Morphological characteristics of wound healing with aloe extract, hydrogel, and their combination: experimental research
- Authors: Cherdantseva T.M.1, Fedoseev A.V.1, Inyutin A.S.1, Nekrasova M.S.1, Kachkurkina A.A.1, Antoshkin I.A.1
-
Affiliations:
- Ryazan State Medical University
- Issue: Vol 162, No 2 (2024)
- Pages: 164-173
- Section: Original Study Articles
- URL: https://journal-vniispk.ru/1026-3543/article/view/272640
- DOI: https://doi.org/10.17816/morph.633191
- ID: 272640
Cite item
Abstract
BACKGROUND: Currently, there remains a high incidence of skin damage due to trauma, chronic diseases, burns, so it is important to study the issues of regeneration and treatment of skin wounds.
AIM: To conduct a morphological analysis of wound healing using aloe extract, hydrogel, and their combination in the experiment.
MATERIALS AND METHODS: The study involved 40 sexually mature guinea pigs, which were divided into a control group and 4 experimental groups (independent wound healing, application of aloe extract, hydrosorb gel, layer-by-layer application of drugs). Histological skin preparations were prepared on days 3, 7, 14, and 28 of the experiment. In each microslide, in 10 fields of view of the microscope at a magnification of ×50, morphometric parameters were measured in micrometers (µm): the thickness of the purulent-necrotic scab, inflammatory (leukocyte) infiltrate, granulation tissue, the length of the newly formed epithelium on days 3, 7, 14; the thickness of the epithelium, its length and the thickness of the connective tissue in the central part of the regenerate on the 28th day. All data were subjected to statistical processing.
RESULTS: The medications led to a decrease in the inflammatory reaction, acceleration of the formation of granulation tissue, and partial wound epithelization by day 7 of the experiment; however, more pronounced signs of wound healing were observed with layer-by-layer application of aloe extract and hydrogel. By day 14, regardless of the application method, the use of medications demonstrated signs of enhanced wound healing. Thus, the length of the epithelium increased by 1.2–1.6 times, the depth of granulation tissue increased by 1.0–1.2 times compared to the control group. By the end of the experiment, all animals had complete closure of the wound with scar formation, while in the experimental groups showed signs of skin remodeling with appendages.
CONCLUSION: Morphological analysis showed that aloe extract, hydrosorb gel, and their combination accelerated the wound healing processes of full-thickness skin wounds in the experiment.
Full Text
BACKGROUND
Currently, various wound dressings (bandages) are used to protect skin wounds from bacterial infection and accelerate their regeneration. The so-called bioactive dressings include hydrogels which are derivatives of biopolymers (for example, cellulose) having good tissue compatibility and low toxicity and injury rate [1]. The three-dimensional chemical structure of hydrophilic polymers in the composition of hydrogels serves to retain a large amount of water, thus helps to create an optimal moist environment on the wound surface. Being similar to skin tissue, hydrogels provide optimal conditions for the proliferation of fibroblasts and keratinocytes, and for the development of a new vascular network [2, 3].
Due to the increasing antibiotic resistance of microorganisms, herbal medicines are actively included in the therapy of skin wounds [4]. Aloe arborescens extract has an antimicrobial effect due to bioactive compounds such as anthraquinones [5]. The wound healing effect was demonstrated by researchers when applying Aloe Vera cream to a skin wound in animals, which decreased an inflammatory infiltration, increased the epithelium thickness, and changed the ratio of CD4+/CD8+ lymphocytes in the wound area [6]. However, this cream does not provide moisturizing of the wound surface needed to ensure normal reparation. Therefore, in our opinion, the combination of aloe extract with hydrogel will provide a multidirectional effect and accelerate the skin wound regeneration.
The study aimed to conduct a morphological analysis of wound healing using aloe extract, hydrogel and their combination in an experiment.
MATERIALS AND METHODS
Study design
An experimental single-center continuous uncontrolled unblinded study was conducted.
