Phylogenetic aspects of cloacal epithelium development in vertebrates
- Authors: Komarova A.S.1, Odintsova I.A1
-
Affiliations:
- Kirov Military Medical Academy
- Issue: Vol 162, No 4 (2024)
- Pages: 362-373
- Section: Original Study Articles
- URL: https://journal-vniispk.ru/1026-3543/article/view/288230
- DOI: https://doi.org/10.17816/morph.634265
- ID: 288230
Cite item
Abstract
BACKGROUND: The study of embryonic tissue and organ development from the perspective of comparative evolutionary histology enables the tracing of gradual changes in histogenetic processes and their continuity among vertebrate species. Data on the phylogenetic aspects of cloacal epithelium development remain fragmentary. Data on the histological structure of the epithelial lining of the anorectal canal (ARC) and cloacal subdivisions in embryogenesis across vertebrates (amphibians, birds, mammals) and humans are scarce in the scientific literature, with only a few published studies available. Research in this area is of particular relevance as it contributes to refining the theory of critical periods of embryogenesis and understanding the mechanisms of congenital malformations in humans.
AIM: To provide a comparative morphological characterization of the epithelial lining of the cloaca in cloacal vertebrates and the epithelial lining of the anorectal part of the digestive tract in rat and human embryos, based on the concept of heteromorphy.
METHODS: A single-center, observational, retrospective, uncontrolled study was conducted. The study material included the caudal region of the ARC in cloacal vertebrates (adult frogs, 13-day-old chicken embryos) and mammals (rat embryos at 9, 15, and 18 days of development). Additionally, histological specimens of human embryos (7–8 weeks of intrauterine development) were analyzed. Samples were fixed, dehydrated in alcohol, embedded in paraffin, and sectioned for Hematoxylin and Eosin staining, as well as Feulgen staining. Statistical analysis was performed, including calculations of the mean (M) and standard error of the mean (m).
RESULTS: The study revealed that different parts of the cloaca in vertebrates exhibit morphometric differences in their epithelial lining. The urinary part of the cloaca in vertebrates with a cloaca and chicken embryos is characterized by a heteromorphic structure. In mammalian embryogenesis (rat embryos), the formation of the cloacal membrane involves interacting histological systems derived from various embryonic primordia, including the peridermal epithelium, the allantoic epithelium adjacent to the periderm, and the gut-type epithelium of the hindgut. In human antenatal development, ARC formation is marked by the emergence of interaction zones between epithelial layers, which differ in structure and tinctorial properties.
CONCLUSION: Comparative analysis indicates that the embryogenesis of vertebrates, particularly in rats and humans, exhibits specific similarities in the composition of the epithelial lining of the ARC and the cloacal epithelium of amphibians and birds. The bilayered urothelium-like epithelium serves as a transient structure during embryonic development.
Full Text
ОБОСНОВАНИЕ
В филогенезе позвоночных животных задний отдел кишечной трубки претерпевает ряд сложных морфогенетических изменений, которые связаны с развитием мочеполовой системы и образованием клоаки [1–4]. Процесс формирования кишечной трубки характеризуется сложными гистогенетическими взаимоотношениями между клетками, тканями и органами каудального отдела зародыша [5–8]. Ткани развиваются из разных эмбриональных зачатков, в том числе из материала клоаки. Клоака — это расширенная конечная часть задней кишки у некоторых позвоночных: отдельные виды рыб, амфибии, рептилии и птицы [5, 9–11]. У млекопитающих и человека клоака непродолжительное время присутствует на ранних сроках внутриутробного развития [5, 12–14].
Известно, что клоака амфибий и птиц представляет собой концевую расширенную часть кишечника и делится на три анатомических отдела: передний — coprodeum (прямокишечный), отделённый от прямой кишки сфинктером; средний — urodeum (мочеполовой); каудальный — proctodeum. У птиц передний отдел (coprodeum) является продолжением толстой кишки. Средний отдел клоаки птиц (urodeum) короче, чем передний, и в его дорсолатеральную часть впадают мочеполовые протоки. Конечный отдел клоаки открывается наружу анальным отверстием, в стенке которого расположен сфинктер, образованный поперечнополосатой мышечной тканью. У птиц в конечный отдел клоаки (proctodeum) открывается ещё и проток клоакальной (фабрициевой) сумки. У самцов с клоакой связан орган совокупления [3, 10].
При формировании клоаки позвоночных важное значение имеют клоакальная перепонка (КП) и периклоакальная мезенхима. Клоакальная перепонка формируется в результате взаимодействия эпителия перидермы, эпителия аллантоиса и эпителия кишечного типа задней кишки. Затем КП разрывается, что обеспечивает связь урогенитального и аноректального каналов с внешней средой [5, 8]. Периклоакальные мезенхимные клетки, различающиеся по плотности в разных участках клоаки, влияют на региональный рост клеток, лежащий в основе разделения клоаки. У млекопитающих формируется клоака, которую можно считать временной (провизорной) частью нормального морфогенеза. В процессе развития клоака разделяется на мочеполовой синус (МПС) и аноректальный канал (АРК) [15–17]. Существуют разные гипотезы разделения клоаки у позвоночных и человека на ректальную и мочеполовую части [8]. Было установлено, что у человека на 5-й неделе эмбриогенеза клоака разделяется уроректальной перегородкой на вентральный и дорсальный отделы. В дальнейшем из вентрального отдела образуется МПС — урогенитальный синус и зачаток мочевого пузыря, а дорсальный отдел даёт начало прямой кишке [5]. Считается, что развитие клоаки тесно связано с развитием аллантоиса и вопрос о тканевой природе выстилки эмбриональной клоаки ещё окончательно не решён. Информация о филогенетических аспектах развития эпителиев клоаки позвоночных носит фрагментарный характер. Сведения о гистологической структуре эпителиальной выстилки анатомических отделов АРК и частей клоаки в эмбриогенезе у разных представителей позвоночных (амфибий, птиц, млекопитающих) и человека встречаются в научной литературе в единичных случаях [1, 3, 8, 15]. Между тем, исследования в этом направлении актуальны, поскольку способствуют уточнению теории критических периодов эмбриогенеза и объяснению механизмов формирования таких пороков развития человека, как персистирующая клоака и аноректальные свищи.
