Астроцитарный маркер GFAP в глиоцитах периферической нервной системы
- Авторы: Петрова Е.С.1, Колос Е.А.1
-
Учреждения:
- Институт экспериментальной медицины
- Выпуск: Том 110, № 9 (2024)
- Страницы: 1277-1293
- Раздел: ОБЗОРНЫЕ СТАТЬИ
- URL: https://journal-vniispk.ru/0869-8139/article/view/272666
- DOI: https://doi.org/10.31857/S0869813924090015
- EDN: https://elibrary.ru/AKRXIX
- ID: 272666
Цитировать
Полный текст
Аннотация
Исследование глиальных клеток периферической нервной системы (ПНС) является актуальной проблемой современной нейробиологии. Целью настоящей работы явилось обобщение собственных и литературных данных о распределении глиального фибриллярного кислого белка (GFAP) в клетках глии ПНС. Рассматривались особенности экспрессии GFAP в глии энтеральной нервной системы, спинномозгового ганглия и периферических нервных проводников. Сравнительное исследование разных популяций глиоцитов ПНС позволило заключить, что белок промежуточных филаментов GFAP распределяется в них по-разному. Анализ литературы показал, что несмотря на то, что данный белок широко применяется в качестве молекулярного маркера глиальной активации, до сих пор отсутствует понимание точных механизмов участия GFAP в глиальном реактивном ответе. Описанные особенности GFAP-содержащих глиоцитов различных отделов ПНС демонстрируют функциональный полиморфизм этого белка. Его свойство экспрессироваться в периферической глии в ответ на повреждение нуждается в дальнейших исследованиях.
Полный текст
ВВЕДЕНИЕ
В последние годы большое число нейробиологических исследований касается клеток глии. Особое внимание уделяется метаболическим взаимодействиям между глиальными клетками (астроцитами, олигодендроцитами и микроглией) и нейронами, особенно в процессе старения и развития нейродегенеративных заболеваний. Большое значение для ЦНС имеют нейрон-астроцитарные взаимодействия. Известно, что астроцитарная глия обеспечивает нормальное функционирование нейронов, их защиту от токсичности, регулирует синаптическую активность, составляет основу барьерной системы мозга, обеспечивает метаболизм [1–3].
Общеизвестно свойство астроцитов экспрессировать белок промежуточных филаментов – глиальный кислый фибриллярный белок (GFAP), который в течение многих десятилетий применяется как маркер астроцитарной глии. Одной из основных его функций считается поддержание структурной целостности глиальных клеток ЦНС, что обеспечивается связыванием промежуточных филаментов с другими компонентами цитоскелета – микротрубочками и микрофиламентами, а также плазматической и ядерной мембранами. Кроме этого, промежуточные филаменты играют важную роль во внутриклеточном распределении органелл цитоплазмы. Использование нокаутных по GFAP животных позволило выявить участие этого белка в формировании гематоэнцефалического барьера, в процессах миелинизации и синаптогенеза, в регуляции нейрон-глиальных взаимоотношений [4, 5]. Меньшее внимание уделяется исследованиям нейрон-глиальных взаимодействий в органах периферической нервной системы (ПНС).
В ряде обзорных статей авторы сравнивают глиоциты ПНС с астроглией. Цель таких работ заключается в использовании обширных знаний об астроцитах для изучения новых аспектов клеток периферической глии [6]. Авторы рассматривают особенности химических мессенджеров тех и других глиоцитов, отмечают использование ими кальциевых волн для межклеточной сигнализации, описывают изменения при патологических состояниях [3, 6]. Эти сравнения проводятся на примере клеток-сателлитов чувствительных ганглиев и астроцитов и не касаются других популяций периферической глии. Тем не менее актуальность изучения молекулярно-клеточных механизмов регуляции функций ПНС, в частности, нейрон-глиальных взаимодействий весьма высока, поскольку касается таких важных аспектов, как проблема боли, восстановление периферических нервных проводников, вопросов влияния вегетативных ганглиев на развитие патологических процессов в разных органах (например, при сердечной недостаточности, циррозе печени, патологии кишечника и др.). Для решения этих проблем необходимо углубленное изучение морфофункциональных особенностей глиальных клеток ПНС, их функциональных белков и участия последних в нейрон-глиальных взаимодействиях. Одним из таких белков является GFAP. Целью настоящего обзора явилось обобщение собственных и литературных данных о распределении GFAP в глиальных клетках ПНС.
Краткая характеристика глиального фибриллярного кислого белка
GFAP является основным компонентом промежуточных филаментов цитоскелета астроцитов и считается классическим маркером астроглии. Данные о структурной организации его молекул, изоформах, свойствах и функциях, полученные за последние полвека, обобщены в большом числе отечественных и зарубежных обзоров [2, 7–10]. Показано, что в клетках, находящихся на разных стадиях развития, и при нейродегенеративных заболеваниях GFAP присутствует в разных изоформах. Известно десять изоформ этого белка: GFAP-α, -β, -δ(–ε), -κ и др. Они имеют определенные отличительные особенности в строении молекул, различаются внутриклеточной локализацией, свойствами сборки, особенностями молекулярных взаимодействий [10]. GFAP-α – наиболее распространенная изоформа ЦНС, состоит из 342 аминокислотных остатков. GFAP-δ-(–ε) – изоформа, характерная для клеток опухолей астроцитарного происхождения и глиоцитов мозга при болезни Альцгеймера [2, 8, 11–13]. Изоформа GFAP-δ свойственна также нейральным стволовым клеткам и радиальной глии [11]. Экспрессия GFAP строго регулируется во время развития мозга и при неврологических заболеваниях.
По данным современной литературы, основными функциями GFAP являются поддержание специфической морфологии астроцитов и стабильности их отростков, участие в их миграции. Следует отметить, что GFAP не только служит важным структурным компонентом цитоскелета астроцитов, но также участвует в транспортировке различных белков к цитоплазматической мембране глиоцитов и их закреплению в ней (например, GLAST и GLT-1 [7, 14]), то есть участвует в процессах клеточной передачи сигналов и модуляции нейрон-глиальных взаимодействий.
В литературе имеется множество доказательств повышения экспрессии GFAP в астроцитах при моделировании различных заболеваний ЦНС. Наблюдаемая активация синтеза GFAP может играть ключевую роль в развитии астроглиоза [15, 16]. Так, увеличение синтеза GFAP критически важно для формирования утолщенных астроцитарных отростков при реактивном глиозе. Несмотря на разнообразие предполагаемых функций белка, показано, что нокаутные по GFAP мыши развиваются без патологий ЦНС, и реакция астроцитов на повреждение ЦНС практически не изменяется в отсутствие GFAP [16, 17]. Таким образом, роль GFAP в функционировании глиоцитов нервной системы остается неясной.
В связи со значительным увеличением экспрессии GFAP при различных патологических состояниях, включая нейродегенерацию и травмы, этот белок широко используется в качестве маркера активации астроглии [5, 18]. Повышенное содержание GFAP является ранним ответом на нарушение гомеостаза нервной системы и позволяет выявлять наличие повреждения даже при отсутствии явной гибели нейронов [19]. Предполагается, что посттравматическая индукция GFAP и связанный с ней реактивный глиоз могут фактически способствовать нейрорегенерации [20]. Однако важно учитывать, что степень активации синтеза GFAP в реактивных астроцитах не во всех случаях пропорциональна тяжести повреждения. Считается, что увеличение содержания GFAP является убедительным признаком реактивного ремоделирования астроцитов, но не является абсолютным маркером реактивности, не коррелирует с ее степенью и не указывает на изменение функций реактивных астроцитов [19]. Показано, что и в нормальном мозге уровни экспрессии GFAP непостоянны и значительно варьируют в различных клетках [21]. Не установлена и связь экспрессии GFAP с изменением клеточной пролиферации [21].
