Histological features of the hepatic and pancreatic structure of female rats in the model of biliary pancreatitis with hyperprolactinemia
- Authors: Sirotina N.S.1, Ilieva Т.М.1, Rudenko D.V.1, Kostenko I.B.1, Kurynina А.V.1, Balakina Т.А.1, Smirnova О.V.1
-
Affiliations:
- Lomonosov Moscow State University
- Issue: Vol 110, No 10 (2024)
- Pages: 1767-1776
- Section: EXPERIMENTAL ARTICLES
- URL: https://journal-vniispk.ru/0869-8139/article/view/274882
- DOI: https://doi.org/10.31857/S0869813924100138
- EDN: https://elibrary.ru/VQALAA
- ID: 274882
Cite item
Full Text
Abstract
Liver diseases accompanied by obstructive cholestasis (OC) often depend on sex. Prolactin hormone levels are often elevated in a variety of hepatopancreatobiliary zone diseases, which is an adverse prognostic sign. To clarify the role of prolactin in the development of pancreatitis under OC conditions, structural changes in hepatic and pancreatic tissue female rats against the background of hyperprolactinemia were investigated. The rats were divided into the following experimental groups: group K – control animals; group HyperPrl – animals with normal hepatic function against the background of hyperprolactinemia; group BP – animals with biliary pancreatitis under OC; group BPhyperPrl – animals with biliary pancreatitis under OC against the background of hyperprolactinemia. Hyperprolactinemia was modeled by transplanting the donor's pituitary gland under the recipient’s kidney capsule. Biliary pancreatitis was simulated with a ligation of the biliopancreatic duct 1 cm prior to its discharge into the duodenum, causing obstruction of the ducts of the splenic segment of pancreas. After 14 days of operations, a biomaterial was collected. The biochemical indicators of the blood serum confirmed the development of ОС and pancreatitis. The structure of the pancreatic parenchyma in the BP and BPhyperPrl groups was changed, especially in the splenic segment. In both groups, tubulo-insula and tubulo-acinar complexes, inflammatory infiltration, acinaro-ductal metaplasia were found, which was accompanied by severe pancreatic parenchyma fibrosis in the group BPhyperPrl. It is important to note that the duodenal segment of pancreas continued to compensate for pancreatitis development in the BP and BPhyperPrl groups. In the hepatic tissue, histological confirmation of the development of obstructive cholestasis was shown in the BP and BPhyperPrl groups, with the loss of the beam structure of hepatocytes and the development of pericellular fibrosis against the background of hyperprolactinemia. Thus, we first showed in our work that female rats with increased prolactin concentration on the background of OC develop a heavier form of pancreatitis with a pronounced pancreatic fibrosis. This model of the development of biliary pancreatitis under OC can be used not only to study the role of prolactin in disruption of the pancreas, but also its participation in compensatory reactions to maintain the work of the exocrine part of the pancreas in this pathology.
Full Text
ВВЕДЕНИЕ
За последние десятилетия во всем мире прослеживается рост числа заболеваний гепатопанкреатобилиарной зоны, таких как холестатические нарушения работы печени, острый панкреатит и другие. Часто неблагоприятный прогноз связан с быстрым прогрессированием болезни, отсутствием специфических симптомов, что приводит к поздней диагностике заболевания. Принадлежность к женскому полу, а также число беременностей – нередко являются факторами риска развития данных патологий. Яркий пример – желчнокаменная болезнь, которая в ряде случаев может сопровождаться развитием билиарного панкреатита с поражением части поджелудочной железы (ПЖ) [1]. Структурно-функциональные изменения, происходящие при этом в ПЖ, развиваются вследствие билиарного рефлюкса, под действием которого происходит поражение протоковой системы и ацинарных клеток (с нарушением работы ферментов ПЖ) [2, 3]. Кроме того, пристальное внимание уделяется исследованию метаболических функций гормона пролактина, уровень которого нередко повышен при заболеваниях гепатопанкреатобилиарной зоны [4–7].
Целью работы стало исследование структурных изменений ткани печени и различных отделов ПЖ самок крыс для выяснения роли пролактина в развитии панкреатита в условиях обструктивного холестаза (ОХ) на фоне гиперпролактинемии.
