5-HT2-рецепторы и 5-ГИУК – терапевтические мишени оценки тяжести, прогрессирования и эффективности лечения у неполовозрелых самцов крыс в монокроталиновой модели легочной гипертензии
- Авторы: Билалова Д.Ф.1, Нигматуллина Р.Р.1, Мустафин А.А.1,2
-
Учреждения:
- Казанский государственный медицинский университет
- Детская республиканская клиническая больница МЗ РТ
- Выпуск: Том 109, № 8 (2023)
- Страницы: 1045-1055
- Раздел: ЭКСПЕРИМЕНТАЛЬНЫЕ СТАТЬИ
- URL: https://journal-vniispk.ru/0869-8139/article/view/137977
- DOI: https://doi.org/10.31857/S0869813923080022
- EDN: https://elibrary.ru/NOKUOF
- ID: 137977
Цитировать
Полный текст
Аннотация
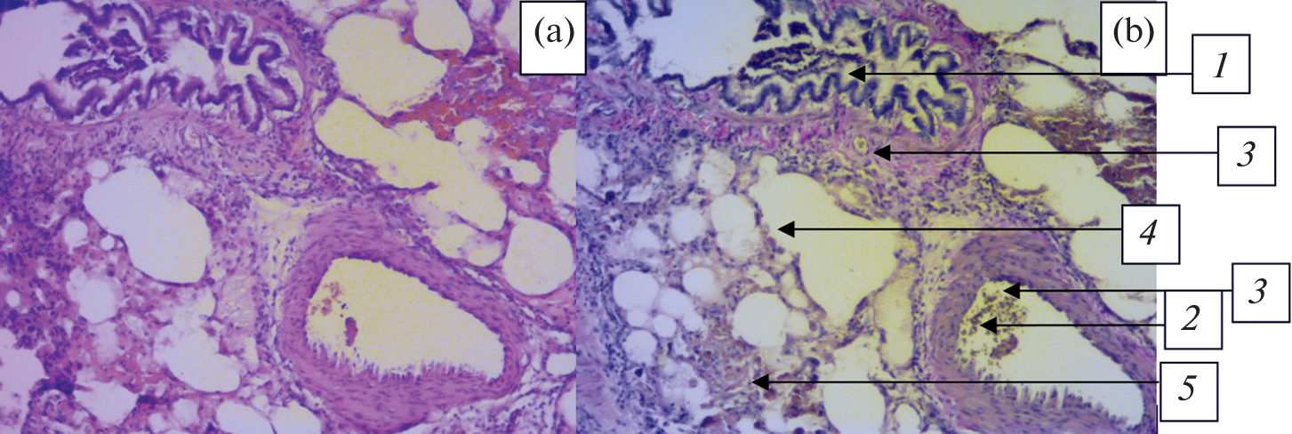
При легочной артериальной гипертензии подавление пролиферации эндотелиальных клеток сосудов и взаимодействие эндотелиальных с гладкомышечными клетками нарушены. Выявлено участие 5-НТ2a-рецепторов в митогенном действии на эндотелиальные, а 5-НТ2b-рецепторов на гладкомышечные клетки сосудов. Известно, что одним из основных органов, в котором происходит метаболизм серотонина, является легкое. В эндотелиальных клетках сосудов легких под действием фермента моноаминоксидазы А серотонин превращается в 5-гидроксииндолуксусную кислоту (5-ГИУК), которая впоследствии выводится с мочой. В настоящее время при лечении детей с легочной гипертензией не учитывается роль 5-HT2-рецепторов. Нами модифицирована монокроталиновая модель легочной гипертензии для неполовозрелых крыс-самцов. Также разработана и апробирована схема введения блокатора 5-НТ2-рецепторов для профилактики и лечения легочной гипертензии у неполовозрелых крыс. В нашем исследовании выявлена положительная корреляция концентрации 5-ГИУК в моче со степенью легочной гипертензии, что может стать потенциальным маркером этого заболевания. Полученные данные свидетельствуют о развитии легочной гипертензии у неполовозрелых крыс самцов после однократного введения монокроталина в виде замещения легочной ткани фиброзной, развитием пневмосклероза и бронхоэктазов. Также у животных в данной модели формируются изменения структуры сердечной мышцы и сосудистой стенки с развитием фиброзной ткани, что может свидетельствовать о вовлеченности 5-HT2-рецепторов в активацию фибробластов и соответственно в патогенез легочной гипертензии.