Несмотря на то, что GFAP считается специфичным белком для цитоскелета астроцитов, он встречается и в неглиальных клетках. В частности, в хондроцитах [22] и в клетках Ито в печени [23]. Кроме того, он экспрессируется и в клетках периферической глии. Впервые это было отмечено в конце прошлого века для глиоцитов энтеральной нервной системы (ЭНС) [24, 25]. Дальнейшие исследования показали, что и другие типы глии ПНС могут экспрессировать GFAP. В настоящем обзоре основное внимание уделяется GFAP-содержащим глиальным клеткам ганглиев ЭНС, клеткам-сателлитам спинномозговых узлов (root ganglion, DRG) и шванновским клеткам периферических нервных проводников (табл. 1).
Таблица 1. Глиальные клетки периферической нервной системы
Глиальные клетки | Экспрессия GFAP | Ссылки | |
Базальный уровень (в интактных клетках) | Индуцированный уровень (после повреждений) | ||
Миелинизирующие шванновские клетки | - | + (репаративные SCs) | |
Немиелинизирующие шванновские клетки | + | + (репаративные SCs) | |
Сателлитная глия сенсорных ганглиев | + | ++ (для определенных видов млекопитающих и при определенных повреждениях) | |
Терминальные шванновские клетки в нервно-мышечном соединении | ++ | ||
Энтеральная глия | + | + + | |
Шванновские клетки кожи | - | - | [36] |
GFAP-содержащие клетки энтеральной глии
Клетки ганглиозных сплетений стенки кишки млекопитающих и человека исследуются в течение нескольких десятилетий [37]. Большинство исследований, проведенных в прошлом столетии с применением электронной микроскопии, были посвящены, главным образом, нервным клеткам ганглиев сплетений Ауэрбаха и Мейснера. Меньше внимания уделялось их глиальным элементам. В настоящее время показано, что клетки энтеральной глии (enteric glial cells, EGCs) представляют собой большую популяцию периферической нейроглии, связанной с телами и отростками нейронов ганглиозных сплетений в стенках органов всего желудочно-кишечного тракта (ЖКТ) [38]. По данным последних лет, EGCs играют важную роль в нормальном функционировании кишечника. Они регулируют барьерную функцию эпителия кишечника, через белки-транспортеры модулируют нейротрансмиттеры, участвуют в функциональных реакциях ЖКТ и имеют тесную связь с микробиотой [38].
Некоторые исследователи выделяют четыре подтипа глиоцитов в ЭНС [35, 39], классифицируя их, главным образом, по локализации в стенке ЖКТ. Первый подтип – это астроцитоподобные глиальные клетки, расположенные в ганглиях ауэрбахова сплетения и сходные с астроцитами ЦНС. Второй подтип – глиоциты, сопровождающие нервные волокна, третий – глиоциты слизистой оболочки, четвертый – сопровождающие нервные волокна в мышечном слое. Другие исследователи делят энтеральную глию на два подтипа – астроцитоподобные клетки и нейролеммоциты [40, 41]. Некоторые авторы классифицируют EGCs по экспрессии ряда маркеров [42]. Анализ экспрессии маркеров показал, что большинство клеток глии в межмышечном сплетении коэкспрессируют GFAP, S100β и Sox10. При этом значительная часть (до 80 %) глиоцитов за пределами ганглиев не экспрессирует эти белки. Авторы предполагают, что комбинации маркеров отражают динамическую регуляцию генов в клетке и не являются свойством определенного типа глии. Таким образом, с точки зрения фенотипических особенностей отмечается гетерогенность и пластичность EGCs, подчеркивается необходимость дальнейших исследований, направленных на определение их участия в функциях ЖКТ в норме и при патологии [42, 43].
Астроцитоподобные глиальные клетки межмышечного ганглиозного сплетения располагаются вокруг нейронов, плотно прилегая к их телам и отросткам (рис. 1). GFAP+ глиоциты имеют отростчатую форму, их отростки проникают между всеми нейронами и располагаются на границе ганглиев с окружающими тканями, формируя структуры, сходные с ножками астроцитов. В связи с такими особенностями морфологии и локализации эти клетки и получили свое название «астроцитоподобные» [35, 40]. Глиальные клетки стенки кишечника отличаются от сателлитов нейронов интрамуральных ганглиев парасимпатической и симпатической нервной системы, а также от клеток-сателлитов сенсорных ганглиев [44]. Это связано с особенностями строения ганглиев ЭНС, которые состоят только из нервных и глиальных клеток. Ганглии окружены базальной мембраной, отделяющей их от окружающих тканей, кровеносные сосуды и элементы рыхлой соединительной ткани располагаются за базальной мембраной [37, 41].
Рис. 1. Астроцитоподобные глиальные клетки в ганглиях межмышечного сплетения. N – нейроны; I – межганглионарный тяж; М – мышцы; LC – лимфатический капилляр; AG – аганглионарный участок. Иммуногистохимическая реакция на GFAP, ×400 (рисунок из статьи Чумасова с соавт., 2023 [41]).
Относительно функций GFAP в EGCs ганглиев межмышечного сплетения кишки имеются только предположения. По аналогии с астроглией ЦНС можно считать, что основными функциями GFAP являются обеспечение специфических структурных особенностей глиоцитов ЭНС и поддержание стабильности их отростков. Глиальные клетки, экспрессирующие GFAP, непосредственно связаны с нейронами и их отростками, простирающимися в подслизистый и мышечный слои кишечника. Предположительно их функции включают в себя нейромодуляцию (например, путем активного поглощения внеклеточных нейротрансмиттеров глиальными клетками), участие в транспорте нейромедиаторов к клеточной поверхности и последующей деградации [20].
При патологии отмечена не только нейромодуляторная роль EGCs, но и иммуномодуляторная [45]. Показано, что двунаправленная связь между EGCs и иммунными клетками способствует иммунному гомеостазу желудочно-кишечного тракта, а перекрестные взаимодействия между EGCs и раковыми стволовыми клетками регулируют опухолеобразование [45].
Следует отметить, что при кишечной патологии отмечается увеличение экспрессии GFAP в EGCs. Так, вестерн-блот-анализ демонстрирует, что уровень экспрессии GFAP повышается в глиоцитах сплетений слизистой оболочки толстой кишки пациентов с воспалительными заболеваниями кишечника [20, 34]. То есть активация экспрессии GFAP кишечной глией может быть реакцией на провоспалительные цитокины, аналогичной реакции астроцитов в ЦНС. Предполагается, что увеличение экспрессии GFAP кишечными глиоцитами может поддерживать целостность тканевых барьеров воспаленного кишечника, вырабатывая защитные факторы [34]. При развитии опухолей также обнаружено усиление экспрессии GFAP [35].
Несмотря на то, что молекулярные механизмы нейроглиальных взаимодействий в ЭНС активно исследуются [40], по-прежнему недостаточно данных, которые бы свидетельствовали об участии GFAP в процессах клеточной передачи сигналов или в механизмах регуляции молекулярных взаимодействий между нейронами и глией.
Современные исследования, выполненные с применением ПЦР в реальном времени и вестерн-блоттинга, показали, что GFAP в EGCs встречается в разных изоформах: GFAP-κ [46] и GFAP-j [8]. В отличие от этого типа периферической глии основным транскриптом мРНК GFAP в глии сенсорных ганглиев и нервов считается GFAP-β [9].
