Morphofunctional characteristics of the pancreas after N-acetylcysteine administration in an acute postradiation pancreatitis model
- Authors: Demyashkin G.A.1,2, Dubovaya T.K.3, Ugurchieva D.I.1, Vadyukhin M.A.1, Akhmedova P.S.1, Simagina V.K.1
-
Affiliations:
- I.M. Sechenov First Moscow State Medical University (Sechenov University)
- National Medical Research Center of Radiology
- N.I. Pirogov Russian National Research Medical University
- Issue: Vol 161, No 2 (2023)
- Pages: 15-22
- Section: Original Study Articles
- URL: https://journal-vniispk.ru/1026-3543/article/view/256965
- DOI: https://doi.org/10.17816/morph.623166
- ID: 256965
Cite item
Abstract
BACKGROUND: The development of effective nondrug and drug-based methods for protecting humans and animals from the effects of ionizing radiation remains important. A morphofunctional assessment of changes in the pancreatic parenchyma is required to determine the degree of radiosensitization of acinar cells and islet cells outside the tumor and during electron treatment of cancer of nearby organs, such as the colon and stomach.
AIM: Morphofunctional assessment of the pancreas after N-acetylcysteine administration in a model of acute radiation-induced pancreatitis.
MATERIALS AND METHODS: Wistar rats (Rattus Wistar; n=40) were divided into three experimental groups: control group I (n=10); II (n=10) — fractional irradiation with electrons in a total dose of 25 Gy; III (n=10) — administration of N-acetylcysteine before electron irradiation; and IV (n=10) — administration of N-acetylcysteine. A week after the last fraction, animals from all groups were removed from the experiment.
RESULTS: A week after electron irradiation, a disruption in histoarchitecture was found in group II due to signs of acute postradiation pancreatitis. Increases in glucose, amylase, and malondialdehyde levels were associated with decreases in insulin and superoxide dismutase levels. In group III, the depth and range of damage to the pancreas were less evident with N-acetylcysteine administration.
CONCLUSIONS: After a week of local irradiation with electrons at a total irradiation dose of 25 Gy, the histoarchitecture of the pancreas is disrupted, resulting in acute postradiation pancreatitis. N-acetylcysteine reduces the depth and range of radiation-induced damage while increasing the effectiveness of antioxidant protection.
Full Text
ОБОСНОВАНИЕ
Источники ионизирующего излучения (ИИ) широко используются в различных сферах деятельности (медицине, промышленности, сельском хозяйстве). Известно, что ИИ может быть потенциальным источником опасности для организма человека и животных. Это зависит от вида и интенсивности излучения. Даже в условиях жёсткого соблюдения мер техники безопасности существует риск облучения персонала и населения [1, 2]. В связи с этим всё более актуальной становится проблема повышения эффективности немедицинских и медицинских средств защиты от воздействия ИИ на органы и ткани [3].
В настоящее время активно исследуются дозозависимые эффекты заряжённых частиц (электронов, протонов и др.), относящиеся к ИИ, с точки зрения многофакторности механизмов повреждения различных систем организма. В частности, такие виды ИИ всё чаще применяются при облучении злокачественных новообразований в качестве способов радиотерапии [4]. Это создаёт риск радиационного поражения соседних органов и тканей при локальном воздействии, особенно при облучении всего тела.
В литературе сведений о реактивных изменениях поджелудочной железы под действием ИИ очень мало. Так, известно, что этот орган обладает умеренной радиочувствительностью в связи с низкой пролиферативной активностью [5]; воздействие ИИ на поджелудочную железу может привести к развитию сахарного диабета вследствие поражения β-клеток панкреатических островков [6]. Описано влияние γ-облучения на здоровую поджелудочную железу, где авторы обнаружили дозозависимые структурно-функциональные нарушения паренхимы органа. После однократного γ-облучения (даже в дозе 5 Гр) наблюдалась атрофия экзокринного и эндокринного компонентов железы, появлялись отёки, плазморрагия, лимфоцитарная инфильтрация, склероз кровеносных сосудов и др. [7].
В некоторых исследованиях показано, что введение антиоксидантов способствует снижению степени постлучевого повреждения многих органов [8, 9]. Одним из таких препаратов является N-ацетилцистеин, антиоксидантные свойства которого связаны с подавлением развития оксидативного стресса в тканях, возникающего на фоне облучения [10].