МЕТОДЫ ИССЛЕДОВАНИЯ
Работа выполнена на половозрелых самках крыс Wistar массой тела 180–230 г. Крысы находились в стандартных условиях в виварии со свободным доступом к еде и воде. Животных наркотизировали смесью золетила и ксилазина дважды: для выполнения хирургических операций и через 14 дней после операции для забора биоматериала (фрагменты печени и поджелудочной железы) и взятия крови из яремной вены. Крысы были разделены на 4 экспериментальные группы по 7 самок в каждой: I группа (К) – контрольные (ложнооперированные) животные; II группа (ГиперПрл) – животные с нормальной работой печени на фоне гиперпролактинемии; III группа (БП) – животные с билиарным панкреатитом в условиях ОХ; IV группа (БПгиперПрл) – животные с билиарным панкреатитом в условиях ОХ на фоне гиперпролактинемии.
В ходе эксперимента проводились следующие хирургические операции: перевязка билиопанкреатического протока (часть общего желчного протока, проходящая через ПЖ) крысы для моделирования панкреатита (группы БП и БПгиперПрл) и пересадка гипофиза крысы-донора под капсулу почки крысе-реципиенту для моделирования гиперпролактинемии (группы ГиперПрл и БПгиперПрл). На крысах контрольной группы (К) проводили ложные операции (вскрывали брюшную полость без перевязки протока и пересадки гипофиза).
Перевязку билиопанкреатического протока проводили за 1 см до его впадения в двенадцатиперстную кишку, вызывая при этом полную обструкцию общего желчного протока и частичную обструкцию протоков ПЖ, при которой происходило нарушение ее селезеночного отдела. Несмотря на отсутствие у крыс желчного пузыря, ОХ часто экспериментально моделируется перевязкой общего желчного протока для создания похожей клинической картины, отражающей последствия развития желчнокаменной болезни у человека [8, 9].
Для повышения концентрации пролактина до уровня, соответствующего состоянию физиологической гиперпролактинемии беременных крыс, осуществляли трансплантацию гипофиза от нелактирующей половозрелой самки крысы-донора под почечную капсулу крысы-реципиента [10, 11]. Фундаментальное объяснение данной модели заключается в том, что все тропные гормоны гипофиза находятся под позитивным влиянием рилизинг-гормонов гипоталамуса и только один пролактин – под негативным влиянием дофамина гипоталамуса.
Биоптаты тканей печени (фрагмент из центральной доли) и поджелудочной железы (фрагменты из двух отделов – селезеночный и кишечный) фиксировали в 4%-ном растворе параформальдегида (Sigma, США). Далее проводили гистологическое исследование образцов с использованием микроскопа Leica DM 1000 и цифровой камеры Leica DFС 295 (Германия) при стандартном окрашивании гематоксилином и эозином парафиновых срезов толщиной 4–5 мкм, полученных на микротоме ESM-150S (ERMA Inc., Япония). Для подтверждения развития фиброза в исследуемых тканях проводилось гистологическое окрашивание по Маллори (БиоВитрум, Россия). Для каждого типа ткани был подобран протокол окрашивания по Маллори с выявлением компонентов соединительной ткани.
Определяли концентрацию общего и прямого билирубина (Ольвекс диагностикум, Россия), активность липазы (набор «Липаза-ново», Вектор-Бест, Россия), щелочной фосфатазы (ЩФ), аспартатаминотрансферазы (АСТ) и аланинаминотрансферазы (АЛТ) (Ольвекс диагностикум, Россия) в сыворотке на спектрофотометре Genesys (Thermo scientific). Концентрацию глюкозы в свежей капиллярной крови анализировали при помощи глюкометра и тест-полосок Accu-Chek Active (Roche Diagnostics GmbH, Германия).
Статистический анализ полученных данных проводили в программе GraphPad Prism 8 (GraphPad Software Inc., США) с использованием непараметрического теста Краскела – Уоллиса с поправкой Данна для множественных сравнений. Данные представляли в виде медианы (Me) и интерквартильного размаха (25 и 75 процентили). Различия считали статистически значимыми пpи p < 0.05.