Глиальные клетки спинномозговых узлов и GFAP
Глия спинномозговых узлов имеет ряд фенотипических и морфологических особенностей, которые отличают ее от других типов глиальных клеток. Это связано с особой структурой спинномозгового узла (DRG). В состав DRG входят первичные сенсорные нейроны, их отростки, глиальные клетки, фибробласты, отдельные макрофаги, кровеносные сосуды, поверхность ганглия покрыта соединительнотканной капсулой [47]. Сенсорные нейроны имеют округлую или овальную форму, их отростки локализуются в центре узла. Глиальные клетки-сателлиты (satellite glial cells, SGCs) имеют характерную форму полулуния или кольца и располагаются вокруг чувствительного нейрона. В научной литературе порой называют такой нейро-глиальный комплекс «нейро-глиальной единицей» [3, 47], а множество SGCs – «глиальной оболочкой» сенсорного нейрона. Такое уникальное расположение SGCs позволяет им осуществлять строго регулируемый контроль над микроокружением чувcтвительных нейронов [48].
Описанные особенности локализации SGCs и их морфологии отличают их от других типов глиальных клеток, однако считается, что клетки-сателлиты сенсорных ганглиев имеют много общих свойств с астроцитами [44]. Во-первых, они выполняют сходные с астроцитами функции: контролируют микроокружение нервных клеток и, следовательно, могут модулировать их активность [49, 50]. Во-вторых, они экспрессируют свойственные астроцитам белки – глутаминсинтетазу и различные переносчики нейромедиаторов. В-третьих, показано, что аналогично астроцитам они реагируют на воспаление и повреждение нервов, становясь более реактивными, этот процесс носит название реактивный глиоз [3]. Как и астроциты, SGCs способны участвовать в фагоцитозе, вырабатывать нейрорегулятоные факторы, в условиях in vitro используют кальциевую сигнализацию [6]. Кроме того, SGCs могут распространять активацию на другие SGCs посредством увеличения количества щелевых контактов и передачи кальциевых сигналов [48, 51]. Однако механизмы регулирования этих изменений и их влияние на передачу сигналов в сенсорных ганглиях до сих пор остаются неисследованными [51].
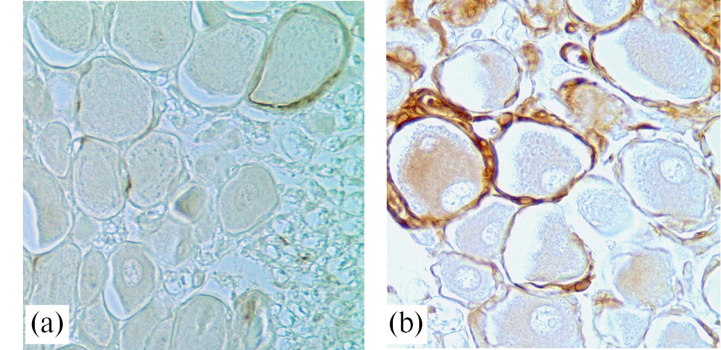
При активации глиоцитов происходит продуцирование бóльшего количества GFAP. Следует отметить, что в литературе отсутствует информация о базальных и индуцированных уровнях экспрессии GFAP в клетках-сателлитах чувствительных ганглиев человека, высказываются лишь предположения о его наличии [52]. Установлено, что классический астроцитарный маркер GFAP практически не синтезируется в SGCs у молодых интактных животных. Применение иммуногистохимической реакции на GFAP показало, что у молодых половозрелых крыс число GFAP+ клеток DRG невелико [30]. Какова функция этих отдельных GFAP+ клеток-сателлитов, неизвестно. По данным наших предыдущих исследований [30], число таких клеток возрастает при изменении состояния внутренней среды (рис. 2). Показано, что в условиях экспериментального системного воспаления [30], при старении [30], при экспериментальном диабете [53], а также после перерезки нерва [31] бóльшая часть SGCs соответствующих сенсорных ганглиев начинает экспрессировать GFAP. Почему отдельные клетки-сателлиты экспрессируют GFAP и в норме, неясно. Можно было бы предположить, что нейроны, окруженные GFAP+ SGCs, начинают дегенерировать. Но этому предположению противоречат данные, полученные в экспериментах с травмой нерва. Показано, что нейроны в ганглиях после травмы нерва не подвергаются полной дегенерации, а число GFAP+ SGCs при этом возрастает [54]. Отдельные современные исследования демонстрируют, что при травме периферических нервных проводников не происходит потери сенсорных нейронов, что указывает на наличие неизвестных механизмов компенсации нарушений, возникающих при повреждении аксонов [54–56]. Можно предположить, что именно такие репаративные процессы поддерживаются GFAP+ SGCs. Таким образом, биохимические особенности SGCs в норме, а также при повреждении органов нервной системы охарактеризованы недостаточно.
Рис. 2. Увеличение GFAP-иммунопозитивных клеток-сателлитов в DRG при старении. (a) – трехмесячная крыса; (b) – крыса в возрасте 18 месяцев. Иммуногистохимическая реакция на GFAP, ×400. Собственные данные.
Установлено, что при повреждениях ПНС в клетках-сателлитах наблюдаются значительные биохимические перестройки: изменяются их электрические взаимодействия с нейронами, претерпевают изменения процессы функционирования К+-каналов глиоцитов, возрастает количество щелевых контактов, объединяющих сателлитные оболочки соседних нейронов [31, 57]. Кроме того, как отмечалось ранее, при патологических процессах наблюдается рост экспрессии GFAP клетками чувствительного ганглия. Несмотря на отсутствие понимания точных механизмов участия GFAP в глиальном реактивном ответе, во многих исследованиях данный белок служит молекулярным маркером глиальной активации в DRG. Некоторые исследователи называют белок GFAP маркером патологии, другие – маркером активации [31].
Вопрос о причинах увеличения в сенсорных ганглиях GFAP+ клеток после повреждения носит дискуссионный характер. Есть данные о том, что SGCs чувствительных ганглиев в ответ на повреждение соответствующего нерва при воспалительных процессах и других патологиях могут пролиферировать, а затем дифференцироваться не только в глиоциты, но и нейроны [58–60]. Это указывает на возможную связь между изменением экспрессии GFAP сателлитами и увеличением скорости их пролиферации. Однако другими исследователями этот факт не подтверждается: установлено отсутствие глиоза в ганглии после травмы нерва [54, 61], при старении и системном воспалении [30]. Высказывается предположение, что выявленные после повреждения пролиферирующие клетки в DRG являются не глиоцитами, а макрофагами [62].
Точные молекулярные механизмы и функциональное значение увеличения экспрессии GFAP клетками-сателлитами спинномозгового узла при патологии до настоящего момента неизвестны. В исследованиях демонстрируется повышение экспрессии GFAP в SGCs в течение 30 мин – 48 ч после травмы [63], однако механизмы передачи сигнала, ведущего к активации сателлитов, не установлены. Основываясь на исследованиях функций GFAP в астроцитах [64], можно предположить, что белок играет важную роль во взаимодействии глиальных клеток и сенсорных нейронов. Вероятно, увеличение экспрессии GFAP сателлитной глией связано с глутамин-глутаматным взаимодействием между нейронами и глиоцитами. Известно, что клетки-сателлиты поддерживают концентрацию глутамата – основного нейротрансмиттера сенсорных нейронов – на уровне ниже нейротоксического содержания. При различных повреждающих воздействиях избыточное количество медиатора, выделяемого сенсорными нейронами в перинейрональное пространство, утилизируется глиоцитами, экспрессирующими на своей поверхности транспортеры глутамата GLAST и GLT-1 [47]. Возможно, увеличение внеклеточного содержания глутамата, вызванное нарушением гомеостаза нервной системы, приводит к активации синтеза GFAP, необходимого для поддержки функционирования белка-транспортера GLAST и играющего важную роль в процессе прикрепления этого транспортера к плазматической мембране глиоцитов [30].