Цель исследования — с позиции учения о гетероморфии представить сравнительную морфологическую характеристику эпителиальной выстилки клоаки у клоачных позвоночных и эпителиальной выстилки аноректальной части пищеварительной трубки у эмбрионов крысы и человека.
МАТЕРИАЛЫ И МЕТОДЫ
Дизайн исследования
Проведено обсервационное одноцентровое ретроспективное неконтролируемое исследование. Материалом для исследования служили: клоака взрослых амфибий — постличиночная стадия лягушки (n=10); клоака эмбрионов птицы — домашняя курица на 13-е сутки развития (n=10); анальный канал эмбрионов крысы — на 9-е (n=10), 15-е (n=10) и 18-е сутки развития (n=10); каудальная часть эмбрионов человека на 7–8 неделе внутриутробного развития (гистологические препараты из архива кафедры гистологии с курсом эмбриологии Военно-медицинской академии имени С.М. Кирова, 6 эмбрионов, по 10 препаратов с каждого эмбриона). Взрослых особей (постличиночная стадия развития) Лягушки травяной отлавливали самостоятельно в летнее время. Куриные яйца приобретены на птицефабрике «РОСКАР» (Ленинградская область, посёлок Первомайский). Инкубацию яиц проводили в выводном инкубаторе Rcom Maru 380 Hatcher/Brooder Deluxe (Южная Корея). Эмбрионы лабораторных белых крыс получены в условиях сертифицированного вивария. Материал для гистологического исследования фиксировали в 10% забуференном растворе формалина, обезвоживали в дегидратирующем растворе Изопрепа (БиоВитрум, Россия) и заливали в парафин. Срезы толщиной 5 мкм изготавливали на ротационном микротоме Sakura Accu-Cut SRM 200 (Япония) и окрашивали гематоксилином и эозином. Для кариометрического анализа срезы окрашивали по методу Фельгена и заключали в Витрогель (БиоВитрум, Россия).
Критерии соответствия
В работе использовали животных без видимых аномалий.
Условия проведения
Исследование проведено на базе кафедры гистологии с курсом эмбриологии Военно-медицинской академии имени С.М. Кирова (Санкт-Петербург, Россия) и сертифицированного вивария Государственного научно-исследовательского испытательного института военной медицины МО РФ (Санкт-Петербург, Россия).
Продолжительность исследования
Исследование выполнялось в течение 11 месяцев (с ноября 2023 г. по сентябрь 2024 г.).
Описание медицинского вмешательства
К половозрелым самкам крыс (n=10) в стадии проэструса либо раннего эструса в вечернее время подсаживали самцов (n=5). Для установления беременности и определения точного срока эмбриогенеза проводили анализ влагалищных мазков. День обнаружения сперматозоидов в мазке принимали за первый день беременности. Для извлечения эмбрионов беременным самкам крыс проводили лапаротомию после внутримышечного введения смеси тилетамина и золазепама (препарат Золетил 50®, 10 мг/кг; Virbac, Франция) и ксилазина (10 мг/ кг; Pharmamagist Ltd., Венгрия).
Основной исход исследования
Выявление филогенетических параллелей в строении эпителиальной выстилки клоаки у клоачных позвоночных и аноректальной части пищеварительной трубки у эмбрионов млекопитающих (крыса, человек).
Анализ в группах
Анализировали гистологические препараты шести групп сравнения: клоака лягушек; клоака эмбрионов курицы на 13-е сутки развития; аноректальный канал эмбрионов крысы — 9, 15 и 18 суток развития; аноректальный канал эмбрионов человека 7–8 недель внутриутробного развития.
Методы регистрации исходов
Измерения проводили на микроскопе Zeiss Axio Scope.A1 (Carl Zeiss, Германия) с помощью программы ZEN 2.3 (Zeiss Efficient Navigation; Carl Zeiss, Германия) при увеличении объектива х40, х100 (масляная иммерсия), окуляр х10. Измеряли кариометрические характеристики — длинную и короткую оси ядра эпителиоцитов в разных частях клоаки и АРК. Эксцентриситет (Эц) ядер рассчитывали по формуле:
Эц=Д÷К (1)
где Д — длинная ось ядра, К — короткая ось ядра.
Всего подсчитано 8578 ядер, из них: в клетках лягушки — 1500 ядер, куриных эмбрионов — 1418 ядер, эмбрионов крысы — 4760 ядер, эмбрионов человека — 900 ядер. Общее количество измерений толщины эпителиального пласта — 10 на каждом изучаемом участке среза, на каждом срезе просматривали по 2 поля зрения.
Статистический анализ
Статистическую обработку полученных кариометрических данных проводили с использованием компьютерной программы Statistic 10 (Statsoft Inc., США). В каждой зоне измерения рассчитывали среднее арифметическое (М) и стандартную ошибку среднего (m), данные представлены в виде М±m. Для определения значимости различий между группами использовали t-критерий Стьюдента. Уровень статистической значимости различий p <0,05.