The study objects were 40 sexually mature guinea pigs with an average body weight of 320–370 g, kept on a standard food and drink ration in isolated cages. At the initial stage, a flat full-layer skin wound was modeled in all animals anesthetized with zoletil-xylazine with observance of aseptic rules. For this purpose, an area of fur with undercoat was shaved on the back in the interscapular region and after processing the surgical field, a skin flap of 2×2 cm (4 cm2) was cut out using a stencil with the removal of subcutaneous fat. Starting from experiment day 3, local wound treatment was performed. In connection with the set goal, the animals were divided into 4 groups, namely a control group (spontaneous wound healing) and 3 experimental groups (application of aloe extract, application of hydrosorb gel, layer-by-layer application of agents) (Table 1).
Table 1. Groups of animals
Group | Local action | Number of individuals, pcs. |
Control group | Spontaneous wound healing | 10 |
Experimental group 1 | Filling the wound with aloe extract (Yerevan Chemical and Pharmaceutical Company, Yerevan) according to the instructions | 10 |
Experimental group 2 | Filling the wound with hydrosorb gel (Hydrosorb® Gel, Hartmann, Germany) according to the instructions | 10 |
Experimental group 3 | Layer-by-layer application of agents: first aloe extract, then hydrosorb gel | 10 |
In all animals, a macroscopic examination of the wound was performed to assess the healing dynamics, and its size and area were measured using the method of L.N. Popova [7]. According to the stage of the wound process, the animals were sacrificed by an overdose of anesthesia on day 3 (4 animals), days 7, 14 and 28 (3 animals from each group for a period), followed by collection of material for histological examination. The tissue pieces obtained were placed in 10% buffered formalin solution, then dehydrated and impregnated with paraffin using a standard technique. The resulting paraffin sections were stained with hematoxylin and eosin. The sections were examined using a Leica DM 2000 microscope (Leica Microsystems, Germany) at a total magnification of ×50. In each skin micropreparation, the morphometric parameters were measured in micrometers (µm) in 10 fields of view using the VideoTesT-Morphology 5.0 program (Russia), namely the thickness of the purulent-necrotic scab, inflammatory (leukocyte) infiltrate, granulation tissue; the length of the newly formed epithelium on days 3, 7, 14; the epithelium thickness, its length and the thickness of the connective tissue in the central part of the regenerate on day 28 [8].
Ethical considerations
The study was conducted at the vivarium of the Ryazan State Medical University of the Ministry of Health of the Russian Federation with the approval of the Bioethics Committee (Protocol No. 27 dated April 23, 2021). All manipulations with laboratory animals were performed in accordance with the requirements of the Helsinki Declaration (2013) and the European Convention for the Protection of Vertebrate Animals used for Experimental and Other Scientific Purposes (ETS No. 123, Strasbourg, March 18, 1986 (as amended on June 22, 1998)).
Statistical analysis
The sample size was not pre-calculated. Mathematical and statistical data processing was performed in Microsoft Excel 2010 and SPSS Statistics 23.0 (IBM, USA). The normality of distribution was tested using the graphical method and the Pearson chi-squared test. Morphometric data were presented as medians and quartiles (Me [Q1; Q3]). The Mann–Whitney U test with Bonferroni correction was used to compare data from unrelated samples; differences were considered statistically significant at p ≤0.05.
RESULTS
Macroscopic examination of wounds on day 3 before the start of treatment revealed signs of an inflammatory process in all animals. The wound edges were hyperemic, edematous, with purulent discharge on the surface, indicating infection of the wound defect. Histological examination showed that epithelialization was absent in all individuals; purulent-necrotic detritus 532.67 [391.74; 790.4] μm thick and pronounced inflammatory infiltration 282.64 [214.84; 340.00] μm thick, with polymorphonuclear leukocytes predominating, were detected on the wound surface. New granulation tissue 351.34 [264.61; 432.4] μm deep was noted in isolated areas, mainly in the lateral parts of the wound, with unexpressed signs of the development of neovascularization.
On day 7 of the study, when examining the wounds of guinea pigs in all groups, an inflammatory reaction was noted, namely abundant purulent discharge when pressing, edematous and hyperemic edges. However, in experimental groups 1 and 3, inflammatory phenomena were less pronounced. No significant differences in the wound defect area were registered in the groups treated separately with aloe extract and hydrosorb gel compared to the control group, but with layer-by-layer application of these agents, the wound area decreased by 10%.