Несмотря на то, что роль GFAP в клетках ганглия не совсем ясна, данный маркер широко используется для оценки реактивно измененных глиоцитов DRG у грызунов [65, 66]. Важно отметить, что результаты нескольких исследований демонстрируют отсутствие GFAP в клетках-сателлитах у мышей, причем это касается клеток как интактных животных, так и животных с травмой нерва [62, 67, 68]. На основании этих данных можно предположить существование видовых различий в экспрессии широко используемого глиального маркера GFAP. Однако такое заключение не находит подтверждения в результатах исследований, выполненных с использованием других экспериментальных моделей. Так, при системном воспалении в SGCs как у крыс [30], так и у мышей [29] наблюдается увеличение иммунореактивности к GFAP. При использовании модели нейропатической боли или индуцированной диабетической нейропатии [53] как у мышей, так и у крыс наблюдается увеличение количества GFAP+ клеток-сателлитов. По-видимому, изменения в экспрессии GFAP являются не следствием реактивного ответа глиоцитов на патологические стимулы, а отражают физиологическую адаптивную пластичность клеток. Можно предположить, что различие в результатах исследований вызвано процессами альтернативного сплайсинга и невозможностью определения различных изоформ белка.
Особый интерес представляют данные, согласно которым при нарушении гомеостаза нервной системы в DRG могут присутствовать не только экспрессирующие GFAP клетки-сателлиты, но и другие типы глиоцитов, начинающие синтезировать данный белок после повреждения. Это могут быть как репаративные шванновские клетки, так и иная субпопуляция глиоцитов [31]. Таким образом, использование GFAP в качестве универсального маркера реактивности SGCs не вполне оправдано. Необходимы дальнейшие исследования для оценки функционального значения данного белка в различных типах глиоцитов чувствительного ганглия. Все изложенные факты не позволяют сделать однозначного заключения о функциях GFAP в глии DRG.
Доказано, что SGCs спинномозгового узла имеют общего предшественника со шванновскими клетками (SCs) [48]. Они экспрессируют ряд маркеров, предшественников SCs, в частности, кадгерин-19 (CDH19) даже у взрослых животных. Показано, что SGCs транскрипционно и морфологически сходны со SCs, в условиях in vitro они даже способны миелинизировать аксоны при совместном культивировании с нейрональными клетками. Следует отметить, что SCs в определенных условиях также способны экспрессировать GFAP. Этому вопросу посвящен следующий раздел обзора.
ОСОБЕННОСТИ ШВАННОВСКИХ КЛЕТОК, ЭКСПРЕССИРУЮЩИХ GFAP
Еще одна популяция глиальных клеток ПНС, рассматриваемых в данном обзоре, – шванновские клетки (SCs). SCs в онтогенезе происходят из клеток нервного гребня, регулируют структурные и функциональные свойства нейронов ПНС, вырабатывают ростовые факторы и цитокины, образуют миелиновые оболочки аксонов, участвуют в реакции на повреждение ПНС путем фагоцитирования фрагментов аксона и миелиновой оболочки, подвергаются быстрой пролиферации, обеспечивая регенерацию аксонов [37, 69].
Исследования показали, что GFAP начинает экспрессироваться в незрелых SCs на поздних сроках эмбриогенеза, и его синтез подавляется во взрослых миелинизирующих шванновских клетках, оставаясь при этом в немиелинизирующих и репаративных SCs [26]. Немиелинизирующие шванновские клетки являются одним из основных типов периферической глии. Они сопровождают практически все безмиелиновые нервные волокна. Они имеют одно происхождение с глией DRG, формируются из клеток нервного гребня [70]. Их отличительной особенностью является тот факт, что для их развития необходим фактор роста нейрегулин. Их морфология также отличается от других клеток глии ПНС: они имеют вытянутую форму, располагаются вблизи аксонов и тесно связаны с ними. В отличие от миелинизирующих SCs они образуют связи не с одним, а с несколькими аксонами [71].
После повреждения нервного ствола SCs в его дистальном сегменте достаточно быстро претерпевают значительные фенотипические изменения, в частности, начинают синтезировать GFAP (рис. 3) [27, 28, 72, 73]. Такие SCs нового фенотипа, специализирующиеся на восстановлении нерва, принято называть «репаративные SCs» («repair Schwann cell»). Репаративные SCs выполняют ряд важных функций, вырабатывая ростовые факторы и цитокины, а также формируя бюнгнеровские ленты, по которым осуществляется рост новых регенерирующих аксонов из проксимального в дистальный конец. Во время регенерации периферических нервов у мышей, лишенных GFAP, наблюдается замедление роста аксонов и нарушение пролиферации SCs, а также снижение способности этих клеток направлять и поддерживать регенерирующие аксоны. Полное функциональное восстановление нерва при этом достигается, однако с незначительной задержкой [74, 75].
Рис. 3. Шванновские клетки (repair Schwann cells) в дистальном сегменте поврежденного нерва крысы через 7 суток после операции (лигатура, 40 с). (a) – общий вид дистального сегмента нерва, продольный срез, (b) – фрагмент эндоневрия со шванновскими клетками, (c) – митотически делящаяся (m) шванновская клетка. En – эндоневрий седалищного нерва крысы. Иммуногистохимическая реакция на GFAP. Визуализация с помощью флуорохрома TRITC (красный), подкрашивание ядер DAPI (синий), ×100 (a), ×400 (b), ×600 (c) (рисунок из статьи Петровой Е.С., Колос Е.А. [73]).
Известно, что в отличие от SCs миелиновых волокон, репаративные SCs, как и SCs немиелиновых волокон, вступают во взаимодействие не с одним нервным волокном, а с несколькими, которые располагаются в цитоплазматических впадинах SCs. Функция GFAP в репаративных SCs связана, очевидно, с их структурными особенностями. Они отличаются большой протяженностью и превосходят по длине SCs и миелиновых, и безмиелиновых волокон [72]. Здесь проявляется роль GFAP как структурного белка. Очевидна необходимость в синтезе большого количества GFAP для поддержания структурной целостности такой клетки.
Исследования, проведенные на нокаутных мышах, показали, что развитие ПНС в отсутствие GFAP происходит без изменений, и периферические нервные проводники проявляют сходные свойства регенерации по сравнению с контрольной группой дикого типа [75]. Предполагается, что отсутствие GFAP ведет к незначительной задержке регенерации нервов после повреждения из-за изменения процессов пролиферации SCs [74]. Вопрос участия GFAP SCs в транспортировке различных белков к цитоплазматической мембране, аналогично астроцитам и SGCs, еще предстоит изучить.
Кроме миелинизирующих, немиелинизирующих и репаративных SCs выделяют терминальные (перисинаптические) SCs, связанные с нервными окончаниями в нервно-мышечном соединении. Такие глиоциты окружают синапс, тесно контактируя с его пре- и постсинаптическими компонентами [76]. Терминальные SCs представляют собой немиелинизирующие SCs, происходящие из клеток нервного гребня, которые мигрируют вместе с растущим аксоном. Они помогают поддерживать целостность синаптического соединения, имеют рецепторы нейротрансмиттеров, выделяют нейроактивные вещества [77]. В период формирования нервной системы и по мере ее созревания терминальные SCs играют значимую роль в процессах элиминации и ремоделирования синапсов, а также регуляции синаптической активности [78]. При регенерации терминальные SCs формируют большое количество отростков, направляют растущие аксоны и способствуют реиннервации мышц [79].