РЕЗУЛЬТАТЫ ИССЛЕДОВАНИЯ
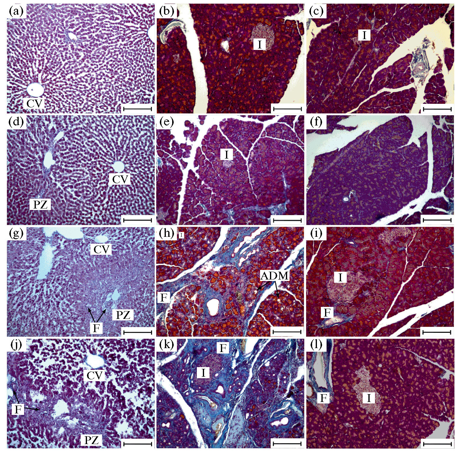
В контрольной группе (К) ложнооперированных самок крыс гистологических особенностей в строении печени и обоих отделов ПЖ не было выявлено (рис. 1a, b, c), биохимические показатели крови также были в пределах нормы (табл. 1). В печеночной дольке трабекулы гепатоцитов были четко выражены, видны небольшие желчные протоки, состоящие из холангиоцитов, а также центральная вена и другие важные сосуды. Экзокринная часть обоих отделов ПЖ была представлена ацинарными клетками и системой выводных протоков, а эндокринная часть состояла из островков Лангерганса разной величины. Сосуды обоих отделов ПЖ, как и печени, не были повреждены.
Рис. 1. Гистологическое окрашивание по Маллори ткани печени, селезеночного и кишечного отделов поджелудочной железы самок крыс всех экспериментальных групп, увеличение х10, шкала – 100 мкм. Группа (К): (a) – печень, (b) – селезеночный отдел ПЖ, (c) – кишечный отдел ПЖ; группа (ГиперПрл): (d) – печень, (e) – селезеночный отдел ПЖ, (f) – кишечный отдел ПЖ; группа (БП): (g) – печень, (h) – селезеночный отдел ПЖ, (i) – кишечный отдел ПЖ; группа (БПгиперПрл): (j) – печень, (k) – селезеночный отдел ПЖ, (l) – кишечный отдел ПЖ. ADM – ацинарно-протоковая метаплазия, CV – центральная вена печеночной дольки, F – фиброз, I – островок Лангерганса ПЖ, PZ – портальная зона печеночной дольки.
Таблица 1. Показатели состояния животных в экспериментальных группах
Параметр | Контрольная группа | Группа ГиперПрл | Группа БП | Группа БПгиперПрл |
Набор массы тела за 14 дней, г | 16.2 (8.2; 16.3) | 24.9 (22.1; 28.1) * | 23.1 (16.7; 29.7) | 16.3 (10.2; 24.9) |
Масса ПЖ/масса тела крысы, х 100% | 0.59 (0.56; 0.68) | 0.64 (0.61; 0.75) | 0.48 (0.40; 0.50) | 0.65 (0.54; 0.76) & |
Масса печени/масса тела крысы, х 100% | 2.5 (2.4; 3.0) | 2.6 (2.4; 2.7) | 5.2 (4.9; 5.6)* | 5.4 (4.5; 6.1)* |
Билирубин общий, мкмоль/л | 2.6 (2.3; 2.9) | 3.3 (3.1; 3.8) | 189 (188; 190)* | 217 (160; 230)** |
Билирубин прямой, мкмоль/л | 0.5 (0.3; 0.7) | 0.6 (0.5; 0.8) | 121 (85; 129)* | 149 (82; 170)** |
АЛТ Ед/л | 30 (21; 33) | 26 (16; 39) | 128 (118; 207)** | 112 (88; 160)* |
АСТ Ед/л | 113 (102; 134) | 146 (107; 206) | 872 (699; 1234)** | 955 (746; 1124)** |
ЩФ Ед/л | 39 (22; 43) | 26 (20; 42) | 208 (191; 216)** | 185 (150; 223)* |
Липаза Ед/л | 70 (52; 79) | 115 (93; 176) | 329 (260; 525)*** | 231 (195; 416)* |
Уровень глюкозы ммоль/л | 4.6 (3.8; 6.1) | 5.4 (4.0; 5.9) | 6.9 (6.5; 8.2) | 7.9 (6.3; 8.9)* |
Примечание.* – статистически значимое отличие от контроля, p < 0.05; ** – статистически значимое отличие от контроля, p < 0.01; *** – статистически значимое отличие от контроля, p < 0.001; & – статистически значимое отличие от группы БП, p < 0.05.
Как видно из рис. 1d, e, f, структура гепатоцитов и желчных протоков, а также строение экзокринной части обоих отделов ПЖ в группе ГиперПрл не менялась по сравнению с контрольной группой. Однако наблюдалась более высокая прибавка массы тела через 14 дней по сравнению с контролем (табл. 1), остальные метаболические показатели работы печени и ПЖ были в пределах нормы.
