Кардиопротективное действие соевого белка при высокосолевой диете у яванских макак
- Авторы: Куликов А.Н.1, Береснева О.Н.1, Иванова Г.Т.2, Парастаева М.М.1, Богданова Е.О.1,3, Каюков И.Г.1, Кучер А.Г.1, Орлов С.В.4
-
Учреждения:
- Первый Санкт-Петербургский государственный медицинский университет им. акад. И.П. Павлова
- Институт физиологии им. И.П. Павлова РАН
- Отдел экспериментальных и научных исследований Межрегионального лабораторного центра
- Научно-исследовательский институт медицинской приматологии
- Выпуск: Том 109, № 6 (2023)
- Страницы: 771-787
- Раздел: ЭКСПЕРИМЕНТАЛЬНЫЕ СТАТЬИ
- URL: https://journal-vniispk.ru/0869-8139/article/view/137954
- DOI: https://doi.org/10.31857/S0869813923060055
- EDN: https://elibrary.ru/WHBVEH
- ID: 137954
Цитировать
Полный текст
Аннотация
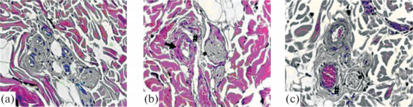
Избыточное потребление соли сопровождается развитием кардиоваскулярных нарушений, не всегда связанных с ростом артериального давления (АД). Учитывая кардиопротективное действие соевых белков при хронической болезни почек, встал вопрос о возможности нивелировать диетарными интервенциями, в частности протеинами сои, повреждающее действие высокосолевой диеты на сердечно-сосудистую систему. Цель работы – изучить влияние длительного применения диеты с высоким содержанием NaCl и соевым белком на ремоделирование миокарда и гистоморфологию кожи обезьян. Исследование выполнено на самцах яванских макак (Macaca fascicularis). Контрольная группа получала стандартный рацион (2 г NaCl/кг корма). Вторая – высокосолевой рацион (8 г NaCl/кг корма), третья – высокосолевую диету и соевый протеин SUPRO760 (200 г/кг корма). ЭхоКГ, регистрацию АД и ЧСС выполняли исходно, через 4 и 12 мес. Через 12 мес. проводили гистологическое исследование кожно-мышечного лоскута. У всех животных в течение 12 мес. АД и ЧСС значимо не изменялись. У макак на высокосолевом рационе к концу исследования отмечено ухудшение систолической и диастолической функций левого желудочка (ЛЖ). У животных, получавших дополнительно соевый протеин, эти изменения нивелировались. Через 12 мес. у макак, получавших соевый протеин, масса миокарда ЛЖ была меньше, а сократимость ЛЖ выше, чем у животных, потреблявших избыток соли без соевого белка. У обезьян на высокосолевом рационе выявлены накопление коллагеновых волокон в гиподерме, гиалинизация цитоплазмы гладкомышечных клеток капилляров, периваскулярный и периневральный отек сетчатого слоя дермы. У животных, получавших соевый белок, ремоделирование капилляров кожи было менее выражено. Таким образом, высокое потребление соли приводит к неблагоприятным структурным и функциональным нарушениям сердца и сосудов у яванских макак, не связанным с повышением АД. Включение в рацион соевого изолята снижает последствия негативного влияния высокосолевой диеты на сердечно-сосудистую систему.
Об авторах
А. Н. Куликов
Первый Санкт-Петербургский государственный медицинский университетим. акад. И.П. Павлова
Email: beresnevaolga@list.ru
Россия, Санкт-Петербург
О. Н. Береснева
Первый Санкт-Петербургский государственный медицинский университетим. акад. И.П. Павлова
Автор, ответственный за переписку.
