Morphogenesis in vitro in calluses of lavender Lavandula angustifolia Mill.: histological aspects
- Authors: Kruglova N.N.1,2, Zinatullina А.Е.1,2, Egorova N.А.1
- 
							Affiliations: 
							- Research Institute of Agriculture of Crimea
- Ufa Institute of Biology — Subdivision of the UFRC RAS
 
- Issue: No 3 (2024)
- Pages: 297-306
- Section: DEVELOPMENTAL BIOLOGY
- URL: https://journal-vniispk.ru/1026-3470/article/view/266044
- DOI: https://doi.org/10.31857/S1026347024030014
- EDN: https://elibrary.ru/VBEPNU
- ID: 266044
Cite item
Full Text
Abstract
Histological events occurring in the calluses of Lavandula angustifolia Mill. at the initial stages of in vitro culture (1 passage) were described for the first time. It was found that the non-morphogenic callus is mainly represented by parenchymal tissue with few morphogenetic foci, mostly degenerated. In morphogenic calluses the morphogenesis pathways such as de novo organogenesis and indirect in vitro somatic embryogenesis have been identified and multiple developing morphogenetic foci have been noted also. The question of the realization of the pluri- and totipotency properties of callus cells in vitro is discussed. The histological data can be used in choosing the direction of application of regenerants obtained from calluses of this valuable essential oil and medicinal plant in various cell technologies.
Full Text
Морфогенез как последовательная цепь изменений формы в процессе онтогенеза, приводящая к созданию видоспецифичной пространственной структуры (Бутенко, 1999), остается сложнейшей фундаментальной проблемой биологии развития.
Сложность изучения этого феномена у растений обусловлена не только комплексным характером морфогенетических процессов, их зависимостью от ряда взаимодействующих внутренних и внешних факторов, участием в этом процессе множества генных систем (de Almeida et al., 2015; Gordon-Kamm et al., 2019), но и продолжением морфогенеза в ходе всего онтогенеза особи за счет постоянного функционирования вегетативных и флоральных (репродуктивных) меристем (принцип непрерывности морфогенеза, по: Батыгина, 2014, а также Claßen-Bockhoff et al., 2021; Gaarslev et al., 2021).
Приблизиться к пониманию закономерностей и особенностей морфогенеза интактных растений позволяет модельный подход культуры in vitro, дающий возможность изучать сложные морфогенетические процессы и механизмы их регуляции в контролируемых экспериментатором условиях. Методологическим обоснованием использования таких модельных систем служит принцип универсальности путей морфогенеза растений in vivo и in vitro (Батыгина, 2014).
Перспективными модельными системами в области исследования морфогенеза растений являются культивируемые in vitro каллусы — интегрированные системы тканей, возникшие в результате неорганизованной пролиферации клеток эксплантов (по: Бутенко, 1999; Батыгина, 2014).
На примере различных видов растений выявлены такие пути морфогенеза in vitro в каллусах, как органогенез de novo (по типам: геммогенез, или каулогенез, состоящий в формировании и развитии побега; ризогенез, состоящий в формировании и развитии корня; гемморизогенез, состоящий в формировании и развитии гемморизогенной структуры, объединяющей в своем составе и побег, и корень) и непрямой соматический эмбриогенез in vitro (состоящий в формировании и развитии соматического зародыша). Установлено, что некоторые пути и типы морфогенеза in vitro в оптимальных условиях дальнейшего культивирования каллусов приводят к регенерации полноценных растений (обзоры: Kruglova et al., 2018; Зинатуллина, 2019; Bidabadi, Jain, 2020; Shin et al., 2020; Lee et al., 2022).
К настоящему времени опубликовано значительное количество экспериментальных данных, касающихся физиолого-биохимических, (эпи)генетических и особенно молекулярных аспектов индуцирования и прохождения морфогенеза in vitro в каллусах. Обобщению экспериментальных данных в этой области исследований посвящено немало обзоров последних лет (Kruglova et al., 2021; Ikeuchi et al., 2022; Shin et al., 2022, и др.).
В литературе также представлены публикации, касающиеся использования гистологических данных при оценке путей и типов морфогенеза in vitro в каллусах различного происхождения, полученных из эксплантов представителей многих семейств (Seldimirova et al., 2016b; Kruglova et al., 2023 и др.). Однако важнейшая проблема выявления и оценки гистологических событий при реализации in vitro морфогенетического потенциала компетентных клеток каллуса, на наш взгляд, еще далека от окончательного решения. В то же время такого рода исследования чрезвычайно важны, если исходить из принципа взаимодействия и взаимосвязей структуры и функций тканей во время морфогенеза in vitro. Кроме того, важно проводить исследование гистологических аспектов морфогенеза in vitro в каллусах с привлечением ранее не исследованных в этом отношении хозяйственно ценных видов растений.
Объектом данного исследования явилась лаванда узколистная Lavandula angustifolia Mill. — эфиромасличное растение, широко используемое в медицине, парфюмерии, косметике (Паштецкий и др., 2018; Salehi et al., 2018). Для этого ценного растения разработан ряд биотехнологий получения регенерантов через этап формирования каллусов различного происхождения (лист, почка, стебель) с последующей индукцией морфогенеза in vitro в них (Alwash et al., 2020; Devasigamani et al., 2020; Егорова, 2021). По морфологическим показателям выявлены такие пути морфогенеза в каллусах L. angustifolia, как органогенез de novo и непрямой соматический эмбриогенез in vitro (Falk et al., 2009; Егорова, 2021; Al-Tai, Mohammed, 2022).