Об авторах
Д. Ф. Билалова
Казанский государственный медицинский университет
Автор, ответственный за переписку.
Email: Diana_bilalova@hotmail.com
Россия, Республика Татарстан, Казань
Р. Р. Нигматуллина
Казанский государственный медицинский университет
Email: Diana_bilalova@hotmail.com
Россия, Республика Татарстан, Казань
А. А. Мустафин
Казанский государственный медицинский университет; Детская республиканская клиническая больница МЗ РТ
Email: Diana_bilalova@hotmail.com
Россия, Республика Татарстан, Казань; Россия, Республика Татарстан, Казань
Список литературы
- Cooper DM, Bierlaning CL, Halford MK (1996) Serotonin. Mol Pharmacol 29(2): 113–119.
- Cote F, Thevenot E, Fligny C (2004) Disruption of the nonneuronaltph 1 gene demonstrates the importance of peripheral serotonin in cardiac function. Proc Natl Acad Sci U S A 100: 13 525–13 530.
- Билич ИА, Хамитов ХС (1977) Ацетилхолин и серотонин в норме и патологии желудочно-кишечного тракта. Казань. Татарск. книжн. изд. 1977: 142. [Bilich IL, Khamitov KhS (1977) Acetylcholine and serotonin are normal and enter the gastrointestinal tract. Kazan. Tat. Publ House. 1977: 142. (In Russ)].
- Gillis CN, Pitt BR (1982) The fate of circulating amines within the pulmonary circulation. Annu Rev Physiol 44: 269–281.
- Choi DS, Maroteaux L (1996) Immunohistochemical localization of the serotonin 5-HT2B receptor in mouse gut, cardiovascular system, and brain. FEBS Let 391(1–2): 45–51.
- Tournois C, Mutel V, Manivet P, Launay JM, Kellermann O (1998) Cross-talk between 5-hydroxytryptamine receptors in a serotonergic cell line. Involvement of arachidonic acid metabolism. J Biol Chem 273: 17498–17503.
- Galiè N, Manes A, Branzi A (2004) Evaluation of pulmonary arterial hypertension. Curr Opin Cardiol 19(6): 575–581. https://doi.org/10.1097/01.hco.0000142066.14966.85
- Hervé P, Launay JM, Scrobohaci ML, Brenot F, Simonneau G, Petitpretz P, Poubeau P, Cerrina J, Duroux P, Drouet L (1995) Increased plasma serotonin in primary pulmonary hypertension. Am J Med 99(3): 249–254.
- Houkin K, Nakayama N, Nonaka T, Koyanagi I (2005) The 5-hydroxytryptamine2A receptor antagonist sarpogrelate hydrochloride inhibits acute platelet aggregation in injured endothelium. J Int Med Res 34(1): 65–72.
- Frille A, Rullmann M, Becker GA, Patt M, Luthardt J, Tiepolt S, Wirtz H, Sabri O, Hesse S, Seyfarth HJ (2021) Increased pulmonary serotonin transporter in patients with chronic obstructive pulmonary disease who developed pulmonary hypertension. Eur J Nucl Med Mol Imag 48(4): 1081–1092. https://doi.org/10.1007/s00259-020-05056-7
- Nebigil CG, Choi DS, Dierich A, Hickel P, Le Meur M, Messaddeq N, Launay JM, Maroteaux L (2000) Serotonin 2B receptor is required for heart development. Proc Natl Acad Sci U S A 97(17): 9508–9513.
- Mindubayeva F, Niyazova Y, Nigmatullina R, Kabiyeva S, Salikhova Y (2020) The system of serotonin and its metabolism in platelets in children with congenital heart defects of an early age. Georg Med News 298: 42–46.
