Интраоперационная профилактика посткератопластической амметропии методом имплантации полимерного кольца в эксперименте
- Авторы: Измайлова С.Б.1, Сучкова В.А.1, Таевере М.Р.1, Зимина М.В.2, Арутюнян Л.Л.1
-
Учреждения:
- Микрохирургия глаза имени академика С.Н. Федорова
- Офтальмологическая клиника СПЕКТР
- Выпуск: Том 20, № 3 (2023)
- Страницы: 62-66
- Раздел: Оригинальные исследования
- URL: https://journal-vniispk.ru/1994-9480/article/view/165458
- DOI: https://doi.org/10.19163/1994-9480-2023-20-3-62-66
- ID: 165458
Цитировать
Полный текст
Аннотация
Эксперимент проводился на 6 кадаверных глазах, была проведена сквозная фемто-ассистированная кератопластика с имплантацией интрастромального кольца (ИСК) по предложенным авторами методам. При моделировании технологии были получены паттерны, идентичные заданным, при этом было отмечено полное просечение роговицы без образования тканевых мостиков и спаек. Разработанные новые паттерны реза фемтосекундного лазера обеспечили возможность имплантации ИСК в остаточную строму роговицы реципиента без необходимости его дополнительной фиксации.
Ключевые слова
Полный текст
Главным критерием успешности выполненной кератопластики в настоящее время остается прозрачное приживление трансплантата, однако в настоящее время все большее значение приобретает достижение высоких клинико-функциональных результатов после операции, что напрямую зависит от степени аметропии оперированного глаза [1].
ЦЕЛЬ РАБОТЫ
Разработать способ проведения модифицированной сквозной фемто-ассистированной кератопластики в эксперименте.
МЕТОДИКА ИССЛЕДОВАНИЯ
Объектами экспериментального исследования стали 6 изолированных донорских (кадаверных) глаз, не прошедший качественный отбор материала для проведения кератопластики. Кадаверные глаза были предоставлены Глазным тканевым банком федерального государственного автономного учреждения «Национальный медицинский исследовательский центр «Межотраслевой научно-технический комплекс «Микрохирургия глаза» имени академика С.Н. Федорова» Министерства здравоохранения Российской Федерации, г. Москва, имеющим лицензию на осуществление медицинской деятельности по изъятию и хранению органов и (или) тканей человека для трансплантации; транспортировку органов и (или) тканей человека для трансплантации. Каждый экспериментальный глаз с целью фиксации помещали в специальную подставку-держатель (Экспериментально-техническое производство «Микрохирургия глаза», Россия, Москва), которая путем вращения винта-фиксатора регулирует степень давления на глазное яблоко, и тем самым создается стабильное внутриглазное давление [2]. Как известно из литературы, значение внутриглазного давления влияет на полученный размер (диаметр) сформированного ложа роговицы реципиента, а также размер диска донорского трансплантата [3]. В связи с этим для более точного формирования роговичных срезов параметр внутриглазного давления в каждом случае контролировался с помощью аппланационной тонометрии по Маклакову грузами в 10 грамм и составил (17,0 ± 3,0) мм рт. ст. (рис. 1).
Рис. 1. Проведение аппланационной тонометрии по Маклакову на кадаверном глазу, установленном в подставке-держателе
После фиксации кадаверного глаза выполняли скарификацию эпителия. С помощью фемтосекундного лазера (ФСЛ) выполняли подготовку ложа роговицы реципиента путем формирования профильного роговичного реза с паттерном «шляпка гриба» (рис. 2). Диаметр верхнего реза на 1 мм больше диаметра нижнего реза. ИСК укладывается на образованную ступеньку [4]. Данный метод мы назвали техника 1.
Для более безопасного расположения кольца, без тенденции к смещению, мы разработали технику 2. Согласно которой, ФСЛ выполняет подготовку ложа роговицы реципиента путем формирования профильного роговичного реза с паттерном «шляпка гриба» и образованием в остаточной строме бокового ламеллярного кольцевидного тоннеля (интраламеллярный рез), концентричного лимбу (рис. 3).
