Морфофункциональная характеристика структурных компонентов легких при ингаляционном введении фталата свинца
- Авторы: Сирак А.Г.1, Пискарева Е.И.1, Долгашова М.А.1, Пашнева Е.И.1, Любанская О.В.1, Магомедова О.Г.1, Арутюнова А.П.1, Жеурова М.О.1
-
Учреждения:
- Ставропольский государственный медицинский университет
- Выпуск: Том 20, № 3 (2023)
- Страницы: 138-142
- Раздел: Оригинальные исследования
- URL: https://journal-vniispk.ru/1994-9480/article/view/165515
- DOI: https://doi.org/10.19163/1994-9480-2023-20-3-138-142
- ID: 165515
Цитировать
Полный текст
Аннотация
В статье представлены результаты исследований структурных изменений в легких, возникающих при ингаляционном воздействии фталата свинца в эксперименте на крысах. Выявленные морфологические нарушения приводят к развитию хронических воспалительных процессов и указывают на токсичность, фибриногенность фталата свинца и его способность вызывать аллергизацию организма.
Ключевые слова
Полный текст
ВВЕДЕНИЕ
Загрязнение окружающей среды свинцом является одной из главных проблем экологии и охраны здоровья населения [1]. Свинец относится к металлам I группы опасности, хотя активно используется в различных отраслях промышленности и в быту. Широкое применение свинца, загрязнение этим элементом объектов окружающей среды и, в связи с этим, поступление его в организм человека и животных могут вызывать патологические процессы, связанные с изменениями на молекулярном, клеточном, органном и системном уровнях.
Одним из основных путей поступления свинца в организм – органы дыхания [2]. При этом респираторный эпителий играет важную роль в защитных функциях слизистой оболочки воздухоносных путей [3, 4]. Помимо нарушения барьерной функции мерцательного эпителия свинец вызывает изменения и со стороны соединительной ткани, что может приводить к развитию хронических воспалительных процессов [5].
Недостаточность информации о морфологических изменениях в легких, возникающих при ингаляционном воздействии фталата свинца, определило цель и задачи настоящего исследования.
ЦЕЛЬ РАБОТЫ
Выявить закономерности изменений структурных компонентов легкого при хроническом ингаляционном воздействии фталата свинца.
МЕТОДИКА ИССЛЕДОВАНИЯ
Протокол экспериментов по выбору, содержанию животных, моделированию патологических процессов и выведению животных из опыта составлен в соответствии с принципами биоэтики (GLP) (ГОСТ 12.1.005-88) и учетом приказа МЗ РФ № 267 от 19.06.2003 «Об утверждении правил лабораторной практики». Отбор, содержание и формирование групп опытных животных проводились по общепринятым положениям [6]. Программа эксперимента была согласована с Локальным независимым этическим комитетом по экспертизе диссертационных исследований Ставропольского государственного медицинского университета.
Хроническое ингаляционное воздействие продолжалось 4 месяца с учетом средней продолжительности жизни крысы (3–4 года), что необходимо для выявления признаков интоксикации [7].
Для проведения эксперимента были отобраны 16 здоровых половозрелых лабораторных белых крыс-самцов линии Wistar массой 180–220 г. Животных разбили на 2 группы: первая – контрольная, вторая – опытная. Животные опытной группы подвергались хроническому ингаляционному воздействию фталата свинца в концентрации 50 мг/м3. По истечении 4-месячной ингаляционной затравки животных забивали путем мгновенной декапитации под эфирным наркозом.
Выделенные кусочки легких фиксировали в 10%-м нейтральном формалине и заливали в парафин. Серийные парафиновые срезы толщиной 5–7 мкм окрашивались гематоксилином и эозином [8], по способам Маллори, Массона и муцикармином Мейера [9].
Микроскопию срезов проводили на цифровом микроскопе со встроенным фотоаппаратом Olympus BХ45. Морфометрические исследования проводили с использованием программы Видео-тест Морфология 5.1 для Windows. Полученные цифровые данные анализировали с применением t-критерия Стьюдента в программе Primer of Biostatistics 4.03 для Windows. Достоверным считали различия при p < 0,05.
РЕЗУЛЬТАТЫ ИССЛЕДОВАНИЯ И ИХ ОБСУЖДЕНИЕ
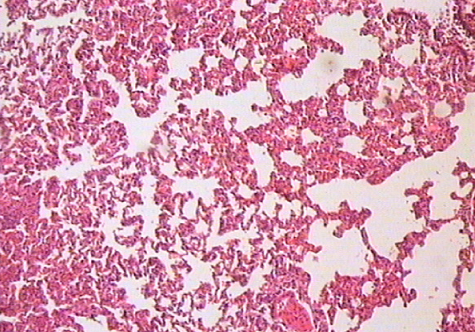
При исследовании гистологических срезов в легких определяются безвоздушные участки, чередующиеся с эмфизематозно расширенными (рис. 1).