В доступной литературе исследований, посвященных гистологическому анализу морфогенеза in vitro в каллусах L. angustifolia, нами не обнаружено. В немногочисленных публикациях авторы сообщают о результатах гистологических исследований каллусов других представителей рода Lavandula. Так, Николакаки, Христодулакис (Nikolakaki, Christodoulakis, 2006) изучали каллусы L. vera L. с целью гистохимического выявления в них фармакологически ценных метаболитов. Митрофанова с соавт. (Mitrofanova et al., 2020) провели гистологический анализ каллусов лавандина L. х intermedia Emeric ex Loiseleur на питательных средах in vitro различного состава.
Важно отметить, что детальные гистологические данные по динамике различных путей морфогенеза в модельных условиях in vitro в каллусах L. angustifolia необходимы не только для дальнейшего выявления механизмов морфогенеза интактных растений, но могут внести вклад в совершенствование биотехнологий гарантированного и массового получения регенерантов этого ценного растения. Особенно большое значение имеют данные по гистологическим событиям на начальных этапах культивирования каллусов. Такие данные могут во многом определить приемы регуляции выявленных путей морфогенеза in vitro, которые направлены на использование морфогенного потенциала клеток каллусов в конкретной клеточной технологии.
В связи с этим цель данной работы состояла в изучении гистологических аспектов морфогенеза в каллусах лаванды узколистной L. angustifolia на начальных этапах их культивирования in vitro.
МАТЕРИАЛЫ И МЕТОДЫ
Материалом для исследования служили растения лаванды узколистной Lavandula angustifolia Mill. сорта Степная.
Использовали методы культуры in vitro органов и тканей растений, как общепринятые (Калинин и др., 1980), так и разработанные авторами для различных клеточных технологий лаванды узколистной (Егорова, 2021). В качестве эксплантов использовали сегменты (5—7 мм) листьев растений, выращенных в условиях закрытого грунта. При введении в культуру in vitro материал стерилизовали в 70 % этаноле (40 с) и 50 % растворе препарата Брадофен 10Н (Флорин АО, Венгрия) (12 мин) и трижды промывали автоклавированной дистиллированной водой. Асептические работы проводили в условиях ламинарного бокса БАВнп-01-Ламинар-С-1,2 (Россия).
Для получения каллусов сегменты листьев помещали на питательные среды, содержащие макро-, микросоли и витамины по прописи Мурасиге и Скуга (Murashige, Skoog, 1962). Первичные неморфогенные каллусы получали на среде с добавлением α-нафтилуксусной кислоты (НУК, Sigma-Aldrich, США) в концентрации 1.0 мг/л и 6-бензиламинопурина (БАП, Sigma-Aldrich, США) в концентрации 0.5 мг/л (среда МС160, по: Егорова, 2021). Первичные морфогенные каллусы получали на среде с введением 1.0 мг/л тидиазурона (ТДЗ, Sigma, USA) (среда МС554, по: Егорова, 2021). Культивирование эксплантов проводили в пробирках с 10 мл агаризованной питательной среды при температуре 26 ± 2 °C, относительной влажности воздуха 70 %, освещенности 2—3 клк, 16–часовом фотопериоде.
Через 4—6 недель культивирования первичные каллусы обоих типов отделяли от эксплантов, переносили на среду МС160 и культивировали при тех же условиях для получения каллусов 1 пассажа.
Для гистологического анализа фиксировали неморфогенные и морфогенные каллусы 1 пассажа в стационарной фазе роста (35—40 сут культивирования in vitro), когда происходит максимальный прирост биомассы, как это отмечено у лаванды узколистной ранее (Егорова, 2021). Постоянные гистологические препараты готовили согласно (Световой микроскоп .., 2013) с применением микротома HM 325 (Microm, Германия) и окрашиванием срезов реактивом Шиффа. Препараты анализировали с использованием светового микроскопа Axio ImagerA1 light microscope (Carl Zeiss, Германия), оснащенного объективом EC Plan-NEOFLURAL, и фотографировали с использованием цифровой камеры AxioCam MRc5 с программным обеспечением Axio Vision 4.7 (Carl Zeiss, Германия).
Прижизненную съемку объектов вели с применением стереомикроскопа Technival 2 (Carl Zeiss, Германия) и цифровой камеры Olympus Camedia C-4000 (Olympus Optical Co., LTD, Япония).
РЕЗУЛЬТАТЫ ИССЛЕДОВАНИЯ
Первичные неморфогенные и морфогенные каллусы L. angustifolia формировались на поверхности листовых эксплантов через 2—3 недели после их введения в асептическую культуру in vitro на соответствующих средах, при этом на морфогенных каллусах, в отличие от неморфогенных, визуально отмечали формирование морфогенных структур.
Морфогистологический анализ неморфогенных каллусов L. angustifolia
Первичные неморфогенные каллусы представляли собой светлые рыхлые недифференцированные образования со множеством инвагинаций (рис. 1, а).
Рис. 1. Первичные неморфогенные (а) и морфогенные (б) каллусы L. angustifolia. Условные обозначения: ЛЭ — листовой эксплант; МК — морфогенный каллус; НМК — неморфогенный каллус. Масштаб: 10 мм
Через 4—6 недель каллусы отделяли от эксплантов и переносили на свежую среду МС160. Пролиферирующие в таких условиях каллусы культивировали в течение 5—6 недель до стационарной фазы роста (1 пассаж).