Вопрос об экспрессии GFAP терминальными SCs дискуссионен. Показано, что перисимпатические SCs в скелетных мышцах экспрессируют маркер астроцитов и немиелинизирующих SCs GFAP, а также маркер миелинизирующих SCs – белок S100β [80]. Есть данные о том, что экспрессия GFAP наблюдается в терминальных SCs в норме [80, 81] и увеличивается при патологии [33]. Другие авторы в работе, посвященной исследованию иммуногистохимических маркеров клеток тимуса, высказывают мнение о том, что терминальные SCs не содержат GFAP в условиях контакта с интактным аксоном (то есть в норме), а начинают экспрессировать его после повреждения [82]. Учитывая противоположные мнения по данному вопросу, нельзя исключать, что в зависимости от микроокружения (от иннервируемых тканей) терминальные SCs имеют разные фенотипические особенности и, возможно, представляют собой разные популяции.
В некоторых работах отмечена связь между ацетилхолином и GFAP терминальных SCs. Установлено, что терминальные глиоциты экспрессируют мускариновые ацетилхолиновые рецепторы (mAChR), и их активация необходима для поддержания низкой экспрессии GFAP [32, 33]. Считается, что высвобождение ацетилхолина из нервных окончаний является сигналом, поддерживающим низкий уровень GFAP в перисинаптических SCs [33]. Другие нейротрансмиттеры не влияют на изменение его экспрессии.
Помимо перечисленных популяций SCs, к глии ПНС относятся также SCs кожи. Они являются производными клеток пограничной шапочки (boundary cap cells) корешков спинного мозга и входят в состав сенсорных телец кожи. Клетки пограничной шапочки, локализующиеся в зоне входа корешков эмбрионального спинного мозга на границе ЦНС и ПНС, представляют собой субпопуляцию мультипотентных клеток, происходящих из клеток нервного гребня [83]. Считается, что SCs кожи представляют собой основную популяцию стволовых клеток дермы [84]. В литературе представлено мало информации об экспрессии этими клетками GFAP. Единичные исследования демонстрируют отсутствие иммунореактивности к GFAP в сенсорных тельцах кожи человека [36].
ЗАКЛЮЧЕНИЕ
Настоящий обзор посвящен обобщению данных об экспрессии белка промежуточных филаментов GFAP глиоцитами ЦНС и ПНС. Несмотря на то, что глия ЦНС и ПНС имеет разное происхождение (астроциты являются производными нервной трубки, а ЕGCs, SGCs и SCs – производными клеток нервного гребня), некоторые фенотипические особенности этих клеток могут быть сходны, поскольку основное назначение перечисленных клеточных популяций одинаково – обеспечение условий для нормального функционирования нейронов. В настоящей работе рассматривается экспрессия глиоцитами белка промежуточных филаментов GFAP, который является селективным иммуногистохимическим маркером астроцитов и в той или иной степени синтезируется глией ПНС. Отличие настоящего обзора от других обобщений, посвященных GFAP, в том, что изложенные данные позволяют провести сравнение не только глиоцитов ПНС с астроцитами мозга, но и различных популяций периферической глии (ЕGCs, SGCs и SCs) между собой на предмет возможности экспрессии ими этого важного структурно-функционального белка. Известно, что GFAP способствует реализации таких функций астроцитарной глии, как структурная, метаболическая, защитная, барьерная и др. Можно заключить, что в ПНС GFAP участвует в поддержании структурной стабильности глиальных клеток аналогично его роли в ЦНС. Так, SCs после повреждения нервных проводников дедифференцируются, образуя новую фенотипическую популяцию SCs, высокий уровень экспрессии GFAP в этих клетках связан с их структурными особенностями, формированием бюнгнеровских лент, необходимостью поддерживать регенерирующие аксоны. GFAP также необходим клеткам-сателлитам спинальных ганглиев для поддержки чувствительных нейронов при патологии. Нередко GFAP используют в качестве иммуногистохимического маркера для ЕGCs, SGCs и SCs. В одних случаях (для SGCs и EGCs) он рассматривается как маркер патологии, в других случаях (для SCs) – как маркер регенерации. Несмотря на то, что порой корреляция между уровнем GFAP и тяжестью повреждений отсутствует, увеличение экспрессии GFAP в глиальных клетках ПНС может служить ранним индикатором патологических процессов, выступать маркером реактивного глиоза. Показано, что GFAP участвует в различных физиологических и патологических процессах в ПНС, однако точные механизмы его действия остаются неясными. Описанные особенности GFAP+ глиоцитов разных отделов ПНС демонстрируют функциональный полиморфизм этого белка. Его свойство экспрессироваться в периферической глии в ответ на повреждение нуждается в дальнейших исследованиях. Недостаточно данных, которые бы свидетельствовали об участии GFAP в процессах клеточной передачи сигналов или в механизмах регуляции молекулярных взаимодействий между нейронами и глией. Дальнейшие исследования необходимы для лучшего понимания роли GFAP в регуляции нейрон-глиальных взаимодействий и разработке терапевтических стратегий для лечения нейропатий и боли.
ВКЛАДЫ АВТОРОВ
Разработка концепции, анализ данных, написание и редактирование манускрипта (Е. С. П., Е. А. К.).
ИСТОЧНИК ФИНАНСИРОВАНИЯ
Данная работа финансировалась за счет средств бюджета государственного задания Федерального государственного бюджетного научного учреждения “Институт экспериментальной медицины”. Никаких дополнительных грантов на проведение или руководство данным конкретным исследованием получено не было.
СОБЛЮДЕНИЕ ЭТИЧЕСКИХ СТАНДАРТОВ
В данной работе отсутствуют исследования человека или животных.
КОНФЛИКТ ИНТЕРЕСОВ
Авторы данной работы заявляют, что у них нет конфликта интересов.
Об авторах
Е. С. Петрова
Институт экспериментальной медицины
Автор, ответственный за переписку.
Email: iempes@yandex.ru
Россия, Санкт-Петербург
Е. А. Колос
Институт экспериментальной медицины
Email: iempes@yandex.ru
Россия, Санкт-Петербург
Список литературы
- Sofroniew MV, Vinters HV (2010) Astrocytes: biology and pathology. Acta Neuropathol 119(1): 7–35. https://doi.org/10.1007/s00401-009-0619-8
- Sukhorukova EG, Korzhevskii DE, Alekseeva OS (2015) Glial fibrillary acidic protein: The component of iintermediate filaments in the vertebrate brain astrocytes. J Evol Biochem Phys 51: 1–10. https://doi.org/10.1134/S0022093015010019
- McGinnis A, Ji R-R (2023) The Similar and Distinct Roles of Satellite Glial Cells and Spinal Astrocytes in Neuropathic Pain. Cells 12(6): 965. https://doi.org/10.3390/cells12060965
- Liedtke W, Edelmann W, Bieri PL, Chiu FC, Cowan NJ, Kucherlapati R, Raine CS (1996) GFAP is necessary for the integrity of CNS white matter architecture and long-term maintenance of myelination. Neuron 17(4): 607–615. https://doi.org/10.1016/s0896-6273(00)80194-4.