Вышеизложенное свидетельствует о необходимости морфофункциональной оценки изменений паренхимы поджелудочной железы, степени сенсибилизации экзокринных панкреатоцитов и эндокриноцитов поджелудочной железы к ИИ вне опухоли, а также при облучении злокачественных новообразований соседствующих с железой органов, в частности толстой кишки, желудка и др. Следует отметить, что воздействие облучения электронами на состояние поджелудочной железы остаётся малоизученным, при том что изучение этого воздействия весьма актуально в связи с необходимостью оптимизации способов лучевой терапии органов брюшной полости. Следует также подчеркнуть важность разработки методов профилактики острых и хронических постлучевых осложнений, например путём введения протекторов.
Цель исследования — морфофункциональное исследование поджелудочной железы после введения N-ацетилцистеина в модели острого радиационно-индуцированного панкреатита.
МАТЕРИАЛЫ И МЕТОДЫ
Проведено экспериментальное одноцентровое выборочное неослеплённое контролируемое исследование.
Крыс породы Вистар (Rattus Wistar; n=40) разделили на четыре группы: I — контрольная (n=10), которой вводили 0,9% раствор NaCl; и три экспериментальные: II (n=10) — фракционное локальное облучение электронами в суммарной облучающей дозе (СОД) 25 Гр; III (n=10) — введение в брюшинную полость N-ацетилцистеина в дозе 120 мг/кг за 1 ч до локального облучения электронами в СОД 25 Гр; IV (n=10) — введение в брюшинную полость N-ацетилцистеина в дозе 120 мг/кг.
Локальное облучение крыс электронами проводили на линейном акселераторе NOVAC 11 (Sordina IORT Technologies, Италия). Животных всех групп выводили из эксперимента путём введения высоких доз анестетика (кетамин + ксилазин) через неделю после последней фракции. Все манипуляции выполняли согласно Международным рекомендациям (этический кодекс) по проведению медико-биологических исследований с использованием животных (CIOMS и ICLAS, 2012), а также Хельсинкской декларации Всемирной медицинской ассоциации (2013).
Биохимический анализ сыворотки крови. В крови измеряли уровень глюкозы (аорту канюлировали полиэтиленовым катетером) с использованием глюкометра One Touch Verio Reflect (ООО «ЛайфСкан Раша», Россия), инсулина и амилазы.
Исследование маркёров оксидативного стресса. Гомогенат поджелудочной железы был получен путём гомогенизации 1 г ткани в 4,5 мл холодного калиевого буфера (рН=7,4). Затем раствор центрифугировали со скоростью 13 000 оборотов в течение 10 мин при 4 °C. Затем супернатант сохраняли при температуре –80 °C. Уровень малонового диальдегида (MDA) как биомаркёра перекисного окисления липидов и супероксиддисмутазы (SOD) в гомогенате поджелудочной железы оценивали при помощи наборов ELISA Kit (LifeSpan BioSciences, США).
Гистологическое исследование. Фрагменты поджелудочной железы фиксировали в растворе забуференного формалина, после проводки в автоматическом режиме заливали в парафиновые блоки, готовили серийные срезы толщиной 2 мкм, депарафинировали, дегидратировали и окрашивали гематоксилином и эозином. Гистологические микропрепараты изучали под микроскопом Leica DM2000 (Leica Microsystems, Германия) с микрофотосъёмкой. Использовали установленные морфологические критерии для оценки степени повреждения поджелудочной железы в баллах: вакуолизация, геморрагии, некроз, отёк, инфильтрат [11].
Морфометрическое исследование. Морфометрический анализ проводили в 10 случайно выбранных полях зрения микроскопа при увеличении ×400 в 5 рандомных срезах с каждого образца с использованием анализатора изображений Leica Application Suite (Leica Microsystems, Германия) v. 4.9.0 и компьютерной программы ImageJ. При этом рассчитывали следующие параметры: среднюю площадь и диаметр панкреатических островков, их количество в 1 мм2, а также число эндокриноцитов в одном островке в процентах.
