Разработка количественного иммуноферментного анализа нейротрофического фактора мозга на основе рекомбинантного антигена
- Авторы: Павлова О.В.1, Мурашко А.А.2, Андрющенко Н.В.1, Гурина О.И.1, Павлов К.А.1
-
Учреждения:
- Федеральное государственное бюджетное учреждение “Национальный медицинский исследовательский центр психиатрии и наркологии им. В.П. Сербского” Минздрава России
- Московский Научно-исследовательский институт психиатрии – филиал Федерального государственного бюджетного учреждения “Национальный медицинский исследовательский центр психиатрии и наркологии им. В.П. Сербского” Минздрава России
- Выпуск: Том 40, № 1 (2023)
- Страницы: 86-91
- Раздел: МЕТОДЫ
- URL: https://journal-vniispk.ru/1027-8133/article/view/142198
- DOI: https://doi.org/10.31857/S1027813323010156
- EDN: https://elibrary.ru/EQWZUP
- ID: 142198
Цитировать
Полный текст
Аннотация
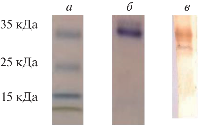
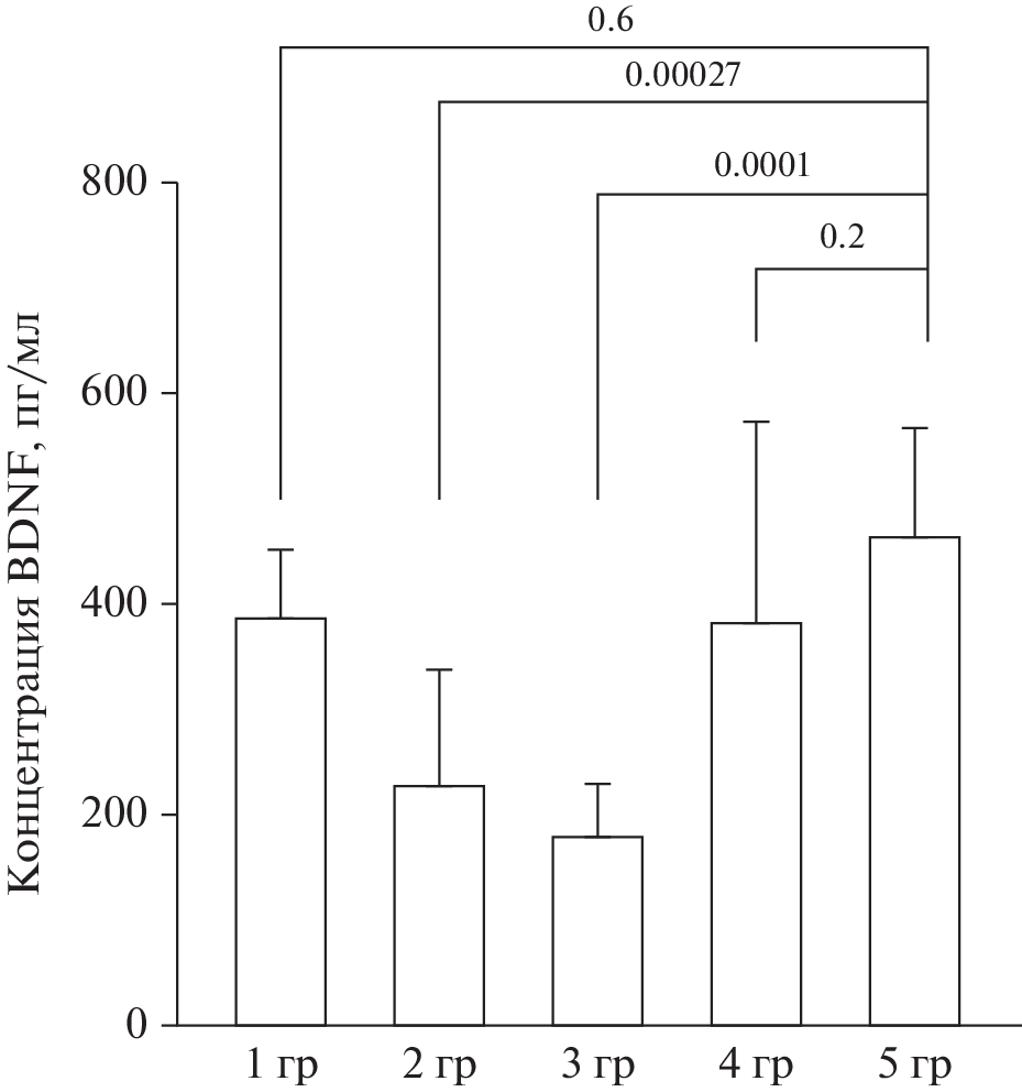
Одним из патофизиологических механизмов развития некоторых психических заболеваний, в том числе депрессивных расстройств, является снижение экспрессии нейротрофического фактора мозга (BDNF), в основном, в лимбической области и префронтальной коре головного мозга. Иммунохимический скриннинг BDNF в биологических жидкостях показал, что уровни этого белка можно рассматривать как маркер предрасположенности к депрессии и прогностический маркер эффективности проводимой терапии. Использование современных технологий получения рекомбинантных белков позволяет разработать высокостандартизованные тест-системы ИФА для определения данного антигена в биологических жидкостях. В данной работе описан метод создания тест-системы для количественного ИФА нейротрофического фактора мозга на основе рекомбинантного белка BDNF и антител, полученных в результате иммунизации рекомбинантным BDNF.