Email: beresnevaolga@list.ru
Россия, Санкт-Петербург
Г. Т. Иванова
Институт физиологии им. И.П. Павлова РАН
Email: beresnevaolga@list.ru
Россия, Санкт-Петербург
М. М. Парастаева
Первый Санкт-Петербургский государственный медицинский университетим. акад. И.П. Павлова
Email: beresnevaolga@list.ru
Россия, Санкт-Петербург
Е. О. Богданова
Первый Санкт-Петербургский государственный медицинский университетим. акад. И.П. Павлова; Отдел экспериментальных и научных исследований Межрегионального лабораторного центра
Email: beresnevaolga@list.ru
Россия, Санкт-Петербург; Россия, Санкт-Петербург
И. Г. Каюков
Первый Санкт-Петербургский государственный медицинский университетим. акад. И.П. Павлова
Email: beresnevaolga@list.ru
Россия, Санкт-Петербург
А. Г. Кучер
Первый Санкт-Петербургский государственный медицинский университетим. акад. И.П. Павлова
Email: beresnevaolga@list.ru
Россия, Санкт-Петербург
С. В. Орлов
Научно-исследовательский институт медицинской приматологии
Email: beresnevaolga@list.ru
Россия, Краснодарский край, Сочи–Адлер
Список литературы
- Kurtz TW, Pravenec M, DiCarlo SE (2022) Mechanism-based strategies to prevent salt sensitivity and salt-induced hypertension. Clin Sci (Lond) 136: 599–620. https://doi.org/10.1042/CS20210566
- Ertuglu LA, Elijovich F, Laffer CL, Kirabo A (2021) Salt-Sensitivity of Blood Pressure and Insulin Resistance. Front Physiol 12:2260. https://doi.org/10.3389/ fphys.2021.793924
- Kanbay M, Chen Y, Solak P, Sanders PW (2011) Mechanisms and consequences of salt sensitivity and dietary salt intake. Curr Opin Nephrol Hypertens 20: 37–43. https://doi.org/10.1097/MNH.0b013e32834122f1
- Selvarajah V, Connolly K, McEniery C, Wilkinson I (2018) Skin Sodium and Hypertension: A Paradigm Shift? Curr Hypertens Rep 20: 94. https://doi.org/10.1007/s11906-018-0892-9
- Mishra S, Ingole S, Jain R (2018) Salt sensitivity and its implication in clinical practice. Indian Heart J 70: 56–564. https://doi.org/10.1016/j.ihj.2017.10.006
- Maaliki D, Itani MM, Itani HA (2022) Pathophysiology and genetics of salt-sensitive hypertension. Front Physiol 13: 1001434. https://doi.org/10.3389/ fphys.2022.1001434
- Stolarz-Skrzypek K, Kuznetsova T, Thijs L, Tikhonoff V, Seidlerová J, Richart T, Jin Y, Olszanecka A, Malyutina S, Casiglia E, Filipovský J (2011) Fatal and nonfatal outcomes, incidence of hypertension, and blood pressure changes in relation to urinary sodium excretion. Jama 305: 1777–1785. https://doi.org/10.1001/jama.2011.574
- O’Donnell M, Yusuf S, Mente A, Gao P, Mann JF, Teo K, McQueen M, Sleight P, Sharma AM, Dans A, Probstfield J (2011) Urinary sodium and potassium excretion and risk of cardiovascular events. JAMA 306: 2228–2239. https://doi.org/10.1001/jama.2011.1729
- Mente A, O’Donnell M, Yusuf S (2021) Sodium intake and health: what should we recommend based on the current evidence? Nutrients 13: 3232.https://doi.org/10.3390/nu13093232
- O’Donnell M, Mente A, Alderman MH, Brady AJB, Diaz R, Gupta R, López-Jaramillo P, Luft FC, Lüscher TF, Mancia G (2020) Salt and cardiovascular disease: Insufficient evidence to recommend low sodium intake. Eur Heart J 41: 3363–3373. https://doi.org/10.1093/eurheartj/ehaa586
- Cook NR, Cutler JA, Obarzanek E, Buring JE, Rexrode KM, Kumanyika SK, Appel LJ, Whelton PK (2007) Long term effects of dietary sodium reduction on cardiovascular disease outcomes: Observational follow-up of the trials of hypertension prevention (TOHP). BMJ 334: 885–888. https://doi.org/10.1136/ bmj.39147.604896.55
- Парастаева ММ, Береснева ОН, Иванова ГТ, Швед НВ, Кучер АГ, Зубина ИМ, Каюков ИГ (2016) Артериальная гипертензия и потребление соли: вклад в ремоделирование сердца. Нефрология 20: 97–105. [Parastaeva MM, Beresneva ON, Ivanova GT, Shved NV, Kucher AG, Zubina IM, Kayukov IG (2016) Hypertension and salt intake: contribution to cardiac remodeling. Nephrology (Saint-Petersburg) 20: 97–105. (In Russ)].
- Mente A, O’Donnell M, Rangarajan S, McQueen M, Dagenais G, Wielgosz A, Lear S, Ah STL, Wei L, Diaz R, Avezum A, Lopez-Jaramillo P (2018) Urinary sodium excretion, blood pressure, cardiovascular disease, and mortality: a community-level prospective epidemiological cohort study. Lancet 392: 496–506. https://doi.org/10.1016/S0140- 6736(18)31376-X
- Иванова ЛН, Арчибасова ВК, Штеренталь И (1978) Натрийдепонирующая функция кожи у белых крыс. Физиол Ж СССР им ИМ Сеченова 64: 358–363. [Ivanova LN, Archibasova VK, Shterental’ I (1978) Sodium-depositing function of the skin in white rats. Fiziol Zh SSSR Im IM Sechenova 64: 358–363. (In Russ)].