В группе БП в печени наблюдали пролиферацию желчных протоков и увеличение размеров холангиоцитов (рис. 1g, рис. 2a), что согласуется с данными литературы по наличию выраженной протоковой реакции в условиях ОХ [12, 13]. Несмотря на характерные очаговые фибротические изменения в портальных зонах в виде отложений коллагеновых волокон вокруг пролиферированных клеток желчных протоков, было выявлено частичное нарушение балочного строения гепатоцитов по сравнению с контрольной группой. Также наблюдали отдельные очаги некротизированной ткани. Вокруг расширенных кровеносных сосудов можно было отметить образование неполных фиброзных септ.
Рис. 2. Гистологическое окрашивание по Маллори ткани печени и селезеночного отдела поджелудочной железы самок крыс опытных групп БП и БПгиперПрл, увеличение х 40, шкала – 100 мкм. Группа (БП): (a) – печень, (b) – селезеночный отдел ПЖ; группа (БПгиперПрл): (c) – печень, (d) – селезеночный отдел ПЖ. CH – холангиоциты, клетки желчных протоков, Hep – гепатоциты.
В нашей экспериментальной модели билиарного панкреатита проявились четкие отличия в структуре ПЖ между селезеночным и кишечным отделом. В селезеночном отделе, характеризующемся обструкцией протокового аппарата в результате операции, структура паренхимы ПЖ была сильно нарушена (рис. 1h, рис. 2b). Наблюдалась трансформация ацинарных клеток с приобретением морфологических признаков клеток протоков с образованием тубулярных или тубулоацинарных комплексов (явление ацинарно-протоковой метаплазии при развитии панкреатитов различного генеза [14]), интерстициальный отек, инфильтрация клетками воспаления, что свидетельствовало о наличии ранних признаков развития панкреатита. В селезеночном отделе ПЖ наблюдали умеренное увеличение количества внутридольковых и междольковых протоков с расширением диаметра их просвета с образованием больших площадей соединительной ткани (перидуктальный фиброз). Также встречались умеренно фиброзированные участки вокруг расширенных сосудов. В эндокринной части ПЖ данного отдела отмечалось появление тубуло-островковых комплексов. При этом периинсулярные ацинусы, расположенные вокруг островков, более крупные по размеру, оставались неизмененными. Структура ПЖ в кишечном отделе (рис. 1i) была практически не повреждена, наблюдалась лишь незначительная воспалительная инфильтрация и отложение коллагеновых волокон вокруг кровеносных сосудов, характерное для нормальной ткани ПЖ.
Итак, ПЖ повреждалась частично (селезеночный отдел), а остальная часть компенсаторно работала за всю железу. В данной группе БП ожидаемо были повышены концентрация общего и прямого билирубина (все крысы в данной группе были с выраженной желтушностью) и активность ферментов АЛТ, АСТ, ЩФ и липазы по сравнению с контрольной группой (табл. 1). Масса печени, нормированная на массу тела животного, была выше по сравнению с контрольной группой, что также подтверждало развитие ОХ. Концентрация глюкозы в крови не отличалась от контроля, однако значение медианы было повышенным (6.9 ммоль/л), соответствующим умеренной гипергликемии.
В Группе БПгиперПрл наблюдали более тяжелые изменения структуры печени по сравнению с группой БП: выраженная пролиферация желчных протоков с увеличением их диаметра, деформация трабекул гепатоцитов, расширение синусоидальных пространств, появление зон некроза и перипортальной инфильтрации клетками воспаления (рис. 1j, рис. 2c). Также происходила потеря функционирующей паренхимы печени вследствие обширного замещения соединительной тканью. В данной группе можно было отметить диффузное поражение фиброзной тканью расширенных портальных зон и перицеллюлярный фиброз, характеризующийся отложением соединительнотканных волокон вокруг печеночных долек.