Полученные в результате подсчёта данные обрабатывали с использованием компьютерной программы SPSS 12 for Windows statistical software package (IBM Analytics, США). Данные представляли как среднее значение ± стандартное отклонение. Сравнения проводили с использованием дисперсионного анализа. Данные анализировали с помощью теста Краскелла–Уоллиса и U-теста Манна–Уитни. Значение p <0,05 считали статистически значимым.
РЕЗУЛЬТАТЫ
При исследовании уровня глюкозы, инсулина и амилазы в плазме крови животных II группы обнаружили увеличение уровней глюкозы и амилазы на 38,3% и в 2,6 раза по сравнению с контрольной группой соответственно; уровень инсулина в этой группе оказался снижен на 40% по сравнению с контролем. В то же время введение N-ацетилцистеина до облучения привело к менее выраженным изменениям изучаемых биохимических показателей крови по сравнению с контрольной группой: уровень глюкозы и амилазы был увеличен на 18,3 и на 45,5% соответственно, а инсулина — снижен на 18,0%. В IV группе не отмечали статистически значимых изменений этих показателей по сравнению с контрольной группой (табл. 1).
Таблица 1. Уровень глюкозы, инсулина, амилазы, супероксиддисмутазы и малонового диальдегида
Table 1. Levels of glucose, insulin, amylase, superoxide dismutase and malondialdehyde
Группа/Group | Глюкоза, ммоль/л Glucose in mmol/L | Инсулин, нг/мл Insulin in ng/mL | Амилаза, Ед/л Amylase in U/L | SOD | MDA |
Контроль/Control | 6,0±0,2 | 2,8±0,1 | 239,2±11,8 | 67,4±3,2 | 10,7±0,5 |
Облучение/Irradiation | 8,3±0,3a | 1,7±0,05a | 626,9±31,3a | 41,1±2,0a | 63,2±3,1a |
Облучение+N-АЦ/Irradiation+N-AC | 7,1±0,2b | 2,3±0,05b | 348,1±16,9b | 59,7±2,9b | 27,5±1,2b |
N-АЦ/N-AC | 6,3±0,2 | 2,7±0,1 | 226,7±11,1 | 64,9±3,1 | 9,3±0,4с |
Примечание: здесь и в табл. 2, 3 данные представлены в виде средних значений (диапазон), приведены значения теста Краскела–Уоллиса и U-теста Манна–Уитни. SOD — супероксиддисмутаза, MDA — малоновый диальдегид, N-АЦ — N-ацетилцистеин; представлены статистически значимые различия по сравнению с контролем в группах II (а), III (b) и IV (с); р <0,05.
Note: here and in table. 2, 3, data are presented as average values (range), the values of the Kruskal–Wallis test and the Mann–Whitney U test were performed. SOD — superoxide dismutase, MDA — malondialdehyde, N-AC — N-acetylcysteine; statistically significant differences are presented compared to the control in groups II (a), III (b) and IV (c); p <0.05.
В гомогенате тканей поджелудочной железы после фракционного облучения электронами в дозе 25 Гр обнаружили увеличение уровня MDA в 5,9 раза и снижение уровня SOD на 39,1% по сравнению с контролем. Менее выраженное изменение показателей MDA и SOD обнаружили в III группе: увеличение MDA в 2,5 раза и уменьшение SOD на 21,5% по сравнению со значениями контрольной группы. В IV группе не наблюдали значимых изменений уровня SOD, однако уровень MDA был значимо (на 13,1%) ниже, чем в контроле (см. табл. 1).
При морфологическом исследовании через неделю после локального облучения электронами в СОД 25 Гр во II группе наблюдали нарушение гистоархитектоники, обусловленное наличием признаков острого постлучевого панкреатита: кистозное расширение большинства ацинусов, их вакуолизация, фокальный некроз, геморрагии, отёк и лимфоцитарная инфильтрация. На фоне введения N-ацетилцистеина в III группе отмечали незначительное изменение глубины и диапазона повреждений поджелудочной железы (на 1–2 балла), а в IV группе не обнаружили значимых различий по сравнению с контрольной (табл. 2, рис. 1).
