свою эффективность в белковой инженерии. Общая стратегия по созданию гибридных ДНК-полимераз путем объединения генов термостабильных ДНК-полимераз и гена белка, связывающего двуцепочечную ДНК, представлена в работе [13]. Гибридные термостабильные ДНК-полимеразы на основе Pfu-полимеразы и фрагмента ДНК-связывающего белка Sulfolobus solfataricus [4] стали основой коммерческих высокоточных и эффективных ДНК-полимераз Q5 (“New England Biolabs”, Великобритания) и Fusion (“Thermo Fisher Scientific”, США). Внедрение гибридных полимераз в практику синтеза генов существенно улучшило результаты сборки генов из олигонуклеотидов за счет уменьшения вероятности возникновения ошибок и отсутствия 3′–5′- и 5′–3′-экзонуклеазной активности, что позволило синтезировать более протяженные гены (до 2000 пар нуклеотидов) с использованием новых подходов [14].
ДНК-связывающий белок Sso7d S. solfataricus имеет молекулярную массу 7 кДа, обладает компактной глобулярной структурой и существует в виде мономера [15]. Sso7d неспецифически к последовательности связывается с двухцепочечной ДНК (дцДНК) любого размера и состава нуклеотидов [16]. У гипертермофильных архей, Sso7d выполняет функцию стабилизации ДНК, предохраняя ее от действия высоких температур [17]. Взаимодействие белка с ДНК происходит за счет частичной интеркаляции гидрофобных боковых групп Val26 и Met29, что приводит к резкому изгибу двойной спирали ДНК и увеличивает температуру плавления ДНК [18]. После использования в качестве домена-модуля при дизайне высокоэффективных термостабильных ДНК-полимераз Sso7d стал популярен при дизайне мультидоменных гибридных белков.
Белок, связывающий одноцепочечную ДНК из E. coli (EcSSB), представляет собой гомотетрамер, состоящий из четырех идентичных полипептидных цепей с молекулярной массой около 18.9 кДа. EcSSB специфично связывается с одноцепочечной ДНК, при этом связывание является кооперативным и определяется параметрами среды, главным образом ионной силой. Основная функция EcSSB – дестабилизация двойной спирали ДНК для обеспечения работы ДНК-полимераз в процессе репликации. При этом белок является достаточно стабильным, сохраняя функциональные свойства после 20-минутной инкубации при температуре 65°С.
Уникальные свойства EcSSB обеспечили возможность его использования в молекулярной биологии для предотвращения образования димеров и шпилечных структур в олигонуклеотидах при проведении полимеразной цепной реакции (ПЦР). Прочность связывания EcSSB с оцДНК очень высока (Ka = 107–108 M–1 c–1) [19]. Благодаря этому свойству EcSSB применяется для обнаружения повреждений в ДНК [20], дестабилизации двойной спирали [20] и активации взаимодействующих с ДНК белков (RecF, RecQ и ДНК-хеликаза), участвующих в рекомбинационной репарации ДНК [21]. Присутствие в реакционной смеси EcSSB увеличивает выход ПЦР для матриц, содержащих вторичную структуру и/или склонных к мутагенезу с делециями ДНК [22]. Использование EcSSB делает возможным анализ более длинных нуклеотидных последовательностей при пиросеквенировании [23].
Целью данной работы является исследование влияния ДНК-связывающих белков микроорганизмов, специфичных как к оцДНК (SSB-белок E. coli), так и к дцДНК (Sso7d-белок S. solfataricus) на ферментативную активность TdT и перспектив использования ДНК-связывающих белков в ферментативном de novo синтезе ДНК, а также анализ возможности создания гибридных мультидоменных ферментов путем слияния генов TdT и ДНК-связывающих белков.
МЕТОДИКА
Реагенты. В работе использованы компоненты питательных сред (“Conda”, Испания), ИПТГ, имидазол, PMSF (“Glentham Life Sciences”, Великобритания), акриламид, бисакриламид, агароза (“Serva”, Германия), глицин, додецилсульфат натрия (“Merck”, Германия), сорбент – Ni2+NTA-агароза, набор для выделения ДНК (“Macherey–Nagel”, Германия). Остальные использованные реагенты – коммерческие препараты фирмы “Sigma–Aldrich” (США). Для проведения работ с синтетической и рекомбинантной ДНК использовали эндонуклеазы рестрикции и ДНК-полимеразы фирмы “New England Biolabs”, (США), набор для клонирования pJET1.2 – фирмы “Thermo Fisher Scientific” (США). Для высокоэффективной жидкостной хроматографии (ВЭЖХ) олигонуклеотидов, масс-спектрометрии белков и пептидов использовали растворители и реагенты соответствующего качества.
Оборудование. Одноцепочечные фрагменты ДНК синтезировали на автоматическом синтезаторе H32 (“K&A”, Германия). Для гомогенизации бактериальных клеток использовали гомогенизатор Emulsiflex C5 (“Avestine”, Канада). Вертикальный электрофорез белков и нуклеиновых кислот проводили на оборудовании Hoefer SE250 (“Hoefer”, США). Для очистки белков использовали хроматограф Biologic LP-LC (“BioRad”, США). Для регистрации масс-спектров белков использовали масс-спектрометр MALDI-TOF MicroFlex (“Bruker”, Германия). Для подтверждения аминокислотной последовательности белков использовали хромато-масс-спектрометр Agilent 1290 Q-TOF 6550 (“Agilent”, США). Электронные спектры поглощения олигонуклеотидов и белков записывали на микроспектрофотометре DS-11 FX+ (“DeNovix”, США). Для секвенирования использовали анализатор генов 3500xL (“Applied Biosystems”, США).