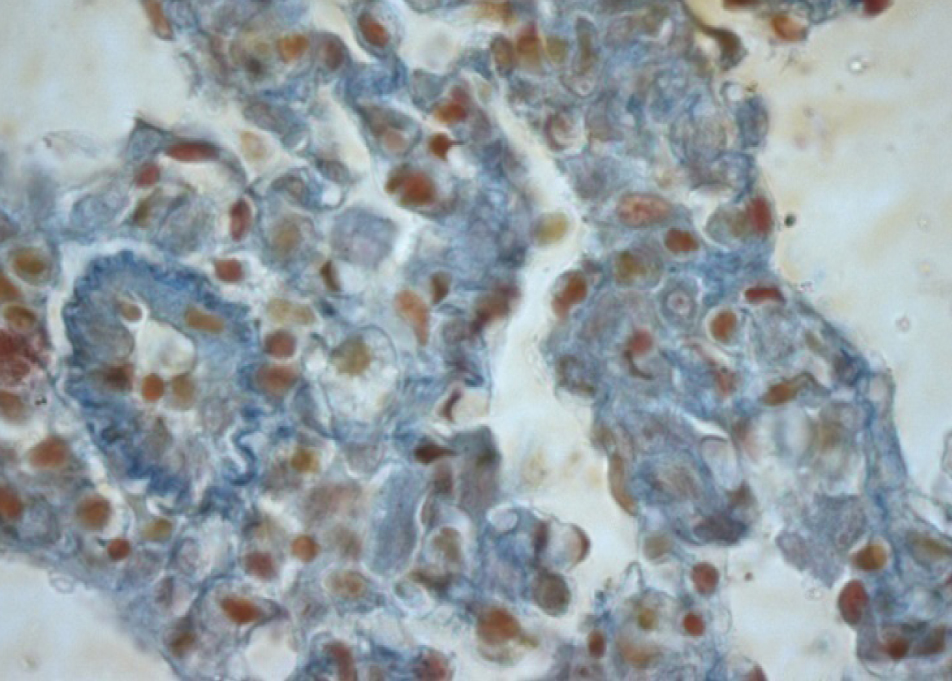
В интерстициальной ткани выявляются скопления многоядерных макрофагов с фагоцитированными частицами фталата свинца, что указывает на выраженную макрофагальную реакцию (рис. 2).
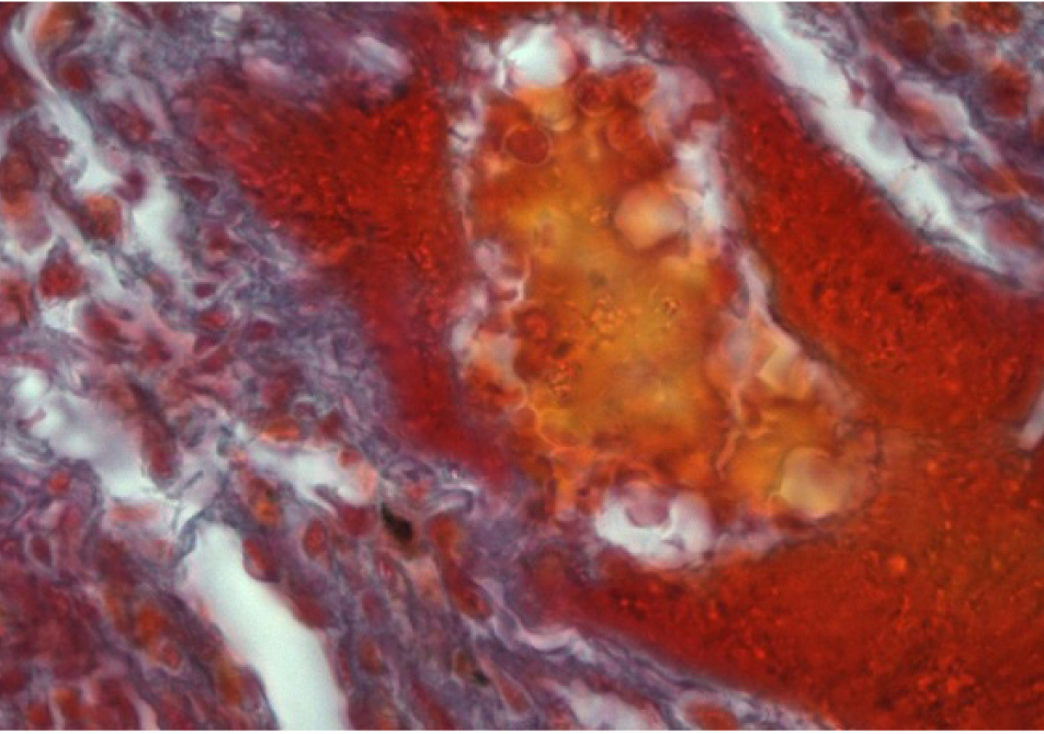
Наблюдается активизация фибробластов, окруженных пучками коллагеновых волокон (рис. 3, 4).
