Клинический анализ результатов устранения рецессий с использованием туннельной техники
- Авторы: Ярыгина Е.Н.1, Афанасьева О.Ю.1, Кривенцев А.Е.1, Сидорук А.В.1
-
Учреждения:
- Волгоградский государственный медицинский университет
- Выпуск: Том 20, № 3 (2023)
- Страницы: 73-75
- Раздел: Оригинальные исследования
- URL: https://journal-vniispk.ru/1994-9480/article/view/165464
- DOI: https://doi.org/10.19163/1994-9480-2023-20-3-73-75
- ID: 165464
Цитировать
Полный текст
Аннотация
В современной пластической хирургии мягких тканей полости рта существует большое разнообразие способов закрытия рецессий десневого края и увеличения зоны кератинизированной десны, но лишь немногие из них дают хорошо прогнозируемый и эффективный результат. Так, одной из популярных методик является туннельная техника с использованием деэпителизированного свободного десневого трансплантата. Распространенность данного метода обусловлена прежде всего его малоинвазивностью, что позволяет в ускоренные сроки получить регенерацию десневого края и снизить вероятность развития послеоперационных осложнений. Произведен анализ 20 клинических случаев закрытия рецессий десневого края зубов на верхней и нижней челюстях по классификации Miller I и II класса, подкласса А и Б и классификации Francesco Cairo – 1-го и 2-го типа с применением туннельной техники по Zuhr. Выявлена высокая эффективность данного способа закрытия рецессий, в том числе с точки зрения достижения оптимального долгосрочного прогноза и эстетического результата.
Ключевые слова
Полный текст
В настоящее время существует большое количество разнообразных методик и способов устранения рецессий десневого края, в том числе, к наиболее распространенным относится – туннельная техника, которая была предложена Отто Цуром в 2007 г. Популярность данного метода обусловлена прежде всего его малоинвазивностью, что позволяет в ускоренные сроки получить регенерацию десневого края и снизить вероятность развития послеоперационных осложнений. Суть туннельной техники сводится к формированию «конвертного» ложа в области приклепленных мягких тканей и последующему помещению в него деэпителизированного свободного десневого трансплантата [1, 2, 3].
ЦЕЛЬ РАБОТЫ
Проанализировать основные особенности и отдаленные результаты устранения рецессий с использованием туннельной методики.
МЕТОДИКА ИССЛЕДОВАНИЯ
Произведен анализ 20 клинических случаев закрытия рецессий десневого края зубов на верхней и нижней челюстях по классификации Miller I и II класса, подкласса А и Б и классификации Francesco Cairo – 1-го и 2-го типа с применением туннельной техники по Zuhr (рис. 1). Операции проводились в период с 2019 по 2020 год. Средний возраст пациентов составил 31 год. Гендерное соотношение составило – 12 (60 %) женщин и 8 (40 %) мужчин, при этом на верхней челюсти произведено 13 (65 %) операций, а на нижней – 7 (35 %). Наличие гиперестезии в области зубов с рецессиями десневого края и эстетического дефекта – основные жалобы, которые предъявляли пациенты. Значение ширины зоны кератинизированной прикрепленной десны было вариабельно во всех клинических случаях и в среднем составляло 3 мм (норма – 4–9 мм). Уровень индивидуальной гигиены у всех обследованных находился на высоком уровне (PI < 20 %). Послеоперационный период наблюдения составлял от 1 года до 3 лет. Оценка эффективности устранения рецессии производилась на контрольных осмотрах через 3 и 6 месяцев, 1, 2 и 3 года путем определения следующих параметров: глубина и ширина рецессий (определение расстояния от цементно-эмалевого соединения до наиболее апикальной границы обнаженной поверхности корня), ширина зоны кератинизированной прикрепленной десны (ЗКПД), наличие или отсутствие рецидива, текстура и цвет мягких тканей в области вмешательства (оценка с помощью визуального контроля).
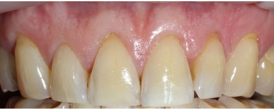
Рис. 1. Рецессия в области фронтальной группы зубов верхней челюсти Miller 1, Cairo Rt 1
РЕЗУЛЬТАТЫ ИССЛЕДОВАНИЯ И ИХ ОБСУЖДЕНИЕ
Все пациенты были проинформированы о предхирургическом протоколе и непосредственно самом вмешательстве, результаты клинического обследования занесены в медицинскую карту, получено информированное добровольное согласие на проведение медицинского вмешательства. На первом этапе выполнялась рутинная традиционная пародонтальная терапия – осуществление профессиональной гигиены полости рта с использованием скейлинга и сглаживания оголенных участков корней зубов, даны рекомендации по соблюдению гигиены полости рта и по применению соответствующих средств и предметов гигиены. Через месяц пациентов приглашали для выполнения хирургического вмешательства.
Протокол устранения рецессии десневого края включал антисептическую подготовку операционного поля раствором антисептика, аппликационную, инфильтрационную анестезию, подготовку принимающего ложа (создание туннельного доступа), подготовку донорской зоны, деэпителизацию свободного десневого трансплантата с неба (ДСДТ), позиционирование и фиксацию трансплантата, наложение оптимального количества направляющих и фиксирующих швов, послеоперационные рекомендации.