Создание экспрессионных векторов. Олигонуклеотиды синтезировали амидофосфитным методом как описано в [24]. Ген EcSSB клонировали из геномной ДНК E. coli штамма DH5α. Оптимизированные для экспрессии в клетках E. сoli гены TdT Bos bovis и Sso7d Sulfolobus solfataricus синтезировали de novo из 65-звенных олигонуклеотидов используя полимеразную цепную сборку. Полученную последовательность EcSSB клонировали в вектор pET20b по сайтам рестрикции NdeI и HindIII. Гены Sso7d и TdT клонировали в вектор pCWori по сайтам рестрикции NdeI и HindIII. Идентичность полученных последовательностей подтверждали секвенированием по Сэнгеру. Аминокислотные последовательности кодируемых белков представлены в табл. 1.
Таблица 1. Аминокислотные последовательности и свойства белков
EcSSB 191 аминокислотный остаток 20.49 кДа pI = 6.12 ε280 = 27 700 М–1 см–1 | MASRGVNKVILVGNLGQDPEVRYMPNGGAVANITLATSESWRDKAT GEMKEQTEWHRVVLFGKLAEVASEYLRKGSQVYIEGQLRTRKWTDQ SGQDRYTTEVVVNVGGTMQMLGGRQGGGAPAGGNIGGGQPQGGWGQ PQQPQGGNQFSGGAQSRPQQSAPAAPSNEPPMDFDDDIPFKLAAAL EHHHHHH |
Sso7d 79 аминокислотных остатков 9.03 кДа pI = 8.99 ε280 = 8 480 М–1 см–1 | MLGGHMRGSHHHHHHMATVKFKYKGEEKEVDISKIKKVWRVGKMIS FTYDEGGGKTGRGAVSEKDAPKELLQMLEKQKK |
TdT 530 аминокислотных остатков 60.92 кДа pI = 7.84 ε280 = 65 890 М–1 см–1 | MRGSHHHHHHMAQQRQHQRLPMDPLCTASSGPRKKRPRQVGASMAS PPHDIKFQNLVLFILEKKMGTTRRNFLMELARRKGFRVENELSDSV THIVAENNSGSEVLEWLQVQNIRASSQLELLDVSWLIESMGAGKPV EITGKHQLVVRTDYSATPNPGFQKTPPLAVKKISQYACQRKTTLNN YNHIFTDAFEILAENSEFKENEVSYVTFMRAASVLKSLPFTIISMK DTEGIPCLGDKVKCIIEEIIEDGESSEVKAVLNDERYQSFKLFTSV FGVGLKTSEKWFRMGFRSLSKIMSDKTLKFTKMQKAGFLYYEDLVS CVTRAEAEAVGVLVKEAVWAFLPDAFVTMTGGFRRGKKIGHDVDFL ITSPGSAEDEEQLLPKVINLWEKKGLLLYYDLVESTFEKFKLPSRQ VDTLDHFQKCFLILKLHHQRVDSSKSNQQEGKTWKAIRVDLVMCPY ENRAFALLGWTGSRQFERDIRRYATHERKMMLDNHALYDKTKRVFL KAESEEEIFAHLGLDYIEPWERNA |
Экспрессия рекомбинантных белков. Для экспрессии рекомбинантных белков использовали рекомбинантные штаммы E. coli, трансформированные соответствующими экспрессионными векторами.
После достижения культурой оптической плотности A600нм = 0.6 и снижения температуры культивирования до 18°С синтез белка индуцировали добавлением в среду ИПТГ до концентрации 1 мМ. Экспрессию белка продолжали в течение 24 ч, клетки осаждали центрифугированием (3000 g, 4°С). Клеточную массу ресуспендировали в 50 мМ натрий-фосфатном буфере, рН 8.0, содержащем 0.3 М NaCl, 10 мМ имидазол, 0.1 мМ PMSF, 20%-ный глицерин.
Гомогенизация клеток E. coli. Суспензию клеток, содержащих рекомбинантный белок, пропускали через гомогенизатор Emulsiflex C5. Полученный гомогенизат центрифугировали в течение 50 мин при 4°С в центрифужном поле 40 000 g. Полученную прозрачную жидкость над осадком использовали для выделения целевых белков.
Метало-хелатная хроматография. Для метало-хелатной хроматографии использовали буферные растворы L1 (50 мМ натрий-фосфатный буфер, рН 8.0, 0.3 М NaCl, 10 мМ имидазол); W1 (50 мМ натрий-фосфатный буфер, рН 8.0, 0.3 М NaCl, 50 мМ имидазол), E1 (50 мМ натрий-фосфатный буфер, рН 8.0, 0.3 М NaCl, 250 мМ имидазол). Жидкость над осадком, содержащую белок, наносили на хроматографическую колонку с 10 мл сорбента Ni2+-NTA, промывали 10 объемами буфера L1, 20 объемами буфера W1 и элюировали буфером E1, собирая фракции объемом 0.5 мл.
Фракции, содержащие белок с электрофоретической чистотой более 95% и концентрацией более 1 мг/мл, объединяли и с помощью диализа переводили в буфер для хранения. Белок Sso7d был выделен ранее по методике описанной в [10].
Для хранения TdT использовали буфер S1 (50 мМ калий-фосфатный буфер, рН 7.3, 300 мМ NaCl, 1.43 мМ β-меркаптоэтанол, 50%-ный глицерин, 0.1%-ный Тритон X-100), для хранения белков Sso7d и EcSSB буфер S2 (50 мM Трис-HCl, pH 7.5, 0.2 M NaCl, 0.1 мM ЭДТА, 50% глицерин, 1.0 мМ дитиотреитол, ДТТ).
Пробоподготовка для анализа белков. Для масс-спектрометрии белков образцы (100 мкг белка) обессоливали путем осаждения 70%-ным этанолом, осадок растворяли в 20 мкл 70%-ного водного раствора муравьиной кислоты. Полученный раствор смешивали с раствором матрицы HCCA (а-циано-4-гидроксикоричная кислота) или синапиновой кислоты в соотношении 1 : 1 и наносили на металлическую пластину для масс-спектрометрии (“Bruker”, Германия).