- Hol EM, Pekny M (2015) Glial fibrillary acidic protein (GFAP) and the astrocyte intermediate filament system in diseases of the central nervous system. Curr Opin Cell Biol 32: 121–130. https://doi.org/10.1016/j.ceb.2015.02.004
- Hanani M, Verkhratsky A (2021) Satellite Glial Cells and Astrocytes, a Comparative Review. Neurochem Res 46(10): 2525–2537. https://doi.org/10.1007/s11064-021-03255-8
- Middeldorp J, Hol EM (2011) GFAP in health and disease Prog Neurobiol 93(3): 421–443. https://doi.org/10.1016/j.pneurobio.2011.01.005
- Sullivan SM (2014) GFAP variants in health and disease: stars of the brain… and gut. J Neurochem 130(6): 729–732. https://doi.org/10.1111/jnc.12754
- Messing A, Brenner M (2020) GFAP at 50. ASN Neuro 12: 1759091420949680. https://doi.org/10.1177/1759091420949680
- De Reus AJEM, Basak O, Dykstra W, van Asperen JV, van Bodegraven EJ, Hol EM (2024) GFAP-isoforms in the nervous system: Understanding the need for diversity. Curr Opin Cell Biol 87: 102340. https://doi.org/10.1016/j.ceb.2024.102340
- Mamber C, Kamphuis W, Haring NL, Peprah N, Middeldorp J, Hol EM (2012) GFAPδ expression in glia of the developmental and adolescent mouse brain. PLoS One 7(12): e52659. https://doi.org/10.1371/journal.pone.0052659
- Kamphuis W, Mamber C, Moeton M, Kooijman L, Sluijs JA, Jansen AH, Verveer M, de Groot LR, Smith VD, Rangarajan S, Rodríguez JJ, Orre M, Hol EM (2012) GFAP Isoforms in Adult Mouse Brain with a Focus on Neurogenic Astrocytes and Reactive Astrogliosis in Mouse Models of Alzheimer Disease. PLoS ONE7(8): e42823. https://doi.org/10.1371/journal.pone.0042823
- Moeton M, Stassen OM, Sluijs JA, van der Meer VW, Kluivers LJ, van Hoorn H, Schmidt T, Reits EA, van Strien ME, Hol EM (2016) GFAP isoforms control intermediate filament network dynamics, cell morphology, and focal adhesions. Cell Mol Life Sci 73(21): 4101–4120. https://doi.org/10.1007/s00018-016-2239-5
- Sullivan SM, Lee A, Bjorkman ST, Miller SM, Sullivan RK, Poronnik P, Colditz PB, Pow DV (2007) Cytoskeletal anchoring of GLAST determines susceptibility to brain damage: an identified role for GFAP. J Biol Chem 282: 29414–29423. https://doi.org/10.1074/jbc.M704152200
- Eng LF, Ghirnikar RS (1994) GFAP and astrogliosis. Brain Pathol 4(3): 229–237. https://doi.org/10.1111/j.1750-3639.1994.tb00838.x
- Brenner M (2014) Role of GFAP in CNS injuries. Neurosci Lett 565: 7–13. https://doi.org/10.1016/j.neulet.2014.01.055
- Wang X, Messing A, David S (1997) Axonal and Nonneuronal Cell Responses to Spinal Cord Injury in Mice Lacking Glial Fibrillary Acidic Protein. Exp Neurol 148: 568–576. https://doi.org/10.1006/exnr.1997.6702
- Jurga AM, Paleczna M, Kadluczka J, Kuter KZ (2021) Beyond the GFAP-Astrocyte Protein Markers in the Brain. Biomolecules 11: 1361. https://doi.org/10.3390/biom11091361
- Escartin C, Galea E, Lakatos A, O'Callaghan JP, Petzold GC, Serrano-Pozo A, Steinhäuser C, Volterra A, Carmignoto G, Agarwal A, Allen NJ, Araque A, Barbeito L, Barzilai A, Bergles DE, Bonvento G, Butt AM, Chen WT, Cohen-Salmon M, Cunningham C, Deneen B, De Strooper B, Díaz-Castro B, Farina C, Freeman M, Gallo V, Goldman JE, Goldman SA, Götz M, Gutiérrez A, Haydon PG, Heiland DH, Hol EM, Holt MG, Iino M, Kastanenka KV, Kettenmann H, Khakh BS, Koizumi S, Lee CJ, Liddelow SA, MacVicar BA, Magistretti P, Messing A, Mishra A, Molofsky AV, Murai KK, Norris CM, Okada S, Oliet SHR, Oliveira JF, Panatier A, Parpura V, Pekna M, Pekny M, Pellerin L, Perea G, Pérez-Nievas BG, Pfrieger FW, Poskanzer KE, Quintana FJ, Ransohoff RM, Riquelme-Perez M, Robel S, Rose CR, Rothstein JD, Rouach N, Rowitch DH, Semyanov A, Sirko S, Sontheimer H, Swanson RA, Vitorica J, Wanner IB, Wood LB, Wu J, Zheng B, Zimmer ER, Zorec R, Sofroniew MV, Verkhratsky A (2021) Reactive astrocyte nomenclature, definitions, and future directions. Nat Neurosci 24(3): 312–325. https://doi.org/10.1038/s41593-020-00783-4
- Yang Z, Wang KK (2015) Glial fibrillary acidic protein: from intermediate filament assembly and gliosis to neurobiomarker. Trends Neurosci 38(6): 364–374. https://doi.org/10.1016/j.tins.2015.04.003
- Lawrence JM, Schardien K, Wigdahl B, Nonnemacher MR (2023) Roles of neuropathology-associated reactive astrocytes: a systematic review. Acta Neuropathol Commun 11: 42. https://doi.org/10.1186/s40478-023-01526-9
- Kanazawa S, Nishizawa S, Takato T, Hoshi K (2017) Biological roles of glial fibrillary acidic protein as a biomarker in cartilage regenerative medicine. J Cell Physiol 232(11): 3182–3193. https://doi.org/10.1002/jcp.25771
- Shang L, Hosseini M, Liu X, Kisseleva T, Brenner DA (2018) Human hepatic stellate cell isolation and characterization. J Gastroenterol 53(1): 6–17. https://doi.org/10.1007/s00535-017-1404-4
- Jessen KR, Mirsky R (1983) Astrocyte-like glia in the peripheral nervous system: an immunohistochemical study of enteric glia. J Neurosci 3: 2206–2218.
- Kato H, Yamamoto T, Yamamoto H, Ohi R, So N, Iwasaki Y (1990) Immunocytochemical characterization of supporting cells in the enteric nervous system in Hirschsprung's disease. J Pediatr Surg 25(5): 514–519. https://doi.org/10.1016/0022-3468(90)90563-o
- Jessen KR, Morgan L, Stewart HJ, Mirsky R (1990) Three markers of adult non-myelin-forming Schwann cells, 217c(Ran-1), A5E3 and GFAP: development and regulation by neuron-Schwann cell interactions. Development 109(1): 91–103. https://doi.org/10.1242/dev.109.1.91
- Jessen KR, Mirsky R, Lloyd AC (2015) Schwann Cells: Development and Role in Nerve Repair. Cold Spring Harb Perspect Biol 7(7): a020487. https://doi.org/10.1101/cshperspect.a020487
- Jessen KR, Arthur-Farraj P (2019) Repair Schwann cell update: Adaptive reprogramming, EMT, and stemness in regenerating nerves. Glia 67(3): 437. https://doi.org/10.1002/glia.23532
- Mohr KM, Pallesen LT, Richner M, Vaegter CB (2021) Discrepancy in the Usage of GFAP as a Marker of Satellite Glial Cell Reactivity. Biomedicines 9(8): 1022. https://doi.org/10.3390/biomedicines9081022
- Kolos EA, Korzhevskii DE (2020) Immunohistological Detection of Active Satellite Cellsin Rat Dorsal Root Ganglia after Parenteral Administration of Lipopolysaccharide and during Aging. Bull Exp Biol Med 169(5): 665–668. https://doi.org/10.1007/s10517-020-04950-2
- Konnova EA, Deftu AF, Chu Sin Chung P, Pertin M, Kirschmann G, Decosterd I, Suter MR (2023) Characterisation of GFAP-Expressing Glial Cells in the Dorsal Root Ganglion after Spared Nerve Injury. Int J Mol Sci 24(21): 15559. https://doi.org/10.3390/ijms242115559
- Georgiou J, Robitaille R, Trimble WS, Charlton MP (1994). Synaptic regulation of glial protein expression in vivo. Neuron 12(2): 443–455. https://doi.org/10.1016/0896-6273(94)90284-4
- Georgiou J, Robitaille R, Charlton MP (1999) Muscarinic control of cytoskeleton in perisynaptic glia. J Neurosci 19(10): 3836–3846. https://doi.org/10.1523/JNEUROSCI.19-10-03836.1999
- Von Boyen GB, Steinkamp M, Reinshagen M, Schäfer KH, Adler G, Kirsch J (2004) Proinflammatory cytokines increase glial fibrillary acidic protein expression in enteric glia. Gut 53(2): 222–228. https://doi.org/10.1136/gut.2003.012625
- Grundmann D, Loris E, Maas-Omlor S, Huang W, Scheller A, Kirchhoff F, Schäfer KH (2019) Enteric glia: S100, GFAP, and beyond. Anat Rec (Hoboken) 302(8): 1333–1344. https://doi.org/10.1002/ar.24128
- Cobo R, García-Piqueras J, Cobo J, Vega JA (2021) The Human Cutaneous Sensory Corpuscles: An Update. J Clin Med 10(2): 227. https://doi.org/10.3390/jcm10020227
- Ноздрачев АД, Чумасов ЕИ (1999) Периферическая нервная система. СПб. Наука. [Nozdrachev AD, Chumasov EI (1999) Peripheral nervous system. Sankt-Peterburg. Nauka. (In Russ)].