Таблица 2. Оценка выраженности повреждений поджелудочной железы согласно гистологическим критериям (по S. M El Agaty и A. Ibrahim Ahmed [11] с изменениями), баллы
Table 2. Assessment of the severity of damage to the pancreas, according to histological criteria (by S. M El Agaty and A. Ibrahim Ahmed [11] with modifications), points
Группа/Group | n | Отёк Edema | Инфильтрат Infiltrate | Вакуолизация Vacuolization | Геморрагии Hemorrhages | Некроз Necrosis |
Контроль/Control | 10 | 0 | 0 (0–1) | 0 | 0 | 0 |
Облучение/Irradiation | 10 | 3 (2–3)a | 2 (2–3)a | 2 (1–2)a | 2 (1–2)a | 1 (1–2)a |
Облучение+N-АЦ/Irradiation+N-AC | 10 | 2 (1–2)b | 1 (1–2)b | 1 (0–1)b | 0 (0–1) | 0 (0–1) |
N-АЦ/N-AC | 10 | 0 (0–1) | 0 | 0 (0–1) | 0 | 0 |
Примечание: представлены статистически значимые различия по сравнению с контролем в группах II (а) и III (b); р <0,05. N-АЦ — N-ацетилцистеин.
Note: statistically significant differences are presented compared to the control in groups II (a) and III (b); p <0.05. N-AC — N-acetylcysteine.
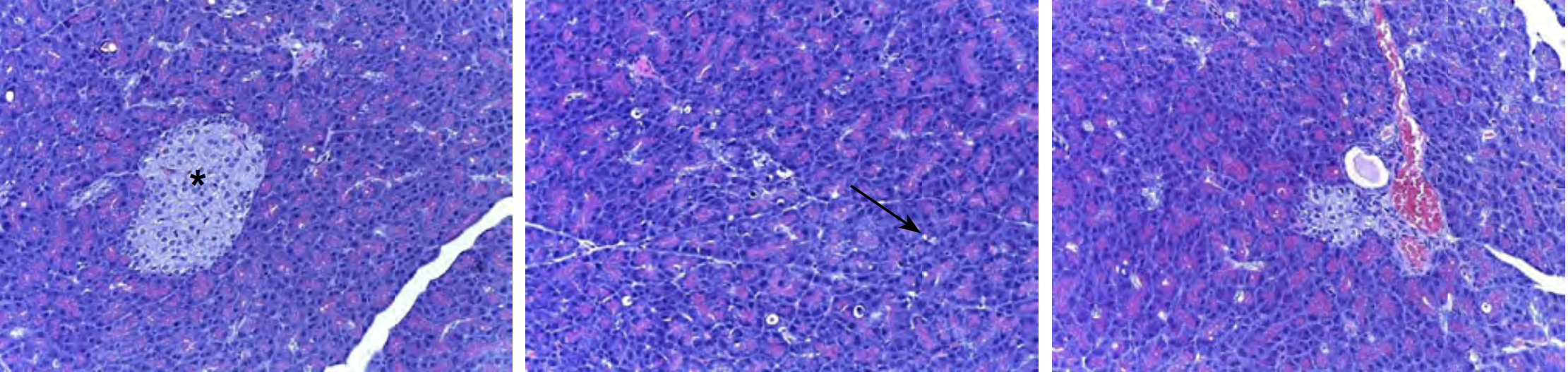
Рис. 1. Поджелудочная железа крыс контрольной и экспериментальных групп. Окрашивание гематоксилином и эозином; ×400. Клеточная воспалительная инфильтрация (стрелка), панкреатический островок (звёздочка). СОД — суммарная облучающая доза, N-АЦ — N-ацетилцистеин.
Fig. 1. Pancreas of control and experimental groups. Hematoxylin and eosin stain; ×400. Cellular inflammatory infiltration (arrow), pancreatic islet (asterisk). N-АC — N-acetylcysteine.
При исследовании поджелудочной железы во II группе выявили значительное снижение основных морфометрических показателей по сравнению с контрольной: количества (на 69,7%), площади (на 38,3%) и диаметра (на 35,5%) панкреатических островков, а также общего числа эндокриноцитов в одном островке — на 47,0% (табл. 3). В III группе предварительное введение N-ацетилцистеина привело к снижению числа (на 31,3%), площади (на 8,6%) и диаметра (на 13,3%) панкреатических островков, а также общего числа эндокриноцитов в одном островке на 14,0% по сравнению с контролем. Статистически значимых различий между I и IV группами не обнаружено.