По морфологическим данным, недифференцированные каллусы 1 пассажа, как и первичные каллусы, светло окрашены, они также характеризуются рыхлой структурой и наличием множества инвагинаций на своей поверхности (рис. 2, а). Согласно гистологическим данным, такие каллусы представлены преимущественно паренхимной тканью с крупными сильновакуолизированными клетками (рис. 2, б).
Рис. 2. Неморфогенные каллусы L. angustifolia 1 пассажа: а — общий вид; б — участки паренхимной ткани (продольный срез); в — заложившиеся морфогенетические очаги (поперечный срез); г — дегенерировавшие морфогенетические очаги (поперечный срез). Условные обозначения: ДМО — дегенерирующий морфогенетический очаг, ЗМО — заложившийся морфогенетический очаг. Масштаб: а — 5 мм, б — 200 мкм, в, г — 50 мкм
В толще каллусов имеются немногочисленные группы меристематических клеток, отделенные от окружающих паренхимных клеток (рис. 2, в). Такие группы клеток можно оценить как заложившиеся морфогенетические очаги. В то же время большинство таких морфогенетических очагов дегенерировало (рис. 2, г).
Морфогистологический анализ морфогенных каллусов L. angustifolia
Первичные морфогенные каллусы представляли собой плотные светло-зеленые образования, на поверхности которых отмечены морфогенные структуры (рис. 1, б).
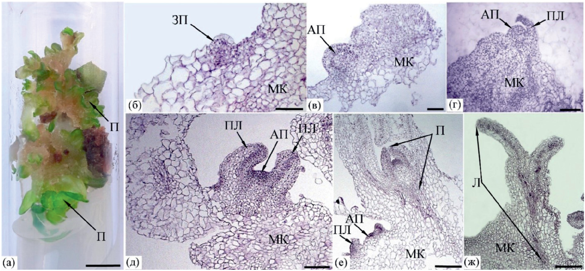
Первичные морфогенные каллусы через 4—6 недель культивирования in vitro на среде МС554 отделяли от эксплантов и переносили на среду МС160. Каллусы культивировали в течение 35—40 сут до стационарной фазы роста (1 пассаж). По морфологическим данным, морфогенные каллусы 1 пассажа, как и первичные морфогенные каллусы, характеризовались наличием на их поверхности морфогенных структур, в частности ярко-зеленых почек, зачатков листьев (рис. 3, а).
Рис. 3. Морфогенные каллусы L. angustifolia 1 пассажа: общий вид (а); зачаток почки (б); сформированный апекс почки (в, г); примордии листа 1 порядка (д), почка (е); лист (ж). Все срезы продольные. Условные обозначения: АП — апекс почки, ЗП — зачаток почки, Л — лист, МК — морфогенный каллус, П — почка, ПЛ — примордий листа 1 порядка. Масштаб: а — 5 мм, б, г — 50 мкм, в, д — 100 мкм, е, ж — 200 мкм
Как показал анализ гистологических данных, морфогенные структуры представляют собой различные образования. Преимущественно это листовые почки на разных стадиях развития: зачаток (рис. 3, б), сформированный апекс (рис. 3, в, г), примордии листа 1 порядка (рис. 3, д), почки (рис. 3, е), а также листья (рис. 3, ж). Обращает на себя внимание асинхронность развития почек. Так, рядом с развитой почкой можно видеть почку с началом заложения примордиев 1 порядка (рис. 3, е).
В целом, в морфогенных каллусах L. angustifolia 1 пассажа выявлен и гистологически подтвержден такой путь морфогенеза in vitro, как органогенез de novo.
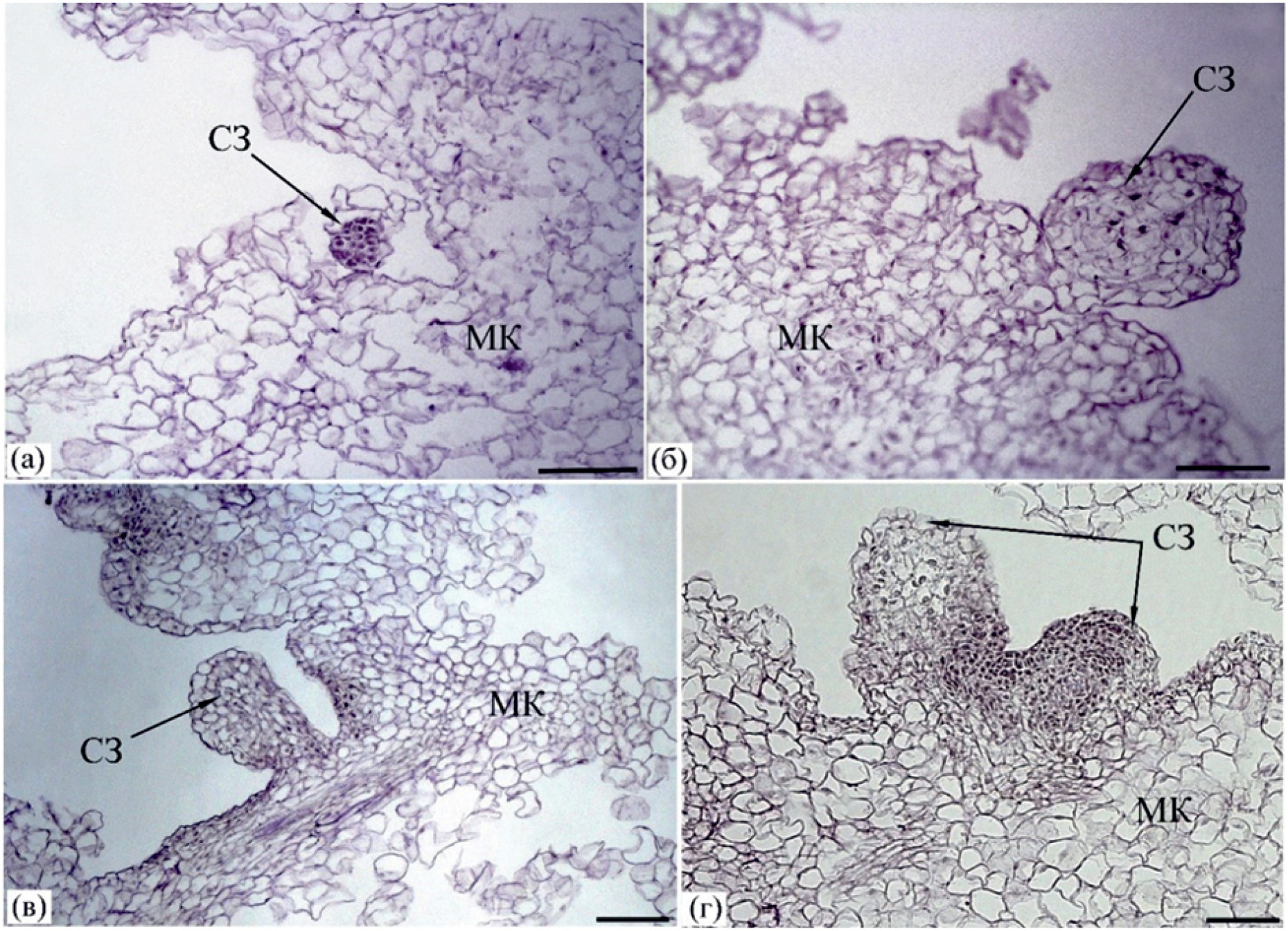
В морфогенных каллусах 1 пассажа также обнаружено формирование морфогенных структур, которые гистологически можно расценить как соматические зародыши. Такие зародыши находятся на ранних стадиях эмбриогенеза — от глобулярной до сердечковидной (рис. 4).