Структура ПЖ в данной группе была также изменена, особенно в селезеночном отделе (рис. 1k, рис. 2d). Отсутствовало четкое строение паренхимы, наблюдалась воспалительная инфильтрация, атрофия ацинарных клеток, отмечалось появление метаплазированных протоков, туболо-островковых и тубуло-ацинарных комплексов и отеков. Также отмечалась выраженная деструкция экзокринной паренхимы вследствие значительного фиброза: большие площади плотных фиброзных септ вокруг увеличенных в количестве и расширенных в диаметре внутридольковых и междольковых протоков, отложение рыхлой соединительной ткани внутри долек и плотной соединительной ткани вокруг долек. В кишечном отделе ПЖ наблюдались выраженная очаговая инфильтрация и межацинарные отеки по сравнению с группой БП (рис. 1l). Биохимические показатели крови в этой группе были повышены по сравнению с контрольной, включая концентрацию глюкозы в крови (до 7.9 ммоль/л) (табл.1).
ОБСУЖДЕНИЕ РЕЗУЛЬТАТОВ
В группе ГиперПрл на фоне нормальной работы печени при гиперпролактинемии у самок крыс не было выявлено изменений в гистологическом строении органов гепатопанкреатобилиарной зоны. В настоящее время активно ведутся исследования метаболических функций пролактина в регуляции обмена веществ в норме и при патологии. Было показано, что пролактин, модулируя функциональную активность ряда ферментов и транспортеров в адипоцитах жировой ткани и островках Лангерганса ПЖ, потенциально влияет на метаболизм жиров и глюкозы [15], чем можно объяснить полученное достоверное увеличение прибавки массы тела через 14 дней по сравнению с контрольной группой (табл. 1). Также хотелось бы отметить, что в нашем исследовании мы не изучали изменения амилазы во всех экспериментальных группах, так как среди панкреатических ферментов надежным диагностическим маркером панкреатита является липаза, которая остается повышенной в течение более длительного периода [16], что мы и получили в группах БП и БПгиперПрл по сравнению с контрольной группой.
Согласно литературным данным, пролактин участвует в патогенезе развития фиброза печени [17], а повышение его концентрации в сыворотке является плохим прогностическим признаком при оценке тяжести состояния [18]. В группах БП и БПгиперПрл в ткани печени были показаны гистологические подтверждения развития ОХ, с потерей балочной структуры гепатоцитов и развития перицеллюлярного фиброза на фоне гиперпролактинемии. Повышенный уровень пролактина на фоне ОХ приводит к более значительным изменениям как в ткани печени, так и селезеночного отдела ПЖ, сопровождая воспалительный процесс фиброзом и развитием внешне- и внутрисекреторной недостаточности. В группе БПгиперПрл также важно отметить развитие гипергликемии (табл. 1). В структуре ПЖ система протоков, эндокринные и ацинарные клетки функционально связаны между собой, что особенно важно при развитии панкреатита, который в ряде случаев может предшествовать развитию панкреатогенного диабета [19–21]. По данным литературы, в модели панкреатита, вызванного перевязкой протоков органов гепатопанкреатобилиарной зоны, у крыс не развивается характерный для билиарного панкреатита необратимый фиброз (для этого необходимо дополнительное воздействие, например, с применением химических веществ), поэтому она подходит только для изучения ранних событий в патогенезе данного заболевания [22]. Для половых гормонов ранее было показано как гепатопротекторное, так и гепатотоксическое действие в развитии различных патологий печени [23]. Необходимы дальнейшие исследования для выяснения панкреопротекторного или панкреотоксического действия пролактина, которое может зависеть от стадии заболевания ПЖ.
Таким образом, мы впервые показали, что у самок крыс с повышенной концентрацией пролактина на фоне ОХ развивается более тяжелая форма билиарного панкреатита с явно выраженным фиброзированием ткани ПЖ. Данную модель развития билиарного панкреатита на фоне ОХ возможно использовать не только для изучения роли пролактина в нарушении работы ПЖ, но и его участия в компенсаторных реакциях поддержания работы экзокринной части ПЖ при данной патологии.
ВКЛАДЫ АВТОРОВ
Идея работы и планирование эксперимента (Н. С. С., О. В. С.), сбор данных (Н. С. С., Т. М. И., Д. В. Р., Ю. Б. К., Т. А. Б., А. В. К.), обработка данных (Н. С. С., Т. М. И., Д. В. Р., Ю. Б. К., А. В. К.), написание и редактирование манускрипта (Н. С. С., Т. А. Б., О. В. С.).
ФИНАНСИРОВАНИE РАБОТЫ
Данная работа финансировалась за счет средств бюджета государственного задания Московского государственного университета имени М. В. Ломоносова № 121032300075-6. Никаких дополнительных грантов на проведение или руководство данным конкретным исследованием получено не было.