- Titze J, Dahlmann A, Lerchl K, Kopp C, Rakova N, Schröder A, Luft F (2014) Spooky sodium balance. Kidney Int 85: 759–767.https://doi.org/10.1038/ki.2013.367
- Cheng Y, Song H, Pan X, Xue H, Wan Y, Wang T (2018) Urinary metabolites associated with blood pressure on a low- or high-sodium diet. Theranostics 8: 1468–1480.https://doi.org/10.7150/thno.22018
- Rinschen MM, Palygin O, El-Meanawy A, Domingo-Almenara X, Palermo A, Dissanayake LD, Golosova D, Schafroth MA, Guijas C, Demir F, Jaegers J, Gliozzi ML, Xue J, Hoehne M, Benzing T (2022) Accelerated lysine metabolism conveys kidney protection in salt-sensitive hypertension. Nat Commun 13: 4099. https://doi.org/10.1038/s41467-022-31670-0
- Rinschen MM, Palygin O, Guijas C, Palermo A, Palacio-Escat N, Domingo-Almenara X, Montenegro-Burke R, Saez-Rodriguez J, Staruschenko A, Siuzdak G (2019) Metabolic rewiring of the hypertensive kidney. Sci Signal 12: eaax9760.https://doi.org/10.1126/ scisignal.aax
- McGraw NJ, Krul ES, Grunz-Borgmann E, Parrish AR (2016) Soy-based renoprotection. World J Nephrol 5: 233–257.https://doi.org/10.5527/wjnv5. i3.233
- Jheng H-F, Hirotsuka M, Goto T, Shibata M, Matsumura Y, Kawada T (2017) Dietary low-fat soy milk powder retards diabetic nephropathy progression via inhibition of renal fibrosis and renal inflammation. Mol Nutr Food Res 61: 61. https://doi.org/10.1002/mnfr.201600461
- Caponio GR, Wang DQ-H, Di Ciaula A, De Angelis M, Portincasa P (2020) Regulation of cholesterol metabolism by bioactive components of soy proteins: Novel translational evidence. Int J Mol Sci 22:227.https://doi.org/10.3390/ ijms22010227
- Каюков ИГ, Береснева ОН, Парастаева ММ, Иванова ГТ, Куликов АН, Кучер АГ, Карал-оглы ДД, Орлов СВ (2019) Протеины сои противодействуют ремоделированию сердца у крыс Wistar, получающих рацион с высоким содержанием хлорида натрия. Нефрология 23: 92–99. [Kayukov IG, Beresneva ON, Parastaeva MM, Ivanova GT, Kulikov AN, Kucher AG, Karal-ogly DD, Orlov SV (2019) Soybean proteins counteract heart remodeling in Wistar rats fed a high sodium chloride diet. Nephrology (Saint-Petersburg) 23: 92–99. (In Russ)]. https://doi.org/10.36485/1561-6274-2019-236-92-99
- Wagner JD, Zhang L, Greaves KA, Shadoan MK, Schwenke DC (2000) Soy protein reduces the arterial low-density lipoprotein (LDL) concentration and delivery of LDL cholesterol to the arteries of diabetic and nondiabetic male cynomolgus monkeys. Metabolism 49: 1188–1196. https://doi.org/10.1053/meta.2000.8620
- Walker SE, Adams MR, Franke AA, Register TC (2000) Effects of dietary soy protein on iliac and carotid artery atherosclerosis and gene expression in male monkeys. Atherosclerosis 196: 106–113.https://doi.org/10.1016/ j.atherosclerosis.2007.02.007
- Majid DS, Prieto MC, Navar LG (2015) Salt-Sensitive Hypertension: Perspectives on Intrarenal Mechanisms. Curr Hypertens Rev 11: 38–48. https://doi.org/10.2174/1573402111666150530203858
- Robinson AT, Edwards DG, Farquhar WB (2019) The influence of dietary salt beyond blood pressure. Curr Hypertens Rep 21: 42.https://doi.org/10.1007/s11906-019-0948-5
- Yuan BH, Leenen FH (1991) Dietary sodium intake and left ventricular hypertrophy in nomotensive rats. Am J Physiol 261: H1397–H1401. https://doi.org/10.1152/ajpheart.1991.261.5.H1397
- Safar ME, Thuilliez C, Richard V, Benetos A (2000) Pressure-independent contribution of sodium on large artery structure and function in hypertension. Cardiovasc Res 46: 269–276.https://doi.org/10.1016/s0008-6363(99)00426-5