Рис. 2. Схематичное изображение сформированного ложа роговицы реципиента
Образованный с помощью ФСЛ ламеллярный тоннель служил «карманом» для замкнутого ИСК, которое имплантировалось интраоперационно перед фиксацией диска донорской роговицы к ложу роговицы реципиента (рис. 4) [4].
Подготовка донорского роговичного трансплантата проходила также с использованием ФСЛ, при этом паттерн имеет конгруэнтную форму «шляпки гриба» с размерами, соответствующими подготовленному ложу роговицы реципиента.
Рис. 3. Схематичное расположение формируемых роговичных резов на фемтосекундном лазере по предлагаемой модифицированной технологии сквозной кератопластики
Рис. 4. Схематичное изображение сформированного ложа роговицы реципиента. Расположение имплантируемого инстрастромального кольца указано на рисунке стрелкой
На основании размера роговицы реципиента подбирается ИСК определенного диаметра. Настройки ФСЛ варьируют в зависимости от диаметра ИСК.
Для избегания чрезмерного давления ИСК на роговичную ткань в сформированном кольцевом интрастромальном тоннеле его диаметр задается больше диаметра ИСК на 0,4 мм. Благодаря наличию этого тоннеля интрастромальное кольцо помещали на точно заданную глубину. Оно остается отдалено от интерфейса донор – реципиент, тем самым минимизируется его влияние на формирование полноценного рубца роговицы, его плотность и стабильность в послеоперационном периоде. Пример параметров образования роговичных резов на фемтосекундном лазере представлены в таблице.
Параметры роговичных резов, используемых при экспериментальном моделировании на кадаверных глазах
Параметр | Значение |
Верхний (внешний) диаметр, мм | 7,5 |
Нижний (внутренний) диаметр, мм | 6,5 |
Диаметр замкнутого интрастромального кольцевого тоннеля, мм | 8,9 |
Глубина замкнутого интрастромального кольцевого тоннеля (глубина «ступеньки»), мкм | 450 |
Диаметр замкнутого интрастромального кольца, мм | 8,5 |
Примечание. Под глубиной «ступеньки» понимается глубина расположения перехода от верхнего (внешнего) диаметра к нижнему (внутреннему).