Рис. 4. Соматические зародыши ранних стадий эмбриогенеза в морфогенных каллусах L. angustifolia 1 пассажа: глобулярный (а, б), переходный к сердечковидному (в), сердечковидный (г) зародыши. Все срезы продольные. Условные обозначения: МК — морфогенный каллус, СЗ — соматический зародыш. Масштаб: а–в — 100 мкм, г — 200 мкм
Таким образом, в морфогенных каллусах 1 пассажа L. angustifolia выявлено и гистологически подтверждено начало непрямого соматического эмбриогенеза как пути морфогенеза в каллусах in vitro.
Кроме того, в толще морфогенных каллусов 1 пассажа выявлены многочисленные морфогенетические очаги (рис. 5), которые находятся на разных стадиях развития — от заложившихся до сформированных. Заложившиеся морфогенетические очаги представлены группами меристематических клеток, отделенными от окружающих паренхимных клеток (рис. 5, а–в). Сформированные морфогенетические очаги характеризуются некоторой зональностью структуры. Помимо невакуолизированных меристематических клеток, расположенных по периферии очага, в центральной их части присутствуют более крупные вакуолизированные клетки (рис. 5, б, в). Следует обратить внимание на асинхронность развития органогенных морфогенетических очагов: рядом с заложившимися можно видеть как сформированные очаги (рис. 5, б, в), так и начало преобразования сформированных очагов в меристематические зоны будущих почек (рис. 5, г).
Рис. 5. Морфогенетические очаги в толще морфогенных каллусов 1 пассажа L. angustifolia: а, б — поперечные срезы, в, г — продольные срезы. Условные обозначения: ЗМО — заложившийся морфогенетический очаг, МЗП — меристематическая зона почки, МК — морфогенный каллус, СфМО — сформированный морфогенетический очаг. Масштаб: а–в — 100 мкм, г — 200 мкм
ОБСУЖДЕНИЕ РЕЗУЛЬТАТОВ
В результате проведенных экспериментов из листовых эксплантов L. angustifolia, в зависимости от состава индукционной питательной среды, получены два контрастных типа первичных каллусов — неморфогенный и морфогенный (рис. 1). Такие результаты соответствуют как ранее полученным данным по L. angustifolia (Егорова, 2021), так и результатам, полученным для других видов растений (обзор: Kruglova et al., 2018).
Впервые полученные нами данные продемонстрировали различия гистологического статуса неморфогенных и морфогенных типов каллусов L. angustifolia на начальных этапах культивирования in vitro (1 пассаж), что также соответствует высказанному в литературе мнению о гистологических различиях контрастных типов каллусов (обзор: Зинатуллина, 2020).
Известно, что обязательный начальный этап морфогенеза in vitro в каллусах любого происхождения состоит в формировании морфогенетического очага как группы недифференцированных меристематических клеток, обособленной от остального каллуса. Меристематические клетки такого очага морфогенетически компетентны к морфогенезу in vitro по различным путям и типам. Морфогенетические очаги постепенно приобретают зональность и преобразуются в меристемы будущих органов (обзоры: Kruglova et al., 2018, 2023; Зинатуллина, 2023).
Формирующиеся морфогенетические очаги выявлены в толще неморфогенных каллусов L. angustifolia (рис. 2, в), однако такие очаги немногочисленны и большинство из них дегенерировало (рис. 2, г). Дегенерацию морфогенетических очагов можно расценить как гистологическую основу “неморфогенности” таких каллусов.