РЕЗУЛЬТАТЫ
Объекты исследования
Объектом исследования служили клоака клоачных позвоночных и аноректальный канал млекопитающих и эмбрионов человека.
Основные результаты исследования
У травяных лягушек клоака является наиболее каудально расположенным участком кишечника. Форма клоаки преимущественно округлая, диаметр колеблется от 3 до 5 мм в зависимости от размера особи. На гистологических препаратах клоаки можно выделить три гистотопографические части с различающейся эпителиальной выстилкой — кишечная часть (coprodeum), мочевая часть (urodeum) и кожная часть (proctodeum), которая оканчивается заднепроходным отверстием (анусом). Части клоаки можно определить с помощью лупы, границами являются складки, образованные тканями стенки органа.
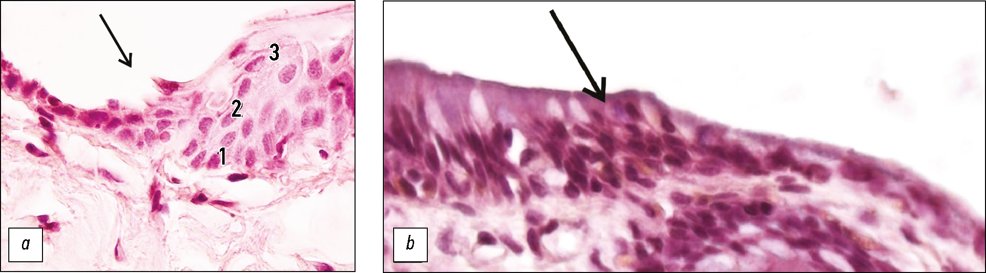
Кожная часть клоаки (proctodeum) покрыта многорядным эпителием, состоящим из трёх слоёв: базального, парабазального и поверхностного. Общая толщина эпителия составляет в среднем 55,74±4,99 мкм. Базальные клетки имеют чёткую вертикальную ориентацию и характерную столбчатую форму ядер. Ориентация парабазальных клеток постепенно приобретает горизонтальное направление, при этом размеры ядер меняются мало. Поверхностные уплощённые клетки ориентированы параллельно базальной мембране.
Мочевая часть клоаки (urodeum) покрыта двуслойным многорядным эпителием, который в анальном (каудальном) направлении контактирует с кожным, а в краниальном направлении — с кишечным эпителием (рис. 1). Толщина эпителия здесь в 1,62 раза меньше, чем в кожной части клоаки и в среднем составляет 34,34±0,41 мкм. Эпителий характеризуется гетероморфией клеток, которая проявляется в различиях формы ядер и ориентации длинной оси ядер относительно базальной мембраны. Базальные клетки имеют округлую форму ядер. Ядра парабазальных эпителиоцитов (два слоя клеток) гиперхромные и преимущественно имеют вытянутую форму: длинная ось ядра — 9,83±0,86 мкм, короткая — 6,24±0,75 мкм. Ядра парабазальных клеток характеризуются более крупными размерами, по сравнению с базальными эпителиоцитами.
Рис. 1. Клоака лягушки — зоны взаимодействия эпителиев (указаны стрелками): a — эпителий кожной и мочевой части клоаки, 1 — базальные эпителиоциты, 2 — парабазальные эпителиоциты, 3 — поверхностные эпителиоциты; b — эпителий мочевой и кишечной части клоаки. Окраска гематоксилином и эозином, увеличение ×400.
Fig. 1. Epithelial interaction zones (indicated by arrows) of cloaca in frog: a, epithelium of the cutaneous and urinary parts of the cloaca; 1, basal epithelial cells; 2, parabasal epithelial cells; 3, superficial epithelial cells; b, epithelium of the urinary and intestinal parts of the cloaca. Hematoxylin and eosin staining, ×400 magnification.
Кишечная часть клоаки (coprodeum) выстлана однослойным столбчатым эпителием с единичными бокаловидными клетками. Основные клетки этого эпителия — колоноциты имеют столбчатую форму и овоидные ядра. Толщина эпителия в этой части клоаки составляет 47,01±3,96 мкм. В области контакта мочевой части с кишечной формируется заметная линия разграничения. По мере приближения к толстой кишке начинают появляться эпителиальные инвагинации — крипты. Кариометрическая характеристика эпителиоцитов клоаки Лягушки травяной представлена в табл. 1. Результаты морфологического и кариометрического анализа тканевых элементов эпителиальной выстилки клоаки амфибий позволяют сделать вывод о наличии гетероморфии клеточного состава. Видимые на гистологических препаратах чёткие линии разграничения между эпителиями разных частей клоаки указывают на развитие эпителиальной выстилки из разных гистогенетических источников.