Образованные фемтосекундным лазером резы вскрывали механическим путем с помощью хирургического шпателя, имплантировали замкнутое интрастромальное кольцо с внешним диаметром 8,5 мм, в качестве «донорского материала» использовался выделенный роговичный диск этого же кадаверного глаза. Роговичный диск фиксировали к ложу роговицы с помощью обвивного роговичного шва (нейлон 10-0).
РЕЗУЛЬТАТЫ ИССЛЕДОВАНИЯ И ИХ ОБСУЖДЕНИЕ
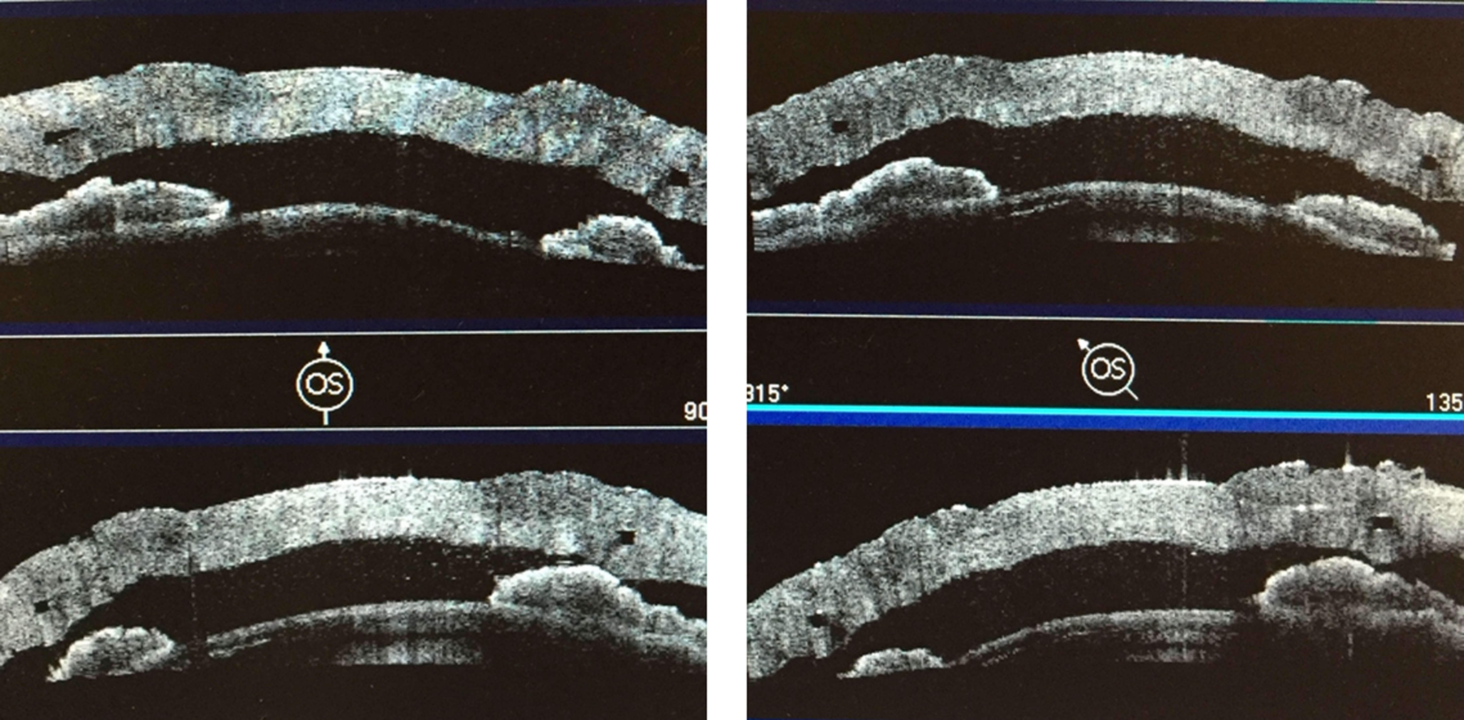
Результаты проведения модифицированной технологии сквозной фемто-кератопластики с имплантацией ИСК в эксперименте проводили с помощью оптической когерентной томографии переднего отрезка глазного яблока Visante ОСТ (Carl Zeiss Meditec, Германия). В ходе исследования оценивали положение ИСК (рис. 5), равномерность его залегания по глубине во всех сегментах.
Равномерность залегания ИСК оценивали путем определения глубины расположения его верхнего края в строме кадаверного глаза в 8 равномерно удаленных друг от друга точках по данным оптической когерентной томографии (ОКТ) (рис. 6), в среднем этот параметр составил (445,6 ± 14,9) мкм.
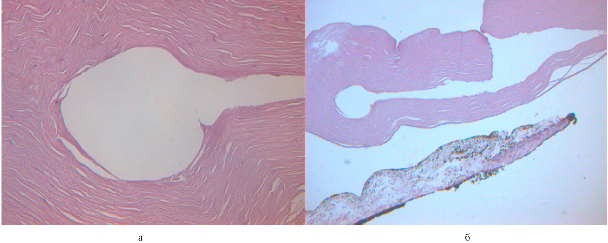
С целью оценки возможного деструктивного влияния лазерного воздействия на окружающую ткань при используемых настройках ФСЛ провели гистологическое исследование краев роговичных резов [3]. Для выполнения исследования опытный материал фиксировали в растворе нейтрального формалина, далее промывали проточной водой, обезвоживали в спиртах восходящей концентрации, после чего снова заливали формалином. Выполняли гистологические срезы, окрашенные гематоксилин-эозином, полученные препараты изучали под световым микроскопом фирмы Leica DM LB2 (Leica, Германия) при 50, 100, 200, 400-кратном увеличении с последующим фотографированием (рис. 7). На полученных образцах определялся максимально ровный отвесной край роговичного реза, окружающая ткань была без признаков повреждения, сформированный ламеллярный тоннель имел четкую форму без разволокнения стромы (рис. 7 а, б).