- Reyes-Palomares A, Gu M, Grubert F, Berest I, Sa S, Kasowski M, Arnold C, Shuai M, Srivas R, Miao S, Li D, Snyder MP, Rabinovitch M, Zaugg JB (2020) Remodeling of active endothelial enhancers is associated with aberrant gene-regulatory networks in pulmonary arterial hypertension. Nat Commun 3 11(1): 1673. https://doi.org/10.1038/s41467-020-15463-x
- Нигматуллина РР, Земскова СН, Зефиров АЛ, Смирнов АВ (2004) Клеточно-молекулярные механизмы функционирования и регуляции сердца : Учебно-методическое пособие для медицинских вузов. Казань. КГМУ 2004: 109. [Nigmatullina RR, Zemskova SN, Zefirov AL, Smirnov AV (2004) Cellular and molecular mechanisms of functioning and regulation of the heart. Kazan. KGMU 2004: 109. EDN EFFAZQ. (In Russ)].
- Adham N, Kao HT, Schercter LE (1993) Classification of receptors for serotonin. Proc Natl Acad Sci U S A 90(2): 408–412.
- Mindubayeva F, Niyazova Y, Nigmatullina R (2020) Membrane serotonin transporter as a biomarker of pulmonary arterial hypertension in children with congenital heart defect. RJPT 5(13): 2435–2438. https://doi.org/10.5958/0974-360X.2020.00436.9
- Affas S, AlhajSakur A (2019) New Simple Spectrophotometric Method for the Simultaneous Estimation of the Mixtures of Sildenafil and some Serotonin Reuptake Inhibitors. Res J Pharm and Techn 12(2): 711–716.
- Martinho S, Adão R, Leite-Moreira AF, Brás-Silva C (2020) Persistent Pulmonary Hypertension of the Newborn: Pathophysiological Mechanisms and Novel Therapeutic Approaches. Front Pediatr 24(8): 342. https://doi.org/10.3389/fped.2020.00342
- Launay JM, Hervé P, Callebert J, Mallat Z, Collet C, Doly S, Belmer A, Diaz SL, Hatia S, Côté F, Humbert M, Maroteaux L (2012) Serotonin 5-HT2B receptors are required for bone-marrow contribution to pulmonary arterial hypertension. Blood 119: 1772–1780.
- Mustafin AA, Nigmatullina RR, Bilalova DF (2018) Serotonin as the main cause of pulmonary hypertension: from hypothesis to medical practice. Modern Science: Actual Problems of Theory and Practice. Series: Natural and Technical Sci 3: 107–111.
- Masarwa R, Bar-Oz B, Gorelik E, Reif S, Perlman A, Matok I (2019) Prenatal exposure to selective serotonin reuptake inhibitors and serotonin norepinephrine reuptake inhibitors and risk for persistent pulmonary hypertension of the newborn: a systematic review, meta-analysis, and network meta-analysis. Am J Obstet Gynecol 220(1): 57.e1–57.e13. https://doi.org/10.1016/j.ajog.2018.08.030
- Kirillova V, Nigmatullina R, Dzhordzhikiya R, Kudrin V, Klodt P (2009) Increased concentrations of serotonin and 5-hydroxyindoleacetic acid in blood plasma from patients with pulmonary hypertension due to mitral valve disease. Bull Exp Biol Med 147(4): 408–410. https://doi.org/10.1007/s10517-009-0527-x
- Abman SH, Shanley PF, Accurso FJ (1989) Failure of postnatal adaptation of the pulmonary circulation after chronic intrauterine pulmonary hypertension in fetal lambs. J Clin Invest 83(6): 1849–1858. https://doi.org/10.1172/JCI114091
- Delaney C, Gien J, Grover TR, Roe G, Abman SH (2011) Pulmonary vascular effects of serotonin and selective serotonin reuptake inhibitors in the late-gestation ovine fetus. Am J Physiol Lung Cell Mol Physiol 301(6): L937–L944. https://doi.org/10.1152/ajplung.00198.2011
Дополнительные файлы