Таблица 1. Кариометрические показатели эпителиоцитов в разных частях клоаки и аноректального канала у позвоночных животных
Table 1. Karyometric parameters of epithelial cells in different parts of the cloaca and anorectal canal in vertebrates
Животные | Эпителиоциты | Оси ядра | Кожная часть | Эц | Мочевая часть # | Эц | Кишечная часть (колоноциты) | Эц |
Лягушка травяная | Базальные | Д | 8,86±0,65 | 1,9 | 6,82±0,57 | 1,1 | 8,52±0,96 | 2,7 |
К | 4,63±0,42 | 5,86±0,44 | 3,10±0,23 | |||||
Парабазальные | Д | 7,56±0,94 | 2,2 | 9,83±0,86 | 1,6 | – | – | |
К | 3,32±0,16 | 6,24±0,75 | ||||||
Поверхностные | Д | 8,24±0,75 | 2,2 | – | – | – | – | |
К | 3,72±0,22 | |||||||
Куриный эмбрион (13 суток развития) | Базальные | Д | 5,10±0,40* | 1,0* | 6,80±0,51 | 1,1 | 8,24 ± 1,29* | 2,9 |
К | 4,82±0,41 | 5,93±0,32 | 2,84 ± 0,96* | |||||
Парабазальные | Д | 7,01±0,55 | 1,1* | 6,12±0,48* | 1,1* | – | – | |
К | 6,27±0,52* | 5,44±0,40* | ||||||
Поверхностные | Д | 4,78±0,39* | 2,2 | 5,72±0,04 | 1,5 | – | – | |
К | 2,22±0,19* | 3,83±0,22 | ||||||
Эмбрион крысы (15 суток развития) | Базальные | Д | 4,50±0,60 | 1,2 | 6,50±0,46* | 1,1 | 8,52 ±0,22* | 2,9 |
К | 3,57±0,77* | 5,72±0,22* | 2,92 ±0,42* | |||||
Парабазальные | Д | 8,95±0,48* | 1,5 | 8,52±0,32* | 1,5 | – | ||
К | 5,72±0,24 | 5,68±0,19* | ||||||
Поверхностные | Д | 7,83±0,18* | 2,2 | 2,81±0,41* | 1,5 | – | ||
К | 3,54±0,32 | 1,79±0,39* |
Примечание. Д — длинная ось ядра; К — короткая ось ядра; Эц — эксцентриситет; # — у крыс мочевая часть соответствует переходной части аноректального канала. Данные представлены в микрометрах в виде M±m, где M — среднее арифметическое значение, m — стандартная ошибка среднего; * — статистически значимые различия (р <0,05) при сравнении двух соседних групп животных по одноимённым эпителиоцитам.
Note. D, long axis of the nucleus; K, short axis of the nucleus; Ec, eccentricity; #, in rats, the urinary part corresponds to the transitional zone of the anorectal canal. Data are presented in micrometers as M ± m, where M is the arithmetic mean and m is the standard error of the mean; *, statistically significant differences (p < 0.05) between two adjacent groups of animals for the same epithelial cell type.
Клоака у куриных эмбрионов представляет собой небольшое мешковидное образование, состоящее, как и у амфибии, из трёх частей: кишечной (coprodeum), мочевой (urodeum) и кожной (proctodeum). Как и у лягушки, на границе между кишечной и мочевой частями клоаки, а также между мочевой и кожной частями, заметны достаточно чёткие линии разграничения между различными видами эпителиев, без плавных переходов (рис. 2). В кожной части клоаки стенка выстлана многослойным эпителием с признаками ороговения в углублениях. Мочевая часть клоаки выстлана двуслойным эпителием, толщина которого составляет в среднем 17,17±1,97 мкм. Базальные клетки содержат разнообразные по форме и ориентации ядра, эпителиоциты поверхностного слоя имеют преимущественно вытянутую форму ядра. Кишечная часть клоаки выстлана однослойным столбчатым эпителием, который формирует достаточно широкие крипты глубиной 60,10±0,57 мкм. Основным диффероном являются колоноциты. По направлению к толстой кишке в эпителии начинают появляться отдельные бокаловидные клетки. Кариометрическая характеристика эпителиоцитов выстилки клоаки куриных эмбрионов на 13-е сутки развития представлена в табл. 1. Таким образом, на данной стадии развития у куриного эмбриона выявляются все три части клоаки, которые выстланы эпителиями разного строения. Чёткие границы между этими эпителиями свидетельствуют об их различном генетическом происхождении.
Рис. 2. Клоака куриного эмбриона на 13-е сутки развития — зоны взаимодействия эпителиев (указаны стрелками): a — эпителий кожной и мочевой части клоаки; b — эпителий мочевой и кишечной части клоаки. Окраска гематоксилином и эозином, увеличение ×400.
Fig. 2. Epithelial interaction zones (indicated by arrows) of cloaca in a 13-day-old chicken embryo: a, epithelium of the cutaneous and urinary parts of the cloaca; b, epithelium of the urinary and intestinal parts of the cloaca. Hematoxylin and eosin staining, ×400 magnification.
У эмбрионов крысы на 9 сутки развития в каудальной части визуализируются клоака и клоакальная перепонка. На серийных срезах выявляется разделение клоаки на мочеполовой синус и аноректум, между которыми находится уроректальная складка (рис. 3, а). Выстилка КП многослойная (рис. 3, b). В составе дорсальной части КП находится тяж базофильных клеток, которые отсутствуют в её вентральной части. Под базальной мембраной в области КП мезенхимоциты формируют две области — с компактным и рыхлым (на удалении от базальной мембраны) расположением клеток. Обращает на себя внимание ориентация длинной оси мезенхимоцитов относительно базальной мембраны, а также гиперхромная окраска их ядер по сравнению с ядрами клеток более глубоких слоёв. Вектор длинной оси мезенхимоцитов, расположенных ближе к базальной мембране, направлен параллельно мембране или в её сторону. В глубоких слоях такой закономерности не наблюдается. Насыщенность кровеносными сосудами более выражена в глубоких слоях формирующейся дермы кожи зародыша и в вентральной части КП.