Морфогенетические очаги отмечены и в толще морфогенных каллусов L. angustifolia. В данном случае очаги, находящиеся на разных стадиях развития — от заложившихся до сформированных, — характеризуются нормальным строением (рис. 5, а–в). Их наличие можно определить как гистологическую основу будущих путей морфогенеза in vitro лабильных морфогенных каллусов, в частности, органогенеза de novo по пути формирования почки (рис. 5, г).
В морфогенных каллусах L. angustifolia выявлены два пути морфогенеза in vitro: органогенез de novo и непрямой соматический эмбриогенез in vitro.
При органогенезе de novo в каллусах представлены листовые почки и листья в динамике развития от зачатков и апексов почек до примордиев и развернутых листьев (рис. 3, б–ж).
При непрямом соматическом эмбриогенезе in vitro нами выявлены соматические зародыши только на ранних стадиях эмбриогенеза — от глобулярной до сердечковидной (рис. 4). В то же время в работе Aль-Тай, Мохаммад (Al-Tai, Mohammad, 2022) сообщается о выявленных в каллусах L. angustifolia соматических зародышах на различных стадиях развития, вплоть до зрелой семядольной стадии. Следует отметить, что эти авторы дополняли индукционную среду регуляторами роста α-нафтилуксусной кислотой (НУК, 3.0 мг/л) и 6-бензиламинопурином (БАП, 10.0 мг/л), тогда как в использованной нами индукционной среде присутствовал тидиазурон (ТДЗ, 1.0 мг/л). Кроме того, эти исследователи приводят только морфологические данные по развитию соматических зародышей в каллусах L. angustifolia, без гистологического подтверждения полученных результатов.
Важно подчеркнуть, что выявленные пути морфогенеза в каллусах L. angustifolia демонстрируют реализацию различных программ развития растительных клеток в условиях культуры in vitro. Действительно, органогенез de novo следует расценивать как проявление плюрипотентности (способности к формированию нового органа: Батыгина, 2014; Bidabadi, Jain, 2020; Xu, Hu, 2020; Zhai, Xu, 2021; Müller-Xing, Xing, 2022) компетентных клеток каллуса, тогда как непрямой соматический эмбриогенез in vitro — как проявление тотипотентности (способности к формированию нового организма: Батыгина, 2014; Feher, 2019; Su et al., 2020) этих клеток.
В литературе разработаны иные концепции реализации морфогенетического потенциала клеток растений и животных (мульти-, омни-, олиго-, унипотентность клеток: Istiaq, Ohta, 2021). В то же время, по нашему мнению, именно свойства плюри- и тотипотентности клеток следует считать базовыми при исследовании путей морфогенеза в каллусах in vitro.
Особый интерес вызывает тот результат, что в морфогенных каллусах L. angustifolia при одних и тех же начальных условиях культивирования на питательной среде одного и того же состава в 1 пассаже выявлены два пути морфогенеза in vitro. Иначе говоря, клетки одного и того же каллуса проявляют свойства плюри- и тотипотентности в одних и тех же условиях. Этот результат соответствует литературным данным, согласно которым в каллусах некоторых растений выявлено формирование или побегов, или соматических зародышей на среде одного состава — у Valeriana edulis ssp. procera (Castillo et al., 2000), Camellia nitidissima Chi. (Lu et al., 2013), Metabriggsia ovalifolia W. T. Wang (Ouyang et al., 2016), Clematis sp. (Mitrofanova et al., 2021). Более того, в отдельных немногочисленных случаях отмечено одновременное формирование и побегов, и соматических зародышей в одном и том же каллусе на среде одного состава, например у Panax ginseng (Gorpenchenko et al., 2006), Pogonatherum paniceum (Wang et al., 2008), Scaevola sericea (Liang et al., 2020), Stipagrostis pennata (Trin.) De Winter (Asadi-Aghbolaghi et al., 2021).
Авторы этих работ, однако, только констатируют морфологические сведения, без высказывания мнения о возможных клеточных и тканевых механизмах проявления свойств плюри- и/или тотипотентности клеток одного и того же каллуса в условиях in vitro. Мы полагаем, что положительную роль в выявлении таких механизмов могут сыграть концепция позиционной информации (Wolpert, 2016), предложенная для оценки пространственно-временной организации морфогенеза в системе целостного организма, и тесно связанная с ней концепция таргетных клеток (Osborne, McManus, 2009), своим индивидуальным позиционным расположением через специфические белковые маркеры детерминированных распознавать специфический эндогенный или экзогенный сигнал к формированию органа (или организма. — Авт.). Иными словами, индуцирование двух путей морфогенеза in vitro в данном случае определяется гистологически — позиционным расположением в целостной системе каллуса инициальных таргетных клеток/групп таргетных клеток, компетентных к формированию органа (проявление свойства плюрипотентности) или соматического зародыша (проявление свойства тотипотентности). Безусловно, важную роль в индуцировании конкретного пути морфогенеза in vitro играют эндогенные гормоны, содержание и распределение которых в таргетных клетках каллуса можно выявить иммуногистохимически, как это показано нами ранее на примере зародышевых каллусов пшеницы (Seldimirova et al., 2016a). Такого рода исследования по отношению к морфогенным каллусам L. angustifolia еще предстоит выполнить.
