Prospects for the use of bovhyaluronidase azoxymer in the post-COVID period after a severe COVID-19: A clinical case
- Authors: Sergeeva T.A.1, Kachanov D.A.1, Belogurova E.A.1, Batalova A.B.1, Pavlysh A.V.1
-
Affiliations:
- North-Western State Medical University named after I.I. Mechnikov
- Issue: Vol 13, No 4 (2022)
- Pages: 77-84
- Section: Clinical Pharmacology
- URL: https://journal-vniispk.ru/1606-8181/article/view/258433
- DOI: https://doi.org/10.17816/phbn278278
- ID: 258433
Cite item
Full Text
Abstract
Fibrotic changes in lung tissues after coronavirus disease 2019 (COVID-19) are receiving increasing attention. Current tasks for the medical community include not only minimizing the effects on etiotropic factors and increasing the body’s resistance to the damaging effects of viruses but also minimizing the number of complications and in the long term reducing morbidity and improving the prognosis and quality of life of patients after a severe viral infection.
The aim of this study was to describe a clinical case of the effectiveness of bovhyaluronidase azoxymer in the post-COVID period after a severe COVID-19.
A 46-year-old patient was diagnosed with COVID-19, which manifested as an acute respiratory viral infection in the clinic. She was hospitalized in a specialized department. Computed tomography noted 80% of lung damage, and oxygen saturation decreased to 70%. She was treated with antibiotics, antiviral drugs, anticoagulants, and hormones. After 1 month, she was discharged with improvement, and residual effects of lung damage (56%). In the post-hospital period, bovhyaluronidase azoximer for 25 days was prescribed. Clinical, radiological, laboratory, and clinical applied in a hospital.
On computed tomography, no signs of infiltrative changes in the lungs and signs of pneumofibrosis, a picture of viral pneumonia, were noted.
The case highlights the positive action of bovhyaluronidase azoxymer as an immunomodulatory and antifibrosing agent.
Full Text
АКТУАЛЬНОСТЬ
Пандемия заболевания, названного COVID-19, поставила перед специалистами множество новых задач, одна из которых — предотвращение или минимизация неблагоприятных последствий после перенесенного инфекционного процесса. В октябре 2021 г. Всемирная организация здравоохранения признала постковидный синдром серьезным осложнением перенесенной инфекции COVID-19. Данная патология развивается у лиц с анамнезом вероятной или подтвержденной инфекции, вызванной вирусом SARS-CoV-2, как правило, в течение 3 мес. от момента дебюта COVID-19 и характеризуется наличием на протяжении не менее 2 мес. симптомов, которые невозможно объяснить альтернативным диагнозом. Одним из возможных последствий является пневмофиброз [1–4].
Проблеме фиброзных изменений легочной ткани после перенесенной инфекции COVID-19 уделяется все большее внимание. Задачи, поставленные в настоящее время перед медицинским сообществом, включают не только воздействие на этиотропный фактор и повышение сопротивляемости организма к повреждающему действию вирусов, но и минимизацию количества осложнений, а в долгосрочной перспективе — снижение заболеваемости, улучшение прогноза и качества жизни пациентов после перенесенной тяжелой вирусной инфекции (особенно при большой площади поражения легочной ткани), в том числе за счет уменьшения остаточных фиброзных изменений в легких и улучшения легочной функции [5].
Поражение легких при COVID-19 чаще всего определяет тяжесть течения заболевания и становится причиной летального исхода больных [6]. Это обусловлено рядом причин, в числе которых аэрогенный механизм передачи коронавирусной инфекции, когда верхние дыхательные пути становятся основными входными воротами и местом размножения вируса, и быстрая репликация возбудителя, которая вызывает повреждение и гибель эпителиальных и эндотелиальных клеток, приводя к повышению проницаемости сосудов, массивному выбросу большого количества провоспалительных хемо- и цитокинов [7].
В остром периоде заболевания, после попадания вируса SARS-CoV-2, в легких зачастую развивается интерстициальная пневмония, в тяжелых случаях осложняющаяся возникновением острого респираторного дистресс-синдрома (ОРДС), системного воспалительного ответа, цитокинового шторма, которые провоцируют дальнейшее развитие тяжелых осложнений и неблагоприятного исхода [5, 8].