Таблица 3. Среднегрупповые показатели числа, площади и диаметра панкреатических островков, а также общего числа эндокриноцитов в островке, М±m
Table 3. Mean number, average area and average diameter of the pancreatic islets and total number of endocrinocytes per islet (М±m)
Группа/Group | Число островков в 1 мм2 Islets in 1 mm2 | Площадь островков, мкм2 Islet аrea, µm2 | Диаметр островков, мкм Islet diameter, µm | Число эндокриноцитов, % Endocrinocytes, % |
Контроль/Control | 1,60±٠,٠٧ | 14287,5±692,1 | 166,0±٨,٢ | 83,0±٤,١ |
Облучение/Irradiation | 0,50±٠,٠٢a | 8816,3±441,9a | 107,0±٤,٩a | 36,0±١,٦a |
Облучение+N-АЦ/Irradiation+N-AC | 1,10±٠,٠٥b | 13061,8±640,7b | 144,0±٧,١b | 69,0±٣,٤b |
N-АЦ/N-AC | 1,60±٠,٠٦ | 14517,4±701,2 | 169,0±٨,٣ | 86,0±٤,٢ |
Примечание: представлены статистически значимые различия по сравнению с контролем в группах II (а) и III (b) при р <0,05. N-АЦ — N-ацетилцистеин.
Note: statistically significant differences are presented compared to the control in groups II (a) and III (b) at p <0.05. N-AC — N-acetylcysteine.
ОБСУЖДЕНИЕ
В представленной работе анализируются события первой (воспалительной) фазы острого постлучевого панкреатита, подтверждённого в соответствии со стандартными критериями [11]. Обнаруженное после локального облучения увеличение уровня глюкозы и амилазы наряду со снижением уровня инсулина может свидетельствовать о функциональной несостоятельности поджелудочной железы вследствие повреждения её секреторного и эндокринного аппаратов. Вероятно, это связано с радиационно-индуцированной гибелью клеток железы под воздействием ИИ как прямым (разрывы и сшивки ДНК, хромосомные аберрации), так и косвенным путём (активные формы кислорода (АФК), реактивные формы азота, продукты перекисного окисления липидов и др.). Именно косвенное воздействие электронов приводит к развитию оксидативного стресса и дисбалансу оксидантно-антиоксидантного соотношения. Кроме того, особый интерес вызывает роль прямого и косвенного воздействия ИИ на эндотелий кровеносных сосудов с вероятным развитием ишемии и некроза клеток [12]. Последнее может приводить к вторичному повреждению поджелудочной железы.
Для оценки выраженности оксидативного стресса и состоятельности антиоксидантной защиты органа нами был проведён анализ на маркёры MDA и SOD. Известно, что облучение индуцирует продукцию АФК и запускает механизм перекисного окисления липидов, что сопровождается повышением уровня MDA (отражает степень перекисного окисления липидов) и снижением уровня SOD — одного из ключевых участников защитной антиоксидантной системы организма [13]. Аналогичные механизмы эндокринной дисфункции с генерацией АФК были продемонстрированы авторами при моделировании диабета, например аллоксаном [14] или стрептозоцином [13].
Таким образом, в основе повреждения электронами поджелудочной железы лежит в том числе оксидативный стресс, вызванный экспоненциальным высвобождением большого количества свободных радикалов кислорода, азота и продуктов перекисного окисления липидов. Ввиду отсутствия эффективных способов защиты ДНК от прямого действия ИИ именно оксидативный стресс является точкой приложения большинства протекторных препаратов. Вышеизложенное послужило основой выбора препарата для настоящего исследования.
Так, N-ацетилцистеин, воздействуя на наиболее значимые звенья патогенеза постлучевого поражения поджелудочной железы, способствует предотвращению развития оксидативного стресса и дальнейшей генерации высокотоксичных свободных радикалов и, как следствие, предотвращению гибели как экзокринных панкреатоцитов и эндокриноцитов поджелудочной железы, так и эндотелиоцитов. В связи с этим в III группе подопытных животных были обнаружены статистически значимо менее выраженные морфологические признаки острого постлучевого панкреатита: снижение интенсивности отёка интерстициальной ткани и воспалительной инфильтрации, наличие геморрагий и некроза стромы, а также вакуолизация ацинусов в сочетании со снижением количества, площади и диаметра островков поджелудочной железы и количества эндокриноцитов в них.