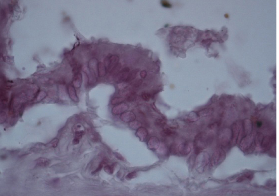
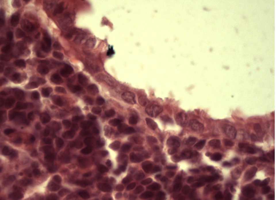
Многорядный мерцательный эпителий бронхов подвергается различным дегенеративным изменениям. Высота эпителиального пласта варьирует. Встречаются участки как плоского, так и кубического эпителия, мерцательные клетки которого содержат немногочисленные реснички (рис. 5).
Рис. 1. Безвоздушные участки легкого, чередующиеся с эмфизематозно измененными. Окраска гематоксилином и эозином. Ок. 10. Об. 4
Рис. 2. Скопление крупных многоядерных макрофагов. Окраска гематоксилином и эозином. Ок. 10. Об. 100. Иммерсия
Рис. 3. Образование коллагеновых волокон в интерстици- альной ткани легкого. Окраска по Маллори. Ок. 10. Об. 100. Иммерсия
Рис. 4. Образование коллагеновых волокон в стенке сосуда. Окраска по Массону. Ок. 10. Об. 100. Иммерсия
Рис. 5. Участок различного по высоте эпителия бронха. Окраска гематоксилином и эозином. Ок. 10. Об. 100. Иммерсия
Появляются зоны безреснитчатого эпителия, что связано с токсическим действием фталата свинца, а также травмированием ресничек его частицами (рис. 6).
За счет развития воспалительного процесса, сопровождающегося отеком собственной пластинки слизистой оболочки, эпителий пластами отслаивается в просвет бронхов (рис. 7).
Восстановление эпителиальной выстилки происходит со стороны неповрежденных участков с образованием однослойного плоского эпителия, замещающего зоны повреждения [10] (рис. 8).
Постепенно эпителий восстанавливает свою структуру и становится многорядным призматическим (рис. 9).
Рыхлая соединительная ткань оболочек бронхов отечна. Миоциты мышечной пластинки слизистой оболочки гипертрофируются (рис. 10).
Рис. 6. Участок эпителия бронха, лишенного ресничек. Окраска гематоксилином и эозином. Ок. 10. Об. 100. Иммерсия
Рис. 7. Отслаивание эпителия в просвет бронхов. Окраска муцикармином Мейера. Ок. 10. Об. 100. Иммерсия
Рис. 8. Образование однослойного плоского эпителия, замещающего участки повреждения. Окраска гематоксилином и эозином. Ок. 10. Об. 100. Иммерсия
Рис. 9. Переход однослойного кубического эпителия бронха в многорядный призматический. Окраска гематоксилином и эозином. Ок. 10. Об. 100. Иммерсия
Рис. 10. Гипертрофия мышечной пластинки слизистой оболочки бронха. Окраска гематоксилином и эозином. Ок. 10. Об. 100. Иммерсия
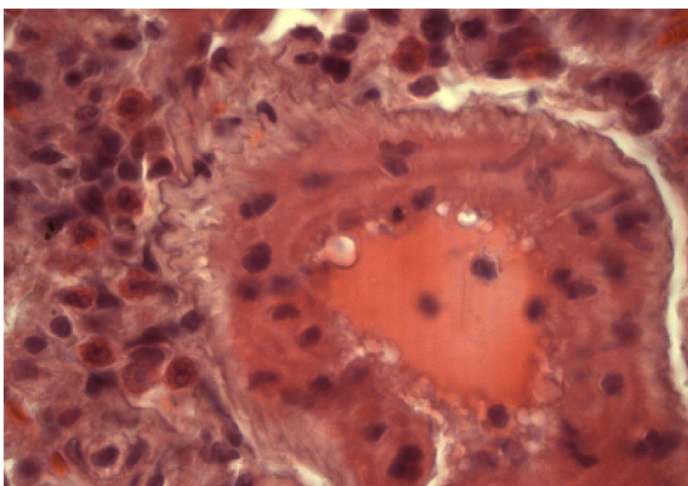
Рис. 11. Группа 8. Гемолиз эритроцитов в просвете артерии. Периваскулярный инфильтрат, содержащий эозинофилы. Окраска гематоксилином и эозином. Ок. 10. Об. 100. Иммерсия
Артерии полнокровны. В их просветах наблюдается гемолиз эритроцитов. В адвентициальной оболочке сосудов выявляются полиморфноцитарные инфильтраты, содержащие эозинофилы (рис. 11), что может служить доказательством развития аллергических реакций.