Для подтверждения последовательности белка методами пептидного “фингерпринта” и тандемной масс-спектрометрии, осадок белка после обессоливания восстанавливали ДТТ, модифицировали йодацетамидом и проводили трипсинолиз в 100 мМ аммоний-бикарбонатном буфере [25].
Анализ каталитической активности TdT. Фермент (1 мкл, 4 мкМ) вносили в 100 мкл реакционной смеси, следующего состава: 0.2 мМ тимидинтрифосфат, TTP, 5 мM AcOK, 2 мM AcOTрис, pH 7.9, 1 мM AcOMg, содержащей 40 пмоль олигонуклеотида (конечная концентрация 0.4 мкМ) и выдерживали при 37°С в течение 30 мин. Фермент инактивировали нагреванием при 70°С в течение 10 мин. К раствору добавляли 100 мкл 100 мМ буфера триэтиламинацетата (TEAAc), pH 7.0, и центрифугировали при 19 000 g, 10 мин. Надосадочную жидкость переносили в хроматографические виалы со вставками объемом 150 мкл. Исследования влияния белков EcSSB и Sso7d на ферментативную активность TdT проводились в идентичных условиях.
При исследовании влияния катионов металлов на активность TdT в реакционную смесь дополнительно вводили 0.25 мМ Me2+. Эксперименты по определению активности TdT и по изучению действия белков проводились в трех повторностях.
Количественное определение активности фермента основано на возможности разделять олигонуклеотиды различной длины с помощью ион-парной обращенно-фазовой хроматографии. Удлинение олигонуклеотида приводит к соответствующему увеличению коэффициента молярной экстинкции, что позволяет точно рассчитать количество включенных в полимер остатков тимидина.
Реакционную смесь фракционировали на колонке Thermo Fisher Scientific Hypersil GOLD (2.1 × 50 мм, 1.9 мкм). Подвижная фаза А – 100 мМ буфер TEAAc, pH 7.0, в 5%-ном ацетонитриле. Подвижная фаза Б – 100 мМ буфер TEAAc, pH 7.0, в 20%-ном ацетонитриле.
Объем вводимой пробы – 5 мкл. Для формирования градиента использовали бинарный насос и следующий режим элюирования: 35% фазы Б к объему элюэнта в течение 2 мин, от 35 до 65% – 19 мин и 65% в течение 9 мин. Скорость потока подвижной фазы 200 мкл/мин, температура колонки 40°С. Субстрат и продукты реакции детектировали при длине волны 260 нм. Анализ хроматограмм проводили в программе MassHunter V 11.0 (“Agilent”, США). В описанных условиях время удерживания (tR) олигонуклеотидов составляло: Т5 5.6 мин; Т15 12.4 мин; Т25 15.2 мин; Т30 16.5 мин; Т45 18.1 мин; Т50 22.2 мин.
Активность фермента рассчитывали по формуле:
,
где: U – активность фермента; Sf – площадь хроматографического пика, соответствующего продукту ферментативной реакции TdT; Sstd – площадь хроматографического пика, соответствующего исходному субстрату до реакции с TdT; L – длина последовательности олигонуклеотидного субстрата; T – время проведения ферментативной реакции, ч.
Одна единица активности TdT соответствовала количеству фермента, которое необходим для включения 1 нмоль остатка тимидина в олигонуклеотид за 60 мин при 37°С.
Анализ ДНК-связывающей способности EcSSB. На центрифужную колонку объемом 250 мкл с 50 мкл сорбента Ni2+-NTA наносили 2 мг EcSSB и центрифугировали при 3100 g 3 мин. Колонку промывали буфером B, содержащем 10 мМ Трис-HCl, рН 7.4, 200 мМ NaCl, 10 мМ MgCl2. Затем наносили 100 мкл 5 мкМ раствора 15-звенного олигонуклеотида. Колонку промывали буфером В. Элюаты собирали в новую пробирку объемом 1.5 мл и записывали спектр поглощения раствора. По разнице оптической плотности при 260 нм исходного раствора олигонуклеотида, нанесенного на колонку, и элюатов, определяли количество связавшейся ДНК.
Анализ ДНК-связывающей способности Sso7d. Функциональную активность Sso7d подтверждали путем оценки изменения электрофоретической подвижности плазмидной ДНК в присутствии Sso7d. Sso7d смешивали с плазмидной ДНК (электрофоретическая подвижность суперспирализованной формы соответствует 5000-звенной линейной дцДНК) в эквимолярном соотношении и перемешивали. После добавления буфера для нанесения, содержащего: 20 мМ Трис-HCl, рН 8.0, 60 мМ ЭДТА, 60%-ный глицерин, 0.48%-ный додецилсульфат натрия и 0.03%-ный бромфеноловый синий, проводили электрофорез в 1%-ном агарозном геле. Все измерения проводили в трех повторностях.
РЕЗУЛЬТАТЫ И ИХ ОБСУЖДЕНИЕ
Клонирование, экспрессия и очистка белков TdT, EcSSB, Sso7d. Идентичность последовательностей генов рекомбинантных белков, клонированных в экспрессионные вектора, подтверждена секвенированием по Сэнгеру.
Электрофоретически гомогенные препараты EcSSB и TdT были успешно получены с использованием стандартного метода металло-хелатной хроматографии. Однако металло-хелатная хроматография не позволила очистить белок Sso7d, поскольку в описанных условиях белок не связывался с сорбентом Ni2+-NTA. Для его очистки использовали термическую обработку надосадочной жидкости с последующим центрифугированием, ультрафильтрацией на мембранах с порогом отсечения 10 кДа и катионообменной хроматографией [10].