Воспалительный ответ в значительной степени опосредован макрофагами и гранулоцитами. Повышается синтез провоспалительных цитокинов, в том числе интерлейкина 1 (ИЛ-1) и фактора некроза опухоли (ФНО), являющихся мощными индукторами синтетазы гиалуроновой кислоты 2-го типа в клетках CD31+ эндотелия, молекул адгезии в альвеолах. При этом активно происходит рекрутирование и деление фибробластов [9, 10]. Снижение содержания активаторов фибринолиза в легочном эндотелии способствует накоплению фибрина в сосудах легких. Фибрин может выходить в интерстициальное пространство и вызывать формирование склерозирующего альвеолита. Нарастающее поражение пневмоцитов благоприятствует выходу фибрина в просвет альвеол, что вызывает образование гиалиновых мембран [11].
Тяжелое диффузное альвеолярное повреждение легких при COVID-19 характеризуется гипоксемией, появлением двусторонних легочных инфильтратов, снижением комплеанса (податливости) легких и часто требует применения в терапии искусственной вентиляции легких.
Различают экссудативную, пролиферативную и фиброзную стадии развития острого респираторного дистресс-синдрома (ОРДС). В экссудативной фазе происходят активные провоспалительные процессы (высвобождение ИЛ-1β, ФНО и ИЛ-6; миграция нейтрофилов и нарушение эпителиального барьера эндотелия сосудов). В пролиферативной и фиброзной фазах фиброциты, фибробласты и миофибробласты накапливаются в альвеолярных пространствах, приводя к чрезмерному отложению компонентов межклеточного матрикса (фибронектин, коллаген I и III типов). Одним из механизмов, способствующих развитию фибропролиферативного ответа при ОРДС, является механическая вентиляция легких, которая не только индуцируют секрецию трансформирующего фактора роста β1 (TGF-β), но также активирует синтез коллагена и ингибирует выработку коллагеназы. Ингибирование TGF-β, иммуно- и фиброзомодулятора, может ослабить эти последствия [12].
Поиск новых путей предотвращения и эффективного медикаментозного лечения, в первую очередь, легочных осложнений постковидного периода — чрезвычайно важная задача.
Перспективным отечественным препаратом, применение которого может снижать вероятность развития необратимых фиброзных изменений в легочной ткани, является препарат бовгиалуронидаза азоксимер. В настоящее время в инструкции к лекарственному препарату выделены следующие показания к назначению препарата при патологии респираторного тракта: пневмосклероз, фиброзирующий альвеолит, туберкулез (кавернозно-фиброзный, инфильтративный, туберкулема) [13]. Фермент гиалуронидаза приводит к разрушению гликозаминогликанов, а связывание ее с высокомолекулярным носителем повышает устойчивость молекулы к действию температуры и ингибиторов, увеличивая активность и приводя к пролонгации действия.
Показания к возможному применению бовгиалуронидазы азоксимера у пациентов, перенесших коронавирусную инфекцию: значительная площадь поражения легких, выявленная при проведении компьютерной томографии (КТ) легких, развитие ОРДС, нахождение пациента на аппарате искусственной вентиляции легких, пневмофиброз в анамнезе [14].
КЛИНИЧЕСКИЙ СЛУЧАЙ
Пациентка, 46 лет, в анамнезе без сопутствующей патологии, без вредных привычек. Аллергологический анамнез не отягощен. С момента завершения вакцинации Гам-Ковид-Вак («Спутник V») прошли 21 сут. Первые признаки острой респиратоной вирусной инфекции возникли на фоне повышения температуры тела до 37,5 °С. Данное состояние сохранялось на протяжении 4 сут с дальнейшим стремительным нарастанием симптомов: повышение температуры тела до 39,0 °С, сухой непродуктивный кашель, значительная одышка в покое, первый положительный результат мазка на анализ по методу полимеразной цепной реакции (ПЦР) на COVID-19.
На обзорной рентгенограмме грудной клетки: левосторонняя пневмония основания легкого. На амбулаторном этапе лечения на фоне проводимой противовирусной терапии назначен дексаметазон внутримышечно (в/м) 2 р/день на протяжении 1 нед по схеме. В последующую неделю отмечалось ухудшение состояния, появился ночной профузный пот; повышение температуры до 39,3 °С и снижение сатурации кислорода (SpO2) до 87 %. Снижение температуры при приеме жаропонижающих средств отмечалось на несколько часов с дальнейшим значительным повышением. Отмечено нарастание симптомов интоксикации.