Кроме того, предварительное введение N-ацетилцистеина животным III группы сопровождалось статистически значимо меньшими изменениями уровней MDA и SOD при исследовании гомогената поджелудочной железы. Это подтверждает наличие протекторного эффекта N-ацетилцистеина и снижение степени радиационно-индуцированного повреждения органа за счёт вероятного связывания АФК и продуктов перекисного окисления липидов, снижения интенсивности оксидативного стресса и, как следствие, повышения сохранности клеток поджелудочной железы при воздействии свободных радикалов.
Таким образом, в результате проведённого морфологического и биохимического исследований поджелудочной железы после облучения электронами в СОД 25 Гр и при предлучевом введении N-ацетилцистеина установлено, что N-ацетилцистеин обладает антиоксидантным действием на основании результатов биохимического исследования и оценки оксидантного статуса. Для раскрытия молекулярных механизмов протективного действия N-ацетилцистеина необходимо проведение комплексного анализа с использованием иммуногистохимического, молекулярно-генетического и других методов.
ЗАКЛЮЧЕНИЕ
Локальное облучение электронами в суммарной облучающей дозе 25 Гр через 7 сут приводит к нарушению гистоархитектоники поджелудочной железы с развитием острого постлучевого панкреатита. Введение N-ацетилцистеина снижает глубину и диапазон радиационно-индуцированного повреждения, усиливает эффективность антиоксидантной защиты.
ДОПОЛНИТЕЛЬНО
Источник финансирования. Авторы заявляют об отсутствии внешнего финансирования при проведении исследования.
Конфликт интересов. Авторы декларируют отсутствие явных и потенциальных конфликтов интересов, связанных с публикацией настоящей статьи.
Вклад авторов. Все авторы подтверждают соответствие своего авторства международным критериям ICMJE (все авторы внесли существенный вклад в разработку концепции, проведение исследования и подготовку статьи, прочли и одобрили финальную версию перед публикацией). Наибольший вклад распределён следующим образом: Г.А. Демяшкин — концепция и дизайн исследования, сбор и обработка материалов, анализ полученных данных, внесение окончательной правки; Т.К. Дубовая — обзор литературы, подготовка и написание текста, внесение окончательной правки; Д.И. Угурчиева — концепция и дизайн исследования, сбор и обработка материалов, написание текста; М.А. Вадюхин — обзор литературы, сбор и анализ литературных источников, сбор и обработка материалов, анализ полученных данных, написание и редактирование текста; П.С. Ахмедова — сбор и обработка материалов, анализ полученных данных, обзор литературы, написание текста; В.К. Симагина — анализ полученных данных, обзор литературы, написание текста.
ADDITIONAL INFORMATION
Funding source. This study was not supported by any external sources of funding.
Competing interests. The authors declare that they have no competing interests.
Authors’ contribution. All authors made a substantial contribution to the conception of the work, acquisition, analysis, interpretation of data for the work, drafting and revising the work, final approval of the version to be published and agree to be accountable for all aspects of the work.
G.A. Demyashkin — concept and design of the study, collection and processing of materials, analysis of the data obtained, making final edits; T.K. Dubovaya — literature review, preparation and writing of the text, making final edits; D.I. Ugurchieva — concept and design of the study, collection and processing of materials, writing the text; M.A. Vadyukhin — literature review, collection and analysis of literary sources, collection and processing of materials, analysis of the data obtained, writing and editing the text; P.S. Akhmedova — collection and processing of materials, analysis of the data obtained, literature review, writing the text; V.К. Simagina — analysis of the data obtained, literature review, writing the text.
About the authors
Grigory A. Demyashkin
I.M. Sechenov First Moscow State Medical University (Sechenov University); National Medical Research Center of Radiology
Author for correspondence.