Выход рекомбинантных белков составил 130 мг на 1 л культуральной среды для EcSSB, 70 мг для Sso7d, 5 мг для TdT. Электрофоретическая гомогенность всех полученных препаратов белка составляла более 95%.
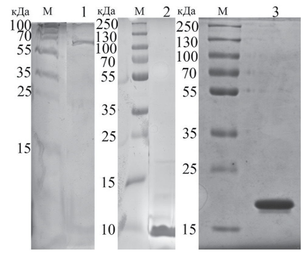
Идентичность последовательностей целевых белков подтверждена методами электрофореза в ПААГ (рис. 1) в денатурирующих условиях, масс-спектрометрией MALDI-TOF и тандемной масс-спектрометрией.
Рис. 1. Результаты ПААГ-электрофореза в денатурирующих условиях образцов выделенных рекомбинантных белков TdT (дорожка 1), Sso7d (дорожка 2) и EcSSB (дорожка 3); М – стандарт молекулярных масс белков 10–250 кДа.
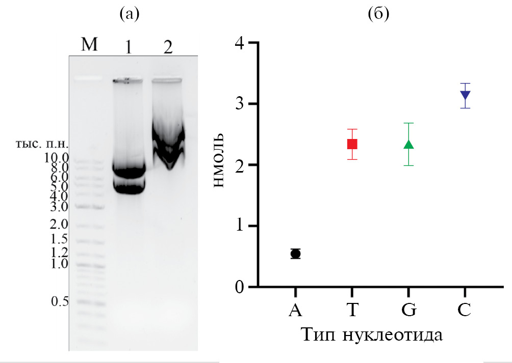
Функциональная активность Sso7d подтверждена изменением электрофоретической подвижности плазмидной ДНК в присутствии белка (рис. 2a).
Рис. 2. Результаты электрофореза кольцевой плазмидной ДНК (5994 п.о.) в 1% агарозном геле без Sso7d (дорожка 1), в присутствии Sso7d (дорожка 2). М – стандарт линейной ДНК (а); количество гомополимерных 15-мерных олигонуклеотидов различной природы (нмоль), связавшихся с EcSSB (10 нмоль), иммобилизованном на Ni2+-NTA-агарозе (б).
Методом аффинной хроматографии на центрифужных колонках, доказано, что белок EcSSB взаимодействует с оцДНК, включая 4 возможных типа гомополимерных олигонуклеотидов. При этом в эксперименте эффективность связывания EcSSB различалась для гомополимерных олигонуклеотидов (рис. 2б) [26], убывая в ряду dCn > dGn > Tn > dAn, являясь более прочной для полицитидиновых гомополимеров.
Зависимость активности TdT от длины субстрата. TdT взаимодействует с оцДНК или одноцепочечной РНК, которые содержат не менее четырех остатков фосфорной кислоты. Следовательно, в качестве минимального субстрата могут выступать либо фосфорилированные по 5′-концу тринуклеотиды, либо тетрануклеотиды. При увеличении длины субстрата неизбежно образуются вторичные структуры, что может существенно снижать скорость присоединения нуклеотидов.
По этой причине для оценки влияния ДНК-связывающих белков на реакции с участием TdT в качестве субстрата в данной работе использовали гомополимеры Tn (n = 5–50), не склонные к образованию вторичных структур, что создает оптимальные условия для работы фермента. Процесс элонгации цепи происходит по классическому механизму предложенному Стейцем с соавт [11] с некоторыми изменениями. Для взаимодействия с субстратом необходимы два катиона Mg2+, расположенные в сайтах A и B. Ионы металлов связываются с ДНК-полимеразой через карбоксильные группы консервативных остатков аспартата или глутамата в palm-домене фермента. Катион А активирует 3′-ОН группу субстрата, что приводит к нуклеофильной атаке α-фосфатной группы. Оба катиона стабилизируют переходное состояние. Катион Б стабилизирует уходящую пирофосфатную группу и способствует освобождению продукта реакции.
Условия реакции (время, концентрация фермента, олигонуклетида и TTP) и хроматографии (время и градиент) подбирали с учетом методики анализа, для оптимального разделения разных по длине исходных олигонуклеотидов. Исследование олигонуклеотидных субстратов T5–Т45 продемонстрировало, что активность TdT растет с увеличением протяженности олигонуклеотида (рис. 3). При длине субстрата в 45 и 50 нуклеотидов скорость уже не меняется. Эти данные согласуются с результатами, полученными ранее для серии гомополимерных олигонуклеотидов dAn (n = 4–50) [9].
Рис. 3. Зависимость активности TdT от длины олигонуклеотидного субстрата в серии гомополимеров Tn.
В качестве модельного субстрата в данном исследовании выбрали Т15 так как его элонгация ферментом TdT эффективно детектируется стандартными методами ион-парной обращенно-фазовой хроматографии, при этом его длина существенно больше минимальной длины субстрата, содержащего четыре фосфатные группы. Дальнейшее увеличение протяженности исходного олигонуклеотида приводит к наложению пиков продуктов реакции, что не позволяет корректно определить их распределение (рис. 4).
Рис. 4. Хроматограммы продуктов элонгации субстратов различной длины (T5–Т50) с участием TdT (конц. ТТР 200 мкМ, время реакции 30 мин): время удерживания, соответствующее субстратам: Т5 – 5.6 мин; Т15 – 12.4 мин; Т25 – 15.2; Т30 – 16.5 мин; Т45 – 18.1 мин; Т50 – 22.2 мин.