Через 1,5 нед. после начала заболевания — госпитализация в профильное (по лечению COVID-19) отделение стационара. Отмечалось снижение сатурации кислорода до 70 %, повышение температуры до 39,6 °С. На КТ органов грудной клетки (ОГК) при госпитализации: в паренхиме легких с обеих сторон участки уплотнения паренхимы по типу «матового стекла» с признаками консолидации, расположенные субплеврально и перибронхиально.
Площадь поражения в баллах: верхняя доля справа — 3, средняя доля — 4, нижняя доля справа — 4, верхняя доля слева — 3, нижняя доля слева — 4, общая сумма баллов — 18 (поражение — 80 %). Через 2 дня после госпитализации: второй положительный результат мазка на COVID-19 по методу ПЦР, постоянная инсуффляция увлажненного кислорода через лицевую маску (сатурация на уровне 83 %).
Данная симптоматика сохранялась без изменений в течение 3 сут. Назначенная терапия включала:
- цефтриаксон внутривенно (в/в) по 1 г 2 р/сут;
- поливитамины в/в 1 р/сут;
- дексаметазон 4 мг/мл по 2 мл 2 р/сут;
- надропарин кальция в дозе 0,3 мл 1 раз в сутки подкожно;
- ремдесивир в дозе 200 мг в 1-е сутки, с последующим в/в введением по 100 мг 1 р/сут, курс — 3 дня;
- метамизол натрия в дозе 2 мл или литическая смесь в/м 3 мл при повышении температуры тела более 38,5 °С.
Через 3 нед. после начала заболевания появилась положительная динамика, температура снизилась до 37,0–37,5 °С, SpO2 94 %.
На обзорной рентгенограмме грудной клетки: усиление легочного рисунка, двусторонняя пневмония (в средних и нижних отделах легких).
Через 1 мес. от начала заболевания: отрицательный результат мазка на COVID-19 по методу ПЦР.
На цифровых обзорных рентгенограммах органов грудной клетки в прямой проекции отмечается положительная динамика за счет уменьшения в объеме и интенсивности участков консолидации паренхимы по легочным полям с обеих сторон. При выписке из стационара в удовлетворительном состоянии: SpO2 94 %, температура тела 36,0 °С, одышка — только на фоне незначительной физической нагрузки, гипервентиляционный синдром, сильная астения, сухой непродуктивный кашель.
Через месяц после выписки из стационара проведено КТ ОГК: в сравнении с предыдущим исследованием отмечается уменьшение интенсивности ранее выявленных участков уплотнения. Площадь поражения составила 56 %.
При комплексной оценке тяжести перенесенного заболевания (КТ 4), с учетом сохраняющегося гипервентиляционного синдрома, сухого непродуктивного кашля, наличия пневмофиброза было принято решение о назначении препарата бовгиалуронидаза азоксимер в монотерапии. Один из компонентов данного лекарственного средства — гиалуронидаза, обладающая выраженным прямым протеолитическим действием. Для препарата характерно наличие противовоспалительного, иммуномодулирующего, антиоксидантного и противофиброзного действий, что позволяет применять его и в острой фазе заболевания. Начато введение препарата в форме лиофилизата для приготовления раствора для инъекций.
Для внутримышечного введения содержимое флакона препарата бовгиалуронидаза азоксимер 3000 ME растворяли в 2,0 мл 0,5 % раствора прокаина. Схема введения: в/м 3000 ME 1 раз в 5 дней курсом 15 инъекций, далее переход на поддерживающую терапию с постепенным снижением частоты введения инъекций — 1 раз в 10 дней 3000 ME вводили в/м. Общий курс — 25 введений. Нежелательных лекарственных явлений на фоне проведенной терапии не наблюдалось. Продемонстрированы хорошая переносимость препарата, отсутствие местных и общих аллергических реакций.
Возможно введение препарата в виде ректальных свечей с высокой биодоступностью около 90 %.
При назначении в комбинации с антибактериальными препаратами бовгиалуронидаза азоксимер увеличивает проницаемость тканей для доставки антибиотиков непосредственно в очаг воспаления, что значительно повышает эффективность проводимой противомикробной терапии.
Через 4 мес. после выписки выполнено контрольное КТ ОГК: легкие без очаговых и инфильтративных изменений. С двух сторон определяются участки консолидации легочной ткани. На КТ признаков инфильтративных изменений легких не выявлено, явления пневмофиброза отсутствуют, КТ-картина перенесенной вирусной пневмонии.