- Lu T, Huang C, Weng R, Wang Z, Sun H, Ma X (2024) Enteric glial cells contribute to chronic stress-induced alterations in the intestinal microbiota and barrier in rats. Heliyon 10(3): e24899. https://doi.org/10.1016/j.heliyon.2024.e24899
- Gulbransen BD, Sharkey KA (2012) Novel functional roles for enteric glia in the gastrointestinal tract. Nat Rev Gastroenterol Hepatol 9: 625–632.
- Pawolski V, Schmidt MH (2021) Neuron–glia interaction in the developing and adult enteric nervous system. Cells 10: 47. https://doi.org/10.3390/cells10010047
- Чумасов ЕИ, Майстренко НА, Ромащенко ПН, Самедов ВБ, Петрова ЕС, Коржевский ДЭ (2023) Патологические изменения глиальных клеток в энтеральной нервной системе толстой кишки при хроническом медленно-транзитном запоре. Сибирск науч мед журн 43(6): 191–202. [Chumasov EI, Majstrenko NA, Romashhenko PN, Samedov VB, Petrova ES, Korzhevskij DE (2023) `Pathological changes in glial cells in the enteric nervous system of the colon during chronic slow-transit constipation. Sibirsk nauch med zhurn 43(6): 191–202. (In Russ)]. https://doi.org/10.18699/SSMJ20230624
- Boesmans W, Lasrado R, Vanden Berghe P, Pachnis V (2015) Heterogeneity and phenotypic plasticity of glial cells in the mammalian enteric nervous system. Glia 63(2): 229–241. https://doi.org/10.1002/glia.22746
- Lasrado R, Boesmans W, Kleinjung J, Pin C, Bell D, Bhaw L, McCallum S, Zong H, Luo L, Clevers H, Vanden Berghe P, Pachnis V (2017) Lineage-dependent spatial and functional organization of the mammalian enteric nervous system. Science 356(6339): 722–726. https://doi.org/10.1126/science.aam7511
- Hanani M (2010) Satellite glial cells: more than just 'rings around the neuron'. Neuron Glia Biol 6(1): 1–2. https://doi.org/10.1017/S1740925X10000104
- Seguella L, Gulbransen BD (2021) Enteric glial biology, intercellular signalling and roles in gastrointestinal disease. Nat Rev Gastroenterol Hepatol 18(8): 571–587. https://doi.org/10.1038/s41575-021-00423-7
- Clairembault T, Kamphuis W, Leclair-Visonneau L, Rolli-Derkinderen M, Coron E, Neunlist M, Hol EM, Derkinderen P (2014) Enteric GFAP expression and phosphorylation in Parkinson's disease. J Neurochem 130(6): 805–815. https://doi.org/10.1111/jnc.12742
- Pannese E (2018) Biology and Pathology of Perineuronal Satellite Cells in Sensory Ganglia. Springer. Berlin/Heidelberg. Germany.
- George D, Ahrens P, Lambert S (2018) Satellite glial cells represent a population of developmentally arrested Schwann cells. Glia 66(7): 1496–1506. https://doi.org/10.1002/glia.23320
- Huang LY, Gu Y, Chen Y (2013) Communication between neuronal somata and satellite glial cells in sensory ganglia. Glia 61(10): 1571–1581. https://doi.org/10.1002/glia.22541
- Costa FA, Moreira Neto FL (2015) Células gliais satélite de gânglios sensitivos: o seu papel na dor [Satellite glial cells in sensory ganglia: its role in pain]. Rev Bras Anestesiol 65(1): 73–81. https://doi.org/10.1016/j.bjan.2013.07.013
- Izmiryan A, Li Z, Nothias F, Eyer J, Paulin D, Soares S, Xue Z (2021). Inactivation of vimentin in satellite glial cells affects dorsal root ganglion intermediate filament expression and neuronal axon growth in vitro. Mol Cell Neurosci 115: 103659. https://doi.org/10.1016/j.mcn.2021.103659
- Li Y, North RY, Rhines LD, Tatsui CE, Rao G, Edwards DD, Cassidy RM, Harrison DS, Johansson CA, Zhang H, Dougherty PM (2018) DRG Voltage-Gated Sodium Channel 1.7 Is Upregulated in Paclitaxel-Induced Neuropathy in Rats and in Humans with Neuropathic Pain. J Neurosci 38: 1124–1136. https://doi.org/10.1523/JNEUROSCI.0899-17.2017
- Hanani M, Blum E, Liu S, Peng L, Liang S (2014) Satellite glial cells in dorsal root ganglia are activated in streptozotocin-treated rodents. J Cell Mol Med 18(12): 2367–2371. https://doi.org/10.1111/jcmm.12406
- Schulte A, Lohner H, Degenbeck J, Segebarth D, Rittner HL, Blum R, Aue A (2023) Unbiased analysis of the dorsal root ganglion after peripheral nerve injury: no neuronal loss, no gliosis, but satellite glial cell plasticity. Pain 164(4): 728–740. https://doi.org/10.1097/j.pain.0000000000002758
- Renthal W, Tochitsky I, Yang L, Cheng YC, Li E., Kawaguchi R, Geschwind DH, Woolf CJ (2020) Transcriptional Reprogramming of Distinct Peripheral Sensory Neuron Subtypes after Axonal Injury. Neuron 108(1): 128–144.e9. https://doi.org/10.1016/j.neuron.2020.07.026
- Krishnan A, Areti A, Komirishetty P, Chandrasekhar A, Cheng C, Zochodne DW (2022) Survival of compromised adult sensory neurons involves macrovesicular formation. Cell Death Discov 8: 462. https://doi.org/10.1038/s41420-022-01247-3
- Hanani M, Spray DC (2013) Glial Cells in Autonomic and Sensory Ganglia. In: Kettenmann H RB (Eds) Neuroglia. Oxford Univer Press. 122–133.