Рис. 3. Клоака эмбриона крысы на 9-е сутки развития: a — разделение клоаки, 1 — клоака, 2 — мочеполовой синус, 3 — аноректум, 4 — уроректальная складка, 5 — клоакальная перепонка. Окраска гематоксилином и эозином, увеличение ×200; b — клоакальная перепонка. Окраска гематоксилином и эозином, увеличение ×1000 (иммерсия).
Fig. 3. Cloaca of a 9-day-old rat embryo: a, cloacal division; 1, cloaca; 2, urogenital sinus; 3, anorectum; 4, urorectal fold; 5, cloacal membrane. Hematoxylin and eosin staining, ×200 magnification; b, cloacal membrane. Hematoxylin and eosin staining, ×1000 magnification (oil immersion).
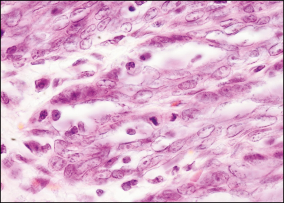
У эмбрионов крысы на 15-е сутки развития уже сформирован аноректальный канал и возникает контакт кожного и кишечного эпителиев. В АРК строение эпителия изменяется при переходе из одной части канала в другую, при этом отсутствует эпителий, сходный с таковым в мочевой части клоаки у клоачных животных. На его месте располагается короткий участок, морфологическая картина которого свидетельствует о дезорганизации многослойного эпителиального пласта (рис. 4). Кариометрические показатели эпителиоцитов кожной и кишечной частей АРК у эмбрионов крысы на 15 сутки развития представлены в табл. 1. На 18-е сутки развития в области контакта кожного и кишечного эпителиев обнаруживается скопление округлых гиперхромных клеток (рис. 5).
Рис. 4. Дезорганизация многослойного эпителия и разрушение эпителиального пласта — эмбрион крысы на 15-е сутки развития. Окраска гематоксилином и эозином, увеличение ×1000 (иммерсия).
Fig. 4. Disorganization of the stratified epithelium and disruption of the epithelial layer in a 15-day-old rat embryo. Hematoxylin and eosin staining, ×1000 magnification (oil immersion).
Рис. 5. Эмбрион крысы на 18-е сутки развития — зона взаимодействия эпителиев кожной и кишечной части аноректального канала (указана стрелкой). Окраска гематоксилином и эозином, увеличение ×400.
Fig. 5. Epithelial interaction zone (indicated by an arrow) between the cutaneous and intestinal parts of the anorectal canal in an 18-day-old rat embryo. Hematoxylin and eosin staining, ×400 magnification.
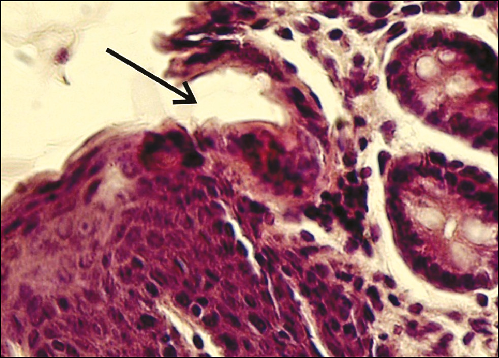
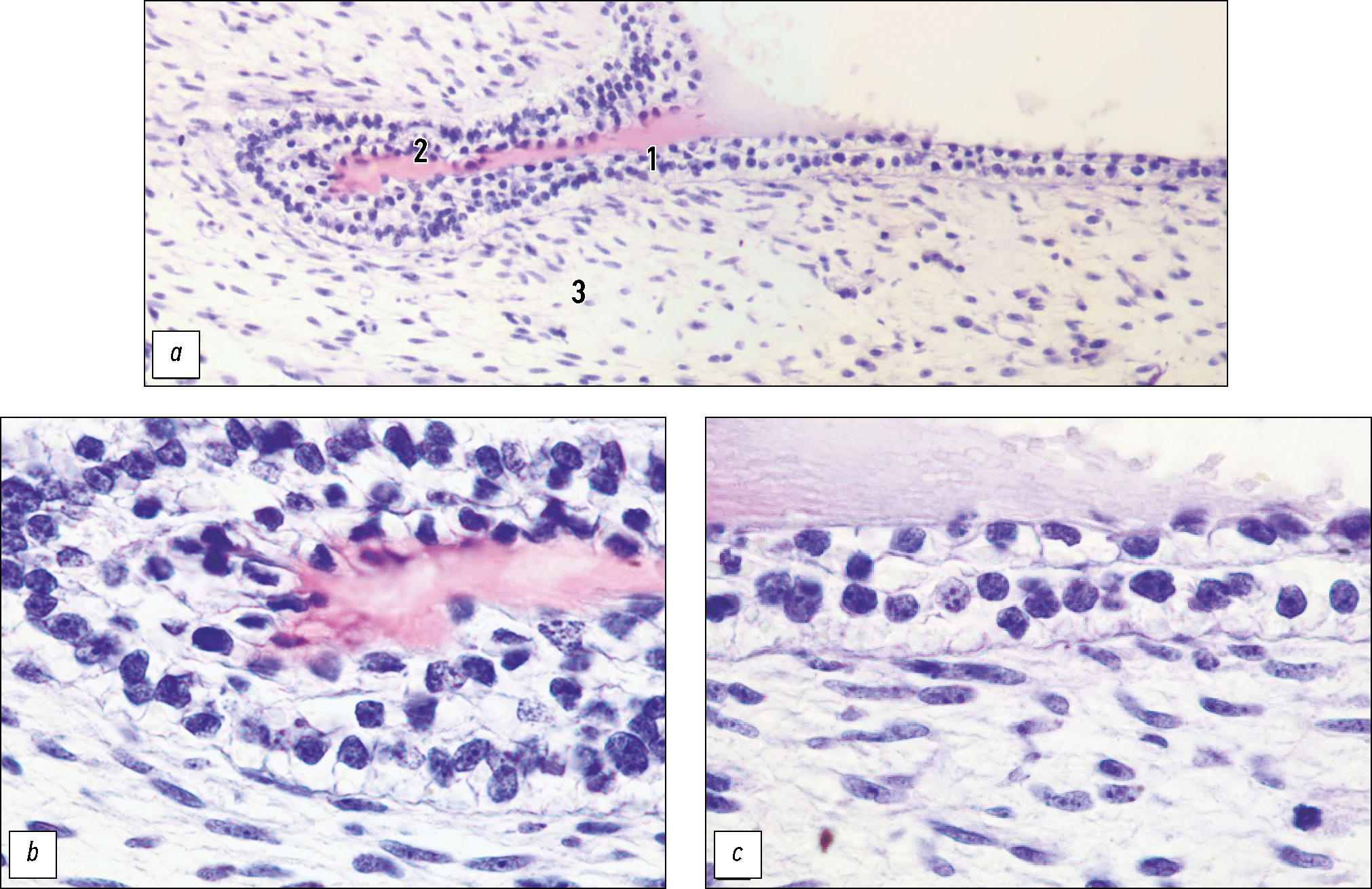
На гистологических препаратах эмбрионов человека на 7–8 неделе развития в области анальной инвагинации и вокруг неё выявляется иная структура клеток перидермы. Цитоплазма всех клеток светлая. Базальные клетки двуслойного эпителия содержат крупные круглые ядра, находящиеся в апикальной части клеток. Ядра эпителиоцитов поверхностного слоя локализуются либо в центре клетки, либо в апикальной её части (рис. 6). Кариометрическая характеристика эпителиоцитов двуслойной зоны эпителиальной инвагинации эмбриона представлена на рис. 7. Эпителиоциты утолщённого донного участка анальной инвагинации также имеют светлую цитоплазму, но характеризуются более выраженной гетероморфией ядер по морфологическим и кариометрическим показателям (рис. 8). Можно предположить, что процесс инвагинации начинается в наименее дифференцированной по строению эпителия части тела эмбриона, то есть в перидерме каудальной области и сопровождается постепенной перестройкой эпителиальной выстилки.