ЗАКЛЮЧЕНИЕ
Крупные скопления многоядерных макрофагов в межальвеолярных перегородках легочной ткани свидетельствуют о выраженной макрофагальной реакции. Наличие фибробластов, активно продуцирующих коллагеновые волокна, подтверждает фиброгенные свойства фталата свинца. Присутствие эозинофилов в полиморфноклеточных инфильтратах указывает на способность фталата свинца вызывать сенсибилизацию организма. Все вышеперечисленное является доказательством развития хронических воспалительных процессов.
Об авторах
Алла Григорьевна Сирак
Ставропольский государственный медицинский университет
Автор, ответственный за переписку.
Email: sergejsirak@yandex.ru
доктор медицинских наук, профессор, заведующая кафедрой гистологии
Россия, СтавропольЕвгения Ивановна Пискарева
Ставропольский государственный медицинский университет
Email: ivga.stgma@mail.ru
кандидат медицинских наук, доцент кафедры гистологии
Россия, СтавропольМарина Александровна Долгашова
Ставропольский государственный медицинский университет
Email: dolgashova@mail.ru
кандидат медицинских наук, доцент кафедры гистологии
Россия, СтавропольЕлена Ивановна Пашнева
Ставропольский государственный медицинский университет
Email: Lelchik33@mail.ru
кандидат медицинских наук, доцент кафедры гистологии
Россия, СтавропольОльга Викторовна Любанская
Ставропольский государственный медицинский университет
Email: olgalubanska695@gmail.com
кандидат медицинских наук, ассистент кафедры гистологии
Россия, СтавропольОксана Гасамутдиновна Магомедова
Ставропольский государственный медицинский университет
Email: oksana.magomedova.12@bk.ru
ассистент кафедры гистологии
Россия, СтавропольАлина Павловна Арутюнова
Ставропольский государственный медицинский университет
Email: aalina77100@yandex.ru
ассистент кафедры гистологии
Россия, СтавропольМария Олеговна Жеурова
Ставропольский государственный медицинский университет
Email: dr.maria.didenko@gmail.com
ассистент кафедры гистологии
Россия, СтавропольСписок литературы
- Титов А.Ф., Казнина Н.М., Карапетян Т.А., Доршакова Н.В. Влияние свинца на живые организмы. Журнал общей биологии. 2020;81(2):147–160.
- Станкуть Ж.В. Ксенобиотический риск загрязнения окружающей среды свинцом и последствия его действия на организм человека. Международный студенческий научный вестник. 2021;6. URL: https://eduherald.ru/ru/article/view?id=20756.
- Есев Л.И. Функциональная морфология мукоцилиарной транспортной системы трахеи крыс в постнатальном онтогенезе: автореф. дис. … канд. мед. наук. Ярославль, 2016. 24 с.
- Шубникова Е.А. Эпителиальные ткани. Руководство по гистологии. 2-е изд. СПб.: СпецЛит, 2011. Гл. 4. С. 124–202.
- Уразбаева Р. Е. Аллергические заболевания у рабочих свинцового производства и влияния свинца на формирование сенсибилизации в эксперименте: автореф. дис. ... канд. мед. наук. Алма-Ата, 1990. 24 с.
- Западнюк И. П., Западнюк В. И., Захария Е. А. Лабораторные животные, их разведение, содержание и использование в эксперименте. Киев: Государственное медицинское издательство УССР, 1962. 350 c.
- Саноцкий И. В. Методы определения токсичности и опасности химических веществ (Токсикометрия). М.: Медицина, 1970. С. 68–69.
- Меркулов, Г.А. Курс патологогистологической техники. М.: Медицина, 1969. 422 с.
- Пирс, Э. Гистохимия. М.: Иностранная литература, 1962. 961 с.
- Пискарева Е.И., Сирак А.Г., Радцева Г.Л. и др. Динамика развития изменений в эпителии бронхов при токсическом воздействии лантана и фталата свинца. Физико-химическая биология: материалы V международной научной интернет-конференции. 2017:138–142.
Дополнительные файлы