Рис. 5. Положение интрастрамального кольца в 4 меридианах в строме роговицы кадаверного глаза по данным оптической когерентной томографии
Рис. 6. Измерение глубины залегания ИСК по данным ОКТ
Рис. 7. Гистологический препарат деэпителизированной донорской роговицы после моделирования фемто-кератопластики с боковым ламеллярным туннелем, выполненным фемтосекундным лазером с периферическим расширением вследствие установки интрастромального кольца, эндотелий условно сохранный (окраска гематоксилин-эозин, увеличение А – ×50, Б – ×200)
ЗАКЛЮЧЕНИЕ
Экспериментальное моделирование на кадаверных глазах позволило разработать технику предлагаемой модифицированной сквозной фемто-кератопластики с имплантацией ИСК и алгоритм хирургического вмешательства [5]. По данным ОКТ переднего отрезка глазного яблока, интрастромальное кольцо располагалось равномерно во всех сегментах, без признаков его смещения. Использование параметров работы ФСЛ, разработанных совместно с производителем ФСЛ для проведения кератопластики, позволили выполнить качественное отделение роговичного диска без применения механического усилия во всех случаях.
Гистологическое исследование образцов показало отсутствие деструктивного воздействия применяемых параметров ФСЛ на окружающую ткань. Полученные результаты позволили сделать заключение о возможности применения данной методики в клинической практике для лечения пациентов с кератоконусом.
Об авторах
Светлана Борисовна Измайлова
Микрохирургия глаза имени академика С.Н. Федорова
Автор, ответственный за переписку.
Email: lana-doc@mail.ru
ORCID iD: 0000-0002-3516-1774
доктор медицинских наук, заведующая отделом трансплантационной и оптико-реконструктивной хирургии переднего отрезка глазного яблока
Россия, МоскваВалерия Алексеевна Сучкова
Микрохирургия глаза имени академика С.Н. Федорова
Email: 9324val@gmail.com
ORCID iD: 0009-0003-7177-9445
врач-ординатор
Россия, МоскваМариам Рамазановна Таевере
Микрохирургия глаза имени академика С.Н. Федорова
Email: taeveremr@gmail.com
ORCID iD: 0000-0003-1013-6924
кандидат медицинских наук, врач-офтальмолог
Россия, МоскваМарина Владимировна Зимина
Офтальмологическая клиника СПЕКТР
Email: marina_zimina@hotmail.com
ORCID iD: 0000-0002-8214-4336
врач-офтальмолог
Россия, МоскваЛана Лоренцевна Арутюнян
Микрохирургия глаза имени академика С.Н. Федорова
Email: Lana.arutyu@gmail.com
ORCID iD: 0000-0001-7198-8042
врач-ординатор
Россия, МоскваСписок литературы
- Измайлова С.Б., Зимина М.В., Завьялов А.С. и др. Интраоперационная профилактика посткератопластического астигматизма на отечественной установке «Фемто Визум» в эксперименте ex vivo. Практическая медицина. 2018;16(4):22–26.
- Измайлова С.Б., Новиков С.В., Зимина М.В., Чуприн В.В. Способ проведения кератопластики с одномоментной имплантацией интрастромального кольца для профилактики послеоперационного астигматизма. Патент РФ № 2018104821. 2018.
- Измайлова С.Б., Малюгин Б.Э., Новиков С.В., Зимина М.В. Способ проведения кератопластики с одномоментной имплантацией интрастромального кольца. Патент РФ 2646588. 2017.
- Maurice D.M. The biology of wound healing in the corneal stroma. Castroviejo lecture. Cornea. 1987;6(3):162–168. doi: 10.1097/00003226-198706030-00002.
- Liu J., Roberts C.J. Influence of corneal biomechanical properties on intraocular pressure measurement: quantitative analysis. Journal of Cataract & Refractive Surgery. 2005;31(1): 146–155. doi: 10.1016/j.jcrs.2004.09.031.
Дополнительные файлы