Table 2. Morphometric indices of skin regeneration on the 7th day experiment (Ме [Q25; Q75])
Indicator | Control group | Experimental group 1 | Experimental group 2 | Experimental group 3 |
Thickness of purulent-necrotic scab, µm | 502,62 | 408,99* | 516,90 | 349,86* |
Thickness of leukocyte infiltrate, µm | 204,99 | 130,09* | 164,58* | 142,90* |
Granulation tissue depth, µm | 899,29 | 1269,37* | 835,73 | 1349,19* |
Extent of newly formed epithelium (epithelialization), µm | 1065,35 | 1124,49 | 1242,26* | 1663,57* |
* significant differences from the control group (Mann–Whitney U test, p <0.008).
Morphological analysis of the wounds on day 7 (Table 2) showed that in the control group, the wound was covered with a pronounced scab with inflammatory (neutrophilic) infiltration 204.99 [145.86; 271.02] μm thick under it. Under it, new granulation tissue with dilated full-blooded vessels was formed along the entire length. A large number of fibroblastic differon cells were noted in this tissue, as well as thin, multidirectional bundles of collagen fibers in the superficial layers, unidirectionally located in the deep layers. The length of the newly formed epithelium was 1065.35 μm (Me). After treating the wound with aloe extract, a statistically significant decrease in the scab thickness by 18.63% (p <0.001), inflammatory infiltration by 36.54% (p <0.0005), and an increase in the granulation tissue thickness by 29.1% (p < 0.0005) was established compared to the control group. The use of hydrosorb gel resulted in a decrease in inflammatory infiltration by 19.7% (p < 0.001), as well as an increase in the wound epithelialization index by 16.6% (p <0.003) compared to the control group. Layer-by-layer application of drugs accelerated significantly wound regeneration, with the median thickness of the scab being 349.86 μm, leukocyte infiltration being 142.9 μm, and granulation tissue being 1349.19 μm (p <0.0005) (Table 2).
By day 14 of the study, macroscopic examination of wounds in all animals revealed a decrease in signs of inflammation, so that the wound was pale pink, the granulation was fine-grained, with the presence of fibrin in animals of the control group and experimental groups 1 and 2. With layer-by-layer application of drugs, the granulation was coarse-grained, red in color due to the formation of a large number of vessels. Partial epithelialization of the wound was noted in all animals, but it was more pronounced in experimental group 3. Histological examination of animals in all groups revealed that the central part of the wound was covered with a homogeneous oxyphilic mass; inflammatory polymorphonuclear infiltration and single full-blooded vessels persisted in the underlying tissue. The median length of newly formed epithelium was 1819.0 μm in the control group and 2183.93–3079.77 μm in the experimental groups (Table 3). Granulation tissue was present throughout the entire wound, with its thickness exceeding the control values by 11.89% in experimental group 1 (p <0.006), 17.01% in group 2 (p <0.001), and 5% in group 3 (p <0.002) (Table 3). It had a typical structure, with longitudinally located collagen fibers with fibroblasts, fibrocytes and a large number of vertical vessels prevailing, as well as isolated focal histiolymphocytic infiltrates were noted.
Table 3. Morphometric indices of skin regeneration on the 14th day experiment (Ме [Q25; Q75])
Indicator | Control group | Experimental group 1 | Experimental group 2 | Experimental group 3 |
Granulation tissue depth, µm | 2216,45 | 2515,56* | 2670,77* | 2339,15* |
Extent of newly formed epithelium (epithelialization), µm | 1819,28 | 3079,77* | 2332,74* | 2183,93* |
* significant differences from the control group (Mann–Whitney U test, p <0.008).
Analysis of intergroup differences in skin wounds on days 7 and 14 showed that in all animals, the scab thickness decreased by 11–16%, the length of the newly formed epithelium increased by more than 30%, the leukocyte infiltrate decreased by 48–60%, and the granulation depth increased by more than 98%.