Влияние катионов двухвалентных металлов на активность TdT. Влияние катионов двухвалентных металлов на активность TdT и других ДНК-полимераз по-прежнему остается предметом обсуждения и исследования во многих работах [27]. Как и большинство полимераз, TdT в активном центре содержит катионы, которые необходимы для работы фермента и определяют координационную геометрию активного центра [28]. В случае TdT предпочтение катионов Me2+ не настолько строгое, как для репликационных ДНК-полимераз, а эффект зависит от природы субстрата и нуклеотидов. Например, для субстратов dA5-50 активность фермента уменьшается в ряду Mg2+ > Zn2+ > Co2+ > Mn2+ при элонгации олигонуклеотидов с участием dATP [9]. Присутствие Mg2+ обеспечивает максимальный эффект при добавлении остатков dG. Ионы Co2+ способствуют полимеризации пиримидиновых нуклеотидов, а Mn2+ – пуриновых [29]. Известно, что TdT не обладает высоким сродством к активного центра фермента, а следовательно, и механизм ферментативной реакции.
Механизм полимеризации с участием TdT может реализовываться как с диссоциацией образованного олигонуклеотида (дистрибутивный механизм), так и с его перемещением в активном центре (процессивный механизм) без распада белково-нуклеинового комплекса.
Для определения влияния катионов Me2+ на ферментативную активность TdT в реакционную смесь, содержащую 1.0 мМ Mg2+, дополнительно добавляли 0.25 мМ Me2+ (Ca2+, Zn2+, Mg2+, Mn2+, Co2+) в виде хлоридов. Наибольший эффект на активность TdT проявили катионы Co2+ и Mn2+, что не противоречит данным литературы (рис. 5) [30, 31]. Повышение концентрации Mg2+ увеличивало активность TdT на 35% (рис. 5). Незначительное увеличение активности фермента наблюдалось в присутствии катионов Zn2+, а добавление Ca2+ в пределах ошибки эксперимента не влияло на функционирование фермента.
Рис. 5. Влияние катионов Me2+ на ферментативную активность TdT.
Количественная оценка распределения продуктов элонгации Т15 показала, что в присутствии катионов Mn2+ в продуктах реакции появляются Т37–39, при этом по сравнению с альтернативными условиями наблюдалось смещение в сторону более протяженных Т22–36 продуктов (табл. Д1). Представление распределения продуктов реакции по длине в виде зависимости суммарной площади хроматографических пиков субстратов (S) от количества добавленных оснований (∑1NSn∑Sn от n, где Sn – это площадь хроматографического пика, соответствующая продукту с длиной l + n, где l – длина исходного субстрата, n – количество присоединенных нуклеотидов, N – максимальное количество присоединенных нуклеотидов), позволяет четко дифференцировать различия в характере реакций с короткими и длинными субстратами, а также влияние катионов металлов (рис. 6а).
Рис. 6. Зависимость суммарной площади хроматографических пиков продуктов (S) от количества присоединенных TdT нуклеотидов к субстратам T5 и T15 в реакционной смеси, содержащей: 40 нМ TdT, 0.2 мМ TTP, 5 мM AcOK, 2 мM AcOTрис (pH 7.9), 1 мM AcOMg, 0.25 мМ Me2+ (обозначено на легенде для T15), 0.4 мкМ олигонуклеотида (а) и реакционной смеси, дополнительно содержащей 2 мкМ EcSSB (б).
Из графика, представленного на рис. 6а, заметно, что разница между влиянием Co2+, Mg2+, Са2+ не существенна, Zn2+ снижал процессивность фермента, а Mn2+ существенно повышал ее.
Влияние EcSSB на ферментативную активность TdT. Свойства EcSSB связывать и стабилизировать оцДНК с одной стороны может оказать ингибирующее действие путем конкурентного связывания, а с другой может быть перспективным для повышения активности TdT. Для проверки этих гипотез все последующие эксперименты проводили в одинаковых условиях с использованием одной партии TdT, как описано в материалах и методах.
Результаты анализа влияния EcSSB на ферментативную активность TdT, продемонстрировали концентрационную зависимость, характер которой определяется длиной олигонуклеотида (использовали T5 и T15).
Внесение даже минимального количества белка EcSSB (1/100 от количества TdT) в реакционную смесь приводило к увеличению количества и смещению продуктов реакции в сторону более протяженных олигонуклеотидов, а значит и увеличению процессивности фермента (рис. 7а, б). Изменение стехиометрических соотношений EcSSB/TdT, в диапазоне от 0 до 10, приводило к увеличению активности TdT (табл. 2), а на хроматограммах ясно просматривался переход с дистрибутивного механизма на процессивный (рис. 7а, б). При значениях соотношения в диапазоне 10–100, активность TdT начинала снижаться, но не блокироваться.
Рис. 7. Хроматограммы продуктов реакции при различных стехиометрических соотношениях EcSSB/TdT (субстрат T5, tR 5.6 мин, а) и EcSSB/TdT (субстрат T15, tR 12.4 мин, б); контроль: 0.2 мМ TTP, 5 мM AcOK, 2 мM AcOTрис (pH 7.9), 1 мM AcOMg и 0.4 мкМ олигонуклеотида Т5.