- Jaques DA, Wuerzner G, Ponte B (2021) Sodium intake as a cardiovascular risk factor: a narrative review. Nutrients 13: 3177. https://doi.org/10.3390/nu13093177
- Whaley-Connell AT, Habibi J, Aroor A, Ma L, Hayden M R, Ferrario CM, Demarco VG, Sowers JR (2013) Salt loading exacerbates diastolic dysfunction and cardiac remodeling in young female Ren2 rats. Metabolism 62: 1761–1771. https://doi.org/10.1016/j.metabol.2013.08.010
- Li K, Song H, Wei F, Liu D, Zhao Y, Yin H, Cui Y, Zhang H, Liu Z (2022) High salt intake damages myocardial viability and induces cardiac remodeling via chronic inflammation in the elderly. Front Cardiovasc Med 9: 95269. https://doi.org/10.3389/fcvm.2022.952691
- Yu HC, Burrell LM, Black MJ, Wu LL, Dilley RJ, Cooper ME, Johnston CI (1998) Salt induces myocardial and renal fibrosis in normotensive and hypertensive rats. Circulation 98: 2621–2628. https://doi.org/10.1161/01.cir.98.23.2621
- Grigorova YN, Juhasz O, Zernetkina V, Fishbein KW, Lakatta EG, Fedorova OV, Bagrov AY (2016) Aortic fibrosis, induced by high salt intake in the absence of hypertensive response, is reduced by a monoclonal antibody to marinobufagenin. Am J Hypertens 29: 641–646 https://doi.org/10.1093/ajh/hpv155
- Xiao H, Lu H, Xue Y, Jia Z, Dai M, He K, Zhao R (2023) Deleterious effect in endothelin receptor-mediated coronary artery smooth muscle contractility in high-salt diet rats. Nutr Metab Cardiovasc Dis 33: 234–244. https://doi.org/10.1016/j.numecd.2022.10.010
- Wu C, Yosef N, Thalhamer T, Zhu C, Xiao S, Kishi Y, Regev A, Kuchroo VK (2013) Induction of pathogenic TH 17 cells by inducible salt-sensing kinase SGK1. Nature 496: 513–517. https://doi.org/10.1038/nature11984
- Namai-Takahashi A, Sakuyama A, Nakamura T, Miura T, Takahashi J, Kurosawa R, Masahiro Kohzuki M, Ito O (2019) Xanthine oxidase inhibitor, febuxostat ameliorates the high salt intake-induced cardiac hypertrophy and fibrosis in Dahl Salt-Sensitive rats. Am J Hypertens 32: 26–33 https://doi.org/10.1093/ajh/hpy143
- Li J, White J, Guo L, Zhao X, Wang J, Smart EJ, Li XA (2009) Salt inactivates endothelial nitric oxide synthase in endothelial cells. J Nutr 139: 447–451. https://doi.org/10.3945/jn.108.097451
- Kagota S, Tamashiro A, Yamaguchi Y, Sugiura R, Kuno T, Nakamura K, Kunitomo M (2001) Downregulation of vascular soluble guanylate cyclase induced by high salt intake in spontaneously hypertensive rats. Br J Pharmacol 134: 737–744. https://doi.org/10.1038/sj.bjp.0704300
- Gonzalez M, Lobos L, Castillo F, Galleguillos L, Lopez NC, Michea L (2005) High-salt diet inhibits expression of angiotensin type 2 receptor in resistance arteries. Hypertension 45: 853–859. https://doi.org/10.1161/01.HYP. 0000161990. 98383.ad
- Jessup JA, Lindsey SH, Wang H, Chappell MC, Groban L (2010) Attenuation of salt-induced cardiac remodeling and diastolic dysfunction by the GPER agonist G-1 in female mRen2.Lewis rats. PLoS One 5: e15433. https://doi.org/10.1371/journal. pone.0015433
- Patik JC, Lennon SL, Farquhar WB, Edwards DG (2021) Mechanisms of dietary sodium-induced impairments in endothelial function and potential countermeasure. Nutrients 13: 270.https://doi.org/10.3390/nu13010270
- Zhu J, Mori T, Huang T, Lombard JH (2004) Effect of high-salt diet on NO release and superoxide production in rat aorta. Am J Physiol Heart Circ Physiol 286: H575–H583.https://doi.org/10.1152/ajpheart.00331.2003