Рис. 6. Анальная инвагинация эмбриона человека на 7-й неделе внутриутробного развития: a — строение, 1 — базальный слой, 2 — оксифильная плёнка, заполняющая просвет, 3 — соединительная ткань; b, c — гетероморфия эпителиоцитов в разных участках анальной инвагинации. Окраска гематоксилином и эозином, увеличение ×1000 (иммерсия).
Fig. 6. Anal invagination in a 7-week-old human embryo: a, structure; 1, basal layer; 2, oxyphilic film filling the lumen; 3, connective tissue; b–c, heteromorphy of epithelial cells in different regions of the anal invagination. Hematoxylin and eosin staining, ×1000 magnification (oil immersion).
Рис. 7. Кариометрическая характеристика двуслойного эпителия в зоне анальной инвагинации эмбриона человека на 7–8 неделе развития. Данные представлены в микрометрах, в виде среднего арифметического значения и стандартной ошибки среднего.
Fig. 7. Karyometric characteristics of the bilayered epithelium in the anal invagination zone of a human embryo at 7–8 weeks of development. Data are presented in micrometers as the arithmetic mean and standard error of the mean.
Рис. 8. Кариометрическая характеристика эпителия глубокого (донного) участка анальной инвагинации эмбриона человека на 7–8 неделе развития. Данные представлены в микрометрах, в виде среднего арифметического значения и стандартной ошибки среднего.
Fig. 8. Karyometric characteristics of the epithelium in the deep (basal) region of the anal invagination of a human embryo at 7–8 weeks of development. Data are presented in micrometers as the arithmetic mean and standard error of the mean.
На основе измерения длинной и короткой осей ядер эпителиоцитов подсчитан эксцентриситет — количественный показатель, описывающий форму ядер. У шаровидных ядер Эц равен 1,0. По мере изменения формы ядра от овоидной к палочковидной значение показателя увеличивается (см. табл. 1 и 2).
Таблица 2. Кариометрическая характеристика двуслойной зоны эпителиальной инвагинации эмбриона человека на 7–8 неделе внутриутробного развития
Table 2. Karyometric characteristics of the bilayered zone of epithelial invagination in a human embryo at 7–8 weeks of intrauterine development
Ядра клеток | Длинная ось ядра, мкм | Короткая ось ядра, мкм | Эц |
Ядра клеток базального слоя | 8,17±0,67 | 6,82±0,62 | 1,1 |
Ядра клеток поверхностного слоя | 7,34±0,64 | 6,35±0,47 | 1,1 |
Примечание. Эц — эксцентриситет. Данные представлены в виде M±m, где M — среднее арифметическое значение, m — стандартная ошибка среднего.
Note. Data are presented as M ± m, where M is the arithmetic mean and m is the standard error of the mean; Ec, eccentricity.
ОБСУЖДЕНИЕ
Резюме основного результата исследования
В процессе развития эпителиальной выстилки клоаки у амфибий и птиц, а также АРК у млекопитающих формируются зоны взаимодействия эпителиев с различной гистологической дифференцировкой, в которых отчётливо видны межэпителиальные границы. Это свидетельствует об эволюционной преемственности гистогенетической дифференцировки эпителиев выстилки клоаки и АРК у животных разного филогенетического возраста.