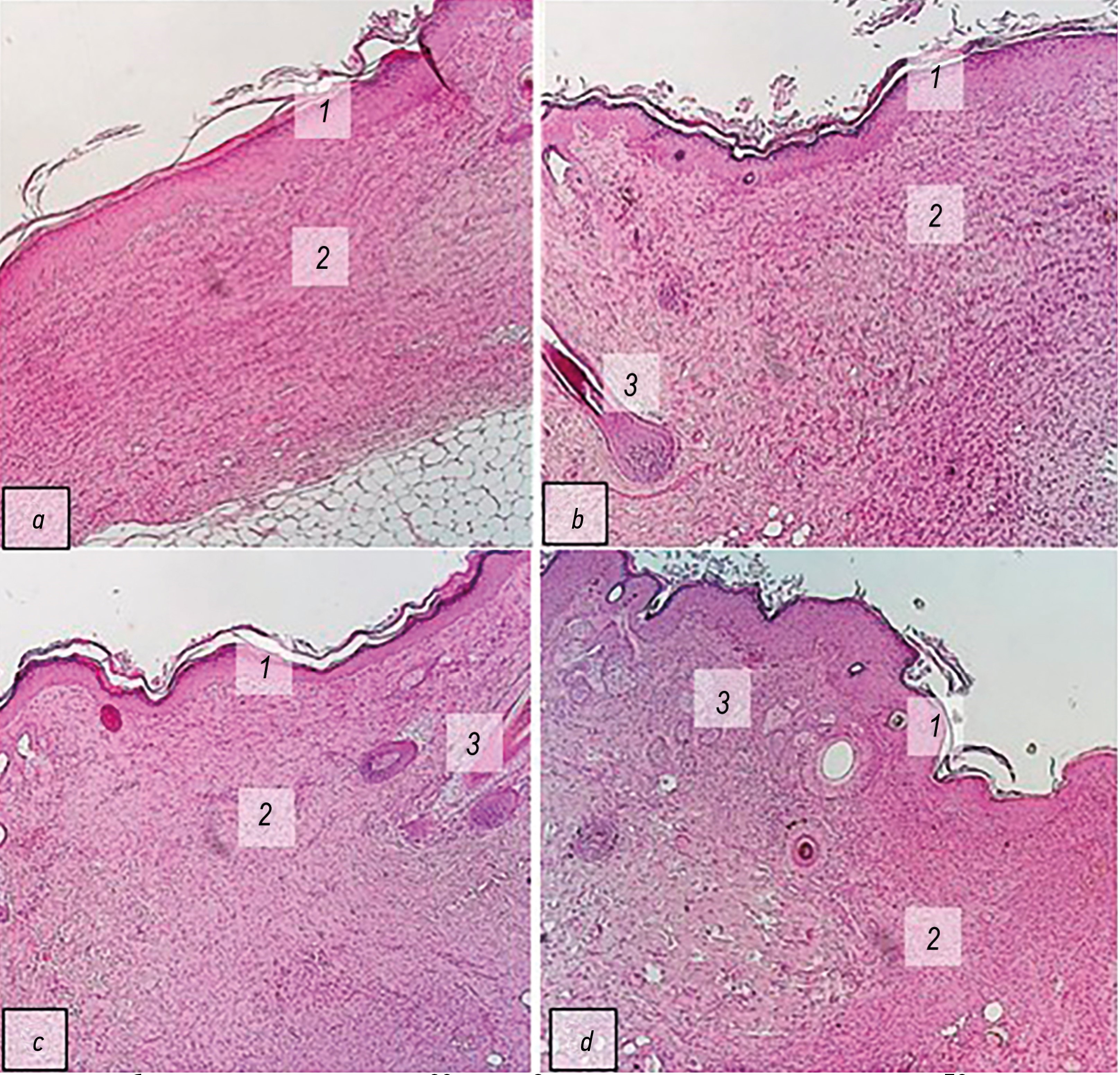
Fig. 1. Skin area in the damaged area after 28 days. Hematoxylin and eosin stain, ×50: a — control group; b — experimental group 1; c — experimental group 2; d — experimental group 3; 1 — epithelium in the central part of the regenerate, 2 — connective tissue in the central part of the regenerate, 3 — skin derivatives.