Таблица 2. Зависимость активности TdT от стехиометрического соотношения EcSSB/TdT для субстратов T5 и T15
EcSSB/TdT | Активность TdT (T5), Ед./мкг | Активность TdT (T15), Ед./мкг | EcSSB/Tn | Количество продуктов реакции (T5) | Количество продуктов реакции (T15) |
0 | 2.42 ± 0.06 | 4.69 ± 0.05 | 0 | 6 | 22 |
0.01 | 2.69 ± 0.05 | 5.09 ± 0.03 | 0.003 | 8 | 22 |
0.10 | 2.82 ± 0.04 | 5.46 ± 0.09 | 0.30 | 9 | 22 |
0.2 | 2.82 ± 0.10 | 5.43 ± 0.10 | 0.06 | 9 | 23 |
0.5 | 2.84 ± 0.09 | 5.85 ± 0.06 | 0.15 | 10 | 25 |
1 | 2.96 ± 0.05 | 5.98 ± 0.04 | 0.3 | 11 | 26 |
2 | 3.16 ± 0.05 | 6.58 ± 0.21 | 0.6 | 14 | 28 |
5 | 5.13 ± 0.06 | 22.43 ± 0.17 | 1.5 | 21 | 30 |
10 | 5.79 ± 0.05 | 24.15 ± 0.23 | 3.0 | 13 | 24 |
100 | 5.18 ± 0.06 | 0.68 ± 0.16 | 30 | 8 | 5 |
Это может объясняться конкурентным взаимодействием EcSSB с олигонуклеотидными субстратами и способностью легко диффундировать вдоль цепи ДНК [32]. Однако, большой избыток EcSSB негативно сказывался на работе фермента TdT (табл. 2). Таким образом, стехиометрическое соотношение EcSSB/TdT равное пяти, приводило к заметному росту активности и процессивности TdT. Для оценки эффекта конкурирования за связывание с олигонуклеотидным субстратом приведены значения EcSSB/Tn, характеризующие стехиометрическое отношение ДНК-связывающего белка (мономера) и олигонуклеотидного субстрата.
Влияние белка EcSSB на активность TdT при разной длине исходного олигонуклеотидного субстрата. Для всех исследованных олигонуклеотидных субстратов (T5–T50) добавление в реакционную смесь белка EcSSB приводила к повышению активности TdT (рис. 8, табл. Д2). Наиболее значительный эффект наблюдался для 15- и 25-звенных олигонуклеотидных субстратов.
Рис. 8. Влияние EcSSB на активность TdT для субстратов различной длины (EcSSB/TdT 5 : 1).
Рис. 9. Влияние белка EcSSB на ферментативную активность TdT в присутствии Me2+: контроль: 40 нМ TdT, 0.2 мМ TTP, 5 мM AcOK, 2 мM AcOTрис (pH 7.9), 1 мM AcOMg, 0.4 мкМ олигонуклеотида Т15 и 2 мкМ EcSSB.
Полученные результаты свидетельствовали о том, что влияние EcSSB на активность TdT зависило от длины олигонуклеотидного субстрата, что в свою очередь указывало на то, что эффективное значение концентрации EcSSB определяется не соотношением EcSSB/TdT, а отношением концентрации EcSSB и олигонуклеотидного субстрата EcSSB/Tn (табл. 2), которое определяет присутствие в системе, свободной, несвязанной с EcSSB одноцепочечной ДНК. EcSSB связывает ДНК в виде тетрамера, а повышение активности ТdT наблюдалось для значений EcSSB/Tn до 3.0. При EcSSB/Tn равном 4.0, должно происходить полное связывание олигонуклеотидного субстрата EcSSB. Дальнейшее повышение значения EcSSB/Tn приводило к полному связыванию олигонуклеотидного субстрата тетрамером EcSSB.
Анализируя рис. 6а и 6б, можно сделать вывод о том, что присутствие в среде ДНК-связывающего белка EcSSB увеличивало активность TdT и обеспечивало образование более длинных продуктов элонгации цепи. Разница в распределении продуктов реакции в значительной степени зависило от природы катиона Me2+. При этом следует отметить, что природа катиона оказывала большее влияние на форму кривой распределения продуктов реакции в присутствии EcSSB. Известно, что катион в активном центре TdT способен регулировать процессивность фермента [30, 31]. Таким образом, можно предположить, что связывание олигонуклеотида с EcSSB, последующее взаимодействие с TdT и переход олигонуклеотида в активный центр TdT, обеспечивают реализацию преимущественно процессивного механизма функционирования трансферазы.
Влияние белка EcSSB на ферментативную активность TdT в присутствии катионов двухвалентных металлов. Известно, что катионы Me2+ влияют не только на активность TdT, но и на прочность комплекса EcSSB-оцДНК, который зависит от радиуса катионов металла, с увеличением которого снижается необходимая концентрация соли для эффективного связывания ДНК [11].
По результатам анализа хроматограмм установлено, что наибольший эффект на каталитические свойства системы EcSSB-TdT оказывали катионы Mn2+, приводя к смещению основных продуктов элонгации T15 от Т17–23 к Т38–43 (табл. Д2, рис. 10). Повышение концентрации Mg2+ приводило к увеличению активности фермента на 20% и количества продуктов Т33–40. В тоже время, ионы Ca2+ снижали активность, но увеличивали процессивность фермента и количество пролонгированных олигонуклеотидов до Т29–37. Этот эффект, возможно, связан с большим радиусом ионов Ca2+, приводящим к стерическому затруднению в активном центре фермента и повышению сродства EcSSB к оцДНК [19]. Присутствие ионов Zn2+ в реакционной смеси приводило к снижению активности TdT.
Рис. 10. Хроматограммы продуктов элонгации T15 (tR 12.4 мин), отражающие влияние катионов Me2+ и EcSSB: контроль: 40 нМ TdT, 0.2 мМ TTP, 5 мM AcOK, 2 мM AcOTрис (pH 7.9), 1 мM AcOMg, 0.25 мМ Me2+, 0.4 мкМ Т15 и 2 мкМ EcSSB.
Таким образом, использование EcSSB в присутствии катионов Mn2+ или Co2+ в ферментативном синтезе с участием TdT существенно влияло на ход ферментативной реакции. Причиной изменения активности и процессивности TdT могла быть не только стабилизация одноцепочечной структуры олигонуклеотидов, но и межбелковые взаимодействия между EcSSB и TdT, которые одновременно связывались с олигонуклеотидом.
Влияние белка Sso7d на активность фермента TdT. В общем случае от стабилизирующего двуцепочечную ДНК белка Sso7d следовало ожидать ингибирующего действия на активность TdT как в случае двуцепочечной ДНК, так и в случае олигонуклеотидов смешанного состава. Для гомополимеров типа Tn и dAn, не образующих межцепочечные водородные связи, ингибирующее действие Sso7d неочевидно. Для проверки гипотезы белок Sso7d использовали в эквимолярном соотношении с TdT, а условия реакции и анализа использовали как в эксперименте с EcSSB.