- Dmitrieva NI, Burg MB (2007) High NaCl promotes cellular senescence. Cell Cycle 6: 3108–3113. https://doi.org/10.4161/cc.6.24.5084
- Siu PM, Bae S, Bodyak N, Rigor DL, Kang PM (2007) Response of caspase-independent apoptotic factors to high salt diet-induced heart failure. J Mol Cell Cardiol 42: 678–686.https://doi.org/10.1016/j.yjmcc.2007.01.001
- Kataoka K, Tokutomi Y, Yamamoto E, Nakamura T, Fukuda M, Dong YF Ichijo H, Ogawa H, Kim-Mitsuyama S (2011) Apoptosis signal-regulating kinase1 deficiency eliminates cardiovascular injuries induced by high-salt diet. J Hypertens 29: 76–84.https://doi.org/10.1097/HJH.0b013e32833fc8b0
- Zhu Q, Hu J, Wang L, Wang W, Wang Z, Li PL, Li N (2021) Overexpression of MicroRNA-429 transgene into the renal medulla attenuated salt-sensitive hypertension in Dahl S rats. Am J Hypertens 34: 1071–1077. https://doi.org/10.1093/ajh/hpab089
- Орлов СВ, Береснева ОН, Зарайский МИ, Карал-Оглы ДД, Парастаева ММ, Иванова ГТ, Кучер АГ, Куликов АН, Смирнов АВ, Каюков ИГ (2021) Изменения экспрессии микроРНК в моче яванских макак (Macaca fascicularis) при высоком потреблении поваренной соли. Вопросы питания 90: 94–102. [Orlov SV, Beresneva ON, Zaraisky MI, Karal-Оgly DD, Parastaeva MM, Ivanova GT, Kucher AG, Kulikov AN, Smirnov AV, Kayukov IG (2021) Urinary miRNA expression in cynomolgus macaques (Macaca fascicularis) fed high salt rations. Vopr Pitan 90: 94–102. (In Russ)]. https://doi.org/10.33029/0042-8833-2021-90-4-94-102
- Тарумов РА, Гребенюк АН, Башарин ВА, Ковтун ВЮ (2014) Биологические свойство фитоэстрогена генистеина (обзор литературы). Медицина экстремальных ситуаций 48: 55–68 [Tarumov RA, Grebenyuk AN, Basharin VA, Kovtun VYu (2014) Biological properties of genistein phytoestrogen (literature review). Emergency Medicine 48: 55–68. (In Russ)].
- Береснева ОН, Парастаева ММ, Кучер АГ, Иванова ГТ, Каюков ИГ, Смирнов АВ (2011) Ренопротективные эффекты соевой белковой диеты. Нефрология 15: 26–34. [Beresneva ON, Parastaeva MM, Kucher AG, Ivanova GT, Kayukov IG, Smirnov AV (2011) Renoprotective effects of soy protein diet. Nephrology (Saint-Petersburg) 15: 26–34. (In Russ)].
- Смирнов АВ, Кучер АГ, Добронравов ВА, Береснева ОН, Парастаева ММ, Сиповский ВГ, Зарайский МИ, Иванова ГТ, Сиповская ЕБ, Каюков ИГ (2012) Диетарный соевый протеин замедляет развитие интерстициального почечного фиброза у крыс с односторонней обструкцией мочеточника: введение в нутритивную эпигеномику. Нефрология 16: 75–83. [Smirnov AV, Kucher AG, Dobronravov VA, Beresneva ON, Parastaeva MM, Sipovsky VG, Zaraisky MI, Ivanova GT, Sipovskaya EB, Kayukov IG (2012) Dietary soy protein slows the development of interstitial renal fibrosis in rats with unilateral ureteral obstruction: an introduction to nutritional epigenomics. Nephrology (Saint-Petersburg) 16: 75– 83. (In Russ)].
- Titze J, Lang R, Ilies C, Schwind K, Kirsch K, Dietsch P, Luft F, Hilgers K (2003) Osmotically inactive skin Na+ storage in rats. Am J Physiol Renal Physiol 285: F1108–F1117.https://doi.org/10.1152/ajprenal.00200.2003
- Titze J, Dahlmann A, Lerchl K, Kopp C, Rakova N, Schröder A, Luft F (2014) Spooky sodium balance. Kidney Int 85: 759–767. https://doi.org/10.1038/ki.2013.367
- Platia MP, Catt KJ, Hodgen GD, Aguilera G (1986) Regulation of primate angiotensin II receptors during altered sodium intake. Hypertension 8:1121–1112. https://doi.org/10.1161/01.hyp.8.12.1121
Дополнительные файлы