By day 28 of follow-up, the wound defect had been completely closed macroscopically in the animals. The scar was presented as a white strip, which was confirmed histologically (Fig. 1). The peripheral part of the regenerate had signs of normal guinea pig skin. At the same time, the central part of the regenerate in the animals of the control group was represented by newly formed multilayered flat keratinized epithelium with a smoothed papillary pattern, while in the animals of the experimental groups the papillary layer was formed. The thickness of the epithelium in the central part of the regenerate (Table 4) was approximately the same in all groups and was 180.07–195.81 μm (Me); in experimental group 2, this indicator differed significantly from the control and was 153.01 μm (p <0.0005) (Me). Under the epithelium, there was dense connective tissue with parallel collagen fibers and fibroblast differon cells, with a median thickness of 1173.76 μm in the control group and 1541.86–2324.37 μm (p <0.0005) in the experimental groups (Table 4). Skin derivatives (hair, sebaceous glands) were absent in the central part of the regenerate.
Table 4. Morphometric indices of skin wound regeneration on the 28th day of the experiment (Ме [Q25; Q75])
Indicator | Control group | Experimental group 1 | Experimental group 2 | Experimental group 3 |
Epithelium thickness in the central part of the regenerate, µm | 195,81 | 183,02 | 153,01* | 180,07 |
Connective tissue thickness in the central part of the regenerate, µm | 1173,76 | 1541,86* | 1875,95* | 2324,37* |
Extent of epithelium in the scar zone, µm | 2001,11 | 2323,87* | 1467,94* | 1667,02* |
* significant differences from the control group (Mann–Whitney U test, p <0.008).
DISCUSSION
The study showed that the morphological presentation of full-layer skin wound healing differed in the control group and when using aloe extract, hydrosorb gel and their combination.
Application of aloe extract to the wound led to a decrease in inflammatory phenomena, contributed to greater development of granulation tissue by day 7 of follow-up compared to the control. In their study, Y.A. Prakoso et al. also demonstrated a decrease in the inflammatory reaction when using Aloe Vera cream containing aloe components, where in animals, when applying the cream, leukocyte infiltration and the ratio of CD4+/CD8+ lymphocytes in the wound decreased [6]. The antibacterial effect of Aloe Vera was demonstrated in a study of a skin wound infected with Staphylococcus aureus [9]. By day 14 of the experiment, wound epithelialization increased by 69%, and the depth of granulation tissue increased by 13% compared to the control. By day 28 of follow-up, complete healing of the wound was noted. Its central part was represented by a multilayered squamous keratinizing epithelium, with a significant thickness of scar connective tissue under it. The active components of Aloe vera, such as aloesin, aloin and emodin, are known to activate the expression of growth factors in fibroblasts (transforming growth factor β1, fibroblast growth factor, etc.), increase the proliferation of keratinocytes, which has a beneficial effect on wound regeneration [5, 10].
Application of hydrogel to the wound surface led not only to a decrease in inflammatory (leukocyte) infiltration by 19.7%, but also to an increase in wound epithelialization by 16.6% compared to the control on day 7 of the experiment. By day 14 of follow-up, the length of the epithelium increased by 28.2%, and the depth of mature granulation tissue increased by 20.5%. On day 28, the central part of the wound defect was represented by a scar covered with epithelium, where active remodeling processes into dense unformed connective tissue occurred. Hydrosorb gel is a multicomponent gel that includes synthetic polymers such as carboxymethylcellulose, hydroxyethylcellulose, accelerating the regeneration of skin wounds [11]. According to literary data, the wound healing effect of cellulose derivatives is due to their ability to influence the migration and proliferation of fibroblasts due to the release of fibroblast growth factors, as well as the proliferation of epithelial cells due to the epidermal growth factor [12].