Фармакологические аспекты применения бовгиалуронидазы азоксимера
Бовгиалуронидаза азоксимер контролирует патологический процесс на всех стадиях его развития, начиная от первой стадии воздействия на организм повреждающего фактора, заканчивая стадией развитого фиброза: инактивирует цитотоксические свойства химических агентов, защищая тем самым клетки от повреждения. В случае воздействия инфекционных факторов стимулирует антиинфекционную защиту, повышая фагоцитарную активность клеток и выработку антител против инфекционных агентов. Иммуномодулирующие свойства препарата имеют особенно важное значение в случае развития хронического воспаления на фоне ослабленного иммунитета.
При гиперактивности фагоцитирующих клеток в избытке продуцируются свободные радикалы и провоспалительные цитокины. Положительное действие препарата на этом этапе:
1) прямая инактивация активных форм кислорода и других свободных радикалов, повреждающих клетки и ткани;
2) хелатирование (связывание) и удаление из очага воспаления каталитически активных ионов железа, самых мощных стимуляторов радикальных реакций;
3) снижение избыточного синтеза провоспалительных цитокинов, прежде всего ФНО; уменьшается стимуляция фибробластов активированными фагоцитами, с дальнейшим подавлением продуктивной фазы воспаления.
В случае применения препарата на стадии развитого продуктивного воспаления (фиброз, интерстициальный склероз и др.) реализуется действие конъюгированного с азоксимером фермента гиалуронидазы.
Выраженные противофиброзные свойства бовгиалуронидазы азоксимера безусловно связаны со стабилизацией фермента и защитой его от действия ингибиторов с помощью носителя азоксимера. Наиболее мощным ингибитором гиалуронидазы и стимулятором синтеза коллагена являются ионы железа, которые в виде гемосидерина депонируются в матриксе соединительной ткани и освобождаются при деполимеризации гликозаминогликанов.
Связывание азоксимером освобождающихся ингибиторов гиалуронидазы обеспечивает длительное действие фермента в организме и предотвращает стимуляцию синтеза коллагена.
Описанные свойства препарата обусловливают его высокий терапевтический эффект, в частности способность не только тормозить развитие продуктивной фазы воспаления, но и вызывать обратное развитие сформировавшейся патологической соединительной ткани (рубцов после ожогов, операций, травм, пневмофиброза, склеротических образований и др.).
Некоторые значимые эффекты препарата бовгиалуронидаза азоксимер представлены в таблице и на рис. 1, 2.
Таблица. Клинические и фармакологические эффекты препарата бовгиалуронидаза азоксимер
Table. Clinical and pharmacological effects of bovhyaluronidaze azoximer
При воздействии на соединительную ткань | При воздействии на сосудисто-тканевые барьеры | При воздействии на иммунную систему |