ЗАКЛЮЧЕНИЕ
Впервые полученные гистологические данные о двух путях морфогенеза in vitro в одном каллусе L. angustifolia при одних и тех же условиях культивирования важны для понимания клеточных и тканевых механизмов реализации морфогенетического потенциала каллусных клеток. Действительно, органогенез de novo основан на реализации свойства плюрипотентности растительных клеток, тогда как соматический эмбриогенез in vitro — свойства их тотипотентности. Все это лишний раз подтверждает перспективность использования каллусов в качестве экспериментальных систем для изучения биологического феномена морфогенеза растений в модельных контролируемых условиях культуры in vitro.
Кроме того, данные о гистологических событиях в процессе морфогенеза in vitro в каллусах L. angustifolia (наличие динамично развивающихся морфогенетических очагов, два пути морфогенеза in vitro в каллусах) могут быть использованы при оптимизации биотехнологических исследований с целью получения регенерантов этого экономически ценного растения. Известно, что при регенерации путем соматического эмбриогенеза in vitro с большей вероятностью обеспечивается генетическая стабильность получаемых растений, что позволяет использовать этот путь морфогенеза при массовом клональном микроразмножении растений. С другой стороны, для получения сомаклональных вариантов используется путь органогенеза de novo, чаще приводящий к генетическим изменениям регенерантов. Гистологические данные могут быть использованы при выборе направленности применения полученных из каллусов регенерантов L. angustifolia в различных клеточных технологиях.
Авторы благодарны к. б. н. Г. Е. Титовой (БИН РАН, г. Санкт-Петербург) за совместное обсуждение представленных микрофотографий.
Исследования выполнены на базе Центра коллективного пользования “Агидель” УФИЦ РАН, а также лаборатории биотехнологии НИИ СХ Крыма.
ФИНАНСИРОВАНИЕ РАБОТЫ
Работа поддержана грантом Российского научного фонда № 23-24-00023.
СОБЛЮДЕНИЕ ЭТИЧЕСКИХ СТАНДАРТОВ
В данной работе отсутствуют исследования человека или животных.
КОНФЛИКТ ИНТЕРЕСОВ
Авторы данной работы заявляют, что у них нет конфликта интересов.
About the authors
N. N. Kruglova
Research Institute of Agriculture of Crimea; Ufa Institute of Biology — Subdivision of the UFRC RAS
							Author for correspondence.
							Email: kruglova@anrb.ru
				                					                																			                												                	Russian Federation, 							Simferopol; Ufa						
А. Е. Zinatullina
Research Institute of Agriculture of Crimea; Ufa Institute of Biology — Subdivision of the UFRC RAS
														Email: kruglova@anrb.ru
				                					                																			                												                	Russian Federation, 							Simferopol; Ufa						
N. А. Egorova
Research Institute of Agriculture of Crimea
														Email: kruglova@anrb.ru
				                					                																			                												                	Russian Federation, 							Simferopol						
References
- Батыгина Т. Б. Биология развития растений. Симфония жизни. СПб.: Изд-во ДЕАН, 2014. 712 с.
- Бутенко Р. Г. Биология клеток высших растений in vitro и биотехнологии на их основе. М.: ФБК-ПРЕСС, 1999. 160 с.
- Зинатуллина А. Е. Феномен гемморизогенеза как типа органогенеза in vitro в биотехнологических исследованиях хлебных злаков // Экобиотех. 2019. Т. 2. № 2. C. 116—127. DOI: 10.31163/ 2618-964X-2019-2-2-116-127.
- Зинатуллина А. Е. Цитофизиологические особенности контрастных типов каллусов in vitro // Успехи соврем. биол. 2020. Т. 140. № 2. С. 183—194.
- Зинатуллина А. Е. Формирование морфогенетических очагов как основа гемморизогенеза in vitro в зародышевых каллусах пшеницы // Экобиотех. 2023. Т. 6. № 2. С. 81—90. doi: 10.31163/2618-964X-2023-6-2-81-90.
- Егорова Н. А. Биотехнология эфиромасличных растений: создание новых форм и микроразмножение in vitro. Симферополь: ИД “Автограф”, 2021. 315 с.
- Калинин Ф. Л., Сарнацкая В. В., Полищук В. Е. Методы культуры тканей в физиологии и биохимии. Киев: Наукова думка, 1980. 468 с.
- Паштецкий В. С., Невкрытая Н. В., Мишнев А. В., Назаренко Л. Г. Эфиромасличная отрасль Крыма. Вчера, сегодня, завтра. Симферополь: ИТ “Ариал”, 2018. 320 с.
- Световой микроскоп как инструмент в биотехнологии растений / Н. Н. Круглова, О. В. Егорова, О. А. Сельдимирова, Д. Ю. Зайцев, А. Е. Зинатуллина. Уфа: Гилем, 2013. 128 с.
- Al-Tai A.A.R., Mohammed A. A. Production of Lavender (Lavandula Angustifolia) Plants from Somatic Embryos Developed from its Seedlings Leaf Callus // Raf. J. Sci. 2022. V. 31. № 4. P. 12—19. doi: 10.33899/RJS.2022.176073.
- Alwash B. M.J., Salman Z. O., Hamad S. F. Qualitative and quantitative evaluation of active constituents in callus of Lavandula angustifolia plant in vitro // Bagh. Sci. J. 2020. V. 17. № 2. P. 591—598. doi: 10.21123/bsj.2020.17.2(SI).0591.
- Asadi-Aghbolaghi M., Dedicova B., Ranade S. S., Le K.-C., Sharifzadeh F., Omidi M., Egertsdotter U. Protocol development for somatic embryogenesis, SSR markers and genetic modification of Stipagrostis pennata (Trin.) De Winter // Plant Methods. 2021. V. 17. № 70. doi: 10.1186/s13007—021—00768—9.