The layered application of aloe extract and hydrosorb gel significantly accelerated the regeneration of the skin wound on day 7 of the experiment, which is confirmed by a decrease in the inflammatory reaction, the development of granulation tissue and the length of the newly formed epithelium. This trend persists throughout the experiment and ends with a significant transformation of the scar thickness into a dense fibrous unformed tissue with skin appendages. Most probably, such changes are associated with the combined wound-healing effect of two drugs affecting different components of the regeneration process.
It is worth noting that in all study groups, connective tissue remodeling was not completed by the end of the experiment, but this process was more active when using hydrogel and layered application of drugs.
CONCLUSION
The study showed a difference in the morphological presentation of full-layer skin wound regeneration when using aloe extract, hydrosorb gel and their combination. In the early stages of the experiment, the use of agents decreased the inflammatory reaction, accelerated the formation of granulation tissue, induced partial epithelialization of the wound; however more pronounced signs of wound healing were noted with the layered application of aloe extract and hydrogel. By the end of the experiment, all animals had a complete closure of the wound defect with the formation of a scar. In all experimental groups of the study, signs of skin remodeling (formation of papillary and reticular layers of the dermis with the rudiments of skin appendages) were noted, most pronounced when using hydrosorb gel and its combination with aloe extract.
Thus, morphological analysis showed that the use of aloe extract, hydrosorb gel and their combination accelerates the wound healing processes of full-layer skin wounds in the experiment.
ADDITIONAL INFORMATION
Funding source. This study was not supported by any external sources of funding.
Competing interests. The authors declare that they have no competing interests.
Authors’ contribution. All authors made a substantial contribution to the conception of the work, acquisition, analysis, interpretation of data for the work, drafting and revising the work, final approval of the version to be published and agree to be accountable for all aspects of the work. T.M. Cherdantseva — concept and design research, literature review, collection and processing of material, writing and editing the text of the article; A.V. Fedoseev — concept and design research, collection and processing of material, writing and editing the text of the article; A.S. Inyutin — design research, collection of material, writing and editing the text of the article; M.S. Nekrasova — literature review, collection and analysis of literary sources, collection and processing of material, preparation and writing of the article; A.A. Kachkurkina — literature review, collection and analysis of literary sources, collection and processing of material, editing the text of the article; I.A. Antoshkin — design research, collection and processing of material, editing the text of the article.
ДОПОЛНИТЕЛЬНАЯ ИНФОРМАЦИЯ
Источник финансирования. Авторы заявляют об отсутствии внешнего финансирования при проведении исследования.
Конфликт интересов. Авторы декларируют отсутствие явных и потенциальных конфликтов интересов, связанных с публикацией настоящей статьи.
Вклад авторов. Все авторы подтверждают соответствие своего авторства международным критериям ICMJE (все авторы внесли существенный вклад в разработку концепции, проведение исследования и подготовку статьи, прочли и одобрили финальную версию перед публикацией). Наибольший вклад распределён следующим образом: Т.М. Черданцева — концепция и дизайн исследования, обзор литературы, сбор и обработка материала, написание и редактирование текста статьи; А.В. Федосеев — концепция и дизайн исследования, сбор и обработка материала, написание и редактирование текста статьи; А.С. Инютин — дизайн исследования, сбор материала, написание и редактирование текста статьи; М.С. Некрасова — обзор литературы, сбор и анализ литературных данных, сбор и обработка материала, подготовка и написание текста статьи; А.А. Качкуркина — обзор литературы, сбор и анализ литературных источников, сбор и обработка материала, редактирование текста статьи; Я.А. Антошкин — дизайн исследования, сбор и обработка материала, редактирование текста статьи.