Исследование олигонуклеотидных субстратов T5, T15, T35 в реакции продемонстрировало, что активность TdT возрастала с увеличением протяженности олигонуклеотида (рис. 11). Полученные результаты согласовывались с данными, полученными для серии олигонуклеотидов dAn (n = 4–50) [9]. Кинетический анализ подтвердил, что при возрастании олигонуклеотидной цепи dAn от 4 до 50, KM уменьшалось от 160 до 1 мкМ [9]. Для субстрата T15 присутствие катионов Co2+ оказывало активирующее влияние, а катионы Zn2+, напротив, снижали активность TdT. Во всех случаях присутствие в системе Sso7d приводило к снижению активности TdT.
Рис. 11. Влияние Sso7d на активность TdT в реакции элонгации T5, T15, T35 в различных условиях. Отражено влияние катионов Zn2+ и Co2+ на элонгацию T15.
В отсутствие Me2+ ингибирующее действие Sso7d возрастало с ростом длины олигонуклеотидной цепи, что указывает на то, что механизм ингибирования не связан с белок-белковыми взаимодействиями Sso7d и TdT, а скорее опосредован конкурентным взаимодействием Sso7d с ДНК.
Катионы Co2+ и Mn2+ изначально использовались как замена Mg2+ в буферных системах для TdT для дестабилизации ДНК-дуплексов, особенно в реакции удлинения тупых концов [5]. Таким образом, можно предположить, что влияние катионов Co2+, в реакционной смеси, могло быть причиной не столь выраженного ингибирующего эффекта белка Sso7d.
***
В настоящей работе впервые исследовано влияние белков, неспецифично связывающих и стабилизирующих одноцепочечную (EcSSB) и двуцепочечную (Sso7d) ДНК, на активность терминальной дезоксинуклеотидилтрансферазы в отношении гомополимерных субстратов Tn.
Выдвинута гипотеза о том, что ДНК-связывающие белки способны влиять на активность TdT путем разрушения/стабилизации вторичных структур субстрата и/или путем конкурентного связывания с субстратом. Для оценки альтернативных эффектов ДНК-связывающих белков использованы модельные системы с гомополимерными субстратами Tn, не склонными к образованию вторичных структур.
Sso7d, связывающий и стабилизирующий двуцепочечную ДНК, приводил к небольшому (до 15%) снижению активности TdT для субстратов T5 и T15 и более выраженному для T35 (до 30%).
При этом обнаружено существенное увеличение активности TdT в присутствии EcSSB. Изучение характера зависимости распределения продуктов реакции по количеству добавленных ферментом TdT нуклеотидов от присутствия EcSSB и катионов Me2+, позволило установить, что EcSSB увеличивал процессивность фермента. EcSSB оказывал максимальный эффект на активность TdT в близком к эквимолярному стехиометрическом соотношении (EcSSB)4:TdT в присутствии катионов Mn2+. Вероятной причиной изменения процессивности TdT являлись белок-белковые взаимодействия между ферментом и ДНК-связывающим белком. Следует отметить, что специфические взаимодействия между гетерологичными белками маловероятны, однако полностью исключить их невозможно, учитывая то, что белки, связывающие одноцепочечную ДНК, широко растпространены в природе и представлены во всех царствах живых существ. Учитывая существенную разницу в значении изоэлектрических точек белков TdT (7.84) и EcSSB (6.12), а также возможность диполь-дипольных взаимодействий, неспецифические взаимодействия также могли быть значимыми в исследуемой системе.
Таким образом, выдвинуто предположение, что механизм влияния EcSSB на TdT заключается не только в стабилизации одноцепочечной структуры олигонуклеотидов, а может быть следствием межбелковых взаимодействий, которые переключают механизм работы TdT на процессивный, при котором тетрамер ЕсSSB в составе комплекса передает субстрат в активный центр TdT, а катион Mn2+ дополнительно увеличивает эффект.
Последующие исследования других гомополимерных субстратов, а также субстратов, формирующих внутри- и межцепочечные взаимодействия в системах, содержащих TdT и ДНК-связывающие белки позволят более полно понять молекулярные механизмы обнаруженных эффектов.
Таким образом, продемонстированные в данной работе эффекты ДНК-связывающих белков на активность TdT, а также установленные закономерности, могут найти применение как в белковой инженерии при создании гибридных мультидоменных белков на основе TdT, так и при разработке новых принципов ферментативного синтеза ДНК de novo.
Вклад авторов. А.В. Янцевич – концепция и руководство работой; А.Б. Саченко – проведение экспериментов; В.В. Щур – синтез генов; А.Б. Саченко, С.А. Усанов, А.В. Янцевич – обсуждение результатов исследования; А.Б. Саченко – подготовка рукописи; А.В. Янцевич – редактирование рукописи.
Благодарности. Авторы благодарят Ю.П. Буренкову за помощь при создании экспрессионных конструкций, А.И. Жолнеровича за помощь при выполнении экспериментов по определению активности терминальной дезоксинуклеотидилтрансферазы, М. А. Шапиро и Я. В. Диченко за помощь в хроматографической очистке белков.
Финансирование. Работа выполнена при поддержке гранта БРФФИ № Х21М-056 и грантов Национальной академии наук Беларуси № 2023-27-021 и № 2021-04-22.
Конфликт интересов. Авторы заявляют об отсутствии конфликта интересов.
Соблюдение этических норм. Настоящая статья не содержит описания каких-либо исследований с участием людей или животных в качестве объектов.