- Bidabadi S. S., Jain S. M. Cellular, Molecular, and Physiological Aspects of In Vitro Plant Regeneration // Plants. 2020. V. 9. doi: 10.3390/plants9060702.
- Castillo P., Marquez J., Rubluo A., Georgina Hernandez G., Lara M. Plant regeneration from callus and suspension cultures of Valeriana edulis ssp. procera via simultaneous organogenesis and somatic embryogenesis // Plant Sci. 2000. V. 151. № 2. P. 115—119. doi: 10.1016/s0168—9452(99)00203—4.
- Claßen-Bockhoff R., De Craene L.P.R., Becker A. Editorial: From Meristems to Floral Diversity: Developmental Options and Constraints // Front. Ecol. Evol. Sec. Evol. Dev. Biol. 2021. V. 9. doi: 10.3389/fevo.2021.637954.
- de Almeida M., Graner E. M., Brondani G. E., de Oliveira L. S., Artioli F. A., de Almeida L. V., Leone G. F., Baccarin F. J.B., de Oliveira A. P., Cordeiro G. M., Oberschelp G. P.L., Batagin-Piotto K. D. Plant morphogenesis: Theorical bases // Adv. Forest. Sci. 2015. V. 2. P. 13—22. doi: 10.34062/afs.v2i1.2363.
- Devasigamani L., Devarajan R., Loganathan R., Rafath H., Padman M., Giridhar L., Kuppan N. Lavandula angustifolia L. plants regeneration from in vitro leaf explants-derived callus as conservation strategy // Biotecn. Veg. 2020. V. 20. № 2. P. 75—82.
- Falk L., Biswas K., Boeckelmann A., Lane A., Mahmoud S. S. An efficient method for the micropropagation of lavenders: regeneration of a unique mutant // J. Essent. Oil Res. 2009. V. 21. № 3. Р. 225—228. doi: 10.1080/10412905.2009.9700154.
- Feher A. Callus, Dedifferentiation, Totipotency, Somatic Embryogenesis: What These Terms Mean in the Era of Molecular Plant Biology? // Front. Plant Sci. 2019. V. 26. doi: 10.3389/fpls.2019.00536.
- Gaarslev N., Swinnen G., Soyk S. Meristem transitions and plant architecture — learning from domestication for crop breeding // Plant Physiol. 2021. V. 187. № 3. P. 1045—1056. doi: 10.1093/plphys/kiab388.
- Gordon-Kamm B., Sardesai N., Arling M., Lowe K., Hoerster G., Betts S., Jones T. Using Morphogenic Genes to Improve and Regeneration of Transgenic Plants // Plants. 2019. V. 8. doi: 10.3390/plants8020038.
- Gorpenchenko T. Y., Kiselev K. V., Bulgakov V. P., Tchernoded G. K., Bragina, E.A., Khodakovskaya M. V., Koren O. G., Batygina T. B., Zhuravlev Yu. N. The Agrobacterium rhizogenes rolC-gene-induced somatic embryogenesis and shoot organogenesis in Panax ginseng transformed calluses // Planta. 2006. V. 223. № 3. P. 457—467. doi: 10.1007/s00425-005-0102-2.
- Ikeuchi M., Iwase A., Ito T., Tanaka H., Favero D. S., Kawamura A., Sakamoto S., Wakazaki M., Tameshige T., Fujii H., Hashimoto N., Suzuki T., Hotta K., Toyooka K., Mitsuda N., Sugimoto K. Wound-inducible WUSEL-RELEATED HOMEOBOX 13 is required for callus growth and organ reconnection // Plant Physiol. 2022. V. 188. № 1. P. 425—441. doi: 10.1093/plphys/kiab510.
- Istiaq A., Ohta K. Ribosome-Induced Cellular Multipotency, an Emerging Avenue in Cell Fate Reversal // Cells. 2021. V. 10. № 9. doi: 10.3390/cells10092276.
- Kruglova N. N., Titova G. E., Seldimirova O. A. Callusogenesis as an in vitro Morphogenesis Pathway in Сereals // Russ. J. Dev. Biol. 2018. V. 49. № 5. P. 245—259. doi: 10.1134/S106236041805003X.
- Kruglova N. N., Titova G. E., Seldimirova O. A., Zinatullina A. E. Cytophysiological features of the Cereal-based Experimental System “Embryo In Vivo — Callus In Vitro” // Russ. J. Dev. Biol. 2021. V. 52. № 4. P. 199—214. doi: 10.1134/S1062360421040044.
- Kruglova N., Zinatullina A., Yegorova N. Histological Approach to the Study of Morphogenesis in Callus Cultures In Vitro: A Review // Int. J. Plant Biol. 2023. V. 14. № 2. P. 533—545. doi: 10.3390/ijpb14020042.
- Lee K., Kim J. H., Park O. S., Jung Y. J., Seo P. Ectopic expression of WOX5 promoters cytokinin signaling and de novo shoot regeneration // Plant Cell Rep. 2022. V. 41. № 12. P. 2415—2422. doi: 10.1007/s00299-022-02932-4.
- Liang H., Xiong Y., Guo B., Yan H., Jian S., Ren H., Zhang X., Li Y., Zeng S., Wu K., Zheng F., da Silva J. A.T., Xiong Y., Ma G. Shoot organogenesis and somatic embryogenesis from leaf and root explants of Scaevola sericea // Sci. Rep. 2020. V. 10. № 1. doi: 10.1038/s41598-020-68084-1.