Email: dr.grigdem@gmail.com
ORCID iD: 0000-0001-8447-2600
SPIN-code: 5157-0177
Dr. Sci. (Biology)
Russian Federation, Moscow; MoscowTatyana K. Dubovaya
N.I. Pirogov Russian National Research Medical University
Email: gusvbr@mail.ru
ORCID iD: 0000-0001-7936-180X
SPIN-code: 4254-6082
Dr. Sci. (Medicine), Professor
Russian Federation, MoscowDali I. Ugurchieva
I.M. Sechenov First Moscow State Medical University (Sechenov University)
Email: daliyagurchieva@gmail.com
ORCID iD: 0009-0004-7308-8450
Russian Federation, Moscow
Matvey A. Vadyukhin
I.M. Sechenov First Moscow State Medical University (Sechenov University)
Email: vma20@mail.ru
ORCID iD: 0000-0002-6235-1020
SPIN-code: 9485-7722
Russian Federation, Moscow
Pinara S. Akhmedova
I.M. Sechenov First Moscow State Medical University (Sechenov University)
Email: pinaraakh2002@mail.ru
ORCID iD: 0009-0000-1220-0921
Russian Federation, Moscow
Valeria K. Simagina
I.M. Sechenov First Moscow State Medical University (Sechenov University)
Email: simagina04@gmail.com
ORCID iD: 0009-0007-8562-2392
Russian Federation, Moscow
References
- Radiation protection and safety of radiation sources: International Basic Safety Standards. IAEA Safety Standard Series No. GSR Part 3. 2015. 477 p. (In Russ).
- Sanitary rules and standards SanPiN 2.6.1.2523-09 “Radiation Safety Standards NRB-99/2009”. Available from: https://base.garant.ru/4188851/53f89421bbdaf741eb2d1ecc4ddb4c33/ (In Russ).
- Singh VK, Seed TM. Pharmacological management of ionizing radiation injuries: current and prospective agents and targeted organ systems. Expert Opin Pharmacother. 2020;21(3):317–337. doi: 10.1080/14656566.2019.1702968
- Donya M, Radford M, ElGuindy A, et al. Radiation in medicine: origins, risks and aspirations. Glob Cardiol Sci Pract. 2014;2014(4):437–448. doi: 10.5339/gcsp.2014.57
- Hall Eric J, Giaccia Amato J. Radiobiology for the radiologist. Eighth edition. Philadelphia: Wolters Kluwer; 2019.
- Voshart DC, Wiedemann J, van Luijk P, Barazzuol L. Regional responses in radiation-induced normal tissue damage. Cancers (Basel). 2021;13(3):367. doi: 10.3390/cancers13030367
- Djahonkulovn SL, Abdullayevich NN. Comparative characteristics of morphological changes in the pancreas under different types of irradiation in the experiment. International Journal of Health Sciences. 2022;4167–4176. doi: 10.53730/ijhs.v6nS1.5816
- Cervelli T, Panetta D, Navarra T, et al. A new natural antioxidant mixture protects against oxidative and DNA damage in endothelial cell exposed to low-dose irradiation. Oxid Med Cell Longev. 2017;2017:9085947. doi: 10.1155/2017/9085947
- Campesi I, Brunetti A, Capobianco G, et al. Sex differences in X-ray-induced endothelial damage: effect of taurine and n-acetylcysteine. Antioxidants (Basel). 2022;12(1):77. doi: 10.3390/antiox12010077
- Topcu A, Mercantepe F, Rakici S, et al. An investigation of the effects of N-acetylcysteine on radiotherapy-induced testicular injury in rats. Naunyn Schmiedebergs Arch Pharmacol. 2019;392(2):147–157. doi: 10.1007/s00210-018-1581-6
- M El Agaty S, Ibrahim Ahmed A. Pathophysiological and immunohistochemical analysis of pancreas after renal ischemia/reperfusion injury: protective role of melatonin. Arch Physiol Biochem. 2020;126(3):264–275. doi: 10.1080/13813455.2018.1517182
- Wijerathne H, Langston JC, Yang Q, et al. Mechanisms of radiation-induced endothelium damage: emerging models and technologies. Radiother Oncol. 2021;158:21–32. doi: 10.1016/j.radonc.2021.02.007
- Ivanov SV, Ostrovskaya RU, Sorokina AV, Seredenin SB. Analysis of cytoprotective properties of afobazole in streptozotocin model of diabetes. Bull Exp Biol Med. 2020;169(6):783–786. doi: 10.1007/s10517-020-04978-4
- Klyueva Yu, Danilova I, Emelianov V, et al. Morphofunctional condition of the pancreatic insular apparatus in old rats with alloxan-induced diabetes and its correction with lipoic acid. BIO Web of Conferences. 2020;22:02020. doi: 10.1051/bioconf/20202202020
Supplementary files