Обсуждение основного результата исследования
Наиболее существенные и эволюционно обоснованные гисто- и органогенетические изменения в строении каудального отдела пищеварительной трубки произошли у млекопитающих и человека [1–3]. Результаты сравнительной характеристики эпителиальной выстилки клоаки клоачных позвоночных и развития эпителиев АРК у представителя плацентарных млекопитающих (крысы) и у человека свидетельствуют об эволюционной преемственности гистогенетической дифференцировки эпителиев. При изучении тканевого строения клоаки у взрослых клоачных позвоночных (амфибия) и в процессе эмбриогенеза (птица) установлено, что эпителиальная выстилка характеризуется следующими особенностями: в кожной части клоаки — эпителий многослойный плоский, в мочевой части — двуслойный многорядный, в кишечной части — однослойный столбчатый. Между частями клоаки в эпителиальной выстилке существуют выраженные линии разграничения, без плавных переходов. Мочевая часть клоаки у лягушек на постличиночной стадии и у эмбрионов птиц имеет сходные кариометрические особенности эпителиоцитов. Одним из объективных количественных показателей, позволяющих оценить форму клеточных ядер, является эксцентриситет. С его помощью легко проследить динамику формы клеточного ядра от шаровидной до уплощённой. У амфибии Эц колеблется от 1,1 в мочевой части клоаки до 2,7 в кишечной. Наиболее приближёнными к шаровидной форме оказались ядра клеток в мочевой части. Эц ядер мочевой части клоаки куриных эмбрионов и двуслойной выстилки анальной инвагинации эмбрионов человека имеет сходные значения.
На определённом этапе эмбрионального гистогенеза у крыс в зоне контакта двух гистогенетически различных эпителиев (кожного и кишечного) появляется участок с характерными дегенеративными изменениями многослойной эпителиальной выстилки. Это временное (провизорное) явление, поскольку на позднем сроке эмбрионального развития в этой области сохраняется лишь небольшое скопление гиперхромных клеток, а в аноректуме взрослых крыс они не обнаруживаются совсем [5]. Согласно имеющимся публикациям, места сближения эпителиев разных генетических типов (например, переход пищевода в желудок, маточно-вагинальный тракт и др.) характеризуются большим разнообразием взаимоотношений между тканями и эти гистологические особенности не до конца раскрыты [5, 6, 16]. По нашему мнению, филогенетический аспект развития клоаки и одного из её производных — аноректального канала, является важной составной частью современной концепции о провизорности тканевых структур [11]. Развитие эпителиальной выстилки аноректума позвоночных и человека является результатом сложных гистогенетических перестроек в заднем отделе пищеварительной трубки, связанных с развитием мочеполовой системы и образованием клоаки в филогенезе позвоночных животных и онтогенезе млекопитающих. Двуслойный уротелиоподобный эпителий в составе клоаки является провизорным образованием. Исследования развития и трансформации тканей и органов, а также анализ роли феномена провизорности в процессе становления механизмов морфогенеза особенно актуальны в связи с выявлением новых временных (провизорных) структур на разных этапах эмбриогенеза. Результаты проведённого исследования позволяют предположить, что в ходе эволюции у клоачных животных и млекопитающих постепенно изменялся ход развития эпителиальной выстилки клоаки, а у высших позвоночных и человека гистологические структуры мочевой части клоаки приобрели провизорный характер.
Ограничения исследования
Наиболее существенные и эволюционно обоснованные гисто- и органогенетические изменения в строении каудального отдела пищеварительной трубки произошли у млекопитающих и человека. Ни одна из гипотез, трактующих механизм разделения клоаки на маточно-уретральную и аноректальную части, полностью не объясняет этот сложный процесс.
ЗАКЛЮЧЕНИЕ
Таким образом, клоака амфибий и птиц, а также аноректальный канал у эмбрионов млекопитающих и человека имеют гетерогенную и гетероморфную эпителиальную выстилку с чёткими линиями разграничения между морфологически различными эпителиями. Сравнительное изучение состава эпителиальной выстилки АРК в эмбриогенезе позвоночных свидетельствует о том, что в строении эпителия у крыс и человека имеются определённые сходства с клоакой амфибий и птиц, а двуслойная уротелиоподобная выстилка является провизорным (временным) образованием.
ДОПОЛНИТЕЛЬНАЯ ИНФОРМАЦИЯ
Вклад авторов. А.С. Комарова — сбор и анализ литературных источников, написание текста статьи, приготовление гистологических препаратов, морфометрический анализ, подготовка статьи к публикации; И.А. Одинцова — обзор литературы, анализ полученных данных, написание и редактирование текста статьи. Все авторы одобрили рукопись (версию для публикации), а также согласились нести ответственность за все аспекты работы, гарантируя надлежащее рассмотрение и решение вопросов, связанных с точностью и добросовестностью любой её части.
Этическая экспертиза. Исследование одобрено независимым этическим комитетом при Военно-медицинской академии имени С.М. Кирова (протокол № 283 от 17.10.2023 г.) и проведено с соблюдением закона «О защите животных от жестокого обращения» (глава V, ст. 104679-ГД от 01.12.1999 г.).
Источники финансирования. Авторы заявляют об отсутствии внешнего финансирования при проведении исследования.
Раскрытие интересов. Авторы заявляют об отсутствии отношений, деятельности и интересов за последние три года, связанных с третьими лицами (коммерческими и некоммерческими), интересы которых могут быть затронуты содержанием статьи.