- Lü J., Chen R., Zhang M., da Silva T., Ma G. Plant regeneration via somatic embryogenesis and shoot organogenesis from immature cotyledons of Camellia nitidissima Chi. // Plant Physiol. 2013. V. 170. № 13. P. 1202—1211. doi: 10.1016/j.jplph.2013.03.019.
- Mitrofanova I. V., Lesnikova-Sedoshenko N.P., Kuzmina T. N., Chelombit S. V., Mitrofanova O. V. In vitro direct and indirect regeneration of promising lavandin cultivars // Acta Hortic. 2020. V. 1285. P. 213—219. doi: 10.17660/ActaHortic.2020.1285.32.
- Mitrofanova I., Ivanova N., Kuzmina T., Mitrofanova O., Zubkova N. In vitro Regeneration of Clematis Plants in the Nikita Botanical Garden via Somatic Embryogenesis and Organogenesis // Front. Plant Sci. 2021. V. 12. doi: 10.3389/fpls.2021.541171.
- Müller-Xing R., Xing Q. The plant stem-cell niche and pluripotency: 15 years of an epigenetic perspective // Front. Plant Sci. 2022. V. 13. doi: 10.3389/fpls.2022.1018559.
- Murashige Т., Skoog F. A revised medium for rapid growth and bioassays with tobacco cultures // Physiol. Plant. 1962. V. 15. P. 473—497. doi: 10.1111/j.1399-3054.1962.tb08052.x.
- Nikolakaki A., Christodoulakis N. S. Histological investigations of the leaf and leaf-originated calli of Lavandula vera L. // Isr. J. Plant Sci. 2006. V. 54. № 4. P. 281—290. doi: 10.1560/IJPS_54_4_281.
- Osborne D., McManus M. Hormones, Signals and Target Cells in Plant Development. Cambridge: Cambridge Univ. Press, 2009. 268 p.
- Ouyang Y., Chen Y., Lü J., da Silva T. J.A., Zhang X., Ma G. Somatic embryogenesis and enhanced shoot organogenesis in Metabriggsia ovalifolia W. T. Wang // Sci. Rep. 2016. V. 6. doi: 10.1038/srep24662.
- Salehi B., Mnayer D., Özçelik B., Altin G., Kasapoğlu K. N., Daskaya-Dikmen C., Sharifi-Rad M., Selamoglu Z., Acharya K., Sen S., Matthews K. R., Fokou P. V.T., Sharopov F., Setzer W. N., Martorell M., Sharifi-Rad J. Plants of the Genus Lavandula: From Farm to Pharmacy // Nat. Prod. Comm. 2018. V. 13. № 10. P. 1385—1402. doi: 10.1177/1934578X1801301037.
- Seldimirova O. A., Kudoyarova G. R., Kruglova N. N., Zaytsev D. Yu., Veselov S. Yu. Changes in distribution of cytokinins and auxins in cell during callus induction and organogenesis in vitro in immature embryo culture of wheat // In Vitro Cell Dev. Biol. Plant. 2016a. V. 52. № 3. P. 251—264. doi: 10.1007/s11627-016-9767-4.
- Seldimirova O. A., Titova G. E., Kruglova N. N. A Complex Morpho-Histological Approach to the In Vitro Study of Morphogenic Structures in a Wheat Anther Culture // Biol. Bull. 2016b. V. 43. № 2. P. 121—126. doi: 10.1134/S1062359016020084.
- Shin J., Bae S., Seo P. J. De novo shoot organogenesis during plant regeneration // J. Exp. Bot. 2020. V. 71. № 1. P. 63—72. doi: 10.1093/jxb/erz395.
- Shin S. Y., Choi Y., Kim S.-G., Park S.-J., Moon K.-B., Kim H.-S., Jeon J. H., Cho H. S., Lee H.-J. Submergence promotes auxin-induced callus formation through ethylene-mediated post-transcriptional control of auxin receptors // Mol. Plant. 2022. V. 15. № 12. P. 1947—1961. doi: 10.1016/j.molp.2022.11.001.
- Su Y. H., Tang L. P., Zhao X. Y., Zhang X. S. Plant cell totipotency: Insights into cellular reprogramming // J. Integr. Plant Biol. 2020. V. 63. № 1. doi: 10.1111/jipb.12972.
- Wang W., Zhao X., Zhuang G., Wang S., Chen F. Simple hormonal regulation of somatic embryogenesis and/or shoot organogenesis in caryopsis cultures of Pogonatherum paniceum (Poaceae) // Plant Cell Tiss. Organ Cult. 2008. V. 95. P. 57—67. doi: 10.1007/s11240-008-9414-9.
- Wolpert L. Positional information and Pattern Formation // Curr. Top. Dev. Biol. 2016. V. 117. P. 597—608. doi: 10.1016/bs.ctdb.2015.11.008.
- Xu C., Hu Y. The molecular regulation of cell pluripotency in plants // aBIOTECH. 2020. V. 1. P. 169—177. doi: 10.1007/s42994-020-00028-9.
- Zhai N., Xu L. Pluripotency acquisition in the middle cell layer of callus is required for organ regeneration // Nat. Plants. 2021. V. 7. № 11. P. 1453—1460. doi: 10.1038/s41477-021-01015-8.
Supplementary files
 
				
			 
					 
						 
						 
						 
						 
				
 
  
  
  Email this article
			Email this article 