About the authors
Tatiana M. Cherdantseva
Ryazan State Medical University
Email: cherdan.morf@yandex.ru
ORCID iD: 0000-0002-7292-4996
SPIN-code: 3773-8785
MD, Dr. Sci. (Medicine), Assistant Professor
Russian Federation, 9 Vysokovol'tnaja street, 390026 Rjazan'Andrey V. Fedoseev
Ryazan State Medical University
Email: hirurgiarzn@gmail.com
ORCID iD: 0000-0002-6941-1997
SPIN-code: 6522-1989
MD, Dr. Sci. (Medicine), Professor
Russian Federation, 9 Vysokovol'tnaja street, 390026 Rjazan'Alexander S. Inyutin
Ryazan State Medical University
Email: aleksandr4007@rambler.ru
ORCID iD: 0000-0001-8812-3248
SPIN-code: 7643-9022
MD, Dr. Sci. (Medicine), Assistant Professor
Russian Federation, 9 Vysokovol'tnaja street, 390026 Rjazan'Marina S. Nekrasova
Ryazan State Medical University
Email: marinanekrasova555@gmail.com
ORCID iD: 0000-0001-8178-6014
SPIN-code: 2035-8060
Russian Federation, 9 Vysokovol'tnaja street, 390026 Rjazan'
Antonina A. Kachkurkina
Ryazan State Medical University
Email: mifffka_08@mail.ru
ORCID iD: 0009-0005-9523-6896
SPIN-code: 5877-1753
Russian Federation, 9 Vysokovol'tnaja street, 390026 Rjazan'
Iaroslav A. Antoshkin
Ryazan State Medical University
Author for correspondence.
Email: hoogs@mail.ru
ORCID iD: 0009-0001-6309-3350
SPIN-code: 8937-8653
Russian Federation, 9 Vysokovol'tnaja street, 390026 Rjazan'
References
- Elangwe CN, Morozkina SN, Olekhnovich RO, et al. Pullulan-based hydrogels in wound healing and skin tissue engineering applications: a review. Int J Mol Sci. 2023;24(5):4962. doi: 10.3390/ijms24054962
- Firlar I, Altunbek M, McCarthy C, et al. Functional hydrogels for treatment of chronic wounds. Gels. 2022;8(2):127. doi: 10.3390/gels8020127
- Francesko A, Petkova P, Tzanov T. Hydrogel dressings for advanced wound management. Curr Med Chem. 2018;25(41):5782–5797. doi: 10.2174/0929867324666170920161246
- Bubenchikova VN, Malyutina AYu, Zatolokina MA, et al. The morphological characteristic of the current of the wound process at treatment of the experimental infected wound by gel with the achyrophorus maculatus L. Dense extract. Modern Problems of Science and Education. 2013;(3):363. EDN: RPOOEF
- Sánchez M, González-Burgos E, Iglesias I, Gómez-Serranillos MP. Pharmacological update properties of Aloe vera and its major active constituents. Molecules. 2020;25(6):1324. doi: 10.3390/molecules25061324
- Prakoso YA, Kurniasih. The effects of Aloe vera cream on the expression of CD4+ and CD8+ lymphocytes in skin wound healing. J Trop Med. 2018;2018:6218303. doi: 10.1155/2018/6218303
- Savchenko YuP, Fedosov SR. Methods of determination of sizes of the wound surface. Grekov’s Bulletin of Surgery. 2007;166(1):102–105. EDN: ISVFLL
- Shestakova VG, Banin VV, Bazhenov DV. Morphometry and mathematical modeling of the regenerative process of a full-thickness skin wound during stimulated angiogenesis. Medical Science and Education of Ural. 2022;23(1):200–203. EDN: NZIDPW doi: 10.36361/1814-8999-2022-23-1-200-203
- Prakoso YA, Setiyo Rini C, Wirjaatmadja R. Efficacy of Aloe vera, Ananas comosus, and Sansevieria masoniana cream on the skin wound infected with MRSA. Adv Pharmacol Sci. 2018;2018:4670569. doi: 10.1155/2018/4670569
- Teplicki E, Ma Q, Castillo DE, et al. The effects of Aloe vera on wound healing in cell proliferation, migration, and viability. Wounds. 2018;30(9):263–268.
- Nikitin VG. Innovation methods for local wound treatment. Diabetes Mellitus. 2007;(3):69–73. (In Russ.) EDN: ICFNVF doi: 10.14341/2072-0351-6003
- Alven S, Aderibigbe BA. Chitosan and cellulose-based hydrogels for wound management. Int J Mol Sci. 2020;21(24):9656. doi: 10.3390/ijms21249656
Supplementary files