Об авторах
О. В. Павлова
Федеральное государственное бюджетное учреждение “Национальный медицинский исследовательский центр психиатрии и наркологии им. В.П. Сербского” Минздрава России
Email: nchjournal@gmail.com
Россия, Москва
А. А. Мурашко
Московский Научно-исследовательский институт психиатрии – филиал Федерального государственного бюджетного учреждения “Национальный медицинский исследовательский центр психиатриии наркологии им. В.П. Сербского” Минздрава России
Email: nchjournal@gmail.com
Россия, Москва
Н. В. Андрющенко
Федеральное государственное бюджетное учреждение “Национальный медицинский исследовательский центр психиатрии и наркологии им. В.П. Сербского” Минздрава России
Email: nchjournal@gmail.com
Россия, Москва
О. И. Гурина
Федеральное государственное бюджетное учреждение “Национальный медицинский исследовательский центр психиатрии и наркологии им. В.П. Сербского” Минздрава России
Email: nchjournal@gmail.com
Россия, Москва
К. А. Павлов
Федеральное государственное бюджетное учреждение “Национальный медицинский исследовательский центр психиатрии и наркологии им. В.П. Сербского” Минздрава России
Email: nchjournal@gmail.com
Россия, Москва
Список литературы
- Kessler R.C., Bromet E.J. // Annu. Rev. Public. Health. 2013. V. 34. P. 113–138.https://doi.org/10.1146/annurev-publhealth-031912-114409
- Stetler C., Miller G.E. // Psychosom. Med. 2011. V. 73. № 2. P. 114–126. https://doi.org/10.1097/PSY.0b013e31820ad12b
- Irwin M.R., Miller A.H. // Brain Behav. Immun. 2007 V. 21. № 4. P. 374–383. https://doi.org/10.1016/j.bbi.2007.01.010
- Григорьян Г.А., Дыгало Н.Н., Гехт А.Б., Степаничев М.Ю., Гуляева Н.В. // Усп. физиол. наук. 2014. Т. 43. № 2. С. 3–19.
- Sullivan P.F., Agrawal A., Bulik C.M., Andreassen O.A., Borglum A.D., Breen G., Cichon S., Edenberg H.J., Faraone S.V., Gelernter J., Mathews C.A., Nievergelt C.M., Smoller J.W., O’Donovan M.C. // Am. J. Psychiatry. 2018. V. 175. № 1. P. 15–27. https://doi.org/10.1176/appi.ajp.2017.17030283
- Yang T., Nie Z., Shu H., Kuang Y., Chen X., Cheng J., Yu S., Liu H. // Front. Cell Neurosci. 2020. V. 14. P. 82. https://doi.org/10.3389/fncel.2020.00082.eCollection 2020
- Barde Y.A., Edgar D., Thoenen H. // EMBO J. 1982. V. 1. № 5. P. 549–53.
- Kowianski P., Lietzau G., Czuba E., Waskow M., Steliga A., Morys J. // Cell Mol. Neurobiol. 2018. V. 38. P. 579–593.https://doi.org/10.1007/s10571-017-0510-4
- Гуляева Н.В. // Биохимия. 2017. Т. 82. Bып. 3. С. 441–448.
- Taliaz D., Stall N., Dar D.E, Zangen A.// Mol. Psychiatry. 2010. V. 15. № 1. P. 80–92. https://doi.org/10.1038/mp.2009.67
- Filho C.B., Jesse C.R., Donato F., Giacomeli R., Del Fabbro L., da Silva Antunes M., de Gomes M.G., Goes A.T., Boeira S.P., Prigol M., Souza L.C. // Neuroscience. 2015. V. 289. P. 367–380. https://doi.org/10.1016/j.neuroscience.2014.12.048
- Yoshida T., Ishikawa M., Niitsu T., Nakazato M., Watanabe H., Shiraishi T., Shiina A., Hashimoto T., Kanahara N., Hasegawa T., Enohara M., Kimura A., Iyo M., Hashimoto K. // PLoS One. 2012. V. 7. № 8. e42676. https://doi.org/10.1371/journal.pone.0042676
- Duman R.S., Aghajanian G.K., Sanacora G., Krystal J.H. // Nat. Med. 2016. V. 23. № 3. P. 238–249. https://doi.org/10.1038/nm.4050
- Duman R.S., Deyama S., Fogaça M.V. // Eur. J. Neurosci. 2021. V. 53. № 1. P. 126–139. https://doi.org/10.1111/ejn.14630
- Mondal A.C., Fatima M. // Int. J. Neurosci. 2019. V. 129. № 3. P. 283–296. https://doi.org/10.1080/00207454.2018.1527328
- Castren E., Kojima M. // Neurobiol. Dis. 2017. V. 97. P. 119–126. https://doi.org/10.1016/j.nbd.2016.07.010
- Nobis A., Zalewski D., Waszkiewicz N. // J. Clin. Med. 2020. V. 9. 3793. https://doi.org/10.3390/jcm9123793
- Islam F., Mulsant B.H., Voineskos A.N., Rajji T.K. // Curr. Psychiatry Rep. 2017. V. 19. № 7. P. 36. https://doi.org/10.1007/s11920-017-0794-6
- Song J.H., Yu J.T., Tan L. // Mol. Neurobiol. 2015. V. 52. № 3. P. 1477–1493. https://doi.org/10.1007/s12035-014-8958-4
- Nuernberg G.L., Aguiar B., Bristot G., Fleck M.P., Rocha N.S. // Transl. Psychiatry. 2016. V. 6. № 12. e985. https://doi.org/10.1038/tp.2016.227
- Jin W. // J. Clin. Med. 2020. V. 9. № 1. P. 257. https://doi.org/10.3390/jcm9010257
Дополнительные файлы