About the authors
A. B. Sachanko
Institute of Bioorganic Chemistry of the National Academy of Sciences of Belarus
Email: yantsevich@iboch.by
Belarus, Minsk, 220141
V. V. Shchur
Institute of Bioorganic Chemistry of the National Academy of Sciences of Belarus
Email: yantsevich@iboch.by
Belarus, Minsk, 220141
S. A. Usanov
Institute of Bioorganic Chemistry of the National Academy of Sciences of Belarus
Email: yantsevich@iboch.by
Belarus, Minsk, 220141
A. V. Yantsevich
Institute of Bioorganic Chemistry of the National Academy of Sciences of Belarus
Author for correspondence.
Email: yantsevich@iboch.by
Belarus, Minsk, 220141
References
- Hoose A., Vellacott R., Storch M., Freemont P.S., Ryadnov M.G. // Nat. Rev. Chem. 2023. V. 7. P. 144–161.
- Stemmer W.P., Crameri A., Ha K.D., Brennan T.M., Heyneker H.L. // Gene. 1995. V. 164. P. 49–53.
- Ma S., Saaem I., Tian J. // Trends Biotechnol. 2012. V. 30. P. 147–154.
- Kosuri S., Church G.M. // Nat. Meth. 2014. V. 11. P. 499–507.
- Grosse F., Manns A. // Meth. Mol. Biol. 1993. V. 16. P. 95–105.
- Bollum F.J. // J. Biol. Chem. 1960. V. 235. P. 2399–2403.
- Church G.M., Gao Y., Kosuri S. // Science. 2012. V. 337. P. 1628. https://doi.org/10.1126/science.1226355
- Verardo D., Adelizzi B., Rodriguez-Pinzon D.A., Moghaddam N., Thomee E., Loman T. et al. // Science. Adv. 2023. V. 9. P. eadi0263. https://doi.org/10.1126/sciadv.adi0263
- Deibel M.R., Jr., Coleman M.S. // J. Biol. Chem. 1980. V. 255. P. 4206–4212.
- Sachanka A.B., Trawkina M., Shchur V.V., Usanov S.A., Yantsevich A.V. // Proc. Nat. Acad. Sci. Bel. Chem. Ser. 2023. V. 55. P. 225–233.
- Steitz T.A., Steitz J.A. // Proc. Nat. Acad. Sci. USA. 1993. V. 90. P. 6498–6502.
- Barthel S., Palluk S., Hillson N.J., Keasling J.D., Arlow D.H. // Genes. 2020. V. 11. https://doi.org/10.3390/genes11010102
- Wang Y., Prosen D.E., Mei L., Sullivan J.C., Finney M., Vander Horn P.B. // Nucleic Acids Res. 2004. V. 32. P. 1197–1207.
- Dolgova A.S., Stukolova O.A. // 3 Biotech. 2017. V. 7. P. 128. https://doi.org/10.1007/s13205-017-0745-2
- Baumann H., Knapp S., Lundbäck T., Ladenstein R., Härd T. //Nat. Mol. Biol. 1994. V. 1. P. 808–819.
- Shehi E., Serina S., Fumagalli G., Vanoni M., Consonni R., Zetta L. et al // FEBS Lett. 2001. V. 497. P. 131–136.
- Guagliardi A., Napoli A., Rossi M., Ciaramella M. // J. Mol. Biol. 1997. V. 267. P. 841–848.
- McAfee J.G., Edmondson S.P., Datta P.K., Shriver J.W., Gupta R. // Biochem. 1995. V. 34. P. 10063–10077.
- Bujalowski W., Overman L.B., Lohman T.M. // J. Biol. Chem. 1988. V. 263. P. 4629–4640.
- Bochkarev A., Bochkareva E., Frappier L., Edwards A.M. // EMBO J. 1999. V. 18. P. 4498–4504.
- Chédin F., Seitz E.M., Kowalczykowski S.C. // Trends Biochem. Sci. 1998. V. 23. P. 273–277.
- Schwarz K., Hansen-Hagge T., Bartram C. // Nucleic Acids res. 1990. V. 18. P. 1079. https://doi.org/10.1093/nar/18.4.1079
- Ronaghi M. // Anal. Biochem. 2000. V. 286. P. 282–288.
- Yantsevich A.V., Shchur V.V., Usanov S.A. // SLAS tech. 2019. V. 24. № 6. P. 556–568. https://doi.org/10.1177/2472630319850534
- Yantsevich A.V., Dzichenka Y.V., Ivanchik A.V., Shapiro M.A., Trawkina M., Shkel T.V., et al.. // Prikl. Biokhim. Mikrobiol. 2017. V. 53. № 2. P. 173–187.
- Shlyakhtenko L.S., Lushnikov A.Y., Miyagi A., Lyubchenko Y.L. // Biochem. 2012. V. 51. P. 1500–1509.
- Kuffel A., Gray A., Daeid N.N. // Int. J. Leg. Med. 2021. V. 135. P. 63–72.
- Johns D., Richard Morgan A. // Biochem. Biophys. Res. Commun. 1976. V. 72. P. 840–849.
- Kato K.I., Goncalves J.M., Houts G.E., Bollum F.J. // J. Biol. Chem. 1967. V. 242. P. 2780–2789.
- Flamme M., Hanlon S., Iding H., Puentener K., Sladojevich F., Hollenstein M. // Bioorg. Med. Chem. Lett. 2021. V. 48. P. 128242. https://doi.org/10.1016/j.bmcl.2021.128242
- Aleksandra A.K., Timofey E.T., Irina V.A., Nadezhda A.T., Olga S.F., Nikita A.K. // Life Sci. All. 2022. V. 5. P. e202201428. https://doi.org/10.26508/lsa.202201428
- Kuznetsov S.V., Kozlov A.G., Lohman T.M., Ansari A. // J. Mol. Biol. 2006. V. 359. P. 55–65.
Supplementary files