Рассасывание фиброзных образований | 1. Уменьшение интерстициального отека ткани, улучшение микроциркуляции. 2. Защита клеточных мембран и окружающих тканей от цитотоксического действия инфекционных факторов. 3. Увеличение биодоступности антибиотиков и других лекарственных средств | 1. Антиоксидантная активность. 2. Иммуномодулирующая активность: повышение бактерицидности макрофагов, стимуляция антителообразования. 3. Повышение неспецифической резистентности (устойчивости) организма к инфекции. 4. Противовоспалительные свойства: контроль уровня провоспалительных цитокинов (ИЛ-1β и ФНО). 5. Подавление острой и хронической фазы воспаления |
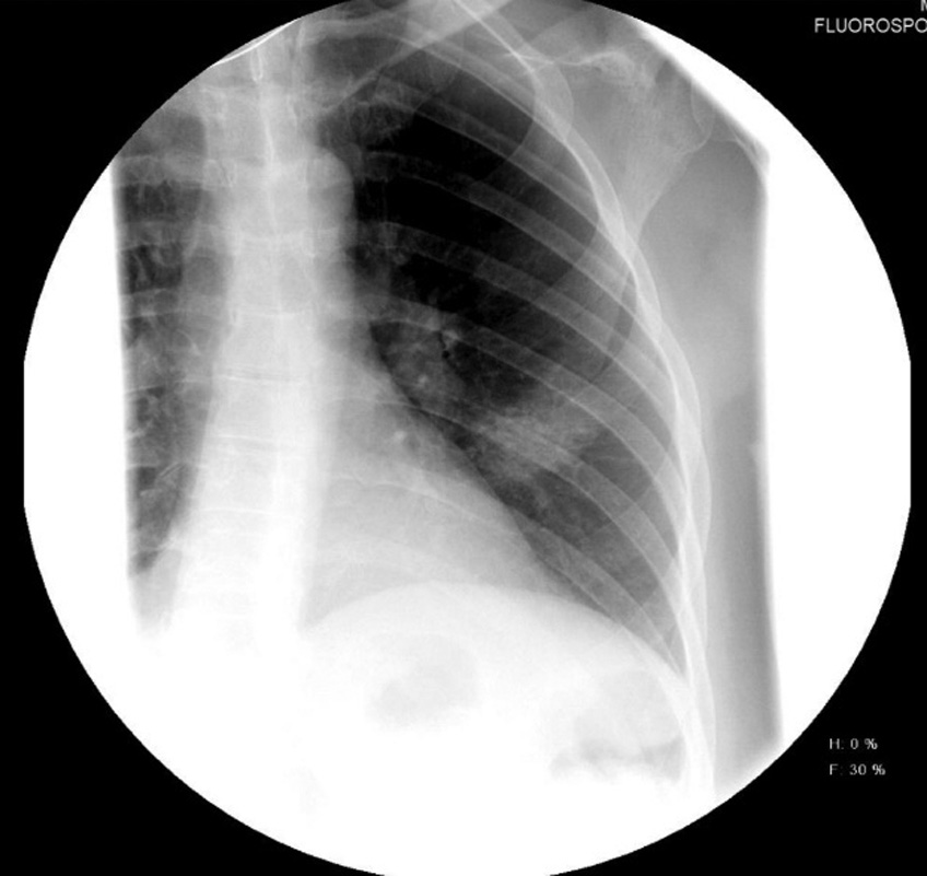
Рис. 1. Рентгенограмма органов грудной клетки до начала лечения препаратом бовгиалуронидаза азоксимер
Fig. 1. Chest X-ray imaging before treatment with Longidaza
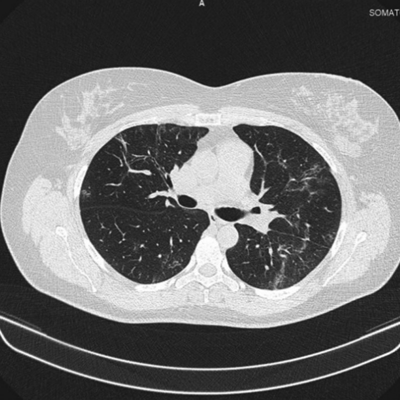
Рис. 2. Компьютерная томограмма органов грудной клетки после завершения курсового лечения препаратом бовгиалуронидаза азоксимер
Fig. 2. Computed tomography of the chest after the completion a course of Longidaza
ЗАКЛЮЧЕНИЕ
- Курсовое (25 инъекций) внутримышечное введение препарата бовгиалуронидаза азоксимер показало высокую эффективность при лечении пациента, перенесшего коронавирусную инфекцию тяжелого течения, осложненную пневмофиброзом (КТ 3–4).
- Препарат обладает хорошей переносимостью и высоким профилем безопасности.
- Являясь конъюгатом фермента гиалуронидазы и иммуномодулятора азоксимера, препарат оказывает противовоспалительное, иммуномодулирующее, антиоксидантное и детоксицирующее действие.
- В комбинации с антибактериальными средствами повышает доставку данных лекарственных средств в очаг воспаления, значительно повышая эффективность проводимой противоинфекционной терапии.
About the authors
Tatiana A. Sergeeva
North-Western State Medical University named after I.I. Mechnikov
Email: sergeeva_ta_d@mail.ru
SPIN-code: 4174-5632
Cand. Sci. Med. (Pharmacology), Assistant Professor, Department of Pharmacology and Pharmacy
Russian Federation, Saint PetersburgDmitriy A. Kachanov
North-Western State Medical University named after I.I. Mechnikov
Email: dmitrii.kachanov@szgmu.ru
ORCID iD: 0000-0003-1528-1899
SPIN-code: 4912-7511
Lecturer, Department of Pharmacology and Pharmacy
Russian Federation, Saint PetersburgEvgeniya A. Belogurova
North-Western State Medical University named after I.I. Mechnikov
Email: Evgeniya.Belogurova@szgmu.ru
SPIN-code: 1704-8387
Cand. Sci. Med. (Pathophysiology), Assistant Professor, Department of Patological Physiology
Russian Federation, Saint PetersburgAnfisa B. Batalova
North-Western State Medical University named after I.I. Mechnikov
Author for correspondence.