ADDITIONAL INFORMATION
Authors’ contribution. A.S. Komarova: сollection and analysis of literature sources, manuscript writing, histological sample preparation, morphometric analysis, manuscript preparation for publication; I.A. Odintsova: Literature review, data analysis, manuscript writing and editing. All authors have approved the final version of the manuscript for publication and agreed to take responsibility for all aspects of the work, ensuring the appropriate consideration and resolution of any issues related to the accuracy and integrity of its content.
Ethical approval. The study was approved by the Independent Ethics Committee of the S.M. Kirov Military Medical Academy (Protocol No. 283, dated October 17, 2023) and was conducted in compliance with "The law on the protection of animals from cruelty" (chapter V, article 104679-ГД, dated December 1, 1999).
Funding sources. The authors declare that no external funding was received for this study.
Disclosure of interests. The authors declare no relationships, activities, or interests with third parties (commercial or non-commercial) that could have influenced the content of this article in the past three years.
About the authors
Anastasiya S. Komarova
Kirov Military Medical Academy
Author for correspondence.
Email: comi27@rambler.ru
ORCID iD: 0009-0004-2390-9927
SPIN-code: 6585-6771
Russian Federation, 6G Akademika Lebedeva st, 194044, Saint Petersburg
Irina A Odintsova
Kirov Military Medical Academy
Email: odintsova-irina@mail.ru
ORCID iD: 0000-0002-0143-7402
SPIN-code: 1523-8394
Dr. Sci. (Medicine), Professor
Russian Federation, 6G Akademika Lebedeva st, 194044, Saint PetersburgReferences
- Knorre AG. Embryonic histogenesis: Morphological essays. Leningrad: Medicine; 1971. (In Russ.)
- Blumberg AZh. Experimental-histological study of skin and intestinal epithelium types in the adjacent area [dissertation]. Leningrad; 1949. (In Russ.)
- Khlopin NG. General biological and experimental foundations of histology. Moscow: Izdatel’stvo Akademii Nauk SSSR; 1946. (In Russ.)
- Borisov IN, Dunaev PV, Bazhanov AN. Phylogenetic foundations of tissue organization in animals. Novosibirsk: Nauka; 1986. (In Russ.)
- Danilov RK, Komarova AS, Zheglova MY, Odintsova IA. On the question of tissue derivatives of the vertebrate cloacae. In: Questions of morphology of the XXI century: Proceedings of the 26th All-Russian scientific conference “Histogenesis, Reactivity and Tissue Regeneration”. St. Petersburg, 16–17 May 2024. Saint Petersburg: Limited liability company “Izdatel’stvo DEAN”; 2024. EDN: CAJPBP
- Danilov RK, Zheglova MYu. Formation of heterogeneity of the epithelial lining of the utero-vaginal tract in prenatal development in humans. Current problems in morphology: embryonic and reparative histogenesis, phylohistogenesis. Saint Petersburg: Izdatel’stvo SPbGPMU; 2014. (In Russ.)
- Hoshi M, Reginensi A, Joens MS, et al. Reciprocal spatiotemporally controlled apoptosis regulates Wolffian duct cloaca fusion. J Am Soc Nephrol. 2018;29(3):775–783. doi: 10.1681/ASN.2017040380
- Kruepunga N, Hikspoors JPJM, Mekonen HK, et al. The development of the cloaca in the human. J Anat. 2018;233(6):724–739. doi: 10.1111/joa.12882
- Komarova AS. The structural features of the epithelial lining of the cloaca in mature tailless amphibians of Rana temporaria species. In: Innovative technologies for studying histogenesis, reactivity and tissue regeneration (Proceedings of the Military Medical Academy). Saint Petersburg: Kirov Military Medical Academy; 2024. EDN: FAJOGS
- Shevlyuk NN. The main patterns of transformation in organs of reproductive system during the evolution of vertebrates. Journal of Anatomy and Histopathology. 2023;12(3):103–112. doi: 10.18499/2225-7357-2023-12-3-103-112 EDN: ZLRTGT
- Solovyev GS, Pantelyev SM, Shidin VA, Yanin VL. Divergence of organogenesis and divergent mechanism of organ evolution. Morphology. 2019;155(2):266. (In Russ.) EDN: LHKKJU
- Gică N, Apostol L, Huluţă I, et al. Cloacal dysgenesis sequence. Diagnostics (Basel). 2023;13(23):3529. doi: 10.3390/diagnostics13233529
- Li Y, Liu P, Wang W, et al. A novel genotype-phenotype between persistent-cloaca-related VACTERL and mutations of 8p23 and 12q23. Pediatr Res. 2023;95(5):1246–1253. doi: 10.1038/s41390-023-02928-0
- Singh S, Kayastha A, Thapa A, et al. Omphalocele, exstrophy of cloaca, imperforate anus, and spinal defects complex: a case report. JNMA J Nepal Med Assoc. 2023;61(260):375–378. doi: 10.31729/jnma.8048
- Fritsch H, Zehm S, Illig R, et al. New insights into the development and differentiation of the human anorectal epithelia. Are there clinical consequences? Int J Colorectal Dis. 2010;25(10):1231–1242. doi: 10.1007/s00384-010-0986-6
- Danilov RK, editor. Handbook of Histology. 2nd ed. Saint Petersburg: SpetsLit; 2011. (In Russ.)
- Thomas DFM. The embryology of persistent cloaca and urogenital sinus malformation. Asian J Androl. 2020;22(2):124–128. doi: 10.4103/aja.aja_72_19
Supplementary files