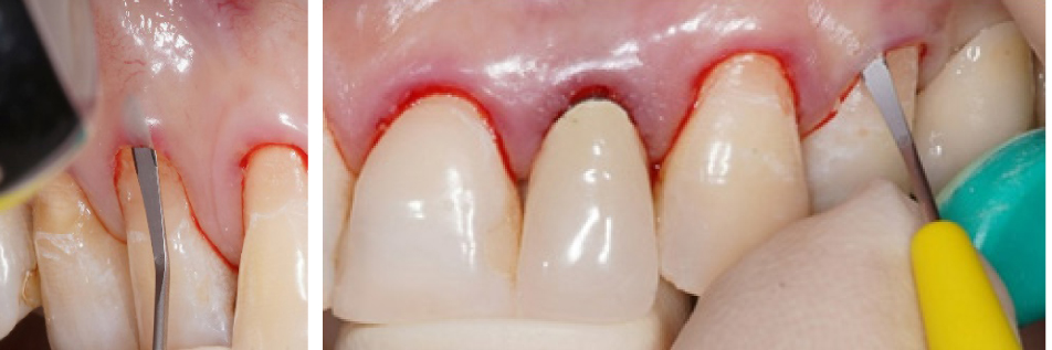
Вначале проводилась антисептическая обработка полости рта 0,05%-м раствором хлоргексидина биглюконата, аппликационная и инфильтрационная анестезии. Затем выполнялись разрезы в области десневой борозды (сулькулярные) через каждую зону рецессии микрохирургическим лезвием с сохранением кончиков десневых сосочков (рис. 2), отслаивание полнослойных лоскутов с помощью микрохирургического распатора. Далее производился забор свободного десневого трансплантата с неба с последующей его внеротовой деэпителизацией и наложением на зону забора параллельных и перекрестных горизонтальных обвивных швов (рис. 3). Позиционирование и фиксация трансплантата в принимающем ложе, ушивание раневой поверхности швами Аллена (рис. 4). Даны рекомендации по послеоперационному ведению: полоскания 0,05%-м раствором хлоргексидина биглюконата 2 раза в день в течение 2 недель, назначены противовоспалительные и обезболивающие лекарственные препараты (НПВС). Повторная явка через день. Швы снимались на 7–10-е сутки. Контрольные осмотры проводились через 3 и 6 месяцев, 1, 2 и 3 года соответственно, оценивалось состояние мягких тканей в области хирургического вмешательства и степень закрытия рецессий десневого края.
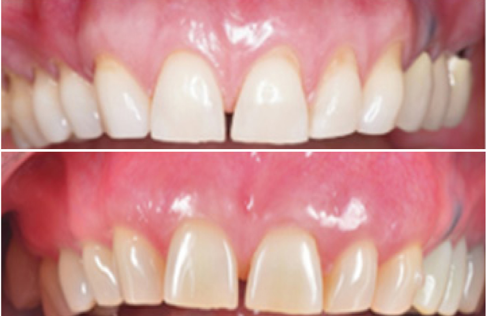
Во всех, без исключения, 20 клинических случаях было получено полное закрытие ранее выявленных рецессий [у 17 пациентов закрытие в пределах 3–4 мм (85 %), у 3 пациентов в пределах 2–3 мм (15 %)], причем данный результат был сохранен и в отдаленной перспективе – через 1, 2 и 3 года у всех пациентов отсутствовало рецидивирование рецессий, текстура и цвет мягких тканей не претерпели каких-либо изменений в сравнении с таковыми в области соседних зубов, где вмешательство не проводилось, ширина зоны кератинизированной прикрепленной десны в 14 случаях (70 %) увеличилась на 1,5 мм и в среднем составила 4,5 мм, в 6 случаях (30 %) увеличение произошло на 2,5 мм, а среднее значение ширины ЗКПД у данной группы пациентов – 5 мм (рис. 5).
Рис. 2. Внутрибороздковые разрезы микрохирургическим лезвием
Рис. 3. Забор свободного десневого трансплантата с нёба (а) и его деэпителизация (б)
Рис. 4. Наложение швов Аллена
Рис. 5. Отдаленный результат устранения рецессий на верхней челюсти
ЗАКЛЮЧЕНИЕ
Современные научные и клинические данные позволяют считать туннельную технику с использованием ДСДТ наиболее эффективной методикой устранения рецессий, в том числе с точки зрения достижения оптимального долгосрочного прогноза и эстетического результата.
Об авторах
Елена Николаевна Ярыгина
Волгоградский государственный медицинский университет
Email: elyarygina@yandex.ru
кандидат медицинских наук, доцент, заведующий кафедрой хирургической стоматологии и челюстно-лицевой хирургии
Россия, ВолгоградОльга Юрьевна Афанасьева
Волгоградский государственный медицинский университет
Email: afanaseva-olga75@mail.ru
кандидат медицинских наук, доцент кафедры стоматологии
Россия, ВолгоградАндрей Евгеньевич Кривенцев
Волгоградский государственный медицинский университет
Автор, ответственный за переписку.
Email: kriventsev17@yandex.ru
клинический ординатор кафедры стоматологии
Россия, ВолгоградАнатолий Васильевич Сидорук
Волгоградский государственный медицинский университет
Email: sid.anatol65@yandex.ru
кандидат медицинских наук, доцент кафедры стоматологии
Россия, ВолгоградСписок литературы
- Цур О., Хюрцелер М. Пластическая и эстетическая хирургия в пародонтологии и имплантологии. М.: Азбука, 2014. 847 с.
- Смирнова С.С. Оптимизация лечения рецессии десны (экспериментально-клиническое исследование): дис. … канд. мед. наук. Екатеринбург, 2010. 111 с.
- Февралёва А.Ю., Давидян А.Л. Устранение рецессии десны. Планирование, современные методы лечения, прогноз. М.: Поли Медиа Пресс, 2007. 152 с
Дополнительные файлы