Email: b-anfisa2000@mail.ru
Student
Russian Federation, Saint PetersburgAndrei V. Pavlysh
North-Western State Medical University named after I.I. Mechnikov
Email: Andrei.Pavlysh@szgmu.ru
ORCID iD: 0000-0002-7617-5822
SPIN-code: 5785-8324
Dr. Med. Sci. (Pharmacology), Head of Department of Pharmacology and Pharmacy
Russian Federation, Saint PetersburgReferences
- Ojo AS, Balogun SA, Williams OT, Ojo OS. Pulmonary Fibrosis in COVID-19 Survivors: Predictive Factors and Risk Reduction Strategies. Pulm Med. 2020;2020:175964. doi: 10.1155/2020/6175964
- Schwensen HF, Borreschmidt LK, Storgaard M, et al. Fatal pulmonary fibrosis: a post-COVID-19 autopsy case. J Clin Pathol. 2020;74(6):400–402. doi: 10.1136/jclinpath-2020- 206879
- Fang Y, Zhou J, Ding X, et al. Pulmonary fibrosis in critical ill patients recovered from COVID-19 pneumonia: Preliminary experience. Am J Emerg Med. 2020;38(10):2134–2138. doi: 10.1016/j.ajem.2020.05.120
- Faverio P, De Giacomi F, Bonaiti G, et al. Management of Chronic Respiratory Failure in Interstitial Lung Diseases: Overview and Clinical Insights. Int J Med Sci. 2019;16(7):967–980. doi: 10.7150/ijms.32752
- McDonald LT. Healing after COVID-19: are survivors at risk for pulmonary fibrosis? J Physiol Lung Cell Mol Physiol. 2021;320(2):L257–L265. doi: 10.1152/ajplung.00238.2020
- Lu Z-H, Yang C-L, Yang G-G, et al. Efficacy of the combination of modern medicine and traditional Chinese medicine in pulmonary fibrosis arising as a sequelae in convalescent COVID-19 patients: a randomized multicenter trial. Infect Dis Poverty. 2021;10(1):31. doi: 10.1186/s40249-021-00813-8
- Voennov OV, Zagrekov VI, Boyarinov GA, et al. Mechanisms of development of lung injury in patients with novel coronavirus infection (literature review). Medical Almanac. 2020;(3):15–26. (In Russ.)
- Vitiello A, Pelliccia C, Ferrara F. COVID-19 Patients with Pulmonary Fibrotic Tissue: Clinical Pharmacological Rational of Antifibrotic Therapy. SN Compr Clin Med. 2020;2:1709–1712. doi: 10.1007/s42399-020-00487-7
- Bolevich SB, Bolevich SS. Complex mechanism of COVID-19 development. Sechenov Medical Journal. 2020;11(2):50–61. (In Russ.) doi: 10.47093/2218-7332.2020.11.2.50-61
- Wang J, Wang BJ, Yang JC, et al. Research advances in the mechanism of pulmonary fibrosis induced by coronavirus disease 2019 and the corresponding therapeutic measures. Zhonghua Shao Shang Za Zhi. 2020;36(8):691–697. (In Chinese). doi: 10.3760/cma.j.cn501120- 20200307-00132
- Vasarmidi E, Tsitoura E, Spandidos DA, et al. Pulmonary fibrosis in the aftermath of the COVID-19 era (Review). Exp Ther Med. 2020;20(3):2557–2560. doi: 10.3892/etm.2020.8980
- Oronsky B, Larson C, Hammond TC, et al. A Review of Persistent Post-COVID Syndrome (PPCS). Clin Rev Allergy Immunol. 2021:1–9. doi: 10.1007/s12016-021-08848-3
- Gosudarstvennyi reestr lekarstvennykh sredstv [Internet]. Instruktsiya po meditsinskomu primeneniyu lekarstvennogo preparata Longidaza® (Longidaza®) [cited 2021 Dec 26]. Available at: https://grls.rosminzdrav.ru/Grls_View_v2.aspx?routingGuid=dc89faa2-d6d5-4d31-9c40-9255e6d71284&t= (In Russ.)
- Chernyavskaya OA, Osipov AV. Pathogenetic bases of the use of antifibrotic therapy with Bovhyaluronidazum azoximerum in patients with new coronavirus infection COVID-19. Medical Council. 2021;(12):154–160. (In Russ.) doi: 10.21518/2079-701X-2021-12-154-160