- Nascimento DS, Castro-Lopes JM, Moreira Neto FL (2014) Satellite glial cells surrounding primary afferent neurons are activated and proliferate during monoarthritis in rats: is there a role for ATF3? PLoS One 9(9): e108152 https://doi.org/10.1371/journal.pone.0108152
- Zhang L, Xie R, Yang J, Zhao Y, Qi C, Bian G, Wang M, Shan J, Wang C, Wang D, Luo C, Wang Y, Wu S (2019) Chronic pain induces nociceptive neurogenesis in dorsal root ganglia from Sox2-positive satellite cells. Glia 67(6): 1062–1075. https://doi.org/10.1002/glia.23588
- Huang B, Zdora I, de Buhr N, Lehmbecker A, Baumgärtner W, Leitzen E (2021) Phenotypical peculiarities and species-specific differences of canine and murine satellite glial cells of spinal ganglia. J Cell Mol Med 25(14): 6909–6924. https://doi.org/10.1111/jcmm.16701
- Avraham O, Deng PY, Jones S, Kuruvilla R, Semenkovich CF, Klyachko VA, Cavalli V (2020) Satellite glial cells promote regenerative growth in sensory neurons. Nat Commun 11(1): 4891. https://doi.org/10.1038/s41467-020-18642-y
- Jager SE, Pallesen LT, Richner M, Harley P, Hore Z, McMahon S, Denk F, Vaegter CB (2020) Changes in the transcriptional fingerprint of satellite glial cells following peripheral nerve injury. Glia 68(7): 1375–1395. https://doi.org/10.1002/glia.23785
- Hanani M (2022) How Is Peripheral Injury Signaled to Satellite Glial Cells in Sensory Ganglia? Cells 11(3): 512. https://doi.org/10.3390/cells11030512
- Steward O, Torre ER, Tomasulo R, Lothman E (1991) Neuronal activity up-regulates astroglial gene expression. Proc Natl Acad Sci U S A 88(15): 6819–6823.
- Christie K, Koshy D, Cheng C, Guo G, Martinez JA, Duraikannu A, Zochodne DW (2015) Intraganglionic interactions between satellite cells and adult sensory neurons. Mol Cell Neurosci 67:1–12. https://doi.org/10.1016/j.mcn.2015.05.001
- Wang F, Xiang H, Fischer G, Liu Z, Dupont MJ, Hogan QH, Yu HH (2016) MG-CoA synthase isoenzymes 1 and 2 localize to satellite glial cells in dorsal root ganglia and are differentially regulated by peripheral nerve injury. Brain Res 1652: 62–70. https://doi.org/10.1016/j.brainres.2016.09.032
- Zeisel A, Hochgerner H, Lönnerberg P, Johnsson A, Memic F, van der Zwan J, Häring M, Braun E, Borm LE, La Manno G, Codeluppi S, Furlan A, Lee K, Skene N, Harris KD, Hjerling-Leffler J, Arenas E, Ernfors P, Marklund U, Linnarsson S (2018) Molecular architecture of the mouse nervous system. Cell 174(4): 999–1014.e22. https://doi.org/10.1016/j.cell.2018.06.021
- Carlin D, Halevi AE, Ewan EE, Moore AM, Cavalli V (2019) Nociceptor deletion of Tsc2 enhances axon regeneration by inducing a conditioning injury response in dorsal root ganglia. eNeuro 6(3): ENEURO.0168–19.2019. https://doi.org/10.1523/ENEURO.0168-19.2019
- Petrova ES (2019) Current views on Schwann cells: development, plasticity, functions. J Evol Biochem Physiol 55(6): 433–447. https://doi.org/10.1134/S0022093019060012
- Pannese E (1994) Neurocytology: Fine Structure of Neurons, Nerve Processes, and Neuroglial Cells. G. Thieme Verlag, Stuttgart. Thieme Med Publ. New York.
- Campana WM (2007) Schwann cells: activated peripheral glia and their role in neuropathic pain. Brain Behav Immun 21(5): 522–527. https://doi.org/10.1016/j.bbi.2006.12.008
- Gomez-Sanchez JA, Pilch KS, van der Lans M, Fazal SV, Benito C, Wagstaff LJ, Mirsky R, Jessen KR (2017) After Nerve Injury, Lineage Tracing Shows That Myelin and Remak Schwann Cells Elongate Extensively and Branch to Form Repair Schwann Cells, Which Shorten Radically on Remyelination. J Neurosci 37(37): 9086–9099. https://doi.org/10.1523/JNEUROSCI.1453–17.2017
- Петрова ЕС, Колос ЕА (2023) Морфологическое исследование процессов валлеровской дегенерации в седалищном нерве крысы после механического повреждения. Клин экспер морфол 12(4): 62–70. [Petrova ES, Kolos EA (2023) Morphological study of Wallerian processes degeneration in the rat sciatic nerve after mechanical injury. Klin eksp morfol 12(4): 62–70. (In Russ)]. https://doi.org/10.31088/cem2023.12.4.62-70
- Triolo D, Dina G, Lorenzetti I, Malaguti M, Morana P, Del Carro U, Comi G, Messing A, Quattrini A, Previtali SC (2006) Loss of glial fibrillary acidic protein (GFAP) impairs Schwann cell proliferation and delays nerve regeneration after damage. J Cell Sci 119(Pt 19): 3981–3993. https://doi.org/10.1242/jcs.03168
- Berg A, Zelano J, Pekna M, Wilhelmsson U, Pekny M, Cullheim S (2013) Axonal regeneration after sciatic nerve lesion is delayed but complete in GFAP- and vimentin-deficient mice. PLoS One 8(11): e79395. https://doi.org/10.1371/journal.pone.0079395
- Ko CP, Robitaille R (2015) Perisynaptic Schwann Cells at the Neuromuscular Synapse: Adaptable, Multitasking Glial Cells. Cold Spring Harb Perspect Biol 7(10): a020503. https://doi.org/10.1101/cshperspect.a020503
- Fields RD (2009) Schwann Cells and Axon Relationship. In: Larry R Squire (Ed) Encyclopedia of Neuroscience. Acad Press. 485–489. https://doi.org/10.1016/B978-008045046-9.00698-7
- Reed CB, Feltri ML, Wilson ER (2022) Peripheral glia diversity. J Anat 241(5): 1219–1234. https://doi.org/10.1111/joa.13484
- Hastings RL, Mikesh M, Lee YI, Thompson WJ (2020) Morphological remodeling during recovery of the neuromuscular junction from terminal Schwann cell ablation in adult mice. Sci Rep 10(1): 11132. https://doi.org/10.1038/s41598-020-67630-1
- Powell JA, Molgó J, Adams DS, Colasante C, Williams A, Bohlen M, Jaimovich E (2003) IP3 receptors and associated Ca2+ signals localize to satellite cells and to components of the neuromuscular junction in skeletal muscle. J Neurosci 10(23): 8185–8192. https://doi.org/10.1523/JNEUROSCI.23-23-08185.2003
- Liu JX, Brännström T, Andersen PM, Pedrosa-Domellöf F (2013) Distinct changes in synaptic protein composition at neuromuscular junctions of extraocular muscles versus limb muscles of ALS donors. PLoS One 8(2): e57473. https://doi.org/10.1371/journal.pone.0057473
- Günther HS, Henne S, Oehlmann J, Urban J, Pleizier D, Renevier N, Lohr C, Wülfing C (2021) GFAP and desmin expression in lymphatic tissues leads to difficulties in distinguishing between glial and stromal cells. Sci Rep 11(1): 13322. https://doi.org/10.1038/s41598-021-92364-z
- Kolos EA, Korzhevskii DE (2021) Glutamine Synthetase in the Cells of the Developing Rat Spinal Cord. Russ J Dev Biol 52: 334–343. https://doi.org/10.1134/S1062360421050040
- Radomska KJ, Topilko P (2017) Boundary cap cells in development and disease. Curr Opin Neurobiol 47: 209–215. https://doi.org/10.1016/j.conb.2017.11.003
Дополнительные файлы