СОБЛЮДЕНИЕ ЭТИЧЕСКИХ СТАНДАРТОВ
Эксперименты с животными проводились в соответствии с международными рекомендациями по проведению биомедицинских исследований с лабораторными животными и были одобрены Комиссией по биоэтике Московского государственного университета имени М. В. Ломоносова, протокол № 134-д от 19.08.2021 (заявка № 135-ж, версия № 5).
КОНФЛИКТ ИНТЕРЕСОВ
Авторы данной работы заявляют, что у них нет конфликта интересов.
About the authors
N. S. Sirotina
Lomonosov Moscow State University
Author for correspondence.
Email: kushnarevans@mail.ru
Russian Federation, Moscow
Т. М. Ilieva
Lomonosov Moscow State University
Email: kushnarevans@mail.ru
Russian Federation, Moscow
D. V. Rudenko
Lomonosov Moscow State University
Email: kushnarevans@mail.ru
Russian Federation, Moscow
I. B. Kostenko
Lomonosov Moscow State University
Email: kushnarevans@mail.ru
Russian Federation, Moscow
А. V. Kurynina
Lomonosov Moscow State University
Email: kushnarevans@mail.ru
Russian Federation, Moscow
Т. А. Balakina
Lomonosov Moscow State University
Email: kushnarevans@mail.ru
Russian Federation, Moscow
О. V. Smirnova
Lomonosov Moscow State University
Email: kushnarevans@mail.ru
Russian Federation, Moscow
References
- Pirouz A, Sadeghian E, Jafari M, Eslamian R, Elyasinia F, Mohammadi-Vajari MA, Ghorbani Abdehgah A, Soroush A (2021) Investigating the Factors Affecting the Development of Biliary Pancreatitis and Their Relationship with the Type and Severity of Complications. Middle East J Digestive Diseases 13(1): 43–48. https://doi.org/10.34172/mejdd.2021.202
- Губергриц НБ, Лукашевич ГМ (2014) Холестаз и панкреатическая недостаточность: с чего начинать лечение? Экспер клин гастроэнтерол 8(108): 84–90. [Gubergrits NB, Lukashevich GM Cholestasis and pancreatic insufficiency: how to start treatment? Eksper Clin Gastroenterol 2014(8): 84–90. (In Russ)].
- Васильев ЮВ, Живаева НС (2008) Желчнокаменная болезнь и билиарный панкреатит: патогенетические и клинические аспекты. Экспер клин гастроэнтерол 7: 9–17. [Vasil'ev IuV, Zhivaeva NS (2008) Exper Clin Gastroenterol (7): 9–17. (In Russ)].
- Lopez-Vicchi F, De Winne C, Brie B, Sorianello E, Ladyman SR, Becu-Villalobos D (2020) Metabolic functions of prolactin: Physiological and pathological aspects. J Neuroendocrinol 32(11): e12888. https://doi.org/10.1111/jne.12888
- Balakrishnan C, Rajeev H (2017) Correlation of Serum Prolactin Level to Child Pugh Scoring System in Cirrhosis of Liver. J Clin Diagnost Res 11(7): OC30–OC33. https://doi.org/10.7860/JCDR/2017/24730.10273
- Simon-Holtorf J, Mönig H, Klomp HJ, Reinecke-Lüthge A, Fölsch UR, Kloehn S (2006) .Expression and distribution of prolactin receptor in normal, fibrotic, and cirrhotic human liver. Exp Clin Endocrinol Diabetes114 (10): 584–589. https://doi.org/10.1055/s-2006-948310
- Jha SK, Kannan S (2016) Serum prolactin in patients with liver disease in comparison with healthy adults: A preliminary cross-sectional study. Int J Appl Basic Med Res 6(1): 8–10. https://doi.org/10.4103/2229-516X.173984
- Gijbels E, Pieters A, De Muynck K, Vinken M, Devisscher L (2021) Rodent models of cholestatic liver disease: A practical guide for translational research. Liver Int Official J Int Associat Study Liver 41(4): 656–682. https://doi.org/10.1111/liv.14800
- Смирнова НГ, Чефу СГ, Коваленко АЛ, Власов Т (2010) Влияние инфузионного гепатопротектора ремаксол на функцию печени крыс на модели обтурационной желтухи. Экспер клин фармакол 73(9): 24–27 [Smirnova NG, Chefu SG, Kovalenko AL, Vlasov TD (2010) The effect of the infusion hepatoprotector remaxol on rat liver function in a model of obstructive jaundice. Eks klin farmakol 73(9): 24–27. (In Russ)].
- Charoenphandhu N, Wongdee K, Teerapornpuntakit J, Thongchote K, Krishnamra N (2008) Transcriptome responses of duodenal epithelial cells to prolactin in pituitary-grafted rats. Mol Cell Endocrinol 296(1–2): 41–52. https://doi.org/10.1016/j.mce.2008.09.025
- Fidchenko YM, Kushnareva NS, Smirnova OV (2014) Effect of prolactin on the water-salt balance in rat females in the model of cholestasis of pregnancy. Bull Exp Biol Med 156(6): 803–806. https://doi.org/10.1007/s10517-014-2455-7
- Sato K, Marzioni M, Meng F, Francis H, Glaser S, Alpini G (2019) Ductular Reaction in Liver Diseases: Pathological Mechanisms and Translational Significances. Hepatology (Baltimore) 69(1): 420–430. https://doi.org/10.1002/hep.30150
- Mavila N, Siraganahalli Eshwaraiah M, Kennedy J (2024) Ductular Reactions in Liver Injury, Regeneration, and Disease Progression-An Overview. Cells 13(7): 579. https://doi.org/10.3390/cells13070579
- Wei D, Wang L, Yan Y, Jia Z, Gagea M, Li Z, Zuo X, Kong X, Huang S, Xie K (2016) KLF4 Is Essential for Induction of Cellular Identity Change and Acinar-to-Ductal Reprogramming during Early Pancreatic Carcinogenesis. Cancer Cell 29(3): 324–338. https://doi.org/10.1016/j.ccell.2016.02.005
- Pala NA, Laway BA, Misgar RA, Shah ZA, Gojwari TA, Dar TA (2016). Profile of leptin, adiponectin, and body fat in patients with hyperprolactinemia: Response to treatment with cabergoline. Indian J Endocrinol Metabol 20(2): 177–181. https://doi.org/10.4103/2230-8210.176346
- Ismail OZ, Bhayana V (2017) Lipase or amylase for the diagnosis of acute pancreatitis? Clin Biochem 50(18): 1275–1280. https://doi.org/10.1016/j.clinbiochem.2017.07.003
- Simon-Holtorf J, Mönig H, Klomp HJ, Reinecke-Lüthge A, Fölsch UR, Kloehn S (2006) Expression and distribution of prolactin receptor in normal, fibrotic, and cirrhotic human liver. Exper Clin Endocrinol & Diabet 114(10): 584–589. https://doi.org/10.1055/s-2006-948310
- Jha SK, Kannan S (2016) Serum prolactin in patients with liver disease in comparison with healthy adults: A preliminary cross-sectional study. Int J Appl Basic Med Res 6(1): 8–10. https://doi.org/10.4103/2229-516X.173984
- Bertelli E, Bendayan M (2005) Association between endocrine pancreas and ductal system. More than an epiphenomenon of endocrine differentiation and development? J Histochem Cytochem 53(9): 1071–1086. https://doi.org/10.1369/jhc.5R6640.2005
- Zhao HL, Sui Y, Guan J, Lai FM, Gu XM, He L, Zhu X, Rowlands DK, Xu G, Tong PC, Chan JC (2008) Topographical associations between islet endocrine cells and duct epithelial cells in the adult human pancreas. Clin Endocrinol 69(3): 400–406. https://doi.org/10.1111/j.1365-2265.2008.03190.x
- Overton DL, Mastracci TL (2022) Exocrine-Endocrine Crosstalk: The Influence of Pancreatic Cellular Communications on Organ Growth, Function and Disease. Front Endocrinol 13: 904004. https://doi.org/10.3389/fendo.2022.904004
- Miyauchi M, Suda K, Kuwayama C, Abe H, Kakinuma C (2007) Role of fibrosis-related genes and pancreatic duct obstruction in rat pancreatitis models: implications for chronic pancreatitis. Histol and Histopathol 22(10): 1119–1127. https://doi.org/10.14670/HH-22.1119
- Xu L, Yuan Y, Che Z, Tan X, Wu B, Wang C, Xu C, Xiao J (2022) The Hepatoprotective and Hepatotoxic Roles of Sex and Sex-Related Hormones. Front Immunol 13: 939631. https://doi.org/10.3389/fimmu.2022.939631
Supplementary files




